Parodontal akzelerierte osteogene Orthodontie
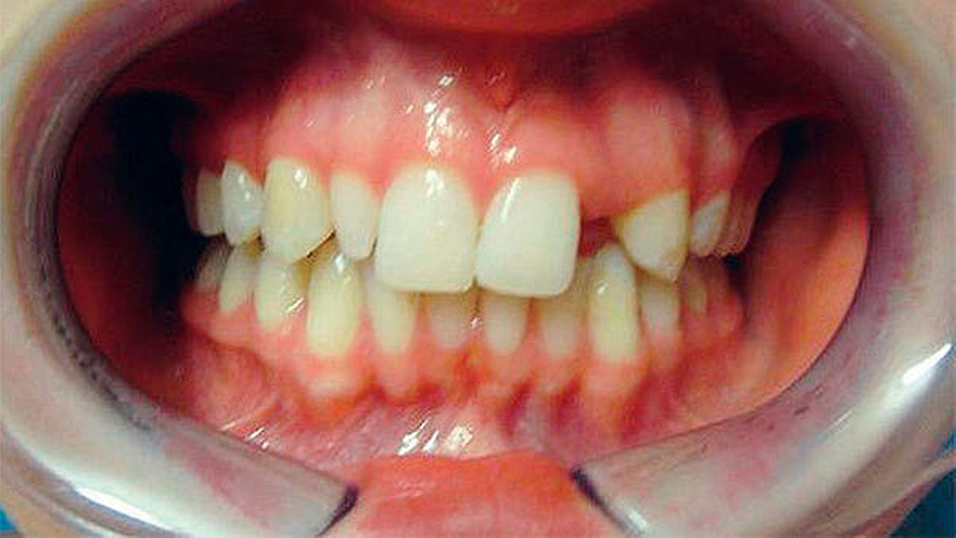
Eine 20-jährige Patientin stellte sich zur Implantat- und Distraktionsberatung in der Abteilung für Mund-, Kiefer- und Gesichtschirurgie vor. Diagnostisch lagen eine mandibuläre Retrognathie, retinierte und verlagerte Zähne 18, 28, 38 und 48, ein Zapfenzahn 12, ein fehlender Zahn in regio 022, eine Mittellinienverschiebung und ein Engstand der Oberkieferfront vor (Abbildung 1). Im Rahmen der klinischen Untersuchung und basierend auf dem Auswertungsergebnis der DVT wurde bei der Patientin im Hinblick auf mögliche therapeutische Maßnahmen eine differenzial-therapeutische Beratung durchgeführt.
Diagnose und Therapie
Klinisch und radiologisch lag eine konvergierende Wurzelstellung der Zähne 21 und 23 vor. Eine unkomplizierte implantatprothetische Versorgung der Lücke 022, das heißt ohne Verletzung der benachbarten angulierten Zähne, erschien nicht möglich. Die Schwierigkeit bestand darin, die Lücke 022 zu öffnen, was sich bislang aufgrund einer festsitzenden Apparatur als frustran erwiesen hatte. Der Patientin wurde aufgrund der vorliegenden Diagnose eine parodontal akzelerierte osteogene Orthodontie (PAOO) im Bereich des linken Oberkiefers empfohlen.
Darüber hinaus wünschte sich die Patientin, auch die Lücke mit dem Zapfenzahn 12 zu öffnen, damit weitere, ästhetische Korrekturen durchgeführt werden konnten. Auf den Zapfenzahn 12 sollte eine größere Krone gesetzt werden, gegebenenfalls sollten eine Extraktion und eine Implantation erfolgen. Wir stellten der Patientin frei, auch dort das PAOO-Verfahren einzusetzen. Die Durchführung beider Korrekturen erschien in Vollnarkose mit gleichzeitiger Entfernung der Weisheitszähne indiziert.
Die mit der Patientin abgestimmte Therapie wurde in engem interdisziplinärem Kontakt mit dem Hauszahnarzt und mit einem kieferorthopädischen Kollegen geplant und begonnen. Die Bewegung der Zähne wird präoperativ vorbereitet durch das Kleben der Brackets, postoperativ zur Aktivierung wurde dann der Drahtbogen eingesetzt.
Operationsmethode
Fallbezogen stellte sich die PAOO wie folgt dar:
• vestibuläre paramarginale Schnittführung von regio 14 nach regio 24 des Oberkiefers sowie palatinal etwa 2 mm unterhalb des Gingivalsaums
• subperiostale Präparation eines Mukoperiostlappens
• vertikale und horizontale Kortikotomie aller Zahnfächer mit dem Mectron-PiezonSurgery®-Gerät
Des Weiteren erfolgten kortikale Punktbohrungen und die Entnahme eines knöchernen Kortikalis-Dreiecks im Bereich des linken Oberkiefers. Unter Schonung des Nervus inzisivus wurde eine entsprechende Kortikotomie ebenso palatinal angewandt. Dann erfolgte die Auffüllung des vestibulären und des palatinalen subperiostalen Raumes der Kortikotomiespalten durch mit Eigenblut getränktes, synthetisches Knochenersatzmaterial NanoBone®. Für den abschließenden speicheldichten Wundverschluss wurde monophiles Nahtmaterial 5–0 verwendet.
Nach Abschluss der operativen Versorgung begann am siebten postoperativen Tag die eigentliche orthodontische Phase. Etwa fünf Monate später wurden nach Lückenöffnung die Implantate regio 12 und 22 inseriert und die Distraktionsosteogenese des Oberkiefers durchgeführt. Eine direkte prothetische Versorgung des Zapfenzahns 12 war nicht möglich – auch hier erfolgte die Implantatinsertion. Im weiteren Behandlungsverlauf wurden die Distraktoren nach circa sechs Monaten entfernt sowie beide Implantate in üblicher Art und Weise freigelegt und prothetisch versorgt.
Heute, nach circa eineinhalb Jahren (Abbildung 2), zeigt sich die Patientin mit den funktionellen und ästhetischen Verbesserungen durch die operativen Eingriffe äußerst zufrieden. Sie befindet sich weiterhin in engmaschiger zahnärztlicher/kieferorthopädischer Kontrolle sowie in regelmäßigen Zeitabständen in kieferchirurgischer Nachsorge.
Diskussion
Die kieferorthopädische Korrektur von Zahnfehlstellungen erfordert meist einen länger dauernden Behandlungsverlauf. Ein optimales Korrekturergebnis ist von vielen Faktoren abhängig, beispielsweise von der Compliance des Patienten [Adusumilli et al., 2014]. In der kieferorthopädischen Behandlung ist eine ansteigende Zahl von jungen erwachsenen oder adoleszenten Patienten zu verzeichnen. Ihre Behandlung weist jedoch gegenüber Kindern einige biologische, klinische und auch psychologische Unterschiede auf. Ältere Patienten haben zum einen andere Anforderungen an die Gesichts- und Dentalästhetik (Art der kieferorthopädischen Apparatur), zum anderen an die Dauer einer kieferorthopädischen Behandlung.
Dagegen spielt das Wachstum bei Erwachsenen gegenüber Kindern eine fast untergeordnete Rolle. Bei Erwachsenen sind die Zell-Mobilisierung und die Umwandlung von Kollagenfasern merklich langsamer. Während der Behandlung besteht sogar die große Wahrscheinlichkeit der Hyalinisierung. Aufgrund der veränderten Knochenstruktur sind erwachsene Patienten deutlich anfälliger für parodontale Komplikationen [Mathews Kokich, 1997; Ong Wang, 2002; Amit et al., 2012].
Borderline Behandlungsfälle - geringe Oberkieferhypoplasie - Oberkieferkompression - offener Biss
Bisskorrektur nach Gelenk-Splint-Behandlung | |
|---|---|
beschleunigter Eckzahn-Rückzug nach Prämolaren-Extraktion | |
Rezidivfälle | |
Auflösen eines Engstands in kürzerer Behandlungszeit | |
schnelle Vorbehandlung bimaxillärer OP-Patienten | |
Verbesserung der post-kieferorthopädischen Stabilität | |
retinierte oder verlagerte Zähne | |
Molar-Intrusion | |
Erleichterung langsamer kieferorthopädischer Expansion |
Quelle: [modifiziert nach: Wilcko et al.. 2001; Iino et al.. 2006; Fischer. 2007; Lee et al.. 2007; Wilcko et al.. 2009; Bell et al.. 2009; Hassan et al.. 2010; Kim et al.. 2011]
Seit einigen Jahren wird in den Helios-Kliniken Schwerin in Kooperation mit niedergelassenen Kieferorthopäden das klinische Verfahren der parodontal akzelerierten osteogenen Orthodontie (PAOO) angewendet. Das Verfahren ist heute insbesondere im angloamerikanischen Raum bekannt und erfährt unter den Termini „alveolar osteogene Orthodontie“, „Piezocision“, „Speedy Orthodontics“ oder „Wilckodontics“ zunehmend Verbreitung [Wilcko et al., 2001; Vercellotti Podesta, 2007; Chung et al., 2009a; Chung et al., 2009b; Dibart et al., 2009; Murphy et al., 2009; Suchetha et al., 2014].
Die PAOO
Die PAOO verbindet die selektive alveolare Kortikotomie, die partikuläre alloplastische Augmentation und die Anwendung von kieferorthopädischen Kräften. Bei der Wahl der Behandlungsoptionen übernimmt die PAOO hinsichtlich der okklusalen und der ästhetischen Veränderungen eine maßgebliche Rolle. Sie führt zu einer Zunahme der Alveolarknochenbreite und zu einer Verkürzung der Behandlungszeit (kürzere Zeit in Brackets) [Wilcko et al., 2001; Vercellotti Podesta, 2007; Chung et al., 2009a; Chung et al., 2009b; Dibart et al., 2009; Murphy et al., 2009; Suchetha et al., 2014].
Als außerordentlich vorteilhaft stellt sich dabei heraus, nicht mehr von dem bestehenden Alveolarknochenvolumen abhängig zu sein und die Zähne im Vergleich zur traditionellen kieferorthopädischen Therapie in einem Drittel bis einem Viertel der Zeit bewegen zu können [Wilcko et al., 2001; Bell et al., 2009].
Im Verlauf des Heilungsprozesses kommt es bei der PAOO zu einer lokalisierten Osteoporose, die als regional acceleratory phenomenon (RAP) beschrieben wird, weil sie für die schnelle Zahnbewegung verantwortlich ist [Schilling et al., 1998]. Frost beschrieb 1983 erstmalig das RAP. Es setzt bereits wenige Tage nach Frakturen, Arthrodese, Osteotomie oder Knochentransplantationsverfahren ein und führt entgegen normaler Umbauvorgänge zu zwei- bis zehnfach beschleunigten Heilungsvorgängen [Frost, 1983; Shih Norrdin, 1985; Frost, 1989a, 1989b].
Zu den beiden wichtigsten Funktionen des RAP gehören innerhalb der Knochenheilung die verringerte regionale Knochendichte und ein beschleunigtes Knochen-Turnover, was die orthodontische Zahnbewegung deutlich erleichtert [Frost, 1983; Shih Norrdin, 1985, Frost, 1989a, 1989b].
Die Operationstechnik umfasst fünf Schritte:
das Lappen-Design (Abbildung 3), die horizontale und vertikale Dekortikation sowie das Stippling (Abbildung 4), das Grafting (Abbildung 5), die Verschlusstechnik und die Zeit der reinen orthodontischen Therapie. Für das Lappen-Design wird ein Schleimhautlappen gebildet. Unter Erhalt der Gingiva-Ästhetik ist die Übersicht auf den Alveolarknochen sicherzustellen [Murphy et al., 2009; Amit et al., 2012].
Die Knochenaktivierung mit Dekortikation ist definitionsgemäß von der linearen Abtragung der kortikalen Anteile des Alveolarknochens gekennzeichnet. Es ist darauf zu achten, dass genug Knochen für eine RAP-Reaktion abgetragen wird, jedoch keinesfalls bewegliche Knochensegmente hervorgerufen werden. Die Dekortikation hat zur Vermeidung von Verletzungen der darunter befindlichen Strukturen–wie zum Beispiel der Kieferhöhle oder des Mandibularkanals – ohne Eintritt in den spongiösen Knochen zu erfolgen. Sichergestellt wird dies durch die gezielte Verwendung eines piezoelektrischen Messers [Dibart et al., 2009; Kim et al., 2011; Amit et al., 2012].
Zur Augmentation werden in der aktuellen Literatur verschiedene Materialien wie deproteinierter boviner Knochen oder autologer Knochen diskutiert. In unserer Klinik hat sich das in Eigenblut getränkte synthetische Knochenersatzmaterial NanoBone® bewährt und etabliert [Murphy et al., 2009].
Das mittelwertig erreichte Volumen des Augmentats liegt bei 0,25 bis 0,5 ml pro Zahn und ist abhängig von der bestehenden Knochendicke des Alveolarknochens (Abbildung 6) [Murphy et al., 2009]. Nach Reposition und speicheldichtem Wundverschluss des Mukoperiostlappens beginnt die weiterführende kieferorthopädische Therapie [Murphy et al., 2009].
Zusammenfassung
Die PAOO ist ein vergleichsweise weniger invasives chirurgisches Verfahren und wie alle Operationen mit Risiken behaftet. Insbesondere können leichte bis mäßige Schmerzen und Schwellungen sowie die Möglichkeit einer Infektion auftreten [Adusumilli et al., 2014]. Die Tabelle gibt eine Übersicht der klinischen Anwendung sowie der Indikationsstellung für eine PAOO. Hervorzuheben sind die kürzere Behandlungszeit und die geringere dentale Belastung. Für Patienten mit aktiver Parodontitis hingegen gilt diese Technik als relativ kontraindiziert [Lee et al., 2007; Adusumilli et al., 2014].
Fazit für die Praxis
Die PAOO ist eine vielversprechende Behandlungsmethode zur verkürzten kieferorthopädisch-kieferchirurgischen Kombinationsbehandlung.
Sie stellt bei moderat ausgeprägten skelettalen Fehlbissen eine alternative Behandlungsmöglichkeit beziehungs¬weise eine Erweiterung der Behandlungsoptionen dar.
Sie lässt sich bei lokalisierten Fehlbissen, aber auch in Kombination mit einer bimaxillären Umstellungsosteotomie anwenden.
Zudem ist sie eine Alternativtherapie bei Rezidiven.
Bei einer – auf nur wenige Monate – verkürzten Therapiedauer erhöht die PAOO nicht nur die Attraktivität der chirurgischen Fehlbissbehandlung, sondern ermöglicht in einigen Fällen überhaupt erst deren Behandlung.
Dr. Dr. Daniel Schneider,
Dr. Dr. Matthias Hennig,
Prof. Dr. Dr. Reinhard Bschorer
Klinik für Mund-, Kiefer- und Gesichtschirurgie
Helios Kliniken Schwerin
Wismarsche Str. 393–397, 19049 Schwerin
daniel.schneider2@helios-kliniken.de
Literaturliste
Adusumilli S, Yalamanchi L, Yalamanchili PS: Periodontally accelerated osteogenic orthodontics: An interdisciplinary approach for faster orthodontic therapy. Journal of pharmacy & bioallied sciences 6 S2-5, 2014.
Amit G, Jps K, Pankaj B, Suchinder S, Parul B: Periodontally accelerated osteogenic orthodontics (PAOO) - a review. Journal of clinical and experimental dentistry 4 e292-6, 2012.
Bell WH, Finn RA, Buschang PH: Accelerated orthognathic surgery and increased orthodontic efficiency: a paradigm shift. Journal of oral and maxillofacial surgery : official journal of the American Association of Oral and Maxillofacial Surgeons 67 2043–2044, 2009.
Chung K, Kim S, Lee B: Speedy surgical-orthodontic treatment with temporary anchorage devices as an alternative to orthognathic surgery. American journal of orthodontics and dentofacial orthopedics : official publication of the American Association of Orthodontists, its constituent societies, and the American Board of Orthodontics 135 787–798, 2009a.
Chung K, Mitsugi M, Lee B, Kanno T, Lee W, Kim S: Speedy surgical orthodontic treatment with skeletal anchorage in adults--sagittal correction and open bite correction. Journal of oral and maxillofacial surgery : official journal of the American Association of Oral and Maxillofacial Surgeons 67 2130–2148, 2009b.
Dibart S, Sebaoun JD, Surmenian J: Piezocision: a minimally invasive, periodontally accelerated orthodontic tooth movement procedure. Compendium of continuing education in dentistry (Jamesburg, N.J. : 1995) 30 342-4, 346, 348-50, 2009.
Fischer TJ: Orthodontic treatment acceleration with corticotomy-assisted exposure of palatally impacted canines. The Angle orthodontist 77 417–420, 2007.
Frost HM: The regional acceleratory phenomenon: a review. Henry Ford Hospital medical journal 31 3–9, 1983.
Frost HM: The biology of fracture healing. An overview for clinicians. Part I. Clinical orthopaedics and related research 283–293, 1989a.
Frost HM: The biology of fracture healing. An overview for clinicians. Part II. Clinical orthopaedics and related research 294–309, 1989b.
Hassan AH, Al-Fraidi AA, Al-Saeed SH: Corticotomy-assisted orthodontic treatment: review. The open dentistry journal 4 159–164, 2010.
Iino S, Sakoda S, Miyawaki S: An adult bimaxillary protrusion treated with corticotomyfacilitated orthodontics and titanium miniplates. The Angle orthodontist 76 1074–1082, 2006.
Kim S, Kim I, Jeong D, Chung K, Zadeh H: Corticotomy-assisted decompensation for augmentation of the mandibular anterior ridge. American journal of orthodontics and dentofacial orthopedics : official publication of the American Association of Orthodontists, its constituent societies, and the American Board of Orthodontics 140 720–731, 2011.
Lee J, Chung K, Baek S: Treatment outcomes of orthodontic treatment, corticotomy-assisted orthodontic treatment, and anterior segmental osteotomy for bimaxillary dentoalveolar protrusion. Plastic and reconstructive surgery 120 1027–1036, 2007.
Mathews DP, Kokich VG: Managing treatment for the orthodontic patient with periodontal problems. Seminars in orthodontics 3 21–38, 1997.
Murphy KG, Wilcko MT, Wilcko WM, Ferguson DJ: Periodontal accelerated osteogenic orthodontics: a description of the surgical technique. Journal of oral and maxillofacial surgery : official journal of the American Association of Oral and Maxillofacial Surgeons 67 2160–2166, 2009.
Ong, Marianne M A, Wang H: Periodontic and orthodontic treatment in adults. American journal of orthodontics and dentofacial orthopedics : official publication of the American Association of Orthodontists, its constituent societies, and the American Board of Orthodontics 122 420–428, 2002.
Schilling T, Müller M, Minne HW, Ziegler R: Influence of inflammation-mediated osteopenia on the regional acceleratory phenomenon and the systemic acceleratory phenomenon during healing of a bone defect in the rat. Calcified tissue international 63 160–166, 1998.
Shih MS, Norrdin RW: Regional acceleration of remodeling during healing of bone defects in beagles of various ages. Bone 6 377–379, 1985.
Suchetha A, Lakshmi P, Prasad K, Akanksha G, Sm A, Darshan M: PAOO for faster function, aesthetics and harmony. The New York state dental journal 80 53–57, 2014.
Vercellotti T, Podesta A: Orthodontic microsurgery: a new surgically guided technique for dental movement. The International journal of periodontics & restorative dentistry 27 325– 331, 2007.
Wilcko MT, Wilcko WM, Pulver JJ, Bissada NF, Bouquot JE: Accelerated osteogenic orthodontics technique: a 1-stage surgically facilitated rapid orthodontic technique with alveolar augmentation. Journal of oral and maxillofacial surgery : official journal of the American Association of Oral and Maxillofacial Surgeons 67 2149–2159, 2009.
Wilcko WM, Wilcko T, Bouquot JE, Ferguson DJ: Rapid orthodontics with alveolar reshaping: two case reports of decrowding. The International journal of periodontics & restorative dentistry 21 9–19, 2001.



