Malignes zentrales Riesenzellgranulom
Ein 81-jähriger Patient wurde mit einer mäßig weichen und ausgedehnten Läsion im Bereich des Alveolarkammes und Oberkiefers median überwiesen. Der Patient konnte sowohl zum Zeitraum der Entstehung als auch zur Wachstumstendenz der Neubildung keine Angaben machen. Klinisch zeigte sich in regio 13 bis 23 eine knotige und exophytische Raumforderung, die über das Niveau der Schleimhaut hinaus ging (Abbildung 1). Bei bestehender Zahnlosigkeit konnte eine dentogene Ursache ausgeschlossen werden. In der durchgeführten CT zeigte sich eine tumoröse Raumforderung im Bereich des Oberkiefers mit einer Auftreibung des Knochens und unscharfer Abgrenzung gegenüber dem umliegenden Weich- und Hartgewebe (Abbildung 2). Die durchgeführte Ganzkörper-Skelett-Szintigraphie zeigte eine ausgedehnte isolierte Anreicherung im Bereich der Maxilla und des Nasenskeletts.
Die serologischen Parameter wie Parathormon, alkalische Phosphatase und Kalcitonin waren bei dem Patienten im Normbereich. Calcium und Phosphat waren sowohl im Blut als auch im Urin normwertig. Ein brauner Tumor bei Hyperparathyreoidismus konnte also ebenfalls ausgeschlossen werden.
In einer Intubationsnarkose wurde der Befund von intraoral dargestellt und reseziert. Das klinische Bild und der granulomatöse Charakter des Tumors ließen an einen Riesenzelltumor oder eine Langerhans-Zell-Histiozytose denken (Abbildung 3).
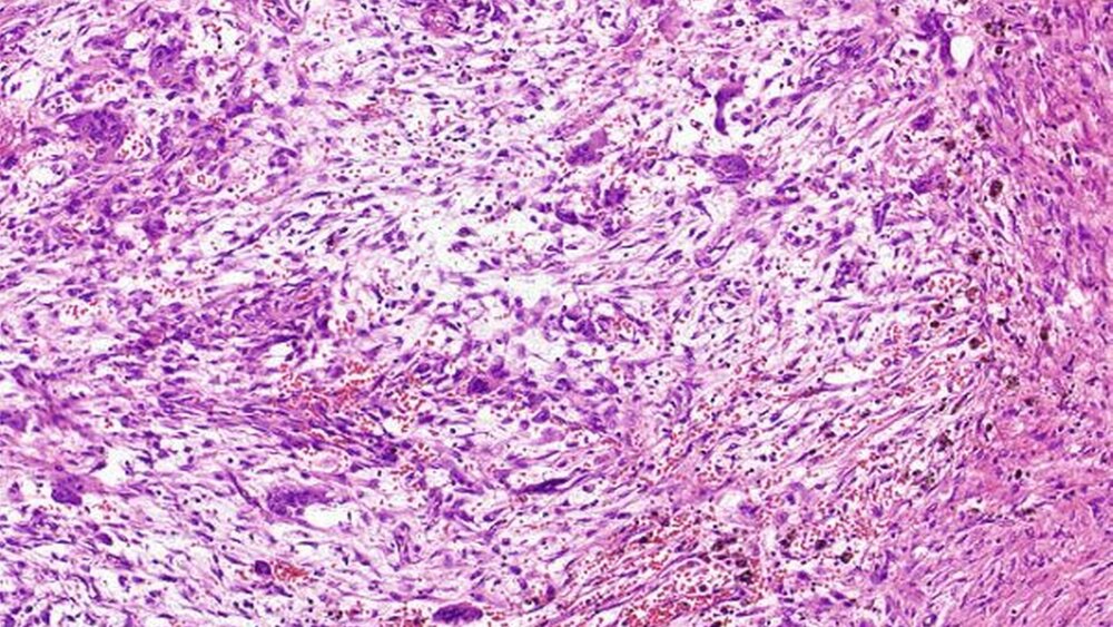
Die histopathologische Aufarbeitung des Gewebes ergab viele Riesenzellen vom osteoklastären Typ (Abbildung 4). Abschließend stellte sich die Diagnose eines Osteoklastoms, ein sogenanntes zentrales Riesenzellgranulom.
Diskussion
Das zentrale Riesenzellgranulom, früher auch als reparatives Riesenzellgranulom, Epulis, Riesenzelltumor der Kiefer- und Gesichtsknochen oder Osteoklastom bezeichnet, wurde erstmals von Jaffé 1953 im Kieferbereich beschrieben [Jaffe, 1953]. Zunächst ist die Pathogenese und Nomenklatur des sogenannten reparativen Riesenzellgranuloms auf eine Traumatisierung mit Einblutung des Knochengewebes zurückgeführt worden. Dies konnte jedoch nicht für alle Riesenzellgranulome bestätigt werden, so dass die Ätiologie bisher unklar ist [Regezi, 2002]. Der Erkrankungszeitpunkt liegt typischerweise im jungen Erwachsenenalter vor dem 30. Lebensjahr [Driemel et al., 2006; Jundt et al., 2000].
Entsprechend dem histologischen Befund und dem klinischen Verlauf unterscheidet man zwischen den häufigen benignen und den seltenen malignen Riesenzelltumoren [Driemel et al., 2006]. Der klinische Befund allein lässt keine Rückschlüsse zur Dignität der Tumoren zu. Das Wachstum der Riesenzelltumoren ist, unabhängig von der vorliegenden Form, langsam und mit stechenden und ziehenden Schmerzen assoziiert, so dass in erster Linie an ein entzündliches Geschehen gedacht wird.
Neben dieser differentialdiagnostischen Überlegung sollte auch an den braunen Tumor bei Hyperparathyreodismus gedacht werden. Dieser kann laborchemisch durch die serologische Bestimmung von Parathormon, alkalischer Phosphatase und Kalcitonin, die in erhöhter Form vorliegen würden, ausgeschlossen werden. Des Weiteren wird die Epulis gigantocellularis vom zentralen Riesenzellgranulom abgegrenzt. Hierbei handelt es sich um die periphere Krankheitsform, die nur die extraossären Strukturen ohne Unterscheidung im histologischen Erscheinungsbild betrifft. Neben diesem Krankheitsbild müssen auch die aneurysmatischen Knochenzysten in Betracht gezogen werden [Motamedi, 2002]. Diese zeigen sich radiologisch als ein- oder mehrkammerige Aufhellung und können ein ähnliches Bild wie das zentrale Riesenzellgranulom bieten. Die fibröse Dysplasie ist ebenfalls differentialdiagnostisch abzugrenzen [MacDonald-Jankowski, 2009]. Hierbei kommt es bedingt durch eine nicht vererbte Mutation zu einer chronischen Störung des Knochenaufbaus mit einer Auftreibung des Knochens. Diese Erkrankung tritt ebenfalls vorwiegend im jugendlichen Alter auf und kann nach Beendigung der Pubertät zur Genesung führen, da eine Hormonabhängigkeit des Erkrankungsverlaufs besteht. Zusätzliche differentialdiagnostische Überlegungen sollten neben den odontogenen Zysten [Slootweg, 2009], Myxoma, Ameloblastome [Mendenhall et al., 2007] sowie das ossifizierende Fibrom [Gannon et al., 2004] mit in Betracht ziehen. Neben den beschriebenen, vorwiegend gutartigen Tumoren müssen jedoch auch zahlreiche maligne Knochentumoren in Betracht gezogen werden [Slootweg, 2002].
Aufgrund der Vielzahl an differentialdiagnostischen Möglichkeiten ist die Diagnosesicherung durch eine Biopsie bei klinisch nicht klar abzugrenzenden Fällen unabdingbar [Driemel et al., 2006]. Die Therapie besteht in der sorgfältigen Kürettage des Riesenzellgranuloms und kann bei einem Rezidiv auch in einer Resektion münden [Jundt et al., 2000]. In der bestehenden Kasuistik handelte es sich um ein malignes zentrales Riesenzellgranulom, das nicht in sano reseziert werden konnte, da die Ausdehnung bis in die Kieferhöhlen der Maxilla sowie bis in die Nasenhöhle reichte (Abbildung 2). Zusätzlich wies der Patient ein erhöhtes Risikoprofil durch multiple Herz-Kreislauf-Erkrankungen auf, die einen längeren Eingriff nicht ermöglichten. Die entstandenen Höhlräume nach Kürettage des Tumors werden typischerweise durch autologe Spongiosa gefüllt [Jundt et al., 2000; Kerscher et al., 1994].
Der vorliegende Fall soll deutlich machen, dass sich hinter osteolytischen Läsionen des Ober- oder Unterkiefers vielfältige unterschiedliche Erkrankungen verbergen können. Insbesondere bei ausbleibender klinischer Remission des vorliegenden Krankheitsprozesses sollte eine weitergehende Diagnostik durch eine Biopsie erfolgen.
Dr. Thomas MückeProf. Dr. Dr. Klaus-Dietrich WolffPriv.-Doz. Dr. Dr. Frank HölzleKlinik für Mund-, Kiefer- und GesichtschirurgieKlinikum Rechts der Isar der TechnischenUniversität MünchenIsmaninger Str. 22, 81675 Münchene-mail:th.mucke@gmx.de




