Glanduläre odontogene Zyste des Unterkiefers
Die daraufhin durchgeführte Röntgendiagnostik (Halb-Seiten-Orthopantomogramm) zeigt eine suspekte Knochenläsion im linken aufsteigenden Unterkieferast (Abbildung 2).
Schmerzen waren nicht vorhanden. Parästhesien im Ausbreitungsgebiet des N. alveolaris inferior bestanden nicht. Im angefertigten Denta-CT war die linguale Knochenlamelle beginnend in regio 36/37 bis zur Incisura semilunaris aufgelöst. Der N. alveolaris inferior lag auf der noch vorhandenen basalen Kortikalis des Unterkiefers. Die vestibuläre Knochenlamelle stellte sich regelrecht dar.
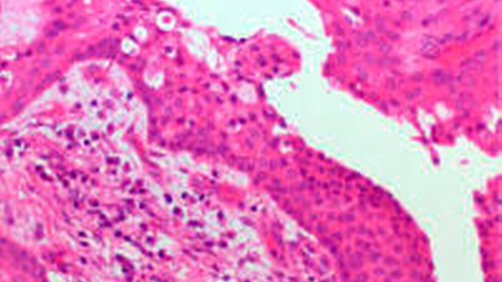
Die Entnahme einer Gewebeprobe ergab nach pathohistologischer Untersuchung eine glanduläre odontogene Zyste (GOC). Die Gewebeschnitte zeigen nicht keratinisiertes squamöses Epithel unterschiedlicher Dicke. Die superfizielle Zellschicht besteht aus kubischen bis prismatischen Zellen. Das lumenständige Epithel enthält häufig invaginiertes Epithel und Microzysten.
In den Mikrocysten ist ein PAS-positives, diastase-resistentes und Alcian-Blau positives muzinöses Sekret. Umgeben wird das Zystenlumen von einer fibrösen Kapsel.
Die Therapie bestand in einer nerverhaltenden Zystektomie mit nachfolgender sekundärer autologer Knochentransplantation aus dem rechten Becken. Der Patient wurde über die Rezidivneigung aufgeklärt. Eine engmaschige ambulante Nachkontrolle wurde anempfohlen.
Diskussion
Padayechee und Wagen Wyk beschrieben 1987 erstmalig eine Kieferzyste, die nicht in die Standardklassifizierung von odontogenen Zysten und Tumoren passte [16]. Aufgrund der prägnanten histopathologischen Merkmale schlugen sie die Bezeichnung sialo-odontogene Zyste vor, um eine mögliche Assoziation mit dem Speicheldrüsengewebe zu deutlich zu machen. Im Jahre 1988 berichteten Gardner et al. von weiteren Zysten dieser Art und verwendeten den Namen glanduläre odontogene Zyste, um das Vorhandensein von muzinösen Zellen im Zystenepithel zu kennzeichnen [4]. Im Jahre 1992 erfolgte durch die WHO die Zuordnung der Zysten zu einer neuen pathologischen Entität. Sie wurden als entwicklungsbedingte odontogenetische Zysten klassifiziert, obwohl unterschiedliche Auffassungen bezüglich Terminologie und Ursprung existieren [1,3].
Die GOC zählt zu den seltenen Zysten des Kiefers [2,8]. In der Weltliteratur wurden bisher 51 Fälle beschrieben. Diese Zystenart wächst sehr langsam, lokale Destruktionen können vorhanden sein [5,15]. Ihre Ätiologie ist bisher nicht eindeutig geklärt. Die GOC, die auch unter der Bezeichnung sialoodontogene Zyste weiterhin bekannt ist, zeigt große Ähnlichkeit mit der lateralen parodontalen Zyste [6,7]. Viele Autoren betrachten die GOC als Variante dieser Zyste, unter anderem, weil beide Zysten die gleiche anatomische Lage aufweisen [9]. Jedoch ist bei der GOC in 62 Prozent der beschriebenen Fälle eine radiologisch multilokuläre Zystenformation erkennbar [13,14,21]. Bevorzugte Lage der Zyste ist der anteriore Unterkiefer. In 75 Prozent liegt eine schmerzlose intraorale Schwellung vor. In lediglich 34 Prozent ist das Vorhandensein der Zysten mit Schmerzen verbunden. Das männliche Geschlecht ist
ebenso häufig betroffen wie das weibliche. Die GOC kann bei Adoleszenten wie auch im fortgeschrittenen Senium nachgewiesen werden, dabei zeigt das fünfte Dezenium die höchste Inzidenz.
Histologisch ist die GOC dadurch charakterisiert, dass sie in weiten Bereichen von einem stratifizierten squamösen Epithel bedeckt wird. Innerhalb des Epithels können schleimproduzierende Zellen auftreten, die von mit Schleim gefüllten Krypten unterbrochen sind. Einige Zellen können auch Zilien besitzen [20]. Gelegentlich treten kleine Mikrozysten auch innerhalb des Epithels auf, wobei Kalzifikationen nachweisbar sind [19]. Bei der dargestellten Zystenentität sollte berücksichtigt werden, dass sie am Anfang häufig eine parodontale multilokuläre Radioluzenz aufweist [22]. Die Diagnose ist ausschließlich mikroskopisch möglich.
Differentialdiagnostisch ist die glanduläre odontogene Zyste oft nur schwer von der botryoiden odontogenen Zyste oder dem Mukoepidermoidkarzinom zu unterscheiden [16]. Bei der Differenzierung spielt der immunhistochemische Nachweis verschiedener Cytokeratine eine ständig wachsende Rolle [9,11,12,17,18].
Die Behandlung sollte operativ durch Kürettage, Enukleation oder Resektion der betroffenen Kieferabschnitte erfolgen. Dabei ist auf eine sorgfältige Präparation der Zystenwand zu achten, um ein Rezidiv zu vermeiden. Lage und Ausdehnung der Zyste und das Vorhandensein von Zähnen im entsprechenden Kieferabschnitt spielen bei der Therapieauswahl eine entscheidende Rolle. Da im vorliegenden Patientenfall im entsprechenden Kieferareal keine dentalen Strukturen vorhanden waren, erfolgte eine ausgedehnte Enukleation der Zyste bis in die angrenzenden Knochenstrukturen unter Schonung des N. alveolaris inferior. Da in der Literatur eine Rezidivneigung von 29,8 Prozent nach Kürettage und Enukleation beschrieben ist, sollte eine Nachuntersuchung der betroffenen Patienten in regelmäßigen Abständen erfolgen [10].
Dr. med. Dr. med. dent. Lars BonitzDr. med. Dr. med. dent. Stephan WeiheDr. med. Dr. med. dent. Eric-Peter FranzProf. Dr. med. Dr. med. dent. Stefan HaßfeldKlinikum Dortmund gGmbHKlinik für Mund-, Kiefer und Gesichtschirurgie-Plastische Operationen-Lehrstuhl für Mund-, Kiefer undGesichtschirurgieder Universität Witten/HerdeckeMünsterstraße 240, 44145 Dortmund
Prof. Dr. med. Johann LorenzenPathologisches Institutder Klinikum Dortmund gGmbHInstitut für PathologieBeurhausstraße 40, 44123 Dortmund




