Fibröses Histiozytom der Schleimhaut
Ein neunjähriges Mädchen wurde wegen einer knapp zwei Millimeter (mm) durchmessenden Schleimhautveränderung im linken unteren Vestibulum vorgestellt. Klinisch zeigte sich eine fingerförmige Hyperkeratose, die am Marginalsaum mesial des Zahnes 36 hervortrat und basal eine etwas granuläre Oberfläche aufwies (Abbildung 1).
Die Sensibilität der Nachbarzähne war ungestört. Anamnestisch ergaben sich Hinweise auf eine mechanische Irritation, wie beispielsweise das Aufbeißen auf Stifte oder andere „Habits“. Es gab auch keine Anzeichen auf lokale Reizfaktoren wie Füllungsränder oder bakterielle Beläge. Damit ergab sich klinisch zunächst der Verdacht auf ein Virus-papillom hier unter dem Erscheinungsbild einer filiformen Schleimhautwarze. Vor diesem Hintergrund wurde die Schleimhautläsion mit einer kleinen Kauterschlinge abgetragen, um eine lokale Virus-Aussaat zu vermeiden.
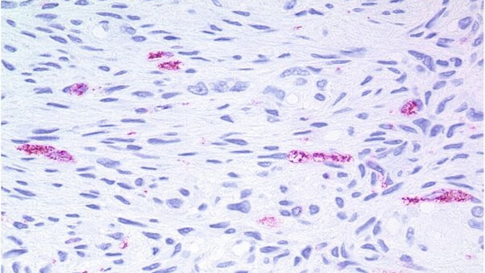
Histologisch ergab sich zwar die nach dem klinischen Erscheinungsbild erwartete sägeblattartige Hyperkeratose (Abbildung 2 a) mit deutlicher Parakeratose. Im subepithelialen Stroma fand sich aber ein zellreicher spindelzelliger Tumor mit in Zügen angeordneten, durchflochtenen, wachsenden Zellen, allerdings ohne prominente Mitosen (Abbildung 2 b). Die weitere immunhistologische Differenzierung zeigte dann eine Expression von CD-68, einem Marker für Makrophagen und Histiozyten (Abbildung 2 c) und eine sehr geringe Proliferationsfraktion von unter einem Prozent . Abschließend ergab sich die histologische Diagnose eines fibrösen Histiozytoms der Mundschleimhaut.
Nachdem sich dieser benigne, mesenchymale Tumor im basalen Anteil des Exzisates befand, wurde zur vollständigen Entfernung eine umschriebene Nachresektion angeschlossen. Die Operationswunde heilte unter freier Granulation ab.
Diskussion
Das fibröse Histiozytom betrifft als sehr häufiger benigner Tumor der Haut (Dermatofibrom) ganz überwiegend die Extremitäten und dort die lichtexponierte Haut. Interessanterweise kommt dieser Tumor in der gleichermaßen lichtexponierten Haut der Gesichtsregion nur recht selten (0,1 Prozent der Fälle) vor [Mentzel, Kutzner et al. 2001]. Die orale Schleimhaut ist nur in Ausnahmefällen betroffen [Alves, Vargas et al. 2003], und der Befall des Gesichtsschädels ist eine ausgesprochene Rarität [Kishino, Murakami et al. 2005]. Die bevorzugte Patientengruppe sind Frauen im mittleren Lebensalter.
Klinisch imponiert das Histiozytom zumeist wie ein Schleimhautfibrom und wird erst in der histopathologischen Untersuchung durch den spindelzelligen Aufbau und anhand immunhistologischer Marker erkennbar. Typisch ist die Expression von CD-68, einem Marker für Makrophagen, und das Fehlen von S-100 und CD-34.
Im Gegensatz zu den fibrösen Histiozytomen der Gesichtshaut, die in knapp 20 Prozent der Fälle ein klinisch aggressives Verhalten mit lokaler Infiltration und Rezidivneigung haben, ist die Prognose von Schleimhaut-Histiozytomen sehr gut. Auch nach lokaler Exzision sind Rezidive eine seltene Ausnahme.
Ungewöhnlich war im vorliegenden Fall die marginale Lokalisation, die verrucöse Erscheinungsform und das niedrige Alter der Patientin, so dass klinisch vor allem an ein virusbedingtes Papillom oder einen mechanischen Artefakt zu denken war. Gerade verhaltensbedingte, mechanische Alterationen können zahlreiche Pathologien imitieren und werden in der Differentialdia-gnostik bei unklaren Schleimhautveränderungen oft außer acht gelassen. Im vorliegenden Fall gab es allerdings keinerlei Hinweise auf eine irritative Ursache. Die Läsion blieb offensichtlich über einen Zeitraum von rund vier Monaten unverändert bestehen.
Für die zahnärztliche Praxis weist dieser ungewöhnliche Zufallsbefund auf die nicht immer einfache Differentialdiagnostik bei kindlichen Mundschleimhautveränderungen hin. Gerade im Kindesalter empfiehlt es sich, unklare Läsionen frühzeitig einer histologischen Klärung zuzuführen.
Dr. Dr. Marcus KriwalskyProf. Dr. Dr. Martin KunkelKlinik für Mund-, Kiefer- undplastische GesichtschirurgieKnappschaftskrankenhausBochum Langendreer, UniversitätsklinikRuhr Universität BochumIn der Schornau 23-2544829 BochumE-Mail:martin.kunkel@ruhr-uni-bochum.de




