Glattflächenkaries und Hypomineralisation
Im folgenden Fallbericht werden drei Themenkreise herausgestellt und diskutiert:
• Zahnmedizinische und psychosoziale Aspekte kindlicher Verlustangst,
• Molaren-Inzisiven-Hypomineralisation,
• Restauration mit Komposit bei grenzwertiger Restaurationsfähigkeit.
Anamnese
1975:Die damals neunjährige Patientin stellte sich im Jahr 1975 in der Ambulanz der Poliklinik für Zahnerhaltung des ZZMK Tübingen vor. Wie sie später als erwachsene Frau berichtete, hatte sie sehr große Angst vor ihrem Hauszahnarzt gehabt, der körperlich sehr groß und ihr unangenehm gewesen sei. Er sei unfreundlich und barsch im Verhalten gewesen, was ihr Angst eingeflößt habe. Im Gegensatz dazu, habe der Hausarzt der Familie sich freundlich und besorgt gezeigt und veranlasst, dass wegen der auffällig großflächig verfärbten Frontzähne das Zentrum für Zahn-, Mund- und Kieferheilkunde Tübingen konsultiert wurde.
Familiär bestand eine schwierige Situation: Der Vater war 1972 gestorben und die Mutter war mit der Erziehung und Versorgung der Patientin und ihrer drei Jahre jüngeren Schwester überfordert.
Die Ernährung war unausgewogen mit häufiger Aufnahme von Süßigkeiten, Mundhygienemaßnahmen fanden so gut wie nicht statt.
Es gab keinen Hinweis auf Allgemeinerkrankungen, häufig auftretende „Angina-Erkrankungen“ wurden antibiotisch behandelt.
Ausgangsbefunde
Die im Wechselgebiss der Patientin noch vorhandenen Milchmolaren 64 und 65 waren tief kariös zerstört, 84 und 85 kariös, 74 und 75 mit mehrflächigen Amalgamfüllungen restauriert und von Sekundärkaries befallen. Die Zähne 54 und 55 waren bereits extrahiert.
Die bleibenden Eckzähne befanden sich im Durchbruch. Bei allen bereits durchgetretenen Zähnen der zweiten Dentition, also den ersten Molaren und Inzisivi, bestand eine floride Karies (Abbildung 1), die sich bei den ersten Molaren in den Fissuren und den vestibulären Grübchen etabliert hatte. Bei beiden unteren ersten Molaren waren zusätzlich noch die approximalen Flächen befallen. Bei den unteren Inzisivi bestanden kariöse Läsionen approximal mit Ausdehnung auf die vestibulären Flächen.
Die restlichen nicht-kariösen Anteile der vestibulären Flächen der unteren Inzisivi zeigten Schmelzhypoplasien mit den typischen Opazitäten und Inseln von Kontinuitätsunterbrechungen der Oberfläche mit bräunlichem Untergrund. In Abbildung 3 sind diese Hypoplasien an den unteren Frontzähnen noch sichtbar, später wurden sie mit Komposit abgedeckt.
Alle oberen Inzisivi zeigten großflächige kariöse Läsionen auf den vestibulären Flächen, die mit approximalen Defekten konfluierten. An allen vier Zähnen war jeweils nur noch ein unterschiedlich breites Schmelzareal zur Schneidekante hin vorhanden, im zervikalen Bereich nur ein schmaler Schmelzrand (Abbildung 1).
Der kieferorthopädische Befund, erhoben 1977, lautete: Folgen vorzeitigen Zahnverlustes mit progener Tendenz.
Alle bleibenden Zähne reagierten auf den Sensibilitätstest mit Kohlensäureschnee.
Therapieplan
Eine angstfreie Vertrauensbasis zwischen der kleinen Patientin und dem Behandler herzustellen wurde als vordergründigstes Ziel der zahnärztlichen Therapieplanung definiert. Danach sollten möglichst alle kariösen Läsionen unter Erhalt der Vitalität der Pulpen eliminiert und die Zähne restauriert werden.
Eine Ernährungsumstellung und eine Änderung des Mundhygieneverhaltens versprachen nur zu gelingen, wenn auch die Situation im unmittelbaren sozialen Umfeld verbessert würde. Nach abgeschlossener restaurativer Therapie sollte dann noch eine kieferorthopädische Beratung stattfinden.
Verlauf der Therapie
1975:Die ersten drei Behandlungssitzungen fanden unter konsiliarischer Begleitung eines in neurologischer und psychiatrischer Facharztausbildung stehenden, auch in Zahnmedizin approbierten Arztes, statt. Er erhob die soziale Anamnese, führte ein Gespräch mit der Mutter, konsultierte daraufhin den Hausarzt, schlug eine Erziehungsberatung vor und bot Hilfe bei der Wahl eines Therapeuten an.
Das Vertrauensverhältnis zu den beiden Behandlern konnte bereits in der ersten Behandlungssitzung durch behutsames Hinführen und die Vermeidung Angst auslösender Reize und Vorgehen nach dem „Tellshow- do-Prinzip“ hergestellt werden [Addelston, 1959; Loevy, 1984]. Es wurde ein Vertrag mit der kleinen Patientin geschlossen, der gegenseitige Verpflichtungen zum Inhalt hatte und auf den sie sehr stolz war (Abbildung. 2).
In der ersten Sitzung wurde am Zahn 16 mit dem Exkavator behutsam eine profunde Karies im Sinne einer zweizeitigen Kariesentfernung bis in Pulpanähe unter Belassung von etwas erweichtem Dentin entfernt und die Kavität mit Zinkoxyd-Eugenol- Zement provisorisch verschlossen.
Initiale Restauration der Oberkieferfrontzähne
Bereits in der zweiten Behandlungssitzung konnte mit der Kariestherapie und der Restauration der oberen Inzisivi begonnen werden. Beim Exkavieren des kariösen Dentins wurden im Sinne der zweizeitigen Vorgehensweise in Pulpanähe geringe Mengen erweichten Dentins belassen. Mit Ausnahme von Zahn 11, bei dem eine Überkappungsmaßnahme erforderlich wurde, konnte eine Pulpaeröffnung vermieden werden.
Die Abbildung 1 zeigt eine Situation während der zweiten Behandlungssitzung: Die Zähne 21 und 22 sind noch unbehandelt. Der Zahn 11 ist nach der Pulpaüberkappung im Dentinbereich mit einem Calziumhydroxid-Liner (Dycal®, Dentsply, De Trey/Konstanz) abgedeckt. Am Zahn 22 ist Karies exkaviert.
An diesem Tag wurden die Zähne 21 und 22 mit einem damals gebräuchlichen Makrofüllerkomposit und der zu diesem Zeitpunkt noch neuen Schmelzadhäsivtechnik restauriert (Nuva-System®, Caulk Comp./USA). In der dritten Behandlungssitzung wurden die Zähne 11 und 21 restauriert. Die Abbildung 3 zeigt die fertigen Restaurationen nach Abschluss der dritten Behandlungssitzung.
Weiterer Verlauf
Im weiteren Verlauf wurden die approximalen Läsionen der unteren Inzisivi mit Komposit und die Molaren mit Amalgam restauriert. Es folgten weitere Mundhygieneinstruktionen, Fluoridprophylaxe (Zymafluor Tbl. 1 mg®, Novartis/ München) und Kontrolle der Mundhygienesituation. Nach der Restaurierungsphase fand bis zum heutigen Zeitpunkt ein jährliches Recall statt.
Die restaurierten Frontzähne blieben symptomlos und zeigten bei den Nachkontrollen bis zum heutigen Zeitpunkt eine normale Reaktion auf den Sensibilitätstest mit Kohlensäureschnee.
1981:Anfang des Jahres 1981, also sechs Jahre nach der Erstrestauration, wurden geringe Randimperfektionen durch Verfärbungen und kleinere Absplitterungen ohne Sekundärkaries festgestellt. Die Restaurationen wurden komplett entfernt. Erweichtes Dentin wurde nicht vorgefunden, auch die bei der Erstrestauration belassenen kleineren kariösen Areale waren trocken und zeigten sich nach ihrer Entfernung mit Tertiärdentin unterlegt. Die anstehende Neurestaurierung wurde nach der Schmelzadhäsivtechnik, diesmal mit Mikrofüllerkomposit (Concise®, 3M Espe/Seefeld), vorgenommen. Wegen des geringen Schmelzangebotes wurde am Zahn 22 zusätzlich eine parapulpäre Stiftverankerung angebracht.
1997:Im Jahr 1997, also 16 Jahre nach ihrer Applikation im Jahr 1981, wies auch diese zweite Version rein kosmetische Mängel auf. Der inzwischen 31- jährigen Patientin wurde nun eine Überkronung der Oberkieferfrontzähne empfohlen. Die Vorstellung, dass die Zähne abgeschliffen würden, löste bei ihr längst vergessen geglaubte Ängste aus, und sie bat den Behandler inständig, nochmals eine Versorgung wie die vorausgegangene vorzunehmen. Da inzwischen die Methode der Dentinadhäsivtechnik zur Verfügung stand und auch die Komposite weiter verbessert worden waren, wurde eine dritte Restauration aus Hybridkomposit (Tetric®, Ivoclar-Vivadent/Ellwangen) angebracht. Im Unterschied zu den beiden oben erwähnten ersten Restaurationen wurden die inzisialen Schmelzanteile unter Miteinbeziehung der Inzisialkante – ähnlich einer Veneerpräparation – angeschliffen und mit einbezogen (Abbildung 4). Eine anlässlich dieser Neurestaurierung angefertigte Röntgenaufnahme belegt ein unauffälliges periradikuläres Erscheinungsbild der nach wie vor auf den Kältetest reagierenden Zähne (Abbildung 5).
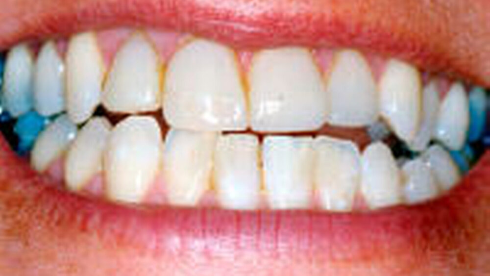
Die Abbildung 6 zeigt den Zustand der damals sieben Jahre alten Restaurationen im Jahr 2004. Aus kosmetischen Gründen waren an den unteren Inzisivi die Hypoplasien mit Komposit (Tetric Ceram®) im Jahr 2003 abgedeckt worden.
2006:Die ursprünglich geplanten zahnärztlichen Therapiemaßnahmen haben bis auf die kieferorthopädische Behandlung allesamt stattgefunden und waren erfolgreich. Alle Zähne der nun 40- jährigen Patientin sind vital und haben nach Restaurierung keine neue Karies entwickelt. Der parodontale Zustand ist gesund, die Mundhygiene vorbildlich. Die damals festgestellte progene Tendenz manifestiert sich heute in einer Kopfbissstellung der Frontzähne, die kosmetisch und funktionell nicht störend ist.
Obwohl die 1975 empfohlene Erziehungsberatung nicht stattgefunden hat, hat sich die soziale Situation der Familie stabilisiert. Es ist anzunehmen, dass der Verlust des Vaters im Laufe der Zeit verarbeitet wurde.
Epikrise
Vermutlich hatte neben der sozialen und psychischen Situation, dem Ernährungs- und Mundhygieneverhalten die Mineralisationsstörung für die Entstehung der großflächigen vestibulären kariösen Defekte eine entscheidende Bedeutung [Kellerhoff und Lussi, 2004]. Auch wenn die Hypomineralisationen an den oberen Inzisivi durch die sie überlagernde Karies nicht mehr sichtbar waren, ist anzunehmen, dass – da erwiesenermaßen die unteren Inzisivi betroffen waren – auch die oberen Schneidezähne Hypomineralisationen aufgewiesen haben [Koch et al., 1987]. Maßgeblich für den Erfolg der zahnärztlich- restaurativen Maßnahmen war, dass ein Vertrauensverhältnis und die Compliance rasch eingetreten sind und bereits in der zweiten Sitzung eine regelgerechte Behandlung stattfinden konnte. Die Patientin führt dies heute in der Rückschau vor allem darauf zurück, verstanden und ernst genommen worden zu sein, wofür ihr der schriftliche Vertrag ein wichtiges Zeugnis war. Empathie seitens des Zahnarztes und die Erfahrung des Patienten als eigenständiges Individuum respektiert zu werden, können entscheidend dazu beitragen, dass eine Compliance-Problematik verhindert wird [Mehrstedt, 1998].
Vor dem Hintergrund des Gebotes der Wirtschaftlichkeit von Behandlungsmaßnahmen ist zu diskutieren, ob die drittmalige Restaurierung der Oberkieferfrontzähne im Jahr 1997 nicht besser durch eine Überkronung vorzunehmen gewesen wäre. Dem ist entgegenzuhalten, dass auch nach jetzt neun Jahren in situ keine Imperfektionen optischer oder funktioneller Art vorhanden sind, die in nächster Zeit eine neue Restauration erforderlich machen würden. Damit erreichen die jetzigen Restaurationen ebenso wie die zweite Ausführung eine Tragedauer, die der von Frontzahnkronen vergleichbar ist [Kerschbaum et al., 1997].
Eine Restauration mit Veneers war wegen der Größe, Lage und Anordnung der wenigen noch verbliebenen Schmelzanteile nicht indiziert.
Der im Jahr 1975 konsiliarisch mitbehandelnde Psychiater, Neurologe und Zahnarzt Dr. Dr. Christian Olav Rosenau, Böblingen, hat freundlicherweise eine rückblickende Stellungnahme verfasst: „Nicht unerwähnt bleiben sollte noch der Beziehungsaspekt, der dieser ausführlich dokumentierten Behandlung innewohnt: Es besteht eine nunmehr 30 Jahre anhaltende Arzt-Patienten-Beziehung. Die Behandlung begann im Kindesalter (neun Jahre) und besteht durchgehend bis ins mittlere Erwachsenenalter der Patientin. Die Behandlung begann zu einer Zeit, als sich um die Patientin herum Haltestrukturen auflösten. Somit bestand neben der drohenden schweren zahnmedizinischen Fehlentwicklung eine Gefährdung der gesunden seelischen Weiterentwicklung (kindliche Depression). Die bedrohte familiäre Struktur spiegelt sich im Zerfall der Zahnhartsubstanz wider. Im Erleben des Kindes hatte nichts Festes mehr bestand; die Patientin selber war nicht in der Lage, für Stabilität, für den Erhalt der Strukturen zu sorgen. Der desolate zahnärztliche Befund kann als ein Sichtbarwerden massiver Ängste vor dem Verlust festen Haltes interpretiert werden. In der Gestalt des das Kinde ängstigenden Hauszahnarztes spiegelt sich die bedrohlich erlebte geschwächte familiäre Situation wider.
In der nun einsetzenden veränderten zahnärztlichen Behandlung findet eine Stabilisierung und „Konservierung“ der gesicherten Situation durch einen neu einsetzenden fürsorglichen Umgang statt. Die kleine Patientin fühlt sich nicht mehr hilflos den Erwachsenen gegenüber ausgeliefert – sie selbst übernimmt Verantwortung (Vertrag) und sie erfährt darin Unterstützung sowohl von zahnärztlicher als auch von psychotherapeutischer Seite. Sie erlebt sich dadurch zunehmend stabilisiert, entsprechend des zahnärztlichen Befundes. Der durch konservierende Maßnahmen erfolgende Erhalt der Zähne geht parallel zur zunehmenden Sicherheit innerhalb der Familie. Die spätere Ablehnung prothetischer Maßnahmen kann so verstehbar werden. Günstig für die Patientin haben sich konservierend- erhaltende zahnärztliche Maßnahmen ausgewirkt. Prothetische zahnärztliche Maßnahmen hätten zunächst einen weiteren Verlust von Substanz und damit von Stabilität bedeutet. Konservierende Maßnahmen signalisierten der Patientin auch später noch, dass ein Aufbau unter Erhalt des Bestehenden erfolgen kann. Daraus resultierte eine Beruhigung und Entängstigung der Patientin. Die Zuverlässigkeit und Treue, der Fortbestand der Arzt-Patienten-Beziehung bei Bevorzugung konservierender Maßnahmen wird so verständlich [Rosenau, 2005].“
Zusammenfassung
Die weitreichende Bedeutung verstehender zahnärztlicher Maßnahmen und die Vermeidung einer Compliance- Problematik durch Empathie kann an dieser Einzelfallstudie deutlich gemacht werden. Die Möglichkeiten der Adhäsivtechnik durch Kompositrestauration, auch bei einer kariologisch sehr schwierigen Ausgangslage, werden aufgezeigt.
OA Dr. Günter RauUniversitätsklinik TübingenZentrum für Zahn-, Mund- undKieferheilkundeAbteilung für ZahnerhaltungOsianderstr. 2 – 872076 Tübingenguenter.rau@med.uni-tuebingen.de




