Metastasierendes Ameloblastom des Unterkiefers
Wigbert Linek, Karli Döring, Constanze Döring
Ein 24-jähriger Patient stellte sich wegen einer an Häufigkeit zunehmenden, rezidivierenden Blutung aus einem Tumorgeschehen der linken Gesichtshälfte in der Klinikambulanz vor (Abbildungen 1a und 1b). Nach eigenen Angaben war der stetig wachsende Tumor dem Patienten bereits über einen Zeitraum von drei Jahren bekannt. Aufgrund des erheblich reduzierten Allgemeinzustands und einer transfusionspflichtigen Anämie erfolgte die sofortige stationäre Aufnahme.
Die Diagnostik und die präoperative Vor- bereitung beinhalteten eine Computertomografie-Untersuchung (CT) des Gesichtsschädels und des Halses, eine Ganzkörperszintigrafie in Mehrphasentechnik und eine Single-Photon-Emmissions-Computertomografie (SPECT) sowie eine Probeexzision. Im CT (Abbildung 2) wurde eine monströse, vom Unterkiefer links ausgehende Raumforderung beschrieben, die zur völligen Destruktion der Knochenstruktur und zur Auftreibung des Unterkiefers geführt hatte. Die Tumorentität zeigte ein verdrängendes und kein infiltratives Wachstum. Somit waren keine eindeutigen Malignitätskriterien gegeben. Die nuklearmedizinische Untersuchung ergab den Befund einer mäßig vermehrten Perfusion und Vaskularisation im Bereich des monströsen Tumors der perimandibulären Region links. Auch hier zeigte sich eine nahezu vollständige Destruktion des Unterkiefers links bis einschließlich des linken Temporomandibulargelenks. Ein Anhalt für ossäre Metastasen ergab sich aus dieser Untersuchung nicht.
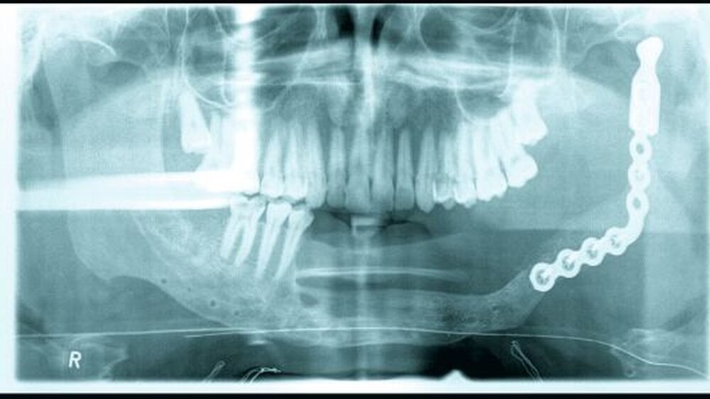
Nach Vorliegen der diagnostischen Befunde sowie der Konditionierung des Allgemeinzustands erfolgte die operative Versorgung des Patienten mittels Tumorresektion mit mittellinienüberschreitender Unterkieferresektion. Die entfernten Kieferanteile wurden zunächst durch eine Osteosyntheseplatte mit Gelenkendoprothese ersetzt. Das Tumor-resektat hatte eine Ausdehnung von 140 mm x 130 mm x 100 mm und ein Gewicht von 1376 Gramm (Abbildung 3).
Die pathohistologische Aufarbeitung der Operationspräparate ergab die Diagnose eines im Gesunden entfernten, solid multizystischen Ameloblastoms am linken Unterkiefer.
Vier Monate nach Tumorresektion erfolgte die Rekonstruktion des Unterkiefers mittels eines Beckenkammtransplantats. Im Rahmen der präoperativen Vorbereitungen wurde ein suspekter Lymphknoten in der Regio submandibularis links festgestellt (Abbildung 4). Daher wurde die geplante Unterkieferrekonstruktion um eine funktionelle Neck dissection erweitert. Die pathohistologische Untersuchung der Halspräparate ergab die Diagnose eines submandibulären Lymphknotens mit Manifestation des bereits bekannten Ameloblastoms. Im vorliegenden Fall musste somit von einem metastasierenden Ameloblastom ausgegangen werden.
Aufgrund einer im Thorax-CT identifizierten mediastinalen Raumforderung erfolgte eine thoraxchirurgische Biopsie. Nach Sternotomie führten die Kollegen der Klinik für Thoraxchirurgie eine Thymusexstirpation durch, dabei konnte der Befund als nicht maligne Thymushyperplasie diagnostiziert werden.
Die Tumorresektion liegt inzwischen 33 Monate zurück. Weitere Metastasen wurden bis dato nicht festgestellt. Die Mundöffnung war bei der letzten klinischen Kontrolle mit einer Schneidekantendifferenz von 50 Millimetern unbeeinträchtigt.
Im Rahmen der Rehabilitation des Patien-ten ist nach erfolgreicher Unterkieferrekonstruktion und partieller Entfernung der Rekonstruktionsplatte die Insertion von Zahnimplantaten im Unterkieferfront- und im Seitenzahngebiet links geplant (Abbildung 5).
Diskussion
Das metastasierende Ameloblastom ist eine überaus selten auftretende Tumor-Entität. Nach der gegenwärtig gültigen WHO-Klassifikation von 2005 werden odontogene Tumoren nach dem Verlauf in benigne, maligne und nichtneoplastische eingeteilt (WHO). Aufgrund der Herkunft werden odontogene Karzinome, ausgehend vom odontogenen Epithel, und odontogene Sarkome, ausgehend vom odontogenen Mesenchym, unterschieden. Zu den malignen odontogen Tumoren gerechnet werden das maligne Ameloblastom, das ameloblastische Karzinom, das primäre intraossäre Karzinom, das hellzellige odontogene Karzinom, der maligne epitheliale odontogene Geisterzellentumor und odontogene Sarkome [Slootweg, 2009]. Aufgrund seines klinischen Verlaufs und nicht anhand seiner Histomorphologie wird das metastasierende Ameloblastom der Gruppe der odontogenen/ameloblastischen Karzinome zugerechnet. Das weitaus häufiger auftretende benigne Pendant dieses Tumors ist das solide/multizystische Ameloblastom, ein gutartiger odontogener Tumor aus der Gruppe der odontogenen epithelialen Tumoren, aufgebaut aus odontogenem Epithel innerhalb eines fibrösen Stromas. Je nach Wuchsmuster werden gewöhnlich follikuläre und plexiforme Typen unterschieden. Die Besonderheit des malignen Ameloblastoms liegt darin, dass histomorphologisch keine Kriterien zur Abgrenzung gegen das benigne Ameloblastom vorliegen. Die Diagnose eines malignen Ameloblastoms kann ausschließlich anhand des Krankheitsverlaufs bei Auftreten von Metastasen gestellt werden [Jundt et al., 2008]. Die früher verwendete Bezeichnung des Tumors als „malignes Ameloblastom“ wurde daher bei der offiziellen Revision der WHO-Klassifikation 2005 von der nun geführten Bezeichnung als metas-tasierendes Ameloblastom (MA) ersetzt.
Die Inzidenz des metastasierenden Ameloblastoms ist nicht bekannt. Bis 2005 wurde nur über etwa 60 Fälle berichtet [Sciubba et al., 2005]. Die Ursache der lymphogenen und hämatogenen Metastasierung ist nicht aufgeklärt. Diskutiert werden Faktoren wie beispielsweise die Größe und die Wachstumsdauer des Primärtumors [Henderson et al., 1999]. Die häufigsten Metastasen werden in der Lunge gefunden, aber auch in anderen Regionen (Knochen, Lymph-knoten, Gehirn) konnten Absiedlungen des metastasierenden Ameloblastoms nachgewiesen werden [Reichart et al., 2004]. Die Therapie besteht in der Resektion der Metastasen [Jundt et al., 2008].
Bei diesem Patienten konnte die sichere Diagnose ebenfalls erst nach Auftreten der Metastase gestellt werden. Der Tumor hatte nach jahrelangem Wachstum aufgrund der ignoranten Einstellung des Patienten ein monströses Ausmaß erreicht. Die aus der Literatur bekannte Tatsache des möglichen Auftretens von Lungenmetastasen veranlasste uns nach Vorliegen des Thorax-CTs, den Patienten zur bioptischen Abklärung des raumfordernden Prozesses in die Klinik für Thoraxchirurgie zu überweisen. Eine Lungenmetastase konnte dabei jedoch ausgeschlossen werden. Die regelmäßigen Kontrollen im Rahmen des Tumor-Dispensaires sind entsprechend der Empfehlungen [Kunze et al., 1985] für einen Zeitraum von zehn Jahren nach der Tumorresektion geplant.
Zusammenfassung
Ein 24-jähriger männlicher Patient stellte sich in in der Klinik mit einer ungewöhnlich großen Raumforderung des Unterkiefers links vor. Nach histologischer Sicherung eines Ameloblastoms erfolgte die Unterkiefer-Halbseitenresektion mit Exartikulation. Die Aufarbeitung der Operationspräparate bestätigte die Diagnose.
Im Rahmen der Vorbereitungen zur Unterkieferrekonstruktion imponierte ein Lymphknotenbefund submandibulär links, der beim Zweiteingriff operativ mit entfernt wurde. Die histologische Aufarbeitung ergab eine Lymphknoten-Metastase des bekannten Ameloblastoms.
Dr. Wigbert LinekProf. (Univ. Riga) Dr. Karli DöringKlinik für Mund-, Kiefer- und Gesichtschirurgie Ästhetische, wiederherstellende ChirurgieKlinikum Chemnitz gGmbHFlemmingstr. 209116 Chemnitzmail@dr-linek.de
Constanze DöringSenckenbergisches Institut für Pathologie imKlinikum der Johann Wolfgang Goethe-Universität Frankfurt/MainTheodor-Stern-Kai 760590 Frankfurt/M.




