Direkte Bisshöhenrekonstruktion mit Komposit und Schiene als Formhilfe
Unphysiologischer Zahnhartsubstanzverlust ist ein zunehmendes Problem, auch bei jüngeren Patienten [Dahl et al., 1993; Kelleher & Bishop, 1999]. Dieser kann auf mechanische (Abrasion, Attrition), chemische (Erosion) oder traumatische Ursachen zurückgeführt werden, kann aber auch durch Kombination dieser Faktoren entstanden sein (für eine Literaturübersicht siehe [Watson & Burke, 2000]. Ein exzessiver Verlust an vertikaler Bisshöhe ist rekonstruktiv immer noch eine schwierige Aufgabe. Es ist klar, dass flankierende präventive Maßnahmen [Shaw & Smith, 1999] Eckpfeiler jeder Therapie sind, um eine weitere Progression zu verhindern und eine bessere Überlebensrate der Rekonstruktionen zu gewährleisten. Letztere erfolgen traditionellerweise invasiv mittels kompletter Überkronung der betroffenen Zähne [Clark & Schuhmacher, 1986]. Dank Fortschritten der adhäsiven Zahnmedizin ist es möglich, Zahnsubstanz schonende Behandlungsmethoden einzusetzen, zum Beispiel okklusale vollkeramische Overlays im Seitenzahnbereich und Veneers in der Front [Hastings, 1996]. Wie erwähnt, ist es Primat jeder Behandlungsplanung, vor allem bei Patienten mit erosiv bedingtem Verlust dentaler Hartsubstanz, dass die Therapie nicht erfolgen soll, bevor die Erosionsursache abgeklärt und behandelt wurde. Erst nach Stabilisierung der Situation kann an komplexe restaurative Vorgehensweisen zur Wiederherstellung der vertikalen Dimension und Okklusionsgestaltung gedacht werden [Little, 2002]. Bislang findet man in der Literatur fast ausschließlich Berichte über Rekonstruktionen mit indirekt hergestellten Werkstücken aus Keramik oder Kunststoff, wie Kronen oder Overlays. Die direkte Verwendung von Kompositmaterialien scheint indessen noch wenig verbreitet. Dies vor allem wegen befürchteten hohen Verschleißraten und geklärter Langzeitprognose. Hinzu kommt, dass die Verarbeitung von Füllungskomposits ausgesprochen anspruchsvoll, technik-sensitiv und zeitaufwändig ist. In-vivo-Studien, welche direkte Kompositrestaurationen im okklusionsbelasteten Seitenzahnbereich auf Verschleiß und Langzeiterfolg untersuchten, liefern aufgrund der unüberschaubaren Zahl verwendeter Füllungsmaterialien nur grob formulierte Ergebnisse und Empfehlungen [Lutz & Krejci, 1999; Manhart & Hickel, 2001; Brunthaler et al., 2003]. Für Patienten, bei welchen nicht mit einer Übernahme der Sanierungskosten durch die Krankenversicherer gerechnet werden kann, stellt eine prothetische Wiederherstellung der ursprünglichen Situation eine finanziell stark belastende Investition dar. Hier ist eine günstigere Alternative wünschenswert.
Ziel der vorliegenden Fallvorstellung ist es, eine Alternative zur konventionellen Therapie mit Werkstücken bei kombiniert erosiv / abrasiv bedingtem Verlust an vertikaler Dimension vorzustellen. Gezeigt wird der Aufbau verlorengegangener Zahnhartsubstanz mit direkten adhäsiven okklusalen Kompositrestaurationen. Um ein möglichst effizientes und kontrolliertes Vorgehen zu gewährleisten, wird dabei eine Miniplastschiene basierend auf einem Wax-up als Formhilfe verwendet [Tepper & Schmidlin, 2004].
Behandlungsprinzip
Nach Befundaufnahme werden Alginatabformungen von Unter- und Oberkiefer angefertigt. Metallische und insuffiziente Kompositfüllungen werden ausgetauscht. Im zahntechnischen Labor wird die gewünschte vertikale Dimension im Artikulator eingestellt und ein Wax-up der Seitenzahnbereiche hergestellt. Je nach Fall kann es empfehlenswert sein, vor dem klinischen Aufbau der Okklusion eine Stabilisierungsschiene anzufertigen, um den Patienten an die neue Situation zu gewöhnen und einer Kiefergelenksymptomatik vorzubeugen [Miller, 1992; Gavish et al., 2002]. Probleme tauchen vor allem bei Patienten auf die bereits Kiefergelenkprobleme hatten oder hypervigilant sind, das heißt auf okklusale Störungen mit einer Verstärkung der Parafunktion reagieren, weil sie eine veränderte Art der Wahrnehmung besitzen [Palla, 1998].
Beim Wax-up für die Herstellung der Tiefziehschiene (Formhilfe) werden jeweils die Front- und die distalsten Seitenzähne (oder Höcker) jedes Quadranten nicht aufgebaut. Dies dient später zur Dreipunktabstützung der Schiene im Mund. Die Anfertigung der Miniplastschiene erfolgt nach Duplikation des Wax-ups auf dem Gipsmodell. Unter Lokalanästhesie werden die Zähne des ganzen Zahnbogens unter Kofferdam gelegt (Abbildung 1a), mit fluoridfreier Polierpaste (Hawe, Cleanic) gereinigt und mit zurechtgeschnittenen Hartstahlmatrizen separiert. Am Patienten erfolgt als erstes die Einpassung der Tiefziehschiene und das Prüfen der Stabilität (Abbildung 1b). Die Schiene sollte in Endposition die verlorene Zahnhartsubstanz als Hohlraum im okklusalen Bereich zwischen Schienenkunststoff und Restzahnsubstanz frei lassen (Abbildung 1c). Allfällig noch vorhandene Teile von Kompositfüllungen (klinisch und radiologisch suffizient), werden mit einem Sandstrahlgerät (Microetcher II, Danville Engineering Inc. San Roman, USA) angeraut und nach dem Ätzen für 60 Sekunden silanisiert (Monobond S, Ivoclar). Der Zahnschmelz wird für 60 bis 120 Sekunden mit 37-prozentiger Phosphorsäure (Ultraetch, Ultradent Products Inc., South Jordan, USA) geätzt. Freiliegende Dentinareale werden mit einem funktionellen Adhäsiv konditioniert (Syntac Classic, Ivoclar Vivadent, Schaan, Liechtenstein). Dabei wird nicht jeder Zahn in der Zahnreihe konditioniert, sondern konsekutiv nur jeder zweite. Die Miniplastschiene wird mit einem wasserlöslichen Gel isoliert (Insulating Gel, Haeraeus Kulzer, Hanau, Deutschland), an den entsprechenden Stellen mit Fein-Hybridkomposit (Tetric Ceram, Ivoclar Vivadent, Schaan, Liechtenstein) gefüllt und mit gleichmäßigem Druck positioniert. Die Photopolymerisation (Optilux 500, Demetron Inc., Danburry, USA) durch die Schiene erfolgt nur während drei bis vier Sekunden. Dadurch wird ein oberflächliches „Einfrieren“ des Kompositmaterials erreicht, worauf die Schiene vorsichtig entfernt werden kann. Vorhandene Überschüsse können leicht entfernt werden. Darauf erfolgt die vollständige Polymerisation für weitere 60 Sekunden durch Bestrahlung von okklusal (Abbildung 1d). Nach der anschließenden Grobausarbeitung der ersten aufgebauten Zähne werden in einem zweiten Schritt die übrigen Zähne wie oben beschrieben konditioniert und versorgt (Abbildungen 1e und f). Die Bereiche, die im Wax-up und der Schiene nicht berücksichtigt wurden, werden am Schluss direkt aufgebaut und sind leicht einzuschleifen.
Falls sowohl für den Ober- als auch für den Unterkiefer eine Erhöhung der vertikalen Dimension geplant wurde, werden zuerst die Seitenzahnbereiche des einen Kiefers aufgebaut und im Gegenkiefer eine bestehende Schiene oder bestehende Füllungen eingeschliffen. Dann erst wird der Gegenkiefer versorgt, um die definitive Okklusion zu etablieren.
Die Front wird in einer weiteren Sitzung direkt aufgebaut
Das vorgestellte Behandlungskonzept stellt im Vergleich zu herkömmlichen indirekten Verfahren eine kostengünstigere, jedoch aufwändigere restaurative Maßnahme dar und soll im Folgenden kurz anhand zweier Fallbeispiele erläutert werden.
Fallbeispiel 1
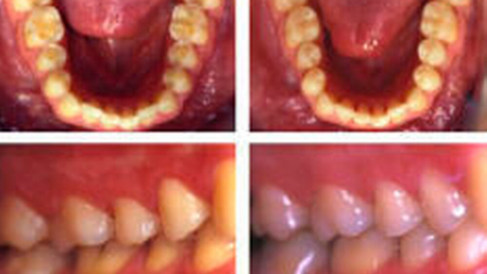
Der Patient war zum Zeitpunkt der Befundaufnahme 34 Jahre alt, allgemeinmedizinisch gesund und Nichtraucher. Dental wurden generalisierte okklusale Erosionen im Ober- und Unterkiefer diagnostiziert, welche stark überempfindlich waren. Anamnestisch konnten als Ursachen ein Reflux während der Pubertät und Bruxismus während der letzten Jahre ermittelt werden (Abbildungen 2a bis e). Die oberen Frontzähne waren mit 19 Jahren überkront worden, da der große palatinale Substanzverlust dem Patienten bereits damals Schmerzen bereitet hatte. Die Stellung dieser Kronen war leider protrudiert und die Länge ungenügend. Aus Kostengründen wurde jedoch auf eine Neuanfertigung verzichtet. Die Seitenzahnbereiche des Oberkiefers wurden in einer ersten Sitzung in der beschriebenen Art und Weise aufgebaut. Der zweite Schritt bestand darin, die Seitenzahnbereiche des Unterkiefers gleichermaßen aufzubauen und eine definitive Okklusion zu etablieren. Der wurzelbehandelte Zahn 46 wurde mit einer Endo-Cerec- Krone versorgt [Bindl & Mörmann, 1999]. Anschließend wurden die Unterkieferfrontzähne direkt mit Komposit verlängert (Abbildungen 3a bis e). Der offene Biss konnte geschlossen und eine Neuanfertigung der oberen Frontkronen vermieden werden. Abschließend wurde eine Michigan- Schiene hergestellt und der Patient über deren Gebrauch instruiert.
Fallbeispiel 2
Zum Zeitpunkt der Befundaufnahme war der Patient 27 Jahre alt. Sein Allgemeinzustand war gut. Diagnostisch wurden generalisierte okklusale Erosionen, vor allem im Unterkiefer, festgestellt. (Abbildung 4). Anamnestisch konnte mit einer fünftägigen Diätanamnese ein hoher Red-Bull-Konsum ermittelt werden, welcher aber nicht direkt als Ursache angeprangert werden darf, da an den Oberkiefer-Frontzähnen bukkal keine Erosionen vorlagen. Es wurden keine weiteren pathologischen Befunde erhoben, sodass von einem früher eingetretenen idiopathischen Zahnhartsubstanzverlust ausgegangen werden musste. Der Patient hatte einen Tiefbiss. An den Frontzähnen wurden deshalb Schlifffacetten und palatinale Einbissrillen festgestellt. Zunächst wurden die Seitenzahnsegmente des Unterkiefers mithilfe einer Miniplastschiene in der oben beschriebenen Art und Weise in zwei Sitzungen aufgebaut. Die distalen Molaren des 3. und 4. Quadranten wurden ohne Hilfsmittel direkt modelliert. Bei den Oberkieferseitenzähnen wurden nur die Erosionen aufgefüllt, ohne den Biss weiter zu heben. Als letzter Schritt erfolgte in einer weiteren Sitzung der direkte Aufbau der Oberkieferfrontzähne (Abbildung 4).
Diskussion
Der Einsatz von Kompositmaterialien für Füllungen im Seitenzahnbereich wird in der Literatur immer noch kontrovers diskutiert, scheint sich aber in der Klinik weitgehend durchgesetzt und bewährt zu haben. Untersuchungen direkter zahnfarbener Füllungen im Seitenzahnbereich zeigen gute Resultate: So ergab eine Literaturübersicht über in vivo durchgeführte Langzeitstudien direkter Seitenzahnfüllungen der letzten zehn Jahre eine jährliche Verlustrate von null bis neun Prozent für direkte Komposits, null bis sieben Prozent für Amalgam und null bis 7,5 Prozent für keramische Werkstücke [Hickel, 2001]. Eine Zehnjahresuntersuchung von 194 Klasse-I- und -II-Hybridkomposit-Füllungen nach USPHS-Kriterien bestätigte durch eine niedrige Sekundärkaries und Verschleißrate die klinisch sichere Verwendbarkeit von direkten Kompositrestaurationen im Seitenzahnbereich [Gängler, 2001].
Dennoch sind gerade bei ausgedehnten Rekonstruktionen mit Komposit Zweifel vorhanden. Besonders bei Erosionspatienten scheint ein vermuteter akzentuierter Verschleiß den Einsatz dieses Materials zu limitieren. Dieser kann, wie klinisch in Mikrodefektanalysen nachgewiesen wurde [Wu & Cobb, 1981], nicht nur in okklusionsbelasteten Arealen, sondern auch in stressfreien Gebieten gezeigt werden. Ursache ist die natürliche Biodegradation, eine Kombination aus Abrasion, Attrition, chemischer Degradation und Materialermüdung [Soderholm & Richards, 1998]. Sie kann auf Erweichung und einen möglichen Verlust von Teilen der Polymermatrix zurückgeführt werden [Mckinney & Wu, 1982]. Zusätzlich kann aber auch der silanisierte anorganische Fülleranteil negativ beeinflusst werden [Roulet & Walti, 1984]. Allein schon durch Wasseraufnahme und anschließende Quellung kommt es in vitro zu Hydrolysephänomenen, was zur Auflösung verschiedener Komponenten des Verbundwerkstoffs führt und sich negativ auf die physikalischen Eigenschaften auswirkt [Soderholm & Reetz, 1996; Cattani-Lorente et al., 1999]. Allerdings ist nicht klar, ob sich der In-vitro-Effekt der Lagerung in destilliertem Wasser in vivo in gleichem Maße auswirkt [Nicholson et al., 1992]. Fest steht, dass mechanischer Einfluss und gleichzeitige Säureeinwirkung den Verschleiß von Füllungsmaterialien in unterschiedlichem Maße beeinflussen können. In einer in vitro Studie wurden verschiedene Restaurationsmaterialien und menschlicher Schmelz in einem pH-cycling-Modell untersucht. Das Kompositmaterial zeigte die geringsten Veränderungen. Zahnschmelz hingegen erfuhr die größte chemische Degradation unter Säureeinfluss [Shebanian & Richards, 2002]. Diese Problematik ist vor allem dann von großem klinischem Interesse, wenn die Ursache von Erosionen nicht beseitigt werden kann oder wurde (persistierendes Erbrechen, Säurekonsum und mehr). In solchen Fällen muss mit einer größeren Verschleißrate gerechnet werden, und es ist fragwürdig, ob überhaupt eine definitive Versorgung angestrebt werden sollte.
Auch andere Substanzen können die Degradation von Füllungsmaterialien beeinflussen. Auf alkoholhaltige Spüllösungen sollte verzichtet werden, da auch diese einen negativen Einfluss auf die verwendeten Materialien haben können [Yap et al., 2003].
Die Langzeitprognose direkter Kompositrestaurationen hängt nicht nur vom verwendeten Material ab, sondern auch wesentlich von der klinischen Planung und der Verarbeitung durch den Zahnarzt, sowie von den Lebensgewohnheiten und der individuellen Mundhygiene des Patienten [Manhart, 2002]. Die vorgestellte Methode ist wie fast alle klinischen Techniken in der Zahnmedizin lediglich ein Weg von vielen. Den Autoren sind keine klinischen Studien bekannt, welche bei dieser Indikation kontrolliert Daten verschiedener Materialien und Techniken erhoben haben. Dennoch scheint das günstige Kosten-Nutzen-Verhältnis die Erwägung dieser Methode auch (oder gerade) in der Privatpraxis zu rechtfertigen.
Zusammenfassung
Ein großer Verlust an vertikaler Dimension durch mechanische, chemische oder traumatische Einflüsse oder durch eine Kombination dieser Faktoren, stellt rekonstruktiv eine schwierige Situation dar. Üblicherweise gestaltet sich die Rekonstruktion mit kompletter Überkronung der betroffenen Zähne oder einer Versorgung mit vollkeramischen Werkstücken invasiv und nicht Zahnhartsubstanz schonend. In der Schweiz kann meist nicht mit einer Übernahme der Sanierungskosten durch die Krankenversicherer gerechnet werden, in diesen Fällen ist eine günstigere Alternative zur kostenintensiven Sanierung mittels Kronen oder Werkstücken wünschenswert.
PD Dr. Patrick R. SchmidlinKlinik für Präventivzahnmedizin, Parodontologieund KariologieZentrum für Zahn-, Mund- undKieferheilkunde der Universität ZürichPlattenstraße 11CH-8032 Zürichpatrick.schmidlin@zzmk.unizh.ch
Dr. Tilla FilliTalweg 136CH-8610 Ustertilla.filli@bluewin.ch




