Zentrales Riesenzellgranulom unter dem Bild einer dentogenen Infektion
Ein neunjähriger Patient wurde mit einer seit acht Wochen bestehenden schmerzhaften Schwellung in der linken Kieferwinkelregion vorgestellt. Alio loco war zunächst eine Unterkiefer-Osteomyelitis aber auch eine Parodontitis erwogen worden. Ein Therapieversuch mit einem oralen Cephalosporin hatte zwar zu einer gewissen Besserung, nicht aber zu einer vollständigen Rückbildung des Beschwerdebildes geführt.
Zum Zeitpunkt der Vorstellung in unserer Klinik bestand eine mäßige, druckdolente Schwellung über dem linken Kieferwinkel (Abbildung 1), die palpatorisch einen recht derben Kernbezirk in der Masseterregion aufwies. Bei einem gepflegten Zahnstatus konnte keine dentogene Ursachen für das Beschwerdebild gefunden werden, alle Zähne reagierten auf Kältereiz sensibel und waren nicht auf Perkussion schmerzhaft. Die Sensibilität des N. alveolaris inferior war ungestört.
In der Röntgenuntersuchung (Abbildung 2) fiel eine Osteolyse im linken Kieferwinkel caudal der Anlage des Weisheitszahnes auf. Diese Osteolyse war unscharf begrenzt und erstreckte sich bis in die basale Kompakta des Kieferwinkels. Eine Lageveränderung der Zahnkeime im Sinne eines verdrängenden Wachstums war nicht erkennbar. Die Beziehung zum N. alveolaris war anhand des OPG nicht zu erkennen.
Die sonographische Untersuchung (Abbildungen 3 a und b) zeigte die tatsächliche Ausdehnung der Raumforderung, die zum einen deutlich über das Knochenniveau herausragend den M. masseter vorwölbte, zum anderen zu einer tiefen Exkavierung des Unterkiefers im Kieferwinkel geführt hatte. Bei einer offensichtlich expansiv wachsenden Läsion unklarer Ursache bestand daher die Indikation zur chirurgischen Exploration und Biopsie.
In einer Intubationsnarkose wurde der Befund von enoral dargestellt (Abbildung 4). In der Tiefe des Zugangs zeigte sich ein gelbliches Gewebe, das klar abgegrenzt vom M. masseter aus einer größeren Knochenläsion nach masseterico-manibulär vorwuchs. Der weiche granulomatöse Charakter des Gewebes (Abbildung 5) ließ an ein Riesenzellgranulom oder eine Langerhans-Zell-Histiozytose denken, so dass in gleicher Sitzung eine schonende Kürettage als Primärtherapie angeschlossen wurde.
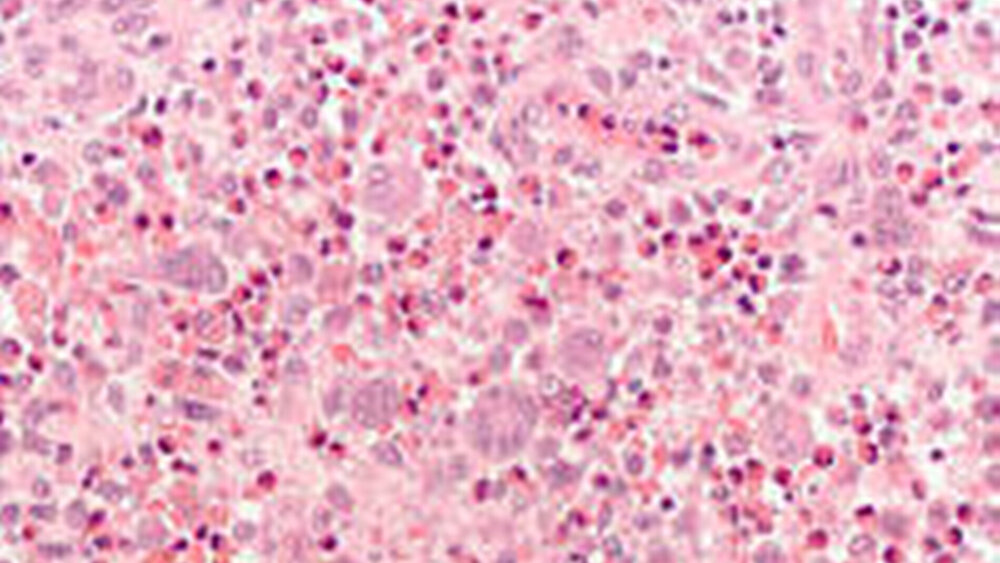
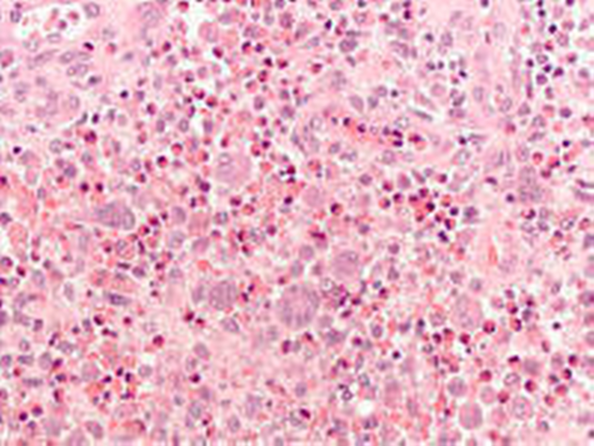
Die histopathologische Aufarbeitung des entnommenen Gewebes zeigte ein zellund gefäßreiches fibrovaskuläres Stroma mit zahlreichen eosinophilen Granulozyten und einzelnen multilokulären Riesenzellen vom osteoklastären Typ (Abbildung 6). Abschließend wurde die Diagnose eines zentralen Riesenzellgranuloms gestellt.
Diskussion
Im Gegensatz zum sehr seltenen echten Riesenzelltumor wird das zentrale Riesenzellgranulom heute überwiegend als eine nicht neoplastische Veränderung des Knochens gewertet [Sciubba et al., 2001], die vor allem im Kindesalter und jungen Erwachsenenalter auftritt. Obwohl eine Unterscheidung nach histomorphologischen Kriterien bislang nur ansatzweise gelingt, lassen sich vom klinischen Verhalten her sehr „aggressive“ und „nicht aggressive“ Verlaufsformen des Riesenzellgranuloms unterscheiden [Kruse-Lösler et al., 2006]. Bei den „nicht aggressiven“ Läsionen handelt es sich typischerweise um asymptomatische, umschriebene Osteolysen, die zumeist anlässlich einer unabhängigen radiologischen Diagnostik als Zufallsbefund erkannt werden. Im Gegensatz dazu manifestieren sich die „aggressiven“ Verlaufsformen durch ein rasches expansives Wachstum mit teilweise umfangreicher Arrosion des kortikalen Knochens und auch Resorptionen benachbarter Zahnwurzeln. Die aggressive Verlaufsform wird klinisch durch Schmerzen und rasch progrediente Schwellungen, gelegentlich auch durch Sensibilitätsstörungen auffällig und erzwingt für die diagnostische Abgrenzung zu echten Neoplasien eine umgehende histologische Sicherung. Eine morphologische histologische Differenzierung zum „braunen Tumor“ bei Hyperparathyreoidismus ist nicht sicher möglich. Daher muss diese systemische Erkrankung grundsätzlich durch die laborchemische Bestimmung von Phosphat, Calcium und PTH ausgeschlossen werden [Thorwarth et al., 2004].
In der frühen Phase der Erkrankung kann die lokalisierte schmerzhafte Schwellung als odontogene Infektion fehlgedeutet werden, insbesondere, wenn im Gegensatz zum vorliegenden Fall potentielle odontogene Infektionsursachen ausgemacht werden können.
Therapeutisch stellt die schonende Kürettage die Therapie der ersten Wahl dar, obwohl insgesamt von einer hohen Rezidivrate von 11 Prozent bis 50 Prozent ausgegangen werden muss [Bataineh et al., 2002]. Wegen dieser hohen Rezidivrate ist in den ersten Jahren eine sechsmonatige Röntgenkontrolle zur etwaigen Früherkennung ratsam. Bei mehrmaligem Rezidiv, aggressivem Wachstum, sehr großen Läsionen oder multipel an mehreren Lokalisationen auftretenden Befunden wird seit einigen Jahren die systemische Gabe von Calcitonin vorgeschlagen [Harris, 1993]. Die Ergebnisse einer aktuellen randomisierten Therapiestudie lassen aber bislang keine entscheidenden Unterschiede zur Placebo-Kontrollgruppe erkennen [de Lange et al., 2006]
Für die Praxis zeigt der vorliegende Fall, ähnlich wie die in Ausgabe 16 dieses Jahres beschriebene Langerhans-Zell-Histiozytose, dass sich hinter dem klinischen Bild einer scheinbaren (dentogenen) infektiösen Schwellung mitunter seltene Krankheitsbilder verbergen können. Immer dann, wenn keine eindeutigen dentogenen Infektionsursachen erkennbar werden oder aber die Rückbildung der Symptomatik nach Therapie nicht in einem angemessenen Zeitraum erreicht ist, müssen weitergehende diagnostische Überlegungen angestellt werden.
Dr. Felix KochProf. Dr. Dr. Martin KunkelKlinik für Mund-, Kiefer- und GesichtschirurgieKlinikum der Johannes Gutenberg-UniversitätAugustusplatz 255131 Mainzkunkel@mkg.klinik.uni-mainz.de




