Akut hämorrhagische Zungenschwellung
Eine 80-jährige Patientin wurde mit einer stark angeschwollenen Zunge mit Schluckbeschwerden und kloßiger Sprache notfallmäßig in der Notaufnahme vorgestellt. Die Patientin gab an, dass sie in der Nacht aufgewacht und eine plötzliche, ohne äußere Einwirkung entstandene, starke Schwellung der Zunge aufgetreten sei. Klinisch zeigte sich eine vergrößerte und bläuliche Zunge, die Patientin hatte hierdurch bedingt eine verwaschene und kloßige Sprache, Atembeschwerden bestanden nicht (Abbildung 1). Bei bestehender Zahnlosigkeit konnte eine dentogene Ursache ausgeschlossen werden.
Weitere anamnestische Angaben der Patientin ergaben eine arterielle Hypertonie, die mit Enalapril „gut eingestellt“ sei. Sonstige Nebenerkrankungen verneinte die Patientin. Insgesamt wirkte die Patientin in ihrem Affekt jedoch deutlich unpassend, da sie eine ungewöhnlich freudvolle Stimmung aufwies, gekennzeichnet durch ständiges Kichern. Zusätzlich wurden bei näherem Nachfragen nur kurze und stereotype Antworten gegeben. Hieraus ergaben sich die Verdachtsdiagnose eines Schlaganfalls der Patientin sowie eine möglicherweise synchron erfolgte traumatische Verletzung der Zunge.
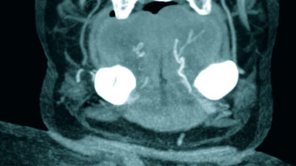
Zur Therapie der Zungenschwellung wurden 500 mg Solu-Decortin intravenös verabreicht und ein Routinelabor abgenommen. Eine Schutzintubation wurde zunächst nicht vorgenommen, da die Schwellung sistierte. Anschließend wurde zur weiteren Abklärung der Zungenschwellung und neurologischen Auffälligkeiten eine Craniale Computertomographie (CCT) des Kopfes durchgeführt. Hierbei zeigte sich eine hämorrhagisch durchsetzte Zunge mit begleitender ödematöser Schwellung ohne Anzeichen für eine umschriebene Einblutung oder für eine assoziierte Gefäßmalformation in der Zunge (Abbildung 2). Das CCT bot einen postischämischen Hirnbefund. Im durchgeführten Routinelabor fiel ein deutlich erniedrigter Quick-Wert 10 Prozent bei sonst normalen Parametern auf. Nach Rücksprache mit dem Hausarzt ließ sich eruieren, dass die Patientin vor einem Monat einen ischämischen Schlaganfall und eine tiefe Beinvenenthrombose erlitten hatte. In der Folge wurde die Patientin mit Phenprocoumon eingestellt, hatte jedoch täglich eine Routinedosis eingenommen, da sie zu einer täglichen Anpassung aufgrund des neurologischen Defizits nicht in der Lage war. Nach zweitägiger Überwachung der Patientin auf der Intensivstation und sukzessiver Befundbesserung sowie Normalisierung der Gerinnungsparameter konnte die Patientin auf Normalstation verlegt werden.
Diskussion
Unter einer Zungenschwellung versteht man eine meist akut auftretende ödematöse Auftreibung der Zunge unterschiedlicher Ursache. Die akute und progredient auftretende Schwellung der Zunge stellt eine seltene, aber akute Notfallsituation dar. Ätiologisch kann eine akute Zungenschwellung hämorrhagisch, ödematös, ischämisch oder entzündlich bedingt sein. Die zugrunde liegenden Ursachen können mannigfaltig sein und, wie im vorliegenden Fall, auf einer traumatischen Zungenschwellung bei Überdosierung der Antikoagulation auftreten. Insbesondere bei Phenprocoumon oder Warfarin treten Zungenschwellungen häufiger auf [Lee et al., 1980; Lepore, 1976]. Fälle bei tumorassoziierter Kompromittierung der Gerinnung mit nachfolgender Zungenschwellung, meist fulminant verlaufend, sind ebenfalls beschrieben [Renehan et al., 1993]. Eine Hämophilie kann ebenfalls eine hämorrhagische Ursache darstellen, ebenso vaskuläre Anomalien, wie ein Hämangion, ein Lymphangiom oder Gefäßmalformationen [Renehan et al., 1993; Goldberg et al., 1977; Mohammadi et al., 1997].
Akute ödematöse Schwellungen der Zunge treten aufgrund von Allergien, medikamentenassoziiert oder auch bei dem hereditären angioneurotischen Ödem auf. Allergische Zungenschwellungen gründen meist auf allergischen Reaktionen vom Soforttyp (IgE-vermittelt) und können nach dem Genuss bestimmter Nahrungsstoffe als sogenanntes orales Allergiesyndrom auftreten. Die medikamentenassoziierte Zungenschwellung tritt häufig bei der Einnahme von ACE-Hemmern auf. Im vorliegenden Fall bestand zwar die Medikation, das Krankheitsbild lag aber nicht vor. Zusätzlicher Auslöser kann aber auch das häufig angewendete Schmerzmittel Diclofenac sein. Es wird bei Schmerzen des Bewegungsapparates, bei Zahnschmerzen oder zur Schwellungstherapie verordnet.
Beim hereditären angioneurotischen Ödem liegt ein Mangel an C1-Esterase-Inhibitor vor, der in drei unterschiedliche Typen eingeteilt werden kann: Beim – häufigsten – Typ 1 handelt es sich um einen verminderten Spiegel an C1-Esterase-Inhibitor, bei Typ 2 um eine Störung der Funktion [Osler, 1888] und bei Typ 3 um eine genetische Aberration, die bei einer Schwangerschaft oder durch die Einnahme von Kontrazeptiva bei Frauen auftreten kann [Bork et al., 2000]. Als idiopathisches Angioödem wird auch das Quinke-Ödem bezeichnet, das vor allem nach physikalischen oder psychischen Traumen auftritt.
Als Grund für eine ischämische Zungenschwellung ist insbesondere die Arteritis temporalis [Biebl et al., 2004; Mücke et al., 2009], aber auch septische Embolien (zum Beispiel beim M. Osler, Endocarditis lenta), Diabetes mellitus und maligne Erkrankungen mit konsekutivem Verschluss der Gefäßversorgung der Zunge zu sehen [Renehan et al., 1993; Watson, 1988]. Die entzündliche Zungenschwellung entsteht meist aufgrund eines Abszesses. Sie ist selten und kommt am häufigsten bei dentogener Ursache vor [Pal et al., 1976].
Die Sicherung der Atemwege bei ausgeprägter und progredienter Zungenschwellung muss die Erstmaßnahme sein. Bei Persistenz ohne Zunahme der Schwellung wie im vorliegenden Fall sollte eine Überwachung mit Intubationsbereitschaft erfolgen. Die therapeutische oder auch prophylaktische Gabe von Kortikosteroiden sollte zur weiteren Schwellungsprophylaxe verabreicht werden. Bei infektiöser Genese wird dies kontrovers diskutiert, auch wenn in Kombination mit einer Antibiotikatherapie ebenfalls positive Effekte beschrieben worden sind [Stanley et al., 1988]. Die Ursachenfindung sollte nach Stabilisierung der Patienten rasch erfolgen. Interessant in diesem Zusammenhang erscheint, dass die anamnestischen Angaben der Patienten vom Behandler bei inkongruentem Gesamtbild grundsätzlich kritisch überprüft werden müssen. Fremdanamnestische Angaben von Fachkollegen können relevante Informationen einfach und schnell weiter vermitteln und sind in ihrer diagnostischen Wertigkeit, wie der vorliegende Fall demonstriert, daher essentiell.
Dr. Thomas MückePriv.-Doz. Dr. Dr. Frank HölzleProf. Dr. Dr. Klaus-Dietrich WolffKlinik für Mund-, Kiefer- und GesichtschirurgieKlinikum Rechts der Isar der TechnischenUniversität MünchenIsmaninger Str. 2281675 Münchenth.mucke@gmx.de




