Lückenschluss nach KFO-Behandlung
Das Ziel der KFO-Behandlung wird als „die Herstellung einer bestmöglichen okklusalen Beziehung im Rahmen einer akzeptablen fazialen Ästhetik, mit einem stabilen Behandlungsresultat“ beschrieben [Proffit, 1993]. Obwohl die Korrektur der Frontzahnrelation und die Herstellung eines ästhetisches Lächelns Ziele einer solchen Behandlung sind, kommt es sehr häufig vor, dass durch besondere Formen, Größen oder Positionen der Front- oder auch Seitenzähne Lücken im Frontzahnbereich nach der KFO-Behandlung entstehen oder verbleiben [Klaiber, 2006].
Dies kann auch eine Folge der sogenannten „Nutzen-Risiko-Analyse“ sein [Williams, 2000], bei der sich der vollständige kieferorthopädische Lückenschluss möglicherweise sowohl nachteilig auf die Funktion oder die Stabilität der Zähne als auch auf die faziale Ästhetik in Bezug auf die Zahnproportionen auswirkt. Eine nachhaltige Verbesserung der behandelten Situation ist ein wichtiger Faktor bei der KFO-Behandlungsplanung. Das Risiko eines Rezidivs durch die Bewegung der Zähne nach dem Ende der KFO-Behandlung wird im Behandlungsplan berücksichtigt. Daher kann es zu Einschränkungen bei der Positionsumstellung der Frontzähne kommen.
Warum bleiben Lücken nach der KFO-Behandlung?
Neben diesen Faktoren gibt es andere wichtige Gründe, die zu Lücken im Frontzahnbereich nach der KFO-Behandlung führen. So können Nichtanlagen (häufig bei oberen seitlichen Schneidezähnen zu beobachten), ein Missverhältnis zwischen Zahn- und Kiefergröße, Disproportionen zwischen Platzangebot und Platzbedarf im Zahnbogen oder Zahnform- und genetisch bedingte Anomalien, die zum Beispiel eine Diskrepanz zwischen dem oberen und dem unteren Zahnmaterial (Bolton-Diskrepanz) verursachen, zur unerwünschten Lückenbildung führen.
Nichtanlagen bleibender Zähne sind nicht ungewöhnlich und stellen mit einer Prävalenz von 1,5 bis 11,3 Prozent die häufigste Fehlformation im Mund-Kiefer-Gesichtsbereich dar [Hourfar et al., 2016]. In solchen Fällen (Hypodontie und Oligodontie) entsteht der Bedarf nach Lückenschluss nach dem Ende der KFO-Behandlung und zielt hauptsächlich auf das „Kaschieren“ von Asymmetrien und die Wiederherstellung der fehlenden Harmonie ab. Im Fall einer Nichtanlage wird meist durch eine Umformung des Zahnes, der an der Position des fehlenden Zahnes steht, die entstandene Lücke geschlossen. Bei Zahnformanomalien, zum Beispiel einem Zapfenzahn oder einer Hypoplasie der oberen seitlichen Schneidezähne, können die existierenden Lücken mit der Wiederherstellung der Zahnform durch Umformung mit einer Restauration oder auch (bei Bedarf) mit einem zusätzlichen selektiven Beschleifen des Zahnes behandelt werden.
Konservierender oder prothetischer Lückenschluss
Das Ziel jeder zahnärztlichen Therapie ist die Herstellung (oder Wiederherstellung) der physiologischen Funktion und die Rekonstruktion einer natürlichen dentalen Ästhetik. Dasselbe gilt für die Versorgung von Lücken nach einer KFO-Behandlung. Ist die KFO-Behandlung abgeschlossen und sind Restlücken zwischen den Frontzähnen verblieben, kann man sich für eine prothetische Versorgung mit laborgefertigten keramischen Restaurationen oder für eine minimal-invasive Therapie mit Kompositmaterialien entscheiden (Abbildungen 2 und 3). Mit beiden Therapiemöglichkeiten lassen sich erfolgreich ästhetische Ergebnisse erzielen. Bei jüngeren Patienten, aufgrund des noch vorhandenen Wachstums und der damit verbundenen nicht stabilen parodontalen und skelettalen Situation, stellen minimalinvasive Kompositrestaurationen die Therapie der Wahl dar. Bei erwachsenen Patienten sind hingegen die dentalen und die parodontalen Befunde für die zu treffende Entscheidung sehr wichtig. Befunde sowohl zur endodontischen Situation der behandelten Zähne als auch zur Anzahl und Ausdehnung vorhandener Restaurationen können die Entscheidung in Richtung einer konservierenden oder einer prothetischen Therapie der Lücken beeinflussen.
Lückenschluss mit Komposit
Dentale Kompositmaterialien werden aufgrund ihrer verbesserten mechanischen Eigenschaften und ihrer guten Polierbarkeit heutzutage bei einer Vielzahl von zahnärztlichen Maßnahmen eingesetzt. Ästhetische Kompositmaterialien haben ähnliche physikalische und mechanische Eigenschaften wie der natürliche Zahn und besitzen ein Aussehen wie natürliches Dentin und Schmelz. Es wird eine Vielzahl von Farbtönen und unterschiedlichen Opazitäten angeboten, die speziell für die Schichttechnik entwickelt wurden. Diese Weiterentwicklung der Kompositmaterialien ermöglicht es, dem Patienten eine langlebige Versorgung anzubieten. Außerdem ist hiermit eine minimalinvasive Behandlung mit zugleich schnellen Ergebnissen möglich. Kompositrestaurationen können in Einzelbehandlungsterminen ohne zusätzliche Laborbeteiligung durchgeführt werden, was Zeit und die Kosten der Behandlung reduziert. Darüber hinaus haben Kompositrestaurationen den Vorteil, dass sie bei Frakturen leicht zu reparieren sind und im Fall eines Lückenschlusses meist keine Entfernung gesunder Zahnhartsubstanzen notwendig ist.
Klinische Daten der Leistung von Kompositrestaurationen im Seitenzahnbereich deuten auf einen niedrigen jährlichen Verlust und ein langes Überleben hin [Lempel et al., 2015]. Die Hauptursachen für das Versagen von Kompositrestaurationen im Seitenzahnbereich sind Sekundärkaries und Frakturen [Pallesen et al., 2013]. Hingegen ist Karies keine Hauptursache für das Versagen von Frontzahnrestaurationen. Trotz der allgemeinen Anwendung von Kompositen im Frontzahnbereich gibt es nicht viele klinische Daten, insbesondere nicht hinsichtlich des Langzeiterfolgs.
Als wichtiger Nachteil von Kompositrestaurationen im Frontzahnbereich wird die geringere Farbstabilität über die Zeit im Vergleich zur Keramik betrachtet. Die Hydrolyse der Silan-Verbundphase gilt als eine der Hauptursachen für den Abbau von Kompositmaterialien während ihres Alterungsprozesses, was zu einer verkürzten Lebensdauer von Restauration und zu einer Anfälligkeit für Farbveränderungen führt. In der Mundhöhle kann eine oberflächliche Desintegration der Restaurationsmaterialien und deren Aufnahme von Farbstoffen zu Verfärbungen führen [Bagheri et al., 2005]. Die Farbänderungen können mit der Art der organischen Matrix in Verbindung gebracht werden. Durch die Interaktion der organischen Matrix mit Wasser kommt es zu einer Wasseraufnahme. Kleine Moleküle wie TEGDMA spielen hierbei eine wichtige Rolle. Der TEGDMA-Gehalt kann die Wasseraufnahme und damit die durch die Absorption der Färbelösung hervorgerufenen Farbänderungen beeinflussen [Vichi et al., 2004]. Ebenso scheint sowohl der Füllstoffgehalt als auch die Füllstoffpartikelgröße zusätzlich die Farbstabilität der Kompositrestaurationen zu beeinflussen. In Studien zu Aufbauten oder direkten Kompositveneers wurde häufiger ästhetisches Versagen beobachtet – hier können Farbveränderungen, Oberflächen- und Randverfärbungen die Wahrnehmung der Restauration durch den Patienten negativ beeinflussen [Rodrigues et al., 2008]. Trotzdem sind diese Farbveränderungen als klinisch akzeptabel zu betrachten und durch Polieren leicht zu beheben.
Eine retrospektive klinische Studie [Lempel et al., 2017] zeigte für den Untersuchungszeitraum bis zu sieben Jahren eine jährliche Verlustrate von 1,43 Prozent für Kompositrestaurationen im Frontzahnbereich. Die Autoren berichteten von Restaurationsfrakturen und Farbveränderungen der Restaurationen als die häufigsten Ursachen. Andere Faktoren wie Größe und Art der Restauration und Patientengewohnheiten wie Bruxismus und Rauchen führten nicht zu einer Verschlechterung der Restaurationen. Andere Autoren [Frese et al., 2013; van Dijken et al., 2010; Coelho-de-Souza et al., 2015; Milosevic et al., 2016] berichteten ebenfalls, dass Frakturen oder Abplatzungen die häufigste Ursache für das Versagen bei Kompositrestaurationen sind.
Betrachtet man die Literatur, ist für den Erfolg einer Kompositrestauration nicht das Material der entscheidende Faktor. Kubo et al. untersuchten die Faktoren, die die Lebensdauer von Kompositrestaurationen der Klassen III, IV und V beeinflussen [Kubo et al., 2013]. Sie konnten zeigen, dass der Behandler und der Kavitätentyp einen signifikanten Einfluss auf die Überlebenszeit haben. Obwohl das Kompositmaterial (mit besonderer Farbqualität und guter Polierbarkeit) natürlich zum ästhetischen Erfolg beiträgt, steht dennoch der Behandler an erster Stelle der Erfolgsfaktoren – dessen Einfluss scheint einhergehend mit der Auswahl einer geeigneten Technik wichtiger zu sein als das Kompositmaterial.
Lückenschluss mit Veneers
Als Indikationen für Keramikveneers werden häufig die Verbesserung der Ästhetik (bei vorhandenen Verfärbungen, großen und wenig ästhetischen Restaurationen) durch eine Verbesserung der Oberflächentextur, die Korrektur der Zahnform und der Zahnstellung, der Lückenschluss und der Schutz der Zahnhartsubstanz bei Erosionen und Abrasionen genannt [Edelhoff et al., 2018; Lim, 1995]. Heutzutage ist die Herstellung von Veneers auch in dünnen Schichtdicken von 0,3 – 0,5 mm möglich und ihre Anfertigung kann in einer Sitzung direkt am Patienten (direkte Methode mittels CAD/CAM-Verfahren) oder nach Abdrucknahme und Herstellung in einem zahntechnischen Labor in mehreren Sitzungen (indirekte Methode) stattfinden. Obwohl die Therapie einer Lücke nach einer KFO-Behandlung im Indikationsbereich von Keramikveneers ist, gibt es wenige Fälle, bei denen das erwünschte Ergebnis nicht auch mit direkten Kompositrestaurationen erreicht werden kann. Genau wie bei Kompositrestaurationen hat die Erfahrung des Behandlers mit der Adhäsivtechnik einen wichtigen Einfluss auf den Erfolg von Vollkeramikrestaurationen. Der Vorteil von Keramikveneers gegenüber Kompositrestaurationen bei einer Versorgung eines Lückenschlusses ist die Farbstabilität [Edelhoff et al., 2018]. Auf dem Markt werden verschiedene vorgefertigte Kompositveneers angeboten, die individuell je nach Patient gute Ergebnisse zeigen können und eventuell auch eine Therapieoption für Lücken darstellen. Wie sich diese jedoch im Vergleich zu direkten Kompositrestraurationen verhalten, ist wissenschaftlich noch nicht ausreichend untersucht.
Direktes Komposit oder indirekte Keramik?
Das Präparationsdesign, speziell die Ausdehnung der Zahnpräparation im Inzisalbereich, scheint einen Einfluss auf den Erfolg der Restauration zu haben [Beier et al., 2012]. Leider stellen die Keramikveneers keine gute Therapiealternative in den Fällen dar, bei denen die Versorgung mit Kompositmaterialien auch an ihre Indikationsgrenze gerät. Bei starken Parafunktionen und bei sehr breiten Lücken zwischen den Zähnen ist die Versorgung mit Keramikveneers keine Erfolg versprechende Lösung. Betrachtet man die Vor- und Nachteile von direkten Kompositrestaurationen und indirekten Restaurationsmöglichkeiten, ist die substanzschonende Vorgehensweise der direkten Kompositversorgung in Kombination mit der Möglichkeit für eine Korrektur (in Form und Farbe) zu einem späteren Zeitpunkt die geeignetste Methode zur Versorgung von Lücken nach einer KFO-Behandlung. Insbesondere bei jungen Patienten, bei denen durch das Wachstum Änderungen erwartet werden, stellt die Möglichkeit, Restaurationen später korrigieren zu können, einen wichtigen Vorteil der direkten Kompositversorgung dar. Im Fall eines „Chippings“ kann aufgrund der Materialeigenschaften des Komposits eine einfache Reparatur durchgeführt werden, um die Lebensdauer der ursprünglichen Restauration zu verlängern [Mangani et al., 2007]. Darüber hinaus sind für den Erfolg des Lückenschlusses mit Komposit Faktoren wie die „Patientencompliance“ und das „handwerkliche Geschick“ des Behandlers entscheidend.
Fallbeschreibung
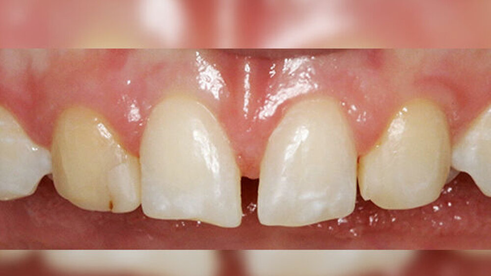
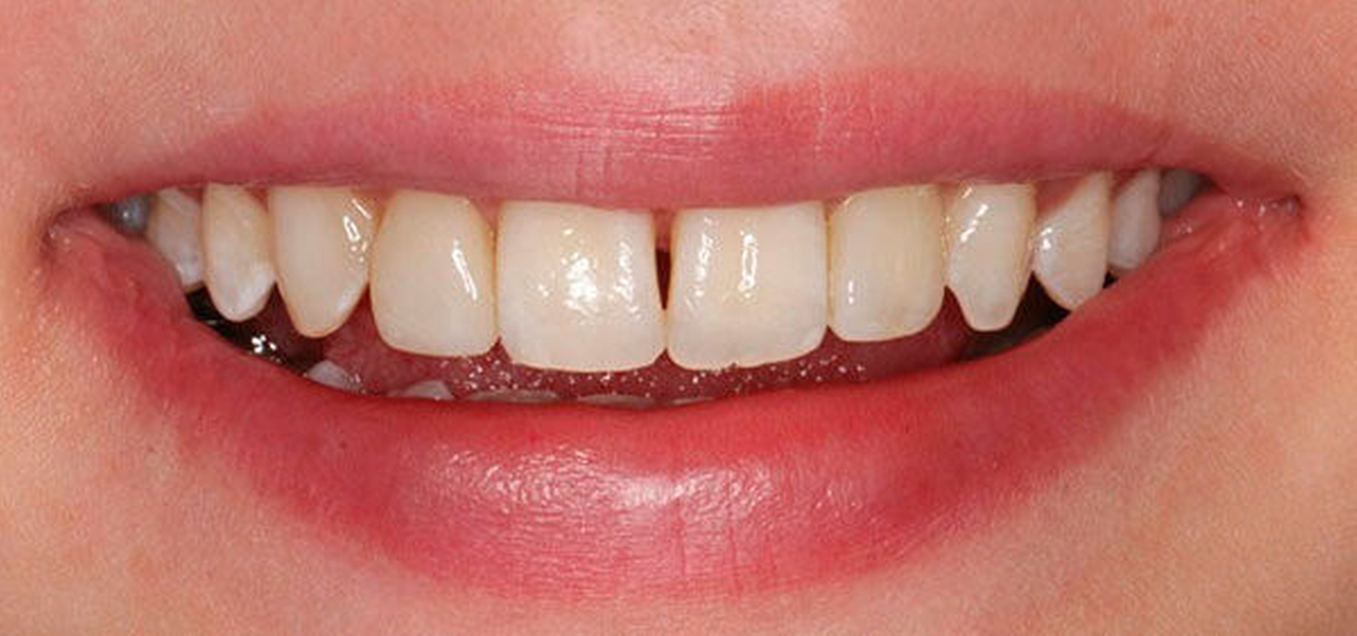
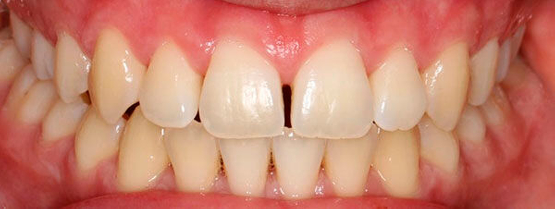
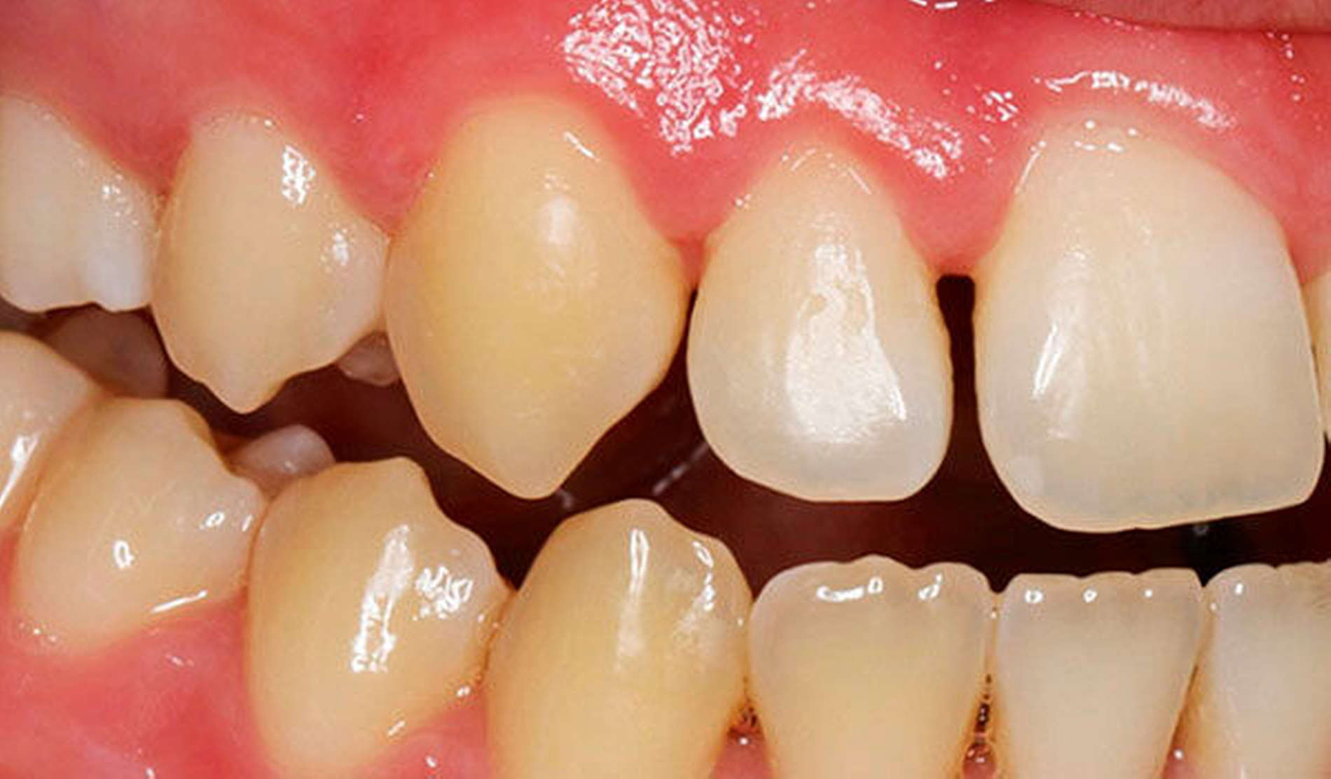
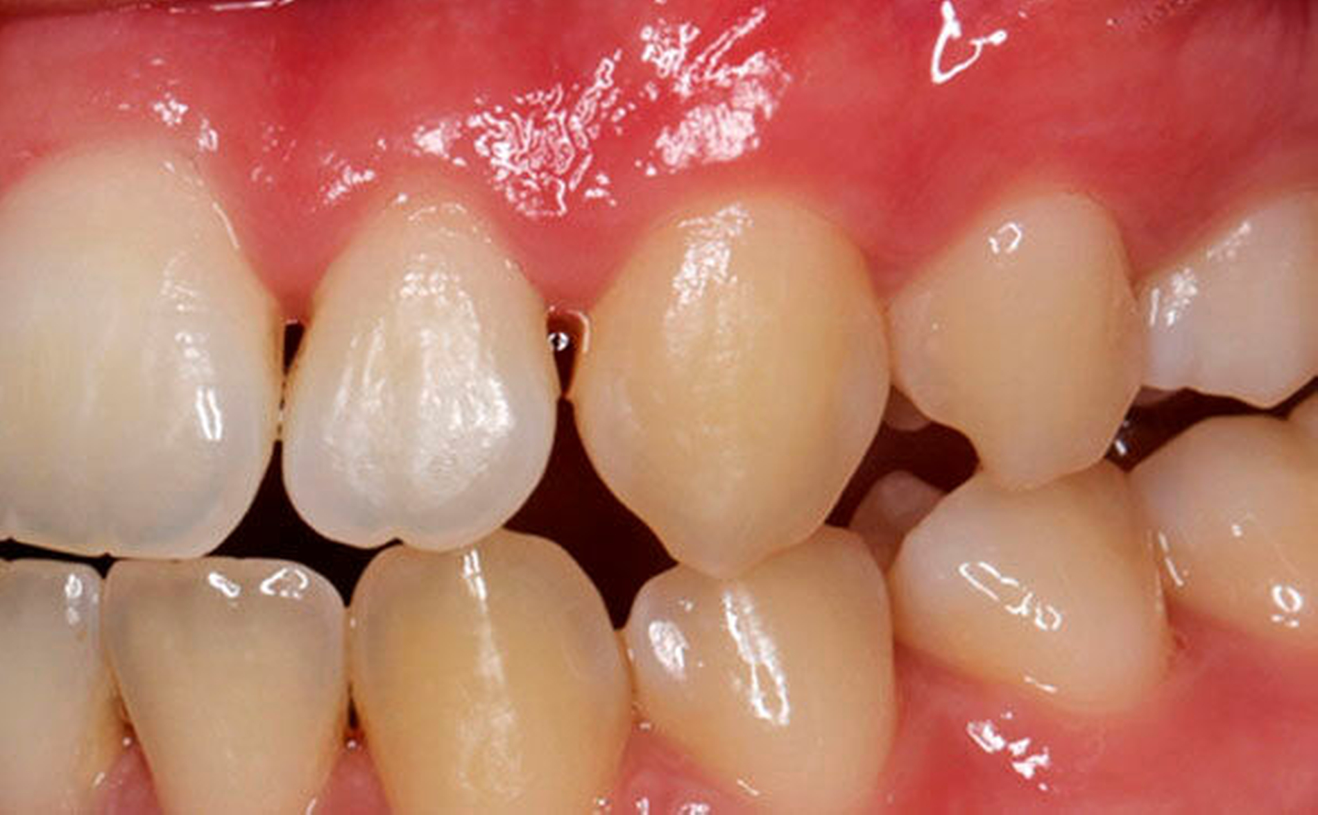
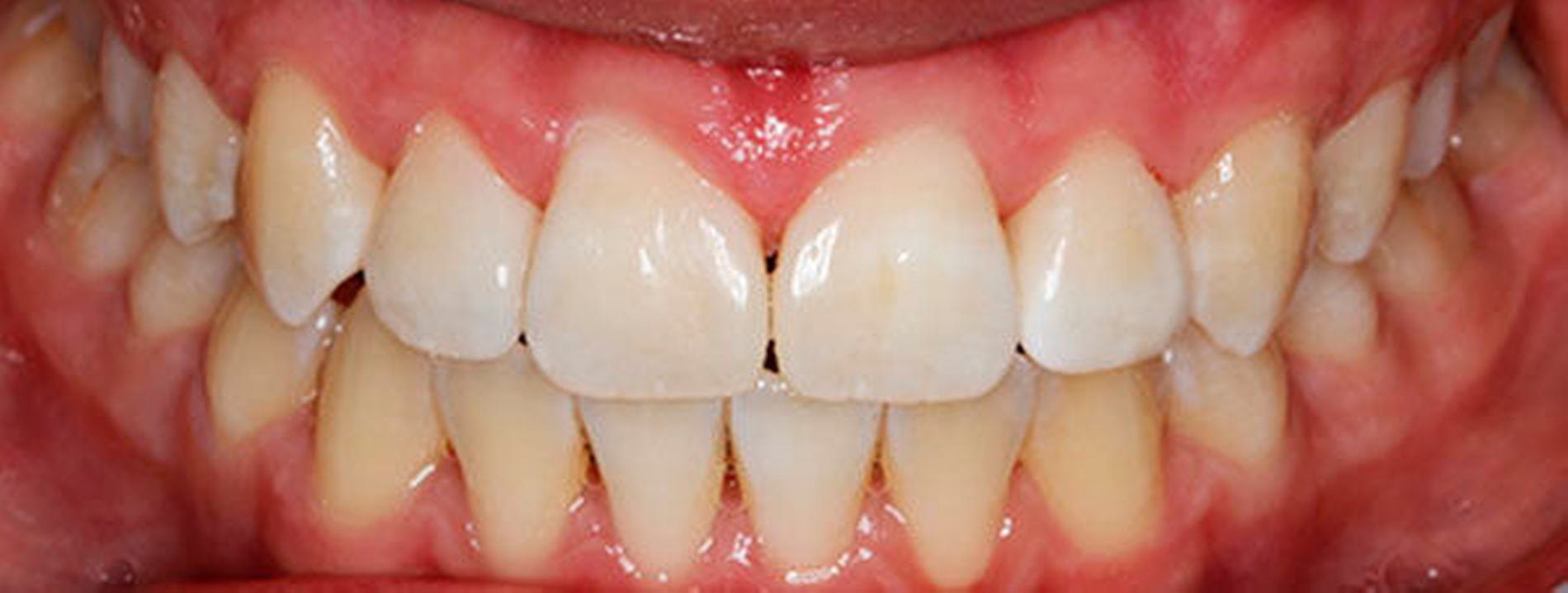
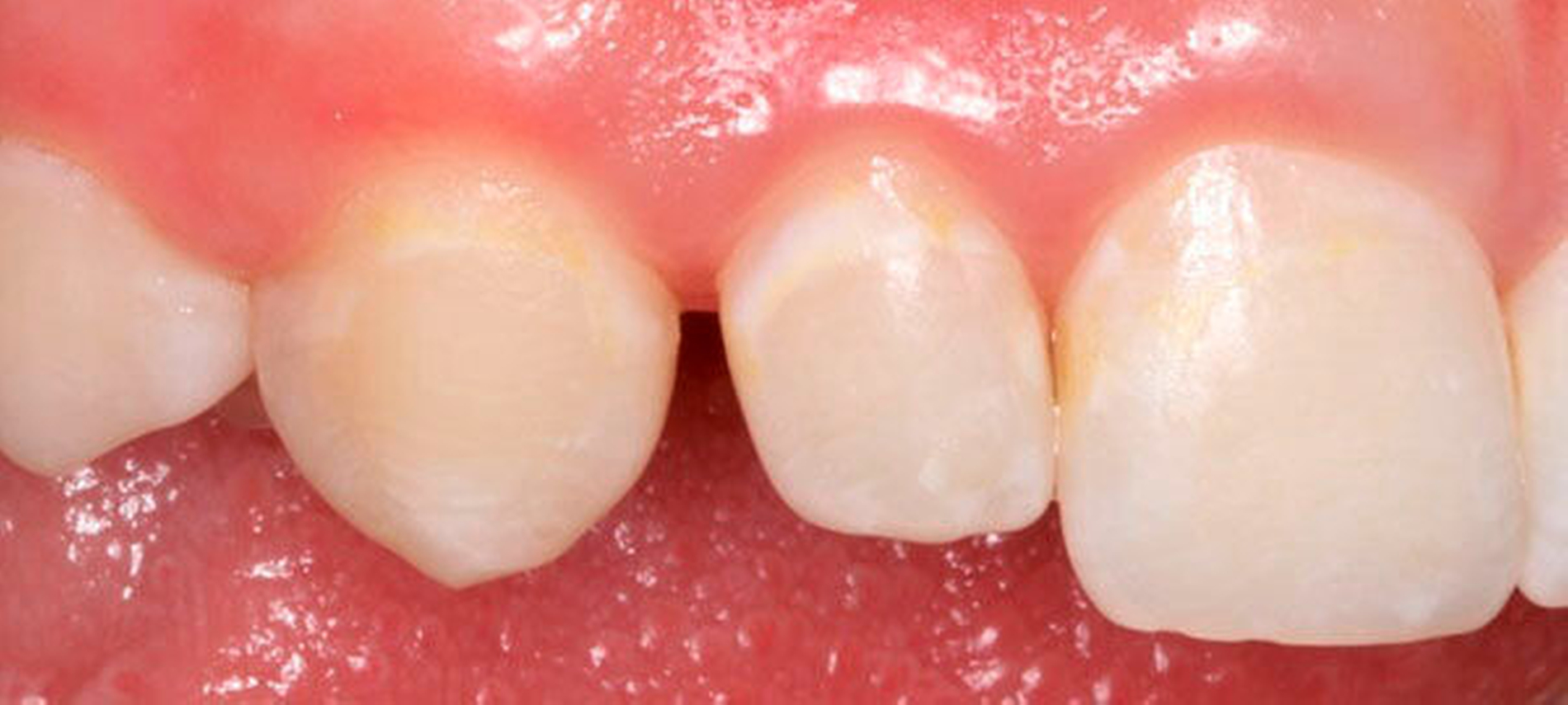
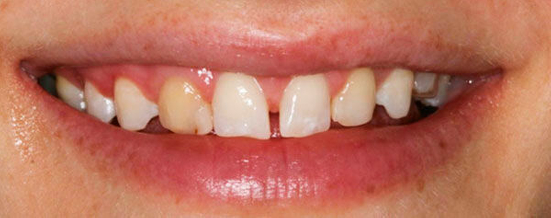
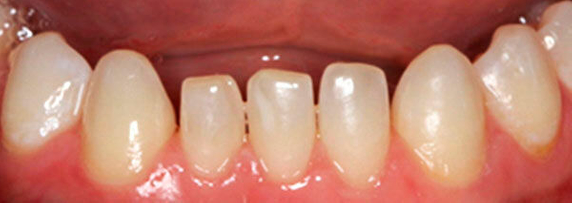
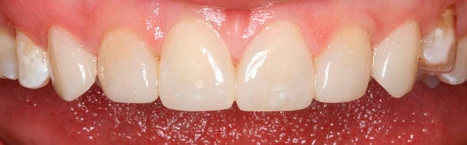
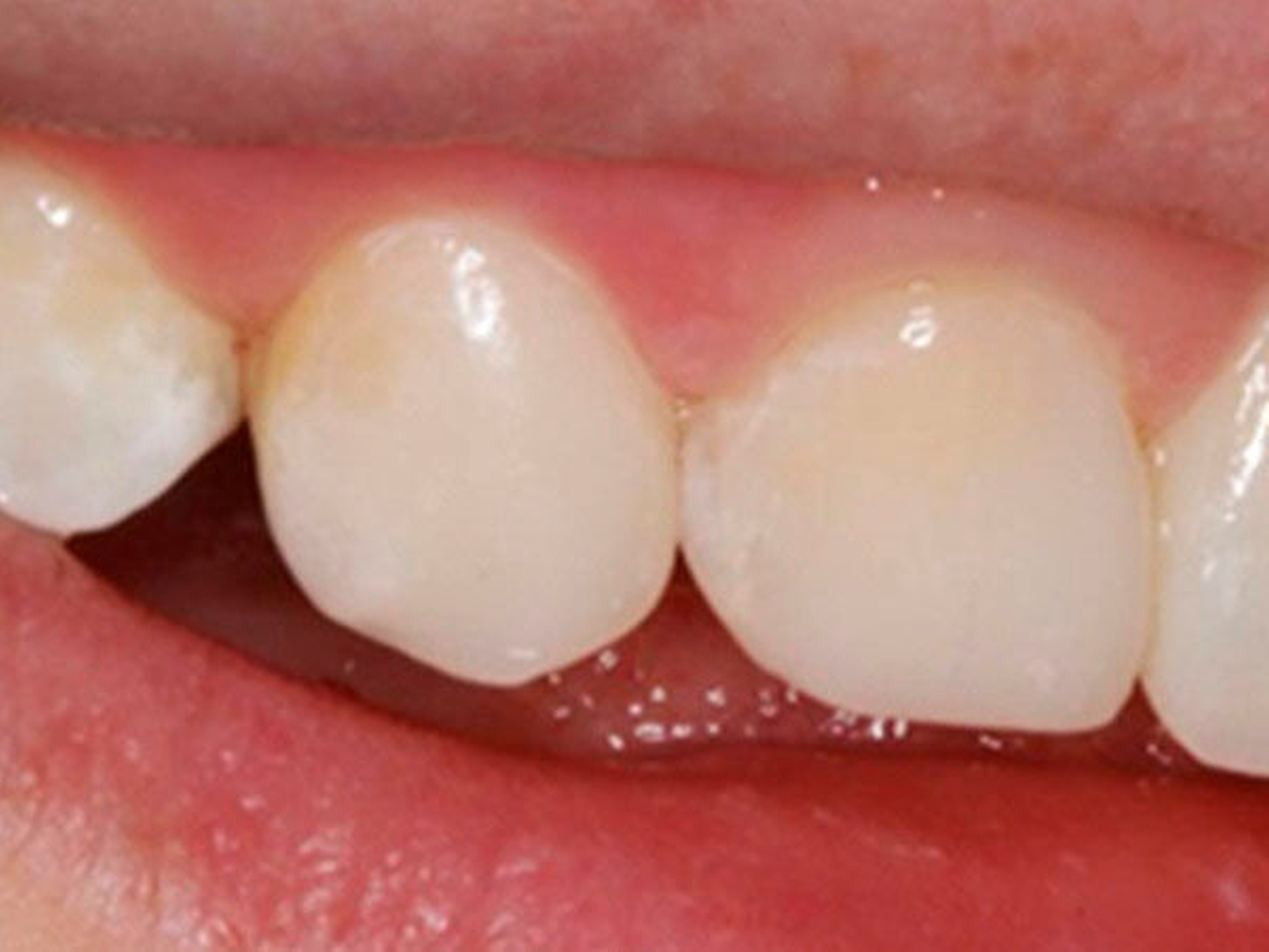
Im folgenden Fall werden die wichtigen Schritte eines Lückenschlusses mit Komposit nach einer KFO-Behandlung einer Patientin im Alter von 29 Jahren beschrieben. Sie stellte sich mit der Bitte um eine Füllungskorrektur der Zähne 13 und 23 nach einer KFO-Behandlung vor (Abbildungen 4 bis 7). Die Patientin leidet unter Oligodontie, mit fehlender Anlage der Zähne 12, 22, 25, 37, 41, 45 und 47. Eine Oligodontie hat erhebliche funktionelle Auswirkungen im Mund und psychosoziale Auswirkungen auf die Lebensqualität. Die Behandlung von Oligodontie bei Erwachsenen bedarf eines interdisziplinären Managements, die eine KFO-Behandlung in Kombination mit restaurativen Methoden beinhaltet.
Im vorliegenden Patientenfall hat bei der KFO-Behandlung eine Mesialisierung der Zähne stattgefunden, um die durch die fehlenden Zähne existierenden Lücken zu schließen. Dadurch sollte eine ästhetische Verbesserung der Frontzahnsituation gewährleistet und eine normale Funktion im Seitenzahnbereich ermöglicht werden. Sie war bezüglich möglicher Therapien sehr gut informiert und wünschte sich eine definitive Versorgung, war sich aber nicht sicher, ob eine minimalinvasive Therapie mit Komposit oder eine prothetische Versorgung besser sei. Die Patientin war sehr motiviert und hatte eine sehr gute Mundhygiene.
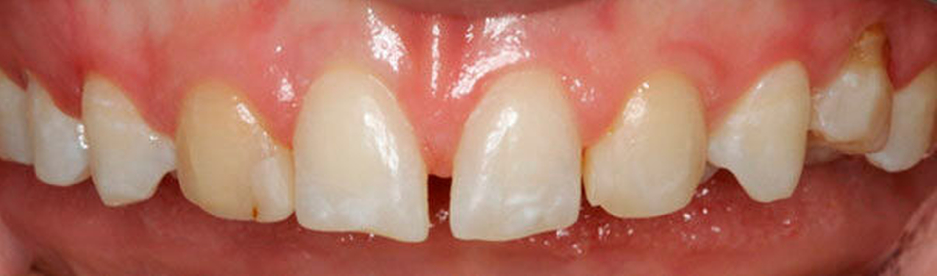
Behandlungsplan: Die Patientin entschied sich für eine minimalinvasive Therapie mit Komposit. Sie wurde über die Limitationen bezüglich der Ästhetik aufgrund der besonderen Morphologie und Breite der Eckzähne aufgeklärt. Um ein harmonisches Ergebnis zu erhalten, wurde folgender Behandlungsplan gestellt:
- Bleichen der Zähne 13 und 23
- Lückenschluss zwischen 11 und 21
- Verbreiterung der Zähne 11 und 21 distal, um bessere Proportionen zu erhalten und somit eine Verbreiterung der 13 und 23 zu umgehen,
- Umformung der Zähne 13 und 23 zu seitlichen Schneidezähnen,
- Umformung der Zähne 14 und 24 zu Eckzähnen,
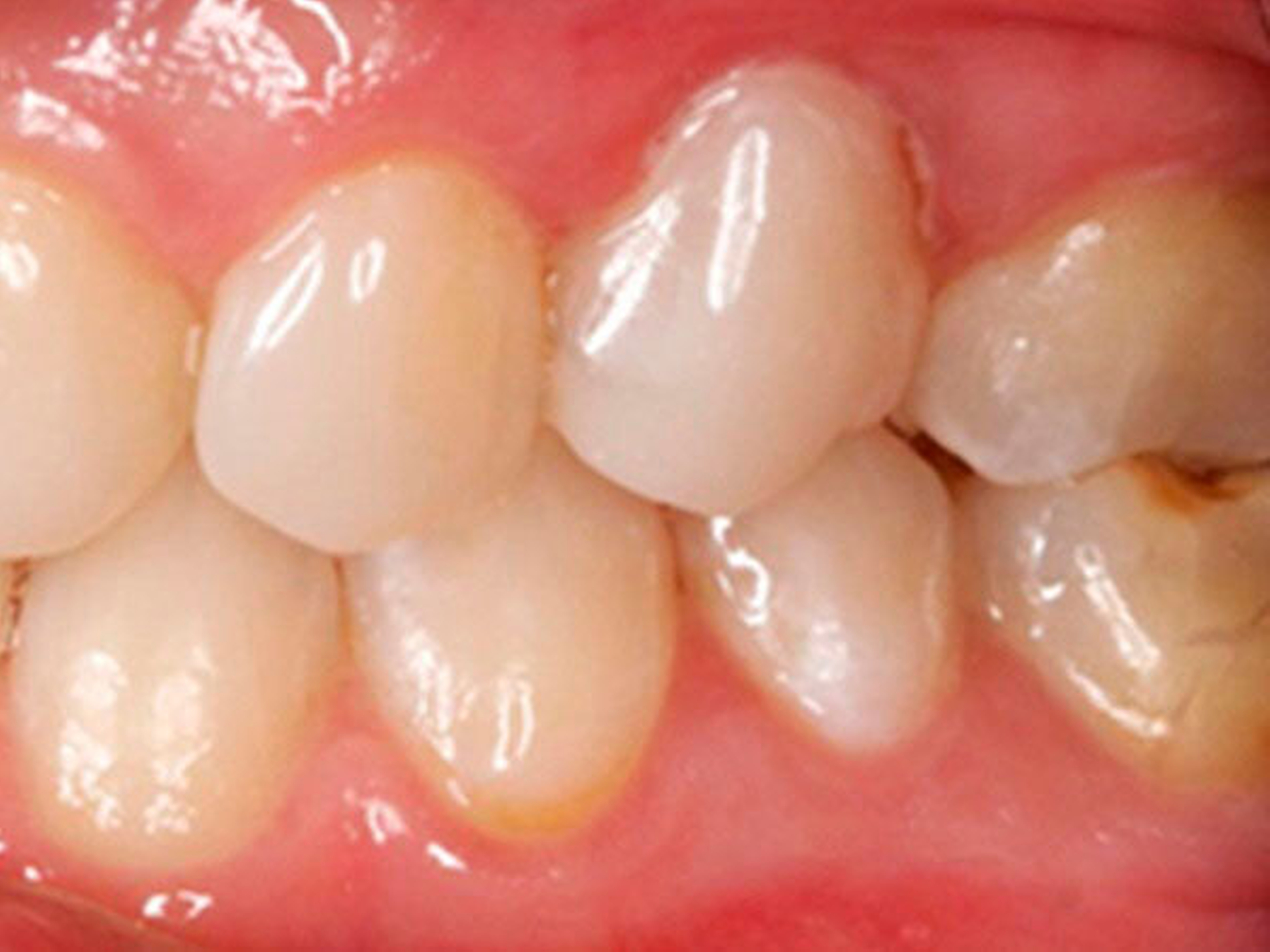
- Umformung des Milchzahns 65 (Erhaltung des Milchzahns bis zum Bedarf für weitere Behandlung),
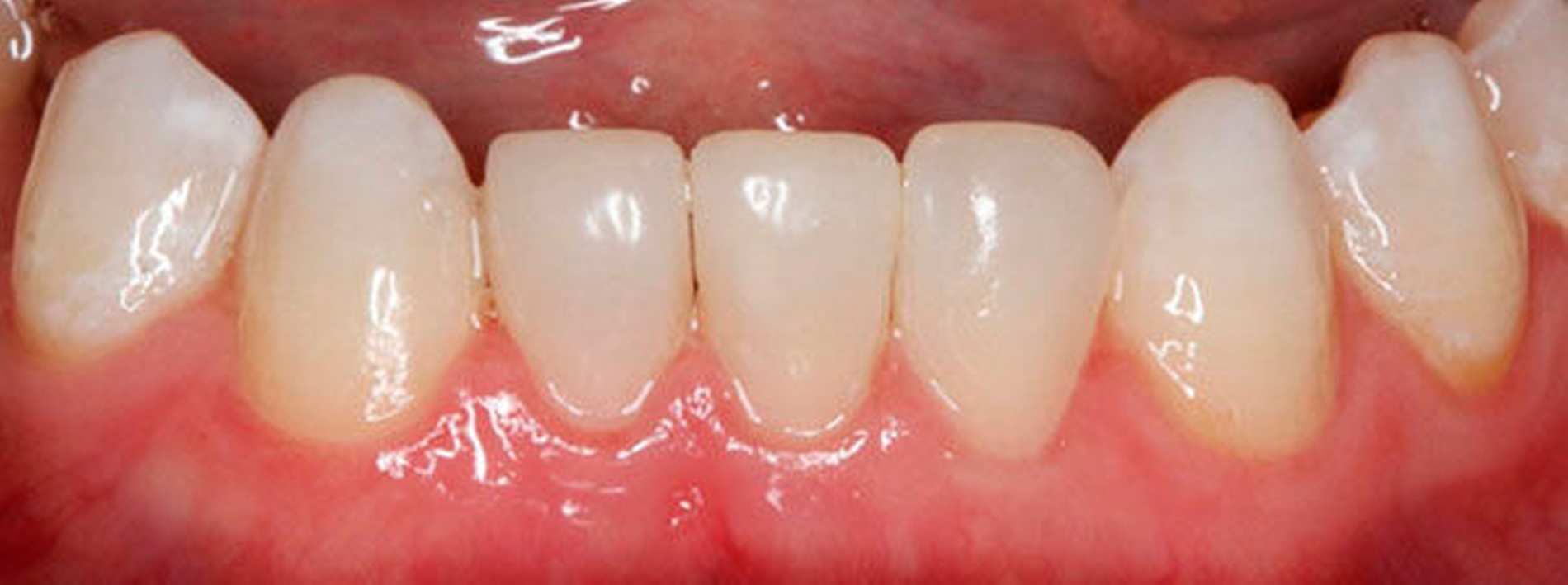
- Umformung der Frontzähne im UK (31, 32, 42).
Behandlungsablauf
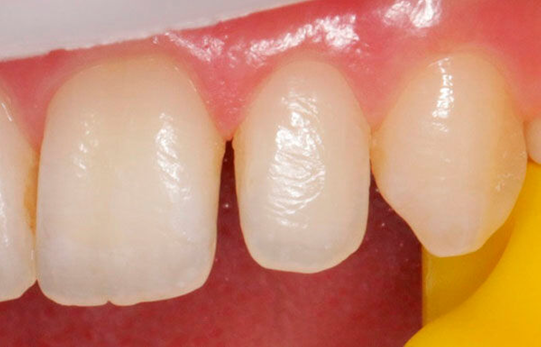
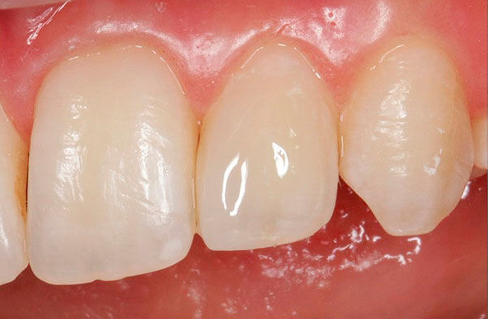
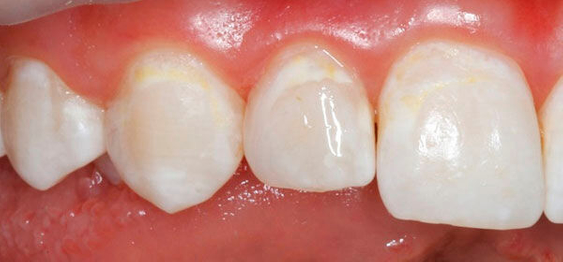
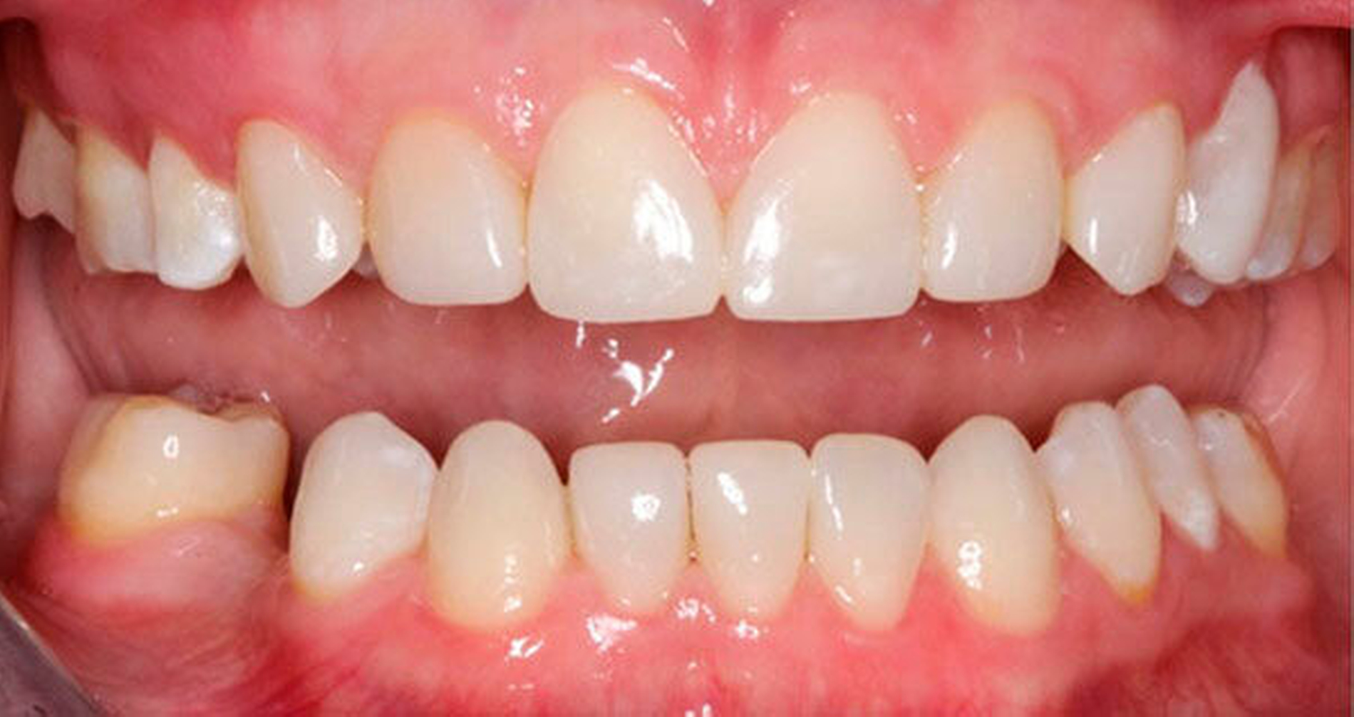
Am ersten Termin wurden die Zähne 13 und 23 gebleicht (Abbildung 8), um den Farbunterschied zu 11 und 21 zu minimieren (2x20min mit Opalescence Boost 40 Prozent H2O2; Utradent Products, USA). Zwei Wochen nach dem Bleichen wurden der Lückenschluss und die Umformung der Zähne 11, 21, 13, 23, 14, 24 durchgeführt (Abbildungen 9 bis 11). Beim nächsten Termin wurden die Umformung des Milchzahns 65 (Abbildung 12) und der Lückenschluss / die Umformung im UK (Abbildung 13) durchgeführt. Es folgte ein Politurtermin (Abbildung 14) und ein Recall-Termin zur Kontrolle nach sechs Monaten wurde vereinbart (Abbildung 15).
Zusammenfassend: Checkliste
x enge Kooperation der beteiligten Fachdisziplinen bei der Behandlungsplanung,
x Beratung der Patienten bezüglich der ästhetischen Ergebnisse nach der KFO-Behandlung,
x Beratung über die faziale Ästhetik vor und nach der KFO (vor der Entbänderung),
x Aufklärung über die Kosten der ästhetischen Maßnahmen und Methoden-/Materialauswahl,
x Lückenverteilung rechtzeitig planen,
x Zahnproportionen beachten,
x Gingivaverlauf überprüfen,
x Okklusionseinstellung nach dem Lückenschluss,
x Retainer nach dem Lückenschluss,
x Kontrolle und Politur in einer weiteren Sitzung,
x jährliche Recall-Termine.
So wird der Lückenschluss ein Erfolg
Um einen erfolgreichen und ästhetischen Lückenschluss zu realisieren sind viele verschiedene Schritte zu beachten:
Interdisziplinäres Management der Therapie: Eine gemeinsame Behandlungsplanung der beteiligten Disziplinen für eine ästhetische Versorgung von Patienten mit Lücken im Frontzahnbereich ist erforderlich (Kieferorthopädie und Zahnerhaltung oder Prothetik). Eine Extrusion oder Intrusion der Zähne ist eventuell notwendig, um durch die Umformung eines Zahnes einen anderen fehlenden Zahn zu kaschieren (bei Rollentausch der Zähne). Eine erst spätere Abstimmung kann zu einer zeitlichen Verzögerung der Behandlung führen.
Eine korrekte Positionierung der Zähne innerhalb der Lücke kann die ästhetischen Ergebnisse beeinflussen. Die Versorgung von mehreren kleinen Lücken ist für die Ästhetik und den langjährigen Erfolg der Restauration im Vergleich zur Behandlung einer großen Lücke vorteilhaft. Eine gezielte Planung der Positionierung der Zähne innerhalb der Lücken zu Beginn der KFO-Therapie kann die häufig auftretende Notwendigkeit einer erneuten Bewegung der Zähne vermeiden, die danach oft nicht mehr einfach oder sogar unmöglich wäre. Ein Lückenschluss kann eventuell auch vor oder während der KFO-Therapie notwendig werden.
Eine kompetente Beratung der Patienten am Anfang der Behandlung in Bezug auf die nach der KFO-Behandlung entstehenden Lücken ist erforderlich. Die Hauptziele, Prioritäten und Limitationen der geplanten KFO-Behandlung sollten mit dem Patienten am Anfang besprochen werden, da die Ausgangssituation die ästhetischen Ergebnisse beeinflussen kann. Eine Aufklärung über die für den ästhetischen Lückenschluss entstehenden zusätzlichen Kosten ist sinnvoll.
Nach dem Ende der KFO-Behandlung und vor der Entbänderung ist insbesondere bei Jugendlichen eine erneute Beratung sinnvoll, da sich durch das Wachstum sowohl die faziale Ästhetik als auch die Ansprüche des Patienten geändert haben können. Die behandelten Zähne können nach dem Lückenschluss kürzer wirken und die Gesichter werden häufig als „weicher“ oder „wenig streng“ gesehen. Mögliche „kurzzeitige“ Änderungen in der Phonetik sollten den Patienten mitgeteilt werden, besonders weil dies für bestimmte Berufsgruppen sehr entscheidend sein kann.
Die ästhetischen Erwartungen der Patienten sollten für die Methoden- und Materialauswahl berücksichtigt werden.
Nach dem Ende der KFO-Behandlung sollte eine detaillierte ästhetische Analyse der Situation, bezogen auf die morphologischen und die strukturellen Merkmale der Zähne, der Zahnform, der Gesichtsform und natürlich der Zahnfarbe, durchgeführt werden. In Bezug auf die Farbe ist neben der Bestimmung der Hauptfarben die Erhebung weiterer Parameter (Analyse der transluzenten, opaken Areale, des Dentinmamelons, der Sichtbarkeit eines Halo-Effekts) bezüglich der Charakterisierung des zu behandelnden Zahnes von großer Wichtigkeit für den Erfolg der Restauration. Die sorgfältige und korrekte Farbanalyse führt zu einer „Individualisierung“ des Zahnes und zu einem natürlichen Ergebnis.
Wichtige Aspekte für eine natürlich wirkende dentale Komposition können wie folgt beschrieben werden:
- gesundes Parodont mit geschlossenen Interdentalräumen,
- gutes Verhältnis der Zahnproportionen und Symmetrie,
- Beachtung von Zahngrundformen und -merkmalen,
- Inzisalkantenverlauf, Lachlinie und interinzisale Dreiecke.
Genau dieselben Merkmale, die man bei jeder ästhetisch anspruchsvollen Frontzahnfüllung in Betracht ziehen muss, werden auch bei einem Lückenschluss benötigt.
Der Gingivaverlauf sollte bei der Behandlungsplanung des Lückenschlusses berücksichtigt beziehungsweise vor der Umformung der Zähne oder des Lückenschlusses angepasst werden.
„Kombi“-Behandlungstermin: Wenn möglich, ist ein Kombitermin der beiden involvierten Fachdisziplinen im Fall einer direkten Versorgung der Lücke von Vorteil. Erst einmal findet die Entbänderung statt, dann folgt der Lückenschluss der Zähne und danach wird die Endsituation abgeformt, um so schnell wie möglich die „Retainer“-Phase zu ermöglichen. Wichtige Voraussetzung für einen Kombi-Termin ist die gute Compliance des Patienten und – noch wichtiger – eine gesunde Gingiva. In jedem anderem Fall wird eine Schiene als Retainer vorgefertigt, bis die Mundhygiene des Patienten entsprechend verbessert wurde. Dann erst kann die endgültige Versorgung stattfinden.
Eine laborgefertigte Schablone für ein „Mock-up“ kann zusätzlich zur besseren Visualisierung des Behandlungsergebnisses verwendet werden, stellt aber keine notwendige Voraussetzung für den Behandlungserfolg dar.
Die gezielte Okklusion nach dem Lückenschluss sollte vor der Behandlung in Betracht gezogen werden.
Kontrolle und Politur in einer weiteren Sitzung sind sinnvoll für die Stabilität der ästhetischen Ergebnisse.
Eine jährliche Kontrolle der Situation bezüglich Funktion und Ästhetik ist sinnvoll. Ein Rezidiv der Situation kann stattfinden, besonders bei Fraktur der Retainer oder bei dem Verlust und der erneuten Klebung des Retainers in einer falschen Position.
Fazit: Ästhetisch, langlebig und erfolgreich
Für einen erfolgreichen Lückenschluss sind drei Kriterien zu beachten [Willhite, 2005]: eine Charakterisierung der Oberfläche des Zahnes mit natürlichen Konturen, eine vollständig geschlossene Gingivaform und ein glatter subgingivaler Rand. Für einen erfahrenen Behandler, geübt in den benötigten Techniken in Kombination mit geeigneten Materialien, ist es möglich, ästhetische und langlebige direkte Kompositrestaurationen anzufertigen.
Prof. Dr. Olga Polydorou
Leiterin des Bereichs Restaurative und Präventive Zahnheilkunde, Klinik für Zahnerhaltungskunde und Parodontologie
Universitätsklinikum Freiburg
Hugstetter Str. 55
79106 Freiburg
olga.polydorou@uniklinik-freiburg.de
Literaturverzeichnis
Bagheri R, Burrow MF, Tyas M (2005): Influence of food-simulating solutions and surface finish on susceptibility to staining of aesthetic restorative materials. Journal of Dentistry. 33(5):389-398.
Beier US, Dhima M, Koka S, Salinas TJ, Dumfahrt H (2012): Comparison of two different veneer preparation designs in vital teeth. Quintessence International. 43(10):835-839.
Coelho-de-Souza FH, Gonçalves DS, Sales MP, Erhardt MC, Corrêa MB, Opdam NJ, Demarco FF (2015): Direct anterior composite veneers in vital and non-vital teeth: a retrospective clinical evaluation. Journal of Dentistry. 43(11):1330-1336.
Edelhoff D, Prandtner O, Saeidi Pour R, Liebermann A, Stimmelmayr M, Güth JF (2018): Anterior restorations: The performance of ceramic veneers. Quintessence International. 49(2):89-101.
Frese C, Schiller P, Staehle HJ, Wolff D (2013): Recontouring teeth and closing diastemas with direct composite buildups: a 5-year follow-up. Journal of Dentistry. 41(11):979-985.
Hourfar J, Glasl B, Ludwig B (2016): Lückenschluss statt Implantat? Kieferorthopädischer Lückenschluss bei Nichtanlagen permanenter Zähne, BZB, Wissenschaft und Fortbildung. 58-65.
Klaiber B (2006): Alles noninvasiv - Zahnformveränderung, Lückenschluss, Reduktion schwarzer Dreiecke. Zahnärztlichen Mitteilungen. Heft 10.
Kubo S, Yokota H, Yokota H, Hayashi Y (2013): Challenges to the clinical placement and evaluation of adhesively-bonded, cervical composite restorations. Dental Materials. 29(1):10-27.
Lempel E, Tóth Á, Fábián T, Krajczár K, Szalma J (2015): Retrospective evaluation of posterior direct composite restorations: 10-year findings. Dental Materials. 31(2):115-122.
Lempel E, Lovász BV, Meszarics R, Jeges S, Tóth Á, Szalma J (2017): Direct resin composite restorations for fractured maxillary teeth and diastema closure: A 7 years retrospective evaluation of survival and influencing factors. Dental Materials. 33(4):467-476.
Lim CC (1995): Case selection for porcelain veneers. Review. Quintessence International. 26(5):311-5.
Milosevic A, Burnside G (2016): The survival of direct composite restorations in the management of severe tooth wear including attrition and erosion: A prospective 8-year study. Journal of Dentistry. 44:13-19.
Mangani F, Cerutti A, Putignano A, Bollero R, Madini L (2007): Clinical approach to anterior adhesive restorations using resin composite veneers. Review. European Journal of Esthetic Dentistry. 2(2):188-209.
Pallesen U, van Dijken JW, Halken J, Hallonsten AL, Höigaard R (2013): Longevity of posterior resin composite restorations in permanent teeth in Public Dental Health Service: a prospective 8 years follow up. Journal of Dentistry. 41(4):297-306.
Proffit WR (2007): Contemporary Orthodontics. 4 ed. Mosby Elsevier, St. Louis.
Rodrigues SA Jr, Scherrer SS, Ferracane JL, Della Bona A (2008): Microstructural characterization and fracture behavior of a microhybrid and a nanofill composite. Dental Mater. 24(9):1281-8.
van Dijken JW, Pallesen U (2010): Fracture frequency and longevity of fractured resin composite, polyacid-modified resin composite, and resin-modified glass ionomer cement class IV restorations: an up to 14 years of follow-up. Clinical Oral Investigations. 14(2):217-222.
Vichi A, Ferrari M, Davidson CL (2004): Color and opacity variations in three different resin-based composite products after water aging. Dental Materials. 20(6):530-534.
Willhite C (2005): Diastema closure with freehand composite: controlling emergence contour, In Quintessence Int, 36(2):138-140.
Williams JK (2000): Festsitzende kieferorthopädische Apparaturen. Georg Thieme Verlag, Stuttgart.



























