Ausgedehnte Keratozysten in der UK-Front eines zwölfjährigen Jungen
Ein zwölfjähriger Junge wurde in unsererKlinik zur Abklärung zweier unklarer, scharf begrenzter Raumforderungen der anterioren Mandibula vorgestellt. Diese fielen als Zufallsbefund im Rahmen eines Orthopantomogramms auf, das vom zuweisenden Kieferorthopäden angefertigt wurde. Aus der Allgemeinanamnese des Patienten ergaben sich keine Hinweise auf einen ursächlichen Zusammenhang.
Klinischer Befund
In der extraoralen Untersuchung zeigte sich ein regelhafter Befund. Schwellungen oder Asymmetrien lagen nicht vor. Die Sensibilitätsprüfung des N. mentalis erbrachte eine regelhafte Funktion. Intraoral imponierte eine tastbare, derbe, nicht schmerzhafte Schwellung, ausgehend von der Mandibula regio 33–43. Zahn 33 fehlte bei ansonsten altersentsprechendem Zahnstatus. Die Zähne 32 und 42 waren nach distalgekippt, 34 und 43 nach mesial. Es zeigten sich keine Lockerungen der Zähne und alle reagierten in der Sensibilitätstestung positiv.
Radiologischer Befund
Im OPG (Abbildung 1) sowie in der DVT (Abbildungen 2 bis 5) imponieren zwei scharf begrenzte osteolytische Befunde im Bereich der anterioren Mandibula regio 34–32 und 41–43. Der retinierte Zahn 33 liegt basal im Lumen der Aufhellung.
Therapie
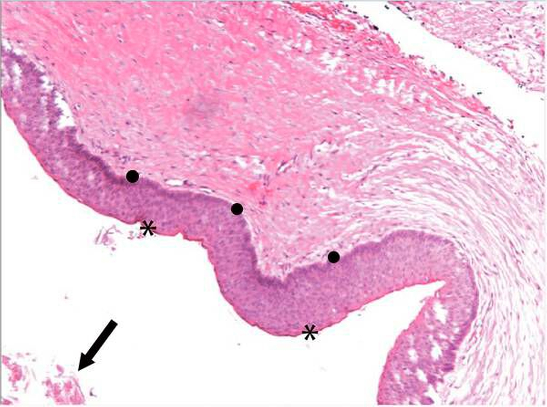
Zur Diagnosesicherung erfolgte eine Probeentnahme aus den zystischen Läsionen. Die pathohistologische Untersuchung ergab die Diagnose zweier odontogener Keratozysten (Abbildungen 7 und 8). Mit dem Ziel des Erhalts der Zähne 34–44 erfolgten die Enukleation der Keratozysten mit peripherer Ostektomie unter Schonung der Zahnwurzeln und die Defektfüllung mit autologer Beckenkammspongiosa und Knochenersatzmaterial (Bio-Oss®, Geistlich) über einen intraoralen Zugangin Allgemeinanästhesie. Im Rahmen desEingriffs wurde der retinierte und verlagerte Zahn 33 operativ entfernt. Abbildung 6 zeigt die postoperative Orthopantomografie mit Beckenkammspongiosa in den Defekten.
Verlauf
Sechs Monate postoperativ lagklinisch wie radiologisch kein Anhalt für ein Rezidiv vor. Das Verlaufs-OPG zeigt eine stadiengerechte, zufriedenstellende knöcherne Durchbauung der Defekte. Die verbliebenen Unterkieferfrontzähne konnten bislang erhalten werden und reagierten weiterhin positiv auf die Sensibiliätstestung ohne Lockerungszeichen. Der Verlauf wird im Rahmen eines regelmäßigen Recalls imIntervall von sechs Monaten kontrolliert. Geplant ist hierfür ein Zeitraum von sechs Jahren.
Diskussion
Odontogene Keratozysten sind mit einer Inzidenz von 4 bis 6 Prozent nach radikulären und follikulären Zysten die häufigsten odontogenen Kieferzysten [Bornstein et al., 2005]. Ätiologisch entstammen sie wahrscheinlich versprengten Epithelresten des Schmelzepithels, die während der Odontogeneseim Kiefer verblieben sind [Bornstein et al., 2005]. Keratozysten treten solitär oder multipel im Rahmen des Gorlin-Goltz-Syndroms auf und sind häufiger im Unter- als im Oberkiefer lokalisiert. Als Prädilektionsstelle gelten die Weisheitszahnregion beziehungsweise der Kieferwinkel- und Ramusbereich [Bornstein et al., 2005].
Odontogene Keratozysten bleiben häufig über lange Zeit klinisch inapparent und werden als radiologische Zufallsbefunde im Orthopantomogramm (OPG) entdeckt. Nicht selten haben sie zu diesem Zeitpunkt schon eine beträchtliche Ausdehnung erreicht. In 20 bis 25 Prozent der Fälle wird eine Verbindung mit retinierten Zähnen beschrieben.
Die Nomenklatur der Keratozyste wurde in den vergangen Jahren zweimal geändert. 2005 erfolgte im Rahmen der aktualisierten Auflage der WHO-Klassifikation der Kopf- Hals-Tumoren die Umbenennung der bis dato als odontogene Keratozyste beschriebenen Entität in keratozystisch odontogener Tumor. Diese Neubenennung erfolgte aufgrund der neoplastischen Eigenschaften des Befunds [Barnes et al., 2005]. 2017 erfolgte mit der aktuellen Neuauflage der Klassifikation die Rückkehr zur ursprünglichen Terminologie: Die ehemalige odontogene Keratozyste wird aktuell wieder als odontogene Keratozyste bezeichnet. [Baumhoer, 2017].
Bei entsprechender Größe können die Verdrängung von Nachbarzähnen sowie deren Lockerung, Wurzeldivergenzen und Wurzelresorptionen, Schwellungen, spontane Flüssigkeitsentleerungen und Schmerzen beobachtet werden. Eine Beeinträchtigung des N. alveolaris inferior ist selten undäußert sich als Par- beziehungsweise Hypästhesie im Bereich der Unterlippe und des Kinns [Bornstein et al., 2005].
Odontogene Keratozysten zeigen im Röntgenbild eine ein- oder mehrkammerige, in der Regel scharf begrenzte Struktur.
Histologisch werden zwei Varianten unterschieden: die ortho- und die parakeratinisierte Form, wobei die parakeratinisierte Keratozyste mit über 80 Prozent deutlich häufiger auftritt. Makroskopisch enthält die glattwandige Zyste mit dünnem, fragilem Balg ein chromgelbes Sekret, das in Konsistenz und Farbe Vanillepudding ähnelt.
Mikroskopisch imponiert der Zystenbalg typischerweise mit mehrschichtigem Plattenepithel, in der Regel etwa zehn Zellschichten sowie einer basalen Kernpalisade und einer scharfen, gewellt verlaufendenluminalen Begrenzung durch eine zarte Parakeratosezone, das heißt, eine Verhornungszone mit residuellen Kernen der verhornten Keratinozyten, von der sich zellkernlose Hornschuppen lösen, die sichdann im Zystenlumen finden. Randständige Tochterzysten sind gelegentlich nachweisbar und können die hohe Rezidivrate erklären. Sekundäre Infektionen können das histologische Erscheinungsbild verändern und zu einem Verlust der typischen histologischen Merkmale führen, was die sichere Zuordnung der Befunde erschwert [Bakos etal., 2014]. Maligne Transformationen zueinem Plattenepithelkarzinom wurden beschrieben, gelten allerdings als Rarität [Gardner, 1975].
Zur Therapie der odontogenen Keratozyste finden sich in der Literatur unzähligeArbeiten. Bis heute wurde kein optimaler therapeutischer Ansatz gefunden, der zum einen eine geringe Morbidität der Patienten und zum anderen eine gute, voraussagbare Langzeitprognose nach Entfernen der Befunde zu garantieren vermag.
Dr. Dr. Valentin Wiedemeyer
Abteilung für Mund-, Kiefer- und Plastische Gesichtschirurgie des Universitätsklinikum Bonn
Sigmund-Freud-Str. 25, 53127 Bonn
valentin.wiedemeyer@ukbonn.de
Dr. Nils Heim
Abteilung für Mund-, Kiefer- und Plastische Gesichtschirurgie des Universitätsklinikum Bonn
Sigmund-Freud-Str. 25, 53127 Bonn
nils.heim@ukbonn.de
PD Dr. Dr. Markus Martini
Abteilung für Mund-, Kiefer- und Plastische Gesichtschirurgie des Universitätsklinikum Bonn
Sigmund-Freud-Str. 25, 53127 Bonn
Fazit für die Praxis
Die Symptome zystischer Befunde der Kiefer sind meist unspezifisch.
Eine dreidimensionale Bildgebung zur Evaluation der Ausdehnung des Befunds und zur möglichen Beteiligung von Nachbarstrukturen ist sinnvoll. Hierfür sind DVT oder CT im Niedrigdosisprotokoll geeignet.
Zur Therapie von Keratozysten existieren multiple Ansätze, wobei die Enukleation mit peripherer Ostektomie und/oder Anwendung von Carnoy’scher Lösung die besten Ergebnisse bei geringer Komorbidität erbringt.
Postoperativ werden – bei hoher Rezidivneigung – regelmäßige radiologische und klinische Kontrollen über einen längeren Zeitraum empfohlen. Richtlinien bezüglich zeitlicher Intervalle existieren nicht.
Therapiemöglichkeiten
Zystostomie: Nach Eröffnung des Zystenlumens wird der Zugang mit einer Jodoform-Vaseline-Tamponade oder einem Obturator über Monate offen gehalten. Anschließend wird das verbliebene Zystengewebe in einem weiteren operativen Eingriff in toto entfernt. Dieses Verfahren kommt bei ausgedehnten Keratozysten im Unterkiefer und enger Lagebeziehung zu vitalen Strukturen, zum Beispiel zum N. alveolaris inferior, zum Einsatz.
Enukleation: Die Enukleation einer Keratozyste gilt als Goldstandard und eignet sich insbesondere für kleinere,einkammrige Keratozysten mit guter Zugangsmöglichkeit. Die Enukleation kann zur Maximierung der Sicherheit hinsichtlich einer vollständigen Entfernung mit peripherer Ostektomie und/oder Fixierung des Zystenbalgs mittels Carnoy’scher Lösung kombiniert werden. Der Einsatz der Carnoy’schen Lösung wird aufgrund ihrer zum Teil toxischen Inhaltsstoffe wegen einer möglichen Schädigung von Nachbarstrukturen kontrovers diskutiert.
Resektion: Hierbei handelt es sich um die invasivste Therapieoption. Sie wird, sofern möglich, vermieden. Die Resektion im Gesunden richtet sich nach der Ausdehnung der Zyste und kann kontinuitätserhaltend oder kontinuitätsunterbrechend sein. Aufgrund zum Teil hoher Rezidivraten, die sich abhängig von der gewählten Therapieoption stark unterscheiden, werden regelmäßige klinische und radiologische Verlaufskontrollen über mehrere Jahre empfohlen.
Literaturverzeichnis:
Bakos G, Fend F, Adam P. Pathologie odontogener Kieferhöhlenerkrankungen. MKG-Chirurg. 2014; 7:185–194
Barnes L, Eveson J W, Reichart P, Sidransky D. Pathology and genetics of head and neck tumours. Lyon, IARC Press 2005.
Baumhoer D. Odontogenic tumours and bone tumours of the jaw : Changes in the new WHO classification. Pathologe 2017.
Bornstein MM, Filippi A, Altermatt HJ, Lambrecht JT, Buser D. Die odontogene Keratozyste –odontogene Zyste oder benigner Tumor? Schweiz Monatsschr Zahnmed. 2005; 115:2
Gardner FA. A survey of odontogenic cysts and their relationship to squamous cell carcinoma. Journal of the Canadian Dental Association. 1975; 41 :161–167
















