In-Getränke und ihre Folgen am Zahnschmelz
Die Ernährungsgewohnheiten in Europa und den westlichen Industrienationen haben sich in den letzten 100 Jahren in einer Weise umgestellt, wie dies in der gesamten Vorgeschichte nicht denkbar und realisierbar war. Mit der Nahrung sollen die Grundnährstoffe Proteine, Kohlenhydrate und Fette im geeigneten Verhältnis, genügend Mineralstoffe, Vitamine, Spurenelemente sowie Ballaststoffe und Wasser aufgenommen werden. Durch sachgemäße Zubereitung sollen die Nahrungsbestandteile für den Organismus gut aufschließbar und damit besser verwertbar gemacht werden. Die primäre Bedeutung der Ernährung, die Aufnahme von Stoffen, die zur Erhaltung des Lebens, für Wachstum, Bewegung und Fortpflanzung notwendig sind, hat jedoch in den heutigen, wohlhabenden Gesellschaftsstrukturen eine eher untergeordnete Rolle eingenommen.
Eine gesunde Ernährung ist nach dem Ernährungsbericht 2000 der deutschen Gesellschaft für Ernährung nur von 20 Prozent der Kinder und Jugendlichen ein wichtiges Thema. Das Interesse an Ernährungsfragen ist aufgrund des vorhandenen Lebensmittelüberflusses nicht besonders stark ausgeprägt. Durch Modetrends und gesellschaftlich geprägte Rollenmuster zeigt das Essverhalten bei Mädchen sogar deutliche Ambivalenzen zwischen Essgenuss und dem Bemühen um eine schlanke Figur.
Bis zum 65 Lebensjahr haben die Menschen in Deutschland pro Person etwa 50 Tonnen Lebensmittel verzehrt, sodass der Körper aus diesen Inhaltsstoffen etwa alle sechs Monate komplett neu geschaffen wird. Die wichtigen Nahrungsbestandteile, wie Fette und niedermolekulare Kohlenhydrate, sind heute kein Mangel mehr und im Überfluss vorhanden.
In der Antike war Zucker unbekannt – es wurde in der Regel mit Honig gesüßt; in Anbauländern des Zuckerrohrs, besonders in Indien, konnte auch mit dessen Saft gesüßt werden. Die Zuckerproduktion im Jahre 1837 betrug in Deutschland etwa 1 000 Tonnen und diese stieg bis 1900 um das Tausendfache auf eine Million Tonnen an. Im Jahr 1960 belief sich der Zuckerverbrauch auf zirka 30 kg/Kopf und liegt gegenwärtig bei zirka 33 kg/Kopf (Abb.2) [6]. Zucker zählt heute zu den wichtigsten Grundnahrungsmitteln der Menschen, und in den industrialisierten Ländern werden durchschnittlich zehn bis 15 Prozent des täglichen Nahrungsbedarfes durch Zucker gedeckt. Mit der Zunahme des Zuckerkonsums trat neben dem deutlichen Kariesanstieg (Abb. 3) [5, 7, 10, 24, 26, 31] das bisher unbekannte Krankheitsbild des Diabetes auf. Während früher Diabetes nur bei der Zucker konsumierenden Aristokratie auftrat, leiden heute etwa vier Millionen Deutsche darunter und die Folgeerkrankungen stehen an dritter Stelle der Todesursachen in Deutschland. Durch die Einführung und Weiterentwicklung von Zuckerersatzstoffen und Zuckeraustauschstoffen, die insbesondere bei der Diabetesernährung eine wesentliche Rolle spielen, aber auch bei vielen Süßigkeiten und Snacks (Verpackungen mit rot-weißen Zahnmännchen versehen) ein breites Verbraucherspektrum gefunden haben, konnten sowohl ernährungsbedingte Gesundheitsprobleme als auch kariöse Zahndefekte deutlich gelindert und teils auch verhindert werden.
Bei der Nahrungsaufnahme ist heute neben der Gesamtmenge auch Häufigkeit und Art der Lebensmittel-Zusammensetzung von großer gesundheitlicher Bedeutung [27, 29]. Der mögliche Einfluss der Häufigkeit der Nahrungsaufnahme auf Stoffwechseleigenschaften und Wohlbefinden der Menschen wurde erstmals von Pavel Fabry Mitte des letzten Jahrhunderts in Prag untersucht. In verschiedenen Studien konnte nachgewiesen, dass das unmittelbare soziale Umfeld zu den wesentlichen beeinflussenden Hauptfaktoren der Nahrungsaufnahme zählt [8]. Dabei werden sowohl die Menge als auch die Nahrungsauswahl zu den jeweiligen Gelegenheiten erheblich beeinflusst. Die Häufigkeit der Nahrungsaufnahme (Hautmahlzeiten und Zwischenmahlzeiten in Form von Snacks gleichermaßen gewertet) beträgt in vielen Ländern durchschnittlich 6 1/2 mal pro Tag. Für die Zahngesundheit sind jedoch nicht nur vermehrte Zuckeraufnahmen problematisch, sondern auch konstante und regelmäßige Zufuhr saurer Nahrungsmittel. Die britische Organisation für Kinderzahnheilkunde berichtete 1993 über die Zunahme von Zahnerosionen bei Kindern und jungen Erwachsenen und stellte fest, dass diese primär durch den Genuss saurer Getränke bedingt seien [2, 3, 9, 25].
Gegenwärtig kann eine starke Zunahme der Geschmacksbevorzugung saurer Getränke und Lebensmittel insbesondere bei Teenagern und jungen Erwachsenen festgestellt werden.
Ähnliche Beobachtungen konnten vom Landwirtschaftsdepartment (USDA, United States Departement of Agriculture) der Vereinigten Staaten, der Kontrollbehörde zur Überwachung der individuellen Nahrungsaufnahme, bestätigt werden, dass eine enorme Zunahme des Softdrink-Verbrauchs bei Kindern und jungen Erwachsenen zu verzeichnen ist [4]. In den letzten zehn Jahren konnte auch in Deutschland eine zunehmende Beliebtheit von Softdrinks festgestellt werden, die heute in vielfältigsten Geschmacksrichtungen und teils grellen Farben als „in“-Getränke im Gruppenzwang konsumiert werden.
Die Getränke enthalten in der Regel zur Geschmacksverstärkung diverse Säuren (Tab. 1), wie Zitronensäure, Ascorbinsäure, Kohlensäure und Phosphorsäure, sowie entsprechende Zuckeranteile mit erosiven pH-Werten deutlich unter dem Neutralbereich [11, 14, 15].
Viele Nahrungsmittel enthalten heute in weniger offensichtlicher Weise säurehaltige Komponenten, die teils als Geschmacksverstärker in Getränken (diverse Fruchtsäuren) oder zu Salaten (Essigsäure, Salatdressing) beigemischt werden, als Antioxidanz (Ascorbinsäure) wirken, als Konservierungsmittel (Benzoesäure) beigefügt oder zu vielen Getränken zur Gasbildung (Kohlensäure) zugesetzt werden. Seit 1950 liegen zahlreiche Fallberichte über Zahnerosionen in Zusammenhang mit dem gehäuften Genuss saurer Nahrungsmittel oder säurehaltiger Getränke vor (Abb. 4, 5, 6) [12, 13, 16, 20, 23]. In einer 2001 veröffentlichen Studie mit 418 Schulkindern mit einem Durchschnittsalter von 14 Jahren konnte nachgewiesen werden, dass ein statistisch signifikanter Zusammenhang zwischen dem Vorliegen von Zahnerosionen und dem gehäuften Konsum von Softdrinks, kohlensäurehaltigen Getränken, alkoholischen Getränken, Vitamin-C-Tabletten und dem Verzehr von frischen Früchten bestand [1].
Zahnschmelzdefekte
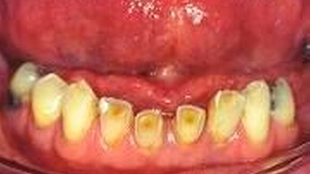
Erosive Veränderungen der Zahnhartsubstanz werden allgemein definiert als „säurebedingte oberflächliche Zahnhartsubstanzauflösungen“, die jedoch ohne die Beteiligung oraler Mikroorganismen auftreten [22, 32]. Diese Zahndefekte, die primär Schmelzverluste und später auch Dentinauflösungen zeigen, können durch eine Vielzahl von exogen zugeführten Faktoren als auch endogen bedingten Besonderheiten ausgelöst werden (Abb. 6, 7, 8, 9) [18, 19, 21, 39]. Zu diesen Nahrungsmitteln zählen insbesondere Zitrusfrüchte oder auch konservierte Gurken sowie Mixedpickles, die durch den Lagerungsprozess den pH-Bereich der Essigsäure von 2,4 – 2,8 aufgenommen haben. Bei Personen mit bevorzugter Rohkosternährung konnten ebenso in Einzelfällen erhebliche erosive Zahnschäden beobachtet werden. Sicherlich treten nicht bei allen Personen mit häufigen Genuss von Limonaden und kohlensäurehaltigen Erfrischungsgetränken Zahnschäden auf, da einerseits die Art der Flüssigkeitsaufnahme (Glas, Strohhalm), die Dauer der Flüssigkeitszufuhr und andererseits die Angewohnheiten nach der Getränkezufuhr entscheidend sind. Kommt es unmittelbar nach der Säurezufuhr zur mechanischen Bearbeitung der Zähne (kräftiges Zähneputzen, starkes Kauen von abrasiven Lebensmitteln oder heftiges Kaugummikauen), so können oberflächlich beschädigte Zahnareale wesentlich rascher abgetragen werden. Zu den endogenen Faktoren zählen heute, aufgrund des aktuellen Schlankheitsbewusstseins, in zunehmendem Maße Essstörungen und häufige Brechattacken bei jungen Mädchen und Frauen [17, 28]. Der häufige Kontakt, insbesondere der Frontzähne, mit Magensäure führt zu charakteristischen erosiven Zahndefekten (Abb. 10, 11, 12).
Fallbeispiele bei speziellen Ernährungsgewohnheiten
Seit mehreren Jahrzehnten sind die gravierenden Zahnhartsusbstanzdefekte des Baby-Bottle-Syndroms bei Kleinkindern dokumentiert und beschrieben worden. Diese spezielle Form der starken Zahnkronenzerstörung war ursprünglich bedingt durch das konstante Nuckeln von zuckerhaltigen Kindertees (Abb. 3). Dabei führte sowohl der Zuckerzusatz als auch die Reduktion des pH-Wertes des Speichels zur raschen erosiven und kariösen Zahnzerstörungen. Durch internationale Aufklärungen und allgemeine Warnhinweise für gesüßte Kindertees konnte diese Form der aggressiven Zahnzerstörung im frühen Milchgebiss deutlich unterbunden und vermindert werden. In den letzten Jahren konnte jedoch wieder eine Zunahme von erosiv-kariösen Zahnkronendefekten bei Kleinkinder beobachtet werden, die aufgrund anamnestischer Daten durch den häufigen Genuss von reinen Fruchtsäften sowie auch mit Mineralwasser verdünnten Saftmischungen ausgelöst waren.
Bei Jugendlichen und jungen Heranwachsenden in Deutschland haben sich die bevorzugten Geschmacksrichtungen für Getränke in den letzten zehn Jahren deutlich gewandelt. Fruchtsäfte in reiner Form werden seltener getrunken und Softdrinks erfreuen sich zunehmender Beliebtheit. Dabei stellen nicht nur zuckerhaltige Limonaden eine erhebliche erosive Noxe für die Zahnhartsubstanz dar, auch diverse „light“ – Getränke können aufgrund des analogen Säureanteiles ebenso stark zahnschädigend wirken.
Die Abbildungen 4 bis 6 belegen das unterschiedliche Ausmaß möglicher Zahnschäden, die durch regelmäßigen und häufigen Genuss von Softdrinks ausgelöst werden können.
Die Defekte können sowohl an Bukkalflächen auftreten, zur Abrundung der Kronenhöcker führen, zur Abtragung des Kaureliefs führen und als weitere Erscheinung nach fortgeschrittener Säureeinwirkung mit Verlust der Zahnhartsubstanz das Hervortreten von Füllungen erkennen lassen.
Eine alarmierende Form der erosiven Zahnhartsubstanzabtragung ist durch den gleichzeitigen Genuss von häufigen säurehaltigen Getränken und dem anschließenden Vorgang des lang dauernden Kaugummikauens gegeben. Die Zähne des jungen Mannes auf Abbildung 7 zeigen massiven ersosiv- bedingten Zahnverlust auf allen Kauflächen des Kiefers. Der 22-jährige sehr modebewusste und sehr schlanke Patient hat nach eigenen Angaben über mindestens fünf bis sechs Jahre mehrfach täglich Softdrinks (unter anderem diverse „light“-Getränke, Apfelsaftschorle) zu sich genommen und anschließend stets lange Kaugummi gekaut.
Ernährungsbedingte Säureschäden müssen diagnostisch und anamnestisch von Zahndefekten abgegrenzt werden, die durch die verschiedenen Formen von Essstörungen mit Brechattacken verursacht werden. Bei diesen Zahndefekten sind meist die Palatinalflächen der oberen Frontzähne einschließlich der Prämolaren betroffen und die Zahnhöcker zeigen oft eine abgerundete Form mit teilweise auch dem Bild des Hervorstehens von vorhandenen Füllungsrändern (Abb 9). Durch vorsichtige Anamnese und entsprechende klinische Diagnostik können die verschiedenen Formen der erosiven Zerstörung der Zahnkronen meist eindeutig den verursachenden Faktoren zugeordnet werden.
Eine Abgrenzung zwischen Erosionen sowie Abrasionen und Attrition ist oft leicht möglich, da Lokalisation der Zahndefekte, Betrachtung der Zahnantagonisten und Alter der Patienten zur diagnostischen Zuordnung führen (Abb. 13, 14).
Zusammenfassung
Der gegenwärtig beobachtete Ernährungswandel der industrialisierten Länder mit vermehrtem Konsum von Fast-Food-Produkten und Softdrinks hat bei vielen Patienten in vermehrtem Maße Zahnhartsubstanzschäden mit teils Schmelz- und Dentinerosionen hervorgerufen. Die frühzeitige Erkennung dieser typischen Zahndefekte ist folglich entscheidend, um erosive Veränderungen zu stoppen und größere irreversible Zahnschäden zu vermeiden. Ebenso ist es wichtig, die möglichen ätiologischen Faktoren zu erkennen, diese Form der Zahndefekte von anderen Ursachenkomplexen abzugrenzen und die Patienten entsprechend frühzeitig zu informieren und zu warnen.
Korrespondenzadresse:Prof. Dr. Brita WillershausenPD Dr. Claus-Peter ErnstDr. Alexander PistoriusDr. Mathias BrandenbuschPoliklinik für ZahnerhaltungskundeKlinik für Zahn-, Mund- und KieferheilkundeJohannes Gutenberg UniversitätAugustusplatz 255131 MainzE-Mail:willersh@mail.uni-mainz.de
\n
Säuregehalt von gebräuchlichen Getränken
\n
Getränke
pH-Bereiche
\n
Kaffee
2,4 – 3,3
\n
Tee (schwarz)
4,2
\n
Biersorten
4,0 – 5,0
\n
Diverse Weine
2,3 – 3,8
\n
Cola-Getränke
2,7
\n
Limonaden
3,5
\n
Orangensäfte
2,0 – 4,0
\n
Grapefruchtsaft
2,9 – 3,4
\n




