KFO-Behandlung im parodontal vorgeschädigten Gebiss
Der 44-jährige Patient stellte sich im Juli 2014 nach Überweisung seines Hauszahnarztes in unserer kieferorthopädischen Sprechstunde zur Erstberatung vor. Er bemerkte nach eigenen Angaben seit Jahren eine Veränderung seiner Zahnstellung – besonders im Oberkiefer – und wünschte sich eine Behandlungsalternative zur zahnärztlich angeratenen Extraktion von Zahn 11 und anschließenden Brückenversorgung.
Anamnestisch lagen keine Besonderheiten vor. Es ist jedoch zu vermerken, dass ein regelmäßiger Alkohol-, Koffein- und Nikotinkonsum zugrunde lag. Intraoral zeigte sich ein bereits konservierend versorgtes permanentes Gebiss mit aktivem und inaktivem kariösen Geschehen. Große Anteile der Zahnhälse lagen nach Zahnfleischrückgang in Kombination mit Knocheneinbrüchen frei. Zahn 27 wurde bereits extrahiert.
Eine Beurteilung der parodontalen Situation an Zahn 11 offenbarte mesial und distal Sondierungstiefen von jeweils 6 mm.
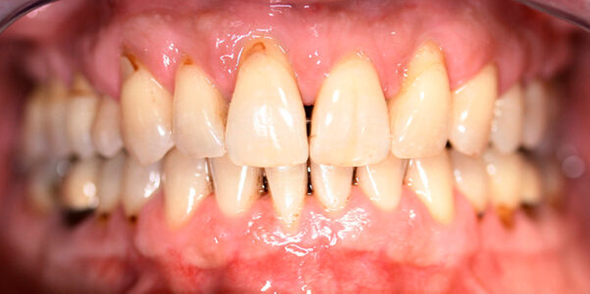
Kieferorthopädisch imponierte beidseits eine neutrale Verzahnung bei einem tiefen Biss von 5 mm – bedingt durch die Verlängerung beider Frontzahngruppen. Besonders Zahn 11 zeigte eine erhebliche Verlängerung und Protrusion mit einer sagittalen Frontzahnstufe von 5 mm. Sowohl die Frontzähne im Ober- als auch im Unterkiefer wiesen eine lückige Beziehung zueinander auf (Abbildung 1).
Röntgenologisch stellte sich im Orthopantomogramm der bereits intraoral ersichtliche horizontale und vertikale Knochenabbau mit Attachmentverlust an einzelnen Zähnen dar. Die Erhaltungswürdigkeit einzelner Zähne war aufgrund des starken Knochenverlustes beziehungsweise der Beeinträchtigung des Halteapparates als kritisch zu beurteilen.
Zudem wurde die Diagnose einer Parodontitis gestellt, die eine Rücküberweisung an den Hauszahnarzt erforderlich machte (Abbildung 2).
Das Therapiekonzept
Nach erfolgter Parodontitistherapie und konservierender Versorgung stellte sich der Patient Ende 2014 erneut in unserer Praxis vor.
Die Sulkustiefen konnten auf etwas weniger als 4 mm reduziert werden, während der Blutungs- und Plaque-Index bei weniger als 15 Prozent lag. Daher wurde eine kieferorthopädische Behandlung über die nächsten zwei Jahre in Kombination mit engen zahnärztlichen Kontrollen geplant. Als Mittel der Wahl entschieden wir uns gemeinsam mit dem Patienten für das Invisalign-System, da hiermit sowohl eine Schienung als auch eine kraft-arme Bewegung der Zähne möglich sein sollte. Für den Frontzahnbereich wurden keine Attachments geplant, so dass hier eine unnötige Hebelwirkung umgangen werden konnte (Abbildung 3).
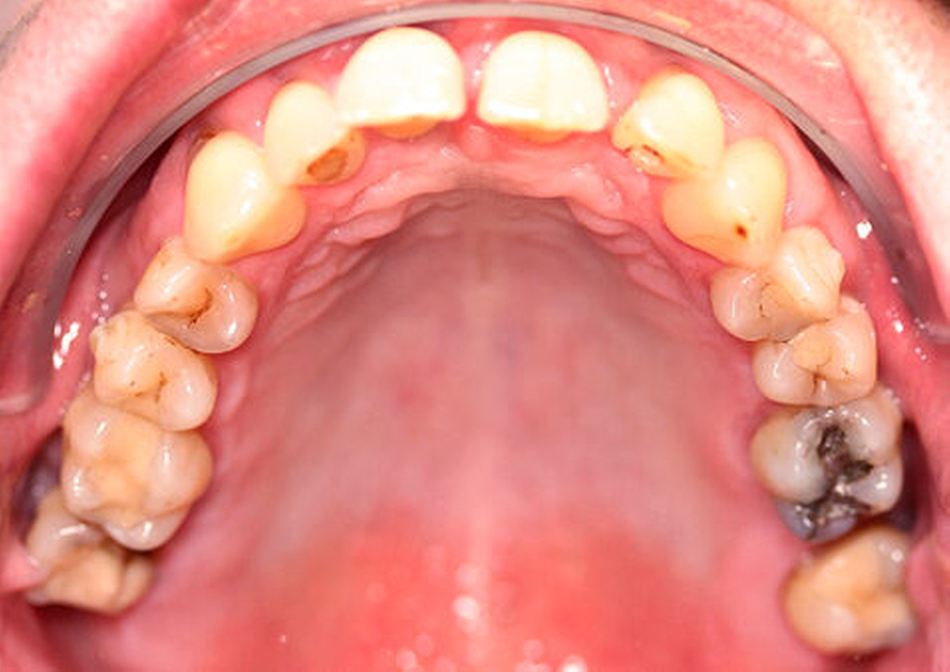
Um einen kompletten Lückenschluss im Oberkiefer zu ermöglichen, musste im Unterkieferfrontzahnbereich zusätzlich zur Derotation und Positionierung der Zähne – insbesondere Zahn 41 – von approximaler Schmelzreduktion, kurz ASR , Gebrauch gemacht werden, um einer Tonn`schen Diskrepanz entgegenzuwirken (siehe dazu Abbildung 7 auf Seite xy).
Nach Ausgliederung der insgesamt 14 Invisalignschienen, die der Patient jeweils drei Wochen getragen hatte, wurden ihm sowohl im Unter- als auch im Oberkiefer Sechs-Punkt-Retainer eingegliedert, um eine Schienung und Stabilisierung der Zähne untereinander zu ermöglichen.
Zusätzlich wurden für die Nacht Retentionsschienen gefertigt. Nach Abschluss der kieferorthopädischen Therapie betrugen die Taschentiefen an Zahn 11 mesial und distal jeweils 6 mm und 4 mm. Zahn 11 zeigte daher weiterhin einen erhöhten Lockerungsgrad, der in Zusammenarbeit mit dem Zahnarzt ein halbes Jahr nach Abschluss der Therapie durch regelmäßige Reinigung, weitere parodontal-hygienische Maßnahmen und die dauerhafte Schienung reduziert werden konnte.
Eine zusätzliche Behandlung mit einem Schmelzmatrixprotein, gesteuerter Geweberegeneration oder Ähnliches lehnte der Patient ab. Die reine Intrusion von Zahn 11 konnte mit 2,5 mm beziffert werden, während Overjet und Overbite jeweils 2 mm und 3 mm betrugen. Die Abbildung 4 zeigt den Zwischenbefund nach zwei Monaten mit den transparenten Schienen.
Diskussion
Die kieferorthopädische Behandlung von Erwachsenen stellt nach wie vor eine Herausforderung für den Behandler dar. Neben hohen ästhetischen Vorgaben durch den Patienten liegt eine zusätzliche Erschwernis im Vorliegen parodontaler Vorerkrankungen im adulten Gebiss.
In Deutschland leiden etwa acht Millionen Menschen an Parodontitis [Holtfreter et al., 2010; Micheelis et al., 2006]. Hierbei kommt es zu einer entzündlichen Degeneration des Zahnhalteapparats, in dessen Folge es durch den Verlust von parodontalem Stütz- und Knochengewebe zu Zahnwanderungen kommt [Eliasson et al., 1982; Hellwig et al., 2007].
Dafür werden Risikofaktoren wie systemische Erkrankungen, Rauchen, Stress, ethnische Zugehörigkeit, reduzierte Wirtsabwehr, schlechte Mundhygiene und genetische Faktoren verantwortlich gemacht [Kohal et al., 2000; Reichert et al., 2011].
Während die Zahnbewegung bei Jugendlichen mit zellreichem Parodont, osteoidem Gewebe, großen Markräumen und wenig Fasern schon nach ein bis zwei Tagen Reaktionen zeigt, braucht diese Reaktion beim erwachsenen Patienten mit seinem zellarmen Parodont, dicken Faserbündeln und wenig Umbauaktivität im Knochen etwa acht Tage [Reitan, 1985].
Schon Diedrich formulierte 1980 Richtlinien für die orthodontische Behandlungsplanung im parodontal erkrankten Gebiss [Diedrich, 1980]. Voraussetzung für eine Therapie im parodontal vorgeschädigten Gebiss ist – wie auch in diesem Fall erfolgt – ein Blutungs- und Plaque-Index von weniger als 15 Prozent, eine Sulkustiefe von weniger als 4 mm, keine Wurzelkaries sowie hygienefähige Verhältnisse [Kohal et al., 1999]. Es muss also sichergestellt sein, dass eine weitestgehende Entzündungsfreiheit im Parodont vorliegt [Diedrich, 1980; Reichert et al., 2011].
Erst dann kann mit einer Reparation des Defekts – also einer Ausbildung von langem Saumepithel und keiner Regeneration von Knochen und Desmodont – im Rahmen der kieferorthopädischen Therapie gerechnet werden [Proye et al., 1982; Schroeder, 1997; Wolf et al., 2004].
Eventuell kommt es sogar durch die Intrusionsbewegung zu einer Zurückgewinnung von bereits verlorenem Attachment, was Untersuchungen von Melsen et al. (1988,1989) und Amiri-Jezeh et al. 2004 zeigen konnten [Melsen et al., 1988 and 1989; Amiri-Jezeh et al., 2004].
Da bei Attachmentverlust an Zähnen davon auszugehen ist, dass sich das Widerstandszentrum weiter zur Wurzelspitze verlagert und das Drehmoment einer Kraft größer ist als bei parodontal gesunden Zähnen, ist während der kieferorthopädischen Behandlung darauf zu achten, dass leichte Kräfte auf die Zähne einwirken [Diedrich et al., 2006; Göz, 2000; Schneider, 1994]. Zudem muss weiterhin eine optimale Mundhygiene gewährleistet sein können.
Somit fiel in diesem Fall unsere Wahl auf die kieferorthopädische Therapie mit Alignern (Invisalign®, Align Technology, Inc., Amsterdam, Niederlande). Das Konzept dieser Aligner basiert auf einer Idee von H.D. Kesling von 1945, in dem er aus mehreren aufeinander aufbauenden Set up-Modellen elastische Geräte herstellte, die schrittweise zum eigentlichen Behandlungsziel führten. Durch den herausnehmbaren Charakter dieser Geräte wird eine uneingeschränkte Zahnpflege ermöglicht. Somit sind Aligner hier festsitzenden Klammern tendenziell überlegen [Göz, 2010].
Die 2001 in Deutschland eingeführten Aligner der Firma Align Technology, Inc. bestehen aus 0,7 mm dicken thermoplastischem Kunststoff [Barlattani et al., 2009; Haubrich, 2013; Wong, 2002] und ermöglichen pro Schiene Zahnbewegungen von 0,25 – 0,3 mm sowie Drehungen bis zu 2° [Torres et al., 2011] die durch ein Set-up eingebracht werden.
Die Aligner haben zwar keinen exakten Punkt der Kraftapplikation [Beers et al., 2006], was die Vorhersagbarkeit von Zahnbewegungen schwierig macht [Hahn et al., 2011], bleiben aber mit ihrer Kraftgröße in der von Schwarz beschriebenen optimalen Kraftgröße des kapillaren Blutdrucks (0,15 – 0,2 N/cm²) und innerhalb der von Rahn und Jonas sowie Storey und Smith beschriebenen Kraftgröße von 0,2 N beziehungsweise nach Göz von 0,15 bis 0,3 N für die Intrusion eines parodontal gesunden Zahnes [Rahn et al., 1980; Schwarz, 1932; Storey et al., 1952].
Während der empfohlenen zweiwöchigen Tragezeit nimmt diese Kraft allerdings signifikant ab, wie Cao et al 2006 publizierten [Cao et al., 2006]. Auch in unserem vorliegenden Fall zeigte sich der positive Effekt auf das parodontal vorgeschädigte Gebiss.
Die Intrusion der Zähne und auch die Ausrichtung im Zahnbogen und zueinander sind als erfolgreich zu bewerten. Dem Wunsch des Patienten konnte entsprochen werden. Zahn 11 konnte funktionell und ästhetisch in die Zahnreihe eingegliedert und erhalten werden. Trotzdem bleibt abzuwarten, wie sich die Zähne längerfristig entwickeln werden.
Durch die Befestigung von Dauerretainern im Ober- und Unterkiefer und das Tragen von Schienen über Nacht ist therapeutisch die bestmöglichste Versorgung gewährleistet, da unter anderem der orthodontischen Rezidivtendenz vorgebeugt und der parodontal bedingten erhöhten Mobilität der Zähne entgegengewirkt wird [Diedrich, 2002].
Nikotinkonsum: Dennoch ist der Nikotinkonsum des Patienten als negativer Faktor nicht zu unterschätzen. Bergström stellte 2004 in einer Studie fest, dass durch den Nikotinkonsum das Risiko an Parodontitis zu erkranken fünf bis 20 Mal höher als normal und zudem gleich dem Risiko für Lungenkrebs ist [Bergström, 2004]. Auch Bosco et al. stellten eine enge Verbindung zwischen dem Nikotinkonsum und dem Auftreten einer Parodontitis an Ratten fest [Bosco et al., 2007].
Alkoholkonsum: Mit entscheidend ist auch die Menge des täglichen Alkoholkonsums für die Gesundheit des Zahnhalteapparats. Hier liegt laut einer amerikanischen Studie von 2004 das Risiko an Parodontitis zu erkranken um 18 bis 27 Prozent höher als bei einem Nichtkonsumenten [Finucane et al., 1990]. Auch Lages et al. und Bhat et al. konnten diesen Zusammenhang 2015 bestätigen [Lages et al., 2015; Bhat et al., 2015].
Koffeingenuss: Der Genuss von Koffein ist dagegen kontrovers zu betrachten. So gibt es Studien wie zum Beispiel von Machida et al. 2014, die belegen, dass ein Zusammenhang zwischen dem Genuss von mehr als einer Tasse Kaffee pro Tag und dem Auftreten von Parodontitis besteht [Machida et al., 2014]. Ng et al. halten mit ihrer Veröffentlichung von 2014 dagegen: Sie haben in ihrer Studie die Erfahrung gemacht, dass Kaffeekonsum zumindest bei männlichen Patienten auch vor parodontalem Knochenabbau schützen kann [Ng et al., 2014]. Eine engmaschige Kontrolle durch den Zahnarzt wurde dem Patienten daher empfohlen.
Dr. Sabine Weimar,
Dr. Johannes Spitzbart
Goethestraße 38, 40237 Düsseldorf
info@dr-spitzbart.de



