Pleomorphes Adenom der kleinen Speicheldrüsen
Eine 40-jährige Patientin wurde mit einer seit etwa zwei Jahren bestehenden und an Größe zunehmenden Schwellung im Bereich des linken Gaumens in der Klinik und Poliklinik für Mund-, Kiefer- und Gesichtschirurgie vorstellig. Aufgrund der Verdachtsdiagnose einer „Speichelzyste“ war bei der Patientin trotz mehrmaliger HNO- und zahnärztlicher Untersuchungen keine chirurgische Therapie eingeleitet worden.
In der klinischen Untersuchung zeigte sich intraoral eine im Durchmesser etwa 2 cm messende weiche, glatt begrenzte, gut abgrenzbare und nicht druckschmerzhafte Vorwölbung am Übergang vom harten zum weichen Gaumen links (Abbildung 1 a, b). Der Zahnstatus erwies sich als gepflegt, die angrenzenden Zähne 26 und 27 reagierten positiv im Kälteprovokationstest. Das durchgeführte Orthopantomogramm (OPG) war unauffällig (Abbildung 1 c).
Es folgte eine Inzisionsbiopsie der Läsion in Lokalanästhesie. Im Schnellschnitt und im paraffineingebetteten Material zeigten sich umschriebene Anteile eines drüsig differenzierten Speicheldrüsentumors, wobei an diesem Gewebe noch nicht zwischen einem Adenom und einem adenoid-zystischen Karzinom differenziert werden konnte. Erst die zweite Probebiopsie ergab ein eindeutig gutartiges Tumorgewebe, vereinbar mit einem Basalzelladenom oder einem pleomorphen Adenom.
Zur Darstellung der Befundausdehnung wurde zusätzlich eine Magnetresonanztomographie durchgeführt. Diese dokumentierte eine 1,5 cm messende, verdrängend wachsende Raumforderung im linken Gaumenbereich mit Kontakt zum linken Kieferhöhlenboden im dorsalen Anteil (Abbildung 2).
Nach Abschluss der präoperativen Diagnostik erfolgte in Intubationsnarkose die Exzision des Tumors mit Sicherheitsabstand ohne knöcherne Resektion (Abbildung 3). Die Exzisionswunde wurde zur Sekundärheilung mit einer Gaumenschutzplatte abgedeckt.
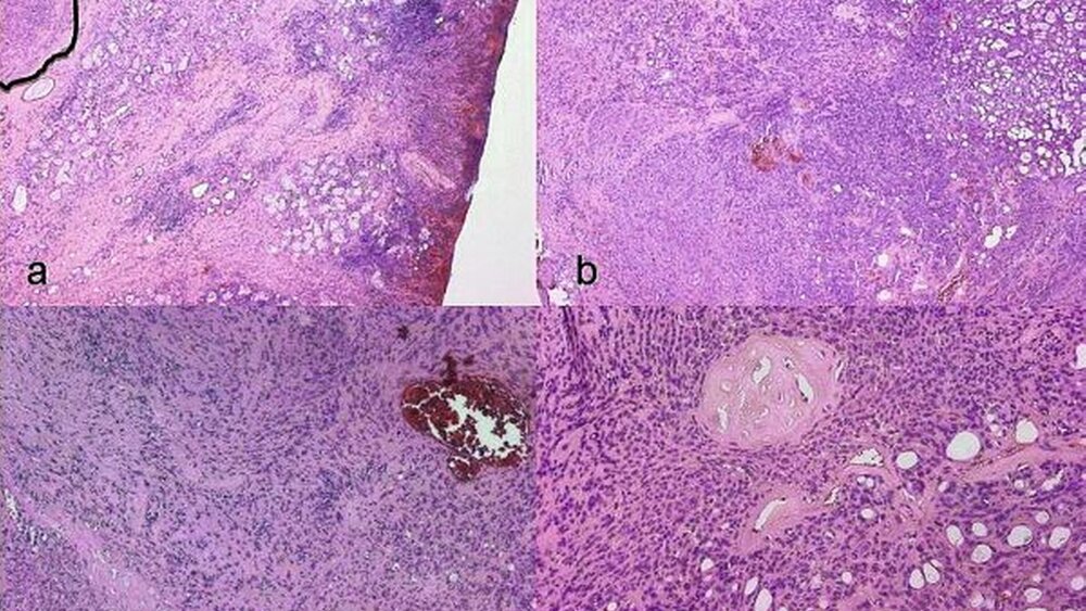
Das abschließende histo-pathologische Gutachten diagnostizierte mittels immunhistochemischer Zusatzuntersuchungen ein pleomorphes Adenom der kleinen Speicheldrüsen ohne Anhalt für Malignität (Abbildung 4).
Diskussion
Schwellungen im Gaumenbereich können durch entzündliche und neoplastische Veränderungen hervorgerufen werden. So können Palatinalabszesse ihren Ursprung von benachbarten Zähnen, infizierten Zysten oder einer entzündeten Kieferhöhle nehmen. Klinisch finden sich dann neben einer raschen Größenprogredienz die klassischen lokalen und systemischen Entzündungszeichen. Die Überprüfung der Sensibilität und Perkussionsempfindlichkeit angrenzender Zähne dient als klinischer Hinweis auf eine odontogene Ursache [Schmelzle und Schwenzer 2000]. Mittels Röntgendiagnostik (OPG, NNH) können periapikale und zystische Veränderungen sowie Sinusitiden dargestellt werden. Bei der vorgestellten Patientin sollte aufgrund des langen und schmerzlosen Wachstums eine Neubildung in Erwägung gezogen werden. Neoplasien im Bereich des harten und weichen Gaumens nehmen am häufigsten ihren Ursprung in den kleinen Speicheldrüsen. Der klinische Befund der gut abgrenzbaren Läsion mit intakter Gaumenschleimhaut ohne Ulzeration deutete im eigenen Fall auf einen gutartigen Tumor hin, wobei speziell niedrig maligne Karzinome der kleinen Speicheldrüsen - etwa ein Azinuszellkarzinom oder ein niedrig malignes Mukoepidermoidkarzinom - bei ebenfalls langsamem Wachstum ein ähnliches Bild aufweisen können. Die bei Weitem häufigste benigne Neoplasie der kleinen Gaumenspeicheldrüsen ist das pleomorphe Adenom (Synonym: Benigner Mischtumor) mit einem Anteil von etwa 40 Prozent an allen Tumoren der kleinen Speicheldrüsen und einen Anteil von 65 bis 90 Prozent der benignen Tumore [Buchner et al. 2007, Dhanutai et al. 2009 a]. Betroffen sind am häufigsten Patienten zwischen 40 und 50 Jahren. Prädilektionsstelle ist mit circa 80 Prozent aller pleomorphen Adenome die Glandula parotidea. Bei Befall der kleinen Speicheldrüsen stellt der Gaumen, speziell der Übergang von hartem zu weichem Gaumen, wie im vorgestellten Fall, mit nahezu zwei Drittel der Fälle die häufigste Lokalisation dar [Buchner et al. 2007, Tian et al. 2010]. Vom klinischen Aspekt imponiert ein langsames, schmerzloses Wachstum der Läsion mit glatt begrenzter Oberflächenmucosa. Bei zunehmender Vergrößerung oder bei Prothesenträgern kann es zu Ulzerationen kommen.
Histopathologisch ist das pleomorphe Adenom durch eine strukturelle Pleomorphie aus epithelialen und myoepithelialen Zellen gemischt mit mukoidem, myxoidem oder chondroidem Stroma gekennzeichnet [Eveson et al. 2005]. Je nach überwiegendem Stromaanteil weisen die Tumoren daher eine eher derbe oder weiche Konsistenz auf. Letzteres hatten die Kollegen bei der Patientin an eine „Speichelzyste“ denken lassen.
Neben weiteren benignen Tumoren der kleinen Speicheldrüsen wie dem Basalzell- adenom oder dem Myoepitheliom müssen im Bereich des Gaumens aber auch Malig- nome wie das Mukoepidermoidkarzinom, das adenoid-zystische Karzinom oder das Azinuszellkarzinom differentialdiagnostisch beachtet werden. Besonders bei den Tumoren der kleinen Speicheldrüsen, so auch im Gaumenbereich, liegt der Anteil an Karzinomen bei 50 Prozent [Buchner et al. 2007, Neville et al. 2009, Tian et al. 2010]. Das pleomorphe Adenom besitzt zusätzlich die Besonderheit der malignen Entartung zu einem sogenannten Karzinom im pleomorphen Adenom. Die Transformationswahrscheinlichkeit liegt bei etwa 5 Prozent [Neville et al. 2009], steigt jedoch mit Dauer des Bestehens an. Es kommt dann zu einer kurzfristigen Größenzunahme eines lange vorbestehenden Tumors.
Weitere seltenere Differentialdiagnosen von Gaumenschwellungen umfassen Weichgewebstumoren wie etwa Fibrome, Lipome, Neurofibrome oder auch Lymphome [Dhanuthai et al. 2009 b].
Entscheidend für die Diagnostik ist die Inzi- sionsbiopsie mit histopathologischer Begutachtung. Weiterführende Bildgebungen (CT, MRT) dienen vor allem der präoperativen Darstellung der Befundausdehnung. Bei begründetem Malignitätsverdacht sollte ein onkologisches Staging zur Detektion möglicher Regional- und Fernmetastasen eingeleitet werden.
Bei der von den Kollegen initial vermuteten „Speichelzyste“ handelt es sich um eine Extravasationszyste (Synonym: Mukozele), die durch eine Verletzung der kleinen Speichelgänge mit Muzin-Austritt in umgebendes Weichgewebe entsteht. Klinisch erscheint sie als bis zu 2 cm große kugelige, bläulich-glasig schimmernde, fluktierende Mucosa-Schwellung. Prädilektionsstelle ist mit einer Häufigkeit von etwa 80 Prozent die Unterlippe, während Mukozelen des Gaumens sehr selten (rund 1 Prozent) sind. Klinisch können die Läsionen ein Wachstum von wenigen Tagen bis zu mehreren Jahren aufweisen, häufig berichten die Patienten jedoch über rezidivierende Schwellungen mit Rupturen und Flüssigkeitsaustritt [Neville et al. 2009].
Die Therapie eines benignen Speicheldrüsentumors besteht wie im Fall beschrieben in der Exzision der Läsion mit geringem Sicherheitsabstand. Bei Malignomen kann eine Oberkieferteilresektion mit Lymphknotendissektion notwendig werden [Clauser et al. 2004].
Dr. Dr. Tobias EttlDr. Dr. Martin GosauProf. Dr. Dr. Torsten E. ReichertKlinik und Poliklinik für Mund-, Kiefer- undGesichtschirurgieUniversität RegensburgFranz-Josef-Strauß-Allee 1193053 Regensburgmartin.gosau@klinik.uni-regensburg.de
Dr. Katrin KurzInstitut für PathologieUniversität RegensburgFranz-Josef-Strauß-Allee 1193053 Regensburg




