Die kongenitale Ranula
Ein Säugling wurde im Alter von sechs Wochen von den Eltern wegen einer unklaren Schwellung im Bereich des linken Mundbodens vorgestellt (Abbildung 1). Die Eltern berichteten, dass diese bläuliche Veränderung der Schleimhaut seit der Geburt des Kindes besteht. Eine Größenzunahme hatten die Eltern nicht bemerkt.
Klinisch handelte es sich um eine bläulich durchscheinende, weiche Schwellung im Bereich des linken Mundbodens, die etwas über die Mittellinie hinausreichte. Die Oberfläche der Mundschleimhaut war glatt und glänzend, und es zeigten sich keine Gefäßektasien. Der klinische Befund entsprach einer klassischen Ranula, untypisch war allerdings das frühe Auftreten unmittelbar postpartal. Insofern war eine Abgrenzung beispielsweise von einer zystischen lymphatischen Malformation nicht eindeutig möglich.
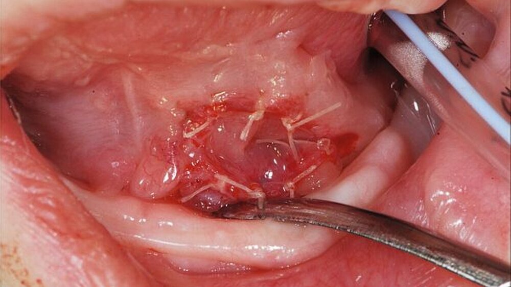
Da sich kein Größenwachstum gezeigt hatte, wurde zunächst ein Alter von drei Monaten abgewartet, um das Risiko der anästhesiologischen und perioperativen Betreuung zu minimieren. Im Alter von drei Monaten wurde dann der Mundboden chirurgisch exploriert. Hierbei zeigte sich als Ursache ein ektatischer Ductus submandibularis bei kongenitaler Gangstenose beziehungsweise Gangatresie (Abbildung 2). Der ektatische Gang wurde eröffnet (Abbildung 3) und eine Marsupialisation durch Vernähung des Gangepithels mit der Mundschleimhaut vorgenommen (Abbildung 4).
In der Nachbeobachtung über bislang fünf Monate ergab sich keine weitere Störung des Sekretabflusses.
Diskussion
Der Bergriff der „Ranula“ beschreibt eine oft bläulich vorgewölbte Schleimhautveränderung im vorderen Mundboden. Abgeleitet wurde dieser Begriff von dem lateinischen Wort „rana“ für „Frosch“, aufgrund der Ähnlichkeit zu den transparenten Schallblasen eines Frosches. Während die Ranula im Jugendlichen- und im Erwachsenenalter recht häufig beobachtet wird, ist eine kongenitale Ranula insgesamt sehr selten [Ukboko et al., 2002].
Hinter dem klinischen Begriff der Ranula verbergen sich dabei pathogenetisch ganz unterschiedliche Krankheitsentitäten. Hierbei handelt es sich entweder um Extravasations- Pseudozysten, das heißt Mucingefüllte Hohlräume ohne epitheliale Auskleidung (Ranula im engeren Sinne) oder um echte zystische Erweiterungen von Gangstrukturen, wobei sowohl die kleinen Ausführungsgänge der Glandula sublingualis als auch der Ductus submandibularis ursächlich betroffen sein können. Daneben wurde der Begriff der Ranula auch teilweise für andere Entitäten wie Demoidzysten des Mundbodens verwendet.
Diese Begriffsverwirrung vermag auch zu erklären, warum völlig unterschiedliche Verlaufsbeschreibungen und völlig kontroverse Therapieempfehlungen in der Literatur gefunden werden. Für die kongenitale Ranula reichen die Empfehlungen dabei vom reinen Beobachten [Bernhard et al., 2007] wegen spontanen Remissionen bis zur frühen chirurgischen Intervention wegen lokaler Komplikationen [Pownell et al., 1992 ; Amin und Bailey, 2001]. Hierbei liegt nahe, dass es sich bei den spontanen Remissionen um oberflächlich gelegene singuläre Extravasations-Pseudozysten, bei den komplizierten Verläufen hingegen eher um echte Gangzysten gehandelt haben wird. Klinisch ist eine Unterscheidung zwischen Extravasations-Pseudozysten, echten Zysten kleiner Ausführungsgänge und echten Gangzysten des Ductus submandibularis kaum möglich.
Und gerade hierin liegt das eigentliche Problem der Therapieentscheidung: Bei oberflächlichen Extravasations-Pseudozysten kann es durch eine spontane Perforation oder eine artifizielle punktförmige Eröffnung zu einer kompletten Remission kommen. Bei einer echten Stenose oder Atresie des Ductus submandibularis ist hingegen mit einer langfristigen Okklusionssymptomatik zu rechnen, in deren Folge eine Sialadenitis oder auch eine onkozytische Metaplasie eintreten kann [Neville, 2002]. Aus diesem Grund ist bei der echten Gangzyste beziehungsweise Stenose des Ductus submandibularis eine chirurgische Entlastung, und bei fortgeschrittenen Läsionen gelegentlich auch eine Entfernung der Drüse nötig. Gehen Extravasations-Pseudozysten oder auch Gangzysten von der Glandula sublingualis aus, ist die Entfernung der Drüse regelmäßig nötig, weil die zahlreichen kleinen Ausführungsgänge ein hohes Rezidiv-Risiko bedeuten.
Wegen der schwierigen Einordnung innerhalb der verschiedenen Speicheldrüsenläsionen und auch zum Ausschluss anderer, klinisch nicht sicher abgrenzbarer Entitäten – wie zystischen lymphatischen Malformationen – erfolgte im aktuellen Fall die chirurgische Exploration, bei der sich dann auch die eindeutig therapiebedürftige Variante einer Gangatresie ergab.
Für die Praxis soll dieser Fall zum einen etwas Übersicht in die kuriosen Begriffsverwirrungen bringen, die sich mit dem Begriff der Ranula verbinden. Außerdem sollte daran erinnert werden, dass auch in der Neugeborenen- und Säuglingszeit Pathologien der Mundhöhle auftreten können, die einer Diagnostik auf zahnärztlichem Fachgebiet bedürfen. Dr. Dr. Katrin SteinProf. Dr. Dr. Martin KunkelKlinik für Mund-, Kiefer- und plastischeGesichtschirurgieUniversitätsklinikum KnappschaftskrankenhausBochumRuhr-Universität BochumIn der Schornau 23-2544892 Bochumkatrin.stein@ruhr-uni-bochum.demartin.kunkel@ruhr-uni-bochum.de




