Ein Streifzug durch die Forschung zur Vollkeramik
In den Anfangsjahren des Keramik-Forschungspreises kreisten die eingereichten Arbeiten fast ausschließlich um die Materialeigenschaften der Keramiken. Vorwiegend ging es auch bei differenzierter Fragestellung um die Haltbarkeit (Abbildung 1). Schlagworte wie Materialverschleiß, Festigkeit – Bruchfestigkeit – Dauerfestigkeit waren vorherrschend in den eingereichten und prämierten Forschungsarbeiten der frühen 2000er-Jahre. Der allererste „erste Preis“ der AG Keramik wurde geteilt und ging zum einen an den Zahnarzt Benjamin Jelen für seine an der Universität München verfasste Arbeit über den „Material- und Antagonistenverschleiß von CAD/CAM-Keramik- und Komposit-Werkstoffen für das Cerec-System“. Einen weiteren ersten Preis erhielt Gunnar Saul für die an der Charité Berlin durchgeführten In-vitro-Untersuchungen „zur Bruchfestigkeit vollkeramischer Restaurationen aus Empress 1“.
Stabilisierung durch Verbund
Ein weiterer Aspekt der Forschung galt in der „keramischen Frühzeit“ dem Vorurteil des ausgeprägten präparativen Substanzverzehrs und des Randspalts von Keramikrestaurationen. 2001 ermittelte das Team der Professoren Matthias Folwaczny, Albert Mehl und Karl-Heinz Kunzelmann mit einer Finite-Elemente-Analyse, dass dünnwandige Höcker – ohne Überkuppelung mit adhäsiv befestigten, stabilisierenden Onlays und Teilkronen versorgt – zirkuläre, substanzverzehrende Vollkronen aus Metall substituieren können (Abbildung 2). Ferner belegten die Autoren, dass sich durch den adhäsiven Verbund zum Restzahn die eingeleitete Kaukraft nicht nur auf den belasteten Höcker konzentriert, sondern von der Keramikrestauration aufgenommen und an die gesamte Zahnhartsubstanz weitergeleitet wird. Durch den Verbund werden geschwächte Höckerwände signifikant stabilisiert. Die Autoren bewiesen, dass die adhäsive Befestigung eine kraftschlüssige, retentive Verbindung sicherstellt und bei großen Kavitäten die Polymerisationsspannung sowie das Risiko von Schmelzrissen reduziert.
Zur gleichen Zeit wurden die ersten Langzeitstudien zu chairside gefertigten Restaurationen mit nennenswerten Untersuchungszeiträumen eingereicht. 2002 stellte Dr. Anja Posselt eine Studie vor, für die sie 2.328 im Cerec-Verfahren hergestellte Keramik-Einlagefüllungen untersucht hatte, die bis zu neun Jahre in situ waren. Mit dieser an der Universität München durchgeführten Forschungsarbeit unter der Leitung von Prof. T. Kerschbaum, Köln, analysierte sie Keramik-Onlays und -Inlays aus einer Praxis, die 1990 bis 1997 mit dem Cerec 1 und von 1997 bis 1999 überwiegend mit dem Cerec 2 hergestellt worden waren (Abbildung 3). Zur Erinnerung: Das erste Cerec-1-Gerät wurde 1987 auf den Markt gebracht. Längere Beobachtungszeiträume gab es mit dieser noch jungen Technologie damals noch nicht.
Die Qualität der Defekte
Während mit der Studie von Posselt die (für die damals recht neue Technologie erstaunlich hohe) Erfolgsquote der Restaurationen im Vordergrund gestanden hatte, nahm man anderswo akribisch die Defektqualität in den Blick. Damit ergaben sich Erkenntnisse, die den Zusammenhang von Oberflächendesign, Geometrie, Präparation, Adhäsion und Materialeigenschaften erhellten und den gesamten Workflow nachhaltig beeinflussen und verändern sollten. PD Dr. Andreas Bindl erhielt 2003 einen ersten Preis für seine prospektive Studie zum Zusammenhang von Überlebensraten und Präparationstypen bei CAD/CAM-Seitenzahnkronen aus Feldspatkeramik. Zahnarzt Gergo Mitov nahm 2004 eine Anerkennung für seine „Untersuchungen des unterkritischen Risswachstums am vollkeramischen System Empress 2“ entgegen. Es ging also nicht mehr vorwiegend darum, wie viele Restaurationen Risse aufwiesen, sondern wann sich Risse bildeten, wie sie sich verhielten und welche Kräfte sie ausgelöst haben könnten.
„Heute versorgen wir natürliche Zähne und Implantate erfolgssicher mit einem großen Spektrum festsitzender Restaurationen“

PD Dr. Sven Rinke, M.Sc., Preisträger des Forschungspreises der AG Keramik 2019, beschreibt die Entwicklung der keramischen Werkstoffe in der Zahnheilkunde aus seiner Erfahrung als Wissenschaftler und niedergelassener Zahnarzt mit Praxis in Hanau.
„Vor 20 Jahren waren vollkeramische Werkstoffe in ihrem Indikationsbereich im Wesentlichen auf Einzelzahnrestaurationen beschränkt. Moderne vollkeramische Werkstoffe wie hochfeste Glas- oder Zirkonoxidkeramiken bieten heute jedoch die Möglichkeit, natürliche Zähne und Implantate erfolgssicher mit einem großen Spektrum festsitzender Restaurationen zu versorgen. Möglich wurde diese Entwicklung insbesondere durch die Weiterentwicklung computergestützter Fertigungsverfahren (CAD/CAM-Technologie). Die CAD/CAM-Prozesse erlauben die Verarbeitung von Zirkonoxidkeramiken im dentaltechnischen Maßstab und hat auch die Möglichkeiten der Chairside-Fertigung vollkeramischer Restaurationen vorangetrieben.
Die kontinuierliche Weiterentwicklung keramischer Werkstoffe mit verbesserter Transluzenz bei gleichzeitig hoher Dauerbiegefestigkeit hat darüber hinaus die Fertigung monolithischer Restaurationen ermöglicht. Der Verzicht auf eine Verwendung von Verblendkeramiken ist ein wichtiger Schritt zur Reduktion technischer Komplikationen. Die verbesserte Festigkeit keramischer Werkstoffe erlaubt zudem eine Reduktion der erforderlichen Materialmindestschichtstärken bei vollkeramischen Restaurationen und verstärkt damit den minimalinvasiven Charakter derartiger Versorgungen.
Vor diesem Hintergrund ist weiterhin ein verstärktes Interesse an vollkeramischen Restaurationen zu erwarten.“
Die Überlebenswahrscheinlichkeit von silikatkeramischen Restaurationen wird in hohem Maß von der Befestigung beeinflusst. Prof. Dr. Roland Frankenberger untersuchte in der prämierten Arbeit von 2007 den Einfluss der Adhäsivtechnik auf die Schmelzintegrität und Randqualität. Durch den adhäsiven, kraftschlüssigen Verbund stellt die Restaurations-Innenseite keine mechanische Grenzfläche mehr dar, an der rissauslösende Zugspannungen wirksam werden können. Dies führt zu einer erheblichen Erhöhung der Belastbarkeit, so dass Silikatkeramiken mit relativ geringer Festigkeit und ausgeprägter Ästhetik auch im Seitenzahnbereich eingesetzt werden können. Frankenberger stellte fest, dass selbstadhäsive Komposit-Zemente für den schwierigen Dentinverbund geeignet sind (Abbildung 4). Mit ihren lichtoptischen Eigenschaften bieten sie gegenüber Phosphat- oder Glasionomerzementen den deutlichen Vorteil einer höheren Transluzenz.

Neue Werkstoffe – Neue Verbindungen
In der Entwicklung keramischer Werkstoffe für die Zahnheilkunde wurde stets versucht, über das Verhältnis von Biegefestigkeit und Transluzenz ein perfektes Material für vollkeramische Restaurationen zu finden. Es sollte sowohl mit seinen lichtoptischen Eigenschaften überzeugen als auch in möglichst dünnen Schichtstärken mit hoher Kantenstabilität verarbeitet werden können. Eine Vielfalt an unterschiedlichen Zusammensetzungen der Materialien sowie der Verbund verschiedener Werkstoffe und die Entwicklung neuer Zusammensetzungen der kristallinen Struktur eines Materials wurden entwickelt. Auch der Einsatz von Keramik als Material für Implantate rückte langsam in den Fokus. 2007 legte Dr. Constanze Müller eine Arbeit zum Thema Aluminiumoxid-verstärktes Zirkonoxid als Implantatwerkstoff vor. Gleich zwei Arbeiten in 2012 beschäftigten sich mit dem Verbund von Zirkonoxid und Verblendkeramik. Der erste Preis ging an PD Dr. Ulrich Lohbauer für seine mikrostrukturellen Untersuchungen an der Grenzfläche zwischen Zirkonoxid und Verblendkeramik. Dr. Gerd Göstemeyer erhielt eine Anerkennung für seine Bewerbung „Einfluss der Abkühlgeschwindigkeit auf den Haftverbund zwischen Zirkoniumdioxid und Verblendkeramik“. Mit einem experimentellen CAD/CAM-Komposit beschäftigte sich das Preisträgerteam PD Dr. Jan-Frederik Güth, Prof. Dr. Daniel Edelhoff und Dr. Kurt Erdelt in einer 2016 ausgezeichneten Studie. Dabei verglichen sie konkret das Verschleißverhalten von monolithischen Restaurationen aus Komposit und Lithiumdisilikat-Keramik.
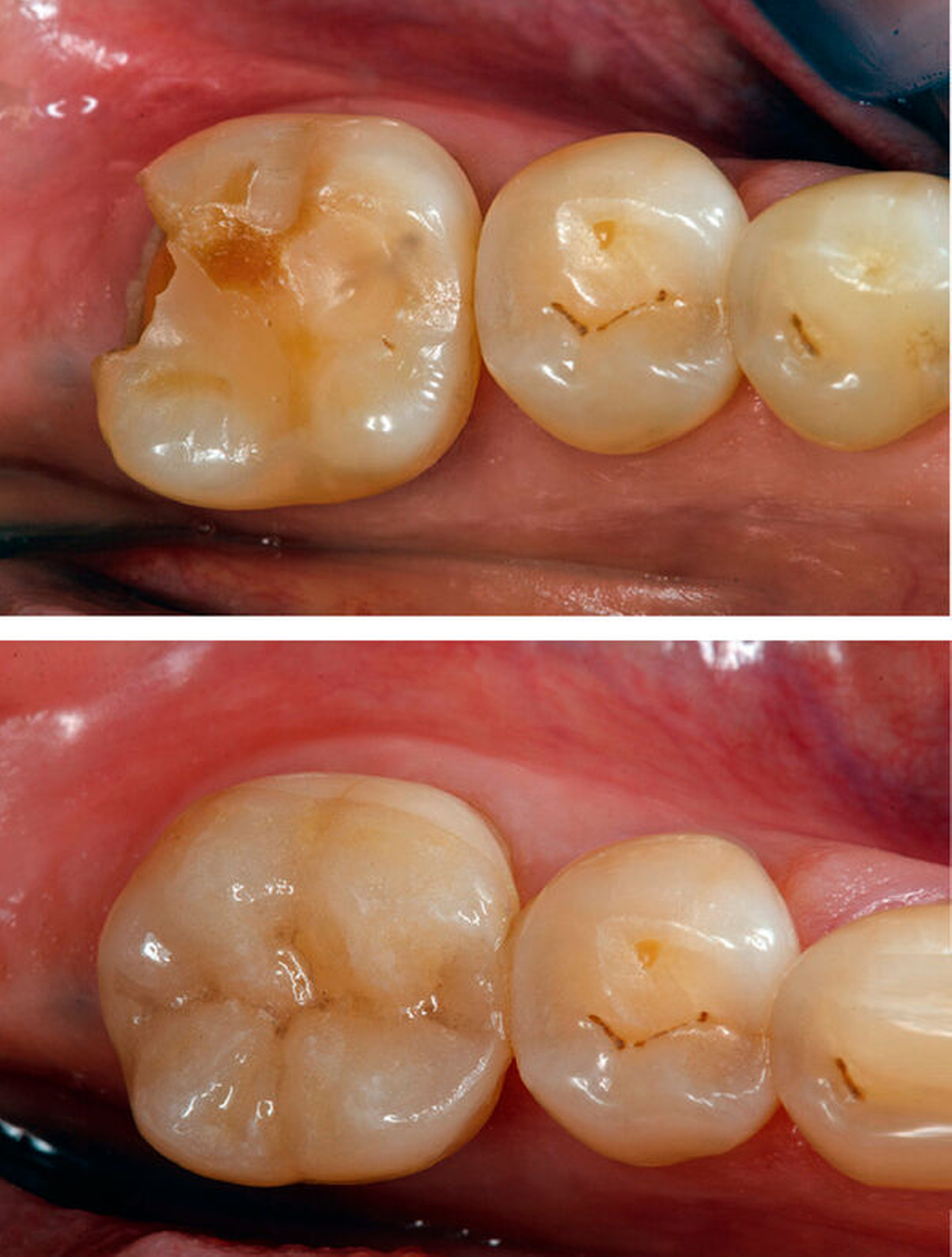
Der jüngste Forschungspreis der AG Keramik 2019 ging an das Autorenteam PD Dr. Sven Rinke, MSc. und Dr. Tim Hausdörfer, Universitätsmedizin Göttingen, sowie Prof. Dr. Dirk Ziebolz, Universität Leipzig. Mit ihrer Arbeit lotete das Autorenteam die Minimal-Grenzen der Wandstärken bei zirkonoxidverstärktem Lithiumsilikat aus. Die prämierte, prospektive Studie „5-Jahresuntersuchung von Teilkronen mit verschiedenen Wandstärken aus ZLS-Keramik“ beobachtete über fünf Jahre 45 Patienten und untersuchte die klinische Leistungsfähigkeit von 61 Teilkronen, chairside im CAD/CAM-Verfahren aus Silikatkeramik gefertigt. Die Autoren evaluierten die Risiken, indem die herstellerempfohlenen Wandstärken unterschritten und verschiedene Befestigungskonzepte genutzt wurden. Mit dieser Studie konnte erstmalig klinisch belegt werden, dass mit hochfesten glaskeramischen Werkstoffen okklusale Schichtstärken auf 1 mm reduziert werden können (Abbildung 6).

Vollkeramik heute und morgen
Die Errungenschaften und Herausforderungen bei der Versorgung mit vollkeramischen Restaurationen haben sich im Laufe der vergangenen Jahrzehnte mit den Entwicklungen von Materialien und Technologien sowie neuen klinischen Erkenntnissen immer wieder verändert. Unbestritten bieten keramische Restaurationen viele Vorteile; sie sind metallfrei, biokompatibel und ästhetisch überzeugend. Auf der anderen Seite werden Gussversorgungen und Metallkeramik keineswegs verdrängt und bleiben weiterhin bedeutsam für die Patientenversorgung.
Das zeigt ein Vergleich der von der Arbeitsgemeinschaft für Keramik seit 2015 jährlich durchgeführten Praxisbefragungen. Für diese Erhebung werden jeweils 1.000 zufällig neu ausgewählte Praxisinhaber im gesamten Bundesgebiet nach der Art, der Menge und den Werkstofftypen der eingegliederten Restaurationen befragt. Der Vergleich der Daten aus 2019 mit den Ergebnissen vorausgegangener Befragungen zeigt, dass der Werkstoff Zirkonoxid einen immer größeren Anteil der gesamten Werkstoffbasis einnimmt. Insgesamt werden laut aktueller Befragung derzeit rund 56 Prozent der Kronen und Brücken aus Vollkeramik hergestellt – Tendenz steigend. Der Vergleich der Befragungsergebnisse zeigt aber auch einen kontinuierlichen deutlichen Zuwachs der traditionellen Metallkeramik. Die Weiterentwicklung von Materialien, Therapien und Herstellungsverfahren scheint also eher evolutionär als revolutionär in der Praxis Fuß zu fassen.
Mit der Praxisbefragung wird die AG Keramik auch künftig ein Spotlight auf die gelebte Praxis richten – und mit dem Forschungspreis die Entwicklung aus Sicht der Wissenschaft abbilden und vorhersehen. Es bleibt also spannend!
Dr. Caroline Gommel
Arbeitsgemeinschaft für Keramik in der Zahnheilkunde e.V.
Schriftführung
Postfach 11 60, 76308 Malsch
info@ag-keramik.de
Forschungspreis der AG Keramik – Jetzt bewerben
Der Forschungspreises richtet sich an Zahnärzte und Wissenschaftler aus der Zahnmedizin sowie Werkstoffexperten und Zahntechniker als Teammitglieder interdisziplinärer Arbeitsgruppen. Er ist mit insgesamt 5.000,- Euro dotiert und prämiert wissenschaftlich bedeutende Arbeiten zum Thema „Vollkeramik in der Zahnmedizin“. Im Rahmen des Themas werden wissenschaftliche, klinische und materialtechnische Untersuchungen angenommen, die auch die zahntechnische Ausführung im Dentallabor einbeziehen. Dabei werden analoge wie computergestützte Fertigungstechniken berücksichtigt sowie diverse Befestigungstechniken oder die Konstruktion von Implantat-Suprakonstruktionen aus vollkeramischen und Hybridwerkstoffen.
Einsendeschluss ist der 30. Juni 2020. Weitere Informationen unter <link url="https://www.ag-keramik.de" target="new-window" url-fragment="" seo-title="" follow="follow">www.ag-keramik.de - external-link-new-window









