Betelnüsse und Straßenzahnärzte
Nachdem ich im Januar dieses Jahres mein Examen in München absolviert und zwei Monate für ein zahnärztliches Hilfsprojekt in Brasilien verbracht hatte, startete im April die Reise nach Karatschi mit der Hilfsorganisation „WE.care Germany e. V.“. Regelmäßig organisiert WE.care Dental Camps in Pakistan, bei denen Bedürftige aus Armenvierteln behandelt werden.
Drei Wochen lang habe ich an der Seite von Dr. Kashif Chughtai, Gründer von WE.care Germany e.V., und Dr. Gulfam Atif, Zahnärztin in der Klinik „Al Mustafa Trust Clifton Medical Centre Karachi“, gearbeitet. Behandelt haben wir vor allem Menschen aus dem nächstgelegenen Armenviertel „Shirin Jinnah Colony“, doch es gab auch Patienten, die einen stundenlangen Anreiseweg hinter sich hatten. Das Wartezimmer war jeden Tag komplett ausgelastet, in drei Wochen konnten wir 286 Patienten konservierend und chirurgisch behandeln. Bis auf eine kurze Chai-Pause (pakistanischer Tee) wurde von morgens bis abends durchgearbeitet, um möglichst vielen helfen zu können.
Montag früh, 9 Uhr: Der 40-Jährige Waqas betritt mit schmerzverzerrtem Gesicht und einer Schwellung am Unterkiefer den Behandlungsraum. „Dawa, dawa“ sagt er, was „Medikament“ auf Paschtu heißt. Mehr will er gar nicht. Dass wir ihn untersuchen, möchte er auf keinen Fall. „Beim Zahnarzt stecke ich mich bloß mit Hepatits an!“ Leider nicht der einzige Patient in Karatschi, der so denkt.
Eine Krone für einen Euro
Karatschi ist die größte Wirtschafts- und Finanzmetropole Pakistans. Fast 15 Millionen Einwohner, aufstrebende Hafenstadt – gleichzeitig leben viele Menschen in Armutsvierteln, wo sie keinen Zugang zu Bildung und einer adäquaten medizinischen Versorgung haben. Zahnbehandlungen sind für viele unbezahlbar. Eine Vollzeit arbeitende Reinigungskraft verdient in der Klinik gerade mal umgerechnet 50 Euro im Monat. Die Konsequenz daraus ist, dass viele so lange auf einen Zahnarztbesuch warten, bis die Schmerzen nicht mehr auszuhalten sind. Davor werden bei Zahnproblemen häufig erst viele Schmerzmittel und Antibiotika (die in Pakistan freiverkäuflich sind!) eingenommen.
Die ersten „Behandlungen“ erfolgen dann oft bei unqualifizierten Straßenzahnärzten. Erschwinglich, aber unter katastrophalen hygienischen Bedingungen. Für umgerechnet einen Euro gibt es dort schon eine Kronenversorgung. Woher die Straßenzahnärzte kommen, kann keiner so genau sagen. Einige haben zuvor als Zahnarzthelfer gearbeitet und sich dann als „Straßenzahnarzt“ selbstständig gemacht. Das ist den meisten Patienten aber egal, solange ihnen der Schmerz genommen wird, denn einen richtigen Zahnarzt können sie sich schlicht nicht leisten.
Viele unter solchen Bedingungen behandelte Zähne mussten wir bei unserem Einsatz leider extrahieren. Ein viel gravierenderes Problem ist allerdings die Tatsache, dass sich aufgrund der schlechten Hygiene dort viele Patienten mit Hepatitis anstecken. Daher kommt auch die Angst in der Bevölkerung, sich bei einem Zahnarztbesuch mit einer Infektionskrankheit anstecken zu können.
Ein großes Problem: Es gibt keine standardisierten Behandlungsverfahren in der Tumordiagnostik und -therapie von Mundhöhlenerkrankungen. So hatten wir es mit einer 16-jährigen Patientin zu tun, deren Vater sich mit einem Hilferuf an uns gewendet hatte. Seine Tochter habe seit etwa sechs Monaten eine Schwellung am Gaumen. Bis zu unserem Kennenlernen sei sie nur von einem Arzt zum anderen geschickt worden, ohne dass eine adäquate Diagnose, ganz abgesehen von einem Therapieversuch, erfolgt sei. Wir konnten erreichen, dass sich die MKG eines Universitätsklinikums in Karatschi ihres Falles angenommen hat. Leider zu spät: Am 1.8.19 hat uns die Nachricht erreicht, dass bei der Patientin zudem ein Tumor in der Nebenschilddrüse festgestellt worden ist und sie in Folge an der Tumorerkrankung verstorben sei.
Mundhöhlenveränderungen und -tumore sind nicht selten in Karatschi. Eine der Ursachen: die hoch kanzerogene Betelnuss. Sei es in Form von dem Kautabak „Guttka“, einer Mischung aus zerkleinerter Betelnuss und Tabak, die ins Vestibulum eingebracht wird und dort für mehrere Stunden verbleibt. Oder in Form des sogenannten „Paan“, eine in ein Blatt eingerollte zerkleinerte Betelnuss mit Tabak oder Gewürzen wie Zimt und Nelke. Das Kauen hat einen stimulierenden und berauschenden Effekt. Paan-Shops gibt es fast überall in der Stadt. Sie sind leicht zugänglich und billiger als Zigaretten. Dass Paan ohne Tabak ebenfalls schädigend ist, ist vielen Verkäufern nicht bewusst, daher sieht man nicht selten bereits kleine Kinder beim Kauf von Paan.
Guttka ins Vestibulum
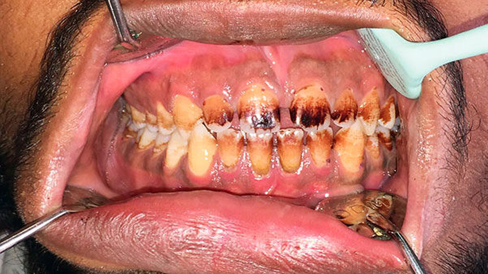
Bei unseren Behandlungen haben wir häufig Patienten mit gelb-orangenen bis rot-schwarzen Zahnverfärbungen gesehen, ein typisches Zeichen für die regelmäßige Einnahme von Guttka oder Paan. Gerade bei diesen Patienten zeigten sich vermehrt Schleimhautveränderungen in Form von Leukoplakien und Ulzerationen sowie oralen submukösen Fibrosen, die in ein Plattenepithelkarzinom ausarten können.
Cola in der Nuckelflasche
Neben unzähligen Füllungen, (chirurgischen) Extraktionen und Wurzelkanalbehandlungen war eine unserer Hauptaufgaben die Vorsorge- und Aufklärungsarbeit. Aufgrund fehlender Bildung fehlt auch das Bewusstsein für gesunde Ernährung und Mundhygiene. Cola in der Nuckelflasche, Süßigkeiten zum Frühstück – alltäglicher Anblick in den Straßen von Karatschi und unserem Wartezimmer in der Klinik. Daher nicht verwunderlich, die für mich sehr schockierenden Anblicke der Gebisszustände der Kinder mit tief kariös zerstörten Zähnen und Abszessen.
Um nachhaltige Erfolge durch das Projekt erzielen zu können, haben wir einen großen Fokus auf intensives Mundhygienetraining gelegt. Dafür sind wir unter anderem in eine Schule gegangen, mit aus Deutschland mitgebrachten Zahnbürsten und -pasta. Dort haben wir den Kindern im Alter von fünf bis 15 Jahren gezeigt, wie man die Zähne richtig putzt und wie wichtig eine gesunde Ernährung ist. Einige Schüler haben zum ersten Mal eine Zahnbürste in ihrer Hand gehalten. Auf die Frage, wieso sie noch nie ihre Zähne geputzt haben, kamen Antworten wie „Zu Hause gibt es kein Geld für Zahnbürsten“ oder „Ich wusste nicht, dass man als Kind schon die Zähne putzen muss“. Die Kinder waren sehr begeistert von unserem Besuch und haben motiviert mitgearbeitet. Wir haben die Hoffnung, dass durch diese Aufklärungsarbeit ein Schneeballeffekt erreicht wird und die Kinder das neu erlernte Wissen an ihre Familien weitergeben und so möglichst viele Menschen von unserer Arbeit profitieren können.
Nach drei Wochen war das Abenteuer Karatschi zu Ende. Die Reise zurück nach Deutschland trat ich mit zwiespältigen Gefühlen an: Auf der einen Seite die Freude, so vielen Menschen geholfen zu haben und in so kurzer Zeit als frisch approbierte Zahnärztin viele interessante und komplexe Fälle behandelt zu haben. Die unendliche Dankbarkeit in den Augen der Patienten ist unbezahlbar. Auf der anderen Seite die Frustration über das nicht funktionierende medizinische System in Pakistan. Wir haben viel geschafft – und jeder noch so kleine Beitrag ist ein Schritt Richtung Veränderung. Die Hilfe von außen ist bitter nötig, um eine bessere medizinische Versorgung und ein Umdenken in der Gesellschaft zu erreichen. Aufklärungs- und Prophylaxearbeit sind das A und O für das nachhaltige Helfen.
Damit das Projekt vor Ort auch nach der Abreise des Teams aus Deutschland weiterläuft, werden im Rahmen des Camps pakistanische Zahnärzte und zahnmedizinisches Personal angelernt und deutsche Behandlungsstandards wie endodontische Behandlungen mit Kofferdam implementiert, ganz nach dem Motto „Hilfe zur Selbsthilfe“.
Rena Cheema
81241 München
Rena Cheema hat im Januar 2019 ihr Zahnmedizinstudium in München beendet und fuhr anschließend ins Dental Camp nach Karachi, Pakistan, als Unterstützung für Dr. Kashif Chughtai.
Die nächsten Einsätze sind bereits geplant. Wer Interesse hat bei einem Dental Camp mitzuwirken, kann sich gerne über die Webseite melden. Gesucht werden vor allem Zahnärzte, Mund-Kiefer-Gesichtschirurgen, Ärzte und zahnmedizinisches Personal.






