Arbeiten wie Dr. House
Welche Erkrankung verbirgt sich hinter diesen Zahnschmerzen oder jenem Abszess? Auf solche unklaren Fälle hat sich die Universitätszahnklinik Münster mit ihrer Sprechstunde „Seltene Erkrankungen mit oraler Beteiligung“ spezialisiert. Lesen Sie fünf Fallbeispiele, wie sich Seltene Erkrankungen sich im Zahn-, Mund-, Kiefer- und Gesichtsbereich manifestieren können. Die Besonderheiten der Behandlung bei einer seltenen Erkrankung (Komplikationen und Sicherheitskautelen) werden im Fall 6 am Beispiel einer 17-Jährigen mit McCune-Albright-Syndrom dargestellt.
Fall 1: Hypophosphatämie und Nekrose der Pulpa
Fallbeschreibung:
Ein dreijähriges Mädchen wird mit einem beginnenden Abszess der linken Fossa canina vorstellig. Klinisch zeigen die Zähne keinerlei kariöse Läsionen, die Ursache ist unklar. Radiologisch fällt ein ausgedehntes Pulpenhorn am Zahn 63 auf. Die Patientin ist insgesamt für ihr Alter eher kleinwüchsig. Allgemein anamnestisch liegt eine X-chromosomale Hypophosphatämie (Phosphatdiabetes) vor.
Diagnose:
Durch die X-chromosomale Hypophosphatämie bedingte Nekrosen der Pulpa mit nachfolgender Abszedierung
Therapie:
Als mögliche Therapie oder prophylaktische Maßnahmen werden Stahlkronen oder Kunststofffüllungen beschrieben. Die Präparation von Zähnen birgt jedoch das Risiko der Entstehung von Rissen in der Zahnhartsubstanz oder einer Eröffnung der Pulpa. Daher werden heutzutage Versiegelungen der betroffenen Zähne mit fließfähigen Kunststofffüllmaterialien oder bei Attrition das Abdecken von exponiertem Dentin mit weiteren Füllungsmaterialien empfohlen. Valide Daten aus wissenschaftlichen Untersuchungen liegen hierzu allerdings noch nicht vor. Generell sollten Patienten mit Phosphatdiabetes regelmäßig zu zahnärztlichen Vorsorgeuntersuchungen vorstellig werden, Fluorid auf die Zähne applizieren und eine extrem gute Mundhygiene betreiben. Gerade in der Frühdiagnose können Zahnärzte eine wichtige Rolle spielen. So können sie die ersten sein, die die klinischen Anzeichen der X-chromosomalen Hypophosphatämie zuordnen können.
Schlussfolgerung:
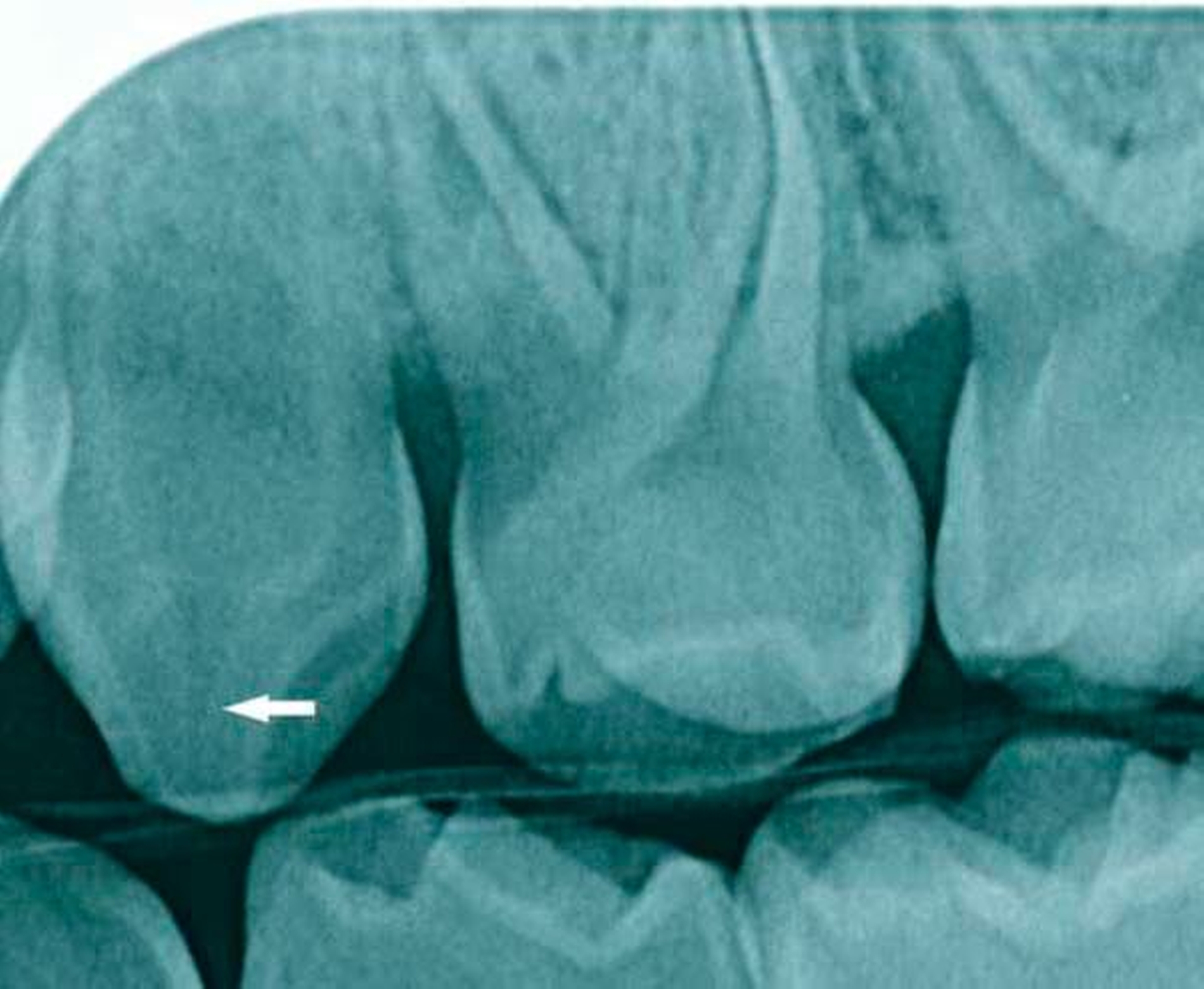
In histologischen Untersuchungen von Zähnen findet sich bei der X-chromosomalen Hypophosphatämie Interglobulardentin. Dies bedeutet, dass im Dentin eine unvollständig mineralisierte Dentinmatrix zwischen regulär mineralisierten Globuli vorliegt. Daneben fallen in histologischen Untersuchungen Ausdehnungen der Pulpa mit Pulpenhörnern und vergrößerten Pulpenkaven auf, die sich bis an die Schmelz-Dentin-Grenze ausdehnen, was eine Infektion der Pulpa begünstigt (Abbildung).
Infolge von Attrition des Zahnschmelzes können Bakterien durch das fehlgebildete und in seiner Struktur durchlässige Dentin in die bis an die Schmelz-Dentin-Grenze verzweigte Pulpa eindringen und zu Pulpanekrosen und Abszessen führen.
Literatur:
Murayama T , Iwatsubo R, Akiyama S, Amano A, Morisaki I: Familial hypophosphatemic vitamin D-resistant rickets: dental findings and histologic study of teeth. Oral Surg Oral Med Oral Pathol Oral Radiol Endod. 2000 Sep; 90(3):310–6.2.
Goodman JR, Gelbier MJ, Bennett JH, Winter GB: Dental problems associated with hypophosphataemic vitamin D resistant rickets. Int J Paediatr Dent 8: 19–28 (1998)
Fall 2: Gorlin-Goltz-Syndrom
Fallbeschreibung:
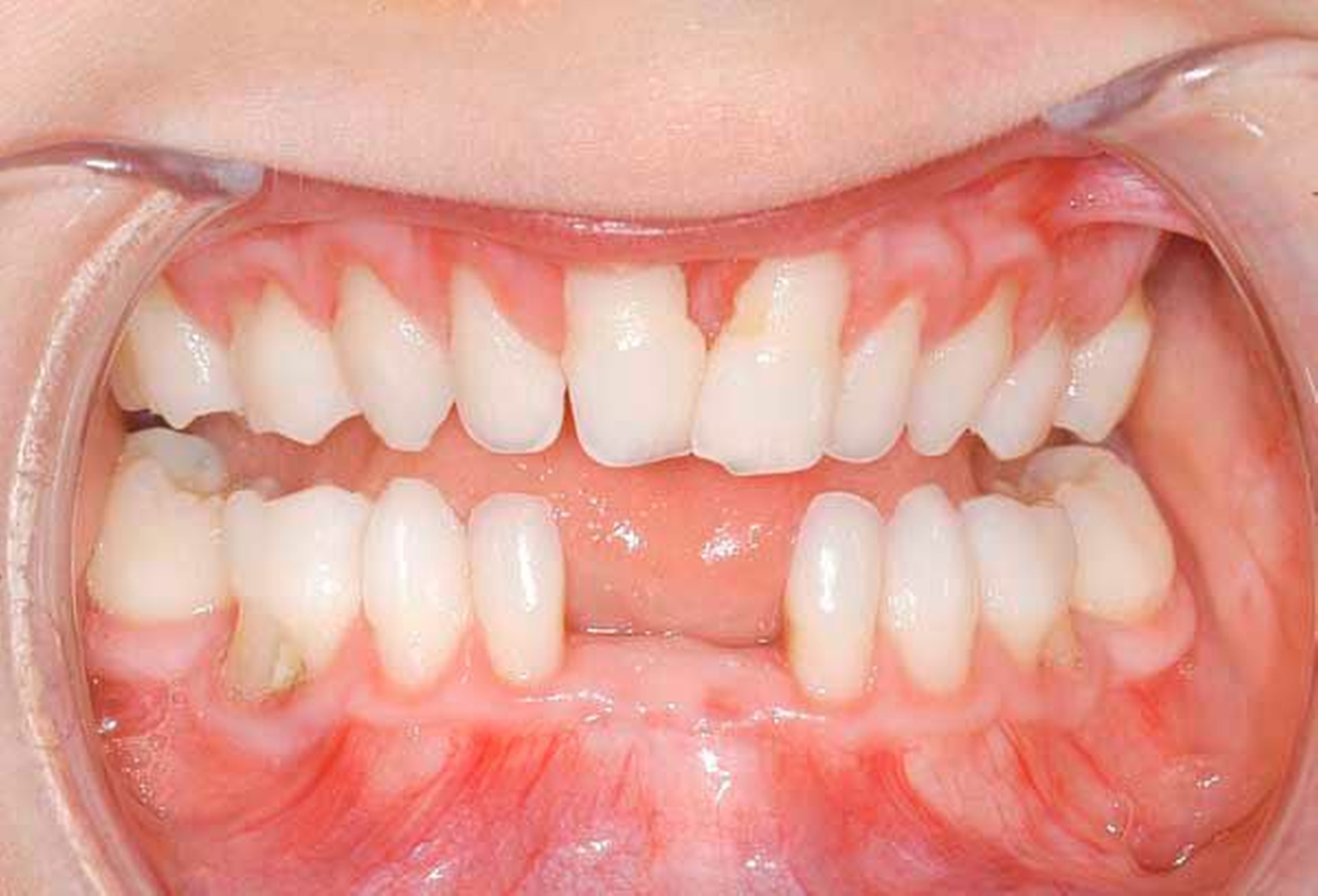
Ein 17-jähriger Patient wurde mit einer odontogenen Zyste im rechten Oberkiefer überwiesen (Abbildung 1). Bereits fünf Jahre zuvor waren bei ihm multiple Keratozysten entfernt und der Verdacht auf ein Gorlin-Goltz-Syndrom geäußert worden, dieser wurde jedoch nicht weiter abgeklärt. Anamnestisch lagen bisher keine Basalzellkarzinome vor.
Zur weiteren Beurteilung der Ausdehnung des Befunds wurde eine Nasennebenhöhlenaufnahme veranlasst (Abbildung 2). Darin zeigte sich eine deutlich sichtbare Verkalkung der Falx cerebri, was den klinischen Verdacht eines Gorlin-Goltz-Syndroms nach den Evans-Kriterien (Tabelle 1) [Evans et al.] bestätigte. Ein weiteres auffälliges Merkmal: ein vergrößerter Augenabstand (Hypertelorismus). Weitere, angeborene Fehlbildungen lagen nicht vor, die Familienanamnese war negativ.
Diagnose:
Gorlin-Goltz-Syndrom
Therapie:
Unter Intubationsnarkose erfolgte die Zystektomie mit Knochenkürretage. Der histopathologische Befund bestätigte den Verdacht einer Keratozyste. Der Patient befindet sich nun in einem engmaschigen Nachsorgeprogramm, ebenso erfolgen regelmäßig dermatologische Vorstellungen.
Schlussfolgerung:
In 78 Prozent der Fälle sind keratozystische odontogene Tumore das erste Anzeichen für das Gorlin-Goltz-Syndrom [Lo Muzio L et al.], was die Rolle des Zahnmediziners in der Diagnostik unterstreicht. Klinisch erfolgt die Diagnose nach Evans [Evans et al., 1993] bei Vorliegen von zwei Hauptkriterien oder einem Hauptkriterium und zwei Nebenkriterien. Die klinische Diagnose wird durch eine molekulare Analyse gesichert.
Literatur:
1. Evans DG, Ladusans EJ, Rimmer S, Burnell LD, Thakker N, Farndon PA: Complications of the naevoid basal cell carcinoma syndrome: results of a population based study. J Med Genet. 1993 Jun; 30(6):460–4
2. Lo Muzio L, Nocini P, Bucci P, Pannone G, Consolo U, Procaccini M: Early diagnosis of nevoid basal cell carcinoma syndrome. J Am Dent Assoc. 1999 May; 130(5):669–74.)
Fall 3: Ehlers-Danlos-Syndrom
Fallbeschreibung:
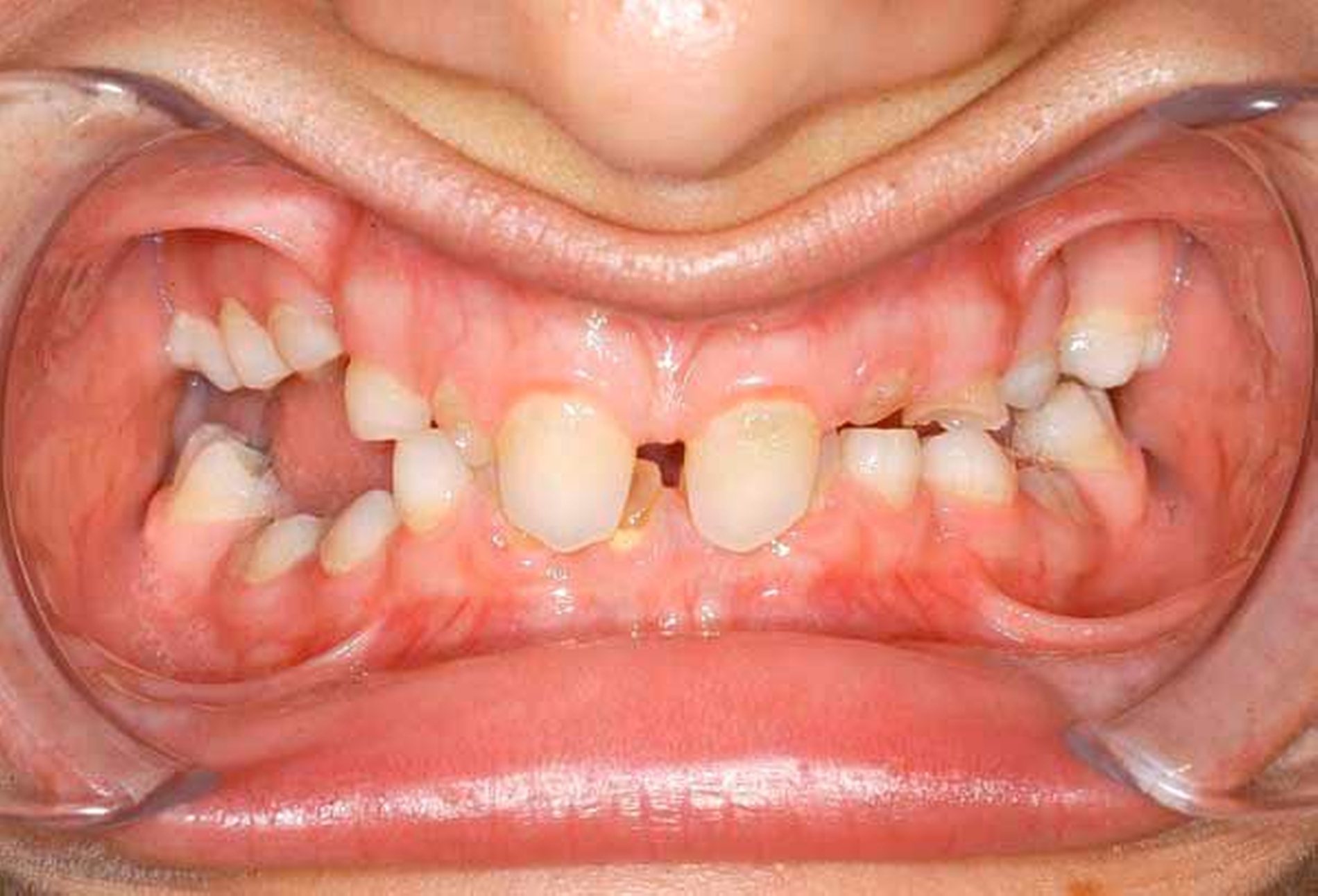
Eine fünfjährige Patientin wird mit ihren Eltern vorstellig. Die Eltern sind besorgt, da bei dem kleinen Mädchen kürzlich zwei Milchschneidezähne im Unterkiefer verloren gegangen seien und generell das Zahnfleisch sehr schnell blute. Zwar hätten sie von einer befreundeten ZFA die Information bekommen, dass Milchzähne mit etwa fünf bis sechs Jahren ausfallen, dennoch wünschten sie eine Abklärung.
Bei der Inspektion der Mundhöhle zeigt sich eine generalisierte Parodontitis mit bereits exponierten Furkationen der Milchmolaren. Die Diagnose lautet zunächst schwere, generalisierte Parodontitis.
Aufgrund des ungewöhnlichen Befunds wird der Verdacht auf einen möglichen Zusammenhang mit einer systemischen Erkrankung geäußert. Die Eltern erzählen, dass ihnen bei ihrer Tochter neben dem angeborenen Knickfuß die Hypermobilität von Ellenbogen und Handgelenken aufgefallen sei. Die Patientin wird daraufhin in der Orthopädie vorgestellt.
Diagnose:
Parodontitis als Manifestation einer systemischen Erkrankung: Ehlers-Danlos-Syndrom
Therapie:
Die Patientin wird engmaschig zahnärztlich betreut, wobei die Prognose für einen Zahnerhalt sowohl im Milch- wie später im bleibenden Gebiss fraglich ist.
Schlussfolgerung:
Aktuell wurde eine neue Klassifikation des Ehlers-Danlos-Syndroms vorgestellt, wonach nun eine Unterteilung in 13 Subtypen erfolgt [Malfait F et al.]. Grundsätzlich können beim Ehlers-Danlos-Syndrom weite Teile der Mundhöhle betroffen sein. Dünne Schleimhäute und Veränderungen in der Gefäßstruktur können zu Blutungen führen zu. Patienten mit Ehlers-Danlos zeigen vermehrt eine schlechte Wundheilung. Schwere parodontale Erkrankungen können bereits im Milchgebiss auftreten [Reinstein E et al.]. Häufig werden insuffiziente Wirkungen von zahnärztlichen Infiltrations- oder Leitungsanästhesien beschrieben, was zahnärztlich-chirurgische Maßnahmen weiter erschwert.
Kriterien für ein Gorlin-Goltz-Syndrom
Es müssen zwei Hauptkriterien oder ein Hauptkriterium in Kombination mit zwei Nebenkriterien vorliegen:
Hauptkriterien:
· Mehr als zwei Basalzellkarzinome oder ein Basalzellkarzinom vor dem 30. Lebensjahr
· Keratozysten
· Palmare oder Plantare Grübchen (> 3)
· Verkalkung der Falx cerebri
· Positive Familienanamnese
Nebenkriterien:
· Skelettanomalien (gespaltene, verschmolzene oder fehlende Rippen; gespaltene oder verschmolzene Wirbelkörper)
· Makrozephalie
· Kardial- oder Ovariafibrome
· Medullablastom
· Kongenitale Fehlbildung: Lippen-, Kiefer-, Gaumenspalte; Polydaktylie; Katarakt; Iriskolobom, Hypertelorismus)
Tabelle 1,
nach Evans [Evans et al., 1993]
Literatur:
1. Malfait F et al.: The 2017 international classification of the Ehlers-Danlos syndromes. Am J Med Genet C Semin Med Genet. 2017 Mar; 175(1):8–26.
2. Reinstein E et al.: Ehlers-Danlos syndrome type VIII is clinically heterogeneous disorder associated primarily with periodontal disease, and variable connective tissue features. European Journal of Human Genetics, 2013, 21. Jg., Nr. 2, S. 233.
Fall 4: Oligodontie
Fallbeschreibung:
Eine 20-jährige Frau wird mit multiplen Nichtanlagen (Oligodontie) vorstellig. Sie berichtet, dass ihre Milchzähne vollständig angelegt waren. Mit dem einsetzenden Zahnwechsel habe sich jedoch herausgestellt, dass bei ihr multiple bleibende Zähne nicht angelegt waren. Insbesondere in der Pubertät habe sie sehr darunter gelitten, da sie wegen ihrer Zähne von den Mitschülern missachtet worden sei. Von verschiedenen Zahnärzten sei sie zwar auf die Möglichkeit einer Implantatversorgung hingewiesen worden, diese könne sie sich allerdings nicht leisten. Bei der intraoralen Inspektion zeigen sich ein seitlicher offener Biss, Formanomalien der mittleren Oberkiefer-Schneidezähne sowie multiple verbliebene Milchzähne. Der radiologische Befund bestätigt den Verdacht auf eine Oligodontie. Auf Nachfrage berichtet die Patientin, dass sie „wenig schwitze“.
Aufgrund der Befunde wird der Patientin eine genetische Beratung bei Verdacht auf eine WNT10A-Mutation vorgeschlagen. Die genetische Untersuchung bestätigt letztlich den Verdacht einer ektodermalen Dysplasie.
Diagnose:
Oligodontie im Zusammenhang mit einer ektodermalen Dysplasie.
Therapie:
Für die Patientin wurde eine implantat-prothetische Versorgung mit vorherigen augmentativen Maßnahmen nach SGB V, § 28 beantragt.
Schlussfolgerung:
Die ektodermalen Dysplasien sind eine heterogene Krankheitsgruppe mit entwicklungsbedingten Dystrophien ektodermaler Strukturen. Diese manifestieren sich klinisch mit unterschiedlicher Ausprägung unter anderem von Hypohidrose, Hypotrichose, Nageldysplasie, Hypodontie, Oligodontie oder Anodontie. Gerade bei der ektodermalen Dysplasie mit Oligodontie oder Anodontie fällt dem Zahnarzt eine besondere Rolle zu, weil er aufgrund der begleitenden Nichtanlagen möglicherweise als einer der ersten Mediziner zur Diagnose beitragen kann [Vasconcelos et al.]. Für die kaufunktionelle Rehabilitation werden neben konventionell-prothetischen Versorgungen implantatgetragene Versorgungen beschrieben. Auch gelten bei Oligodontie oder Anodontie implantatgestützte Prothesen bereits im Kindesalter als adäquate Therapiemaßnahmen [Filius MA].
Literatur:
1. Vasconcelos Carvalho M, Romero Souto de Sousa J, Paiva Correa de Melo F, Fonseca Faro T, Nunes Santos AC, Carvalho S, Veras Sobral AP:Hypohidrotic and hidrotic ectodermal dysplasia: a report of two cases. Dermatol Online J. 2013 Jul 14;19(7):18985.
2. Filius MA, Vissink A, Raghoebar GM, Visser A: Implant-retained overdentures for young children with severe oligodontia: a series of four cases. J Oral Maxillofac Surg. 2014 Sep; 72(9):1684–90.
Fall 5: Pemphigus vulgaris
Fallbeschreibung:
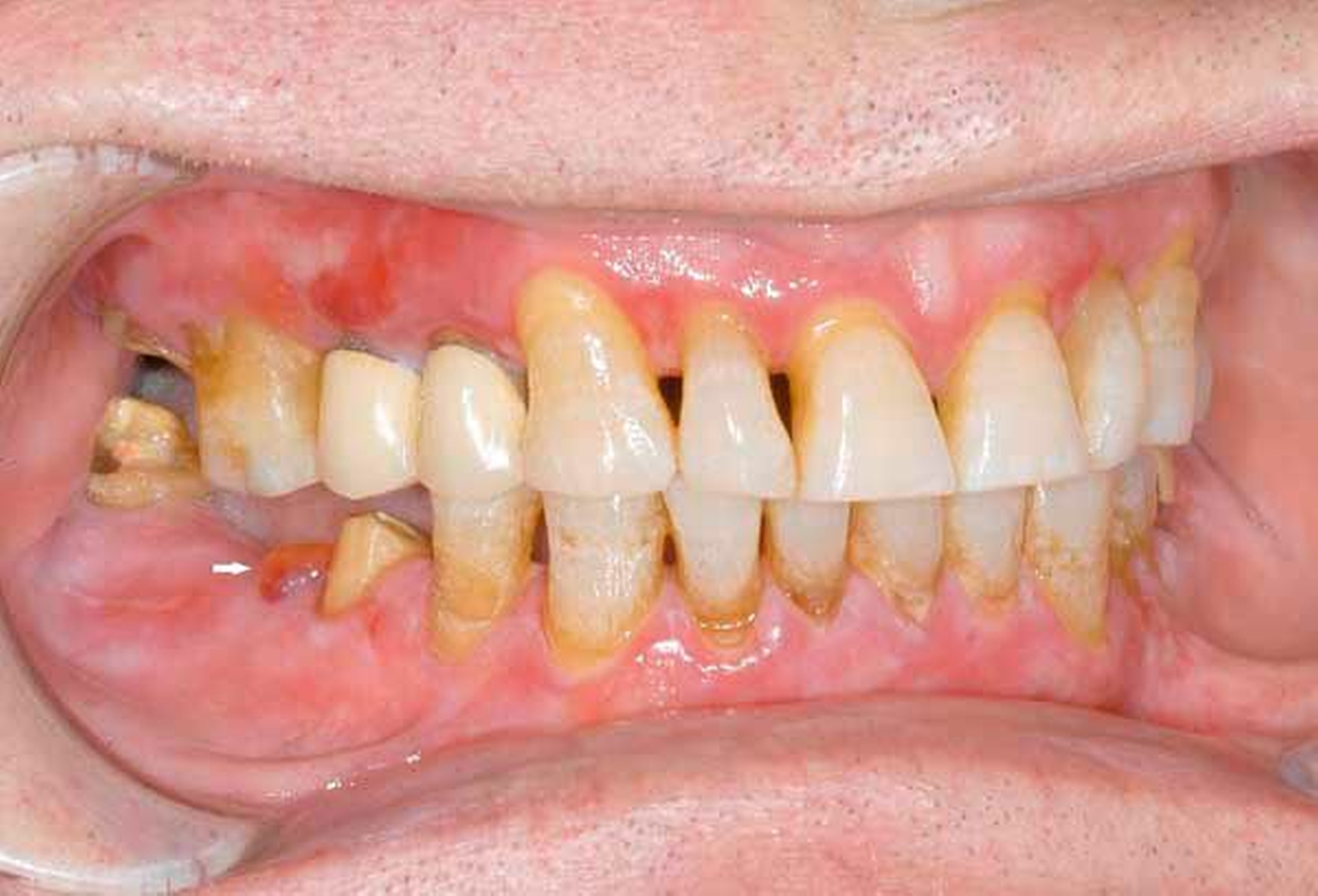
Ein 67-jähriger Mann wird mit Schmerzen und Brennen der Mundschleimhaut vorstellig. Durch den Hauszahnarzt wurden bereits die topische Anwendung einer Chlorhexidin-haltigen Mundspüllösung sowie die Anwendung eines Lidocain-haltigen Gels verordnet, wobei dies keine Linderung der Beschwerden brachte. Der Patient beschreibt, dass ihm die Nahrungsaufnahme mittlerweile sehr schwer falle. Intraoral zeigt sich eine gerötete Mundschleimhaut mit einzelnen Erosionen sowie einer Blase auf dem Alveolarfortsatz in regio 46.
Aufgrund des Verdachts einer blasenbildenden Autoimmundermatose folgt die Entnahme zweier Schleimhautbiopsien, dabei wird zusätzlich eine direkte Immunfluoreszenz angeordnet. Der histopathologische Befund beschreibt eine intraepidermale Blasenbildung, die direkte Immunfluoreszenz bringt den Nachweis von IgG und C3 im Interzellularraum.
Diagnose:
Blasenbildende Mundschleimhauterkrankung: Pemphigus vulgaris
Therapie:
Zur weiteren Therapie wurde der Patient in die Dermatologie überwiesen. Zur Behandlung des Pemphigus vulgaris wird eine systemische immunsuppressive/immunmodulierende Therapie in Kombination mit topischen antiseptischen Substanzen und gegebenenfalls topischen Kortikosteroiden empfohlen. Nur bei lokal begrenzter Manifestation und bei milder Intensität kann in Einzelfällen eine Monotherapie mit topischen Kortikosteroiden oder alternativ mit topischen Calcineurininhibitoren erwogen werden [S2k-Leitlinie].
Schlussfolgerung:
Vor der Entwicklung der Kortikosteroide führte die Diagnose „Pemphigus vulgaris“ meist zum Tod [Cirillo N. et al.]. Auch heute noch können Verzögerungen bei der Diagnostik des Pemphigus vulgaris schwerwiegende Komplikationen wie Larynxstenosen und Ösophagusstenosen hervorrufen. Die Mundhöhle als möglicher Ort der Erstmanifestation lässt dem Zahnarzt eine bedeutende Rolle bei der Erstdiagnostik zukommen. Der Zahnarzt sollte daher mit dem klinischen Erscheinungsbild des Pemphigus vulgaris vertraut sein und der Pemphigus vulgaris als mögliche Differenzialdiagnose bei Blasenbildung oder Erosionen der Mundschleimhaut in Erwägung gezogen werden.
Literatur:
1. S2k-Leitlinie Diagnostik und Therapie des Pemphigus vulgaris/foliaceus und des bullösen Pemphigoids
2. Cirillo N, Cozzani E, Carrozzo M, Grando SA. Urban legends: pemphigus vulgaris. Oral Dis. 2012 Jul; 18(5):442–58.

Seltene Erkrankungen im ZMK-Bereich
Rund 15 Prozent aller seltenen Erkrankungen können sich im Zahn-, Mund-, Kiefer- und Gesichtsbereich manifestieren. Die Klinik für Mund-, Kiefer- und Gesichtschirurgie in Münster bietet in enger Kooperation mit den medizinischen und zahnmedizinischen Fachdisziplinen des Universitätsklinikums sowie dem Institut für Humangenetik eine Spezialsprechstunde für Menschen mit seltenen Erkrankungen an.
Auch der Zahnarzt in der Praxis kann bei seltenen Erkrankungen eine Rolle spielen–vor allem wenn bei der Erstdiagnostik Auffälligkeiten ins Auge fallen. Der Verein ROMSE e.V., ein Zusammenschluss aus zahnärztlichen Wissenschaftlern, betreibt die Datenbank „ROMSE“, über die sich Ärzte, Patienten und Angehörige über Veränderungen im Zahn-, Mund-, Kiefer- und Gesichtsbereich informieren können.
Der deutsche Dr. House
Alles begann 2008 – mit der Seminarreihe „Dr. House revisited – oder: Hätten wir den Patienten in Marburg auch geheilt?“. Nach dem Vorbild der US-Serie wollte Dr. Jürgen Schäfer mit seinen Studierenden schwierige medizinische Fälle diskutieren. Ihm und seinem Team gelangen spektakuläre Diagnosen. Das machte ihn zum prominentesten deutschen Medizindetektiv und brachte ihm das Image „dort weiterzumachen, wo andere Ärzte nicht weiterkommen“.
„Ich war überrascht und hatte nicht damit gerechnet, dass ein so kleines Seminar so große Wellen schlagen würde“, erinnert sich Schäfer. „Ich hatte Filmclips der Serie Dr. House genutzt, um ein neues Lehrkonzept ins Leben zu rufen und Studenten für seltene Erkrankungen zu sensibilisieren.“ Mit einer ungewöhnlichen Herangehensweise und „Um-die-Ecke-Denken“ gelingt es ihm, unerkannte Krankheiten aufzuspüren und Patienten zu helfen, denen bisher nicht geholfen werden konnte. Ähnlich dem TV-Arzt und Diagnostikspezialisten Dr. Gregory House – aber ohne dessen Misanthropie, stattdessen mit viel Empathie und Fingerspitzengefühl.
Schäfer ist Kardiologie und Internist und hat unter anderem am National Institute of Health (NIH) in den USA geforscht. Seine Arbeitsweise hat zu viel Aufmerksamkeit geführt – bei seinen Studenten, in den Medien und bei den Patienten. 2010 wurde er für seine Lehrmethoden mit dem Ars-legendi-Preis für exzellente Hochschullehre ausgezeichnet. 2013 wurde er von der Techniker Krankenkasse und der Bild am Sonntag zum Arzt des Jahres gewählt. Und spätestens seit Februar 2014 wurde Schäfer durch einen Artikel über seine Diagnose einer Kobaltvergiftung aufgrund eines angekratzten metallischen Hüftgelenks in der Fachzeitschrift The Lancet („Cobald intoxication diagnosed with the help of Dr. House“, 6.2.2014) über die Grenzen Deutschlands hinaus bekannt.
Jeder ungelöste Fall ist eine psychische Belastung
Das Marburger Zentrum für unerkannte und seltene Erkrankungen (ZusE) wurde 2013 gegründet. Nachdem Schäfers Seminar auf ein so großes Echo gestoßen war, wurden mehr und mehr komplexe Patientenfälle aus dem gesamten Bundesgebiet nach Marburg geschickt – seit Gründung des Zentrums mehr als 7.000 umfangreiche, teils mehrere Kilogramm schwere Patientenakten.
Und: Hinter jeder Akte steckt ein Schicksal mit der (letzten) Hoffnung auf Hilfe. Aber trotz langer Arbeitstage schaffen die Marburger allenfalls 1.000 Anfragen pro Jahr. Primär behandelt werden Klinikzuweisungen aus dem eigenen Haus, dann Patientenfälle, mit denen sich weitere Kliniken oder niedergelassene Ärzte an das Zentrum wenden. Patienten, die eigeninitiativ werden, können nur in Ausnahmefällen berücksichtigt und aufgenommen werden. Für Schäfer und seine Mitarbeiter bedeutet der Aktenberg eine enorme, auch psychische Belastung.
Schäfer arbeitet mit einem interdisziplinären Team zusammen: Dazu gehören Spezialisten aus Pneumologie, Gastroenterologie, Psychosomatik, Onkologie, Neurologie, Nephrologie, Innere Medizin, Allgemeinmedizin und Radiologie. Bei Bedarf werden Experten aus anderen Disziplinen in die Beratungen einbezogen – etwa bei Fällen aus der Zahnmedizin. Hinzu kommen die Labormedizin und Speziallabore im eigenen Haus. Brainstorming und Querdenken beherrschen die Sitzung. Schäfer: „Wichtigstes Tool sind engagierte Mitarbeiter. Einmal pro Woche gibt es eine Teamsitzung, in der komplizierte Fälle gemeinsam besprochen werden.“
Die Patienten, die zu ihm kommen, leiden oft an diffusen Symptomen: Lähmungen, unerklärliches Fieber, chronische Müdigkeit, Gelenkschmerzen – bisweilen aber auch an Zahnproblemen. Der Leidensdruck der Betroffenen ist enorm. „Die Grenzziehung zur Psychosomatik ist schwierig“, sagt Schäfer. „Viele Erkrankungen gehen über Jahre und Jahrzehnte, da wird jeder einmal depressiv. Viel hängt davon ab, ob man eine gute Anamnese gemacht hat. Es wird oft auf die Psyche geschoben, obwohl man nicht genug nachgeschaut hat.“
Wie man einer genauen Diagnose auf die Spur kommt, erläutert der Professor so: „Wir machen das, was jeder Mediziner macht: Wir suchen Spuren, die zu Hinweisen führen. Es gleicht einer Detektivarbeit, Symptome zu deuten. Der Durchbruch ist oft ein Hinweis im Patientengespräch.“
Der wertvolle erste Blick des Zahnarztes
Etwa zehn bis 15 Prozent aller seltenen Erkrankungen hängen mit Zahn- oder Kiefererkrankungen zusammen, berichtet Schäfer. Hierbei spielt für ihn der enge Kontakt in die Marburger Universitäts-Zahnklinik eine große Rolle: „Der Zahn- und Mundbereich ist sehr gut einsehbar. Veränderungen dort bekommt der Zahnarzt prima vista mit, er muss diese nur zuordnen. Bei unklarem Fieber sollte der Zahnarzt stets prüfen, ob ursächlich eine Infektion der Zahnwurzel vorliegt oder nicht.“ Zu den seltenen Erkrankungen mit oralen Manifestationen, die vor allem Zahnärzte erkennen können, gehört laut Schäfer der sehr späte Milchzahnverlust bei Hyper-IgE-Syndromen. Auffällig sei hier, dass die Milchzähne dieser Kinder fast immer vom Zahnarzt gezogen wurden. Ebenso gehöre dazu die Hypophosphatasie. Hierbei verlieren Kinder trotz angelegter Wurzeln schon sehr früh ihre Milchzähne. Schäfer empfiehlt: „Zum Zahnarzt müssen die Kinder irgendwann immer, und wann immer dem Zahnarzt etwas Ungewöhnliches auffällt, dann sollte er die weitere Abklärung durch Experten veranlassen.“
Was treibt ihn an, weiterzuforschen, um den Menschen zu helfen, denen bisher medizinisch nicht geholfen werden konnte? Schäfer findet es reizvoll, seinen Forscherdrang zu verbinden mit seinem Mitgefühl und dem Bestreben, Menschen zu helfen. „Jeder tut das, was er am besten kann“, sagt Schäfer, der sich schon seit seiner Studentenzeit wissenschaftlich interessiert und sich mit seltenen Erkrankungen auseinandergesetzt hat. Das ZusE biete ihm dazu beste Möglichkeiten: die intensive Nutzung der Ressourcen einer patientenorientierten Klinik und die Möglichkeit, Valenzen aus der Forschung in die klinische Arbeit einzubringen. „Immer nur Mausversuche – das ist nichts für mich.“
Und was war der Fall, der ihn am meisten betroffen gemacht hat? Schäfer: „Das war der Patient mit der Kobaltvergiftung. Das geht unter die Haut, weil das durch einen medizinischen Eingriff erfolgt ist. Mediziner tragen für so etwas die Verantwortung. Das war Folge unseres Handelns und hätte nie passieren dürfen.“
Seine spektakulärsten Fälle
Kobalt, Badewanne, Spirale, Wurm
Eine Kobaltvergiftung nach Austausch eines schadhaften Hüftgelenks: Der Patient hatte ein Metallgelenk erhalten, weil seine Keramik-Prothese bei einem Sturz gebrochen war. Einige der Keramiksplitter schabten am neuen Gelenk Späne ab und setzten das Kobalt frei.
Ein Patient litt unter einer Bleivergiftung: Die Ursache war zunächst unbekannt. Nach gründlicher Anamnese kam heraus, dass der Patient gern täglich in einer antiken Wanne Bäder nahm. Die Wanne war mit bleihaltiger Farbe (sogenanntes „Bleiweiß“) gestrichen worden.
Eine Patientin war jahrelang aufgrund von Depressionen behandelt worden: Durch jahrelange unerträgliche Kopfschmerzen wurde sie schließlich arbeitsunfähig – bis herauskam, dass ihre Hormonspirale die Ursache war.
Ein Patient war von einem afrikanischen Wurm befallen, obwohl er noch nie in Afrika war: Das Gen des Wurms wurde in einer Stuhlprobe entdeckt. Die Ursache: Er züchtete exotische Fische und hatte sich den Wurm durch importierte Fische beziehungsweise Schnecken ins heimische Aquarium geholt.













