Gefäßmalformation im Bereich des M. masseter
Kasuistik
Eine 36 Jahre alte Patientin hatte seit mehreren Monaten eine rezidivierende Schwellung im Bereich ihrer rechten Wange. In der Anamnese berichtete sie über eine deutliche Größenschwankung des Befundes und eine gelegentlich auftretende Druckempfindlichkeit in diesem Bereich.
Palpatorisch hatte die Patientin eine weiche, zum Untersuchungszeitpunkt etwa kirschgroße Raumforderung über dem rechten Kieferwinkel. Sonographisch zeigte sich eine zwei Zentimeter im Durchmesser große, scharf begrenzte, echoarme, rundliche Struktur im Bereich des rechten Musculus masseter (Abb. 1).
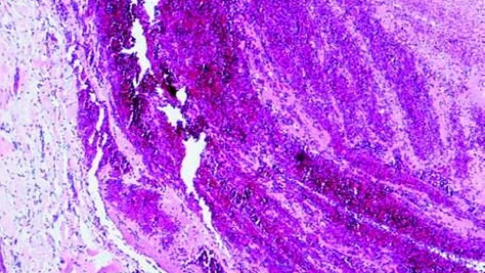
Zur Entfernung des tumorösen Gewebes wurde aufgrund der Lage und der Nähe zu den Ästen des Nervus facialis ein extraoraler Zugang gewählt (Abb. 2). Das sehr gut von seiner Umgebung abgrenzbare tumoröse Gewebe ließ sich unter Schonung der Nervenäste und nach Unterbindung seiner zuführenden Gefäße herausschälen (Abb. 3). Makroskopisch zeigte das entnommene Gewebe eine dunkelbraun-rötliche Farbe mit glatt begrenzter Oberfläche (Abb. 4). Die histologische Untersuchung ergab die Diagnose einer vaskulären Malformation mit ektatisch-kavernösen Gefäßräumen und teils frischem, teils organisiertem thrombotischem Material (Abb. 5).
Diskussion
Vaskuläre Malformationen sind im Gegensatz zu Hämangiomen keine Tumoren sondern strukturelle Anomalien der Blutgefäße ohne Endothelproliferation [Powell, 1999; Neville et al., 2002]. Die vaskulären Malformationen bestehen seit Geburt, wachsen proportional mit dem Patienten und persistieren normalerweise unverändert ein Leben lang. Eine Einteilung der Gefäßmalformation wird anhand des vorherrschenden Gefäßtyps (kapillär, venös, arteriell) und anhand der Durchflussgeschwindigkeit des Blutes (high flow, low flow) vorgenommen [Neville et al., 2002]. Dopplersonographisch wurde im vorliegenden Fall nur ein geringer Blutfluss in der Gefäßmalformation festgestellt, sodass es sich hier um eine venöse Malformation mit niedrigem Durchfluss handelte. Sekundäre Thrombosen und venöse Druckschwankungen können zu Änderungen von Größe und Konsistenz der Malformation führen. Auch bei der hier vorgestellten Patientin kam es zu deutlichen Größenschwankungen der Malformation. Die abschnittsweise aufgetretene Druckschmerzhaftigkeit könnte ein Hinweis auf die histologisch erkennbaren, abgelaufenen Thrombosen im Bereich der Gefäßmalformation sein.
Das therapeutische Management der venösen Malformationen hängt von der Größe, der Lokalisation und den Begleitkomplikationen ab. Sehr kleine und stabile Befunde bedürfen häufig keiner Therapie. Größere Befunde können allein chirurgisch oder in Kombination mit einer Sklerosierung der Malformation behandelt werden. Für arteriovenöse Malformationen mit hohem Blutdurchfluss sollte die Möglichkeit einer gezielten Embolisierung der zuführenden Gefäße geprüft werden [Reichart und Philipsen, 1999; Fishman et Mulliken, 1993].
Problematisch sind unerkannte, vaskuläre Malformationen, die im Kieferknochen gelegen sind. Eine Zahnentfernung kann hier zu schweren und lebensbedrohlichen Blutungsereignissen führen [Neville et al., 2002].
Prof. Dr. Dr. Torsten E. ReichertPD Dr. Dr. Martin KunkelKlinik für Mund-, Kiefer- und GesichtschirurgieJohannes Gutenberg-UniversitätAugustusplatz 255131 Mainz




