Adenoid-zystisches Karzinom der Kieferhöhle
Ein 51-jähriger Patient stellte sich aufgrund dumpfer, teils ziehender, zum Ohr hin ausstrahlender Zahnschmerzen im Bereich des linken Oberkiefers bei seinem Hauszahnarzt vor. Bei horizontalem und vertikalem Knochenverlust, kariösen Läsionen und Lockerungsgrad II bis III wurden die Zähne 24-28 mit Verdacht auf eine aggressive adulte Parodontitis extrahiert und eine Oberkieferteilprothese angefertigt. Persistierende Schmerzen bedingten die Extraktion weiterer Oberkieferzähne. Im Verlauf traten wiederholt Prothesendruckstellen im Bereich des linken Tubers auf. Ein halbes Jahr später entwickelte sich eine Obstruktion der linken Nasenhöhle mit eingeschränkter Nasenatmung und eine Hypästhesie der Nasenhaut. Der jetzt konsultierte HNO-Kollege veranlasste die Anfertigung einer Computertomographie des Mittelgesichtes, welche eine Raumforderung in der linken Kieferhöhle erkennen ließ. Die histopathologische Begutachtung einer transnasalen Probebiopsie beschrieb ein niedriggradiges sinonasales Adenokarzinom vom nicht intestinalen Typ.
Bei der Erstvorstellung in der eigenen Klinik für MKG-Chirurgie ließ sich jetzt eine diskrete linksseitige Gesichtsschwellung erkennen (Abbildung 1a). Intraoral imponierte eine derbe Auftreibung im Bereich des linken Tubers (Abbildung 1b). Die weiterführenden Staging-Untersuchungen (CT Kopf-Hals, Röntgen-Thorax, Sonographie Abdomen, PET) zeigten ein rund 5 x 5 x 5 cm großes Karzinom des linken Sinus maxillaris mit Destruktion der medialen, lateralen und ventralen Kieferhöhlenwände, einer medialen Ausbreitung bis in die rechte Nasenhaupthöhle sowie einer Infiltration der Ethmoidalzellen, der Keilbeinhöhle, des Processus pterygoideus und der Kaumuskulatur (Abbildung 2). Vergrößerte zervikale Lymphknoten oder Fernmetastasen wurden nicht beobachtet.
Es folgte eine Hemimaxillektomie links unter Einbeziehung der Siebbeinzellen, der Keilbeinhöhle sowie des linken Processus pterygoideus (Abbildung 3).
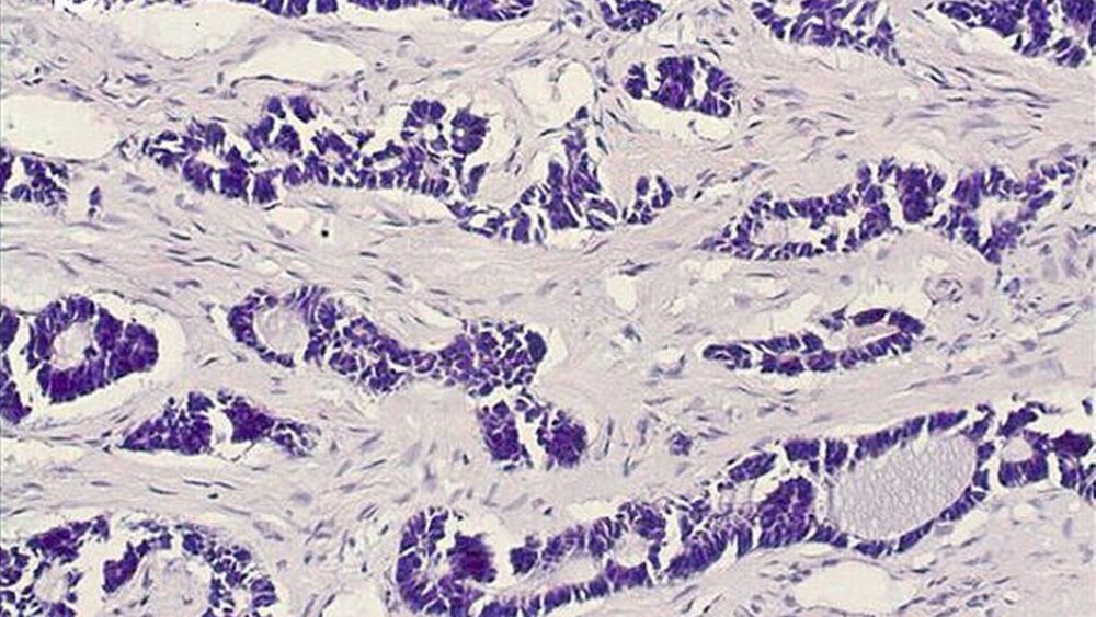
Die abschließende histopathologische Begutachtung diagnostizierte nun mithilfe immunhistochemischer Zusatzuntersuchungen ein von den kleinen Speicheldrüsen ausgehendes adenoid-zystisches Karzinom der linken Kieferhöhle (Abbildung 4). Nach Defektversorgung mittels Obturatorprothese wurde eine postoperative Strahlentherapie eingeleitet.
Diskussion
Sinonasale Karzinome zählen mit einem Anteil von etwa 0,2 bis 0,8 Prozent an allen malignen Neoplasien und etwa drei Prozent an den Karzinomen im Kopf-Hals-Bereich zu den seltenen Malignomen. 60 bis 70 Prozent der sinonasalen Karzinome manifestieren sich in der Kieferhöhle [Barnes et al., 2005].
Aufgrund des Hohlraumes können Tumoren in der Kieferhöhle zunächst asymptomatisch wachsen. Unspezifische Symptome einer chronischen Rhinosinusitis mit dumpfem Schmerzcharakter, eingeschränkter Nasenatmung, Rhinorrhöe und gegebenenfalls einer Epistaxis können erste Hinweise geben [Ehrenfeld und Prein, 2002].
Erst nach entsprechender Tumorausdehnung kann eine Beteiligung der Nachbarstrukturen zu intraoralen Schwellungen, konsekutiven Prothesendruckstellen und Zahnlockerungen (kaudales Wachstum), zu Bulbushochstand, Sehstörungen und Motilitätsstörungen (kraniales Wachstum), zu Wangenschwellung, verstrichener Nasolabialfalte und Verziehung des Nasenflügels (ventro-mediales Wachstum) sowie zu nervalen Ausfällen im Bereich der Schädelbasis (dorso-kraniales Wachstum) führen [Chi, 2008]. So wird die Diagnose – wie im vorgestellten Fall – häufig erst im fortgeschrittenen Stadium gestellt [Rhee et al., 2006].
Histologisch stellt das Plattenepithelkarzinom mit bis zu 45 bis 50 Prozent den häufigsten malignen Tumor der Kieferhöhle dar, gefolgt von Malignomen der kleinen Speicheldrüsen, dem Adenokarzinom vom intestinalen oder nicht intestinalen Typ sowie dem undifferenzierten Karzinom [Barnes et al., 2000; Cardesa et al., 2006]. Unter den Speicheldrüsenkarzinomen dominiert das adenoid-zystische Karzinom (ICD-O code 8200/3) [Eveson, 2005]. Betroffen sind gleichermaßen Männer und Frauen des mittleren Alters. Durch sein bevorzugtes perineurales Wachstum berichten die betroffenen Patienten – wie im aktuellen klinischen Fall beobachtet – frühzeitig über starke Schmerzen und Sensibilitätsstörungen im Innervationssgebiet des zweiten Trigeminusastes. Persistierende Zahn- und Kieferschmerzen sowie zunehmende Zahnlockerung oder Sensibilitätsstörungen in Kombination mit therapieresistenter Rhinorrhöe, Epistaxis oder Nasenwegsobstruktion sollten frühzeitig zu einer weiterführenden Bildgebung im Sinne einer Computertomographie oder einer Magnetresonanztomographie Anlass geben. Dagegen zeigen konventionelle Röntgenaufnahmen (OPG, NNH) bei Vorliegen eines sinonasalen Karzinoms bisweilen zwar eine wolkige Verschattung der Kieferhöhle mit mottenfraßähnlicher Destruktion der knöchernen Begrenzung, sind jedoch in vielen Fällen unspezifisch [Eveson, 2005; Chi, 2008].
Histopathologisch ist das adenoid-zystische Karzinom durch das Auftreten duktaler und myoepithelialer Zellen in drei unterschiedliche Wachstumsmuster (kribriform, tubulär oder solide) unterteilt. Wie auch im eigenen Fall dominiert in der Kieferhöhle der kribriforme Subtyp, welcher durch Inseln basaloider epithelialer Zellen charakterisiert ist, die zylindrische, zystische und mit hyalinem Material gefüllte Räume enthalten und an einen „Schweizer Käse“ erinnern [Neville, 2008]. Differenzialdiagnostisch ist das adenoidzystische Karzinom histopathologisch neben weiteren seltenen Speicheldrüsenkarzinomen, wie dem Karzinom im pleomorphen Adenom, dem Speichelgangkarzinom oder dem polymorphen low-grade Adenokarzinom, auch vom sogenannten niedriggradigen sinonasalen nicht intestinalen Adenokarzinom – mitunter schwierig – abzugrenzen, welches nicht den Speicheldrüsen entstammt und in der Regel eine sehr gute Prognose besitzt [Franchi et al., 2005; Cardesa et al., 2006].
Das adenoid-zystische Karzinom der Kieferhöhle wird radikal reseziert und anschließend radiotherapiert [Lupinetti et al., 2007]. Prognostisch werden für das sinonasale adenoid-zystische Karzinom in aktuellen Studien Fünf-Jahres-Gesamtüberlebensraten von 50 bis 86 Prozent angegeben [Bhattacharyya, 2003; Lupinetti et al., 2007]. Aufgrund seiner Neigung zu Spätrezidiven sinkt allerdings das Überleben im weiteren Verlauf [Neville, 2008]. Als negative prognostische Faktoren gelten die im eigenen Fall geschilderte Infiltration des Processus pterygoideus und die damit oftmals verbundenen positiven Resektionsränder sowie der histologisch solide Subtyp, Lymphknoten- und Fernmetastasen [Lupinetti et al. 2007, Chi 2008].
Dr. Tobias EttlProf. Dr. Dr. Torsten E. ReichertKlinik und Poliklinik für Mund-,Kiefer- und GesichtschirurgieUniversität RegensburgFranz-Josef-Strauß-Allee 1193053 Regensburg
Priv.-Doz. Dr. Dr. Oliver DriemelAbteilung für Mund-, Kiefer- undGesichtschirurgie/Plastische OperationenStädtisches Klinikum LüneburgBögelstr. 121339 Lüneburgoliver.driemel@klinik.uni-regensburg.de




