MIH: Hohe Prävalenz gleich hohe klinische Relevanz?
In der DMS V wurden bei den 12-jährigen Kindern neben Karies auch Molaren-Inzisiven-Hypomineralisationen (MIH) als entwicklungsbedingte Zahnhartsubstanzdefekte registriert. Damit liegen für Deutschland erstmals bevölkerungsrepräsentative Zahlen zur MIH vor.
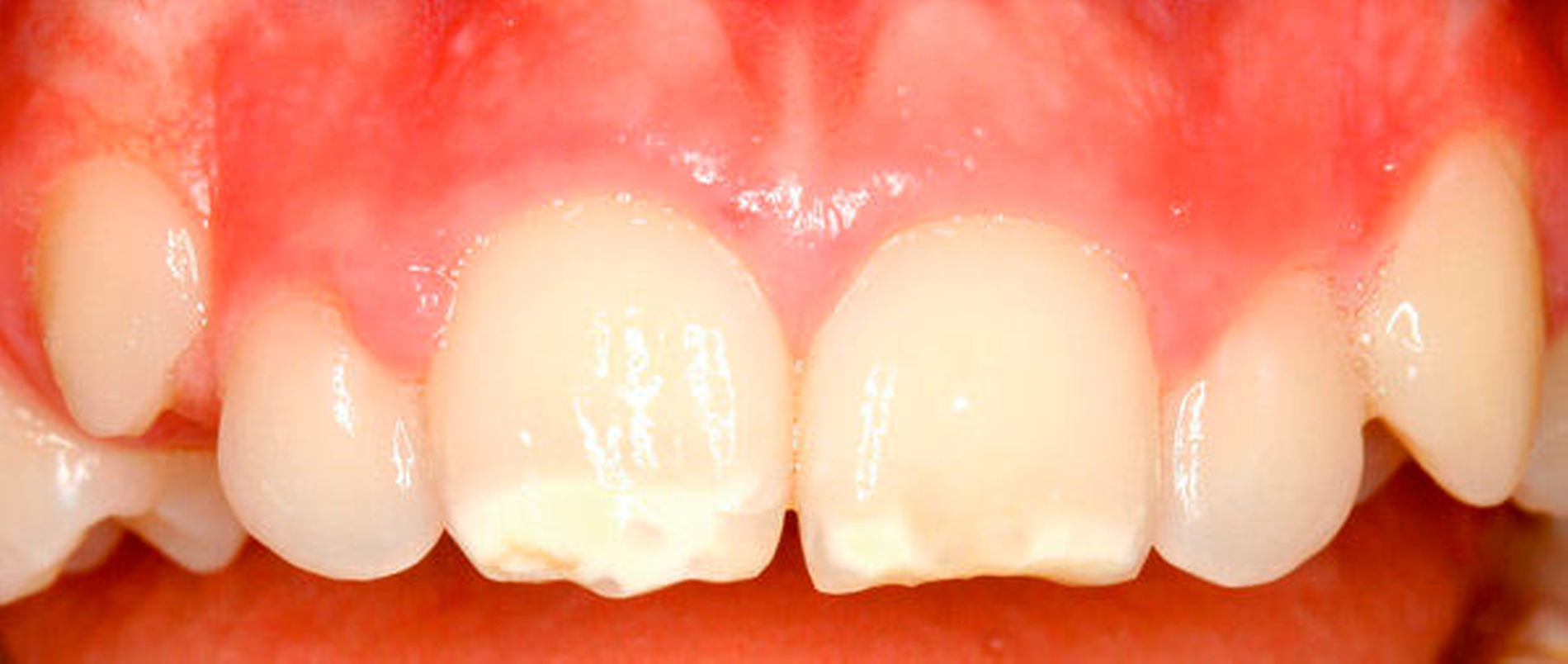
Die MIH ist als Erkrankung der ersten Molaren und der Schneidezähne definiert, wobei mindestens ein erster Molar betroffen sein muss, die Einbeziehung von Schneidezähnen hingegen optional ist [1]. Die entwicklungsbedingten Zahnhartsubstanzdefekte gehen auf Störungen während der Zahnentwicklung zurück, verbunden mit einer ungenügenden Rückresorption von Wasser und Proteinen während früher Phasen der Schmelzbildung. Es resultiert ein mindermineralisierter Schmelz, der zu einer unzureichenden mechanischen Belastbarkeit des Schmelzes bis hin zu Schmelzabsprengungen führen kann. Die MIH imponiert daher oft als Hypoplasie, ist aber eine Hypomineralisation (Tabelle 1). Da die MIH epidemiologisch gut an kariesfreien Zähnen erkennbar ist, wenn noch keine Restaurationen vorliegen, wurde dieses Krankheitsbild in der DMS V exklusiv bei den 12-jährigen Kindern erhoben.
Gemäß den Empfehlungen der europäischen Akademie für Kinderzahnheilkunde (EAPD) wird nach fünf Entscheidungskriterien unterschieden [1]:
begrenzte Opazität,
posteruptiver Schmelzeinbruch,
atypische Restauration,
Extraktion wegen MIH und
Zahn nicht durchgebrochen.
Atypische Restaurationen müssen vermutet werden, wenn deren Größe und Form nicht dem aktuellen Bild der Zahnkaries entsprechen. Als verdächtig für eine Extraktion aufgrund von MIH gelten gleichzeitige Opazitäten oder atypische Restaurationen an anderen ersten Molaren oder Schneidezähnen.
Hypoplasie | Hypomineralisation | |
|---|---|---|
Entwicklungsdefekt | ja | ja |
Entwicklungsstadium | sekretorisch | post-sekretorisch |
Hauptproblem | Schmelzdicke | Mineraldefizit |
fehlender Schmelz vor Zahndurchbruch | ja | nein |
fehlender Schmelz beim Zahndurchbruch | ja | manchmal |
fehlender Schmelz nach Zahndurchbruch | ja | manchmal |
posteruptive Veränderungen | langsam | schnell |
angrenzender Zahnschmelz | normal | anomal/hypomineralisiert |
Tabelle 1. Quelle: eigene Darstellung in Anlehnung an „The D3 Group“. www.thed3groups.org |
Gesamt (n = 1.468) | |
|---|---|
Prävalenz (mindest. ein MIH-Zahn vorhanden) | 28.7 % |
mittlere Anzahl an MIH-Zähnen | 0,8 |
MIH-Erkrankte¹ (n = 422) | |
mittlere Anzahl an MIH-Zähnen | 2,7 |
maximaler Schweregrad | |
begrenzte Opazität | 81 % |
umschriebener Schmelzeinbruch | 9.8 % |
großflächiger Schmelzeinbruch | 1.3 % |
atypische Restauration | 7.4 % |
Extraktion wegen MIH | 0.4 % |
Zahn nicht durchgebrochen | 0.0 % |
¹ gemäß EAPD-Definition wurden nur erste Molaren und Schneidezähne gewertet |
In der Literatur wird aus unterschiedlichen Ländern ein sehr breites Prävalenzspektrum beschrieben: Während für Kinder aus Hongkong eine Prävalenz von drei Prozent erhoben wurde [2], erreichte diese in Brasilien bis zu 40 Prozent [3]. Für Deutschland lagen bisher epidemiologische Kennzahlen aus dem öffentlichen Gesundheitsdienst aus vier deutschen Städten vor. Bei Untersuchungen von Grundschülern von der zweiten bis zur vierten Klasse [4] wurde eine mittelwertige Prävalenz von zehn Prozent ermittelt, allerdings mit erheblichen regionalen Schwankungen, die von vier Prozent (Greifswald) bis hin zu 15 Prozent (Düsseldorf) reichten.
In der DMS V lag die Prävalenz der MIH bei 12-Jährigen bei 28,7 Prozent, also insgesamt deutlich höher als in der vorgenannten Studie. Weder beim regionalen Ost-West-noch beim Geschlechtervergleich stellte sich ein systematischer Unterschied dar. Insgesamt übertreffen die MIH-Prävalenzen mittlerweile die Größenordnung der Kariesprävalenz (18,7 Prozent).
Unklar ist allerdings, ob es sich tatsächlich um ein Krankheitsbild handelt, das eine entsprechende Inzidenz aufweist, oder ob diese entwicklungsbedingten Zahnhartsubstanzdefekte in Zeiten niedriger Kariesprävalenz epidemiologisch einfach besser erkannt werden, da sie nicht frühzeitig durch Restaurationen kaschiert werden.
Ganz überwiegend (81,0 Prozent) lag bei den Probanden mit einer MIH, gemessen an den ersten Molaren und Schneidezähnen, ein geringer Ausprägungsgrad vor, gefolgt von umschriebenen Schmelzeinbrüchen (9,8 Prozent) und atypischen Restaurationen (7,4 Prozent). Großflächige Schmelzeinbrüche und Extraktionen aufgrund von MIH wurden nur in seltenen Fällen beobachtet (Tabelle 2).
Die Prävalenz ist als einzige Kennzahl nicht ausreichend
Auch wenn sich für die MIH in der DMS V eine bemerkenswerte Prävalenz herausgestellt hat, sollte die Interpretation der Datenlage mit angemessener Umsicht erfolgen: Hohe Prävalenz bedeutet nicht automatisch hohe klinische Relevanz, denn Ausmaß (mittlere Anzahl an MIH-Zähnen) und Schwere (maximaler Ausprägungsgrad) der Erkrankung liegen doch überwiegend auf niedrigem Niveau, was zeigt, dass die Prävalenz als alleinige epidemiologische Kennzahl nicht immer ausreichend ist, um sich ein vollständiges Bild über die Verteilung von Krankheiten in der Bevölkerung zu verschaffen. Die deutliche Prävalenz jedoch verlangt nach einer Intensivierung der Forschung über Ursachen und Vermeidung der MIH.
PD Dr. med. dent. habil. A. Rainer Jordan, MSc., ist Wissenschaftlicher Direktor des Instituts der Deutschen Zahnärzte (IDZ), Universitätsstr. 73, in 50931 Köln.
Literatur
1. Weerheijm KL, Duggal M, Mejàre I, Papagiannoulis L, Koch G, Martens LC, et al.: Judgement criteria for Molar Incisor Hypomineralisation (MIH) in epidemiologic studies: a summary of the European meeting on MIH held in Athens, 2003. Eur J Paediatr Dent. 2003;4(3):110-3.
2. Cho S-Y, Ki Y, Chu V: Molar incisor hypomineralization in HongKong Chinese children. Int J Paediatr Dent. 2008;18(5):348-52.
3. Soviero V, Haubek D, Trindade C, Da Matta T, Poulsen S: Prevalence and distribution of demarcated opacities and their sequelae in permanent 1st molars and incisors in 7 to 13-year-oldBrazilian children. Acta Odontol Scand. 2009;67(3):170-5.
4. Petrou MA, Giraki M, Bissar A-R, Wempe C, Schäfer M, Schiffner U, et al.: Molaren-Inzisiven-Hypomineralisation (MIH): Prävalenz und Therapiebedarf in Deutschland.




