Intraossäres Hämangiom des rechten Unterkiefers
Die Patientin wurde durch einen niedergelassenen Oralchirurgen an die Ambulanz der Mund-, Kiefer- und Gesichtschirurgie der Universitätsmedizin Mainz überwiesen. Bereits 2010 war die Läsion als Zufallsbefund in einer Panoramaschichtaufnahme festgestellt worden. Damals bestanden keine Sensibilitätsausfälle, Schmerzen oder ähnliche Beschwerden. Im Konsens mit der Patientin wurde die Empfehlung zur engmaschigen Nachkontrolle mittels radiologischer und klinischer Diagnostik ausgesprochen. Ende 2017 bemerkte die Patientin eine Aufbissempfindlichkeit sowie Schmerzen im rechten Unterkiefer. Nach erneuter Vorstellung beim erstbefundenden Oralchirurgen wurde nach radiologischer Kontrollaufnahme eine Vergrößerung der Raumforderung diagnostiziert. Bei Größenprogredienz und Zunahme der Beschwerden erfolgte im Januar 2018 die obige Überweisung.
Auf der alio loco durchgeführten Panoramaschichtaufnahme (Abbildung 1) war eine ausgeprägte, zystische Raumforderung mit einer Ausdehnung von Regio 46 bis Regio 48 zu erkennen. Klinisch zeigten sich keine Sensibilitätsstörungen im Bereich des Nervus alveolaris inferior. Die Vitalitätsprüfung der Zähne 46 bis 48 fiel positiv aus, es bestand auch keine Perkussionsempfindlichkeit (Abbildung 2). Zahn 48 fiel durch eine drittgradige Lockerung auf. Auf Palpation entleerte sich kein Pus. Die anschließend durchgeführte Digitale Volumentomografie (Abbildung 3) zeigte einen invasiv wachsenden, teils honigwabenähnlichen, zystischen Befund des rechten Unterkiefers mit einer Ausdehnung in den Canalis mandibulae sowie in Teile des aufsteigenden Unterkieferasts. Darüber hinaus ließen sich Wurzelresorptionen der Zähne 47 und 48 eruieren.
In Zusammenschau der klinischen und der radiologischen Befunde wurde die Verdachtsdiagnose eines Ameloblastoms beziehungsweise einer Keratozyste gestellt. Nach ausführlicher Beratung über mögliche Differenzialdiagnosen und Therapieoptionen entschied sich die Patientin zur Entfernung der Raumforderung in Intubationsnarkose. Hierbei erfolgte zunächst die Extraktion der teils stark gelockerten Zähne 47 und 48. In beiden Fällen konnte die vorher radiologisch auffällige Wurzelresorption ausgemacht werden (Abbildung 4). Nach der Extraktion breitete sich über die Extraktionsalveolen Zysteninhalt in die Mundhöhle aus (Abbildung 5). Im Anschluss wurde die Raumforderung unter Schonung des kaudal der Zyste verlaufenden Nervus alveolaris inferior exkaviert. Hierbei kam es im dorsalen Anteil der Kavität zu einer arteriellen Blutung, die nach elektrischer Kauterisation und Einbringen von Knochenwachs zum Stillstand gebracht werden konnte (Abbildung 6). Nach vorsichtiger modellierender Osteotomie folgten die Einlage eines Kollagenvlies und der mehrschichtige Wundverschluss.

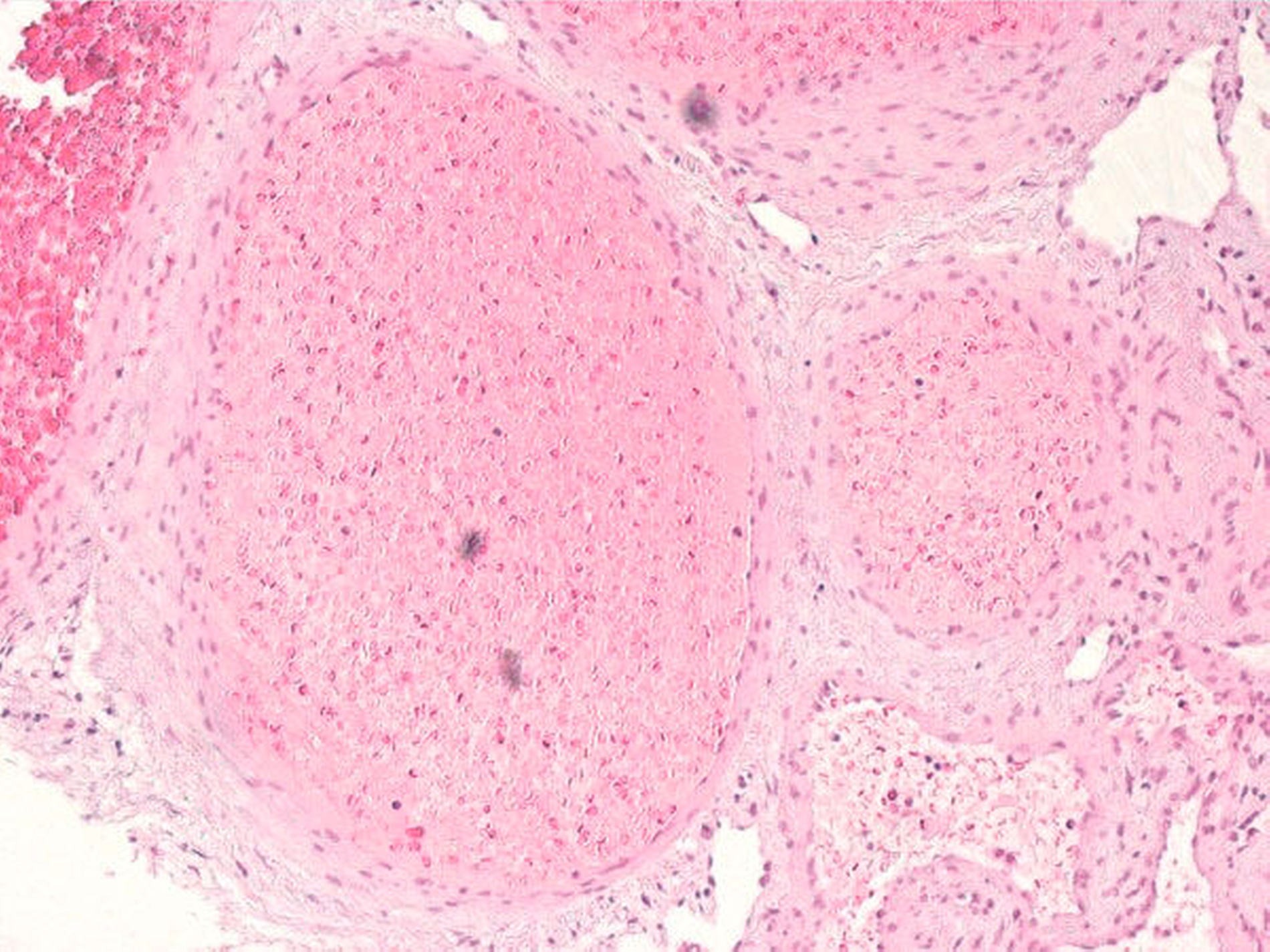
Die histopathologische Aufbereitung des Präparats (Abbildung 7) erbrachte den Nachweis eines kavernösen Hämangioms ohne den Anhalt auf Gewebetransformation (Abbildung 8). Der postoperative Verlauf gestaltete sich bis auf eine kurzfristig bestehende Wunddehiszenz mit sekundärer Granulation unauffällig. Sensibilitätsdefizite bestanden zu keiner Zeit.
Diskussion
Hämangiome sind benigne, vaskuläre Neoplasien endothelialen Ursprungs, die am häufigsten im Weichgewebe auftreten [Alves et al., 2006]. Intraossäre Varianten sind relativ selten und stellen lediglich 0,5 bis 1 Prozent aller im Knochen befindlichen Tumore dar [Beziat et al., 1997]. Die Kieferknochen sind im Vergleich zu den Wirbelkörpern und dem Schädel wiederum seltener betroffen, so dass im Bereich des Unterkiefers, wie im vorliegenden Fall, in der Literatur derzeit nur wenige intraossäre Verläufe beschrieben sind [Alves et al., 2006; Dhiman et al., 2015]. Generell finden sich Hämangiome der Kieferknochen eher im Unterkiefer (Verhältnis Unter- zu Oberkiefer 2:1 [Dincer Kose et al., 2016]) und hier im Bereich der Prämolaren und der Molaren [Drage et al., 2003], wobei der Altersgipfel zwischen der zweiten und der fünften Lebensdekade und das Geschlechtsverhältnis von weiblich zu männlich mit 2:1 angegeben wird [Cheng et al., 2006].
Die initiale Diagnosestellung gestaltet sich aufgrund eines symptomlosen oder zumindest symptomarmen Verlaufs sowie unspezifischer radiologischer Muster oftmals schwierig. Als Differenzialdiagnosen sollten beispielsweise das Ameloblastom, die Keratozyste, das odontogene Myxom, die fibröse Dysplasie, das Osteosarkom und die aneurysmatische Knochenzyste einbezogen werden. Selten – und hier vor allem bei größeren Manifestationen – finden sich Pulsationen und mobile Zähne bei inspektorisch bläulichen, langsam wachsenden Läsionen; Schmerzen und Parästhesien sind keine charakteristischen Merkmale, können aber mit der Schwellung einhergehen [Dhiman et al., 2015; Cheng et al., 2006]. Radiologisch finden sich sowohl uni- als auch multilokuläre Verschattungen/Transluzenzen, oft mit peripherer Sklerosierung. Darüber hinaus können Resorptionen benachbarter Zahnwurzeln auftreten.
Dieses komplexe Erscheinungsbild kann zu klinischen Fehleinschätzungen seitens des Behandlers führen. Besonders vor geplanten Resektionen sollte eine weiterführende Diagnostik zwecks Beurteilung der knöchernen Grenzen und Nachbarstrukturen erfolgen. Bildgebende Verfahren wie die Computertomografie oder die Magnetresonanztomografie können zur verbesserten Darstellung der Ausdehnung oder Beschaffenheit (solitär oder zystisch) der Läsion herangezogen werden [Robertson et al., 1999]. Beim Verdacht auf ein Hämangiom oder eine arteriovenöse Malformation kann prätherapeutisch eine Darstellung der Gefäße erfolgen.
Histologisch wird das Hämangiom in eine kapilläre, eine kavernöse und eine gemischte Variante eingeteilt, wobei die meisten Tumore vom kavernösen Typ sind. Diese zeichnen sich vor allem durch mitotische Aktivität, große vaskuläre Strukturen und eine lang andauernde klinische Anamnese aus. Endothelzellen proliferieren und bilden ein plexiformes vaskuläres Muster. Die dünnwandigen kavernösen Räume sind von einer einzelnen Schicht aus Endothelzellen umgeben, die zwischen den ossären Trabekeln verteilt sind.
Verschiedene Behandlungsmodalitäten wurden in der Literatur beschrieben, die auf erstens der Blutungskontrolle, zweitens einer vollständigen Beseitigung der Läsion und drittens der Verhinderung eines Wiederauftretens basieren [Dhiman et al., 2015].
Diese Therapieansätze beinhalten die nicht-invasive Radiotherapie, die intraläsionale Sklerosierung und Embolisation, die Kürettage sowie die Resektion mit anschließender – wenn notwendig – knöcherner Rekonstruktion. Die Entscheidung hierzu basiert auf den klinischen Befunden, dem Alter des Patienten und der individuellen Anamnese. Eine Bestrahlung wird für unzugängliche Läsionen empfohlen, da sich so das Wachstum kontrollieren lässt. Allerdings wurden Hämangiome als wenig strahlensensibel beschrieben und diese Therapieoption beinhaltet potenzielle strahlenbedingte Nebenwirkungen (Schädigung des Kondylenwachstums, Schäden in der Zahnentwicklung und an den Speicheldrüsen) [Wilde et al., 1966]. Die intraläsionale Injektion von sklerosierenden Mitteln wurde bei ausgedehnten Läsionen zur Anwendung gebracht. Die Medikamente wirken gewebereizend und thrombogen, haben jedoch im Fall von Knochenläsionen lediglich begrenzte Anwendungsmöglichkeiten [Hayward, 1981]. Die Embolisation der wichtigsten afferenten Gefäße, die das Hämangiom versorgen, ist ebenfalls eine Behandlungsoption, wenn der Patient für eine Operation nicht geeignet ist [Kaneko et al., 2001]. Letztendlich verbleibt die Chirurgie allein oder in Kombination mit der Embolisation die beste therapeutische Option, wobei diese entweder die Kürettage – wie im vorliegenden Fall – oder gar eine radikale Exzision des betroffenen Kiefersegments, gefolgt von einer sofortigen Rekonstruktion durch ein Knochentransplantat, umfasst. Da ein Blutverlust während der Operation erwartet wird, sollte präoperativ der Einsatz hämostatischer Maßnahmen oder – in ausgewählten Fällen – eine Bluttransfusion geplant werden.
Dr. Philipp Matheis
Assistenzarzt
Klinik und Poliklinik für MKG-Chirurgie der Universitätsmedizin Mainz
Augustusplatz 2
55116 Mainz
philipp.matheis@unimedizin-mainz.de
PD Dr. mult. Peer W. Kämmerer, MA, FEBOMFS
Leitender Oberarzt/Stellvertretender Klinikdirektor
Klinik und Poliklinik für MKG-Chirurgie der Universitätsmedizin Mainz
Augustusplatz 2
55116 Mainz
Literatur
1. Alves, S., Junqueira, J. L., de Oliveira, E. M., Pieri, S. S., de Magalhaes, M. H., Dos Santos Pinto, D., Jr. und Mantesso, A. (2006). „Condylar hemangioma: report of a case and review of the literature.“ Oral Surg Oral Med Oral Pathol Oral Radiol Endod 102(5): e23–27.
2. Beziat, J. L., Marcelino, J. P., Bascoulergue, Y. und Vitrey, D. (1997). „Central vascular malformation of the mandible: a case report.“ J Oral Maxillofac Surg 55(4): 415–419.
3. Dhiman, N. K., Jaiswara, C., Kumar, N., Patne, S. C., Pandey, A. und Verma, V. (2015). „Central cavernous hemangioma of mandible: Case report and review of literature.“ Natl J Maxillofac Surg 6(2): 209–213.
4. Dincer Kose, O., Tanyel, C., Kose, T. E., Erdem, M. A. und Cankaya, A. B. (2016). „Tooth extraction from a patient with cavernous hemangioma in maxillofacial region: case report.“ J Istanb Univ Fac Dent 50(1): 51–54.
5. Drage, N. A., Whaites, E. J. und Hussain, K. (2003). „Haemangioma of the body of the mandible: a case report.“ Br J Oral Maxillofac Surg 41(2): 112–114.
6. Cheng, N. C., Lai, D. M., Hsie, M. H., Liao, S. L. und Chen, Y. B. (2006). „Intraosseous hemangiomas of the facial bone.“ Plast Reconstr Surg 117(7): 2366–2372.
7. Robertson, R. L., Robson, C. D., Barnes, P. D. und Burrows, P. E. (1999). „Head and neck vascular anomalies of childhood.“ Neuroimaging Clin N Am 9(1): 115–132.
8. Wilde, N. J., Tur, J. J. und Call, D. E. (1966). „Hemangioma of the mandible: report of case.“ J Oral Surg 24(6): 549–552.
9. Hayward, J. R. (1981). „Central cavernous hemangioma of the mandible: report of four cases.“ J Oral Surg 39(7): 526–532.
10. Kaneko, R., Tohnai, I., Ueda, M., Negoro, M., Yoshida, J. und Yamada, Y. (2001). „Curative treatment of central hemangioma in the mandible by direct puncture and embolisation with n-butyl-cyanoacrylate (NBCA).“ Oral Oncol 37(7): 605–608.












