Die Anatomie von Oberkiefer-Schneide- und -Eckzähnen
Die Schneide- und Eckzähne des Oberkiefers genießen in der menschlichen Kultur große Aufmerksamkeit. Sie sind nicht nur aus funktionellen Gründen von Bedeutung, sondern auch als Symbol von Schönheit und Vitalität. Je nach kultureller Herkunft werden die Schneidezähne des Oberkiefers sogar farblich oder in der äußeren Form verändert, um die Aufmerksamkeit für das Individuum zu erhöhen [Agbor et al., 2015]. Der Verlust eines oder mehrerer Frontzähne oder eine atypische farbliche Veränderung führen deshalb bis heute zu einer sozialen Benachteiligung [Atzlinger, 2011].
Kariesfolgeerkrankungen und traumatische Verletzungen sind die häufigsten Ursachen für eine endodontische Therapie. Insbesondere traumatische Verletzungen im Kopfbereich führen oft zu Verletzungen der Frontzähne mit pathologischen Veränderungen der Pulpa. Konkussions- und Dislokationsverletzungen können bei Erhalt der Pulpa und fehlender mikrobieller Infektion zu einer raschen Produktion von irregulärem Tertiärdentin (Osteoid) führen [Six et al., 2001; Mjör, 2002; Ørstavik & Pitt-Ford, 2008]. Degenerative und reparative Reaktionen der Pulpazellen können auch als Folge von Karies zur Bildung von Tertiärdentin, Dentikeln und verstärkter Mineralisation oder Fibrosierung der Pulpa beitragen. Dies kann sowohl das Auffinden des Wurzelkanaleingangs als auch das Erschließen und Erweitern des Wurzelkanals erheblich erschweren (Abbildung 1).

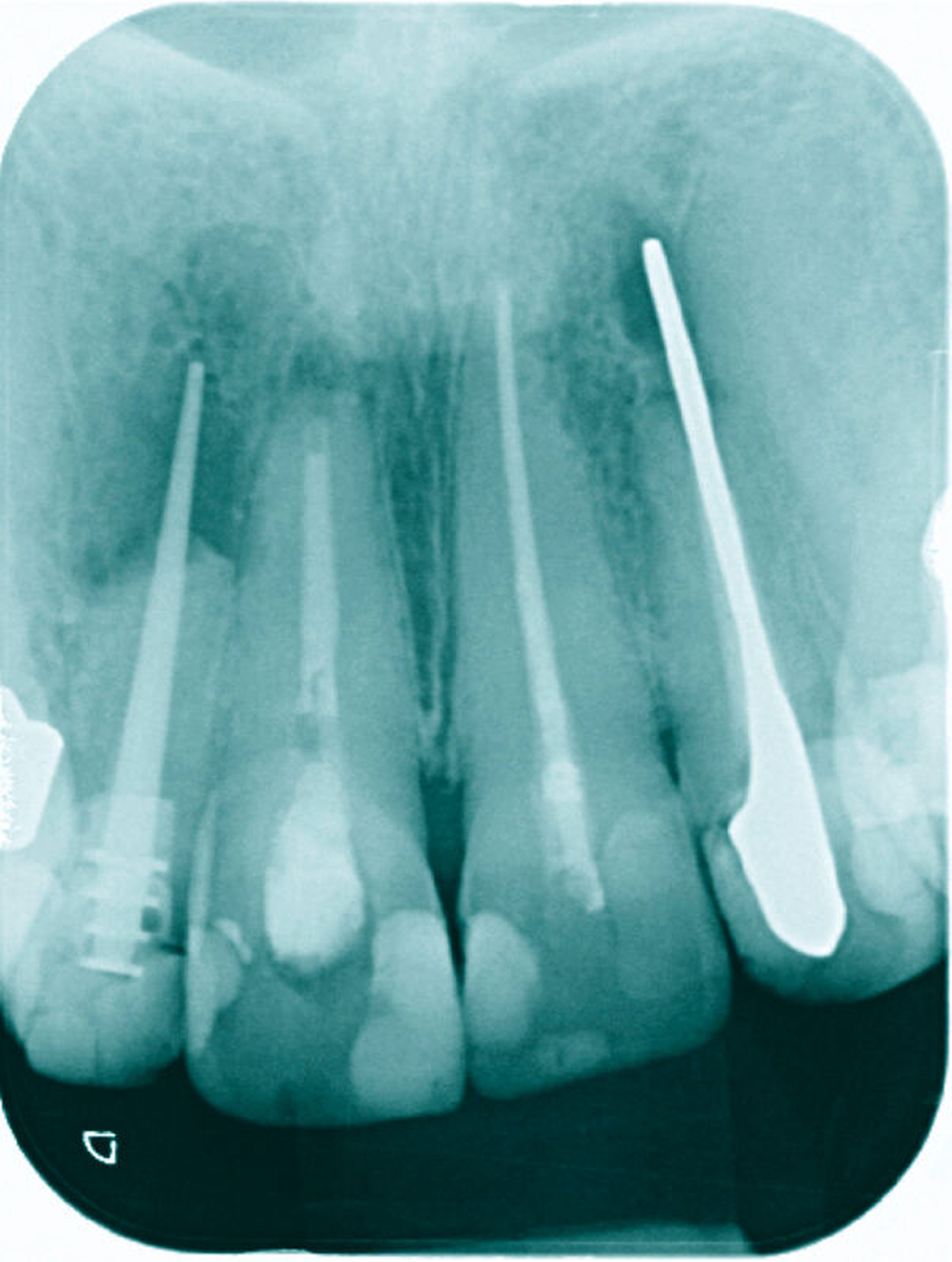
25 Prozent aller Wurzelkanalbehandlungen finden an Frontzähnen statt. Im Vergleich zu Molaren und Prämolaren werden an Frontzähnen danach häufiger Revisionen, Wurzelspitzenresektionen und Extraktionen nötig [Rädel et al., 2014]. Trotz scheinbar einfacher Anatomie treten im Verlauf von Wurzelkanalbehandlungen Komplikationen auf, die wiederholte endodontische oder endo-chirurgische Therapien nach sich ziehen können – mit unsicherer Prognose (Abbildung 2). Eine möglicherweise verkannte Ursache ist die nicht immer leicht zu erkennende variable Anatomie des Wurzelkanalsystems und die im Verlauf der Alterung von Pulpa und Dentin sich vollziehenden Veränderungen dentaler Gewebe [Ørstavik & Pitt-Ford, 2008].
Oberkiefer-Frontzähne sind grundsätzlich einwurzlig. Abweichungen treten in nur seltenen Fällen auf. Der Querschnitt von Wurzel und Wurzelkanal variiert von koronal nach apikal. Während der Wurzelkanalquerschnitt am Boden der Pulpakammer eine rundliche Form aufweist, kann er sich im weiteren Verlauf oval erweitern und sich in Richtung palatinal ausdehnen. Der durch den Dentinüberhang instrumentell meist nicht zugängliche Bereich der palatinalen Wurzelkanalwand bleibt deshalb häufig mechanisch und chemisch unbehandelt und bildet ein Reservoir für mikrobiell infizierte Gewebe. In seltenen Fällen können sich im ovalen Wurzelkanalanteil durch die Bildung einer Dentinbrücke zwei Wurzelkanäle entwickeln (Abbildung 3)


Apikal kann die Wurzel einen geraden Verlauf einnehmen, der Wurzelkanal aber innerhalb der geraden Wurzel stark gekrümmt verlaufen. Insbesondere auf rechtwinkligen intraoralen Röntgenaufnahmen kann die apikale Krümmung eines Wurzelkanals projektionsbedingt nicht exakt abgebildet werden.
Je nach Alter des Zahnes oder Reizeinwirkung verengt sich das Wurzelkanalsystem von koronal nach apikal. Genetische Einflüsse oder traumatische Verletzungen des Zahnkeims können zu erheblichen Abweichungen in der Wurzelform und der Form des Wurzelkanals an Frontzähnen führen (Abbildungen 4 und 5).
Erste Hinweise auf mögliche Formabweichungen oder Anomalien der Wurzel sind häufig an der äußeren Form der klinischen Zahnkrone zu erkennen [Mueller, 1933; Schulze, 1987]. Insbesondere auf der palatinalen Fläche sind bei einem ausgeprägten Tuberculum dentis oder einem Foramen caecum weitergehende diagnostische Untersuchungen nötig, um rechtzeitig Form- und Strukturveränderungen der Zähne erkennen zu können (Abbildungen 6 bis 8).
Zentrale Schneidezähne
Bei den zentralen Schneidezähnen kann das häufig zu beobachtende weite apikale Foramen im Verlauf einer Wurzelkanalbehandlung als Risiko für eine Infektionsausbreitung unterschätzt werden. Anatomischen Studien zufolge variiert seine Dimension zwischen 0,3 mm und 0,6 mm mit einem durchschnittlichen Wert von 0,42 mm [Kerekes & Tronstad, 1977; Mitzutani et al., 1992]. Wird die Weite des apikalen Foramens ohne vorherige Erweiterung des koronalen und des mittleren Wurzelkanaldrittels (Coronal Preflaring) ermittelt, wird die Dimension häufig als zu klein angenommen und der apikale Wurzelkanalanteil mechanisch unterinstrumentiert [Pecora et al., 2005]. In der Folge können mikrobiell infizierte Gewebeanteile überinstrumentiert und der präparierte Wurzelkanal unterfüllt werden, so dass postendodontische Komplikationen resultieren können.
Seitenkanäle treten bei Schneidezähnen in etwa zehn Prozent der Fälle im koronalen, im mittleren und im apikalen Wurzeldrittel auf [Vertucci, 1985]. Sie werden als mögliche Ursachen für postendodontische Erkrankungen diskutiert [Ricucci & Siqueira, 2010]. Die mechanische Aufbereitung und ein dichter Verschluss sind aus anatomischen Gründen nur schwer möglich [Chaniotis, 2017; Ricucci & Siqueira, 2010]. Laterale Wurzelkanäle zweigen in Beziehung zum Hauptkanal in einem Winkel von etwa 90 Grad ab, so dass rotierende Hand- und maschinelle Instrumente zur mechanischen Reinigung nicht anwendbar sind (Abbildung 9). Die Bearbeitung des Dentins mit dem SAF-System führt zur suffizienten Entfernung von Schmierschichten und Debris, so dass auch Seitenkanäle einer chemischen Desinfektion durch den Einsatz einer ultraschallaktivierten Spülung zugänglich werden [Metzger et al., 2010]. Im Fall fortbestehender Infektionen lateraler Kanäle besteht die Möglichkeit der minimalinvasiven Aufbereitung mit einer vorgebogenen Ultraschallfeile (Abbildung 10). Voraussetzung für den minimalinvasiven orthograden Einsatz ist die Nutzung eines Dentalmikroskops, um den lateralen Abzweig auffinden zu können.
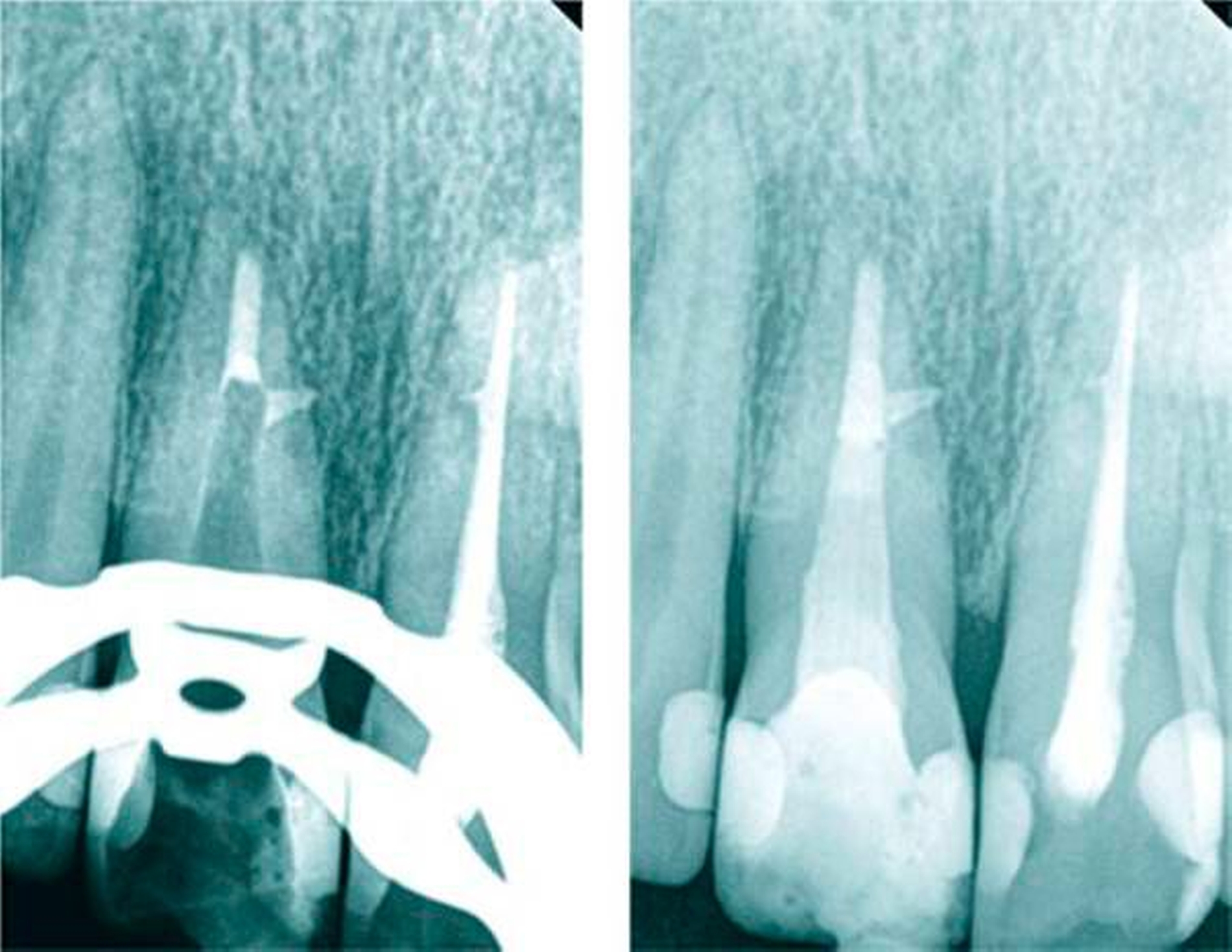
Die Ausbildung eines zusätzlichen Wurzelkanals kann in seltenen Fällen auftreten. Immer dann, wenn sich im koronalen Wurzeldrittel ein ovaler Wurzelkanal erkennen lässt, empfiehlt sich das Austasten mit einer vorgebogenen Handfeile entlang der Wurzelkanalwand, um eine Separation ausschließen oder bestätigen zu können (Abbildung 11).

Seitliche Schneidezähne
Die größte anatomische Variabilität ist bei den oberen seitlichen Schneidezähnen zu beobachten [Baume, 1890; Hess, 1917]. Die Ätiologie ist nicht geklärt. Diskutiert werden genetische Einflüsse und Entwicklungsstörungen im Verlauf der Ausbildung der Zahnpapille [Schroeder, 1997]. Die Formenvielfalt scheint das Ergebnis einer Zelldifferenzierung zu sein, die von sogenannten primären Schmelzknoten induziert und stimuliert werden [Thesleff et al., 2001]. Anatomische Variationen in der Anzahl der Höcker, der Zahnform, der Schmelzausbildung oder die Fehlanlage von Zähnen können möglicherweise auf eine fehlerhafte Expression des TNF-Rezeptors zurückgeführt werden [Piespa et al., 2004].
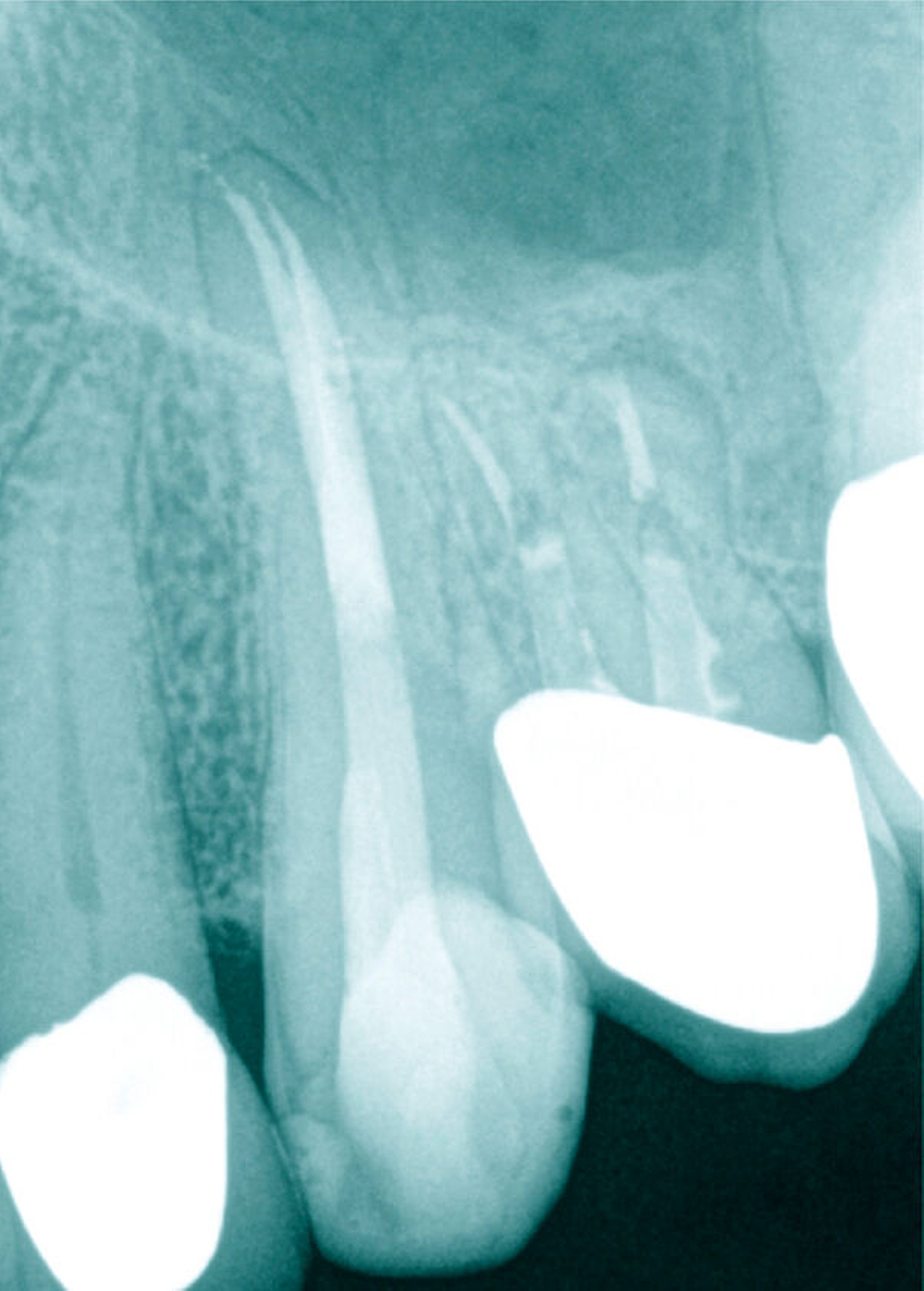
Von klinischer Bedeutung sind bei seitlichen Schneidezähnen (und Eckzähnen) mehrere anatomische Besonderheiten. So können die nach distal gerichteten apikalen Krümmungen eine vollständige Erweiterung und Desinfektion erschweren. Die apikale Begradigung und Verlagerung des apikalen Foramens mit iatrogener Vergrößerung, die Verblockung mit Debris oder die Fraktur von Wurzelkanalinstrumenten sind keine seltenen Komplikationen – sie können das Ergebnis der Wurzelkanalbehandlung negativ beeinflussen (Abbildung 12).


Zapfenförmige seitliche Schneidezähne können ein Hinweis auf eine abweichende Form des Wurzelkanalsystems sein. So können mehrfach gekrümmte Wurzelkanäle beobachtet werden. Darüber hinaus können auch Fehlentwicklungen des äußeren Schmelzepithels auftreten und als Ursache für scheinbar untypische pulpitische Beschwerden bei fehlender Karies verantwortlich sein (Abbildung 13). Invaginationen des äußeren Schmelzepithels können in unterschiedlich tiefer Ausprägung auftreten [Tomas, 1974]. Die Prävalenz dentaler Invaginationen liegt zwischen 3 und 10 Prozent, wobei sie in bis zu 70 Prozent der Fälle bilateral auftreten [Thomas, 1974; Gotoh, 1979; Hülsmann, 1995]. Nach Oehlers werden drei Grade unterschieden [Oehlers, 1957]. Insbesondere Typ-II-Invaginationen mit einer Einstülpung bis unterhalb der Schmelz-Zement-Grenze können bei mikrobieller Infektion aufgrund der Nähe zur Pulpakammer eine irreversible Pulpitis und eine nachfolgende Pulpanekrose auslösen. Im Fall eines Dens invaginatus vom Typ III besteht zwischen der Eintrittspforte an der klinischen Zahnkrone und dem apikalen Endpunkt ein vom Wurzelkanal unabhängiger Verlauf [Hülsmann, 1995]. Die Infektion eines Dens invaginatus kann deshalb röntgenologisch zu einer periapikalen Aufhellung bei fortbestehender Sensibilität des Zahnes führen (Abbildung 14). Eine minimalinvasive Invaginationstherapie kann den Erhalt der Pulpa ermöglichen (Abbildung15).


Eine entgegengesetzte Wachstumsrichtung des äußeren Schmelzepithels im Verlauf der Zahnentwicklung kann zum Auftreten von dornähnlichen Evaginationen führen (Abbildung 16). Besonders ausgeprägte Formen können vom Patienten als störend empfunden werden. Eine Einschleiftherapie führt in solchen Fällen zur Freilegung des pulpanahen Dentins, gegebenenfalls sogar zur Eröffnung der Pulpa und erfordert in jedem Fall einen dichten Verschluss mit Komposit oder sogar eine partielle Pulpotomie mit direkter Überkappung [Hülsmann & Schäfer, 2007].
Bei einem ausgeprägten Foramen caecum sollte eine weitere anatomisch-morphologische Variation in die Differenzialdiagnostik – zur Abklärung eventueller anatomischer Besonderheiten – einbezogen werden: In Verlängerung des Tuberculum dentis kann sich eine Fissur über die Schmelz-Zement-Grenze hinaus auf der Wurzeloberfläche fortsetzen. Je nach Ausprägung können diese Wurzelfurchen auch den Beginn von Wurzelseparationen darstellen. Im Ergebnis der Einfaltung des Schmelzepithels und der Einschnürung im Bereich der Hertwigschen Wurzelscheide enwickelt sich in seltenen Fällen eine rudimentäre oder vollständig ausgebildete Wurzel [Black, 1908; Arnold, 2007; Gandhi et al., 2011]. In seltenen Fällen können einwurzelige Zähne mit zwei oder mehr Wurzelkanälen [Kottoor et al., 2012] oder zweiwurzelige Zähne mit zwei Wurzelkanälen auftreten [Fabra-Campos, 1990] (Abbildung 17).

Mit dem Zahndurchbruch und der mikrobiellen Kontamination der zumeist palatinal gelegenen Wurzelfurche kann eine lokalisierte Gingivitis oder Parodontitis begünstigt werden.
Eckzähne
Obere Eckzähne sind bekannt für die große Zahnlänge. Arbeitslängen von mehr als 30 mm können allein aufgrund der zu kurzen endodontischen Hilfsmittel eine Herausforderung sein. Der häufig gerade Verlauf der Wurzel und der zumeist gut erkennbare geradlinige Wurzelkanalverlauf lassen eine einfache Anatomie vermuten. Tatsächlich muss bei der Gestaltung der endodontischen Zugangskavität der unterhalb der Schmelz-Zement-Grenze befindliche ovale Wurzelkanalquerschnitt berücksichtigt werden (Abbildung 18). Nur knapp 20 Prozent der Wurzelkanäle oberer Eckzähne weisen eine runde Form im Wurzelkanalquerschnitt auf [Uchiyama et al., 2011]. Im Fall einer zu geringen Extension der Kavität unterbleibt eine mechanische Reinigung der gesamten palatinalen Wurzelkanalwand bei rotierender Aufbereitung, so dass Debris abgelagert und verdichtet wird.

Das apikale Foramen endet in nur 70 Prozent in Verlängerung des Wurzelkanals an der Wurzelspitze. Die laterale Lage des Foramen apicale kann auf zweidimensionalen Röntgenaufnahmen den Eindruck einer zu kurzen Arbeitslänge vermuten lassen (Abbildung 19).
In sehr seltenen Fällen können sich bei stark ovalen Wurzelkanälen intern Dentinbrücken herausbilden, die dann zu einer tiefen Aufteilung in zwei Wurzelkanäle führen können (Abbildung 20).

Diskussion
Die Wurzelkanäle oberer Frontzähne werden häufig als sehr leicht zu behandelnd beurteilt, so dass im Verlauf einer wirtschaftlichen Arbeitsweise wichtige anatomische Details übersehen werden können und deshalb wiederholte therapeutische Eingriffe notwendig werden.
Der hohe Prozentsatz von etwa 40 Prozent an chirurgisch resektiven Eingriffen scheint nicht allein medizinisch begründet zu sein. Insbesondere die soziale Stellung des Patienten und wirtschaftliche Fragen des Versicherungsrechts begründen die hohe Anzahl der resektiven Eingriffe bei fortbestehenden intrakanalären Infektionen [Hasselgreen et al., 2016]. Die strikte Vermeidung einer mikrobiellen Infektion im Verlauf einer primären Wurzelkanalbehandlung mit Vitalexstirpation sollte gerade unter dem Aspekt vielfältiger anatomischer Besonderheiten immer im Vordergrund stehen. Unter Aufrechterhaltung einer Asepsis, der Anwendung von Kofferdam, präendodontischer Aufbaufüllungen und einer nach Möglichkeit einzeitigen Therapie können auch kompromissbehaftete Wurzelkanalbehandlungen reizlos bleiben.
Der Umfang einer adäquaten endodontischen Therapie muss in jedem Fall neu beurteilt werden. Der Erhalt oder auch der nur teilweise Erhalt der Pulpa ist Teil der aktuellen modernen therapeutischen Konzepte zur Erhaltung natürlicher Zähne, so dass die Vielfalt der anatomischen Variationen des Wurzelkanalsystems mechanisch nicht verändert werden muss. In Fällen einer nicht mehr erhaltungsfähigen oder nekrotischen Pulpa ist zur Früherkennung anatomischer Besonderheiten die Nutzung von Vergrößerungshilfen und koaxialer Lichtzufuhr eine zeitgemäße Entscheidung [AAE Position Statement, 2012]. Die Nutzung der dentalen Digitalen Volumentomografie (DVT) ermöglicht das Auffinden seltener anatomischer Wurzel- und Wurzelkanalformen, so dass minimalinvasive Techniken zur Überwindung der vorliegenden Problemstellungen und anatomischen Besonderheiten genutzt werden können [DVT-Leitlinie, 2009; Patel, 2009].
Dipl.-Stom. Michael Arnold
Praxis für Endodontie und Zahnerhaltung
Königstr. 901097 Dresden
endo.arnold@web.de
Dr. med. dent. Frank Paqué
Zentrum für Zahn-, Mund- und Kieferheilkunde
Klinik für Präventivzahnmedizin, Parodontologie und Kariologie
Universität Zürich und
Praxis für Endodontologie
Rennweg 58, CH-8001 Zürich
Literatur:
1. AAE Special Committee to Develop a Microscope Position Paper. AAE Position Statement. Use of microscopes and other magnification techniques. J Endod 2012;38:1153-1155.
2. Agbor AM, Azodo CC, Naidoo S. Ritual tooth modification among the Baka pygmies in Cameroon. Odontostomatol Trop. 2015;38:21-30.
3. Atzlinger E. Psychologische Aspekte und Auswirkungen von verfärbten Frontzähnen nach Trauma. Diplomarbeit, Universität Graz 2011.
4. Arnold M. Bi-rooted incisor with a palato-radicular groove. ENDO-Endod Pract Today 2007;1:205-213.
5. Arnold M, Paque´ F: Der seitliche Oberkieferschneidezahn. Anatomie, Anomalien und seltene Fälle. Endodontie 2010;19:419-429.
6. Baume R. Lehrbuch der Zahnheilkunde. 3. umgearbeitete Auflage. Leipzig: Verlag von Arthur Felix, 1890.
7. Black GV. Operative dentistry: pathology of the hard tissues of teeth. Medico-Dental Publ, Chicago, 1908.
8. Chaniotis A, Filippatos CG. The use of a novel approach for the instrumentation of a cone-beam computed tomography-discernible lateral canal in an unusual maxillary Incisor: Case Report. J Endod 2017;43:1023-1027.
9. Dentale Volumentomographie (DVT). Leitlinie der DGZMK. Dtsch Zahnärztl Z 2009;64:490-496.
10. Fabra-Campos H. Failure of endodontic treatment due to a palatal gingival groove in a maxillary lateral incisor with talon cusp and two root canals. J Endod 1990;16:342-345.
11. Gandhi A, Kathuria A, Gandhi T. Endodontic-periodontal management of two rooted maxillary lateral incisor associated with complex radicular lingual groove by using spiral computed tomography as a diagnostic aid: a case report. Int Endod J 2011;44:574-582.
12. Gotoh T, Kawahara K, Imai K, Kishi K, Fujiki Y. Clinical and radiographic study of dens invaginatus. Oral Surg Oral Med Oral Pathol 1979;48:88-91.
13. Hasselgren G, Patel P, Alhassany H, Kunzel C. Reasons for apical surgery
treatment in an underserved New York City population. N Y State Dent J 2016;82:31-34.
14. Hess W. Zur Anatomie der Wurzelkanaele des menschlichen Gebisses mit Beruecksichtigung der feineren Verzweigungen am Foramen apicale. Schweiz Vierteljrschr Zahnheilk 1917;27:1-53.
15. Hülsmann M. Der Dens invaginatus – Ätiologie, Inzidenz und klinische Besonderheiten (I). Schweiz Monatsschr Zahnmed 1995;105:765-776.
16. Hülsmann M, Schäfer E: Probleme in der Endodontie. Quintessenz Verlag, Berlin 2007.
17. Kerekes K, Tronstad L. Morphometric observations on root canals of human anterior teeth. J Endod 1977;4:24-29.
18. Kottoor J, Murugesan R, Albuquerque DV. A maxillary lateral incisor with four root canals. Int Endod J 2012;45:393-397.
19. Metzger Z, Teperovich E, Cohen R, Zary R, Paqué F, Hülsmann M. The self-adjusting file (SAF). Part 3: removal of debris and smear layer-A scanning electron microscope study. J Endod 2010;36:697-702.
20. Mizutani T, Ohno N, Nakamura H. Anatomical study of the root apex in the maxillary anterior teeth. J Endod 1992;18:344-347.
21. Mjor IA. Pulp-dentin biology in restorative dentistry. Quintessence Publishing Co, Inc 2002;84–85.
22. Mueller AH. Anatomy of the root canals of the incisors, cuspids and bicuspids of the permanent teeth. J Am Dent Assoc 1933;20:1361-1386.
23. Oehlers FA. Dens invaginatus (dilated composite odontome). I. Variations of the invagination process and associated anterior crown forms. Oral Surg Oral Med Oral Pathol 1957;10:1204-1218.
24. Ørstavik D, Pitt-Ford T. Essential Endodontology. Blackwell Munksgaard Ltd, Oxford, UK, 2008.
25. Patel S. New dimensions in endodontic imaging: Part 2. Cone beam computed tomography. Int Endod J 2009;42:463-475.
26. Pecora JD, Capelli A, Guerisoli DM, Spanó JC, Estrela C. Influence of cervical preflaring on apical file size determination. Int Endod J 2005;38:430-435.
27. Pispa J, Mustonen T, Mikkola ML, Kangas AT, Koppinen P, Lukinmaa PL, Jernvall J, Thesleff I. Tooth patterning and enamel formation can be manipulated by misexpression of TNF receptor Edar. Dev Dyn 2004;231:432-440.
28. Rädel M, Hartmann A, Bohm S, Walter M. Barmer GEK Zahnreport 2014. Schriftenreihe zur Gesundheitsanalyse. Bd. 25, Asgard Verlagsservice, Siegburg 2014.
29. Ricucci D, Siqueira JF Jr. Fate of the tissue in lateral canals and apical ramifications in response to pathologic conditions and treatment procedures. J Endod 2010;36:1-15.
30. Schroeder HE. Pathobiologie oraler Strukturen. 3. Auflage, Karger, Basel, 1997.
31. Schulze C. Anomalien und Missbildungen der menschlichen Zähne. Quintessenz, Berlin, 1987.
32. Six N, Tompkins K, Lasfargues JJ, Veis A, Goldberg M. Bioengineering of reparative dentin and pulp mineralization. Proceedings of the International Conference on Dentin/pulp complex. Quintess Publishing Ltd. 2001;2002:52–59.
33. Thesleff I, Keränen S, Jernvall J. Enamel knots as signaling centers linking tooth morphogenesis and odontoblast differentiation. Adv Dent Res 2001;15:14-18.
34. Thomas J G: A study of dens in dente. Oral Surg 1974;38:653-655.
35. Uchiyama M, Anzai M, Yamamoto A, Uchida K, Utsuno H, Kawase Y, Kasahara E. Root canal system of the maxillary canine. Okajimas Folia Anat Jpn 2011;87:189-193.
36. Vertucci FJ. Root canal anatomy of the human permanent teeth. Oral Surg 1984;58:589-599.














