Calculus dentis: Deshalb ist die Differenzialdiagnostik notwendig!
Die stationäre Vorstellung eines 68-jährigen Patienten erfolgte durch seinen Hauszahnarzt bei Verdacht auf eine Bisphosphonat-assoziierte Knochennekrose des Oberkiefers (Bisphosphonate-Related Osteonecrosis of the Jaw, BRONJ) zur Sanierung des Restzahnbestands und zur Abtragung des augenscheinlichen maxillären Knochensequesters. Anamnestisch war im Vorjahr die Diagnose eines ossär metastasierten Prostatakarzinoms gestellt und hierauf eine symptomatische intravenöse Bisphosphonat-Therapie mit Zoledronat (Zometa®) eingeleitet worden.
Bei Druckschmerzhaftigkeit im linken Oberkiefer und dort lokalisierter, stark gelockerter Brücke erfolgte die Überweisung des Patienten an die Abteilung für Mund-, Kiefer- und plastische Gesichtschirurgie der Universitätsmedizin Mainz. Klinisch stellte sich der Befund als druckschmerzhafte Strukturveränderung des Hartgewebes unterhalb der maxillär lokalisierten Brücke im rechten Oberkiefer bei drittgradig gelockerter Restbezahnung und insgesamt schlechter Mundhygiene dar (Abbildungen 1 und 2).
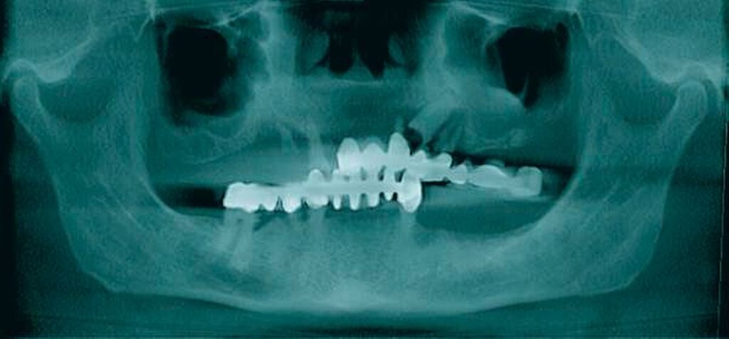
In der durchgeführten radiologischen Diagnostik zeigten sich ausgeprägte Parodontopathien mit Verdacht auf eine BRONJ bei gut begrenzter radiologischer Aufhellung mit Kieferhöhlenbeteilung (Abbildungen 3 bis 5). Unter der Verdachtsdiagnose einer BRONJ wurde somit die Indikation zur Zahnsanierung mit Exzision der pathologischen Veränderung im Oberkiefer gestellt. Nach Entfernung der gelockerten Brücke zusammen mit den die Brücke tragenden Zähnen zeigten sich große Mengen harten, anhaftenden Gewebes (Abbildung 6); der unter dem Befund liegende Knochen stellte sich klinisch als vital und ohne Anzeichen einer Nekrose dar.
Nach Extraktion der restlichen, nicht erhaltungswürdigen Zähne erfolgte die Entnahme der innerhalb des Sinus maxillaris lokalisierten Polyposa zur histopathologischen Aufarbeitung. Nach plastischer Deckung der Extraktionsalveolen wurde der Patient zwei Tage postoperativ unter intravenöser Antibiose geführt und anschließend entlassen. Im Rahmen der direkten Nachsorge sowie in den folgenden Jahren kam es zu keinen Komplikationen.
Die feingewebliche mikroskopische Analyse wies eine fokale Ansammlung von Bakterien-Kolonien in fragmentiert vorliegendem Zelldetritus mit teilweise entzündlicher Überlagerung – im Sinne von Calculus dentis, also von Zahnstein – nach.
Diskussion
Die Differenzialdiagnostik radiologischer Befunde stellt in der zahnärztlichen Praxis – insbesondere aufgrund der großen Zahl möglicher Ursachen bei heterogener Befundkonstellation – eine besondere Herausforderung dar. Wie im vorliegenden Fall ist die Stellung einer Diagnose allein auf der Grundlage der klinischen Präsentation nicht sicher zu gewährleisten, so dass zur Differenzierung möglicher Ursachen eine weiterführende Diagnostik durchgeführt werden sollte. Mithilfe der radiologischen Bildgebung ist die Eingrenzung potenzieller Befunde und die Einordnung in spezielle differenzialdiagnostische Untergruppen möglich. Dennoch kann die Diagnose häufig erst durch eine Probenentnahme und die histologische Aufarbeitung sicher gestellt werden.
Die im vorliegenden Fall aufgrund der anamnestischen, klinischen und radiologischen Befunde naheliegende Differenzialdiagnose der Bisphosphonat-assoziierten Knochennekrose präsentiert sich typischerweise in Form eines freiliegenden Knochens mit Pusaustritt aus dem Parodontalspalt oder über einen Fistelgang mit Foetor ex ore. In der klinischen Untersuchung zeigen sich die defektnahen Zähne gelockert („tanzende Zähne“), die umgebende Gingiva ist geschwollen und schmerzhaft. Aufgrund der chronischen Entzündung kann es zur Affektion des Nervus alveolaris inferior mit klinisch auffälliger Dysästhesie der Unterlippe (Vincent-Syndrom) kommen. Die aktuelle oder auch zurückliegende Einnahme von Bisphosphonaten in Kombination mit einem seit über acht Wochen chronisch freiliegenden Knochen sichert die Diagnose.
Bisphosphonate wie Zolendronat werden typischerweise zur symptomatischen Therapie metastasierter Tumore wie des Mamma- und des Prostatakarzinoms eingesetzt. Hierbei reduziert eine Therapie sowohl die Schmerzsymptomatik als auch die Rate pathologischer Frakturen. Die zur Hemmung des Knochenabbaus bei Osteoporose oder zur Senkung skelettbezogener Komplikationen bei Knochenmetastasen eingesetzten sogenannten RANKL-Ligand-Inhibitoren (zum Beispiel Denosumab), aber auch Kortisonpräparate können über die Beeinflussung des Knochenmetabolismus zur Medikamenten-assoziierten Kiefernekrose führen. Diese medikamentöse Therapie kann alleine, jedoch insbesondere in Kombination mit zahnärztlich-chirurgischen Eingriffen, nicht passenden Prothesen oder auch infektiösen Foki in der Mundhöhle, zur Entstehung einer Kiefernekrose beitragen.
Morphologisch zeigt sich der befallene Knochen deutlich verändert und gräulich bis gelblich verfärbt. In der radiologischen Bildgebung kann sich die BRONJ insbesondere zu Beginn noch unauffällig darstellen. In späteren Stadien kann es zur Aufhebung der kortikospongiösen Struktur mit Spongiosasklerose und periostaler Auflagerung kommen. Das typische Auftreten nebeneinander liegender röntgenologischer Aufhellung und Verschattung ebenso wie die Sequestrierung der ossären Strukturen oder das Vorkommen pathologischer Frakturen erhärten den Verdacht auf eine Kiefernekrose. Therapeutisch steht die chirurgische Sanierung mit dichtem Wundverschluss oder – im Fall ausgedehnter Defekte – die Kontinuitätsresektion mit anschließender Rekonstruktion im Vordergrund. Konservativ kann ein Therapieversuch mittels systemischer Antibiotikagabe erfolgen [Kämmerer, 2013; Gujer, 2013]. Die Gruppe in die Differenzialdiagnostik einzubeziehender, sich klinisch-radiologisch ähnlich präsentierender Befunde umfasst Erkrankungen aus dem Bereich der malignen wie der benignen Knochentumore und tumorähnliche Veränderungen (Tabelle 1).
Letztendlich muss eine massive Ansammlung von Zahnstein – wie im vorliegenden Fall – zu dieser Gruppe potenzieller Ursachen einer radiologisch gut begrenzten Aufhellung mit klinisch ähnlicher Ausprägung addiert werden. Die Entwicklung der dentalen Plaque zu Zahnstein geschieht in Form typischer Phasen. Beginnend mit der Bildung des Schmelzoberhäutchens innerhalb weniger Minuten nach der letzten Zahnreinigung durch die Benetzung der Zahnoberfläche mit dem Speicheldrüsensekret, findet nach einigen Stunden die Anlagerung oraler Mikroorganismen an die aufgeraute Kontaktfläche statt. Das Wachstum und der Stoffwechsel kokkoider Bakterien werden insbesondere durch das Vorhandensein von Zuckermolekülen in der Mundhöhle begünstigt.
Die extrazelluläre Polysaccharidschicht macht etwa 20 bis 40 Prozent der dentalen Plaque aus und führt über hydropische Quellung zur Anlagerung weiterer Bakterien. Innerhalb von zwei Tagen verschmelzen zahlreiche Bakterienkolonien und führen zur Volumenzunahme der Plaque. Diese bildet schließlich die Matrix zur Zahnsteinbildung, indem kristalline Mineralisationsherde durch die Anlagerung verschiedener Kalziumphosphatverbindungen (unter anderem Brushit, Oktakalziumphosphat, Hydroxylapatit) innerhalb der noch weichen Plaque entstehen. Nach 10 bis 20 Tagen ist aus den Mineralisationsherden ein fester mineralisierter Zahnbelag geworden, der sich schichtweise immer weiter ausbaut. Letztlich führt die progrediente Ansammlung dieser kalzifizierten Masse (wie im vorliegenden Fall) zum Zurückweichen der Gingiva und begünstigt die Ausbildung parodontaler Infektionen. Dies findet bevorzugt im Bereich der Ausführungsgänge der großen Kopfspeicheldrüsen mit Aufnahme des Mineralisationsmaterials aus dem Speichel statt [Hellwege, 2003].
Gerade in diesem Zusammenhang wird die Bedeutung der Probenentnahme mit anschließender histopathologischer Aufarbeitung zum Ausschluss möglicher maligner Ursachen der klinisch-radiologischen Befundkonstellation als wichtiges diagnostisches Mittel deutlich. Besonders im Fall maligner Befunde ist die frühe und adäquate Therapie unter Umständen Prognose-entscheidend.
Fazit für die Praxis
Zahnstein kann – insbesondere unterhalb eingebrachter Zahnersatzmaterialien – ungewöhnliche Ausmaße annehmen.
Die Differenzialdiagnostik einer radiologischen Aufhellung stellt eine Herausforderung im zahnärztlichen Alltag dar.
Zur sicheren Differenzierung ist die histopathologische Aufarbeitung der entnommenen Proben von großer Bedeutung.
Insbesondere maligne Ursachen sollten sicher ausgeschlossen werden.
Diana Heimes
Klinik und Poliklinik für Mund-, Kiefer und Gesichtschirurgie – plastische Operationen
Universitätsmedizin Mainz
Augustusplatz 2, 55131 Mainz
PD Dr. Dr. Peer W. Kämmerer, M.A., FEBOMFS
Klinik und Poliklinik für Mund-, Kiefer und Gesichtschirurgie – plastische Operationen
Universitätsmedizin Mainz
Augustusplatz 2, 55131 Mainz
peer.kaemmerer@unimedizin-mainz.de
Literaturliste
1. Kämmerer, P. W. K. g., M.; Ziebart, T. (2013). „Osteomyelitis und Knochennekrosen des Kiefers.“ wissen kompakt 2013; © Springer-Verlag und Freier Verband Deutscher Zahnärzte e.V.
2. Gujer, A. K. J., C.; Grätz, K. W. (2013). Facharztwissen Mund-, Kiefer- und Gesichtschirurgie, Springer-Verlag Berlin Heidelberg.
3. Hellwege, K.-D. (2003). Die Praxis der zahnmedizinischen Prophylaxe: ein Leitfaden für die Individualprophylaxe, Gruppenprophylaxe und initiale Parodontaltherapie, Georg Thieme Verlag.











