Kanalikuläres Adenom des Oberkiefers
Ein 74-jähriger Patient stellte sich mit einer anamnestisch seit zwei Wochen bestehenden, größenprogredienten Raumforderung des linken Oberkiefers vor. Der Befund war im Rahmen der regulären zahnärztlichen Kontrolle aufgefallen. Die allgemeine Anamnese zeigte eine arterielle Hypertonie, eine leichtgradige Herzinsuffizienz, Diabetes mellitus sowie ein metabolisches Syndrom. Vor sechs Jahren war bei dem Patienten ein Urothelkarzinom und vor 15 Jahren ein Prostatakarzinom therapiert worden. Der Patient war bezüglich der Malignome stets bei seinem Urologen in der Nachsorge. Im dentalen Bereich lag nebenbefundlich eine Parodontitis marginalis mit aktuell stabilem Zustand ohne vertiefte Taschentiefen oder freiliegende Furkationen vor, die regelmäßig zahnärztlich behandelt wurde.
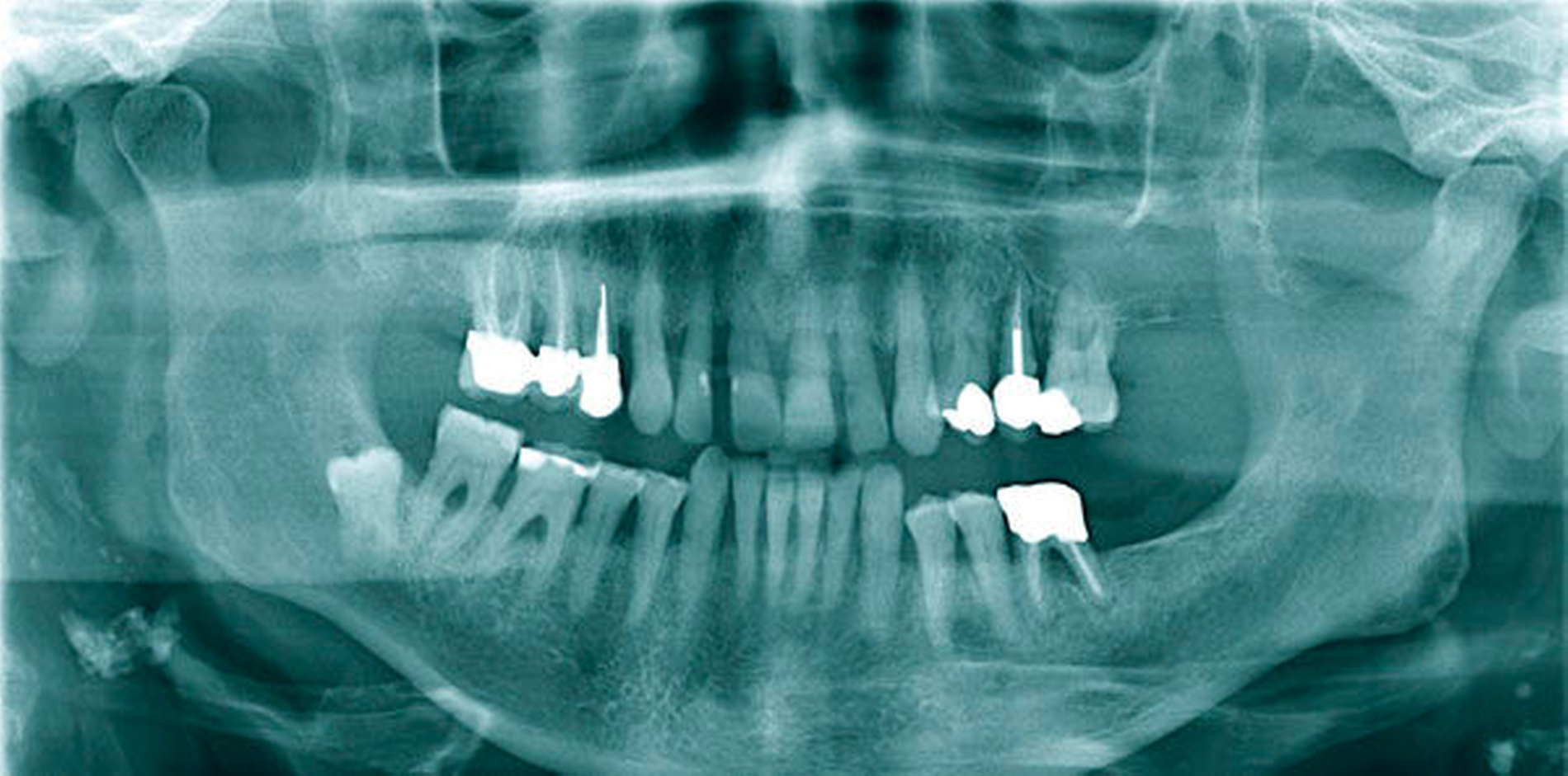
Zum Zeitpunkt der Untersuchung zeigte sich im linken Oberkiefer palatinal regio 26/27 ein livider braun-rötlicher Tumor von etwa zwei Zentimeter Größe mit Verdrängung der fixierten Gingiva nach krestal. Nach palatinal-medial war das Bindegewebe unter reizloser Schleimhaut aufgetrieben (Abbildung 1). In der Bildgebung mittels Panoramaschichtaufnahme zeigte sich in der interessierenden Region eine Verschattung der linken basalen Kieferhöhle mit Auflösung des krestalen Knochens im Molarenbereich. Des Weiteren war ein retinierter Zahn 48 und ein horizontal-vertikaler Knochenabbau bei bekannter Parodontitis zu erkennen (Abbildung 2). Zur weiteren Diagnostik wurde eine Computertomografie des Kopfes und bei Verdacht auf mögliche Metastasierung der vorbekannten Malignome eine Computertomografie des Thorax und Abdomens durchgeführt. Hierbei zeigte sich die bereits diagnostizierte Raumforderung im Bereich der linken basalen Kieferhöhle mit partieller Auflösung des molarennahen Knochens und einer weichteildichten Raumforderung im Bereich der basalen Kieferhöhle. Die kranialen Anteile der Kieferhöhle waren belüftet (Abbildung 3). Ein Anhalt für eine Metastasierung oder ein Rezidiv des Urothel- bzw. Prostatakarzinoms bestand nicht. In dem durch eine Inzisionsbiopsie in Lokalanästhesie entnommenem Gewebe zeigte sich histologisch eine teils glandulär, teils kribriform konfigurierte epitheliale Proliferation mit teils basophilem Stroma. Es lag eine deutliche Positivität für CK7 und S100 ohne Färbereaktion für CK5/6 vor. Somit entsprach der Befund dem eines kanalikulären Adenoms. Der Tumor wurde in Intubationsnarkose entfernt. Zur Kieferhöhle bestand eine dünne knöcherne Abgrenzung, die belassen wurde. Eine endoskopische Untersuchung über den mittleren Nasengang zeigte bis auf zwei kleinen Schleimretentionszysten oberhalb der Läsion – die jeweils entfernt wurden – keine weiteren Auffälligkeiten. Der Defekt wurde durch eine Einlagerung des Bichat’schen Fettkörpers und eines Mukoperiost-Lappens von vestibulär gedeckt. Die finale histologische Beurteilung bestätigte die Diagnose und eine vollständige Entfernung. Nach einem unkomplizierten postoperativen Heilungsverlauf zeigte der Patient in der klinischen Nachsorge nunmehr sechs Monate nach Operation keinen Anhalt für ein Rezidiv.
Diskussion
Das kanalikuläre Adenom ist ein seltener benigner Tumor, der etwa ein bis drei Prozent aller Speicheldrüsentumore ausmacht [Peraza et al., 2017] Es präsentiert sich typischerweise, wie auch im vorgestellten Fall, als eine submuköse Raumforderung mit lividem Aussehen im Falle eines Schleimhautdurchbruchs. Eine intakte Schleimhautbedeckung ist ebenso möglich. Anamnestisch berichten die Patienten in der Regel über eine langsame, oft mehrmonatige Größenzunahme. Das im vorgestellten Fall kurzzeitige Wachstumsintervall ist nicht charakteristisch für diese Erkrankung. Symptome wie Missempfindungen und Schmerzen treten selten auf.
Das kanalikuläre Adenom betrifft am häufigsten die Oberlippe (>70 Prozent), gefolgt von Wange und palatinaler Gingiva. In seltenen Fällen kann diese Tumorentität auch multifokal, nasal, im Bereich des Ösophagus oder intraossär auftreten [Peraza et al., 2017; Ray et al., 2018]. Das kanalikuläre Adenom hat einen Altersgipfel in der siebten Dekade, wobei Einzelfälle auch in jüngerem Alter beschrieben wurden. Insgesamt sind Frauen mit einem Anteil von rund 64 Prozent häufiger betroffen als Männer [Peraza et al., 2017]. Spezielle Risikofaktoren sind nicht bekannt. Histopathologisch kann die Abgrenzung zu einem Mukoepidermoidkarzinom schwierig sein. Die Unterscheidung erfolgt dann über die Immunhistopathlogie. Typische immunhistochemische Marker für ein kanalikuläres Adenom sind Cytokeratin-pan, S100, CK7 und Vimentin [Thompson et al., 2015].
Zur Diagnostik kann entweder eine Magnetresonanztomografie oder bei knöcherner Beteiligung eine Computertomografie durchgeführt werden. Bei reinen Weichgewebstumoren der Oberlippe oder Wange kann auch eine Sonografie ausreichend sein. Das radiologische Bild entspricht einer gut abgrenzbaren Weichteilmasse mit mitunter lokal aggressivem Wachstum und knöcherner Destruktion [Smullin et al., 2004].
Fazit für die Praxis
Bei Raumforderungen im Bereich der palatinalen Schleimhaut sollte differenzialdiagnostisch ein Speicheldrüsentumor in Betracht gezogen werden. Der am häufigsten diagnostizierte Speicheldrüsentumor ist das pleomorphe Adenom. Dieses betrifft zumeist die Glandula parotis, gefolgt von den kleinen Speicheldrüsen der Gaumenschleimhaut. Jede länger bestehende Raumforderung (> 2 Wochen) sollte einer histologischen Sicherung zugeführt werden.
Die Therapie besteht aus der Entfernung des Tumors. Die lokale Resektion, gegebenenfalls als Enukleation durchgeführt, ist das Standardverfahren. Bei vollständiger Entfernung liegt die Rezidivrate bei fünf bis zehn Prozent, das Rezidivrisiko scheint bei multifokalen, bilateralen und ulzerierenden Tumoren erhöht [Peraza et al., 2017]. Aufgrund möglicher Rezidive sollte eine regelmäßige Nachsorge erfolgen. Eine maligne Transformation wie zum Beispiel beim pleomorphen Adenom ist nicht beschrieben.
Zusammenfassend präsentiert sich der beschriebene Fall mit den typischen Zeichen einer fraglich unbemerkt entstandenen schmerzlosen Raumforderung im Bereich der palatinalen Schleimhaut. Bei Läsionen in diesem Bereich sollte man an einen Speicheldrüsentumor denken, das kanalikuläre Adenom stellt hier eine seltene Differenzialdiagnose dar.
Dr. Elisabeth Goetze
Wissenschaftliche Mitarbeiterin
Klinik und Poliklinik für Mund-, Kiefer- und Gesichtschirurgie der Universitätsmedizin Mainz
Augustusplatz 2, 55131 Mainz
elisabeth.goetze@unimedizin-mainz.de
PD Dr. Dr. Peer W. Kämmerer, M.A., FEBOMFS
Leitender Oberarzt / Stellvertretender Klinikdirektor
Klinik und Poliklinik für Mund-, Kiefer- und Gesichtschirurgie der Universitätsmedizin Mainz
Augustusplatz 2, 55131 Mainz
Literaturliste
Peraza AJ, Wright J, Gomez R (2017) Canalicular adenoma: A systematic review J Craniomaxillofac Surg 45:1754-1758 doi:10.1016/j.jcms.2017.07.020
Ray M, Sathe P, Ghodke R, Suryavanshi M (2018) Canalicular adenoma arising from the nasal septum in a child: First case report Indian J Pathol Microbiol 61:632-634 doi:10.4103/IJPM.IJPM_137_18
Smullin SE, Fielding AF, Susarla SM, Pringle G, Eichstaedt R (2004) Canalicular adenoma of the palate: case report and literature review Oral Surg Oral Med Oral Pathol Oral Radiol Endod 98:32-36 doi:10.1016/S1079210404001660
Thompson LD, Bauer JL, Chiosea S, McHugh JB, Seethala RR, Miettinen M, Muller S (2015) Canalicular adenoma: a clinicopathologic and immunohistochemical analysis of 67 cases with a review of the literature Head Neck Pathol 9:181-195 doi:10.1007/s12105-014-0560-6










