Das McCune-Albright-Syndrom
Der Fall
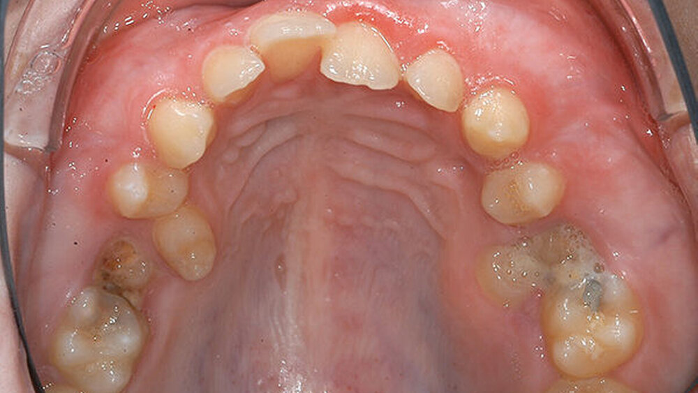
Eine 17-jährige Patientin wurde im Januar 2016 in der Spezialsprechstunde „Seltene Erkrankungen mit oraler Beteiligung“ in der Poliklinik der Klinik für Mund-, Kiefer- und Gesichtschirurgie am Universitätsklinikum Münster mit den noch persistierenden Milchzähnen 55 und 65 sowie einer kariösen Läsion mesial an 16 vorstellig. Die Prämolaren 15 und 25 waren nach palatinal durchgebrochen, im Bereich des persistierenden Milchzahns 65 trat Pus aus, der gesamte Oberkiefer erschien voluminös aufgetrieben (Abbildung 1).
Als Grunderkrankung war bei der Frau das McCune-Albright-Syndrom mit polyostotischer fibröser Dysplasie bekannt, die charakteristischen Café-au-lait-Flecken stellten sich deutlich im Bereich des Kinns dar (Abbildung 2). Des Weiteren trug sie wegen der ausgeprägten lumbalen Hyperlordose und der thorakolumbalen, rechtskonvexen Skoliose ein Korsett.
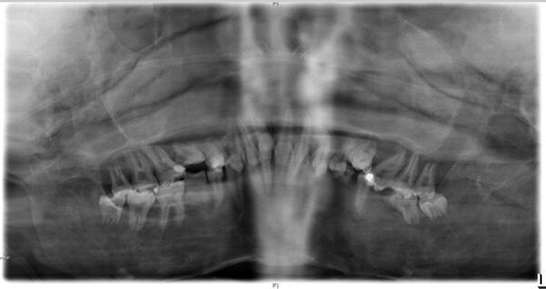
Eine Langzeitsauerstofftherapie über eine Nasenbrille war erforderlich, aufgrund der fibrösen Dysplasie wurde die Patientin seit Jahren mit Bisphosphonaten (Aredia-Infusionstherapie) behandelt. In der Panoramaschichtaufnahme zeigte sich das charakteristische Erscheinungsbild einer fibrösen Dysplasie (Abbildung 3).
Aufgrund der Pus-Bildung in regio 65, des palatinalen Durchbruchs der Zähne 15 und 25 sowie der kariösen Schädigung des Zahns 16 und der zu erwartenden weiteren Schädigung an 26 erfolgte die Entscheidung, die Zähne 55 und 65 zu entfernen. Die subgingivale, kariöse Läsion an Zahn 16 konnte nicht mehr restauriert werden, so dass auch dieser Zahn als nicht erhaltungswürdig eingestuft wurde und ebenfalls entfernt werden sollte.
Da die Patientin seit Jahren intravenös Bisphosphonate erhielt, sollte der Eingriff unter den hierfür bekannten Sicherheitskautelen erfolgen [Grötz KA et al., 2012]. Zunächst bestand die Überlegung, den Eingriff unter Intubationsnarkose (ITN) durchzuführen, allerdings wurde seitens der Kollegen der Anästhesie das Risiko möglicher anästhesiologischer Komplikationen als so hoch eingestuft, dass von einem Eingriff in ITN dringend abgeraten wurde.
Im Gespräch mit der Patientin und ihrer Mutter erfolgte die Entscheidung, den Eingriff unter Lokalanästhesie durchzuführen. Zur Vermeidung einer medikamenten-assoziierten Kiefernekrose wurde eine perioperative prolongierte Antibiose mit einem Kombinationspräparat aus einem Aminopenicillin und einem ß-Lactamase Inhibitor verordnet. Als Lokalanästhetikum wurde Articain mit einem Vasokontriktorzusatz von 1:100.000 als Infiltrationsanästhesie verwendet.
Nach Extraktion der Zähne 55 und 65 wurde aufgrund der nun fehlenden Compliance der Patientin und der trotz mehrfacher Infiltrationsanästhesie nicht vollständig zu erzielenden Schmerzfreiheit entschieden, den Zahn 16 in einer zweiten Sitzung zu entfernen. Nach Präparation eines Mukoperiostlappens mit anschließender Periostschlitzung erfolgte der plastische Wundverschluss der Extraktionsalveolen 55 und 65. Postoperativ traten keine Komplikationen auf.
Die Entfernung des Zahns 16 erfolgte drei Monate später unter denselben Bedingungen. Etwa einen Monat nach Entfernung der Nähte zeigte sich eine unauffällige Wundheilung (Abbildung 4).
Diskussion
Das McCune-Albright-Syndrom ist durch die klinische Trias fibröse Knochendysplasie, Café-au-lait-Flecken der Haut und Pubertas praecox charakterisiert. Ursächlich für die Erkrankung sind somatische Mutationen im GNAS-Locus (20q13.2). Schätzungen der Prävalenz liegen zwischen 1:100.000 und 1:1.000.000 [http://www.orpha.net]. Demnach zählt das McCune-Albright-Syndrom nach der Definition der Europäischen Union zu den „Seltenen Erkrankungen“ [Regulation (EC) No 141/2000].
Die fibröse Dysplasie kann dabei monoostotisch oder polyostotisch auftreten, Skelettschmerzen und pathologische Frakturen zählen zu den möglichen Komplikationen [Dumitrescu, Collins, 2008].
In den meisten Fällen besteht eine, teils auch progressive, Skoliose. Die charakteristischen Café-au-lait-Flecken der Haut sind meist bereits beim Neugeborenen sichtbar und gemeinsam mit der frühzeitig einsetzenden Pubertät (Mädchen: früh einsetzende Regelblutung und frühzeitige Entwicklung der Brustdrüse; Jungen: Penis- und Hodenvergrößerung mit frühen sexuellen Aktivitäten) sowie der fibrösen Dysplasie für die Diagnose richtungsweisend [http://www.orpha.net].
Die fibröse Dysplasie tritt als klassisches Symptom beim McCune-Albright-Syndrom auf. Im Bereich des Schädelknochens ist der Alveolarfortsatz am häufigsten betroffen und führt zu einer schmerzlosen Auftreibung, die sich auf das Os zygomaticum ausbreiten und in der Folge zu Deformierungen des Gesichtsschädels führen kann [Wójcik S et al., 2016], wie dies auch im hier beschriebenen Fall vorlag.
Schmerzlose Auftreibungen des Alveolarfortsatzes können somit einen Hinweis auf eine fibröse Dysplasie liefern. Werden zudem Café-au-lait Flecken beobachtet und von einer Pubertas praecox berichtet, ist ein Mc Cune-Albright Syndrom wahrscheinlich, eine humangenetische Beratung sollte empfohlen werden [Dumitrescu CE, Collins MT 2008].
Die selten beschriebenen maligne Transformationen der fibrösen Dysplasie bei McCune-Albright treten meist am knöchernen Schädel auf und sind typischerweise durch ein rasantes Wachstum einer bestehenden ossären Läsion, begleitet von Schmerzen und einem Anstieg der alkalischen Phosphatase, gekennzeichnet. Folglich müssen Patienten mit fibröser Dysplasie, wenn diese im Zusammenhang mit McCune-Albright auftritt, regelmäßig klinisch beobachtet und labormedizinisch überwacht werden [Ozdemir Kutbay N et al., 2015].
Therapeutisch werden bei fibröser Dysplasie regelmäßig Bisphosphonate eingesetzt [Dumitrescu CE, Collins MT, 2008], die als Nebenwirkung zu medikamenten-assoziierten Osteonekrosen des Kiefers führen können.
Ging man zunächst von einem lediglich geringen Risiko zur Entwicklung einer medikamenten-assoziierten Kiefernekrose bei Patienten mit fibröser Dysplasie und medikamentöser Therapie mit Bisphosphonaten aus, finden sich in der aktuellen Literatur Berichte, wonach 5,4 Prozent der beobachteten Patienten eine Osteonekrose im Zusammenhang mit der Bisphosphonat-Therapie entwickelt haben [Burke A et al, 2016].
In der Folge sollten für zahnärztlich-chirurgische Eingriffe bei Patienten mit McCune-Albright-Syndrom und bestehender Bisphosphonat-Therapie die gleichen Sicherheitskautelen angewendet werden wie sie für Patienten unter Antiresorptivatherapie gelten.
Fazit für die Praxis
Die ersten Anzeichen eines McCune-Albright-Syndroms können sich durch schmerzlose Auftreibungen des Alveolarfortsatzes im Fachgebiet des Zahnarztes manifestieren.
Werden zusätzlich die oftmals wenig beachteten Café-au-lait-Flecken gesichtet und eine pubertas praecox beschrieben, sollte zwingend ein McCune-Albright-Syndrom in Betracht gezogen, und weitere medizinische Untersuchungen sowie eine humangenetische Abklärung erfolgen.
Für zahnärztlich-chirurgische Maßnahmen gelten bei Patienten mit McCune-Albright-Syndrom und adjuvanter Bisphosphonat-Therapie die gleichen Sicherheitskautelen, wie sie für Patienten unter Antiresorptivatherapie bekannt sind.
Dr. med. dent. Marcel Hanisch,
Univ.-Prof. Dr. med. Dr. med. dent. Johannes KleinheinzKlinik für Mund-, Kiefer- und Gesichtschirurgie
Universitätsklinikum MünsterAlbert-Schweitzer-Campus 1, Gebäude W 30,
Waldeyerstraße 30, 48149 Münster
Marcel.hanisch@ukmuenster.de
Literaturverzeichnis
Regulation (EC) No 141/2000 of the European Parliament and of the Council of 16 December 1999 on orphan medical products. ec.europa.eu/health/files/eudralex/vol-1/reg_2000_141_cons-2009-07/reg_2000_141_cons-2009-07_en.pdf. Zugegriffen: 09.Februar.2017.
Dumitrescu CE, Collins MT. McCune-Albright syndrome. Orphanet J Rare Dis. 2008 May 19;3:12.
Grötz KA, Piesold JU, Al-Nawas B. Bisphosphonat-assoziierte Kiefernekrose (BP-ONJ) und andere Medikamenten-assoziierte Kiefernekrosen. AWMF online. 2012.
Wójcik S, Koszowski R, Drozdowska B, Śmieszek-Wilczewska J, Raczkowska-Siostrzonek A. Maxillary fibrous dysplasia associated with McCune-Albright syndrome. A case study. Open Med (Wars). 2016 Nov 16;11(1):465-470.
Ozdemir Kutbay N, Sarer Yurekli B, Kartal Baykan E, Baydur Sahin S, Saygili F. Characteristics and Treatment Results of 5 Patients with Fibrous Dysplasia and Review of the Literature. Case Rep Endocrinol. 2015;2015:670809
Fibrous Dysplasia and Medication-Related Osteonecrosis of the Jaw. Metwally T, Burke A, Tsai JY, Collins MT, Boyce AM. Fibrous Dysplasia and Medication-Related Osteonecrosis of the Jaw. J Oral Maxillofac Surg. 2016 Oct;74(10):1983-99









