Hämangiom, Feuermal, Nävus ...
Eine sehr häufige Hautveränderung, die oft schon bei der Geburt eines Kindes auffällt, ist das Hämangiom, im Volksmund auch Blutschwämmchen genannt. Es besteht in der Regel aus kapillären Blut- und Lymphgefäßen, die eine mehr oder weniger große Gefäßgeschwulst bilden, wobei die infantilen Hämangiome dem Plazentagewebe ähnlich sind. Hämangiome können sich im ganzen Körper bilden, sie fallen vor allem auf, wenn die Haut betroffen ist, die Veränderungen also direkt sichtbar sind. In anderen Körperbereichen werden Hämangiome oft gar nicht oder nur als Zufallsbefund entdeckt.
Die Blutschwämmchen sind per se harmlos, verursachen meist keine Beschwerden, können aber bei Verletzungen stark bluten, so dass eine gewisse Vorsicht geboten ist. Deshalb sollten Blutschwämmchen keinesfalls aufgekratzt werden.
Die Gefäßveränderungen durchlaufen drei Phasen, die Wachstumsphase, die üblicherweise sechs bis neun Monate dauert und in der das Hämangiom sich in der Fläche ausbreitet, die Stillstandsphase und die Rückbildungsphase.
Die Blutschwämmchen haben somit eine hohe Rückbildungstendenz, sie gehen bei 90 Prozent der betroffenen Kinder bis etwa zum zehnten Lebensjahr deutlich zurück. Ihre Tendenz zu entarten ist gering, doch ist eine gewisse Vorsicht geboten, wenn die Gefäßanomalien eine deutliche Wachstumstendenz zeigen sollten. Ob ein Hämangiom später entarten wird oder nicht, lässt sich nicht vorhersagen.
In rund 60 Prozent der Fälle sind die Blutschwämmchen in der Kopf/Halsregion lokalisiert, etwa ein Drittel der Veränderungen entwickelt sich in der Leber. Sind große Körperflächen betroffen, wie es gelegentlich im Bereich der Arme der Fall sein kann, liegt eine Angiomatose vor.
Kapilläres Hämangiom
Die Gefäßanomalie bildet sich meist aus kapillären Blutgefäßen, es wird deshalb auch von einem kapillären Hämangiom (Haemangioma capillare) gesprochen. Es handelt sich üblicherweise um weiche erhabene, hellrote bis rote Knötchen, die als Konglomerat zusammenstehen, wobei die Region, die vom Hämangiom betroffen ist, mehrere Zentimeter groß sein und zudem nach der Geburt noch deutlich wachsen kann.
Ein solches Blutschwämmchen weisen drei bis fünf Prozent der Neugeborenen auf, bei Frühgeborenen sind sie noch deutlich häufiger, Mädchen sind davon abgesehen generell öfter betroffen als Jungen. Insgesamt sind die Hämangiome damit der häufigste Tumor im Kindesalter.
Wird eine Behandlung vom Betroffenen gewünscht oder ist sie beispielsweise bei eindeutiger Wachstumstendenz des Gefäßtumors medizinisch indiziert, kann die Anomalie mittels Lasertherapie entfernt werden. Alternativ kommt die Kryotherapie infrage, eine chirurgische Entfernung ist eher nicht üblich. Es gibt Medi- kamente, die die Gefäßwucherung zum Schrumpfen bringen. Zum Einsatz kommen häufig Kortikoide, wobei bei Kindern insbesondere die drohende Wachstumshemmung unter Steroidgabe zu bedenken ist. Quasi per Zufall wurde entdeckt, dass auch Betablocker das Wachstum der Fehlbildungen eindämmen können und sich somit therapeutisch nutzen lassen.
Eine Behandlung der Hämangiome kann auch notwendig werden, wenn der Gefäßtumor am Auge des Kindes sitzt und Sehstörungen hervorruft oder wenn intertriginöse Körperregionen, Körperöffnungen oder allgemein der Anogenitalbereich betroffen sind, da dann Ulzerationen und Superinfektionen begünstigt werden.
###more### ###title### Kavernöses Hämangiom ###title### ###more###
Kavernöses Hämangiom
Eine Art Sonderform stellt das kavernöse Hämangiom (Haemangioma cavernosum) dar, bei dem sich die Anomalie aus einem Gefäßhohlraum entwickelt, mit arterio- venöser Gefäßfehlbildung. Zu differenzieren sind kutane, kutan-subkutane und subkutane Hämangiome.
Die zunächst kleinen, blutgefüllten Hohlräume können zum Teil recht schnell wachsen. Sie können bei Verletzungen stark bluten, und es kann zu einer Infektion kommen, so dass die Indikation zur Behandlung meist früher gestellt wird als bei kapillären Hämangiomen. Mittel der Wahl ist üblicherweise die Lasertherapie.
Seniles Angiom
Ganz anders sehen Angiome aus, die sich im höheren Lebensalter bilden und daher auch als „seniles Angiom“ bezeichnet werden. So kommt es mit zunehmendem Alter nicht selten zur Entwicklung kleiner Ansammlungen von Kapillaren, die wie – mehr oder weniger große – rote Knötchen über der Haut verstreut sind. Betroffen ist vor allem die Rumpfregion, speziell der Rücken und der Bauchbereich. Die Hämangiome sind meist stecknadelkopfgroß, können durchaus aber auch etwa die Größe von Linsen erreichen. Sie können einzeln oder in Gruppen zusammen stehen, verursachen keine Beschwerden und sind medizinisch harmlos.
Die Altersblutschwämmchen treten gelegentlich vereinzelt schon ab dem 40. Lebensjahr auf, bei Frauen deutlich häufiger als bei Männern. Warum die Hämangiome im Alter entstehen, ist nicht bekannt. Die Veränderungen können operativ oder auch mittels einer Laserbehandlung entfernt werden, wenn sie den Betreffenden stark stören.
Spider naevi
Eine weitere Sonderform der Hämangiome sind die Spider naevi, auch Naevus areanus oder wegen ihres charakteristischen Aus- sehens Gefäßsternchen, Sternnävus oder auch Spinnennävus genannt. Wegen der häufigen Assoziation zu Lebererkrankun-gen ist auch der Begriff „Lebersternchen“ üblich. Die Gefäßbildungen gehen beim Spider naevi sternförmig von einem arte-riellen, etwas erhabenen, stecknadelkopfgroßen Gefäßknötchen aus, was ihnen tatsächlich ein spinnennetzartiges Aussehen verleiht. Die Spider naevi sind meist in der oberen Körperhälfte zu finden, sie bilden sich bevorzugt im Gesicht und am Nacken, an den Händen sowie am Thorax. Streicht man den Spider naevus mit einem Glasspachtel aus, so verschwindet die Hautveränderung für einen kurzen Moment, kehrt dann aber sofort zurück, wenn man den Spachtel anhebt und sich das Gefäß wieder mit Blut füllt.
Häufig sind solche Veränderungen bei Kindern und Schwangeren sowie bei Frauen unter hormoneller Kontrazeption. Sie bilden sich zumeist spontan wieder zurück.
Anders ist das bei Patienten mit Lebererkrankung und insbesondere bei Alkohol-bedingter Lebererkrankung. Bei ihnen finden sich ebenfalls gehäuft Spider naevi, die sich allerdings meist nicht mehr zurückbilden.
Die Gefäßveränderungen entstehen außerdem nicht selten im Zusammenhang mit einer Krebserkrankung. Sie sind für sich genommen medizinisch harmlos, können jedoch Anzeichen einer Lebererkrankung darstellen oder hinweisend auf eine Krebserkrankung sein.
Da die Spider naevi selbst – sieht man von der oft zugrunde liegenden Lebererkrankung ab – harmlos sind, erfolgt üblicher-weise keine Therapie. Werden sie aber als kosmetisch belastend empfunden, so lassen sie sich meist gut durch eine Laserbehandlung entfernen.
###more### ###title### Granuloma pyogenicum ###title### ###more###
Granuloma pyogenicum
Eine ebenfalls lokalisierte Gefäßveränderung stellt das sogenannte Granuloma pyogenicum dar, eine pilzförmige Gefäßwucherung, die sich typischerweise nach einer lokalen Verletzung mit anschließender bakterieller Infektion und Entzündung bildet. Betroffen sind vor allem die Lippen und die Finger. Das Granulom erscheint bläulich-rot und kann bis zu einem Zentimeter groß werden. Bei Berührung kann sich der Granulom- knoten durch einen leichten Druckschmerz bemerkbar machen.
Nävus flammeus – das Feuermal
Als Nävus gut bekannt ist das Feuermal, medizinisch Nävus flammeus, eine in aller Regel gutartige, angeborene Hautveränderung, die durch ihre ausgeprägte Rötung auffällt. Die Rötung ist dadurch bedingt, dass kleine, stark erweiterte Blutgefäße direkt unterhalb der Oberhaut verlaufen. Die Gefäßerweiterung soll durch eine Fehlbildung in der Gefäßmuskulatur bedingt sein.
Das Feuermal kommt bei 0,2 bis 0,3 Prozent aller Neugeborenen vor. Es ist meist schon bei der Geburt vorhanden, kann sich aber auch in den ersten Lebenswochen ent- wickeln. Der Nävus kann unterschiedlich große Hautregionen betreffen.
Ist er recht klein, wird üblicherweise von einem Storchenbiss gesprochen. Die „kleine Variante“ des Feuermals ist deutlich häufiger, sie findet sich bei rund 60 Prozent der Kinder besonders im Nackenbereich, verblasst in aller Regel allerdings innerhalb kurzer Zeit nach der Geburt.
Anders der echte ausgedehnte Nävus flammeus, der als lebenslange Hautanomalie erhalten bleibt. Er dehnt sich meist über größere Hautpartien aus, betroffen ist sehr oft das Gesicht, eine weitere häufige Lokalisation ist der Nacken.
Im Verlauf des Lebens können sich in der Nävus-Region kleine Knötchen oder Ver-härtungen bilden. Warum Feuermal und Storchenbiss entstehen, ist nicht bekannt.
Das Feuermal stellt zwar prinzipiell eine gutartige Hautanomalie dar. Dennoch kann eine Behandlung erforderlich werden. Denn die Hautveränderungen werden von den Betroffenen nicht selten als kosmetisch stark belastend und sogar stigmatisierend erlebt. Dies ist vor allem dann der Fall, wenn der Nävus große Teile des Gesichts umfasst, wenn er – wie etwa bei Michail Gorbatschow – an recht auffallender Stelle lokalisiert ist und somit kosmetisch kaum zu überdecken ist.
Das Feuermal kann mittels einer Lasertherapie entfernt werden. Allerdings handelt es sich hierbei meist um eine langwierige, zum Teil Jahre dauernde Behandlung. Bis zu zehn Therapiesitzungen mit jeweils Pausen von etwa zwei Monaten sind erforderlich.
Zu bedenken ist ferner, dass das Feuermal in seltenen Fällen mit bestimmten Erkrankungen, insbesondere mit Gefäßfehlbildungen in anderen Körperbereichen, assoziiert sein kann. Die Syndrome, mit denen ein solcher Nävus in Verbindung gebracht wird, sind sehr vielfältig. Unter anderem ist bekannt, dass auch die Augen, die Hirnhäute und das Gehirn involviert sein können und ein sogenanntes Sturge-Weber-Syndrom vorliegt. Die betroffenen Kinder entwickeln häufig epileptische Anfälle und weisen nicht selten eine geistige Retardierung auf. Eine Assoziation besteht auch zum sogenannten Klippel-Trénaunay-Weber-Syndrom, einer Erkrankung, die mit partiellem Riesenwuchs der Extremitäten und/oder im Rumpf- bereich einhergeht. Das Feuermal kann möglicherweise auch hinweisend auf ein sogenanntes Maffucci-Syndrom sein, bei dem Gefäßfehlbildungen und gutartige Knochentumore auftreten.
###more### ###title### ###title### ###more###
Zu den kosmetisch nicht selten belastenden Fehlbildungen der Haut gehört auch der Nävus, gemeinhin als Muttermal oder Leberfleck bezeichnet. Gebildet werden die Nävi zumeist von pigmentbildenden Zellen, was die dunkle bis schwarze Farbe der Veränderungen erklärt. Allerdings können Nävi auch aus anderen Zellen hervorgehen, beispielsweise aus Blutgefäßzellen, aus Bindegewebszellen oder auch aus Drüsenzellen.
Es handelt sich bei den Nävi somit um eine sehr heterogene Gruppe von Hautanomalien. Das zeigt auch schon die Tatsache, dass die aus Pigmentzellen hervorgehenden Nävi weiter in Untergruppen unterteilt werden können.
Café-au-lait- und Altersflecken
Zu differenzieren sind die melanozytären Nävi, die von Melanozyten, den eigentlichen Pigmentzellen gebildet werden, sowie die epidermalen melanozytären Nävi, die in der Epidermis liegen und die weniger intensiv dunkel gefärbten Sommersprossen und Leberflecken bilden. In diese Gruppe gehören ferner die Lentigo solaris, auch Altersflecken genannt.
Zu den melanozytären Pigmentflecken zählt auch der Nävus pigmentosus, ebenfalls eine hyperpigmentierte umschriebene Hautregion, die wegen ihrer charakteristischen Färbung auch als Café-au-lait-Fleck bezeichnet wird.
Die Hautveränderungen bedürfen üblicherweise keiner Behandlung. Eine medizinische Abklärung ist nur erforderlich, wenn solche Pigmentflecken bei Kindern auffallend häufig oder ungewöhnlich groß sind oder wenn es gilt, ein malignes Melanom auszuschließen.
Melanozytäre Nävi
Eine Abgrenzung zu einem potenziellen malignen Melanom ist insbesondere bei den melanozytären Nävi wichtig, da diese zum Teil sehr dunkel bis sogar schwarz pigmentiert sind. Die Pigmentzellnävi können sehr unterschiedlich gestaltet sein und als sogenannte Tierzellnävi auch mit Haaren ausgestattet sein.
Unterschieden werden kongenitale, also angeborene sowie erworbene melanozytäre Nävi. Fast jeder Mensch trägt dabei einige wenige dieser Pigmentflecken, es gibt aber auch Menschen mit sehr vielen Nävi. Diese können zum Teil sehr groß werden und werden dann als Riesennävi bezeichnet. Da die Haut in diesen Veränderungen kaum Talgdrüsen und auch kaum Schweiß- drüsen enthält, schwitzen die betroffenen Menschen in diesen Bereichen weniger und leiden gelegentlich unter Trockenheit der Haut und unter Juckreiz.
Sehr unwahrscheinlich ist, dass primär melanozytäre Nävi maligne entarten. Selbst bei den Riesennävi liegt dieses Risiko nicht höher als drei bis fünf Prozent.
Mongolenfleck
Auch der sogenannte Mongolenfleck, auch Sakralfleck, Steißfleck oder Hunnenfleck genannt, gehört zu den Pigmentnävi. Es handelt sich um ein unregelmäßiges Muttermal leicht bläulicher Färbung, das meist am Rücken, speziell in der Steißregion lokalisiert und schon beim Neugeborenen vorhanden ist. Es geht auf vermehrte Pigmentzellen in der betroffenen Hautregion zurück und kann bis zu handtellergroß werden.
Der Mongolenfleck ist durch eine genetische Besonderheit bedingt, die zur Folge hat, dass Pigmentzellen bei der embryonalen Entwicklung nicht rasch genug aus dem Neuralrohr in die Haut auswandern. Die Pigmentnävi treten als Geburtsmal vor allem bei Kindern mit eher dunkler Haut auf, also beispielsweise bei Kindern afrikanischer, asiatischer oder auch lateinamerikanischer Abstammung, was die Bezeichnung „Mongolenfleck“ erklärt. Der Nävus ist medizinisch harmlos, verblasst beim Heran-wachsen und bildet sich in aller Regel bis zur Pubertät vollständig zurück.
INFO
Weiterführende Informationen
• S2-Leitlinie „Hämangiome“ 2008,www.awmf.de
• S2-Leitlinie „Hämangiome im Säuglings- und Kleinkindalter“ 2007,www.awmf.de
• Nävus-Netzwerk Deutschland e.V.,www.naevus-netzwerk.de
###more### ###title### Aus Sicht der Zahnmedizin ###title### ###more###
Aus Sicht der Zahnmedizin
Obwohl die Klassifikation vaskulärer Anomalien in der Vergangenheit weitgehend etabliert wurde, bestehen oft noch erhebliche Unsicherheiten bezüglich der Zuordnung.
Während Hämangiome beispielsweise echte, benigne Neoplasien sind und dementsprechend eine erhöhte endotheliale Zellproliferation aufweisen, wird bei vaskulären Malformationen die Ursache in einer fehlerhaften vaskulären Morphogenese ohne veränderte Zellteilungskinetik gesucht. Neben der Ätiologie zeigen die beiden Formen auch ein unterschiedliches Wachstums- verhalten. Echte Hämangiome treten typischerweise in der frühesten Kindheit auf und zeigen einen charakteristischen Lebenslauf (Proliferations-, Stagnations- und (häufig) Involutionsphase). Bei vasku-lären Malformationen existieren keine Involutionstendenzen. Eher entsteht, vor allem durch die passive Ausweitung der hypo-plastischen Gefäßlumina, eine Volumenzunahme. Somit ist auch die Therapie der beiden Entitäten vollkommen unterschiedlich. Bei dem Hämangiom liegt das Augenmerk auf der Begrenzung von eventuell vorkommendem, destruierendem Wachstum. Bei vaskulären Malformationen bestehen die Therapieansätze im Gegensatz dazu in der Prophylaxe passiver Gewebedeformierungen und Blutungen. So würde bei den Hämangiomen prinzipiell zugewartet werden, vor allem oberflächliche Läsionen können bei ästhetischen Beschwerden mittels Lasertherapie gut behandelt werden. Auch die medikamentöse Therapie mit Betarezeptorenblockern führt bei den kleinen Patienten zu einer Rückbildung.
Die Therapie vaskulärer Läsionen ist weit komplexer, da sie sich an dem jeweils vorliegenden Gefäßtyp und den vorliegenden Flusscharakteristika orientiert. Bei Niedrigflussläsionen kann eine chirurgische Exstirpation, eine Sklerosierung oder eine interstitielle Lasertherapie das Mittel der Wahl darstellen. Bei Hochflussläsionen dagegen ist die Embolisation, gegebenenfalls gefolgt von der Resektion, das Mittel der Wahl.
Fazit für die Praxis:
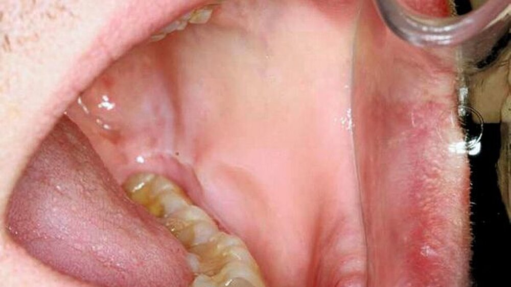
Da ein Großteil der Veränderungen am Kopf und hier auch im Mund (vor allem im Bereich der Lippe, der Zunge, der buccalen Mukosa und des Gaumens) zu finden sind, ist bei der Entdeckung derartiger Strukturen oftmals ein effizientes Zusammenspiel von Anamnese und klinischer Untersuchung – zum Beispiel eine bidigitale Palpation bei Verdacht auf vaskuläre Läsionen der seitlichen Mundhöhlenbegrenzung oder der tiefen Weichgewebsstrukturen des Mundbodens – notwendig. Die richtige Diagnostik erlaubt eine Zuordnung in den jeweils adäquaten Therapiearm. Ein kompetentes Vorgehen nimmt sicherlich nicht nur den Eltern der kleinen Patienten die Angst.
Univ.-Prof. Dr. Dr. Monika DaubländerLeitende Oberärztin der Poliklinik für Zahnärztliche ChirurgieUniversitätsmedizin der Johannes Gutenberg-Universität MainzPoliklinik für Zahnärztliche ChirurgieAugustusplatz 255131 Mainzdaublaen@uni-mainz.de
Dr. Dr. Peer W. KämmererKlinik für Mund-, Kiefer- und GesichtschirurgieAugustusplatz 255131 Mainz




