Orale Manifestation eines Morbus Crohn
Eine zwölfjährige Patientin stellte sich mit Mutter in der Poliklinik aufgrund seit zwei Tagen bestehender, schmerzhafter Schleimhautläsionen am Gaumen vor. Der Allgemeinzustand der kleinen Patientin war leicht reduziert (Abgeschlagenheit, Appetitlosigkeit), der Ernährungszustand altersgerecht. Klinisch zeigte sich am harten Gaumen rechts eine im Durchmesser etwa zehn Millimeter (mm) große, ovale Läsion mit stark gerötetem Randwall und zentraler Ulzeration. Im Bereich des weichen Gaumens imponierten multiple stark entzündete aphthoide Läsionen (Abbildung 1). Die Gingiva, das Parodont und die restlichen Schleimhautareale wiesen keine Anzeichen pathologischer Befunde auf. Eine dentogene Ursache der palatinalen Schleimhautläsionen konnte klinisch und radiologisch ausgeschlossen werden.
Die gezielte allgemeine Anamnese offenbarte einen Morbus Crohn, ohne dass aktuell ein neuerlicher Schub der chronisch entzündlichen Darmerkrankung bekannt war. Der telefonisch kontaktierte Kinderarzt berichtete, dass bei Erstdiagnose mit neun Jahren der schwere, diskontinuierliche Befall – Magen, Ileum, Colon und Rektum betreffend – auffällig gewesen war. Seit mehr als einem Jahr befand sich das Mädchen in einer Remissionsphase mit vollständigem Fehlen von gastrointestinalen Symptomen. Eine Dauermedikation zur Behandlung der chronisch-entzündlichen Darmerkrankung wurde zurzeit nicht eingenommen.
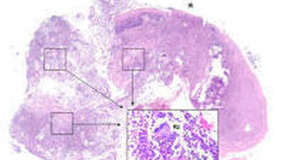
Die im Anschluss durchgeführte Probeexzision vom Ulkusgrund einschließlich Randsaum stellte sich bei der feingeweblichen Untersuchung als eine schwergradige, akut ulzeröse Stomatitis mit mehreren geordneten Riesenzellen ohne die vollständige Ausbildung von Epitheloidzellgranulomen dar (Abbildung 2).
Die Synopsis der klinischen Merkmale, des pathologisch-anatomischen Gutachtens und der Krankengeschichte ergab eine orale Manifestation des bekannten Morbus Crohn. Eine umgehend eingeleitete systemische Stoßtherapie mit Cortison für drei Tage und lokal schmerzlindernde Spülungen mit Bepanthen- und Subcutin-Lösungen im Wechsel führten innerhalb kurzer Zeit zur vollständigen Remission.
Diskussion
Die Anamnese lieferte im oben besprochenen Kasus den entscheidenden Hinweis auf eine orale Manifestation eines Morbus Crohn und resultierte in einer Probebiopsie mit histopathologischer Befundsicherung. Morbus Crohn bezeichnet hierbei eine chronisch-entzündliche transmurale Erkrankung des Gastrointestinaltraktes, die zusammen mit der Colitis ulcerosa den größten Teil der entzündlichen Darmerkrankungen stellt. Im Gegensatz zur Colitis ulcerosa zeigt der M. Crohn eine leichte Bevorzugung des weiblichen Geschlechts. Das Hauptmanifestationsalter liegt in der zweiten und dritten Lebensdekade. Das Auftreten im Kindesalter, wie im vorliegenden Fall, ist selten. Prinzipiell kann die Erkrankung im gesamten Gastrointestinaltrakt vom Mund bis zum Anus auftreten. Die bevorzugten Lokalisationen sind jedoch der Dünndarm in Verbindung mit dem Kolon (etwa 50 Prozent, Ileocolitis), der Dünndarm alleine (etwa 30 Prozent) und das Kolon alleine (20 Prozent) [Hanauer and Present, 2003].
Im Mund kann sich der Morbus Crohn als orofaziale Granulomatose (OFG), wie im oben beschriebenen Fall, mit enoralen Ulzerationen manifestieren. Schwellung der Lippen und der unteren Gesichtshälfte mit Lymphadenitis sowie hyperplastischer Gingivitis fehlten im vorliegenden Kasus, können aber als weitere Symptome auftreten [Wiesenfeld et al., 1985; Sciubba and Said-Al-Naief, 2003]. Ein Pflastersteinrelief der Mundschleimhaut, eine Lingua plicata und Geschmacksstörungen lagen bei der vorgestellten Patientin nicht vor, zählen aber ebenfalls zum Symptomenkomplex einer orofazialen Granulomatose und können auf einen Morbus Crohn hinweisen (Tabelle) [Rogers, 1996; Sciubba and Said-Al-Naief, 2003]. Histologisch werden orofaziale Granulomatosen durch ein Lymphödem der oberen Hautschichten, nicht verkäsende Granulome mit Riesenzellen oder eine perilymphatische lymphozelluläre Infiltration charakterisiert [Alawi, 2005], welche sich auch bei oben beschriebener Patientin nachweisen ließen.
Eine orale Beteiligung des M. Crohn tritt bei etwa sechs bis zehn Prozent der Patienten mit den oben genannten Symptomen auf [Williams et al., 1991]. Häufig geht der granulomatöse Befall der Mundschleimhaut einer intestinalen Manifestation voraus [Bogenrieder et al., 2003]. Hier kann der Zahnarzt bei einer rechtzeitigen Diagnose dem Patienten schwerwiegende Komplikationen ersparen, indem er ihn in einer entsprechenden Fachabteilung für Gastroenterologie vorstellt.
Dr. Birgit HuthöferDr. Dr. Oliver DriemelProf. Dr. Dr. Torsten E. ReichertKlinik und Poliklinik Für Mund-, Kiefer- und Gesichtschirurgie Franz-Josef-Strauss-Allee 11 93053 Regensburg
Das histologische Bild wurde uns freundlicherweise von Dr. Petra Rümmele, Institut für Pathologie der Uni Regensburg, zur Verfügung gestellt.
\n
Manifestationsformen von orofazialer Granulomatose (OFG)
\n
■ chronische Schwellung der Lippen und der unteren Gesichtshälfte
\n
■ enorale Ulzerationen und aphthoide Läsionen
\n
■ hyperplastische Gingivitis
\n
■ Pflastersteinrelief der Mukosa
\n
■ Lingua plicata
\n
■ Geschmacksstörungen
\n




