Grundlagen zur ästhetischen Versorgung von natürlichen Zähnen und Implantaten
Prothetischer Zahnersatz hat nach Wild 1950 drei Aufgaben zu erfüllen: Die Wiederherstellung einer eingeschränkten Kaufunktion (mastikatorische Funktion), die Wiederherstellung einer durch Zahnverlust nachteilig veränderten Lautbildung (phonetische Funktion) und die Wiederherstellung einer ästhetisch negativen Veränderung im Gesichtsund Mundbereich (ästhetische Funktion). Zusätzlich muss noch eine vierte Aufgabe, die Verhütung weitgehender Destruktion des stomatognathen Systemes als prophylaktische Funktion ergänzt werden. Während man sich für das Erreichen der beiden erstgenannten Aufgaben auf weitgehend objektive Kriterien (Okklusionsfolien, Shimstockfolie, Sprechproben) stützen kann, ist die Beurteilung der ästhetischen Wirkung einer zahnärztlichen Rehabilitation vom individuellen Empfinden des Betrachters abhängig. Andererseits gibt es aber einige grundlegende Prinzipien, die in allen als ästhetisch bezeichneten Kompositionen wiederkehren.
„Schönheit ist Gesetzmäßigkeit. Schönheit erscheint, solange die Gesetzmäßigkeit empfunden wird. Sie schwindet, wenn unsere Sinne die Gesetzmäßigkeit nicht mehr erkennen."Walther Rathenau, 1867–1922
Prinzipien der Ästhetik
Der aus dem Griechischen stammende Begriff der Ästhetik (aisthesis = Wahrnehmung) lässt sich heute am besten als die „Lehre von den wertenden, erlebnisbezogenen Sinnesempfindungen“ [Sütterlin, 1993] definieren. Ein optischer Reiz wird demnach nicht bloß als einfacher Reiz wahrgenommen, sondern als angenehm, unangenehm, schön oder hässlich gewertet. In abgeleiteter Form und in Anlehnung an die antike Tradition des Begriffes versteht man unter Ästhetik auch die Lehre vom Schönen, von der Gesetzmäßigkeit und der Harmonie in Natur und Kunst. Das Schwierige an Ästhetik ist, dass sie nicht messbar ist. Vielmehr ist sie vom subjektiven, gefühlsmäßigen Empfinden und der Interpretation des Betrachters abhängig. Dies ist der Grund dafür, dass es zum Teil große Unterschiede dahingehend gibt, was als ästhetisch empfunden und bezeichnet wird und was nicht. Dies betrifft sowohl Personen, die aus verschiedenen Kulturkreisen stammen, als auch Individuen innerhalb ein- und desselben Kulturkreises.
Damit eine aus vielen Bestandteilen zusammengesetzte Restauration überhaupt als ästhetisch empfunden wird, müssen bestimmte Voraussetzungen erfüllt sein. Ein in diesem Zusammenhang wichtiger Faktor ist das Vorhandensein von Symmetrie [Rufenacht, 1990]. Generell versteht man unter dem Begriff der Symmetrie eine harmonische Anordnung mehrerer Elemente zueinander. Im strengen Sinne bedeutet Symmetrie die Eigenschaft von Figuren oder Körpern, beiderseits einer gedachten Mittelachse ein jeweils spiegelgleiches Bild zu ergeben. Im Gegensatz zu einer solch strengen, statischen Symmetrie steht die dynamische Symmetrie, bei der sich zwei sehr ähnliche, aber nicht identische Hälften gegenüberstehen. Dies zeigt beispielhaft die Gegenüberstellung der beiden Gesichtshälften, welche verdeutlichen, dass im menschlichen Körper derartige Symmetrien nicht vorkommen. Dies mag eine Erklärung für das aus der täglichen Erfahrung bekannte Phänomen sein, dass ein allzu symmetrischer Aufbau eines Objektes auf den Betrachter häufig langweilig wirkt. Leichte Abweichungen von einer ideal symmetrischen Anordnung leichter Unregelmäßigkeiten im Sinne einer dynamischen Symmetrie haben in der Regel einen lebendigen, natürlichen Effekt. Daher kann man feststellen, dass allgemein nicht die strenge, sondern die leicht gestörte Symmetrie als schön empfunden wird. In einer derartigen Restauration verschmelzen die Einzelteile zwar zu einem einheitlichen Ganzen (Prinzip der Einheitlichkeit), aber es lassen sich neben den Elementen, die zu einer Einheitlichkeit beitragen, solche unterscheiden, die diesem Bestreben entgegenwirken [Lombardi, 1973]. Das gleichzeitige Vorhandensein von simultanen und kontrastierenden Faktoren bewirkt letztlich eine „Vielfalt in der Einheitlichkeit“ [Lombardi, 1990] und hat ein jeweils individuelles Bild zur Folge. Die Tatsache, dass beim Menschen keine statische, sondern eine dynamische Symmetrie vorhanden ist, hat auch für die Zahnmedizin Konsequenzen und sollte bei der Herstellung von zahnärztlichen Restaurationen unbedingt Beachtung finden. Ab einem bestimmten, aber, da von der persönlichen Interpretation des Betrachters abhängig, nicht klar zu definierenden Grenzbereich geht eine dynamische Symmetrie somit in eine Disharmonie und in Ungleichgewicht über. Weisen beispielsweise die rechte und die linke Seite eines Zahnbogens deutliche Unterschiede auf, weil analoge Zähne oder Restaurationen in Form und Farbe voneinander differieren, dann liegt eine weniger ästhetische dentale Komposition vor, die einem Betrachter sofort störend ins Auge fällt und sich negativ auf die dentofaziale und faziale Harmonie auswirkt. Ist in einem Erscheinungsbild demgegenüber eine symmetrische, gesetzmäßige Anordnung vorhanden, dann herrscht Harmonie und visuelles Gleichgewicht. Diese sind nicht an das Vorhandensein einer statischen Symmetrie gebunden. So kann ein auffälliges Element einer Seite durch ein anderes Element auf die gegenüberliegende Seite ausgeglichen werden, so dass der Gesamtausdruck ein harmonisches und visuell ausgeglichenes Bild vermittelt, obwohl objektiv gesehen eine nicht zu übersehende Asymmetrie vorliegt. Dies betrifft jedoch nur Elemente, die weitgehend der Norm des Betrachters entsprechen.
Um gleichmäßig gute ästhetische Ergebnisse zu erzielen, müssen während der gesamten Behandlung sowohl dem behandelnden Zahnarzt als auch dem Zahntechniker vor allem objektive Grundkriterien für ein ästhetisches Erscheinungsbild vertraut sein, um die oben beschriebene ästhetische Gesamtwirkung zu erzielen. Diese Kriterien betreffen die sogenannte rote Ästhetik der gingivalen Strukturen, wie auch grundlegende Merkmale der Zähne, wie Form und Größe, Charakterisierung, Oberflächenstruktur und Farbe. Diese von Belser [1982] beschriebenen und von Magne und Belser [2002] modifizierten objektiven Grundkriterien (Tabelle1) können am Patienten kontrolliert werden, stellen jedoch ohne weitere subjektive Faktoren, wie der Integration in die charakteristische Mundhöhle des Patienten, alleine noch keine Garantie für ein ästhetisches Resultat dar.
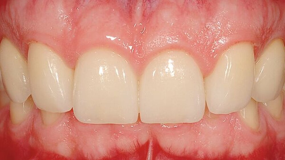
Fallsituation
Der hier vorgestellte 33-jährige Patient stellte sich zur ästhetischen Korrektur nach mehrjähriger kieferorthopädischer Behandlung vor. Die Nichtanlage der lateralen Incisivi war durch mesialen kieferorthopädischen Lückenschluss kompensiert worden. Der schlechte Zustand der Milch-Canini regio 13 und 23 bedingte eine akute, definitive Behandlungsplanung. Nach ausführlicher Diskussion mit dem Patienten, dessen manifester Ablehnung einer erneuten kieferorthopädischen Behandlung und ausgesprochenem Wunsch nach einer ästhetischen Korrektur der ihm disharmonisch und unästhetisch erscheinenden Frontzahn - situation wurde eine implantatprothetische Lösung geplant. Nach ausführlicher Diagnostik im zahntechnischen Labor konnte eine sofortimplantologische Versorgung regio 13 und 23, sowie die Versorgung der Zähne 14,12–22 und 24 mit vollkeramischen Schalen geplant werden.
Nach Auswertung des diagnostischen Waxups wurde auf dessen Basis eine Röntgenschiene hergestellt, mit deren Hilfe eine transgingivale Implantatpositionierung bei engen apikalen Knochenverhältnissen sicher und präzise dreidimensional geplant und klinisch umgesetzt werden konnte (med3D, Heidelberg, Deutschland).
In die während der Digitalen Volumen- Tomographie (Newtom 3G, Marburg, Deutschland) eingegliederte Schiene wurden nach den ermittelten Werten Führungshülsen (Nobel Biocare, Gothenburg, Schweden) einpolymerisiert. Nach schonender Extraktion der Milcheckzähne konnten die Implantate (Nobel Speedy, Nobel Biocare) mit dem Nobel-Guide Bohrer-Hülsensystem exakt an die geplante Stelle inseriert werden (Abbildung 4). Die Primärstabilität von mehr als 35 Ncm erlaubte eine Sofortversorgung der Implantate mit Langzeitprovisorien für vier Monate. Dadurch konnten die gingivalen Strukturen erhalten werden (Abbildung 5).
Nach vollständiger Osseointegration der Implantate und Abheilung des Weichgewebes konnte anhand des angefertigten Waxups ein entsprechender Übertragungsschlüssel als Präparationshilfe für die Schalen angefertigt werden. Mit dessen Hilfe konnte der Substanzabtrag an den prominenten Canini in Position der lateralen Incisivi so minimal wie nötig gehalten werden. Aufgrund des zur Ausformung des Zahnbogens notwendigen additiven Gestaltung der Schalen an den zentralen Incisivi beschränkte sich hier die Präparation auf einen minimalen Schmelzabtrag.
Die vollkeramischen Schalen wurden aus hochfesten, gepressten Lithium-Disilikat-Keramik- Gerüsten (IPS e.max, Ivoclar Vivadent, Schaan, Liechtenstein), welche individuell verblendet wurden, hergestellt. Die ebenfalls individuell gestalteten Goldabutments der Implantate regio 13 und 23 wurden mit zementierten, metallkeramischen Kronen versorgt (Abbildungen 7 bis 9).
Der Gesamterfolg einer ästhetischen Rehabilitation hängt maßgeblich vom harmonischen und sorgfältig geplanten Zusammenspiel zwischen Zahnarzt, Techniker und dem Patienten ab. Am Beispiel dieses Falles lässt sich auch deutlich zeigen, dass die aufgestellten Regeln zur ästhetischen Gestaltung von Hart- und Weichgewebe sehr durch äußere Umstände beeinflusst sind und daher nicht als verbindliches Gesetz, sondern vielmehr als hilfreicher Ansatz genutzt werden sollen, um ein für den Patienten und den Betrachter harmonisches und damit ästhetisches Ergebnis erzielen zu können.
Dr. med. dent. Pascal MarquardtChristoph-Probst-Weg 1020251 Hamburgzahnheilkunde@me.comwww.drpascalmarquardt.com
Prof. Dr. Dr. h.c. J. R. StrubÄrztlicher Direktor Abteilung für Zahnärzt -liche ProthetikKlinik für Zahn-, Mund- und KieferheilkundeUniversitätsklinikum FreiburgHugstetter Straße 5579106 Freibrug
Mit Unterstützung von Zahnarzt Dr. Marcus Simon und ZTM Reinhart Prull, beide Freiburg.
\n
Grundkriterien der Ästhetik (nach Belser und Magne 2002)
\n
\n
1. Zustand der Gingiva
\n
2. Geschlossene Interdentalräume
\n
3. Zahnachse
\n
4. Höchster Punkt Gingivalsaumverlauf
\n
5. Balancierter Verlauf der Gingiva
\n
6. Höhe des interdentalen Kontaktpunktes
\n
7. Dentale Größenverhältnisse
\n
8. Hauptmerkmale der Zahnform
\n
9. Charakterisierung der Zahnform
\n
10. Oberflächenstruktur
\n
11. Farbe
\n
12. Schneidekante
\n
13. Linienverlauf der Unterlippe
\n
14. Symmetrie des Lächelns
\n
\n
\n
\n
\n
\n
\n
\n
\n
\n
\n
\n
\n
\n
\n




