Von der OP-Planung bis zur fertigen Brücke
Digital, alles digital, diese Worte sind in aller Munde. Ubiquitär hat das digitale Zeitalter Einzug gehalten. Smartphones, Tablets, Computer und vernetzte Devices sind aus unserem Alltag nicht mehr wegzudenken. Alle diese schönen Geräte haben sukzessiv in der Medizin ihren Platz gefunden.
Die digitale Akquisition von Daten ist schon lange in der Medizin etabliert. Das erste Patent hierzu wurde 1973 eingereicht [Luckey, 1973] und mit der Einführung der Computertomografie (CT) durch Hounsfield die Diagnostik revolutioniert [Hounsfield, 1973; Hounsfield, 1976].
Kommerzielle digitale Röntgendiagnostik in der Zahnmedizin wurde 1986 mit der Radiovisiografie erstmals beschrieben und ist heute kaum noch wegzudenken [Benz, Sitzmann 2000]. Keramische Inlays und Kronen sind bereits seit langem per CAD/CAM möglich [Mormann, 1988]. Mit Intraoralscannern steht der konventionellen Abformung ein ernst zu nehmender Konkurrent gegenüber, der sie in Zukunft sogar ersetzen könnte [Mormann, 2006; Zimmermann et al., 2015].
Beschränkten sich diese Verfahren hauptsächlich auf die Planung und Konstruktion prothetischer Versorgungen, ist es seit geraumer Zeit auch möglich, chirurgische Procedere präoperativ zu virtualisieren. Hier sei die geführte Implantologie zu nennen. Das Backward-Planning, bei dem das Ziel der optimalen Implantatposition für den prothetischen Ersatz unter Berücksichtigung der zu schützenden anatomischen Strukturen die chirurgische Therapie definiert, gilt seit Jahren in der modernen Implantologie als Voraussetzung für suffiziente implantatprothetische Behandlungen.
Primäre Ziele dieses Vorgehens sind die optimale ästhetische und funktionelle sowie die implantologische Versorgung komplexer Fälle [Becker, Kaiser, 2000; Almog et al., 2001; Mischkowski et al., 2006; Gellrich et al., 2007; Bernhard, 2014].
Im Zuge der Forschung und Entwicklung wurde es möglich, auch große Knochentransplantate virtuell präoperativ zu planen, wobei einer der anspruchsvollsten chirurgischen Eingriffe die langstreckige Rekonstruktion der Mandibula ist.
Hier findet weltweit am häufigsten das mikrochirurgisch reanastomisierte Fibulatransplantat für die Rekonstruktion Anwendung [Peled et al., 2005]. Durch die virtuelle präoperative Planung, Schneideschablonen - sogenannte cutting guides - und einem Patient Specific Implant (PSI) kann bei strikter Einhaltung der Protokolle ein exakteres Operationsergebnis erzielt werden [Hanken et al., 2015; Wilde et al., 2015].
Anspruchsvoll ist die Rekonstruktion des totalen Kiefergelenks mit Kondylus und Fossa. Der alloplastische Kiefergelenkersatz ist seit mehreren Jahrzenten im Einsatz, fiel aber in den 80er Jahren aufgrund mannigfaltiger Probleme - hauptsächlich durch Kontraindikation und massive Fremdkörperreaktionen - in Misskredit [Lagrotteria et al., 1986; Timmis et al., 1986; Spagnoli, Kent, 1992; Neff, 2015].
Als Ergebnis dieser Probleme sind das TMJ Concepts System und das Biomet Lorenz System entwickelt worden. Die Systeme bestehen aus einer Fossa-Komponente aus hochmolekularem Polyethylen und dem Platten-Kondylus-Anteil aus einer Stahllegierung. Um Allergien oder dem „sagging phenomen“ entgegenzuwirken, kann heute auch eine Titanlegierung verwendet werden. Individuelle Systeme werden basierend auf einer CT des Patienten generiert. Die Follow-up zeigen ein gutes Outcome und die Probleme wurden anscheinend gelöst [Wolford et al., 2003; Mercuri et al., 2007a; Mercuri et al, 2007b; Westermark, 2010; Hatcher, 2013].
Die Frage ist: Kann die Therapiekaskade auch vollständig virtuell geplant und durchgeführt werden?
In unzähligen Publikationen kann detailliert nachverfolgt werden, wie virtuell einzelne Knochenaugmentationen geplant, Kiefergelenke rekonstruiert, geführt implantiert und prothetische Restaurationen angefertigt werden. Die Frage ist: Kann die Therapiekaskade auch vollständig virtuell geplant und durchgeführt werden?
Der Fall
Im hier dargestellten Fall werden die Möglichkeiten der virtuellen Operationsplanung von einem mikrochirurgisch reanastomisierten Knochentransplantat in Kombination mit einer individuellen alloplastischen Kiefergelenktotalendoprothese (TEP) und der nachfolgenden guided-surgery-Implantation zur Vorbereitung eines implantatgetragenen Zahnersatzes gezeigt. Das Langzeitbrückenprovisorium wurde ebenfalls in einer virtuellen Umgebung konstruiert und per CAD/CAM hergestellt.
Bei dem jetzt 62-jährigen Patienten wurde in 2005 eine Kontinuitätsresektion der Mandibula durchgeführt. Der Defekt konnte damals mit einer Rekonstruktionsplatte überbrückt werden. Dieser Zustand war für den Patienten anscheinend so komfortabel, dass er auf die von uns angeratene knöcherne Rekonstruktion verzichtete.
In der Kontrolle mittels Orthopantomogramm (OPG) zeigte sich dann die Fraktur der Rekonstruktionsplatte (Abbildung 1). Das proximale Fragment mit Kondylus war in seiner Dimension zu gering, um eine erneute belastungsstabile Osteosynthese durchführen zu können. Als Option stand hier die TEP zur Verfügung. Für die ossäre Mandibularekonstruktion entschieden wir uns, gleichzeitig ein zweiteiliges Fibulatransplantat als composite graft zu transplantieren.
Bei dem Patienten wurde eine angiologische Bildgebung zur Darstellung der cervikalen Receivergefäße und des Unterschenkelgefäßsystems durchgeführt. In dieser und der klinischen Untersuchung konnten keine Kontraindikationen, zum Beispiel Gefäßanomalien oder Durchblutungsstörungen, gefunden werden. Nach Aufklärung des Patienten über das geplante Therapiekonzept war es nun auch sein Wunsch, diesen rekonstruktiven Weg zu gehen.
Abbildung 2 zeigt in der CT die Ausgangssituation mit frakturierter Rekonstruktionsplatte und massiver Okklusionsstörung durch die Innenrotation der Mandibula.
Die CT-Daten wurde in die Software der Firma 3D Systems (3D Systems, Littleton, USA) eingelesen und aufbereitet. Dadurch ist es möglich, relevante Areale zu segmentieren und bei der Planung virtuell frei zu positionieren. Dies kann in Abbildung 3 gut nachverfolgt werden. Die rotierte Mandibula wurde in ihre ursprüngliche Position und somit die Restbezahnung in Okklusion mit dem Oberkiefer gebracht.
Die neue Okklusion wird postoperativ mittels intermaxillärem Splint gesichert (Abbildung 4). In den Folgeschritten werden die Resektionsgrenzen festgelegt und die notwendigen Fibulasegmente angepasst (Abbildung 5).
Die alloplastische Fossakomponente wird in der ehemaligen Fossa articularis platziert und am Arcus zygomaticus mit Schrauben fixiert. Bei dem BIOMET System wird der Rotationspunkt auf der Translationsbahn des natürlichen Kondylus nach kaudal gelegt, um die natürlichen translatorischen Bewegungen zu imitieren und die interinzisale Öffnung zu vergrößern [van Loon et al., 1999; van Loon et al., 2000]. In dem Plattendesign ist der Kondylus integriert, so dass hier keine Schwachstelle durch Schraubverbindungen entsteht (Abbildung 6).
Die zur Konstruktion der TEP konstruierten Teile, wie das PSI, die Fossa und Schablonen wurden durch Firma Biomet Microfix Inc. (Jacksonville, Florida, USA; [Vertrieb: Zimmer Biomet Deutschland GmbH]) hergestellt. Die Platte besteht aus einer Titan-Aluminium-Vanadium-Legierung, der Fossaanteil aus ultrahochmolekularem Polyethylen (UHMWE-PE) (Abbildung 7).
In Abbildung 8 sind die notwendigen Resektions- und Bohrschablonen dargestellt, die intraoperativ die Schnittgrenzen und Bohrlöcher festlegen.
Abbildung 9 zeigt den Gelenk-OP-Situs. Es wurde ein präauriculärer Zugang für die Fossakomponente und ein erweiterter submandibulärer Zugang für das Fibula-composite-graft inklusive PSI notwendig. Die Gefäße konnten mikrochirurgisch reanastomisiert werden. Die Ischämiezeit des Fibula composite graft lag unter einer Stunde. Als primärer Monitor der Anastomosenkompetenz wurde eine Hautinsel mit gehoben.
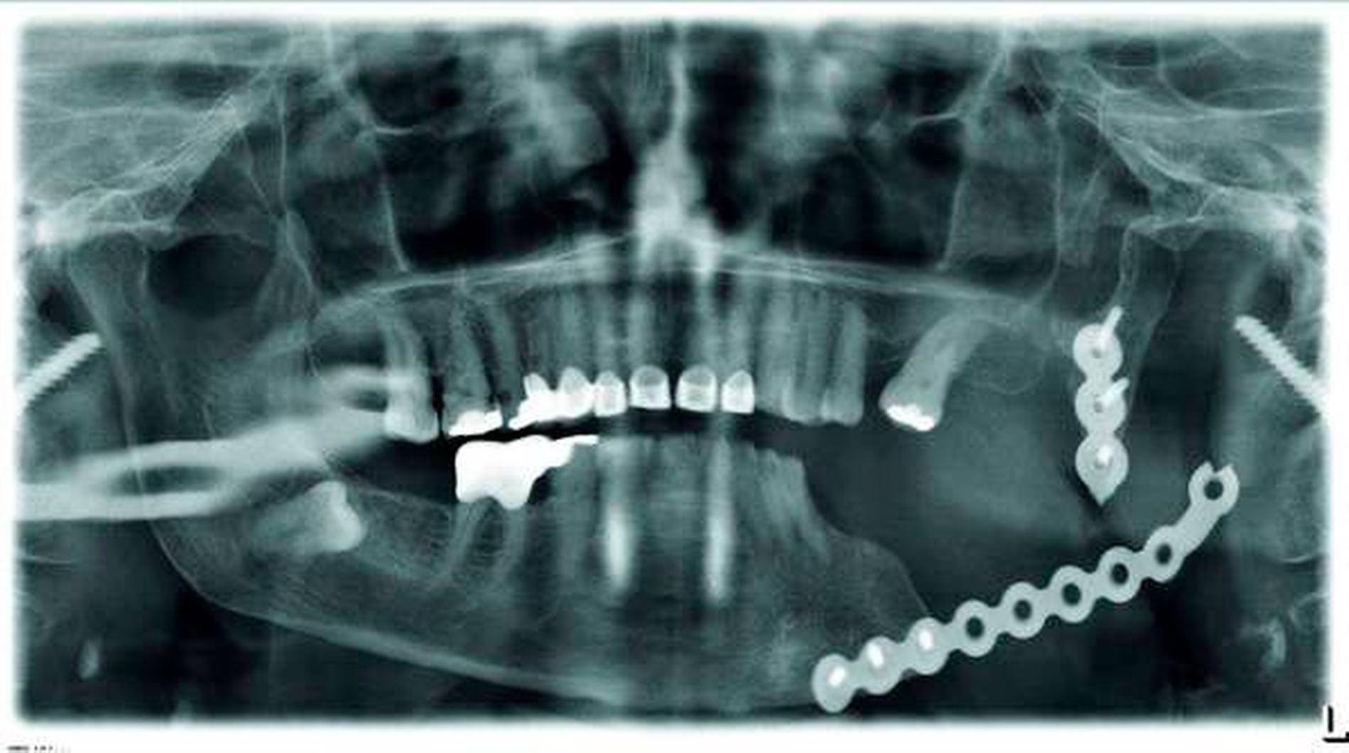
Das postoperative OPG (Abbildung 10) zeigt die Übereinstimmung von Planung und Realität. Die Fossakomponente ist in der röntgenologischen Bildgebung nicht sichtbar, da das verwendete Material aufgrund der Biokompatibilität und Abriebsfestigkeit nicht röntgenopak ist.
Im Intervall begann die Planung der notwendigen dentalen Implantation. Wir haben uns für die Verwendung von Implantaten der Firma Straumann (Institut Straumann AG, Basel, Schweiz) entschieden. Dem Behandler wird ein großes Portfolio an unterschiedlichen Implantat-Designs und entsprechenden prothetischen Aufbauten zur Verfügung gestellt, das bei komplexen Fällen notwendig werden kann. Im ersten Schritt stellte das zahntechnische Labor Schuldes (Dental Labor Schuldes GmbH, Eisenach) eine Scanschablone her, mit der die CT durchgeführt wurde (Abbildung 11).
Nachfolgend konnte im Backward-Planning mit der Planungssoftware coDiagnostiX (Dental Wings GmbH, Chemnitz) die möglichst optimale Position der Implantate in Bezug auf die transplantierte Fibula und Gegenkiefer festgelegt werden (Abbildung 12). Es erfolgte die Umwandlung in eine full guided-Bohrschablone für das Straumann Guided Surgery System.
Entsprechend der Planung wurden fünf Straumann-Implantate im full guided-Verfahren in die verbliebene Mandibula und die Neomandibula inseriert. Das regio 41 eingebrachte Implantat ist durch Blut überdeckt (Abbildung 13).
Abbildung 14 zeigt das postoperative OPG. Durch die optimale Planung konnte die Kollision von Implantaten, PSI und Fixationsschrauben vermieden werden, was somit die Implantation erst möglich machte.
Als äußerst schwierig erwies sich das gesamte Weichgewebsmanagement. Durch den jahrelang vorhandenen Freiraum für Zunge und Wange musste, trotz größter Bemühungen dies zu vermeiden, eine partielle Zungenverkleinerung erfolgen. Dieser Eingriff führte zu einem adäquaten Ergebnis. Nach einer Einheilphase von fünf Monaten legten wir die Implantate frei.
Zur weiteren Optimierung der Weichgewebe wurde die Option des Langzeitprovisoriums gewählt. Da hier eine hohe Qualität erforderlich ist, wurde die Herstellung über CAD/CAM-Technologie im zahntechnischen Labor durchgeführt. Ausgangsdatensatz war ein Scan vom Ober- und Unterkiefer. Mit dem Intraoralscanner TRIOS 3 (3Shape, Kopenhagen) erfolgten die entsprechenden Scans. Zur Verifikation der Implantatposition finden Scankörper Anwendung (Abbildungen 15, 16 und 17).
Der vom Scanner generierte Datensatz wurde vom ZTM S. Schuldes, M.Sc. in der Software DentalDesigner (3Shape, Kopenhagen) aufgearbeitet und die virtuelle Rekonstruktion der vollanatomischen Brückenversorgung begann. Die Okklusion kann dabei in Bezug zum Gegenkiefer durch multiple Ansichten optimal gestaltet werden (Abbildung 18).
Für das Material des Langzeitprovisorium entschieden wir uns für ein Polymethylmethacrylat (Quattro Disc Eco PMMA, Goldquadrat GmbH, Hannover). PMMA sind industriell hergestellte Materialien und weisen daher bessere physikalische Eigenschaften als labortechnisch verarbeitete Kunststoffe auf.
Durch die gute Polierbarkeit und Oberflächendichte ist eine ordentliche Reinigung in der Mundhöhle möglich. Für eine ausreichend lange intraorale Verweildauer ist das verwendete PMMA ebenso zugelassen.
Durch die Limitierung der verfügbaren Rohlingfarben wurde diese in Bezug auf den Gegenkiefer in A3 gewählt. Im CAD/CAM Verfahren wurde die Planung als verschraubte Brücke in einer CNC-Fräsmaschine mit entsprechenden Parametern für Drehzahl, Zustellung und Vorschub aus dem PMMA subtraktiv herausgearbeitet. Nach dem Fräsvorgang muss die Brücke manuell aus dem Rohling herausgetrennt und konditioniert werden.
Im nächsten Arbeitsschritt wurde die Brücke intraoral mit korrespondierenden Abutments der jeweiligen Implantate verbunden. Den Abschluss bildete die zahntechnische optische Optimierung (Abbildung 19).
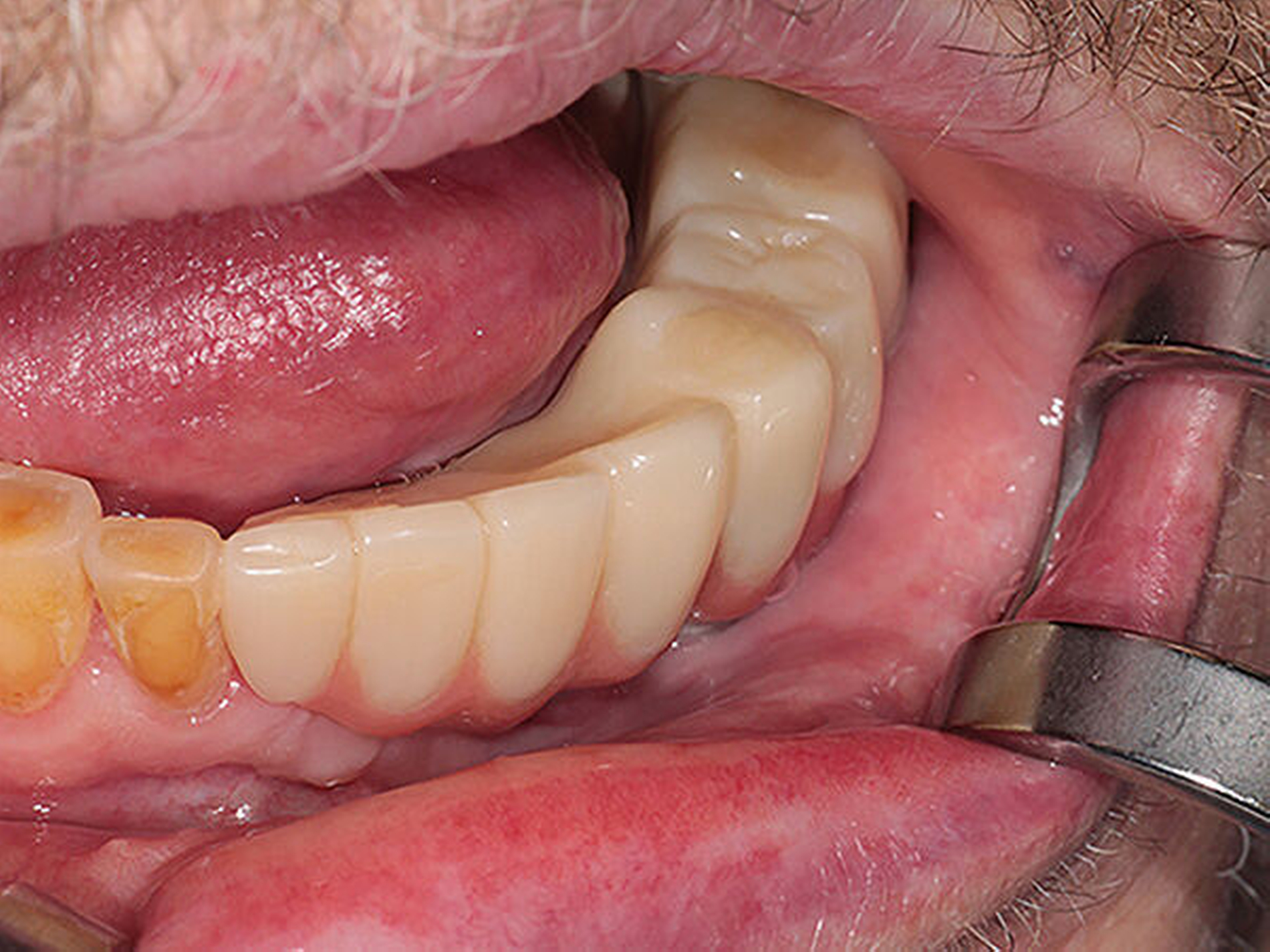
Diese gesamte Konstruktion konnte dem Patienten mit einer hohen Passgenauigkeit eingegliedert werden. Die Abbildung 20 zeigt die annehmbare Farbwahl für ein Langzeitprovisorium in Bezug zur Bezahnung im Oberkiefer.
Abbildungen 20 und 21 zeigen die gesamte Brückenkonstruktion in Bezug zu den Weichgeweben. Der Patient ist mit komplett aufgebauten Stützzonen und einer vollständigen zirkulären Zahnreihe rehabilitiert.
Schlussendlich zeigt Abbildung 23 die extraorale Situation. Die präauriculäre Narbe ist nicht zu sehen. Submandibulär zeigt sich die transplantierte Hautinsel des Fibula composite graft.
Fazit
Nach Bernhard Rudolf Konrad von Langenbeck (1810-1887) ist „die Indikation zur Operation die schwierigste chirurgische Kunst“. Diese Aussage hat auch heute noch volle Gültigkeit. Daher ist die sorgfältige patientenindividuelle Therapieplanung essentiell.
Durch die prächirurgische virtuelle Planung von großen Knochentransplantaten auf Grundlage der bildgebenden Diagnostik ermöglicht sie dem erfahrenen Operationsteam eine genaue dreidimensionale Auswertung der vorhandenen oder entstehenden Defektgröße, Planung des Transplantats und Adaptation der Platten an die Patientensituation und nicht umgekehrt.
Die im CAD/CAM-Verfahren hergestellten Operationsschablonen und PSI gewährleisten eine bessere Passgenauigkeit und somit ein besseres funktionelles und ästhetisches Ergebnis. Die Ischämiezeit von mikrochirurgisch reanastomisierten Transplantaten und meist auch die Operationszeit können bei ansonsten optimalem Verlauf durch dieses Verfahren reduziert werden [Modabber et al., 2012; Ayoub et al., 2014].
Backward-Planning und geführte Implantation bietet die Möglichkeit, relevante Strukturen unter Berücksichtigung der optimalen Implantatposition bezüglich funktioneller und ästhetischer Belange zu schützen. Die Operation wird in einer gewissen Weise „vorhersehbar“ und das Operationstrauma kann gemindert werden [Marchack, Chew, 2015; D'Haese et al., 2017].
Heutige CAD/CAM Technologien ermöglichen die Herstellung von zahntechnischen Konstruktionen aus verschiedenen Werkstoffen. Dies erfolgt höchst effizient und in höchster Qualität, dabei stehen dem Zahntechniker additive als auch subtraktive Verfahren zur Verfügung [Strietzel, 2015].
Intraoralscanner bieten multiple Vorteile, sind als Grundvoraussetzung in Sachen Richtigkeit und Präzision der konventionellen Abformung mit Abformlöffel und Abformmasse gleichwertig, bedürfen aber durch die in den gesamten digitalen Prozess involvierten Anwender eine nicht zu unterschätzende Lernphase [Zimmermann, 2016].
Der hier gezeigte „full digital Workflow“ von einem mikrochirurgisch reanastomisierten Fibulatransplantat, totalem individuellen Kiefergelenkersatz, dentaler Implantation und festsitzendem prothetischen Zahnersatz zeigt den aktuellen technischen Stand für äußerst fortgeschrittene rekonstruktive Konzepte. Er wird in diesem Ausmaß nicht bei jedem Patienten indiziert sein, ist aber möglich.
Abschließend muss darauf hingewiesen werden, komplexe operative Therapien in einer virtuellen Umgebung präoperativ zu planen ermöglichen optimale Ergebnisse, erfordern aber ein Höchstmaß an Erfahrung und Geschick des Operateurs, oder wie heute so schön gesagt wird „these procedures demands a high level of skill“.
Dr. Hendrik Bechmann
Dr. Michael SauerKlinik für Mund-, Kiefer- und Gesichtschirurgie - Plastische Operationen -
SRH Zentralklinikum Suhl GmbHAlbert-Schweitzer-Straße 2
98527 Suhl
hendrik.bechmann@srh.de
michael.sauer@srh.de
Literaturverzeichnis
Almog DM, Torrado E, Meitner SW. 2001. Fabrication of imaging and surgical guides for dental implants. J Prosthet Dent, 85 (5):504-508.
Ayoub N, Ghassemi A, Rana M, Gerressen M, Riediger D, Holzle F, Modabber A. 2014. Evaluation of computer-assisted mandibular reconstruction with vascularized iliac crest bone graft compared to conventional surgery: a randomized prospective clinical trial. Trials, 15 (1):114.
Becker CM, Kaiser DA. 2000. Surgical guide for dental implant placement. J Prosthet Dent, 83 (2):248-251.
Benz C, Sitzmann F. 2000. DGZMK Digitale Radiographie.
Bernhard F. 2014. Vor- und Nachteile der navigierten Implantation aus Sicht des Zahntechnikers. Dent Implantol, 18:98-100.
D'Haese J, Ackhurst J, Wismeijer D, De Bruyn H, Tahmaseb A. 2017. Current state of the art of computer-guided implant surgery. Periodontol 2000, 73 (1):121-133.
Gellrich NC, Held U, Schoen R, Pailing T, Schramm A, Bormann KH. 2007. Alveolar zygomatic buttress: A new donor site for limited preimplant augmentation procedures. J Oral Maxillofac Surg, 65 (2):275-280.
Hanken H, Schablowsky C, Smeets R, Heiland M, Sehner S, Riecke B, Nourwali I, Vorwig O, Grobe A, Al-Dam A. 2015. Virtual planning of complex head and neck reconstruction results in satisfactory match between real outcomes and virtual models. Clin Oral Investig, 19 (3):647-656.
Hatcher B. 2013. A Prospective Observational Study on the Survivorship of the Biomet Total TMJ Replacement System. FDA Second Interim Report,
Hounsfield GN. 1973. Computerized transverse axial scanning (tomography). 1. Description of system. Br J Radiol, 46 (552):1016-1022.
Hounsfield GN. 1976. Historical notes on computerized axial tomography. J Can Assoc Radiol, 27 (3):135-142.
Lagrotteria L, Scapino R, Granston AS, Felgenhauer D. 1986. Patient with lymphadenopathy following temporomandibular joint arthroplasty with Proplast. Cranio, 4 (2):172-178.
Luckey GW. 1973. Apparatus and method for producing images corresponding to patterns of high energy radiation.
Marchack CB, Chew LK. 2015. The 10-year evolution of guided surgery. J Calif Dent Assoc, 43 (3):131-134.
Mercuri L, Edibam N, Giobbie-Hurder A. 2007a. Fourteen-year follow-up of a patient-fitted total temporomandibular joint reconstruction system. J Oral Maxillofac Surg, 65 (6):1140-1148.
Mercuri L, Wolford L, Sanders B, White R, Giobbie-Hurder A. 2007b. A long term follow-up of the CAD⁄CAM patient fitted temporomandibular joint reconstruction system. J Oral Maxillofac Surg, 65:1140–1148.
Mischkowski RA, Zinser MJ, Neugebauer J, Kubler AC, Zoller JE. 2006. Comparison of static and dynamic computer-assisted guidance methods in implantology. Int J Comput Dent, 9 (1):23-35.
Modabber A, Legros C, Rana M, Gerressen M, Riediger D, Ghassemi A. 2012. Evaluation of computer-assisted jaw reconstruction with free vascularized fibular flap compared to conventional surgery: a clinical pilot study. Int J Med Robot, 8 (2):215-220.
Mormann WH. 1988. Innovations in esthetic restorations in posterior region (Ceramic): computer aided ceramic reconstruction. Dtsch Zahnarztl Z, 43 (8):900-903.
Mormann WH. 2006. The evolution of the CEREC system. J Am Dent Assoc, 137 Suppl:7S-13S.
Neff A. 2015. Kiefergelenkersatz – Kontraindikationen und Risiken. Zeitschrift für Kraniomandibuläre Funktion, 7(3):191–210
Peled M, El-Naaj IA, Lipin Y, Ardekian L. 2005. The use of free fibular flap for functional mandibular reconstruction. J Oral Maxillofac Surg, 63 (2):220-224.
Spagnoli D, Kent JN. 1992. Multicenter evaluation of temporomandibular joint Proplast-Teflon disk implant. Oral Surg Oral Med Oral Pathol, 74 (4):411-421.
Strietzel R. 2015. CAD/CAM von A bis Z Orientierung im Dschungel der digitalen Verfahren. dl-Technik-Editionte Aufl. Verlag Neuer Merkur GmbH.
Timmis DP, Aragon SB, Van Sickels JE, Aufdemorte TB. 1986. Comparative study of alloplastic materials for temporomandibular joint disc replacement in rabbits. J Oral Maxillofac Surg, 44 (7):541-554.
van Loon J, Verkerke G, de Vries M, de Bont L. 2000. Design and wear testing of a temporomandibular joint prosthesis articulation. J Dent Res, 79:715-721.
van Loon J, Falkenström C, de Bont L, Verkerke G, Stegenga B. 1999. The theoretical optimal center of rotation for a temporomandibular joint prosthesis: a three-dimensional kinematic study. J Dent Res, 78:43-48.
Westermark A. 2010. Total reconstruction of the temporomandibular joint. Up to 8 years of follow-up of patients treated with Biomet(R) total joint prostheses. Int J Oral Maxillofac Surg, 39 (10):951-955.
Wilde F, Hanken H, Probst F, Schramm A, Heiland M, Cornelius CP. 2015. Multicenter study on the use of patient-specific CAD/CAM reconstruction plates for mandibular reconstruction. Int J Comput Assist Radiol Surg, 10 (12):2035-2051.
Wolford LM, Pitta MC, Reiche-Fischel O, Franco PF. 2003. TMJ Concepts/Techmedica custom-made TMJ total joint prosthesis: 5-year follow-up study. Int J Oral Maxillofac Surg, 32 (3):268-274.
Zimmermann M. 2016. Die digitale Abformung mit dem Intraoralscanner: mehr als nur eine Abformung. www.zmk-aktuell.de.
Zimmermann M, Mehl A, Mormann WH, Reich S. 2015. Intraoral scanning systems - a current overview. Int J Comput Dent, 18 (2):101-129.



























