Kalzifizierender epithelialer odontogener Tumor des Oberkiefers
Vinay V. Kumar, Christian Walter, Peer W. Kämmerer
Ein 50-jähriger Patient stellte sich mit einer seit ungefähr sechs Monaten progressiv zunehmenden Schwellung der rechten Gesichtshälfte in der Abteilung für Mund-, Kiefer- und Gesichtschirurgie des Nair Hospital and Dental College in Mumbai, Indien, vor. Die feste, nicht verschiebliche und nicht druckdolente Veränderung hatte im Bereich der maxillären rechten Prämolaren begonnen und sich bis zur Nase ausgebreitet. Anzeichen auf ein infektiöses Geschehen bestanden nicht. Anamnestisch lagen keine Nebenerkrankungen vor.
Die initiale klinische Untersuchung zeigte von extraoral eine rechtsbetonte Asymmetrie bedingt durch die beschriebene, circa 3 cm x 4 cm große Schwellung. Diese erstreckte sich von kaudal der Oberlippe bis kranial einen Zentimeter unterhalb des Infraorbitalrandes. In der horizontalen Ebene reichte der Tumor von medial des rechten Nasenflügels nach lateral auf Höhe des Augenwinkels (Abbildung 1).
Es bestand keine Behinderung der Nasenatmung, die Augenbeweglichkeit und der Visus waren auf beiden Seiten ohne Auffälligkeiten. Eine Lymphknotenbeteiligung ließ sich nicht nachweisen. Enoral war eine deutliche Auftreibung des rechten Vestibulums von 13 bis 17 zu sehen. Nach medial erreichte der Tumor die Mittellinie (Abbildung 2). Bei insgesamt schlechten Mundhygieneverhältnissen wiesen die im Bereich der RF liegenden Zähne 14 und 17 einen Lockerungsgrad von II auf, die Zähne 15 und 16 waren nicht vorhanden. Zahn 14 war vor mehreren Jahren verloren gegangen, der zweite Prämolar war nie durchgebrochen. Die folgende radiologische Diagnostik beinhaltete ein OPTG und eine CT-Untersuchung. Bereits im OPTG war eine gemischt radioluzente/radiopake Läsion des rechten Oberkiefers in Assoziation mit dem verlagerten Zahn 15 zu sehen (Abbildung 3). Das CT enthüllte die dreidimensionale Ausprägung des heterogenen Tumors, der die rechte Kieferhöhle ausfüllte, die laterale Wand zur Nase hin eindrückte und den maxillären Knochen stellenweise arrodiert hatte (Abbildungen 4a und 4b).
Somit ergaben sich die Differenzialdiagnosen eines odontogenen Tumors, wie zum Beispiel eine verkalkende odontogene Zyste, und eines malignen Geschehens.
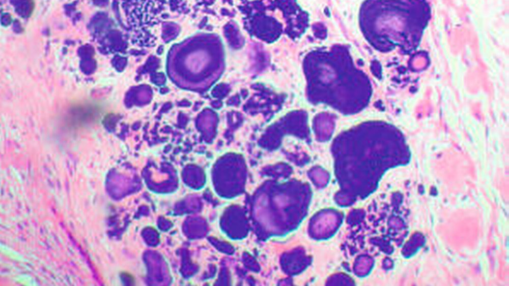
In Lokalanästhesie wurde in der Folge eine Gewebebiopsie entnommen. Die histologische Untersuchung wies polyedrische Epithelzellen, dicht in fibröses Weichgewebe verpackt, nach. Zwischen den Zellinseln fand sich homogenes, eosinophiles, amyloid-ähnliches Material. Eine folgende Kongorot-Spezialfärbung konnte das Vorliegen von Amyloid bestätigen (Abbildung 5).
Weiterhin ließ sich in der Probe eine ausgeprägte, ringförmige Kalzifizierung (Abbildung 6) nachweisen. Diese Ergebnisse, zusammen mit der klinischen Untersuchung, wiesen auf einen kalzifizierenden epithelialen odontogenen Tumor hin. Daher wurde die Läsion in Vollnarkose mit Sicherheitsabstand in toto exzidiert.
Am Hauptpräparat konnte die Verdachtsdiagnose bestätigt werden. Der entstandene maxilläre Defekt des Patienten wurde mit dem entsprechenden Material abgeformt, für eine Woche austamponiert und anschließend mit einer permanenten Obturatorprothese versehen. Ein Jahr nach der chirurgischen Behandlung besteht kein Verdacht auf Vorliegen eines Rezidivs.
Diskussion
Der kalzifizierende epitheliale odontogene Tumor (calcifying epithelial odontogenic tumor, CEOT; Synonym: Pindborg Tumor nach dem Erst-Beschreiber 1955) ist eine sehr seltene, gutartige odontogene Neubildung mit einer Prävalenz von 0,6 bis 1,7 Prozent aller odontogenen Neoplasmen [Philipsen und Reichart, 2000; Patino et al., 2005]. Das Häufigkeitsverhältnis zwischen dem CEOT und dem Ameloblastom wird mit 1:13 bis 1:17 beschrieben. Ein lokal aggressives Wachstum mit normalerweise langsamer Progredienz ist typisch. So war auch im beschriebenen Fall die Schwellung bereits seit sechs Monaten auffällig gewesen. Maligne Varianten des CEOTs kommen nahezu nicht vor [Veness et al., 2001].
Der CEOT hat seinen Altersgipfel zwischen dem dritten und dem sechsten Lebensjahrzehnt und wird gleichermaßen häufig bei Männern und Frauen diagnostiziert. Die meisten Fälle sind im Unterkiefer zu finden. Bei Fällen im Oberkiefer, die generell eine aggressivere Behandlung erfordern, da sie dazu tendieren, schneller zu wachsen und weniger umschrieben sind [Philipsen et al., 2000], handelt es sich um Raritäten [Kunkel und Reichert, 2005; Simon et al., 2005].
Eine Assoziation mit einem retinierten Zahn, wie auch im vorgestellten Fall, ist allerdings nicht selten. Dies ist eine Gemeinsamkeit mit zahlreichen anderen odontogenen Tumoren. Allerdings sind auch seltene Fälle eines extraossären CEOTs beschrieben. Wie auch bei anderen odontogenen Tumoren ist die schmerzlose und seltener die schmerzliche Schwellung charakteristisch. Weiterhin können Sensibilitätsausfälle und Zahnlockerungen vorliegen. Der Tumor wird häufig erst im Röntgenbild als Zufallsbefund entdeckt. Hier sind inhomogene und irregulär strukturierte Auftreibungen mit sklerotischen und osteolytischen Anteilen charakteristisch. Histologisch finden sich die typischen intraepithelialen amyloidähnlichen Substanzen, die verkalken können. Es kommt zur Anordnung von Epithelarealen in einem bindegewebigen Stroma mit wenigen Mitosen.
Die Behandlung eines CEOTs besteht meistens aus chirurgischer Exzision mit Sicherheitsabstand. Die Rezidivrate solcher Tumoren liegt bei circa 14 Prozent, daher wird zum Rezidivausschluss eine minimale Nachbeobachtungszeit von fünf Jahren empfohlen [Philipsen et al., 2000].
Dr. Vinay V. KumarM.R. Ambedkar Dental College and Hospital,Bangalore, Indien undKlinik für Mund-, Kiefer- und GesichtschirurgieUniversitätsmedizin der Johannes Gutenberg-Universität Mainz
PD Dr. Dr. Christian WalterKlinik für Mund-, Kiefer- und Gesichtschirurgie – plastische OperationenUniversitätsmedizin der Johannes Gutenberg-Universität MainzAugustusplatz 255131 MainzWalter@mkg.klinik.uni-mainz.de
Dr. Dr. Peer W. KämmererHarvard Medical SchoolBoston, USA undKlinik für Mund-, Kiefer- und GesichtschirurgieUniversitätsmedizin der Johannes Gutenberg-Universität Mainzpeer.kaemmerer@gmx.de
Tipps für die Praxis
• Die Progression eines Schwellungsgeschehens kann Hinweise auf ein lokal aggressives Wachstum eines Tumors geben.
• Odontogene Tumoren sind variantenreich und haben multiple Ausprägungen.
• Aufgrund der Rarität mancher Befunde an ungewöhnlichen Lokalisationen ist die Beurteilung einer Biopsie in Zusammenschau mit der klinischen und radiologischen Untersuchung vonnöten.
• Die Klassifikation des jeweiligen Befunds hat direkten Einfluss auf die Therapie und die Nachbeobachtungszeit.




