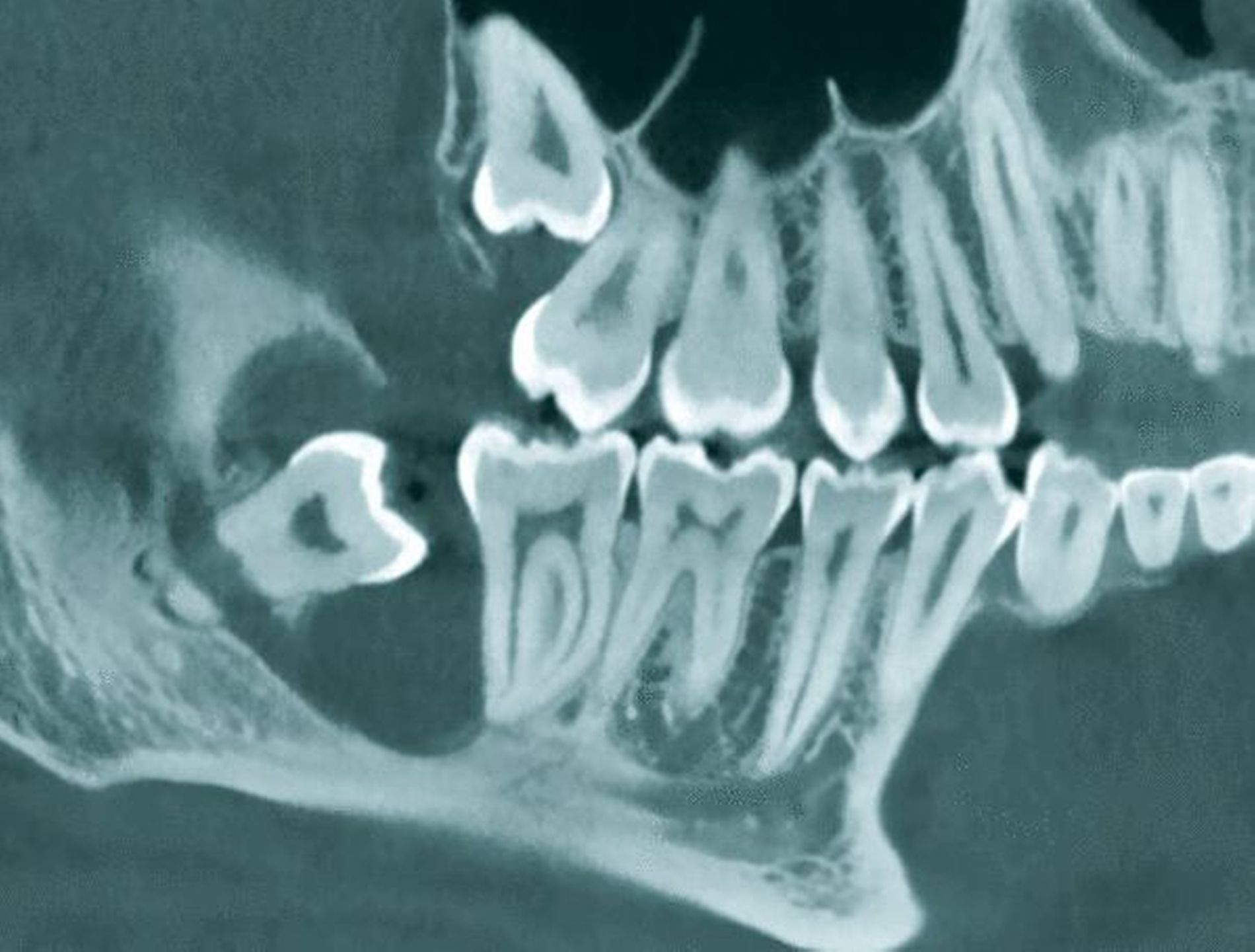
Operative Entfernung von Weisheitszähnen
Die Aktualisierung der Leitlinie war zuvor durch die Taskforce Qualität, bestehend aus Vertretern von DGZMK, KZBV und BZÄK, in die Liste der priorisierten Themen aufgenommen worden. Einbezogen wurden Erkenntnisse aus der Literatur von 2012 bis Juni 2017, die Ergebnisse einer interdisziplinären Konsensuskonferenz der beteiligten Fachgesellschaften (siehe Kasten Seite 82) in Bochum am 13. Dezember 2017 und ergänzende Beiträge im Rahmen eines Delphi-Verfahrens von Februar 2018 bis April 2019. Konkret aktualisiert die Leitlinie den Stand der Empfehlungen insbesondere zu folgenden Aspekten:
Indikationen zur Entfernung und zum Belassen von Weisheitszähnen
Stellenwert der DVT Diagnostik
Bedeutung der perioperativen antibiotischen Prophylaxe
Bedeutung der Piezochirurgie
Bedeutung der Koronektomie
Zeitwahl bei der Zahnentfernung
Die Entscheidungsgrundlagen der Empfehlungen werden erneut – wie in der Vorgängerversion – in Form von Hintergrundtexten erläutert, die in der Langversion der Leitlinie enthalten sind. Diese Texte werden hier zur Information wiedergegeben.
Indikationen zur Extraktion und zum Belassen
Auch in der zweiten Aktualisierung blieben die Kernaussagen der Leitlinie, insbesondere im Hinblick auf die (zahn)medizinischen Indikationen, möglichen Indikationen und Kontraindikationen unter Würdigung der wissenschaftlichen Literatur des Zeitraums bis Juni 2017 im Wesentlichen unverändert.
Im strukturierten Konsens der Expertengruppe wurden aber folgende Änderungen vorgenommen:
a) Die „Pulpaexposition durch Karies“ wurde aus der Gruppe der „Indikationen zur Weisheitszahnentfernung“ entfernt und den „Möglichen Indikationen zur Weisheitszahnentfernung“ zugeordnet. Damit wurde der Option der Zahnerhaltung mittels endodontischer Behandlung als Alternative entsprochen.
b) Neu aufgenommen wurde die „behandlungsbedürftige Halitosis“ unter den möglichen Indikationen, sofern andere, zahnerhaltende Therapiemaßnahmen nicht erfolgreich waren.
c) Bei den Indikationen zum Belassen von Weisheitszähnen wurde – analog zu den Indikationen zur Entfernung – zwischen Indikationen und möglichen Indikationenunterschieden (siehe Kasten Seite 80).
Hintergrund: Indikationen
Bei der Indikation zur Therapie wurde traditionell zwischen klinisch beziehungsweise radiologisch symptomlosen und symptomatischen Zähnen unterschieden. Während die Entfernung klinisch oder radiologisch symptomatischer Zähne in der Literatur weitgehend einheitlich befürwortet wird, konnte eine generelle Empfehlung zur Entfernung klinisch symptomloser Weisheitszähne nicht wissenschaftlich belegt werden.
Diese strikte Einteilung nach klinischer Symptomatik kann aber nach neueren Untersuchungen nicht ohne Weiteres aufrechterhalten werden. Unabhängig von einer klinisch erkennbaren Perikoronitis und radiologisch nachweisbaren perikoronaren Aufhellungen zeigen Weisheitszähne zu einem relevanten Anteil (20 bis 60 Prozent) pathologische Veränderungen [Baycul et al., 2005; Blakey et al., 2002; Simsek-Kaya et al., 2011; Yildirim et al., 2008], die sich auch auf die parodontale Situation der angrenzenden Molaren und darüber hinaus auswirken können [Blakey et al., 2010]. Daneben ist auch an benachbarten 12-Jahr-Molaren mit einer hohen Rate (bis rund 50 Prozent) an distaler Karies als Folge einer engen Lagebeziehung zum Weisheitszahn zu rechnen [McArdle et al., 2016; Kang et al., 2016]. Insofern erscheint eine grundsätzliche Unterscheidung zwischen prophylaktischer und therapeutischer Weisheitszahnentfernung nicht mehr gerechtfertigt.
Longitudinale Untersuchungen zeigen, dass sich rund 30 Prozent der um das 18. Lebensjahr zur Entfernung vorgesehenen Weisheitszähne im weiteren Verlauf bis zum 30. Lebensjahr regulär in die Zahnreihe einstellen [Kruger et al., 2001]. Andererseits zeigen sich mit zunehmendem Alter zwei gegenläufige Entwicklungen im Hinblick auf die Komplikationen. Während die Häufigkeit von inflammatorischen Komplikationen in der Altersgruppe zwischen 18 und 35 Jahren ein Maximum hat und danach mit zunehmendem Lebensalter abnimmt [Fernandes et al., 2009], ergeben sich gleichzeitig mit zunehmendem Alter vermehrt Komplikationen bei der operativen Entfernung [Chuang et al., 2007; Baensch et al., 2017].
Ein Nutzen der Weisheitszahnentfernung zur Vermeidung eines tertiären Engstandes der Unterkieferfrontzähne nach Abschluss der kieferorthopädischen Therapie wird seit Langem kontrovers diskutiert [Linquist & Thilander, 1982; Ades et al., 1990] und ist nicht abschließend geklärt. In einer prospektiven, randomisierten Studie war ein signifikanter Einfluss auf einen tertiären Engstand nicht dargestellt worden, allerdings ergaben sich beim Belassen der Weisheitszähne deutlich stärkere Verkürzungen der vorderen Zahnbogenlänge [Harradine et al., 1998]. Da bei dieser Studie allerdings bei über 50 Prozent der Patienten eine Entfernung von Prämolaren vorangegangen war, sind die Ergebnisse auf Patienten mit einer vollständigen Dentition nicht übertragbar.
Auf die Prognose des Durchbruchs von Weisheitszähnen nehmen vor allem das retromolare Platzangebot und die Prämolarenextraktion Einfluss [Artun et al., 2005; Kim et al., 2003].
Longitudinale Daten aus der „Veterans Affair Normative Aging Study“ zeigen über einen Verlauf von bis zu 25 Jahren einen relevanten, ungünstigen Einfluss retinierter Weisheitszähne auf die Prognose benachbarter Molaren und im Besonderen einen ungünstigen Einfluss auf die parodontale Situation distal [Nunn et al., 2013]. Der aktuelle Cochrane Review (CD003879: Surgical removal versus retention for the management of asymptomatic disease-free impacted wisdom teeth) verweist in Anbetracht unzureichender „Evidenz“ nach den Kriterien der Cochrane-Methodik auf eine gemeinsame Entscheidungsfindung mit dem Patienten unter Berücksichtigung klinischer Erfahrungen.
Zahnresorptionen:
Die Bewertung von Resorptionen an der distalen Radix zweiter Molaren ist durch die Überlagerung mit retinierten Zähnen in der konventionellen Panoramaschichtaufnahme ausgesprochen unsicher. Mit der Ausweitung der DVT-Bildgebung ist zu erwarten, dass Resorptionen an 12-Jahr-Molaren zukünftig häufiger erkannt und in die Entscheidung über eine Weisheitszahnentfernung einbezogen werden müssen. Epidemiologische Daten zur Häufigkeit stehen zwar noch aus, Patientenserien mit einer Prävalenz um 20 Prozent bei horizontal und mesioangulär inklinierten dritten Molaren lassen aber erwarten, dass der Problematik externer Resorptionen zukünftig ein relevanter Stellenwert in der Therapieentscheidung zukommen wird [Oenning et al., 2014; Oenning et al., 2014; Wang et al., 2017]. Bei Resorption an der distalen Wurzel des 12-Jahr-Molaren wäre beispielsweise eine Entfernung oder gegebenenfalls kieferorthopädische Einstellung des ursächlichen Weisheitszahns möglich.
Stellenwert der DVT-Diagnostik
Trotz umfangreicher neuer Literatur zur DVT-Diagnostik ergaben sich keine relevanten Änderungen bei den Indikationen zur dreidimensionalen Bildgebung. Die Leitlinie bildet dies in einem Statement und einer Empfehlung ab:
Statement:Eine dreidimensionale Bildgebung ist vor einer Weisheitszahnentfernung nicht erforderlich, wenn in der konventionell zwei-dimensionalen Bildgebung keine Hinweise auf eine besondere Risikosituation vorliegen.
Empfehlung:Eine dreidimensionale Bildgebung (beispielsweise DVT/CT) kann indiziert sein, wenn in der konventionellen zweidimensionalen Bildgebung Hinweise auf eine unmittelbare Lagebeziehung zu Risikostrukturen oder pathologischen Veränderungen vorhanden sind und gleichzeitig aus Sicht des Behandlers weitere räumliche Informationen entweder für die Risikoaufklärung des Patienten, Eingriffsplanung oder auch für die intraoperative Orientierung erforderlich sind.
Hintergrund:Mit der digitalen Volumentomografie (DVT) ist die dreidimensionale Bildgebungs-methodik für die Indikationsstellung und Behandlung innerhalb der Zahnheilkunde, Oralchirurgie und Mund-, Kiefer- und Gesichtschirurgie mittlerweile etabliert worden. Die Vorzüge der DVT-Diagnostik im Hinblick auf topografische Information, Auflösung und Dimensionsgenauigkeit sind in den letzten Jahren umfangreich beschrieben worden. Mit der Verfügbarkeit des DVT hat die Frage nach der Notwendigkeit einer 3-D-Diagnostik vor der operativen Weisheitszahnextraktion eine zentrale Bedeutung.
In mehreren Studien wurde gezeigt, dass das DVT geeignet ist, morphologische Besonderheiten, Lageanomalien und insbesondere auch die fehlende Abgrenzung zwischen Zahnfach und Nervkanal darzustellen und damit für die Einschätzung des Risikos einer Nervschädigung geeignet ist [Ghaeminia et al., 2009; Lübbers et al., 2011; Neugebauer et al., 2008; Suomalainen et al., 2010; Sursala and Dodson, 2007; Tantanapornkul et al., 2007].
Aus der Tatsache, dass diese Merkmale in der 3-D-Bildgebung gut dargestellt werden können, leiten die Autoren dann jeweils die Indikation einer präoperativen 3-D-Bildgebung ab. Daneben gibt es erste Hinweise, dass die chirurgische Vorgehensweise durch die Einbeziehung der DVT-Informationen im Einzelfall verändert werden kann [Ghaeminia et al., 2011]. Außerdem lassen sich kritische Befunde wie die Resorption von 12-Jahr-Molaren durch retinierte Weisheitszähne nur in dreidimensionalen Bildgebungsverfahren bewerten [Oenning et al., 2015].
Allerdings konnte bislang nicht gezeigt werden, dass der Gewinn an Informationen über die Wurzelmorphologie und Topografie durch die 3-D-Diagnostik tatsächlich zu einer anderen operativen Vorgehensweise geführt hat und dass diese dann auch in einer verminderten Nerv-Schädigungsrate resultiert. Der Nachweis einer Verminderung des Risikos einer Nervschädigung ist aber in Anbetracht der ohnehin geringen Häufigkeit eines solchen Ereignisses unter den Rahmenbedingungen einer randomisierten Studie praktisch nicht zu führen, da plausible Annahmen für die Studienparameter zu einer Fallzahlschätzung jenseits von 150.000 Patienten führen [Roeder et al., 2012]. Insofern kann eine Bewertung der Notwendigkeit praktisch nur unter Verwendung von Surrogatparametern, wie der Darstellung von Risikoindikatoren erfolgen.
Eine prospektiv randomisierte Studie von Ghaeminia et al. widerspricht dieser Bewertung und berichtet über eine Fallzahl von 268 Patienten mit 320 Weisheitszähnen [Ghaeminia et al., 2015]. Die Fallzahlberechnung dieser Arbeitsgruppe ist aber durch nicht plausible Annahmen von Basis-Schädigungshäufigkeiten (12 Prozent) nicht sinnvoll und durch die tatsächliche Häufigkeit von Nervschäden von 1,2 Prozent für die Kontrollgruppe innerhalb der Studienpopulationen erkennbar fehlerhaft. Darüber hinaus stehen die Einschlusskriterien der Studie (Weisheitszähne mit erhöhtem Risiko der Nervschädigung gemäß Panoramaschichtaufnahme (PSA) im Widerspruch zu der Bewertung durch die Operateure, die die Entfernung nur in rund 20 Prozent als schwierig bewerteten. Außerdem werden nahezu gleiche Operationszeiten (DVT-Gruppe: 11,1 min versus PSA-Gruppe: 11,9 min) in beiden Studiengruppen angegeben. Insofern ist nicht zu erkennen, dass die Informationen des DVT die operative Vorgehensweise beeinflusst hat.
Zur perioperativen antibiotischen Prophylaxe
Die Empfehlung zur perioperativen antibiotischen Prophylaxe wurde von der eindeutigen Befürwortung („sollte“) in eine offene Empfehlung („kann“) abgeschwächt.
Empfehlung:Eine perioperative antibiotische Prophylaxe kann bei der Weisheitszahnentfernung erfolgen.
Hintergrund:Die Diskussion um den Nutzen einer prophylaktischen antibiotischen Therapie begleitet jedes chirurgische Fach seit Anbeginn der antibiotischen Ära. Der Nutzen einer antibiotischen Prophylaxe im Rahmen der Weisheitszahnentfernung ist ebenfalls seit langer Zeit umstritten. Insgesamt belegt eine Mehrzahl methodisch hochwertiger systematischer Reviews den Nutzen der perioperativen antibiotischen Therapie sowohl für die Reduktion der Häufigkeit alveolärer Ostitiden als auch für die Reduktion von Wundinfektionen [Ren und Malmstrom, 2007; Lodi et al., 2012; Ramos et al., 2016; Marcussen et al., 2016], allerdings zeigen nicht alle Reviews einen signifikanten Therapieeffekt [Isiordia-Espinoza et al., 2015].Auf der anderen Seite weisen einige Autoren auf die Problematik potenzieller Resistenzbildungen und Veränderungen im Mikrobiom auch bei kurzzeitiger Gabe von Antibiotika hin [Zaura et al., 2015; Aragon-Martinez et al., 2016]. Vor diesem Hintergrund finden sich auch Übersichtsarbeiten, in denen die Autoren trotz signifikanter Reduktion infektiöser Komplikationen (selbst in der eigenen Metaanalyse) nicht zu einer antibiotischen Prophylaxe raten [Lodi et al., 2012; Arteagoitia et al., 2016]. Obwohl die Datenlage in ihrer Gesamtheit die Wirksamkeit einer Antibiotikaprophylaxe gut belegt und mittlerweile sogar eine methodisch akzeptable Kohorten-Studie zum Nutzen der Antibiotikaprophylaxe unter Praxis-bedingungen vorliegt [Lang et al., 2017], lassen sich daher sowohl die Befürwortung als auch die Ablehnung einer antibiotischen Prophylaxe wissenschaftlich begründen.
Zur Piezochirurgie
Die wissenschaftliche Evidenz zur Piezochirurgie hat in den letzten fünf Jahren erheblich zugenommen, so dass die Bedeutung der Methode voraussichtlich weiter zunehmen wird. Allerdings sind die Daten zu relevanten klinischen Endpunkten noch nicht so einheitlich, dass ein Einsatz der Piezochirurgie generell gefordert werden kann.
Empfehlung:Die Piezo-Osteotomie kann bei gefährdeten anatomischen Nachbarstrukturen als Alternative oder Ergänzung zur konventionellen Osteotomie für die Weisheitszahnentfernung eingesetzt werden.
Hintergrund:Piezochirurgische Anwendungen wurden in den letzten Jahren als Alternative für zahlreiche Eingriffsarten in der MKG-Chirurgie und zahnärztlichen Chirurgie beschrieben, da aufgrund des technischen Prinzips eine Reduktion der Gefährdung von Nachbarstrukturen zu erwarten ist. Für die Weisheitszahnentfernung liegen zwischenzeitlich mehrere prospektiv randomisierte Studien und auch Ergebnisse aus systematischen Reviews [Jiang et al., 2015; Moraissi et al., 2016; Badenoch-Jones et al., 2016] vor, wobei die Studienauswahl und Teile der Auswertungsmethodik von Al-Moraissi et al. in der Literatur kritisiert wurden [Badenoch-Jones et al., 2016]. Durchgehend ergaben sich in der Metaanalyse signifikante Vorteile bei Schmerzbelastung, Mundöffnung, Schwellung, aber auch signifikant längere Operationszeiten gegenüber konventionellen Osteotomie-Techniken. Erste Bewertungen für den klinischen Endpunkt „Nervschädigung“ [Badenoch-Jones et al., 2016]) deuten darauf hin, dass die Piezochirurgie auch das Risiko von Nervschäden verringern könnte.
Zur Koronektomie
Bezüglich der Koronektomie haben sich im Zeitraum der Aktualisierung keine wesentlichen neuen Erkenntnisse ergeben. Der Umfang der Verlaufsbeobachtungen hat sich zwar gebessert und es werden komplikationsarme Nachbeobachtungszeiten über Zeiträume bis hin zu mehr als fünf Jahren beschrieben, es fehlen aber weiterhin Daten zu den längerfristigen Auswirkungen über die Lebensspanne der Patienten, beispielsweise bei einer späteren Therapie mit Antiresorptiva, bei Immunsuppression, Diabetes, Dialyse, Tumortherapie und vielen mehr. Insofern bleibt die Koronektomie weiter eine Behandlungsalternative mit engen Grenzen in der Indikationsstellung.
Empfehlung:Als Alternative zur vollständigen Zahnentfernung kann bei enger Lagebeziehung zum N. alveolaris inferior mit erwartbar hohem Schädigungsrisiko eine Koronektomie vor-genommen werden.
Hintergrund:In den letzten Jahren ist die Methode der selektiven Kronenentfernung unter Belassen der Wurzel des Weisheitszahns neu aufgegriffen worden. Diesem Behandlungskonzept liegt die Überlegung zugrunde, bei hohem Risiko einer Verletzung des N. alveolaris inferior auf die vollständige Wurzelentfernung zu verzichten und allein die Krone und das Follikelgewebe des Weisheitszahns als Ursache der Perikoronitis zu beseitigen. Mittlerweile wurden einige Fallserien, mehrere vergleichende Kohortenstudien [Cilasun et al., 2011; Hatano et al., 2009; O´Riordan, 2004; Pogrel et al., 2004] und auch prospektiv randomisierte Studien [Leung and Cheung, 2009; Renton et al., 2005] vorgestellt, die erwarten lassen, dass das Risiko der Schädigung des N. alveolaris inferior durch die Koronektomie vermindert wird. Allerdings sind die langzeitigen Folgen des Belassens von Zahnanteilen, beispielsweise im Hinblick auf eine spätere Bestrahlung oder antiresorptive Behandlung oder auch eine therapeutische Immunsuppression bislang nur unzureichend untersucht. Über einen Nachbeobachtungszeitraum von bis zu fünf Jahren wurden allerdings bislang nur sehr geringe Sekundärkomplikationen beobachtet [Leung und Cheung, 2016].
Mittlerweile wurden neben der klassischen Koronektomie auch Modifikationen, wie eine geplante zweizeitige Entfernung nach Teilentfernung der Zahnkrone [Landi et al., 2010], nach Teilentfernung des Knochens [Tolstunov et al., 2011] oder ergänzt durch kieferorthopädische Maßnahmen [Wang et al., 2012] oder Guided Bone Regeneration [Leung, 2016] beschrieben. Für die jeweiligen Modifikationen liegen aber bislang nur Erkenntnisse aus kleinen Patienten-Kohorten vor.
Zeitwahl bei der Zahnentfernung
Neu aufgenommen wurde eine Empfehlung zur Zeitwahl bei der Zahnentfernung. Maßgeblich für diese Empfehlung waren vor allem die erheblich erhöhte perioperative Morbidität/Co-Morbidität und die schlechtere parodontale Regeneration an benachbarten 12-Jahr-Molaren im höheren Lebensalter.
Empfehlung:Wenn eine Indikation zur Entfernung des Weisheitszahns besteht oder absehbar ist und der Zeitpunkt der Zahnentfernung geplant werden kann, dann sollte diese Weisheitszahnentfernung im Laufe der Entwicklung der Zahnwurzel, möglichst aber vor dem 25. Lebensjahr empfohlen werden.
Hintergrund:Bei der Entscheidung über den Zeitpunkt der operativen Entfernung sind neben der Möglichkeit einer regulären Einstellung in die Zahnreihe [Kruger et al., 2001] vor allem das Entwicklungsstadium der Zahnwurzel und deren aktuelle und erwartbare Lagebeziehung zum N. alveolaris inferior, die Gefahr der Resorption an Nachbarzähnen [Wang et al., 2017], das altersabhängige lokale Operationsrisiko [Chuang et al., 2007; Baensch et al., 2017] und die altersabhängige parodontale Regeneration am benachbarten 12-Jahr-Molaren [Kugelberg et al., 1991] zu berücksichtigen.
Als Informationsquelle steht neben der Langfassung der Leitlinie auch ein ausführlicher Leitlinienreport zur Verfügung. Die Dokumente können als Download- bei der Bundeszahnärztekammer, der DGZMK und der AWMF abgerufen werden. Die nächste Überarbeitung der Leitlinie ist ab 2024 vorgesehen.
Prof. Dr. Dr. Martin KunkelKlinik für Mund-, Kiefer- und GesichtschirurgieUniversitätsklinikum Knappschaftskrankenhaus BochumIn der Schornau 23–2544892 Bochummartin.kunkel@rub.deTel.: 0049–234–299 3501
Indikationen und mögliche Indikationen zum Entfernen und Belassen von Weisheitszähnen
Indikationen zur Entfernung von Weisheitszähnen
Eine Indikation besteht:
bei akuten oder chronischen Infektionen (Dentitio difficilis)
bei nicht restaurierfähigen, kariös zerstörten Zähnen oder nicht behandelbarer Pulpitis
wenn sich bei Patienten mit unklarem Gesichtsschmerz Hinweise ergeben, dass der Weisheitszahn eine relevante Schmerzursache darstellt
bei nicht behandelbaren periapikalen Veränderungen
bei manifesten pathologischen Strukturen in Zusammenhang mit Zahnfollikeln (zum Beispiel Zyste, Tumor) oder dem Verdacht auf derartige Veränderungen
im Zusammenhang mit der Behandlung von/und Begrenzung des Fortschreitens von parodontalen Erkrankungen
bei Zähnen, die bei der kieferorthopädischen und/oder rekonstruktiven Chirurgie stören
bei Zähnen im Bruchspalt, die eine Frakturbehandlung erschweren
bei der Verwendung des Zahns zur Transplantation
Mögliche Indikation zur Entfernung von Weisheitszähnen
Eine Indikation kann bestehen:
zur Vereinfachung der kieferortho-pädischen Zahnbewegungen und/oder zur Erleichterung der kieferorthopädischen Retention oder Sicherung einer abgeschlossenen KFO-Behandlung.
zur prophylaktische Zahnentfernung aus übergeordneten, der Lebensführung zuzuordnenden Gesichtspunkten (zum Beispiel fehlende Verfügbarkeit medizinischer Versorgung etc.)
bei Resorptionen an benachbarten Zähnen
bei Pulpaexposition durch Zahnkaries
Bei Zähnen, die bei einer geplanten prothetischen Versorgung stören, wenn beispielsweise ein sekundärer Durchbruch aufgrund der weiteren Atrophie des Alveolarkammes beziehungsweise aufgrund der Druckbelastung durch herausnehmbaren Zahnersatz zu erwarten steht
wenn andere Maßnahmen unter Narkose vorgenommen werden und eine erneute Narkose zur Entfernung eines Weisheitszahns durchgeführt werden müsste
wenn der elongierte/gekippte Weisheitszahn eine Störung der dynamischen Okklusion darstellt
wenn der Weisheitszahn die Ursache einer behandlungsbedürftigen Halitosis darstellt und andere, zahnerhaltende Therapiemaßnahmen nicht erfolgreich waren.
Indikationen zum Belassen von Weisheitszähnen
Eine Indikation zum Belassen von Weisheitszähnen besteht, wenn:
eine kieferorthopädische Einordnung des Zahns geplant ist
sie für eine prothetische Versorgung genutzt werden sollen
Eine Indikation zum Belassen von Weisheitszähnen kann bestehen, wenn:
eine spontane, regelrechte Einstellung der Weisheitszähne in die Zahnreihe zu erwarten ist
bei tief impaktierten und verlagerten Zähnen ohne klinischen beziehungsweise radiologisch nachweisbaren pathologischen Befund ein hohes Risiko operativer Komplikationen besteht.
Quelle: DGMKG, DGZMK: S2k-Leitlinie Operative Entfernung von Weisheitszähnen, 2019.AWMF-Registernummer: 007–003
Beteiligte Fachgesellschaften und Körperschaften
Deutsche Gesellschaft für Mund-, Kiefer- und Gesichtschirurgie (DGMKG)
Deutsche Gesellschaft für Zahn-, Mund- und Kieferheilkunde (DGZMK)
Deutsche Gesellschaft für Kieferorthopädie (DGKFO)
Arbeitsgemeinschaft für Kieferchirurgie (AGKi)
Berufsverband Deutscher Oralchirurgen (BDO)
Bundesarbeitsgemeinschaft PatientInnenstellen (BAGP)
Bundeszahnärztekammer (BZÄK)
Interdisziplinärer Arbeitskreis Oralpathologie und Oralmedizin (AKOPOM)
Kassenzahnärztliche Bundesvereinigung (KZBV)
Autor der Leitlinie: Prof. Dr. Dr. M. Kunkel (DGMKG)Ko-Autoren: Prof. Dr. U. Fritz (DGKFO), Prof. Dr. Dr. H. Pistner (DGMKG), Prof. Dr. Dr. H. Terheyden (AGKi), Prof. Dr. Dr. U. Müller-Richter (AKOPOM), PD Dr. F. P. Strietzel (BDO), G.Bornes (BAGP), Dr. M. Frank (BZÄK), Dr. J. Beck (KZBV), Prof. Dr. Dr. R. Werkmeister (Leitliniengruppe „Dentoalveoläre Chirurgie“ der DGMKG), Prof. Dr. Dr. D. Weingart (Leitliniengruppe „Dentoalveoläre Chirurgie“ der DGMKG)
Literaturliste
Absi, E.G. and Shepherd, J.P. A comparison of morbidity following the removal of lower third molars by the lingual split and surgical bur methods. Int J Oral Maxillofac Surg, 22: 149-153 (1993).
Ades, A.G., Joondeph, D.R., Little, R.M., Chapko, M. K. A long-term study of the relationship of third molars to changes in the mandibular dental arch. Am J Orthod Dentofac Orthop, 97: 323-35 (1990).
Anjrini, A.A, Kruger, E., Tennant, M. Cost effectiveness modelling of a ‘watchful monitoring strategy’ for impacted third molars vs prophylactic removal under GA: an Australian perspective. British Dental Journal, 219: 19-23 (2015).
Aragon-Martinez, O.H., Isiordia-Espinoza, M.A., Tejeda Nava, F.J., Aranda Romo, S. Dental Care Professionals Should Avoid the Administration of Amoxicillin in Healthy Patients During Third Molar Surgery: Is Antibiotic Resistence the Only Problem? J Oral Maxillofac Surg, 74: 1512-1513 (2016).
Armond, A.C.V., Martins, C.C., Gloria, J.C.R., Galva˜o, E.L., dos Santos, C.R.R., Falci, S.G.M. Influence of third molars in mandibular fractures. Part 1: mandibular angle—a metaanalysis. Int J Oral Maxillofac Surg, 46: 716-729 (2017).
Armond, A.C.V., Martins, C.C., Gloria, J.C.R., Galva˜o, E.L., dos Santos, C.R.R., Falci, S. G.M. Influence of third molars in mandibular fractures. Part 2: mandibular condyle-a meta-analysis. Int J Oral Maxillofac Surg, 46: 730-739 (2017).
Arteagoitia, M.I., Barbier L., Santamaría, J., Santamaría G., Ramos, E. Efficacy of amoxicillin and amoxicillin/clavulanic acid in the prevention of infection and dry socket after third molar extraction. A systematic review and meta-analysis. Med Oral Patol Oral Cir Bucal. 21: e494-504 (2016).
Artun, J., Behbehani, F., Thalib, L. Prediction of Maxillary Third Molar Impaction in Adolescent Orthodontic Patients. Angle Orthodontist, 75: 904-911 (2005).
Badenoch-Jones, E.K., David, M., Lincoln, T. Piezoelectric compared with conventional rotary osteotomyfor the prevention of postoperative sequelae and complications after surgical extraction of mandibular third molars: a systematic review and meta-analysis. Br J Oral Maxillofac Surg, 54: 1066–1079 (2016).
Baensch, F., Kriwalsky, M.S., Kleffmann, W., Kunkel, M. Third Molar Complications in the Elderly—A Matched-Pairs Analysis. J Oral Maxillofac Surg, 75: 680-686 (2017).
Baycul, T., Sagalam, A.A., Aydin, U. and Basak, K. Incidence of cystic changes in radiographically normal impacted lower third molar follicles. Oral Surg Oral Med Oral Pathol Oral Radiol Endod, 00 (2005).
Berge, T.I. Complications requiring hospitalization after third-molar surgery. Acta Odontol Scand, 54: 24-28 (1996).
Berge, T.I. Incidence of infections requiring hospitalization associated with partially erupted third molars. Acta Odontol Scand, 54: 309-313 (1996).
Berge, T.I. Incidence of large third-molar-associated cystic lesions requiring hospitalization. Acta Odontol Scand, 54: 327-331 (1996).
Bezerra, T.-P., Studart-Soares, E.-C., Pita-Neto, I.-C., Costa, F.-W.-G. and Batista, S.-H.-B. Do third molars weaken the mandibular angle? Med Oral Patol Cir Bucal, 16: e656-663 (2011).
Blakey, G.H., Gelesko, S., Marciani, R.D., Haug, R.H., Offenbacher, S., Phillips, C. and White, R.P. Third Molars and Periodontal Pathology in American Adolescents and Young Adults: A Prevalence Study. J Oral Maxillofac Surg, 68: 325-329 (2010).
Blakey, G.H., Jacks, M.T., Offenbacher, S., Nance, P.E., Phillips, C., Haug, R.H. and White, R.P. Progression of Periodontal Disease in the Second/Third Molar Region in Subjects with Asymptomatic Third Molars. J Oral Maxillofac Surg, 64: 189-193 (2006).
Blakey, G.H., Marciani, R.D., Offenbacher, S., Pabla, T. and White, R.P. Periodontal Pathology Associated with Asymptomatic Third Molars. J Oral Maxillofac Surg, 60: 1227-1233 (2002).
Blakey, G.H., Parker, D.W., White, R.P., Offenbacher, S., Philipps, C. and Haug, R.H. Impact of Removal of Asymptomatic Third Molars on Periodontal Pathology. J Oral Maxillofac Surg, 67: 245-250 (2009).
Bouloux, G.F., Busaidy, K.F., Beirne, O.R., Chuang, S.K., Dodson, T.B.: What is the Risk of Future Extraction of Asymptomatic Third Molars? A Systematic Review. J Oral Maxillofac Surg, 73: 806-811 (2015).
Chuang, S.-K., Perrott, D.H., Sursala, S.M. and Dodson, T.B. Age as a Risk Factor for Third Molar Surgery Complications. J Oral Maxillofac Surg, 65: 1685-1692 (2007).
Chuang, S.-K., Perrott, D.H., Sursala, S.M. and Dodson, T.B. Risk Factors for Inflammatory Complications Following Third Molar Surgery in Adults. J Oral Maxillofac Surg, 66: 2213-2218 (2008).
Cilasun, U., Guzeldemir, E. and Pektas, Z.O. Coronectomy in Patients with High Risk of Inferior Alveolar Nerve Injury Diagnosed by Computer Tomography. J Oral Maxillofac Surg, 69: 1557-1561 (2011).
Daly B., Sharif M.O., Newton T., Jones K., Worthington H.V. Local interventions for the management of alveolar osteitis (dry socket). Cochrane Database of Systematic Reviews 2012, Issue 12. Art. No.: CD006968. DOI: 10.1002/14651858.CD006968.pub2.
Dunstan, S.P. and Sugar, A.W. Fractures after removal of wisdom teeth. Br J Oral Maxillofac Surg, 35: 396-397 (1997).
Eklund, S.A. and Pittmann, J.L. Third molar removal patterns in an insured population. JADA, 132: 469-475 (2001).
Eliav, E. and Gracely, R.H. Sensory changes in the territory of the inferior alveolar nerves following lower third molar extraction. Pain, 77: 191-199 (1998).
Ethunandan, M., Shanahan, D., Patel, M. Iatrogenic mandibular fractures following removal of impacted third molars: an analysis of 130 cases. Br Dent J, 212: 179-184 (2012).
Fernandes, M.J., Ogden, G.R., Pitts, N.B., Ogston, S.A. and Ruta, D.A. Incidence of symptoms in previously symptom-free impacted lower third molars assessed in general dental practice. Br Dent J, 207: E10 (2009).
Filippi, A., Irnich, G., Kirschner, H. and Pohl, Y. Lokale Beeinflussbarkeit der Wundheilung nach Osteotomie dritter Molaren. Quintessenz, 51: 337-344 (2000).
Fisher, E.L., Moss, K.L., Offenbacher, S., Beck, J.D. and White, R.P. Third Molar Caries Experience in Middle-Aged and Older Americans: A Prevalence Study. J Oral Maxillofac Surg, 68: 634-640 (2010).
Fuselier, J.C., Ellis, E.E. and Dodson, B. Do mandibular third molars alter the risk of angle fractures? J Oral Maxillofac Surg, 60: 514-518 (2002).
Ghaeminia, H., Meijer, G.J., Soehardi, A., Borstlap, W.A., Mulder, J. and Berge, S.J. Position of the impacted third molar in relation to the mandibular canal. Diagnostic accuracy of cone beam computed tomography compared with panoramic radiography. Int J Oral Maxillofac Surg, 38: 964-971 (2009).
Ghaeminia, H., Meijer, G.J., Soehardi, A., Borstlap, W.A., Mulder, J., Vlijmen, O.J.C., Bergé, S.J. and Maal, T.J.J. The use of cone beam CT for the removal of wisdom teeth chances the surgical approach compared with panoramic radiography: a pilot study. Int J Oral Maxillofac Surg, 40: 834-839 (2011).
Ghaeminia, H., Gerlach, N.L., Hoppenreijs, T.J., Kicken, M., Dings, J.P., Borstlap, W.A, de Haan, T., Bergé, S.J., Meijer, G.J., Maal, T.J.J. Clinical relevance of cone beam computed tomography in mandibular third molar removal: A multicentre, randomised, controlled trial. J Cranio Maxillofac Surg, 43: 2158e2167 (2015).
Ghaeminia, H., Perry, J., Nienhuijs, M.E.L., Toedtling, V., Tummers, M., Hoppenreijs, T.J.M., Van der Sanden, W.J.M., Mettes, T.G. Surgical removal versus retention for the management of asymptomatic disease-free impacted wisdomteeth. Cochrane Database of Systematic Reviews 2016, Issue 8. Art. No.: CD003879. DOI: 10.1002/14651858.CD003879.pub4.
Givol, N., Rosen, E., Bjørndal, L., Taschieri, S., Ofec, R., Tsesis, I. Medico-legal aspects of altered sensation following endodontic treatment: a retrospective case series. Oral Surg Oral Med Oral Pathol Oral Radiol Endod, 112:126-131 (2011).
Grau-Manclus, V., Gargallo-Albtol, J., Almendros-Marques, N. and Gay-Escoda, C. Mandibular Fractures Related to the Surgical Extraction of Impacted Lower Third Molars: A Report of 11 Cases. J Oral Maxillofac Surg, 69: 1286 - 1290 (2011).
Gülicher, D. and Gerlach, K.L. Inzidenz, Risikofaktoren und Verlauf von Sensibilitätsstörungen nach operativer Weisheitszahnentfernung. Mund Kiefer GesichtsChir, 4: 99-104 (2000).
Hägler, G. and Reich, R.H. Risiko und Vermeidung von Läsionen des N. lingualis bei der Weisheitszahnosteotomie. Mund Kiefer GesichtsChir, 6: 34-39 (2002).
Harradine, N.W.T., Pearson, M.H. and Toth, B. The Effect of Extraction of Third Molars on Late Lower Incisor Crowding: A Randomized Controlled Trial. Br J Orthod, 25: 117-122 (1998).
Hatano, Y., Kurita, K., Kuroiwa, Y., Yuasa, H. and Ariji, E. Clinical Evaluations of Coronectomy (Intentional Partial Odontectomy) for Mandibular Third Molars Using Dental Computed Tomograhy: A Case-Control Study. J Oral Maxillofac Surg, 67: 1806-1814 (2009).
Hugoson, A. and Kugelberg, C.F. The prevalence of third molars in a swedish population. Community Dent Health, 5: 121-138 (1988).
Isiordia-Espinoza, M.A. Aragon-Martinez, O.H., Martínez-Morales J.F., Zapata-Moralesca J.R. Risk of wound infection and safety profile of amoxicillin inhealthy patients which required third molar surgery: a systematic review and meta-analysis. Br J Oral Maxillofac Surg, 53: 796–804 (2015).
Jiang, Q., Qiu, Y.,Yang, Ch., Yang, J., Chen, M., Zhang, Z. Piezoelectric Versus Conventional Rotary Techniques for Impacted Third Molar Extraction. A Meta-analysis of Randomized Controlled Trials. Medicine, 94: DOI: 10.1097/MD.0000000000001685 (2015).
Joshi, A., Goel, M., Thorat, A. Identifying risk factors causing iatrogenic mandibular fractures associated with exodontia: a systematic meta-analysis of 200 cases from 1953 to 2015. Oral Maxillofac Surg, 20: 391-396 (2016).
Kang, F., Cheng, H., Sak, M.K., Jiang, B. Effect of Eruption Status of the Mandibular Third Molar on Distal Caries in the Adjacent Second Molar. J Oral Maxillofac Surg, 74: 684-692 (2016).
Kim, J.W., Cha, I.H., Kim, S.J., Kim, M.R. Which risk factors are associated with neurosensory deficits of inferior alveolar nerve after mandibular third molar extraction? J Oral Maxillofac Surg, 70: 2508-2514 (2012).
Kim, T.W., Artun, J., Behbehani, F., Artese, F. Prevalence of third molar impaction in orthodontic patients treated nonextraction and with extraction of 4 premolars. Am J Orthod Dentofacial Orthop, 123: 138-145 (2003).
Kjølle G.K., Bjørnland, T. Low risk of neurosensory dysfunction after mandibular third molar surgery in patients less than 30 years of age. Oral Surg Oral med Oral Pathol Oral Radiol, 116: 411-417 (2013).
Knutsson, K., Brehmer, B., Lysell, L. and Rohlin, M., Pathoses associated with mandibular third molars subjected to removal. Oral Surg Oral Med Oral Pathol Oral Radiol Endod, 82: 10-17 (1996).
Kruger, E., Thomson, W.M., Konthasinghe, P. Third molar outcomes from age 18 to 26. Findings from a population-based New Zealand longitudinal study. Oral Surg Oral Med Oral Pathol Oral Radiol Endod, 92: 150-155 (2001).
Kugelberg, C.F. Periodontal healing two and four years after impacted lower third molar surgery. Int J Oral Maxillofac Surg, 19: 341-345 (1990).
Kugelberg, C.F., Ahlström, U., Ericson, S., Hugoson, A, Thilander, H. The influence of anatomical, pathophysiological and other factors on periodontal healing after impacted lower third molar surgery - A multiple regression analysis. J Clin Periodontol, 18: 37-43 (1991).
Kunkel, M., Kleis, W., Morbach, T., Wagner, W. Severe Third Molar Complications Including Death - Lessons from 100 Cases Requiring Hospitalization. J Oral Maxilllofac Surg, 65: 1700-1706 (2007).
KZBV-Jahrbuch 2017. Kassenzahnärztliche Bundesvereinigung (KZBV), ISBN 978-3-944629-05-6.
Landi, L., Mancione, P.F., Piccinelli, S. A Novel Surgical Approach to Impacted Mandibular Third Molars to reduce the Risk of Paresthesia. J Oral Maxillofac Surg, 68: 969-974 (2010).
Lang, M.S., Gonzalez, M.L., Dodson, T.B. Do Antibiotics Decrease the Risk of Inflammatory Complications After Third Molar Removal in Community Practices? J Oral Maxillofac Surg, 75: 249-255 (2017).
Lata, J., Tiwari, A.K. Incidence of lingual nerve paraesthesia following mandibular third molar surgery. Nat J Maxillofac Surg, 2: 137-140 (2011).
Leung, Y.Y. Coronectomy of lower third molars with and without guidedbony regeneration: a pilot study. Br J Oral Maxillofac Surg, 54: 155–159 (2016).
Leung, Y.Y., Cheung, L.K. Risk factors of neurosensory deficits in lower third molar surgery: a literature review of prospective studies. Int J Oral Maxillofac Surg, 40: 1-10 (2011).
Leung, Y.Y., Cheung, L.K. Safety of coronectomy versus excision of wisdom teeth: A randomized controlled trial. Oral Surg Oral Med Oral Pathol Oral Radiol Endod, 108: 821-827 (2009).
Leung, Y.Y., Cheung, L.K. Long-term morbidities of coronectomy on lower third molar. Oral Surg Oral Med Oral Pathol Oral Radiol, 121: 5-11 (2016).
Libersa, P., Roze, D., Cachart, T. and Libersa, J.C. Immediate and Late Mandibular Fractures After Third Molar Removal. J Oral Maxillofac Surg, 60: 163-165 (2002).
Liedholm, R., Knutson, K., Norlund, A. Economic aspects of mandibular third molar surgery. Acta Odontologica Scandinavica, 68: 43-48 (2010).
Lim, A.A., Wong, C.W., Allen, J.C. Maxillary third molar: patterns of impaction and their relation to oroantral perforation. J Oral Maxillofac Surg, 70: 1035-1039 (2012).
Lindquist, B., Thilander, B. Extraction of third molars in cases of anticipated crowding in the lower jaw. Am J Orthod, 81: 130-139 (1982).
Lodi G., Figini L., Sardella A., Carrassi A., Del Fabbro M., Furness S. Antibiotics to prevent complications following tooth extractions (Review). Cochrane Database of Systematic Reviews 2012, Issue 11. Art. No.: CD003811. DOI: 10.1002/14651858.CD003811.pub2.
Lübbers, H.T., Matthews, F., Damerau, G., Kruse, A.L., Obwegeser, J.A., Grätz, K.W., Eyrich, G.E. Anatomy of impacted lower third molars evaluated by computerized tomography: Is there an indication for 3 dimensional imaging? Oral Surg Oral Med Oral Pathol Oral Radiol Endod, 111: 547-50 (2011).
Marcussen, K.N., Laulund, A, S, Jørgensen, H.L., Pinholt, E.M. A Systematic Review on Effect of Single-Dose Preoperative Antibiotics at Surgical Osteotomy Extraction of Lower Third Molars. J Oral Maxillofac Surg, 74: 693-703 (2016).
McArdle, L.W., Patel, N., Jones, J., McDonald, F. The mesially impacted mandibular third molar: The incidence and consequences of distal cervical caries in the mandibular second molar. DOI: 10.1016/j.surge.2016.05.001.
McGrath, C., Comfort, M.B., Lo, E.C.M. and Luo, Y. Changes in life quality following third molar surgery - the immediate postoperative period. Br Dent J, 194: 265-268 (2003).
Al-Moraissi, E.A., Elmansi, Y.A., Al-Sharaee Y.A., Alrmali, A.E., Alkhutari A.S. Does the piezoelectric surgical technique produce fewer postoperative sequelae after lower third molar surgery thanc onventional rotary instruments? A systematic review and meta analysis. Int J Oral Maxillofac Surg, 45: 383–391 (2016).
Neugebauer, J., Shirani, R., Mischkowski, R.A., Ritter, L., Scheer, M., Keeve, E., Zoeller, J.E. Comparison of cone-beam volumetric imaging and combined plain radiographs for localization of the mandibular canal before removal of impacted lower third molars. Oral Surg Oral Med Oral Pathol Oral Radiol Endod, 105: 633-642 (2008).
Nunn, M.E., Fish, M.D., Garcia, R.I., Kaye, E.K., Figueroa, R., Gohel, A., Ito, M., Lee, H.J., Williams, D.E., Miyamoto, T. Retained Asymptomatic Third Molars and Risk for Second Molar Pathology. J Dent Res, 92: 1095-1099 (2013).
Oenning, A.C.C., Melo, S.L.S., Groppo, F.C., Haiter-Nero, F. Mesial Inclination of Impacted Third Molars and its Propensity to Stimulate External Root Resorption in Second Molars – A Cone-Beam Computed Tomographic Evaluation. J Oral Maxillofac Surg, 73: 379-386 (2015).
Oenning, A.C.C., Neves, F.S., Alencar, P.N.B., Prado, R.F., Groppo, F.C., Haiter-Nero, F. External Root Resorption of the Second Molar Associated With Third Molar Impaction: Comparison of Panoramic Radiography and Cone Beam Computed Tomography. J Oral Maxillofac Surg, 72: 1444-1455 (2014).
O´Riordan, B.C. Coronectomy (intentional partial odontectomy of lower third molars). Oral Surg Oral Med Oral Pathol Oral Radiol Endod, 98: 274-280 (2004).
Philipsen, H.P., Reichart, P.A. Unicystic ameloblastoma. A review of 193 cases from the literature. Oral Oncology, 34: 317-325 (1998).
Pogrel, M.A., Lee, J.S., Muff, D.F. Coronectomy: A Technique to Protect Inferior Alveolar Nerve. J Oral Maxillofac Surg, 62: 1447-1452 (2004).
Polat, H.B., Özan, F., Kara, I., Özdemir, H., Ay, S. Prevalence of commonly found pathoses associated with mandibular impacted third molars based on panoramic radiographs in Turkish population. Oral Surg Oral Med Oral Pathol Oral Radiol Endod, 105: e41-e47 (2008).
Pratt, C.A., Hekmar, M., Barnard, J.D.W., Zaki, G.A. Indications for third molar surgery. J R Coll Surg Edinb, 43: 105-108 (1998).
Punwutikorn, J., Waikakul, A., Ochareon, P. Symptoms of unerupted mandibular third molars. Oral Surg Oral Med Oral Pathol Oral Radiol Endod, 87: 305-310 (1999).
Punwutikorn, J., Waikakul, A., Pairuchvej, V. Clinically significant oroantral communications - a study of incidence and site. Int J Oral Maxillofac Surg, 23: 19-21 (1994).
Rakprasitkul, S. Pathologic changes in the pericoronal tissues of unerupted third molars. Quintessence Int, 32: 633-638 (2001).
Ramos, E., Santamaría, J., Santamaría, G., Barbier, L., Arteagoitia, I. Do systemic antibiotics prevent dry socket and infection after third molar extraction? A systematic review and meta-analysis. Oral Surg Oral Med Oral Pathol Oral Radiol, 122: 403-425 (2016).
Ren, Y.F., Malmstrom, H.S. Effectiveness of Antibiotic Prophylaxis in Third Molar Surgery: A Meta-Analysis of Randomized Controlled Clinical Trials. J Oral Maxillofac Surg, 65: 1909-1921 (2007).
Renton, T., Hankins, M., Sproate, C., McGurk, M. A randomised controlled clinical trial to compare the incidence of injury to the inferior alveolar nerve as a result of coronectomy and removal of mandibular third molars. Br J Oral Maxillofac Surg, 43: 7-12 (2005).
Renton, T., McGurk, M. Evaluation of factors predictive of lingual nerve injury in third molar surgery. Br J Oral Maxillofac Surg, 39: 423-428 (2001).
Renton, T., Al-Haboubi, M., Pau, A., Shepherd, J., Gallagher, J.E. What Has Been the United Kingdom’s Experience With Retention of Third Molars? J Oral Maxillofac Surg, 70 (Suppl 1): 48-57 (2012).
del Rey-Santamaría, M., Valmaseda Castellón, E., Berini Aytés, L., Gay Escoda, C. Incidence of oral sinus communications in 389 upper third molar extraction. Med Oral Patol Oral Cir Bucal, 11: E334-338 (2006).
Roberts, R.C., Bacchetti, P., Pogrel, M.A. Frequency of Trigeminal Nerve Injuries Following Third Molar Removal. J Oral Maxillofac Surg, 63: 732-735 (2005).
Rodríguez Sánchez, F., Rodríguez Andrés, C., Arteagoitia Calvo, I. Does Chlorhexidine Prevent Alveolar Osteitis After Third Molar Extractions? Systematic Review and Meta-Analysis. J Oral Maxillofac Surg, 75: 901-914 (2017).
Roeder, F., Wachtlin, D., Schulze, R., Necessity of 3D visualization for the removal of lower wisdom teeth: required sample size to prove non-inferiority of panoramic radiography compared to CBCT. Clin Oral Investig, 16: 699-706 (2012).
Rothamel, D., Wahl, G., d'Hoedt, B., Nentwig, G.H., Schwarz, F., Becker J. Incidence and predictive factors for perforation oft he maxillary antrum in operations to remove upper wisdom teeth: prospective multicentre study. Br J Oral Maxillofac Surg, 45: 387-391 (2007).
Selvi, F., Dodson, T.B., Nattestad, A., Robertson, K., Tolstunov, L. Factors that are associated with injury to the inferior alveolar nerve in high-risk patients after removal of third molars. Br J Oral Maxillofac Surg, 51: 868-873 (2013).
Sigron, G.R. Pourmand, P.P., Mache, B., Stadlinger, B., Locher, M.C. The most common complications after wisdom-tooth removal. Part 1. Swiss Dent J, 124: 1042-1046 (2014).
Simşek-Kaya, G., Özbek, E., Kalkan, Y., Yapici, G., Dayi, E., Demrci, T. Soft tissue pathosis associated with asymptomatic impacted lower third molars. Med Oral Patol Oral Cir Bucal, 16: e929-936 (2011).
Smith, A.C., Barry, S.E., Chiong, A.Y., Hadzakis, D., Kha, S.L., Mok, S.C., Sable, D.L. Inferior alveolar nerve damage following removal of mandibular third molar teeth. A prospective study using panoramic radiography. Aust Dent J, 42: 149-152 (1997).
Song, F., O’Meara, S., Wilson, P., Golder, S., Kleijnen, J. The effectiveness and cost-effectiveness of prophylactic removal of wisdom teeth. Health Technol Assess, 4 (1): 1-55 (2000).
Strietzel, F.P., Reichart, P.A. Wundheilung nach operativer Weisheitszahnentfernung. Mund Kiefer GesichtsChir, 6: 74-84 (2002).
Suomalainen, A., Ventä, I., Mattila, M., Turtola, L., Vehmas, T., Peltola, J.S. Reliability of CBCT and other radiographic methods in preoperative evaluation of lower third molars. Oral Surg Oral Med Oral Pathol Oral Radiol Endod, 109: 276-284 (2010).
Sursala, S.M., Dodson, T.B. Preoperative Computed Tomography Imaging in the Management of Impacted Mandibular Third Molars. J Oral Maxillofac Surg, 65: 83-88 (2007).
Taberner-Vallverdú, M., Sánchez-Garcés, M.Á., Gay-Escoda, C. Efficacy of different methods used for dry socket prevention and risk factor analysis: A systematic review. Med Oral Patol Oral Cir Bucal, 22: e750-758 (2017).
Tantanapornkul, W., Okouchi, K., Fujiwara, Y., Yamashiro, M., Marukoa, Y., Ohbayashi, N., Kurabayashi, T. A comparative study of cone-beam computed tomography and conventional panoramic radiography in assessing the topographic relationship between the mandibular canal and impacted third molars. Oral Surg Oral Med Oral Pathol Oral Radiol Endod, 103: 253-259 (2007).
Thangavelu, A., Yoganandha, R., Vaidhyanathan, A. Impact of impacted mandibular third molars in mandibular angle and condylar fractures. Int J Oral Maxillofac Surg, 39: 136-139 (2010).
Tolstunov, L., Javid, B., Keyes, L., Nattestad, A. Pericoronal Ostectomy: An Alternative Surgical Technique for Management of Mandibular Third Molars in Close Proximity to the Inferior Alveolar Nerve. J Oral Maxillofac Surg, 69: 1858-1866 (2011).
Valmaseda-Castellon, E., Berini-Aytes, L., Gay-Escoda, C. Inferior alveolar nerve damage after lower third molar surgical extraction: A prospective study of 1117 surgical extractions. Oral Surg Oral Med Oral Pathol Oral Radiol Endod, 92: 377-383 (2001).
Ventä, I., Lindqvist, C., Ylipaavalniemi, P. Malpractice claims for permanent nerve injuries related to third molar removals. Acta Odontol Scand, 56: 193-196 (1998).
Wang, Y., He, D., Yang, C., Wang, B., Qian, W. An easy way to apply orthodontic extraction for impacted lower third molar compressing to the inferior alveolar nerve. J Craniomaxillofac Surg, 40: 234-237 (2012).
Wang, D., He, X., Wang, Y., Li, Z., Zhu, Y., Sun, C., Ye, J., Jiang, H., Cheng, J. External root resorption of the second molar associated with mesially and horizontally impacted mandibular third molar: evidence from cone beam computed tomography. Clin Oral Invest, 21: 1335–1342 (2017).
Werkmeister, R., Fillies, T., Joos, U., Smolka, K. Relationship between lower wisdom tooth position and cyst development, deep abscess formation and mandibular fractures. J Craniomaxillofac Surg, 33: 164-168 (2005).
Worrall, S.F., Riden, K., Haskell, R., Corrigan, A.M. UK National Third Molar project: the initial report. Br J Oral Maxillofac Surg, 36: 14-18 (1998).
Yamaoka, M., Furusawa, K., Ikeda, M., Hasegawa, T. Root resorption of mandibular second molar teeth associated with the presence of the third molars. Aust Dent J, 44: 112-116 (1999).
Yamaoka, M., Tambo, A., Furusawa, K. Incidence of inflammation in completely lower third molars. Aust Dent J, 42: 153-155 (1997).
Yildirim, G., Ataoglu, H., Mihmanli, A., Kiziloglu, D., Avunduk, M.C. Pathologic changes in soft tissues associated with asymptomatic impacted third molars. Oral Surg Oral Med Oral Pathol Oral Radiol Endod, 106: 14-16 (2008).
Yoshii, T., Hamamoto, Y., Muraoka, S., Kohjitani, A., Teranobu, O., Furudoi, S., Komori, T. Incidence of deep fascial space infection after surgical removal of the mandibular third molars. J Infect Chemother, 7: 55-57 (2001).
Zaura, E., Brandt, B.W., Teixeira de Mattos, M.J., Buijs, M.J., Caspers, M.P.M., Rashid, M.U., Weintraub, A, Nord, C.E., Savell,A., Hu, Y., Coates, A.R. Hubank, M., Spratt, D.A., Wilson, M., Keijser, B.J.F., Crielaard, W. Same Exposure but Two Radically Different Responses to Antibiotics: Resilience of the Salivary Microbiome versus Long-Term Microbial Shifts in Feces. mBio, 6: e01693-15. doi:10.1128/mBio.01693-15.








