Weißere Zähne - eine Bewertung von Weißmacher-Zahnpasten
Das kontinuierlich steigende Gesundheits-, Hygiene- und Schönheitsbewusstsein hat in der jüngeren Vergangenheit dazu geführt, dass die Zähne zunehmend in den Fokus des Interesses vieler Patienten geraten sind. Gesunde, schöne Zähne tragen zu einem gesteigerten Attraktivitätsempfinden bei, und ein „Hollywood-Lächeln“ wünschen sich viele [Öko-Test, 2006; Zantner et al., 2002]. Eine tatsächliche Bleichbehandlung ist nicht in allen Fällen unbedingt notwendig und stellt zudem eine für den Patienten mehr oder weniger kostenintensive Form der Zahnaufhellung dar; hinzukommt, dass viele Patienten bei einer Bleichbehandlung befürchten, ihre Zähne könnten Schaden nehmen. Aus diesen Gründen erfreuen sich so genannte Weißmacherpasten steigender Beliebtheit; in den vergangenen Jahren konnte diese Produktgruppe mit teilweise zweistelligen prozentualen jährlichen Zuwachsraten auf sich aufmerksam machen.
Wie viele Trends kam auch dieser aus den USA; sogar europäische Produkte werben heute mit amerikanischen Namen wie „Beverly Hills Formula“ (Purity Laboratories, Dublin, Irland; Abbildung 1). Die Industrie hat den oben beschriebenen Bedarf der Patienten erkannt und nährt den Traum von blendend weißen Zähnen mit einer Flut von Weißmacher-Zahnpasten, so dass diese inzwischen so zahlreich in den Regalen von Drogerien, Supermärkten und Apotheken vertreten sind wie Zahnpasten gegen Parodontitis, empfindliche Zähne oder Zahnpasten für Kinder. Auch die beiden großen Verbrauchermagazine Stiftung Warentest [Stiftung-Warentest, 1997; Stiftung-Warentest, 2001] und Öko-Test [Öko-Test, 1999] beschäftigen sich regelmäßig mit Weißmacher-Zahnpasten. Ein aktueller Test hat 22 Weißmacher-Zahnpasten untersucht und lediglich drei für uneingeschränkt „empfehlenswert“ befunden [Öko-Test, 2006]. Zehn Zahnpasten schnitten dabei mit einem „mangelhaft“ ab und vier mit „ungenügend“. Zurückzuführen ist dieses erstaunlich schlechte Abschneiden vieler Pasten vor allem auf gesundheitsbedenkliche Zusätze wie die Waschsubstanzen Natriumlaurylsulfat und Lineares Alkylbenzolsulfonat. Viele Aspekte, die aus zahnmedizinischer Sicht für die erfolgreiche Anwendung von Weißmacher-Zahnpasten entscheidend sind, bleiben bei solchen Beurteilungen häufig unberücksichtigt. Aus wissenschaftlicher Sicht wird diesem Thema vergleichsweise wenig Aufmerksamkeit geschenkt. So wurden Fragen zur tatsächlich aufhellenden Wirkung sowie zu kariesprotektiven Effekten oder zur Fluoridfreisetzung bisher kaum bearbeitet. Demzufolge soll dieser Beitrag klären, wie Weißmacher-Zahnpasten einzuordnen sind, für welche Patienten bestimmte Anwendungseinschränkungen gelten und ob Weißmacher-Zahnpasten tatsächlich zu weißeren Zähnen führen als normale Zahnpasten.
Einordnung von Weißmacher-Zahnpasten
Weißmacher-Zahnpasten zählen im Gegensatz zu Präparaten für die Bleichtherapie definitionsgemäß zu den Kosmetika. Die Europäische Kosmetika-Richtlinie [76/768 EWG Kosmetika-Richtlinie] versteht unter kosmetischen Mitteln Stoffe und Zubereitungen, die dazu bestimmt sind, äußerlich mit verschiedenen Teilen des Körpers, den Zähnen und den Schleimhäuten in Berührung zu kommen, zu dem ausschließlichen oder überwiegenden Zweck, diese zu reinigen, zu parfümieren, zu schützen, um sie in gutem Zustand zu erhalten, ihr Aussehen zu verändern oder den Körpergeruch zu beeinflussen [Kielbassa et al., 2001]. Die Einordnung als Kosmetikum rechtfertigt die selbständige Auswahl und den beliebig häufigen Gebrauch von Weißmacher-Zahnpasten durch den Verbraucher. Häufig herrschen jedoch Unsicherheiten – sowohl beim Verbraucher als auch beim Zahnarzt – zur Wirksamkeit solcher Produkte und deren möglichen Nebenwirkungen. Um die Wirkung von Zahnweißpasten beurteilen zu können, soll zunächst geklärt werden, welche Arten von Zahnverfärbungen es gibt und welche sich mit einer Weißmacher-Zahnpaste möglicherweise entfernen lassen.
Zahnverfärbungen
Grundsätzlich lassen sich zwei Formen von Zahnverfärbungen unterscheiden. Hierzu zählen zum einen äußerliche Verfärbungen, die durch Auflagerungen organischer Natur auf der Zahnhartsubstanz entstehen und durch mineralische Einlagerungen erhärten und zunehmend schwer entfernbar werden [Kielbassa et al., 2000]. Man bezeichnet solche Verfärbungen auf der Zahnoberfläche als extrinsische Verfärbungen. Zum anderen gibt es Verfärbungen im Inneren des Zahnes, die als intrinsische Verfärbungen bezeichnet werden. Damit sind Verfärbungen gemeint, die durch Blutabbauprodukte der nekrotischen Pulpa oder durch Störungen während der Zahnentwicklung auftreten [Kielbassa et al., 2000]. Darüber hinaus entstehen Verfärbungen im Inneren des Zahnes auch durch Einlagerung von Chromogenen aus Tee, Kaffee und Wein. Intrinsische Verfärbungen können jedoch nicht durch die bei europäischen Produkten vornehmlich mechanische Reinigungsleistung einer Weißmacher-Zahnpasta beseitigt werden. Die in die Poren von Schmelz und Dentin eingelagerten Farbstoffe lassen sich nur durch das Aufspalten der konjugierten Doppelbindungen der (farbgebenden) Substanzen unsichtbar machen, wie dies im Rahmen einer Bleichbehandlung durch die Anwendung von Produkten mit Wasserstoffperoxidfreisetzung geschieht [Zantner et al., 2004].
Hinsichtlich der extrinischen Verfärbungen gibt es eine Einteilung, die zwischen metallischen und nicht-metallischen Verfärbungen unterscheidet. Diese Einteilung hat den Nachteil, dass sie den Entstehungsmechanismus der auf der Zahnoberfläche befindlichen Diskolorationen nicht berücksichtigt. Zudem geht diese Einteilung nicht auf das häufig multifaktoriell bedingte Geschehen bei einer Zahnverfärbung ein [Kielbassa et al., 2000]. Aus diesen Gründen hat Nathoo [Nathoo et al., 1995] eine Klassifikation (N1 bis N3) entwickelt, die die chemischen Grundlagen der Zahnverfärbungen besser berücksichtigt. Demnach handelt es sich bei Verfärbungen vom N1-Typ um Chromogene (farbgebende Substanzen), die nach Auflagerung auf der Zahnoberfläche ihre Farbe behalten (wie Tannine aus Tee, Kaffee und Wein). Die wahrscheinlich bekannteste Auflagerung vom Typ 1 ist das mit Pigmenten angereicherte Schmelzoberhäutchen (acquired pellicle). Aufgrund der negativen Ladung des Schmelzes kommt es zur elektrostatischen Anziehung bestimmter Proteine aus dem Speichel, die in der Folge über Kalziumbrücken stabilisiert werden.
Das Speicheloberhäutchen bildet zudem die Grundlage für alle weiteren Verfärbungen. Pigmente beziehungsweise Substanzen, die nach der Einlagerung in das Schmelzoberhäutchen eine Farbveränderung erfahren, verursachen eine Verfärbung vom N2-Typ. Hierzu zählen die anfänglich gelblichen Beläge, die nach zunehmender Verweildauer – vornehmlich approximal und nahe der Gingiva – einen braunen Farbton annehmen. Diese Farbveränderung beruht entweder auf einer Akkumulation oder auf einer chemischen Modifikation der Proteine durch Säuren. Binden sich primär farblose Substanzen an die Zahnoberfläche und erfahren diese nachfolgend eine Transformation im Sinne einer chemischen Änderung, so spricht man von einer N3-Typ-Verfärbung. Diese Farbveränderung beruht häufig auf der Maillard-Reaktion, bei der im Lauf der Zeit eine Umsetzung von Aminosäuren mit reduzierenden Zuckern stattfindet. Auf diese Weise entstehen über zahlreiche Zwischenstufen braune, pigmentartige Substanzen [Nathoo et al., 1995]. Dieser Reaktionsmechanismus ist auch als nicht enzymatische Bräunungsreaktion bekannt und kann beispielsweise bei aufgeschnittenen Äpfeln regelmäßig beobachtet werden. Allen extrinsischen Verfärbungen ist gemeinsam, dass sie sich je nach Dicke, Alter und Lokalisation der Verfärbung mechanisch, mit einer abrasiven Zahnpasta oder im Fall von hartnäckigen Auflagerungen durch eine professionelle Zahnreinigung entfernen lassen.
Methoden zur Bewertung von Zahnpasten
Der Vergleich des Abriebs, den die einzelnen Zahnpasten auf der Zahnhartsubstanz verursachen, wird mit der international anerkannten RDA-Methode (Radioactive Dentin Abrasion) im Labor durchgeführt. Hierbei wird in den äußeren Schichten von Zahnwurzeln extrahierter Zähne radioaktiver Phosphor (32P) durch Bestrahlung mit Neutronen gebildet. Nach dem Bürsten der Zähne in einer speziellen Bürstmaschine kann durch Messen des Anteils an 32P in der Putzlösung der RDA-Wert der jeweiligen Zahnpaste bestimmt werden [Hefferren, 1976]. Der RDA-Wert kann nur bedingt als Maß für den Abrieb der Zahnhartsubstanz im Mund betrachtet werden [Hefferren, 1976]. Die methodisch bedingten Schwankungen der Ergebnisse lassen auch bei exakter Versuchsdurchführung nur eine grobe Einteilung entsprechend der ermittelten RDA-Werte in niedrig (0-60), mittel (70-120) und hoch (über 120) abrasive Pasten sinnvoll erscheinen [Stiftung-Warentest, 1997; Stiftung-Warentest, 2001; Hefferren, 1976]. Ein Maß für die Reinigungsleistung der Zahnpasta ist der so genannte PCR-Wert (pellicle cleaning ratio) [Stookey et al., 1982]. Bei dieser Methode werden Zahnschmelzplättchen aus Rinderzähnen mit einer Lösung aus Tee, Kaffee und anderen Substanzen angefärbt. Diese so erzeugte Verfärbung wird colorimetrisch gemessen. Nach der Simulation der Reinigung mit einer Zahnpasta-Suspension wird die Aufhellung der Schmelzproben erneut colorimetrisch bestimmt [Stookey et al., 1982]. Auch diese Methode ist aufgrund der natürlichen Unterschiede der verwendeten Rinderzähne großen Schwankungen unterworfen und kann deshalb nur Anhaltspunkte für die klinische Reinigungsleistung der Zahnpasten geben. Der menschliche Zahnschmelz unterliegt individuellen Schwankungen; somit kann die Reinigungsleistung einer Weißmacher-Zahnpaste bei unterschiedlichen Patienten durchaus differieren. Generell lässt sich sagen, dass ein hoher PCR-Wert mit einer hohen Reinigungsleistung der Zahncreme korreliert; unter Umständen ist damit jedoch auch eine erhöhte Abrasivität der Zahnpaste verbunden.
So wirken Weißmacher-Zahnpasten
Weißmacher-Zahnpasten lassen sich hinsichtlich ihrer Wirkungsweise in zwei Gruppen einteilen [Zantner et al., 2002; Bößmann, 1993]. Neben den so genannten konventionellen Weißmacher-Zahnpasten, deren Wirkung vornehmlich auf mehr oder weniger stark abrasiven Putzkörpern beruht, entfernen die übrigen Weißmacher-Zahnpasten die zum Teil mineralisierten farbigen Beläge nicht allein mittels der Putzkörper, sondern auch durch den Zusatz chemisch reinigender Wirkstoffe.
Alleinige Reinigung durch Putzkörper
Einen Hauptbestandteil jeder Weißmacher-Zahnpaste stellen die Putzkörper dar. Unter Putzkörpern versteht man gesundheitlich unbedenkliche, anorganische Verbindungen, die in Form von kleinen Partikeln mit einer Korngröße von etwa 1 Mikrometer (μm) bis 15 μm vorliegen. Beim Putzen mit der Zahnbürste unterstützen diese Putzkörper das mechanische Abtragen der weichen, sich täglich neu bildenden Beläge [Wülknitz, 1998]. Die am häufigsten verwendeten Putzkörpertypen sind Aluminiumoxidtrihydrat, Aluminiumoxid, Kalziumkarbonat (Kreide), Kieselsäure sowie unlös liche Metaphosphate. Die unterschiedlichen Putzkörper haben aufgrund ihrer unterschiedlichen Kornhärte, -form und -größe auch unterschiedliche physikalische Eigenschaften. Vor allem Kieselsäure wird mit stark variierender Korngröße und -härte eingesetzt, so dass die kieselsäurehaltigen Produkte sehr unterschiedliche Abrasionswerte haben können. Diese physikalischen Eigenschaften sowie die Menge der verwendeten Putzkörper wirken sich beim Zähneputzen auf den Abrieb der Zahnhartsubstanz und auf die Reinigungsleistung der Zahnpasta aus. Daher führen konventionelle Weißmacher-Zahnpasten, die ihre Reinigungsleistung ausschließlich über eine hohe Konzentration von Putzkörpern und/oder eine große Korngröße erreichen, im Vergleich zu normalen Zahnpasten erwartungsgemäß zu einem höheren Abrieb der Zahnsubstanz. Zu den konventionellen Weißmacher-Zahnpasten gehören hauptsächlich Produkte, die als Raucherzahnpasten seit mehreren Jahrzehnten auf dem Markt erhältlich sind; hierzu zählen unter anderem die Zahnpasta Perl weiß – Das Raucher-Zahnweiß oder die Zahnpasta Settima (Abbildung 2).
Reinigung durch besondere Strukturen der Putzkörper
Mit dem Ziel, durch eine besondere Struktur der Putzkörper den Abrieb der Zahnhartsubstanz bei gleicher Reinigungsleistung zu verringern, enthält die Weißmacher-Zahnpaste Clinic Dent (Hawe Neos Dental, Bioggio, Schweiz) den Abrasivstoff Perlit. Dies ist ein vulkanisches Silikat in Plättchenform, das fraktioniert und verrundet ist und sich während des Gebrauchs parallel zur Zahnoberfläche ausrichtet. Daher erzeugt Clinic Dent eine rasterelektronenmikroskopisch nachweisbare, erstaunlich glatte Oberfläche; gleichzeitig imponiert eine geringe Abrasivität (RDA-Wert 39) bei gleichzeitig sehr guter Reinigungsleistung [Wrbas, et al., 2000; Lutz et al., 1995].
Auch mit kleinen, weichen Kunststoffkugeln lassen sich die Reinigungsleistung einer Zahnpasta steigern und der Abrieb der Zahnhartsubstanz senken; dies konnte für die Zahnpasta Pearls and Dents (Dr. Liebe, Leinfelden-Echterdingen) nachgewiesen werden (RDA-Wert 50) [Hefferren, 1976]. Diese Zahnpasta wurde unter anderem für Patienten entwickelt, die festsitzende kieferorthopädische Apparaturen (Brackets) tragen. Der Reinigungsmechanismus besteht darin, dass sich die Putzkörper, bedingt durch ihre Form und Größe, voreinander herschieben. Grundlage für die Entwicklung war ein in der Industrie und Technik seit Jahrzehnten übliches Verfahren, besonders diffizil zu reinigende Gegenstände in so genannten Rolliertrommeln oder Schüttelfässern zu säubern. Derartige Geräte beinhalten nicht nur die zu reinigenden Gegenstände, sondern auch Granulate (Stahlkugeln, Nussschalen). Abhängig von dem Gegenstand, der zu reinigen ist, kommen in den Rolliertrommeln ebenfalls weiche Kunststoffkugeln zum Einsatz [Sander, 1997].
Reinigung durch chemische Zusätze
Weitere Bestandteile von Weißmacher-Zahnpasten sind chemische Zusätze, die anstelle von Putzkörpern (oder diese unterstützend) die Zähne von Verfärbungen befreien sollen. Verschiedenen Pyro- und Polyphosphate lösen die nicht durch die Putzkörper zu entfernenden Verfärbungen an, um diese leichter mit der Zahnbürste entfernen zu können. Darüber hinaus binden diese Substanzen Kalzium-Ionen aus dem Speichel, die sich normalerweise in die Plaque einlagern und zu deren Mineralisation führen, wenn die weichen Beläge entsprechend lange auf der Zahnoberfläche verbleiben. Daher enthalten Weißmacher-Zahnpasten heute in fast allen Fällen einen chemischen Zusatz zur Entfernung der Verfärbungen und zum Schutz vor Wiederverfärbung, beispielsweise Odol-med 3 Samtweiß (Glaxo Smith Kline, Bühl) oder blendamed Medicweiß und blend-a-med Medicnacht (Procter & Gamble, Schwalbach; Abbildung 3).
Ältere Marken mit konventionellem Ansatz werden heute häufig in modifizierter Form mit zusätzlichen Detergentien angeboten. Hierzu gehören Pasten wie Perl weiß, die mit dem Zusatz von Pyrophosphaten als „Perl weiß – Das Schönheits-Zahnweiß” angeboten wird (Abbildung 4). Eine klinische Studie zur Effizienz von Weißmacher-Zahnpasten konnte zeigen, dass Zahnpasten mit Pyrophosphaten eine signifikant bessere Reinigungsleistung zeigen, als „normale“ Zahnpasten; bei einer Anwendung über den Zeitraum von drei Monaten konnte in einigen Fällen eine Aufhellung der oberen Schneidezähne um mehrere Vita-Farbstufen (Vita-Classical-Farbskala, Vita, Bad Säckingen) beobachtet werden [Kleber, 1996]. Eine weitere Möglichkeit, den Reinigungseffekt von Zahnpasten mit chemischen Zusätzen zu erhöhen, besteht in der Form des Zusatzes von Zitronenextrakt wie in Colgate Herbal White (Colgate Palmolive, Hamburg; Abbildung 5) oder von Zitronensäure wie in der Lifestyle-Zahnpasta Marvis (Ludovico Martelli, Florenz, Italien; Abbildung 6). Die Zahnpasta Rembrandt (Oral-B, Kronberg) enthält den „Wirkstoff“ Citroxain. Dieses Kunstwort bezeichnet keineswegs einen einzelnen Wirkstoff, sondern beschreibt vielmehr eine Kombination aus drei Stoffen; Citric acid (verantwortlich für die Weißmacherwirkung), Aluminiumoxid als Putzkörper sowie das aus dem Saft der Papaya vulgaris gewonnene, fleckenlösende Enzym Papain sollen bei Rembrandt für die weißmachende Wirkung verantwortlich sein. Sowohl im In-vitro-Vergleich [Imfeld et al., 1999; Stiftung Warentest, 1997] als auch in einer klinischen Studie war die Reinigungsleistung der Zahnpasta Rembrandt zwar zufrieden stellend (nach Meinung der Probanden), verglichen mit einer normalen Kontroll-Zahnpasta jedoch nach sechswöchiger Anwendung nicht signifikant besser [Yankell et al., 1999]. Das Enzym Papain wird auch als einzelner Wirkstoff in Weißmacher-Zahnpasten eingesetzt (zum Beispiel in der spanischen Zahnpasta Yotuel). Diese Zahnpasta wird im Sinne einer Produktreihe unter anderem durch einen Weißmacher-Kaugummi, der ebenfalls Papain enthält, und eine Weißmacher-Mundspüllösung mit Pyrophosphaten ergänzt (Abbildung 7).
Wasserstoffperoxid dürfen Weißmacher-Zahnpasten auf dem europäischen Markt entsprechend den restriktiven Bestimmungen für den Zusatz von Peroxiden zu Zahnpasten gegenwärtig maximal bis zu einer Konzentration von 0,1 Prozent enthalten. In dieser Konzentration sind Peroxide als Aufheller in Zahnpasten jedoch kaum wirksam und werden daher nicht verwendet [ Yankell et al., 1999; Kielbassa et al., 2000b]. Auf dem amerikanischen Markt sind Zahnpasten mit ein Prozent Wasserstoffperoxid erhältlich. Ein solches Produkt ist Colgate Tatar Control with Baking Soda & Peroxide Fluoride Toothpaste; diese Paste ist in der Lage, extrinsische Verfärbungen aufzulösen und/oder zu bleichen. Bei lang anhaltendem Gebrauch von peroxidhaltigen Weißmacher-Zahnpasten kann, abhängig von der Ursache für die intrinsische Verfärbung, sogar mit einer geringen Aufhellung über das natürliche Weiß der Zähne hinaus gerechnet werden [Zantner et al., 2004].
Anwendungs-Empfehlung Weißmacher-Zahnpasten
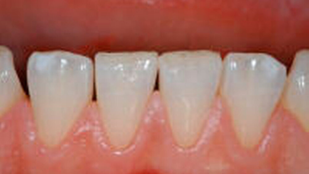
Grundsätzlich können extrinsische Verfärbungen durch eine professionelle Zahnreinigung, aber auch durch die kontrollierte Anwendung von Weißmacher-Zahnpasten teilweise oder sogar vollständig beseitigt werden (Abbildung 8 a-c) [Hellwig, 2001]. Entsprechend den Ergebnissen einer klinischen Studie zur Effektivität von Weißmacher-Zahnpasten erscheint es sinnvoll, die Kombination einer normalen (Weißmacher-) Zahnpasta mit einem mittleren RDAWert und einer Weißmacher-Zahnpasta mit einem hohen RDA-Wert, die zusätzlich zweimal wöchentlich verwendet wird, zu empfehlen. Dieses Vorgehen bietet eine gute Möglichkeit, extrinsische Zahnverfärbungen zu entfernen und damit das natürliche Weiß der Zähne wieder herzustellen beziehungsweise diesen Zustand zu erhalten.
Es ist jedoch zu beachten, dass Weißmacher-Zahnpasten, die mehr Abrasivstoffe enthalten als normale Zahnpasten und demzufolge besonders bei freiliegendem Dentin einen höheren Zahnhartsubstanzverlust bewirken können [Schemehorn et al., 1999], nicht für Patienten mit freiliegenden Zahnhälsen beziehungsweise freiliegendem Dentin geeignet sind. Für diese Patienten sind nur Zahnpasten mit einer besonderen Struktur der Putzkörper und einer gleichzeitig hohen Reinigungsleistung für den regelmäßigen Gebrauch geeignet.
Bei Patienten mit hohem Kariesrisiko und manifesten initialen Läsionen sollten Produkte mit Pyrophosphaten beziehungsweise phosphonathaltige Produkte besonders umsichtig empfohlen werden, da durch die Zahnsteinhemmung gleichzeitig die Gefahr besteht, dass diese Produkte die Remineralisierung vorhandener initialer kariöser Läsionen beeinträchtigen.
Schlussfolgerung
Selbst wenn die meisten Weißmacher-Zahnpasten eine Reinigungsleistung erzielen und die Zähne abhängig von der Reinigungsleistung des Produktes messbar heller werden [Yankell et al., 1999; Hellwig, 2001], können Weißmacher-Zahnpasten weder von Natur aus gelbliche Zähne weißer machen noch intrinsische Verfärbungen entfernen. Für diese Indikationen ist die Bleichtherapie das Mittel der Wahl [Kielbassa et al., 2000b]. Darüber hinaus sollten Weißmacher-Zahnpasten mit Vorsicht verwendet werden, da bisher keine klinischen Untersuchungen über potentielle langfristige Schädigungen der Zahnhartsubstanzen durch ihre Anwendung vorliegen. Da die meisten Weißmacher-Zahnpasten die Zähne ähnlich wie klassische Zahnpasten in jedem Fall reinigen, stehen einer Verwendung unter der Voraussetzung, dass ein wirksamer Fluoridzusatz gewährleistet ist und die Zahnpasten keine gesundheitsbedenklichen Zusätze enthalten, keine offensichtlichen Gründe entgegen. Die viel versprechenden Werbeaussagen bedürfen unter karies- und parodontalprophylaktischen Gesichtspunkten einer Überprüfung; zurzeit ist lediglich zu vermuten, dass hier eine positive Wirkung zu erwarten ist. Die Beratung durch den Zahnarzt bezüglich eines geeigneten Produktes für die individuelle Situation des Patienten erscheint sinnvoll. Die regelmäßige, professionelle Zahnreinigung in der Zahnarztpraxis wird jedoch auch bei der Anwendung von Weißmacher-Zahnpasten unverzichtbar bleiben.
Dr. Catharina ZantnerProf. Dr. Andrej M. KielbassaPoliklinik für Zahnerhaltungskundeund ParodontologieKlinik und Polikliniken für Zahn-, Mund- undKieferheilkundeCampus Benjamin FranklinCharité - Universitätsmedizin BerlinAßmannshauser Str. 4-614197 Berlincatharina.zantner@charite.de




