Die Schwangerschaftsepulis\r
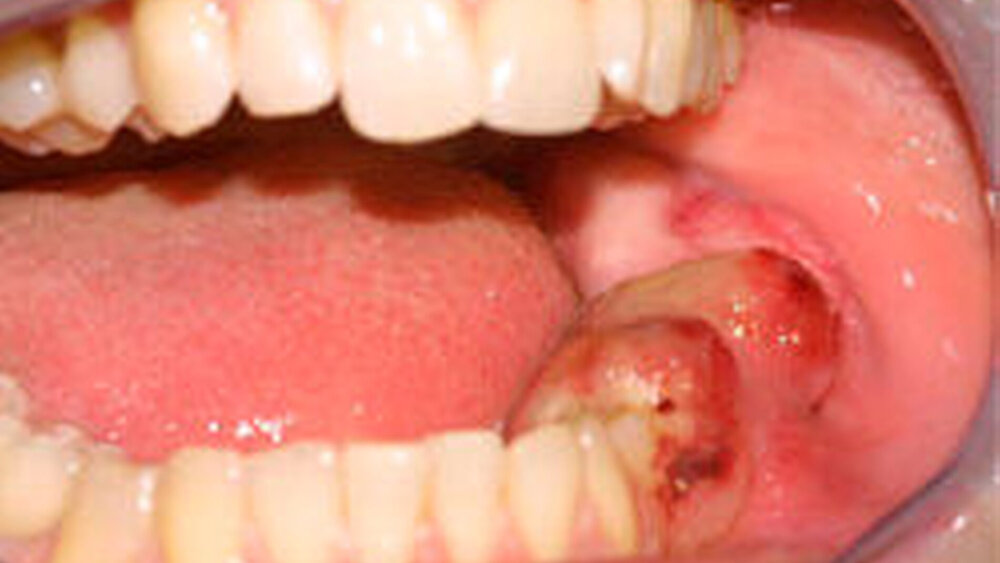
Eine 32-jährige Patientin stellte sich mit einer Blutung aus einer marginalen Gewebevermehrung am Gaumen vor. Es bestand eine Schwangerschaft im neunten Monat. Bei der klinischen Untersuchung zeigte sich eine zirka 0,7 cm große, weiche, stark vaskularisierte Raumforderung, die adhärent zum Parodont in Regio 16 war (Abbildung 1). Der Tumor war weich, livide und unter Spateldruck partiell exprimierbar. Innerhalb weniger Tage änderte sich der Aspekt der Oberfläche. Die Läsion blasste merklich ab (Abbildung 2) und die Gefäße erschienen weniger prominent. Obwohl die Morphologie sehr typisch für eine Schwangerschaftsepulis war, fiel die Entscheidung zur Entfernung der Läsion vor dem Hintergrund der Blutungsanamnese und der Tatsache, dass zwei Wochen vor dem errechneten Geburtstermin bei zeitgerechter Kindesentwicklung keine wesentlichen Gefahren durch die Exzision zu erwarten waren. Das Gewebe wurde in Lokalanästhesie entfernt (Abbildung 3). Prä- und postoperativ wurde ein Cardiotokogramm zur Kontrolle der Schwangerschaft geschrieben.
Histologisch zeigten sich in der HE-Färbung unter intakter Schleimhaut ohne Atypiezeichen deutlich geweitete Kapillarräume umgeben von einem Stroma mit ausgeprägten gemischtzelligen Entzündungsinfiltraten (Abbildung 4a). In der Detailaufnahme (Abbildung 4b) wird der große Anteil an neutrophilen Granulozyten erkennbar. Diese Morphologie ist typisch für eine Epulis granulomatosa. Das histologische Präparat wurde von Dr. Hansen, Institut für Pathologie der Johannes Gutenberg-Universität (Direktor: Prof. Dr. Kirkpatrick) zur Verfügung gestellt.
Diskussion
Die volkstümliche Ansicht, dass Schwangerschaften typischerweise mit Zahnverlusten einhergehen oder auch, dass Calcium in großen Mengen dem mütterlichen Gebiss entzogen wird, um die Entwicklung des Kindes zu ermöglichen, ist weder physiologisch, noch histologisch oder radiologisch belegt [Steinberg, 2000].
Allerdings hat eine Schwangerschaft neben den komplexen hormonellen, immunologischen Parametern einige typische Auswirkungen auf die oralen Gewebe [Dinas, Achyropoulos et al., 2007]. Die Schwangerschaftsgingivitis stellt dabei die häufigste Veränderung dar und tritt bei rund 30 bis 70 Prozent aller schwangeren Frauen auf [Hanson, Sobol et al., 1986]. Es handelt sich typischerweise um eine hyperplastische Gingivitis mit vermehrter Blutungsneigung, die vor allem den vorderen Teil der Mundhöhle betrifft [Barak, Oettinger-Barak et al., 2003]. Zeitlich beginnen die Entzündungsreaktionen zumeist im sechsten Monat der Schwangerschaft und erreichen mit dem achten Monat ein Maximum [Garcia, Henshaw et al., 2000]. Die spezifischen pathophysiologischen Zusammenhänge zwischen Gingivitis und Schwangerschaft sind letztlich ungeklärt. Die Hypothesen reichen von Veränderungen der bakteriellen Mundflora [Lang, Mombelli et al., 1997] über unspezifische Immunphänomene bis zur Überexpression von Östrogen- und Progesteronrezeptoren [Vittek, Gordon et al., 1982].
Die Schwangerschaftsepulis ist eine Sonderform solcher reaktiv-hyperplastischen Gingivaläsionen, wobei auch hier, trotz deutlicher Häufung in der Schwangerschaft mit einer Prävalenz von 0,2 bis 9,6 Prozent aller Schwangeren [Bhashkar, Jackoway et al., 1996], keine kausalen Zusammenhänge aufgeklärt sind. Der Zeitpunkt des ersten Auftretens liegt meist im zweiten oder dritten Schwangerschaftsmonat [Tumini, Di Placido et al., 1998]. Histologisch unterscheiden sich Schwangerschaftsepulitiden nicht von Epuliden außerhalb der Schwangerschaft. Anders als bei der primär harmloseren Gingivitis kann es hier in der Folge der Erkrankung allerdings zu Ulzerationen und vor allem zu ossären Destruktionen am Parodontalapparat kommen. Neben den schwangerschaftsassoziierten Phänomenen am marginalen Parodont werden selten auch extrem schnell und destruktiv wachsende Riesenzellgranulome im Zusammenhang mit Schwangerschaften beobachtet [O’Regan, Gibb, 2001]. Abbildung 5 zeigt die ossäre Destruktion im Kieferwinkel durch ein Riesenzellgranulom unter Gravidität, wobei die Patientin sechs Jahre später im Laufe einer erneuten Schwangerschaft eine zweite Läsion entwickelte.
Es soll an dieser Stelle aber auch darauf hingewiesen werden, dass mit der Erwartung typischer schwangerschaftsbezogener Veränderungen auch folgenreiche diagnostische Verwechslungen einhergehen können. Abbildung 6 zeigt ein Beispiel eines Sarkoms bei einer 33-jährigen Schwangeren, das zunächst als Schwangerschaftsepulis fehlgedeutet wurde.
Für die zahnärztliche Praxis soll der Fall die typischen schwangerschaftsassoziierten Schleimhautveränderungen in Erinnerung rufen, gleichzeitig aber vor der leichtfertigen Interpretation unklarer Phänomene als „schwangerschaftsbedingt“ warnen.
Dr. Peer KämmererKlinik für Mund-, Kiefer- und GesichtschirurgieKlinikum der Johannes Gutenberg-UniversitätAugustusplatz 255131 Mainzkaemmerer@mkg.klinik.uni-mainz.de
Prof. Dr. Dr. Martin KunkelKlinik für Mund-, Kiefer- und plastischeGesichtschirurgieder Ruhr-Universität BochumKnappschaftskrankenhausBochum Langendreer, UniversitätsklinikIn der Schornau 23-2544829 Bochummartin.kunkel@ruhr-uni-bochum.de




