Pyogenes Granulom der Gesichtshaut
Eine 46-jährige Patientin in gutem Allgemeinzustand wurde uns von ihrem Hauszahnarzt zur weiteren Abklärung einer auffälligen Hautveränderung an der rechten Stirnseite überwiesen. Im Rahmen der Anamneseerhebung berichtete die Patientin, dass sie etwa fünf Wochen zuvor eine Art „Mückenstich“ an der Stirn bemerkt habe.
Außer einem leichten Juckreiz seien zunächst aber keine Beschwerden aufgetreten. Kurz vor ihrem Zahnarztbesuch habe es dann aus der nunmehr deutlich vergrößerten Hautveränderung erstmals spontan stärker geblutet. Die Blutung sei schwierig zu stoppen gewesen. Mittlerweile würden die Blutungen auch bei zufälligen Berührungen fast täglich auftreten und sie sehr beunruhigen.
Die Patientin gab keine regelmäßige Medikamenteneinnahme an, Allgemeinerkrankungen lagen nicht vor. In der Anamnese war lediglich eine Radiojodtherapie wegen eines autonomen Schilddrüsenknotens vor vier Monaten erwähnenswert. Bei der klinischen Untersuchung fiel ein 8 mm x 5 mm x 3 mm großer, rötlicher, breitbasig aufsitzender, mäßig derber Weichgewebstumor mit unregelmäßiger, höckriger Oberfläche und kleinen Einblutungen an der rechten Stirnseite unterhalb des Haaransatzes auf (Abbildung 1). Es lag kein Spontanschmerz vor, die letzte Blutung lag etwa 36 Stunden zurück.
Unter der Verdachtsdiagnose eines pyogenen Granuloms wurde die Indikation zur Exzision des Befunds gestellt. Da die Patientin die operative Entfernung ablehnte, wurde die Laserexzision als Alternativbehandlung angeboten. Die Patientin entschied sich für eine Abtragung des Befunds mit dem supergepulsten CO2-Laser (LuxarLX-20SP, LuxarCare LLC, Washington/USA) in Lokalanästhesie (Articain 4 Prozent mit Adrenalin 1.200.000). Die Laserabtragung erfolgte im Continuous-wave-Mode mit einer Leistung zwischen drei und sieben Watt ohne größere Blutungen bis in die obersten Schichten der Dermis (Abbildungen 2 und 3).
Zur anfänglichen postoperativen Wundpflege wurde der Patientin eine Pflegesalbe mit Dexpanthenol rezeptiert. Innerhalb einer Woche kam es zu einer allmählichen Austrocknung der Wunde mit Krustenbildung. Nach der endgültigen Ablösung der Kruste regenerierte sich die Epidermis sehr rasch, so dass zwei Monate nach dem Eingriff nur noch eine minimale Hyperpigmentierung im Operationsbereich feststellbar war (Abbildung 4).
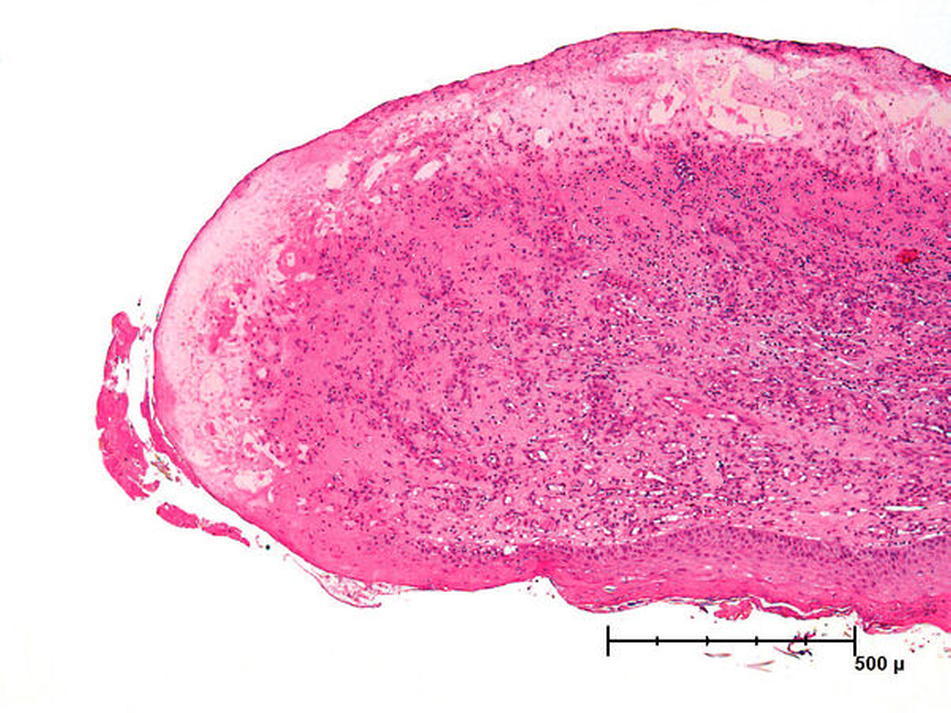
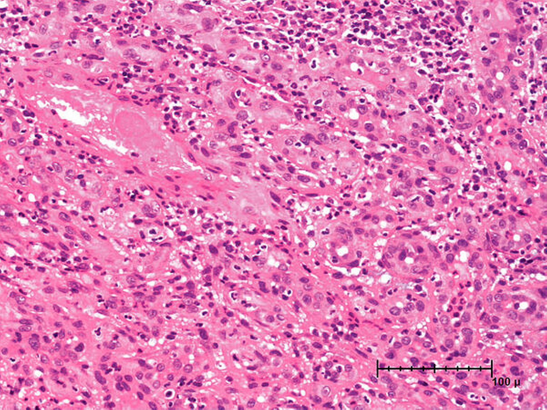
In der histologischen Untersuchung zeigte sich in der Übersichtsvergrößerung ein ulzerierter, etwas polypöser Hauttumor, der aus verzweigten, teilweise dickwandigen Kapillaren mit dichter entzündlicher Begleitinfiltration bestand (Abbildung 5). In der Detailaufnahme bei höherer Auflösung sind die zahllosen Kapillaren im umgebenden zellreichen Stroma mit Entzündungsinfiltraten gut erkennbar (Abbildung 6). Es fanden sich keine zellulären Atypien.
Diskussion
Das pyogene Granulom trägt seinen Namen zu Unrecht. Es handelt sich nämlich weder um eine bakterielle Infektion noch um ein Granulom [Patrice et al., 1991]. Es handelt sich vielmehr um eine rasch wachsende, benigne, reaktive Kapillarproliferation, die auch als eruptives Angiom oder lobuläres, kapilläres Hämangiom bezeichnet wird [Patrice et al., 1991]. Die Ätiologie ist unklar: Traumen, eine medikamenteninduzierte Stimulation, geringgradige Strahlenbelastungen oder hormonelle Effekte werden als Ursachen in Betracht gezogen [Koo et al., 2017]. Letzteres wird als Ursache des Granuloma gravidarum bei Schwangeren angesehen [Silva de Araujo Figueiredo et al., 2017]. Ob die stattgefundene Radiojodtherapie der kausale Faktor bei der Entwicklung des pyogenen Granuloms dieser Patientin gewesen sein könnte, blieb im Rahmen der Literaturrecherche unklar.
Pyogene Granulome werden, wie in unserem Fall, meist nicht größer als zehn Millimeter im Durchmesser und stellen den mit Abstand größten Anteil an vaskulären Tumoren im Erwachsenenalter dar [Plötz et al., 2012].
Durch das schnelle Wachstum kommt es leicht zur Erosion der Epidermis und einer dadurch bedingten Freilegung der Kapillaren. Die fragilen Kapillarwände erklären die typischerweise erhöhte Blutungsneigung dieser Tumoren.
In einer retrospektiven Analyse, die 155 Patienten inkludierte, war das Verhältnis erkrankter Männer zu Frauen 1:1,2, das Durchschnittsalter lag bei 35,3 Jahren. Das Gesicht war mit 30 Prozent der Fälle am häufigsten betroffen, während nur knapp 10 Prozent der Fälle im oralen Bereich aufgetreten waren. Eine weitere Prädilektionsstelle waren die Finger (23 Prozent), während sich die übrigen Fälle auf die gesamte Körperoberfläche verteilten [Koo et al., 2017]. In einer anderen retrospektiven Studie mit 408 Patienten war der Kopf-Hals-Bereich die häufigste anatomische Lokalisation, wobei besonders die Lippen und die intraorale Schleimhaut betroffen waren [Giblin et al., 2007].
Differenzialdiagnostisch sind sowohl benigne vaskuläre Tumoren wie Hämangiome oder maligne Lymphome, Melanome oder Basazellkarzinome abzugrenzen [Wollina et al., 2012].
Da sich ein pyogenes Granulom nur selten spontan zurückbildet, ist fast immer die Entfernung des Tumors indiziert. Hierfür wird in der Literatur eine Vielzahl von Techniken (Exzision, Kürettage, Kryotherapie, Sklerosierung und Laserablation) beschrieben, wobei sich die chirurgische Exzision oder alternativ die Laserablation als Therapieverfahren der Wahl durchgesetzt haben [Akamatsu et al., 2015; Gilmore et al., 2010; Koo et al., 2017; Wollina et al., 2012].
Nur selten werden beide Therapien innerhalb einer Studie statistisch verglichen. Hierbei interessieren vor allem die Rezidivraten und der ästhetische Erfolg der Behandlung. In der Studie von Koo und Mitarbeitern mit 155 Fällen traten bei einer mittleren Nachbeobachtungszeit von 39 Monaten nur bei knapp 8 Prozent der Fälle Rezidive auf [Koo et al., 2017]. Aufgrund der geringen Fallzahl war der etwas höhere Rezidivanteil bei der Laserablation gegenüber der chirurgischen Exzision statistisch nicht signifikant. Während sich bei der Lasertherapie kaum sichtbare Narben zeigen, sind die Rezidivraten bei der chirurgischen Entfernung geringer [Raulin et al., 2002; Gilmore et al., 2010]. Im oralen Bereich ist beim CO2-Laser besonders die gute Hämostase während der Tumorexzision hervorzuheben [Barak et al., 1990; Truschnegg et al., 2016].
PD Dr. Med. Dr. Med. Dent. Frant Halling
Gesundheitszentrum Fulda Praxis für MKG-Chirurgie/ Plastische Operationen
Gerloser Weg 23a, 36039 Fulda
und
Klinik und Poliklinik für Mund-, Kiefer- und Gesichtschirurgie am Universitätsklinikum Marburg
Baldingerstr., 35043 Marburg
Dr.Halling@t-online.de
Dr. med. Bernd Katzer
Gemeinschaftspraxis Pathologie
Leipziger Str. 130, 36037 Fulda
patho.fulda@t-online.de
Fazit Für die Praxis
Die Gesichtshaut sollte immer in die zahnärztliche Blickdiagnostik einbezogen werden.
Spontan blutende Veränderungen der Gesichtshaut oder der oralen Schleimhaut bedürfen stets einer histopathologischen Abklärung.
Das pyogene Granulom ist eine benigne, aber variantenreiche Läsion und tritt sehr häufig im fazialen und oralen Bereich auf.
Sowohl die chirurgische Exzision als auch die Laserablation haben sich beim pyogenen Granulom als zuverlässige Therapieverfahren etabliert.
Literaturliste
Halling, F., Katzer, B.: Pyogenes Granulom der Gesichtshaut.
Akamatsu, T., U. Hanai, et al. (2015). Pyogenic granuloma: a retrospective 10-year analysis of 82 cases. Tokai J Exp Clin Med 40(3):110-114.
Barak, S., I. Kaplan, et al. (1990). The use of the CO2 laser in oral and maxillofacial surgery. J Clin Laser Med Surg 8(5):69-70.
Giblin, A.V., A.J. Clover, et al. (2007). Pyogenic granuloma - the quest for optimum treatment: an audit of treatment of 408 cases. J Plast Reconstr Aesthet Surg 60(9):1030-1035.
Gilmore, A., G. Kelsberg, et al. (2010). What’s the best treatment for pyogenic granuloma? J Fam Pract 59(1):40-42.
Koo, M.G., S.H. Lees, et al. (2017). Pyogenic granuloma: a retrospective analysis of cases treated over a 10-year. Arch Craniofac Surg 18(1):16-20.
Patrice, S.J., K. Wiss, et al. (1991). Pyogenic granuloma (lobular capillary hemangioma): a clinicopathologic study of 178 cases. Pediatr Dermatol 8(4):267-276.
Plötz, S.G., R. Hein et al. (2012). Gefäßtumoren. In: Hauttumoren in der Praxis. Plötz, S., R. Hein, J. Ring, T. Biedermann (Hrsg.). Berlin, Springer, 45-53.
Raulin, C., B. Greve, et al. (2002). The combined continous-wave/pulsed carbon dioxide laser for treatment of pyogenic granuloma. Arch Dermatol 138(1):33-37.
Silva de Araujo Figueiredo, C., C. Gonçalves Carvalho Rosalem, et al. (2017). Systemic alterations and their oral manifestations in pregnant women. J Obstet Gynaecol Res 43(1):16-22.
Truschnegg, A., S. Acham, et al. (2016). CO2 laser excision of a pyogenic granuloma associated with dental implants: a case report and review of the literature. Photomed Laser Surg 34(9):425-431.
Wollina, U., D. Langner, et al. (2012). Pyogenic granuloma – a common benign vascular tumor with variable clinical presentation: new findings and treatment options. Open Access Maced J Med Sci 5(4):423-426










