Orale Manifestationen des Morbus Crohn
Ein 25-jähriger Patient stellte sich zur Abklärung einer schmerzhaften, zyklisch-erosiven, therapierefraktären Veränderung der Gingiva regio 13–23, die anamnestisch bereits seit circa 1,5 Jahren vorhanden gewesen sei, vor. Er gab einen Morbus Crohn als Nebenerkrankung an, wobei dieser – zum Zeitpunkt der Untersuchung – gut unter Kontrolle sei. Durchfälle bestünden aktuell nicht, eine antiinflammatorische Therapie werde auf Wunsch des Patienten nicht mehr durchgeführt.
Bei nachgewiesenem Befall des Dünndarms, des Kolons mit Fisteln zum Magen sowie perianal war nach dem ersten Schub 2009 eine immunsuppressive Therapie mit Azathioprin begonnen worden. Da dieses Medikament jedoch eine nur geringe Wirkung gezeigt hatte, wurde 2010 auf Infliximab (Remicade®), einen TNF-alpha-Blocker, umgestellt. 2013 erfolgte eine erneute Umstellung auf Adalimumab (Humira®), ebenfalls ein monoklonaler Antikörper gegen TNF-alpha, bevor der Patient die Therapie beendete. Der Patient vermutete einen zeitlichen Zusammenhang zwischen der oralen Läsion und einer Infektion mit Rota-Viren, die ebenfalls vor 1,5 Jahren stattgefunden habe. Mehrere alio loco durchgeführte Therapieversuche, unter anderem mit Clindamycin bei mikrobiologischem Nachweis von Prevotella denticolla, einem gramnegativen, obligat anaeroben Bakterium, sowie orale Hygienisierungsmaßnahmen hatten keinen Erfolg gezeigt und waren schließlich unterlassen worden.
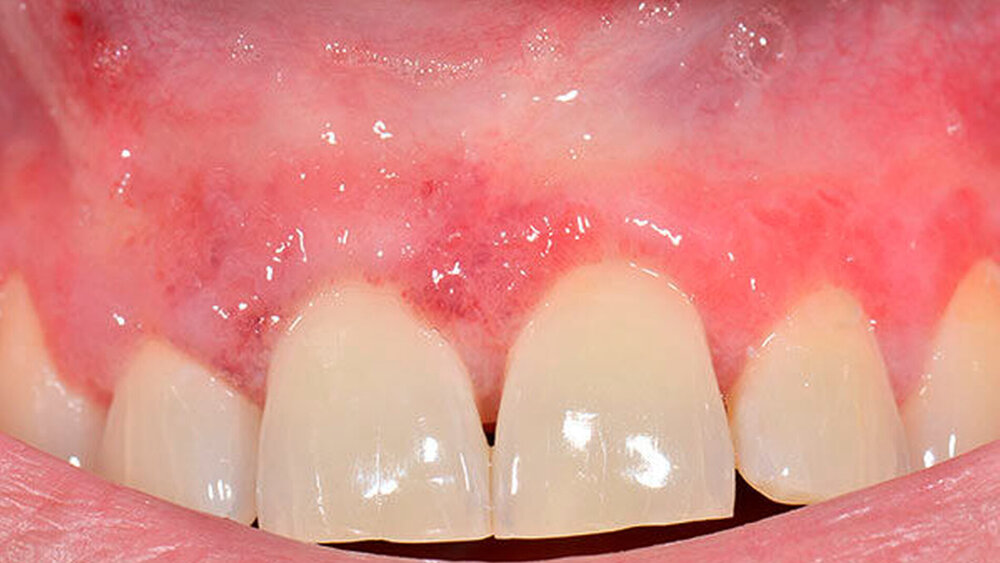
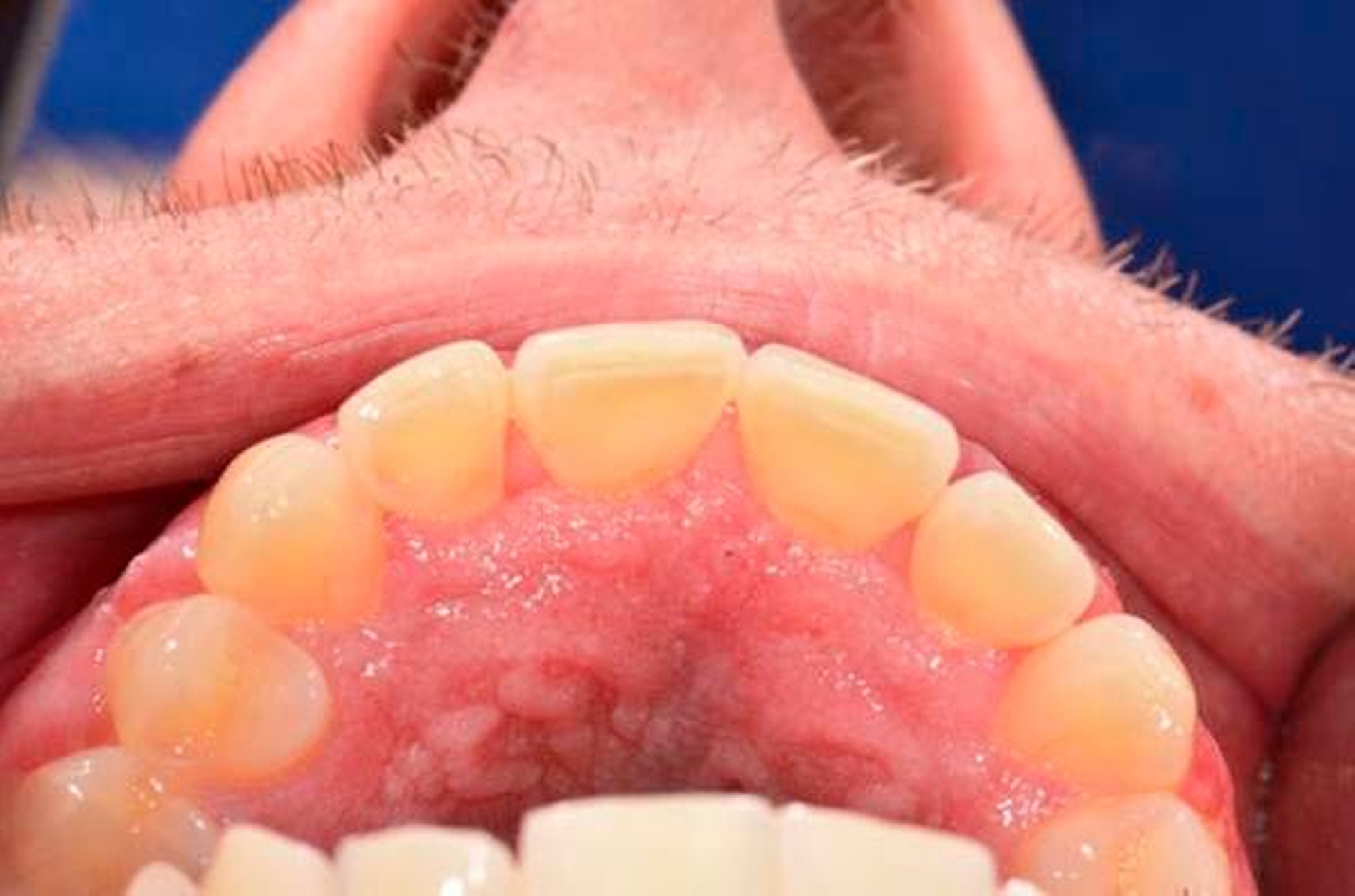
Neben der beschriebenen Läsion fanden sich oral leicht hyperplastische, papulöse Veränderungen der Gingiva vestibulär und palatinal ohne Hinweise auf Ulzerationen (Abbildungen 1 und 2). Vom klinischen Aspekt war der Befund daher gut vereinbar mit oralen Veränderungen infolge eines Morbus Crohn. Weiterhin gab der Patient eine Rötung an der Glans penis an. Der letzte Versuch einer MRT-basierten Dünndarmuntersuchung sowie einer Koloskopie und Gastroskopie scheiterte 2016 an der Compliance des Patienten.
Zur Diagnosesicherung bei der oralen Läsion empfahlen wir eine Probeentnahme der Mundschleimhaut sowie weiterführende serologische Untersuchungen. Die Stanzbiopsien des Gaumens und der vestibulären Gingiva erbrachten den histologischen Nachweis von oberflächlich perivaskulär gelegenen, kräftig lymphozytären, granulomatösen Infiltraten und passten somit zu einer mukokutanen Manifestation des bekannten Morbus Crohn. Serologisch ließen sich bis auf eine Vitamin-B12-Negativbalance, die in der Folge substituiert wurde, keine Auffälligkeiten nachweisen, insbesondere keine Autoantikörper.
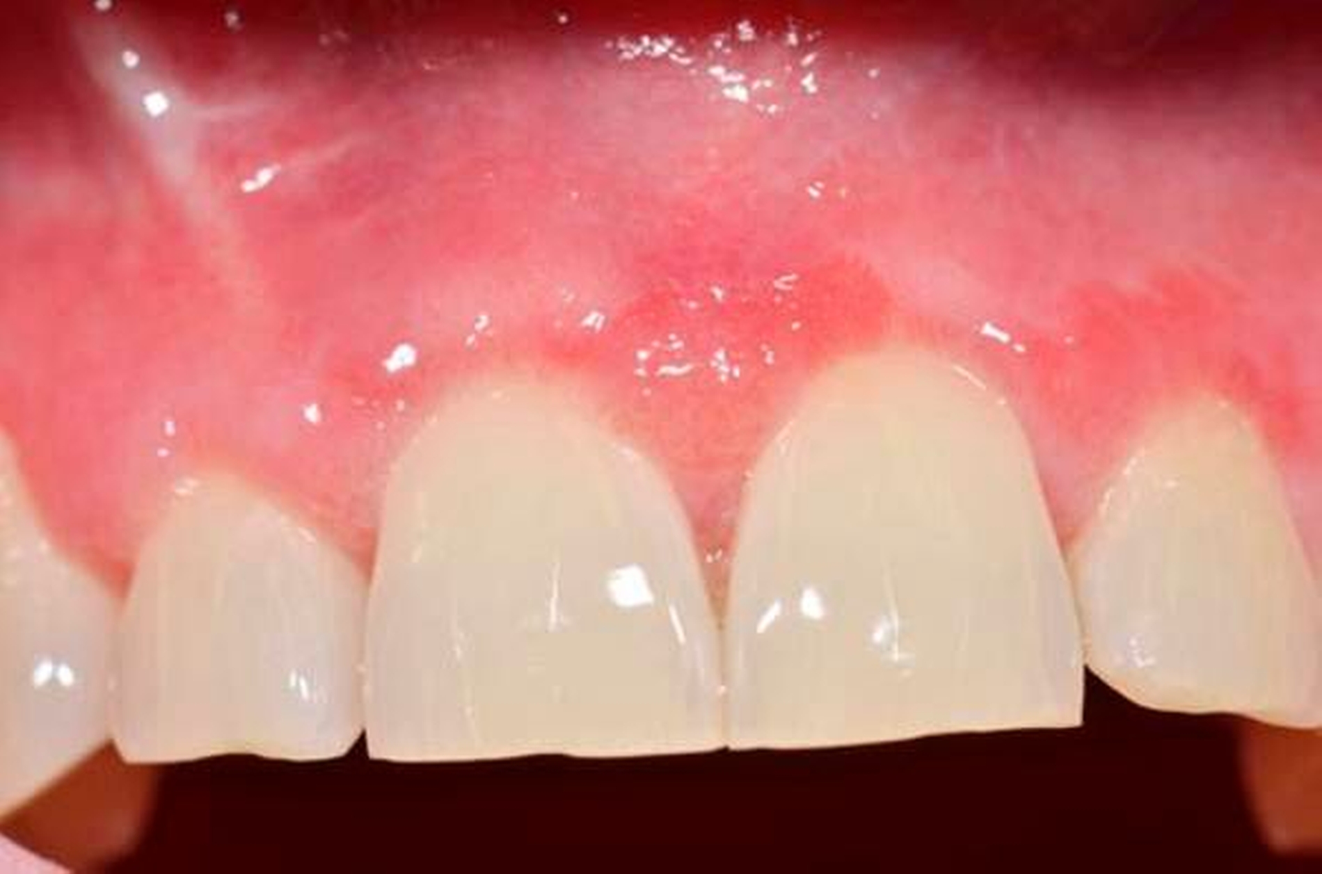
Die Therapie bestand daher initial nach Abschluss der Wundheilung aus lokalen Steroiden zunächst als Applikation von Triamcinolonacetonid (Volon-A-Haftsalbe) sowie einer begleitenden antimykotischen Therapie mit Amphotericin-B-Lutschtabletten (Ampho Moronal; 3 x d). Bei fehlender Wirksamkeit der Haftsalbe erfolgte bei einem Nachsorgeintervall von zwei Monaten die Umstellung auf ein höherpotentes Glukokortikoid (Clobetasol). Unter dieser Medikation zeigte sich ein schneller Rückgang der Beschwerden und der oralen Manifestation des Morbus Crohn (Abbildung 3).
Diskussion
Die unspezifischen, isolierten gingivalen Mundschleimhautveränderungen mit ausgeprägten Beschwerden waren für die allein klinische Diagnosestellung zunächst irreführend, zumal eine simultane Läsion der Genitalschleimhaut bestand. Eine genitale Mitbeteiligung findet man häufig beim oralen Lichen planus oder beim Morbus Behcet. Klinische Hinweise auf eine orofaziale Granulomatose (wie eine Lippenschwellung) fehlten. Die weiterführende diagnostische Abklärung war daher vor allem auf den Ausschluss von Autoimmunmukositiden oder arzneimittelassoziierten Mundschleimhautveränderungen ausgerichtet.
Der Sammelbegriff orofaziale Granulomatose beschreibt Erkrankungen verschiedenster Ätiologien, die insbesondere durch anfallartige Schwellungen vor allem der Lippen (Cheilitis granulomatosa) in Verbindung mit ulzerösen oder vesikulären Veränderungen der Haut und/oder Mundschleimhaut gekennzeichnet sind. Es kann sich dabei um primär-idiopathische Formen handeln, wie das sehr selten vorkommende Melkersson-Rosenthal-Syndrom. Für dieses ist die Trias Lingua plicata, anfallsartig auftretende Schwellungen des Gesichts inklusive Cheilitis granulomatosa sowie eine vorübergehende periphere Facialisparese charakteristisch. Langsam zentrifugal wachsende Plaques, die sich rot- bis hellbraun, partiell mit gelblichen Flecken, darstellen, können Abbild einer sogenannten Granulomatosis disciformis chronica et progressiva (Synonym: Miescher-Granulomatosis) sein. Sekundäre Formen der orofazialen Granulomatose beinhalten die Tuberkulose und die Sarkoidose oder – wie im beschriebenen Fall – die Manifestation von chronisch entzündlichen Darmerkrankungen.
Es kann sich aber auch um Ausprägungen einer Rosacea – eine Hauterkrankung, die überwiegend im Mittelgesicht auftritt – handeln. Diese ist vor allem durch fleckförmige Rötungen und Schwellungen sowie Pusteln und Papeln gekennzeichnet, wobei hauptsächlich die Gesichtshaut und nicht der Mund betroffen ist. Des Weiteren ist selbstverständlich immer eine dentogene Ursache sowie eine Allergie als auslösender Faktor möglich [Miest et al., 2016].
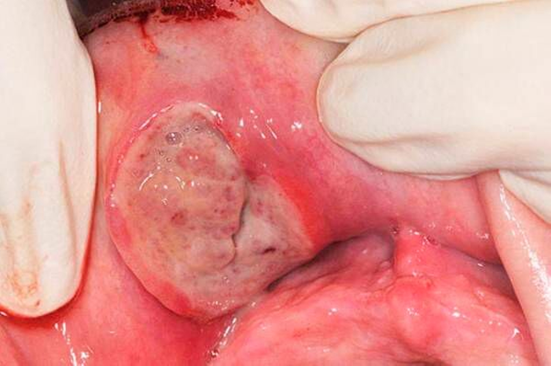
Der Morbus Crohn ist eine chronisch-entzündliche Erkrankung, die den gesamten Gastrointestinaltrakt inklusive der oralen Mukosa betreffen kann. Die krankheitsspezifischen Manifestationen im Mund, die in 8 bis 29 Prozent aller Fälle auftreten [Pereira und Munerato, 2016; Jose et al., 2009], schließen unter anderem granulomatöse Entzündungen mit orofazialen Schwellungen, eine granulomatöse Cheilitis, hyperplastische Areale, oberflächliche und tiefe Ulzerationen (Abbildung 4) und apthöse Läsionen (Abbildung 5) sowie Gingivitiden – wie auch im vorgestellten Fall – ein [Miest et al., 2016]. In 5 bis 10 Prozent aller Morbus-Crohn-Fälle wird davon ausgegangen, dass die oralen Läsionen vor der gastrointestinalen Beteiligung entstehen [Jose et al., 2009]. Die Läsionen können direkt mit dem zugrundeliegenden Krankheitsprozess in Verbindung stehen oder sekundär kausal aufgrund des Ernährungsmangels durch die gastrointestinale Malabsorption entstehen [O‘Neill und Scully, 2012]. Im vorliegenden Fall entstand die Verdachtsdiagnose vor allem aufgrund des bereits vordiagnostizierten Morbus Crohn.
Sollte es zu einer unklaren enoralen Erstmanifestation ohne bisherigen Hinweis auf eine solche Erkrankung kommen, so sind die folgenden klinischen Merkmale hinweisend auf die Diagnose:
gastrointestinale Symptome beziehungsweise Anomalitäten in der entsprechenden Bildgebung und/oder in der Biopsie
Beginn im Kindesalter
perianale Beteiligung
orale Befunde, die auf einen Morbus Crohn hinweisen:
Ulzerationen
Einbezug des buccalen Sulkus
Kopfsteinplaster-artige mukosale Veränderungen
Pseudopolypen der Schleimhaut
erythematöse periorale Ödeme
Hypertrophie der Lippen
Pyostomatitis vegetans [Miest et al., 2016; Sahin et al., 2017]
Beim Morbus Crohn handelt es sich um ein multifaktorielles Geschehen wobei sowohl genetische Faktoren als auch individuelle Umgebungseinflüsse eine Rolle spielen. So berichten bis zu 15 Prozent aller Patienten eine familiäre Häufung [Halme et al., 2006]. Gesichert ist weiterhin der Tabakabusus (zweifach erhöhtes Risiko), eine balaststoffarme und kohlenhydratreiche Ernährung. Ein Mangel an Vitamin D und B12 sowie eine Medikation mit Kortikosteroiden scheinen ebenfalls einen positiven Einfluss auf die Entstehung des Morbus Crohn zu haben [Gajendran et al., 2017].
Generell scheinen orale Manifestationen des Morbus Crohn gehäuft bei Männern und Kindern aufzutreten [Lankarani et al., 2013]. Sie sind meistens während aktiver Phasen der Krankheit ausgeprägter und gehen in einer Vielzahl der Fälle durch suffiziente Behandlung der gastrointestinalen Erkrankung zurück [Lankarani et al., 2013]. Eine lokale, speziell auf die oralen Manifestationen ausgerichtete Behandlung ist nur bei persistierenden Beschwerden sinnvoll. Dafür eignen sich in erster Linie Glukokortioide oder bei unzureichender Wirksamkeit Cacineurin-Inhibitoren.
PD Dr. Dr. Peer W. Kämmerer, MA, FEBOFS
Dr. Ingo Buttchereit
Dr. Jan Liese
Klinik und Poliklinik für Mund-, Kiefer- und Gesichtschirurgie der Universitätsmedizin Rostock
Schillingallee 35, 18057 Rostock
peer.kaemmerer@med.uni-rostock.de
Literaturliste
Gajendran, M., Loganathan, P., Catinella, A. P. und Hashash, J. G. (2017). „A comprehensive review and update on Crohn's disease.“ Dis Mon.
Halme, L., Paavola-Sakki, P., Turunen, U., Lappalainen, M., Farkkila, M. und Kontula, K. (2006). „Family and twin studies in inflammatory bowel disease.“ World J Gastroenterol 12(23): 3668-3672.
Jose, F. A., Garnett, E. A., Vittinghoff, E., Ferry, G. D., Winter, H. S., Baldassano, R. N., Kirschner, B. S., Cohen, S. A., Gold, B. D., Abramson, O. und Heyman, M. B. (2009). „Development of extraintestinal manifestations in pediatric patients with inflammatory bowel disease.“ Inflamm Bowel Dis 15(1): 63-68.
Lankarani, K. B., Sivandzadeh, G. R. und Hassanpour, S. (2013). „Oral manifestation in inflammatory bowel disease: a review.“ World J Gastroenterol 19(46): 8571-8579.
Miest, R., Bruce, A. und Rogers, R. S., 3rd (2016). „Orofacial granulomatosis.“ Clin Dermatol 34(4): 505-513.
Pereira, M. S. und Munerato, M. C. (2016). „Oral Manifestations of Inflammatory Bowel Diseases: Two Case Reports.“ Clin Med Res 14(1): 46-52.
O'Neill, I. D. und Scully, C. (2012). „Biologics in oral medicine: oral Crohn's disease and orofacial granulomatosis.“ Oral Dis 18(7): 633-638.
Sahin, T., Brygo, A., Delaporte, E. und Ferri, J. (2017). Swiss Dent J 127(7-8): 644-653.










