Die Anatomie von Unterkiefer-Molaren
Komplexität der unteren Molaren
In den meisten Fällen sind Unterkiefer-Molaren zweiwurzelig. In einigen Fällen gibt es jedoch spezifische Variationen wie verwachsene Wurzeln, zusätzliche Wurzeln und völlig unterschiedliche Formen wie die c-förmigen Wurzelkanalsysteme (Abbildung 1). Viele kleine, akzessorische Kanäle tragen zusätzlich zur Komplexität bei [Vertucci et al., 2006].

Während der Zahnentwicklung wird die äußere Form der Wurzel durch die primäre Dentinapposition bestimmt. Diese Form des Wurzelquerschnitts kann bereits Hinweise auf die innere Kanalform geben: So weisen eher runde Wurzelquerschnitte auch eher runde Kanäle im Inneren auf. Im Unterkiefer häufig anzutreffende länglich ovale oder nierenförmige Wurzelquerschnitte beherbergen oftmals zwei oder mehr Wurzelkanäle (Abbildung 2). Während die äußere Wurzelform die innere Form bestimmt, trägt die sekundäre Apposition von Dentin zur zunehmenden Komplexität innerhalb des Kanalsystems bei. Diese tritt hauptsächlich nach dem Durchbruch des Zahnes in die Mundhöhle und dem apikalen Verschluss ein [Peiris et al., 2008]. Die spezielle Komplexität der inneren Wurzelkanalanatomien nimmt daher nach Ausbildung der Wurzel über mehrere Jahrzehnte hinweg zu. Bei weiterer Zunahme der sekundären Dentinapposition werden dann aber mehr und mehr Hohlräume wie beispielsweise kleinere Verzweigungen wieder verschlossen. Es konnte gezeigt werden, dass die Komplexität der Wurzelkanalsysteme in den ersten und in den zweiten Unterkiefer-Molaren bei 30- bis 40-Jährigen am höchsten war [Peiris et al., 2008].
Dentinstärke der mesialen Wurzeln
Die Komplexität der Anatomie wird neben den Kanalkrümmungen durch die Isthmen, die lateralen Kanäle und die apikalen Verästelungen bestimmt. Problemstellen sind nicht einsehbare Bereiche von Wurzelkanal-Krümmungen, verschiedenen Wurzelkanalquerschnitten und akzessorischen Kanälen sowie laterale Kanäle, Furkationskanäle, Ausbuchtungen und multiple apikale Foramina, sogenannte apikale Deltas. Zudem ist die distale Dentinwand der mesialen Wurzel sehr dünn und als sogenannte „danger zone“ bekannt [Abou-Rass et al., 1980] [Harris et al., 2013] (Abbildung 3). In der Studie von Harris et al. [Harris et al., 2013] konnte gezeigt werden, dass die distale Wanddicke in der mesialen Wurzel (1,5 mm unterhalb der Furkation) mit Werten von 0,81–1,22 mm am dünnsten war. In einer anderen Studie wurden vergleichbare Ergebnisse mit einer durchschnittlichen Dentindicke von 1,2–1,3 mm gemessen [Berutti & Fedon, 1992] (Messung ebenfalls 1,5 mm unterhalb der Furkation).
Daher gilt es bei allen Maßnahmen zur Kanaleingangserweiterung die meist sehr konischen Instrumente mit Bedacht zu verwenden und mehr gegen die mesiale Kanalwand abzutragen.
Zusätzliche Wurzeln in Unterkiefer-Molaren
In der kaukasischen Bevölkerung haben Unterkiefer-Molaren in den meisten Fällen zwei Wurzeln. Nur in seltenen Fällen wurden zusätzliche Wurzeln, beispielsweise eine zusätzliche distolinguale Wurzel (Radix entomolaris, Abbildung 4) in den mandibulären ersten Molaren beschrieben [De Moor et al., 2004]. Schon im Jahr 1844 wurde eine solche zusätzliche distolinguale Wurzel von Carabelli erwähnt [Carabelli, 1844]. Abella et al. [Abella et al., 2012] gaben die Häufigkeit zusätzlicher distolingualer Wurzeln in den ersten mandibulären Unterkiefer-Molaren mit 14,4 Prozent an. Das Vorhandensein dieser Wurzeln korrelierte mit bestimmten ethnischen Bevölkerungsgruppen. So wurde die zusätzliche Wurzel deutlich häufiger in Populationen mit mongolischer Herkunft gefunden, beispielsweise bei Chinesen, Inuits und amerikanischen Ureinwohnern [Abella et al., 2012]. Cantatore et al. gaben das Vorkommen von Radix entomolaris in einer mongolischen Bevölkerungsgruppe mit einer Häufigkeit zwischen 5 Prozent und mehr als 30 Prozent an [Cantatore et al., 2009]. In einer Studie von Gu et al. [Gu et al., 2010] wurde in einer chinesischen Population ein Vorkommen von 32 Prozent ermittelt. Bisher wurden keine geschlechtsspezifischen Unterschiede in der Prävalenz einer zusätzlichen Wurzel erkannt. Die distolinguale Wurzel wird entweder als getrennt oder als teilweise in die andere Wurzel integriert beschrieben.
Wenn eine Radix entomolaris vorhanden ist, muss man häufig mit einer eher schwierigen mechanischen Aufbereitung rechnen. Üblicherweise ist die Wurzel kleiner als die distobukkale Wurzel. Im Allgemeinen hat sie einen größeren Krümmungswinkel, ist aber abrupter gekrümmt und hat somit einen kleineren Krümmungsradius als die distobukkale Wurzel (Abbildungen 4b und 4c). In der Mehrheit weisen die dreiwurzeligen Unterkiefer-Molaren vier getrennte Wurzelkanäle auf, wobei in der mesialen und in der distobukkalen Wurzel häufig akzessorische Kanäle vorhanden sind [Gu et al., 2011]. Mithilfe von mesioexzentrischen periapikalen Röntgenaufnahmen (25 °) oder einem DVT kann eine Radix entomolaris röntgenologisch diagnostiziert werden [Abella et al., 2012]. Die herkömmliche, dreieckige Zugangskavität sollte in diesem Fall zu einer Trapezform modifiziert werden, um einen geraden Zugang zu der meist gekrümmten Wurzel zu ermöglichen [De Moor et al., 2004]. Der durchschnittliche Abstand zwischen der distolingualen und der distobukkalen Kanalöffnung wurde in einer Studie mit 2,93 mm angegeben [Gu et al., 2010]. Während der mesiobukkale, der mesiolinguale und der distobukkale Kanal eine eher ovale Kanalform aufweisen, ist der distolinguale Kanalquerschnitt relativ klein und rund.
Weitere, zusätzliche distobukkale Wurzeln werden als Radix Paramolaris bezeichnet. Die Häufigkeit einer Radix Paramolaris wird mit weniger als 0,5 Prozent beschrieben [Cantatore et al., 2009].
Zusätzliche Wurzelkanäle
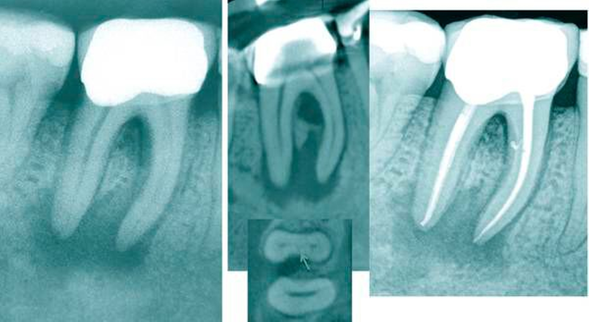
In den ersten Unterkiefer-Molaren wurde das Vorkommen von drei Kanälen mit einer Häufigkeit von circa 61 Prozent, von vier Kanälen mit 36 Prozent und von mehr als vier Kanälen mit nur etwa 1 Prozent beschrieben [Cantatore et al., 2009]. Mittlerweile wurden neuere Daten mittels Mikro-CT aus komplizierteren Kanalanatomien mesialer Wurzeln gewonnen und analysiert [Harris et al., 2013]. In etwa 9 Prozent der untersuchten Zähne wurden sogar vier Kanäle in einigen Wurzelabschnitten der mesialen Wurzel gefunden. In der mesialen Wurzel werden am häufigsten zwei Kanaleingänge und zwei Ausgänge gefunden, gefolgt von der Konfiguration zwei Kanaleingänge und ein gemeinsamer Ausgang [de Pablo et al., 2010].
In der distalen Wurzel der unteren ersten Molaren zeigt sich ein sehr viel komplexeres Bild von Kanalkonfigurationen (Abbildung 5), die schwer einer Klassifizierung zugeordnet werden können [Filpo-Perez et al., 2015].
Mittlere mesiale Wurzelkanäle
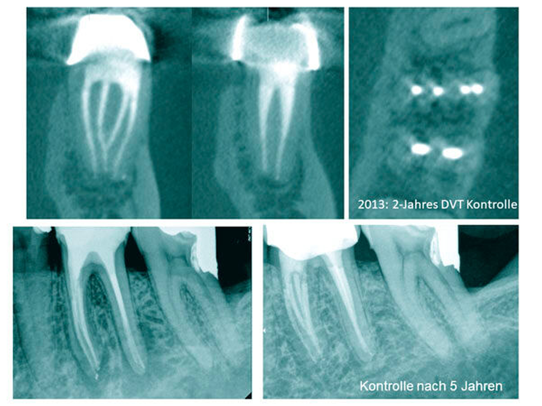
Als sogenannter „middle mesial“-Wurzelkanal wird der zusätzliche Kanal zwischen dem mesiobukkalen und dem mesiolingualen Kanal (der mesialen Unterkieferwurzel) beschrieben (Abbildung 6). Dieser Kanal tritt während der Entwicklung auf [Peiris et al., 2008] und wurde mit einer Häufigkeit von 1 bis 15 Prozent beschrieben [Vertucci et al., 2006]. Durch die Verbesserung der klinisch verfügbaren Detektionsmethoden (zum Beispiel Verwendung des Dentalmikroskops) [de Carvalho & Zuolo, 2000] und dem Abtragen des Dentins zwischen den beiden mesialen Wurzelkanälen bis zu 2 mm wurde in einer neueren Studie eine Prävalenz der mittleren mesialen Wurzelkanäle von bis zu 22 Prozent angegeben [Karapinar-Kazandag et al., 2010] (Abbildung 7). Da jedoch in der Studie das Alter der Patienten zum Zeitpunkt der untersuchten Zahn-Extraktionen nicht bekannt ist, sind die Ergebnisse möglicherweise nicht repräsentativ für die erwachsene Bevölkerung in verschiedenen Lebensphasen. Eine altersbedingte Inzidenz vorhandener mittlerer mesialer Wurzelkanäle wurde von Nosrat et al. [Nosrat et al., 2015] untersucht. Sie fanden etwa 33 Prozent mittlere mesiale Kanäle bei jüngeren Patienten (≤ 20 Jahre), 24 Prozent bei Patienten im Alter von 21 bis 40 Jahren und 4 Prozent bei älteren Patienten (> 40 Jahre). Das Auftreten mittlerer mesialer Kanäle in Unterkiefer-Molaren ist nicht nur altersbedingt, sondern korreliert auch mit verschiedenen Populationsgruppen.
Bei der Identifizierung zusätzlicher mesialer Kanäle in ersten Unterkiefer-Molaren wurde die Anwendung eines Dentalmikroskops oder einer DVT mit der alleinigen Anwendung eines digitalen Röntgenbildes und einer klinischen Untersuchung verglichen. Dabei konnte ein statistisch signifikanter Unterschied gefunden werden: Während eine gute Übereinstimmung zwischen dem Dentalmikroskop und der DVT nachgewiesen werden konnte, war die alleinige Anwendung eines digitalen Röntgenbildes und einer klinischen Untersuchung der Verwendung des Dentalmikroskops oder der DVT beim Auffinden zusätzlicher mesialer Kanäle deutlich unterlegen [de Toubes et al., 2012].
Mittlere distale Wurzelkanäle
Es können auch drei Wurzelkanäle in der distalen Wurzel der Unterkiefermolaren auftreten (Abbildung 8). Die Häufigkeit wurde mit 0,2 bis 3 Prozent beschrieben [Kottoor et al., 2010].
Akzessorische Kanäle, laterale Kanäle und apikale Verzweigungen
Viele Neben- und Seitenkanäle verbinden den Pulparaum mit dem Parodontium. Ein akzessorischer Kanal stellt eine Verbindung der Hauptkanäle oder der Pulpakammer mit der Wurzeloberfläche dar. Ein lateraler Kanal ist ein akzessorischer Kanal, der sich im koronalen oder im mittleren Drittel der Wurzel befindet und gewöhnlich vom Hauptkanal abzweigt [Vertucci, 2005] (Abbildung 9). Insgesamt wurden 73,5 Prozent der akzessorischen Kanäle im apikalen Drittel, 11,4 Prozent im mittleren Drittel und 6,3 Prozent im koronalen Drittel der Wurzel gefunden [Vertucci, 1984]. Intraradikulär wurden bei zwei- oder dreiwurzeligen Zähnen zusätzliche Kanäle gefunden, die dann Furkationskanäle genannt werden [Vertucci & Williams, 1974].
Im Fall einer infizierten Pulpanekrose können diese Kanäle zu einer ausgeprägten Aufhellung im Furkationsbereich führen (Abbildung 10).
Harris et al. [Harris et al., 2013] bezeichneten Foramina in den apikalen 0,5 mm, die deutlich vom Hauptkanal getrennt erschienen als Ramifikationen. Alle anderen Abzweigungen wurden als Seitenkanäle bezeichnet. Im Durchschnitt wurden fast vier solcher Foramina in den apikalen 0,5 mm in der mesialen Wurzel der unteren ersten Molaren gefunden, während die distalen Wurzeln im Durchschnitt rund drei Foramina aufwiesen. Im Schnitt befanden sich die lateralen Kanäle in den mesialen Wurzeln 2,2 mm koronal des Apex. Fast 80 Prozent der lateralen Kanäle verließen die Wurzel innerhalb der apikalen 3 mm. In der distalen Wurzel waren etwa 90 Prozent der lateralen Kanäle in den apikalen 3 mm der Wurzel zu finden. Diese Daten stehen im Einklang mit den Ergebnissen eines Berichts von Kim und Kratchman [Kim & Kratchman, 2006]. Dies hat klinische Relevanz vor allem für die mikrochirurgische Endodontie. Bei der Wurzelspitzenresektion sollten die apikalen 3 mm der Wurzel reseziert werden. Somit werden die meisten lateralen Kanäle und apikalen Verästelungen entfernt.
C-förmige Molaren
Eine mögliche anatomische Variante vor allem bei zweiten Unterkiefermolaren ist ein sogenanntes c-förmiges Kanalsystem [Fan et al., 2004] (Abbildung 11). Meist ist der distale Wurzelkanal mit einem der mesialen Wurzelkanäle verbunden. Eine hohe Prävalenz von Wurzeln mit c-förmigen Kanälen in den unteren Molaren des Unterkiefers wurde in einer asiatischen Population [Vertucci, 2005] mit einem Auftreten von etwa 14 bis 50 Prozent gefunden. Obwohl die meisten c-förmigen Kanäle in den zweiten Unterkiefer-Molaren vorkommen, werden gelegentlich auch c-förmige Kanäle in den ersten Molaren beobachtet. Anstelle von verschiedenen individuellen Öffnungen zeigen die Pulpakammern von c-förmigen Molaren eine gekrümmte Öffnung in das Kanalsystem in Form eines Kreises von 180º oder mehr. Verfolgt man die Anatomie der c-förmigen Molaren von koronal nach apikal, zeigen sich umfangreiche anatomische Variationen, die in zwei Gruppen unterteilt werden können:
ein einzelner gekrümmter c-förmiger Kanal vom Kanaleingang bis zum Apex
drei oder mehr verschiedene Kanäle unterhalb der üblichen c-förmigen Öffnung
C-förmige Molaren mit einem einzigen, breiten Kanal sind die Ausnahme. Nach Vertucci [Vertucci, 2005] werden am häufigsten c-förmige Kanäle mit einzelnen Öffnungen, aber c-förmigen Verbindungen angetroffen (Abbildung 12).
Eine genauere Beschreibung von c-förmigen Wurzeln resultiert aus Untersuchungen chinesischer Forscher [Gao et al., 2006].
Die Anatomie der zweiten Molaren wurde wie folgt beschrieben: Der Typ mit sich vereinigenden Kanälen, der einen Hauptkanal vor dem Austritt in das apikale Foramen zeigte, wurde mit einer Häufigkeit von etwa 33 Prozent gefunden. Der symmetrische Typ war in ungefähr 39 Prozent der Fälle vorhanden und wurde mit getrennten mesialen und distalen Kanälen, aber einer Symmetrie der Kanäle in bukko-lingualer Ansicht beschrieben. In ungefähr 29 Prozent der Fälle wurde der asymmetrische Typ gefunden, es gibt mesiale und distale Kanäle, die mit einem großen Isthmus über dem Furkationsbereich verbunden sind.
Isthmen und intrakanaläre Verbindungen
Ein Isthmus wird als eine enge, bandförmige Verbindung zwischen zwei Wurzelkanälen definiert und beinhaltet Pulpagewebe [Weller et al., 1995]. Mannocci et al. [Mannocci et al., 2005] zeigten die Variabilität und Häufigkeit von Isthmen in mesialen Wurzeln von Unterkiefer-Molaren mithilfe der Mikro-CT-Technologie. Ein Isthmus in Unterkiefer-Molaren wurde in etwa 17 Prozent der Zähne 1 mm koronal des Apex und in etwa 37 Prozent 2 mm koronal des Apex gefunden. Ungefähr die Hälfte der Zähne zeigte einen Isthmus bei 3 mm und ein Drittel der Zähne hatte einen Isthmus von 4 mm beziehungsweise 5 mm koronal des Apex. Die Daten wurden jedoch mithilfe von horizontalen Schnittbildern ausgewertet. Die Verwendung von rekonstruierten Mikro-CT-Daten ermöglicht eine genauere, dreidimensionale Analyse (Abbildung ??). Dies wurde von Fan et al. gemacht [Fan et al., 2010] und ergab ein besseres dreidimensionales Verständnis der intrakanalären Verbindungen in den mesialen Wurzeln der Unterkiefer-Molaren.
Die Autoren fanden eine Prävalenz von Isthmen in den apikalen 5 mm in 85 Prozent der Fälle [Fan et al., 2010] und es gab einen signifikanten Unterschied in der Art der Isthmen, die in den ersten und in den zweiten Molaren gefunden wurden.
Dr. med. dent. Frank Paqué
Zentrum für Zahn-, Mund- und Kieferheilkunde
Klinik für Präventivzahnmedizin, Parodontologie und Kariologie
Universität Zürich und
Praxis für Endodontologie
Rennweg 58, CH-8001 Zürich
frank.paque@zzm.uzh.ch
Dipl.-Stom. Michael Arnold
Praxis für Endodontie und Zahnerhaltung
Königstr. 9
01097 Dresden
endo.arnold@web.de
Literatur
Abella F., Patel S., Durán-Sindreu F., Mercadé M. & Roig M. 2012. Mandibular first molars with disto-lingual roots: review and clinical management.Int Endod J45: 963-978.
Abou-Rass M., Frank A.L. & Glick D.H. 1980. The anticurvature filing method to prepare the curved root canal.The Journal of the American Dental Association101: 792-794.
Berutti E. & Fedon G. 1992. Thickness of cementum/dentin in mesial roots of mandibular first molars.Journal of Endodontics18: 545-548.
Cantatore G., Castellucci A. & Berutti E. 2009. Missed anatomy: frequency and clinical impact.Endodontic Topics15: 3-31.
Carabelli G. 1844.Systematisches Handbuch der Zahnheilkunde. Wien: Baumüller und Seidel.
de Carvalho M.C. & Zuolo M.L. 2000. Orifice locating with a microscope.J Endod26: 532-534.
De Moor R.J., Deroose C.A. & Calberson F.L. 2004. The radix entomolaris in mandibular first molars: an endodontic challenge.Int Endod J37: 789-799.
de Pablo O.V., Estevez R., Péix Sánchez M., Heilborn C. & Cohenca N. 2010. Root anatomy and canal configuration of the permanent mandibular first molar: a systematic review.J Endod36: 1919-1931.
de Toubes K.M., Côrtes M.I., Valadares M.A., Fonseca L.C., Nunes E. & Silveira F.F. 2012. Comparative analysis of accessory mesial canal identification in mandibular first molars by using four different diagnostic methods.J Endod38: 436-441.
Fan B., Cheung G.S., Fan M., Gutmann J.L. & Bian Z. 2004. C-shaped canal system in mandibular second molars: Part I--Anatomical features.J Endod30: 899-903.
Fan B., Pan Y., Gao Y., Fang F., Wu Q. & Gutmann J.L. 2010. Three-dimensional morphologic analysis of isthmuses in the mesial roots of mandibular molars.J Endod36: 1866-1869.
Filpo-Perez C., Bramante C.M., Villas-Boas M.H., Húngaro Duarte M.A., Versiani M.A. & Ordinola-Zapata R. 2015. Micro-computed tomographic analysis of the root canal morphology of the distal root of mandibular first molar.J Endod41: 231-236.
Gao Y., Fan B., Cheung G.S., Gutmann J.L. & Fan M. 2006. C-shaped canal system in mandibular second molars part IV: 3-D morphological analysis and transverse measurement.J Endod32: 1062-1065.
Gu Y., Lu Q., Wang H., Ding Y., Wang P. & Ni L. 2010. Root canal morphology of permanent three-rooted mandibular first molars--part I: pulp floor and root canal system.J Endod36: 990-994.
Gu Y., Zhou P., Ding Y., Wang P. & Ni L. 2011. Root canal morphology of permanent three-rooted mandibular first molars: Part III--An odontometric analysis.J Endod37: 485-490.
Harris S.P., Bowles W.R., Fok A. & McClanahan S.B. 2013. An anatomic investigation of the mandibular first molar using micro-computed tomography.J Endod39: 1374-1378.
Karapinar-Kazandag M., Basrani B.R. & Friedman S. 2010. The operating microscope enhances detection and negotiation of accessory mesial canals in mandibular molars.J Endod36: 1289-1294.
Kim S. & Kratchman S. 2006. Modern endodontic surgery concepts and practice: a review.J Endod32: 601-623.
Kottoor J., Sudha R. & Velmurugan N. 2010. Middle distal canal of the mandibular first molar: a case report and literature review.Int Endod J43: 714-722.
Mannocci F., Peru M., Sherriff M., Cook R. & Pitt Ford T.R. 2005. The isthmuses of the mesial root of mandibular molars: a micro-computed tomographic study.Int Endod J38: 558-563.
Nosrat A., Deschenes R.J., Tordik P.A., Hicks M.L. & Fouad A.F. 2015. Middle mesial canals in mandibular molars: incidence and related factors.J Endod41: 28-32.
Peiris H.R., Pitakotuwage T.N., Takahashi M., Sasaki K. & Kanazawa E. 2008. Root canal morphology of mandibular permanent molars at different ages.Int Endod J41: 828-835.
Vertucci F.J. 1984. Root canal anatomy of the human permanent teeth.Oral Surgery, Oral Medicine, and Oral Pathology58: 589-599.
Vertucci F.J. 2005. Root canal morphology and its relationship to endodontic procedures.Endodontic Topics15: 3-31.
Vertucci F.J., J.E. Haddix & L.R. Britto. 2006. Tooth morphology and access cavity preparation, in S. Cohen & Hargreaves K.M. (ed.)Pathways of the pulp: 148-232. St. Louis, Missouri: Mosby.
Vertucci F.J. & Williams R.G. 1974. Furcation canals in the human mandibular first molar.Oral Surgery, Oral Medicine, and Oral Pathology38: 308-314.
Weller R.N., Niemczyk S.P. & Kim S. 1995. Incidence and position of the canal isthmus.Journal of Endodontics21: 380-383.















