Implantat im Sinus
Im Mai 2017 wurden zwei Patientinnen verschiedener Überweiser in unserer Ambulanz vorstellig. Obwohl sich die vorausgegangenen Behandlungen unterschieden, zeigten sich Parallelen im Verlauf und in den eindrucksvollen klinischen Bildern:
Fall 1
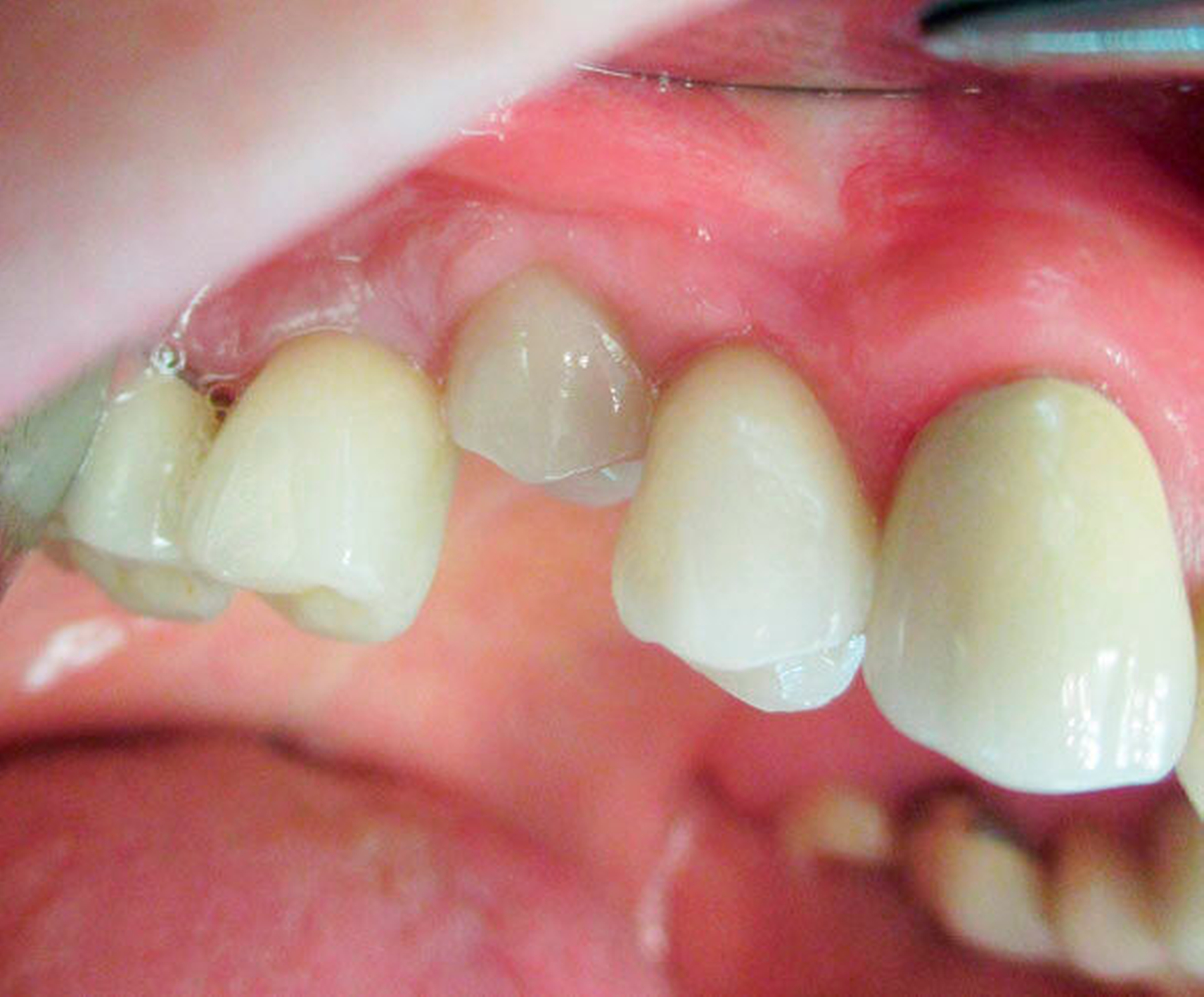
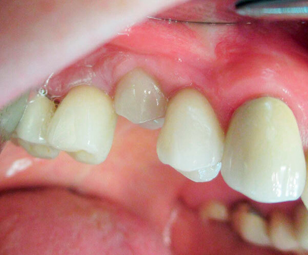
Die erste Patientin, 46 Jahre alt, zeigte keine allgemeinen Auffälligkeiten. Sie hatte im Jahr 2014 einen externen Sinuslift Regio 16 mit Knochenersatzmaterial und autologem Knochen erhalten. Im Februar 2015 folgte die Implantation Regio 14 und 16.
Nach Freilegung und prothetischer Versorgung im August 2015 waren die Titanimplantate und der dazwischen befindliche Zahn 15 zwei Jahre lang beschwerdefrei in situ – bis Ende April 2017 der Zahn 15 beim Kauen eines Fleischstücks spontan in die Kieferhöhle luxierte (Abbildungen 1 und 2).
Eine Sinusitis maxillaris bestand nicht und die Patientin litt unter keinerlei Schmerzen. Allein die unterbrochene Zahnreihe störte.
Fall 2
Die zweite Patientin, 75 Jahre alt, zeigte eine medikamentös eingestellte arterielle Hypertonie in der allgemeinen Anamnese. Sie hatte 2011 beidseits eine externe Sinusbodenelevation erhalten. Auch hier wurden Knochenersatzmaterial und autologer Knochen verwendet. Im Jahr 2012 folgte die Implantation von Titanimplantaten Regio 17, 14, 13, 23, 25, 27 für eine festsitzende Oberkieferversorgung.
Eine röntgenologische Routineuntersuchung ihres Zahnarztes ergab im April 2017 die vollständige Luxation des Implantats 17 in die Kieferhöhle direkt aus der prothetischen Versorgung heraus (Abbildung 3). Die Patientin hatte ebenfalls keine klinischen Beschwerden.
Therapie
In beiden Fällen erfolgte die Entfernung des Zahnes/Implantats aus der Kieferhöhle (Abbildungen 4 und 5).
Der luxierte Zahn konnte mittels Extraktionszange gefasst werden. Es bestand eine Mund-Antrum-Verbindung, die plastisch verschlossen wurde (Abbildungen 6 und 7). Postoperativ war die Patientin weiterhin beschwerdefrei.
Im Fall des luxierten Implantats wurde in Intubationsnarkose ein Knochendeckel angelegt (Abbildung 8) und das Implantat über diesen Zugang extrahiert (Abbildungen 9 und 10).
Klinisch zeigten sich ausgeprägte polypöse Schleimhautveränderungen. Die ehemalige Insertionsstelle des Implantats war vollständig verschlossen. Nach Entfernung des Implantats, Reposition und Fixation des Knochendeckels wurde der Mukoperiostlappen in Ursprungsposition vernäht.
Diskussion
Fremdkörper im oralen und orofazialen Bereich haben in der Regel traumatologische oder iatrogene Ursachen [Krause et al., 2002]. Beschrieben werden beispielsweise Holz, Abdruck- und Füllungsmaterialien oder Implantate, die in die Kieferhöhle luxiert wurden [Mohanavalli et al., 2011; Buttchereit und Kämmerer, 2016; Deniz et al., 2016; de Jong et al., 2016; Paulßen von Beck et al., 2016; Dundar et al., 2017].
Die Fremdkörper rufen häufig Entzündungsreaktionen hervor und können Ursache einer Sinusitis maxillaris sein [Zirk et al., 2017]. Zur Diagnosesicherung, Lokalisation und Therapieplanung stehen neben der klinischen Untersuchung das konventionelles Röntgen, die digitale Volumentomografie (DVT), die Computertomografie (CT), die Magnetresonanztomografie (MRT) und die Sonografie zur Verfügung [Shokri et al., 2017].
Die frühzeitige Entfernung ist notwendig, um Entzündungen zu therapieren oder ein Neuauftreten zu vermeiden [de Jong et al., 2016; Dundar et al., 2017], da es bei längerer Irritation der Kieferhöhlenschleimhaut zur Mukositis, Mukostase, Polyposis bis hin zum Verschluss des Ostiums naturale mit Entwicklung dramatischer Krankheitsbilder kommen kann [Buttchereit und Kämmerer, 2016]. Für die Kieferhöhlenrevision stehen offene Zugänge via fazialer Kieferhöhlenfensterung [Abello, 1958; Lindorf, 1974; Feldmann, 1978] und endoskopische, transnasale Verfahren [Dundar et al., 2017] zur Verfügung.
Die Wahl der Therapie sollte nach Abschätzung der perioperativen Risiken und Beurteilung der Größe des Fremdkörpers erfolgen.
Ursachenforschung
Anhaltspunkte für vorbestehende chronische Entzündungen, eine fehlende Osseointegration nach Implantation, Traumata oder andere denkbare Ursachen für einen Misserfolg der Implantatbehandlung gibt es bei beiden Fallbeispielen nicht.
Die Fälle stammen aus den Händen implantologisch erfahrener Behandler. Ob eine eventuelle Minderperfusion der ossären Strukturen nach Sinusbodenelevation ursächlich für eine Schwächung des umgebenden Knochens gewesen sein könnte oder ob andere resorptive und destabilisierende Prozesse die beschriebenen Befunde seltener Spätkomplikationen nach Sinusbodenelevation erklären können, bleibt im Rahmen zukünftiger Studien zu beurteilen.
Dr. Josephine Tietje
Dr. Alexander Busch
Prof. Dr. Dr. Jan Rustemeyer
Fachbereich Mund-, Kiefer- und Gesichtschirurgie und Plastische Operationen
MVZ Ambulanz Bremen GmbH
Klinik für Mund-, Kiefer-,Gesichtschirurgie und Plastische Operationen,
Klinikum Bremen-Mitte
josephine.tietje@gmail.com
Fazit für die Praxis
Die hier dargestellten Komplikationen nach Sinusbodenelevation traten erst mit erheblicher zeitlicher Verzögerung nach dem Primäreingriff auf. Klinisch hatten die Patienten keine Beschwerden, im zweiten Patientenfall handelte es sich sogar um einen Zufallsbefund.
Daher sind nach implantologischen Maßnahmen mit vorherigem Sinuslift halbjährliche Recall-Untersuchungen über mehrere Jahre sinnvoll. Darüber hinaus empfiehlt es sich, die Patienten auch über das mögliche Auftreten von derartigen Spätkomplikationen aufzuklären, da diese einen weiteren Eingriff nach sich ziehen könnten.
Literaturliste
Aballo P. Functional surgery of the maxillary sinus Rev LaryngolOtolRhinol (Bord). 1958 Sep-Oct; 79(9-10): 747-50.
Buttchereit I, Kämmerer P Fremdkörper in der Kieferhöhle zm Nr. 23/2016, S. 52-58.
de Jong MA, Rushinek H, Eliashar R Removal of dental implants displaced into the maxillary sinus: A case series Eur J Oral Implantol. 2016; 9(4): 427-433.
Deniz Y, Zengin AZ, Karli R An unusual foreign body in the maxillary sinus: Dental impression material. Niger J ClinPract. 2016 Mar-Apr; 19(2): 298-300.
Dundar S, Karlidag T, Keles E Endoscopic Removal of a Dental Implant From Maxillary Sinus J Craniofac Surg. 2017 Jun; 28(4): 1003-1004.
Feldmann H Osteoplastische Kieferhöhlenoperationen LaryngolRhinolOtol (Stuttg). 1978 May ;57(5): 373-8.
Krause HR, Rustemeyer J, Grunert RR Fremdkörper in den Nasennebenhöhlen Mund Kiefer Gesichtschir. 2002 Jan; 6(1): 40-4.
Lindorf HH Knochendeckelverschluss nach oraler Kieferhöhleneröffnung DtschZahnarztl Z. 1974 Jul; 29(7): 587-90.
Mohanavalli S1, David JJ, Gnanam A Rare foreign bodies in oro-facial regions Indian J Dent Res. 2011 Sep-Oct; 22(5): 713-5.
Paulssen von Beck F, Schmidt S, Milioti K, Hammacher A Fremdkörper als Zufallsbefund im Sinus maxillaris zm 04/2017, S. 84-86.
Shokri A, Jamalpour M, Jafariyeh B, Poorolajal J, Sabet NK Comparison of Ultrasonography, Magnetic Resonance Imaging and Cone Beam Computed Tomography for Detection of Foreign Bodies in Maxillofacial Region J ClinDiagn Res. 2017 Apr; 11(4): TC15-TC19.
Zirk M, Dreiseidler T, Pohl M, Rothamel D, Buller J, Peters F, Zöller JE, Kreppel M Odontogenic sinusitis maxillaris: A retrospective study of 121 cases with surgical intervention J Craniomaxillofac Surg. 2017 Apr; 45(4): 520-525.














