Leitlinie Kronen und Brücken aus Vollkeramik
Alle Leitlinien-Empfehlungen basieren auf klinischen Studien mit einem mindestens fünfjährigen Beobachtungszeitraum. Die komplette Leitlinie sowie der Leitlinienreport sind bei derAWMFverfügbar. Im Folgenden wird eine Zusammenfassung der wichtigsten Ergebnisse und Empfehlungen gegeben.
Vollkeramik-Einzelkronen im Frontzahnbereich
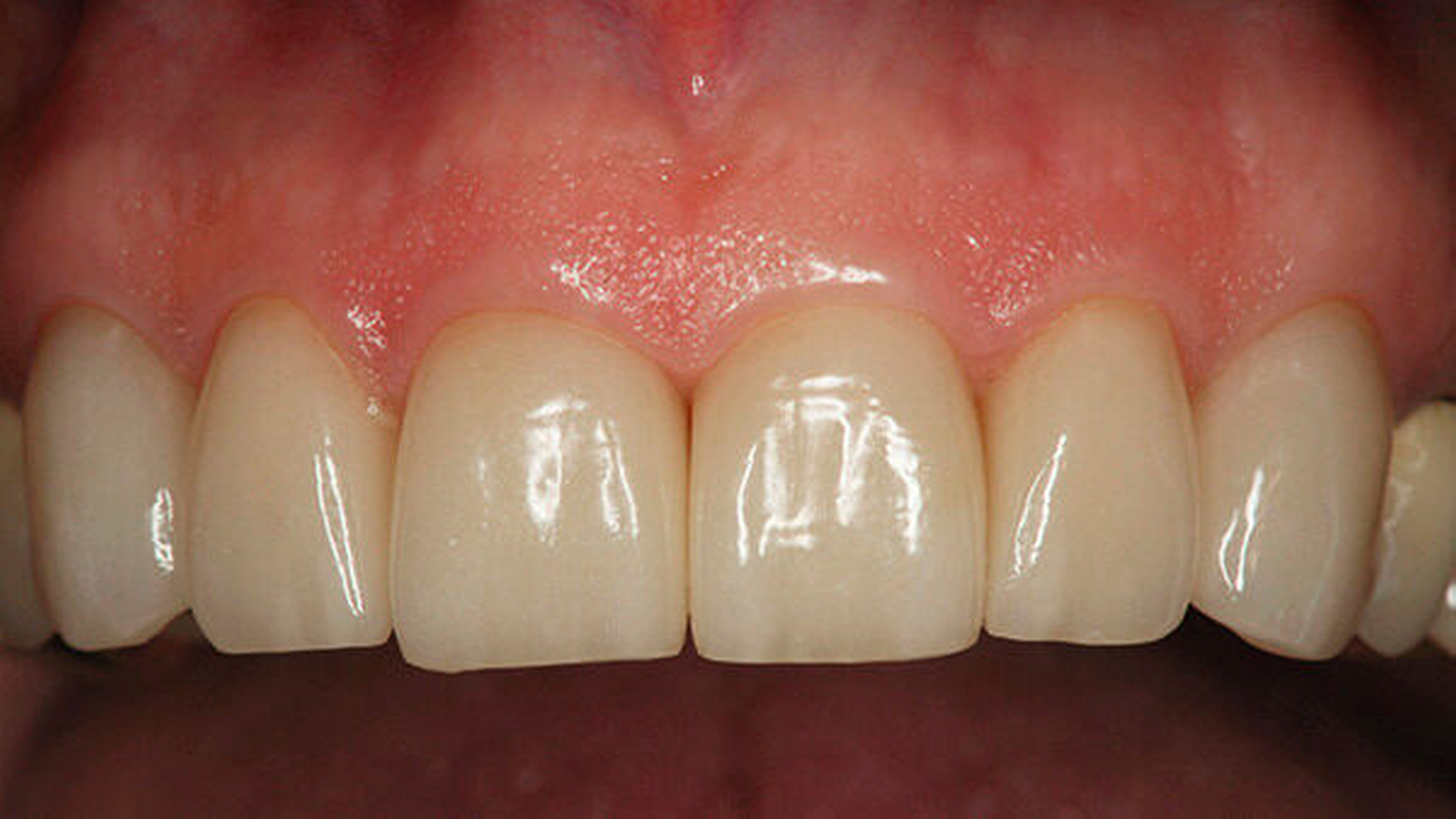
Silikatkeramiken (leuzitverstärkt) lieferten über einen Beobachtungszeitraum von fünf beziehungsweise elf Jahren im Frontzahnbereich (FZB) eine Überlebensrate von 100 beziehungsweise 98,9 Prozent [Fradeani und Redemagni, 2002; Wolleb et al., 2012]. Verblendete Lithiumdisilkatkeramiken (Abbildung 1) zeigten bei einer Beobachtungsdauer von fünf, acht oder zehn Jahren Überlebensraten zwischen 93,8 und 96,8 Prozent [Gehrt et al., 2013; Steeger, 2010; Valenti und Valenti, 2009]. Verblendete Aluminiumoxidkeramiken ohne Glasphase kamen bei Beobachtungszeiträumen von fünf bis zehn Jahren auf eine Überlebens- rate zwischen 96,7 und 100 Prozent [Kokubo et al., 2009; Fradeani et al., 2005; Odén et al., 1998; Odman und Andersson, 2001; Sorrentino et al., 2012; Walter et al., 2006; Zitzmann et al., 2007].
Aluminiumoxidkeramiken mit Glasphase lieferten ähnliche Ergebnisse [Steeger, 2010; Kokubo et al., 2011; Rinke et al., 2011; Segal, 2001]. Diese Keramiken sollten im FZB ihre Verwendung finden. Verblendete Zirkonoxidkeramiken hatten eine Überlebensrate zwischen 88,3 und 99,4 Prozent nach fünf Jahren Beobachtungsdauer [Monaco et al., 2013; Örtorp et al., 2012; Kerschbaum et al., 2009]. Da monolithische Lithiumdisilikatkeramik höhere Festigkeiten aufweist als verblendete Lithiumdisilikatkeramik und erfolgreich für Frontzahnbrücken verwendet wurde, wurde ein starker Expertenkonsens für ihre Empfehlung ausgesprochen. Die Überlebensraten vollkeramischer Frontzahnkronen sind vergleichbar mit denen aus Metallkeramik [Walton, 1999; Kerschbaum, 2004; Walton, 2013].
Vollkeramik-Einzelkronen im Seitenzahnbereich
Monolithische leuzitverstärkte Silikatkeramiken lieferten nach elf Jahren Beobachtungszeit eine Überlebensrate von 84,4 Prozent [Fradeani und Redemagni, 2002; Wolleb et al., 2012]. Verblendete Lithiumdisilkat-keramiken kamen in einem Zeitraum nach zehn Jahren auf eine Überlebensrate von 95,8 Prozent [Marquardt und Strub, 2006; Valenti und Valenti, 2009; Steeger, 2010; Gehrt et al., 2013].
Verblendete Aluminiumoxidkeramiken ohne Glasphase wiesen nach fünf bis zehn Jahren studienabhängig Überlebensraten von über 97 Prozent auf [Odman und Andersson, 2001; Zitzmann et al., 2007; Sorrentino et al., 2012]. Verblendete Aluminiumoxidkeramiken mit Glasphase lieferten nach fünf Jahren ähnlich hohe Überlebensraten [Segal, 2001; Steeger,2010]. Diese Keramiken sollten im Seitenzahnbereich (SZB) ihre Anwendung finden.
Für verblendete Zirkonoxidkeramiken kann aufgrund der Datenlage nur eine offene Empfehlung ausgesprochen werden. Die Überlebensraten nach fünf Jahren variieren stark zwischen 79 und 98 Prozent [Vigolo und Mutinelli, 2012; Kerschbaum et al., 2009]. Diese Keramik kann im SZB zur Anwendung kommen. Da monolithische Lithiumdisilikatkeramik höhere Festigkeiten aufweist als verblendete Lithiumdisilikatkeramik, und erfolgreich für Seitenzahnbrücken verwendet wurde, wurde ein Expertenkonsens für ihre Empfehlung als Krone für den SZB ausgesprochen. Die Überlebensraten der genannten vollkeramischen Seitenzahnkronen sind vergleichbar mit denen von Seitenzahnkronen aus Metallkeramik [Walton, 1999; Walton, 2013; Kerschbaum, 2004].
3-gliedrige Brücken im Frontzahnbereich
Für Zirkonoxidkeramik kann für vollkera- mische 3-gliedrige Brücken im FZB eine evidenzbasierte Empfehlung ausgesprochen werden. Nach bis zu sechs Jahren Beobachtungsdauer liefern die Studien Überlebensraten von 88,9 bis zu 100 Prozent [Kerschbaum et al., 2009; Wolleb et al., 2012; Molin und Karlsson, 2008; Lops et al., 2012]. Daher sollten diese Keramiken für 3-gliedrige Brücken im FZB eingesetzt werden. Auch monolithische Lithiumdisilikatkeramikbrücken lieferten hohe Überlebensraten nach zehn Jahren [Kern, M. et al., 2012].
Aufgrund der Datenlage kann nur eine offene Empfehlung ausgesprochen werden. Die schlechteren Daten für verblendete Lithiumdisilikatkeramik basieren auf Ergebnissen einer alten Lithiumdisilikatkeramik, die nicht mehr im Handel erhältlich ist [Marquardt und Strub, 2006; Sola-Ruiz et al., 2013; Makarouna et al., 2011]. Verblendete, unverstärkte Aluminiumoxidkeramik mit Glasphase lieferte nach zehn Jahren Beobachtungszeit eine Überlebensrate von 82,9 Prozent [Olsson et al., 2003]. Diese Keramiken können für 3-gliedrige Brücken im FZB eingesetzt werden.
Die Datenlage für mehrgliedrigere Brücken ist bisher für eine Empfehlung ungenügend. Eine Studie zeigt erhöhte Misserfolge bei weitspannigen Brücken aus verblendeter Zirkonoxidkeramik [Schmitter et al., 2012]. Die Überlebensraten 3-gliedriger vollkeramischer Frontzahnbrücken aus den oben genannten Materialien sind vergleichbar mit denen von Metallkeramik [Pjetursson et al., 2007; Kerschbaum, 2004].
3-gliedrige Brücken im Seitenzahnbereich
Bei vollkeramischen 3-gliedrigen Brücken im Seitenzahnbereich beliefen sich die Überlebensraten für verblendete, mit Zirkonoxid verstärkte Aluminiumoxidkeramik nach fünf Jahren auf 90 bis 96,8 Prozent [Kern, T. et al., 2012; Eschbach et al., 2009]. Verblendete Zirkonoxidkeramiken lieferten über einen gleichen Zeitraum ähnliche Ergebnisse [Kerschbaum et al., 2009; Wolleb et al., 2012; Molin und Karlsson, 2008; Raigrodski et al., 2012; Schmitt et al., 2012; Sorrentino et al., 2012]. Monolithische Lithiumdisilikatkeramik kann eingeschränkt nur zur Verwendung bis zum Ersatz des ersten Prämolaren empfohlen werden (*keine Herstellerfreigabe weiter posterior) [Kern, M. et al., 2012; Makarouna et al., 2011]. Diese Keramiken können für 3-gliedrige Brücken im SZB ihren Anwendungsbereich finden.
Die Überlebensraten für verblendete Lithiumdisilikatkeramik und unverstärkte Aluminiumoxidkeramik zwischen 65 und 82,9 Prozent lassen keine evidenzbasierte Empfehlung zu und sollten nicht angewandt werden [Marquardt und Strub, 2006; Olsson et al., 2003; Vult von Steyern, 2005]. Die Datenlage für mehrgliedrigere Brücken ist bisher für eine Empfehlung ungenügend. Die Überlebensraten der vollkeramischen Seitenzahnbrücken sind nur teilweise vergleichbar mit denen von Seitenzahnbrücken aus Metallkeramik [Pjetursson et al., 2007].
Einflügel-Vollkeramik- Adhäsivbrücken
Vollkeramische einflügelige Adhäsivbrücken können im FZB empfohlen werden. Bei einer Beobachtungszeit von zehn Jahren lieferte verblendete Aluminiumoxidkeramik hier eine Überlebensrate von 94,4 Prozent, verblendete Zirkonoxidkeramik nach fünf Jahren sogar 100 Prozent [Kern und Sasse, 2011; Sasse und Kern, 2013]. Damit scheinen einflügelige vollkeramische Adhäsivbrücken sogar metallkeramischen zweiflügeligen Adhäsivbrücken überlegen [Pjetursson et al., 2008] und sollten daher bei richtiger Indikation als Therapieoption angesehen werden.
Entscheidung bei Bruxismuspatienten:
Neben der Langzeitbewährung wurde untersucht, ob vollkeramische Versorgungen bei Bruxismus-Patienten mit Bedarf an Kronen und Brücken vergleichbare Langzeitergebnisse liefern. Grundsätzlich ist die erhöhte mechanische Belastung bei Patienten mit Bruxismus ein Risikofaktor für jede dentale Restauration. Daher sollte geprüft werden, ob alternativ eine Behandlung mittels Restaurationen aus Metall möglich und akzeptabel ist. Ist eine keramische Versorgung ausdrücklich gewünscht, sollte geprüft werden, ob alternativ eine Behandlung mittels monolithischer Restaurationen möglich und akzeptabel ist.
In jedem Fall sollten die Patienten vor der Behandlung über das erhöhte Verlustrisiko durch Bruxismus und über eventuelle Einschränkungen der Indikation vonseiten des Herstellers aufgeklärt werden. Strikte Behandlungsprotokolle und die genaue Beachtung der Funktion sowie die Einbeziehung einer Kunststoffschutzschiene können bei dentalem Bruxismus vor mechanischem Versagen der Restauration schützen.
Fertigungsempfehlungen:
Darüber hinaus wurde untersucht, welche materialspezifischen Fertigungsempfehlungen evidenzbasiert ausgesprochen werden können: Bei der Präparation sollte sich der Behandler bezüglich Retentions- und Widerstandsformen an den Richtlinien, die grundsätzlich für Kronen gelten, orientieren [Kern, M., 2011].
Die Herstellerangaben und die geltenden Vorgaben des MPG sind einzuhalten. Insbesondere sollten bei der Fertigung von vollkeramischen Kronen und Brücken die Präparationsanforderungen, die Mindestschichtstärken, die Verbinderquerschnitte, das Gerüstdesign, die Materialverarbeitung und die Befestigungsart sowie die Materialbehandlung - auch infolge von Korrek- turen wie zum Beispiel nachträglichem Beschleifen - beachtet werden.
Die eingeschlossenen Studien zeigen, dass die erreichten Überlebensraten auch im Alltag niedergelassener Zahnärzte und Zahnärztinnen erreicht werden können [Kerschbaum et al., 2009; Molin und Karlsson, 2008; Fradeani et al., 2005; Fradeani und Redemagni, 2002; Örtorp et al., 2012].
Dr. Gunnar Meyer
Prof. Dr. Matthias Kern
Klinik für Zahnärztliche Prothetik, Propädeutik und Werkstoffkunde
Christian-Albrechts-Universität zu Kiel
Arnold-Heller-Str. 16, 24105 Kiel
gmeyer@proth.uni-kiel.de













