B-Zell-Lymphom der Wange
Zu den benignen Raumforderungen der Weichteile im Kopf-Hals-Bereich zählen unter anderem Zysten (etwa Speichelretentionszysten, laterale Halszysten), Fibrome, Lipome und Atherome [Iqbal et al., 1986; Coelho et al., 2018; Akdag, 2019]. Eine weitere wichtige Differenzialdiagnose stellen Lymphadenopathien dar, denen eine Vielzahl an möglichen Ursachen zugrunde liegen kann. Neben entzündlichen Prozessen aus dem zuführenden Lymphabflussgebiet (sogenannte sekundäre Lymphadenopathien), zum Beispiel bei infizierten Wunden, können diese auch viraler (etwa Epstein-Barr-Virus, Pfeiffer’sches Drüsenfieber) oder bakterieller (etwa Borrelia burgdorferi, Borreliose) Genese sein. Bei den malignen Raumforderungen der Kopf-Hals-Weichteile kommen unter anderem Erkrankungen des lymphatischen Systems in Betracht, wie beispielsweise Leukämien oder (Non-)Hodgkin-Lymphome. Daneben muss bezüglich möglicher maligner Raumforderungen auch immer an Lymphknotenmetastasen unterschiedlicher Tumorentitäten oder Lokal- und Fernmetastasen in den Weichteilen gedacht werden [Mlekusch, 2015; Storck et al., 2019; Hirai et al., 2020]. Eine besondere Herausforderung stellen dabei Metastasen eines unbekannten Primärtumors dar [Sprave et al., 2020]. Zusätzlich kommen auch ortständige Weichgewebetumoren in Betracht, wie Weichteilsarkome (etwa Angio- oder Fibrosarkome) [Singh et al., 2019].
Ein wichtiges diagnostisches Hilfsmittel bietet die Anamnese, mit der sich häufig bereits eine erste Verdachtsdiagnose äußern lässt. In der finalen Diagnostik greifen die Anamnese, die klinische Untersuchung inklusive Serologie, die bildgebende Diagnostik (Panoramaschichtaufnahme, CT, MRT, Ultraschall) und die Probengewinnung mit anschließender histopathologischer Aufarbeitung eng verzahnt ineinander.
Kasuistik
Eine 67-jährige Patientin stellte sich mit einer seit mehreren Wochen zunehmenden Raumforderung der rechten Wange in unserer Klinik vor. Die Raumforderung zeigte sich in der klinischen Untersuchung in etwa Golfball-groß, scharf begrenzt, gegenüber den umliegenden Weichgeweben gut verschieblich und nicht schmerzhaft (Abbildung 1).
Bei der intraoralen Untersuchung zeigte sich ein konservierend und prothetisch unvollständig versorgtes Restzahngebiss, das als möglicher dentogener Fokus der Raumforderung schnell ausgeschlossen werden konnte. Die Raumforderung zeigte intraoral eine enge Lagebeziehung zum Stenon-Gang und zur Papilla ductus parotidei, die keine Funktionseinschränkungen aufwiesen (Abbildung 2). Die Anamnese ergab keine Hinweise auf eine mögliche Entität der Raumforderung. Die Patientin hatte keine orofazialen Funktionseinschränkungen. Eine B-Symptomatik (Fieber > 38°, Nachtschweiß, Gewichtsverlust > 10 Prozent innerhalb von sechs Monaten) wurde verneint.
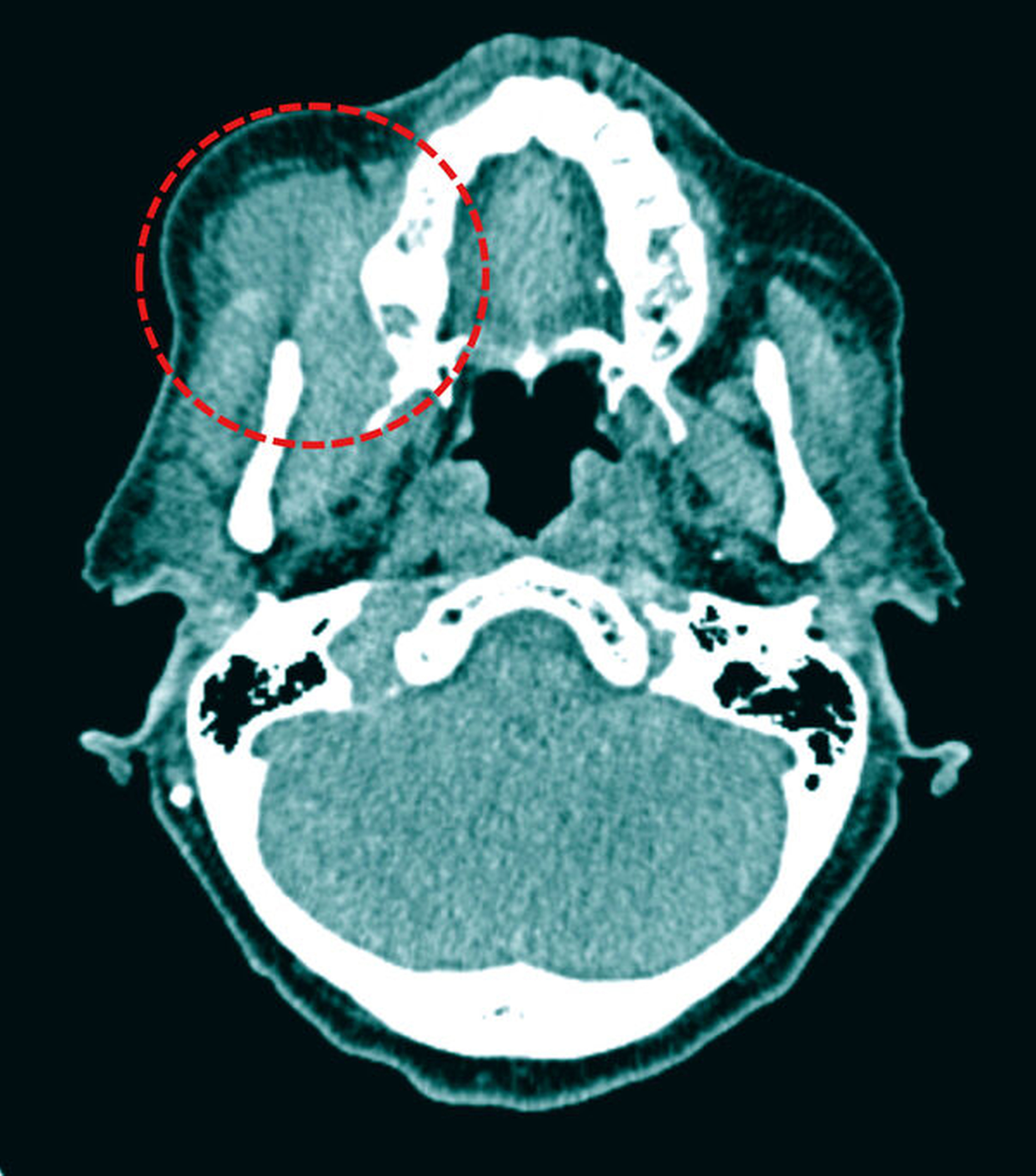
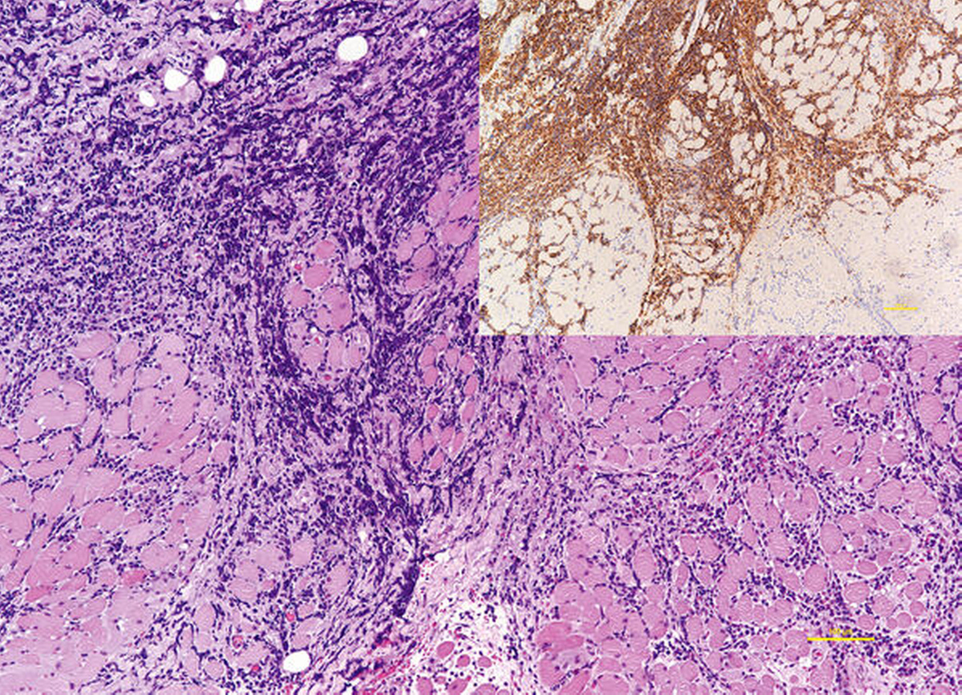
In der CT-Untersuchung mit Kontrastmittel zeigte sich eine ausgedehnte Raumforderung der rechten Wange, die keinerlei klare Infiltration oder Destruktion der anatomischen Nachbarstrukturen aufwies (Abbildung 3). Zur weiteren Diagnostik erfolgte in Lokalanästhesie von intraoral eine Probenentnahme. Im histologischen Präparat zeigte sich ein diffuses, sich ausbreitendes Infiltrat aus mittelgroßen, runden Blasten im fibrösen Weichgewebe und Fett ohne eine erhaltene Lymphknotenstruktur.
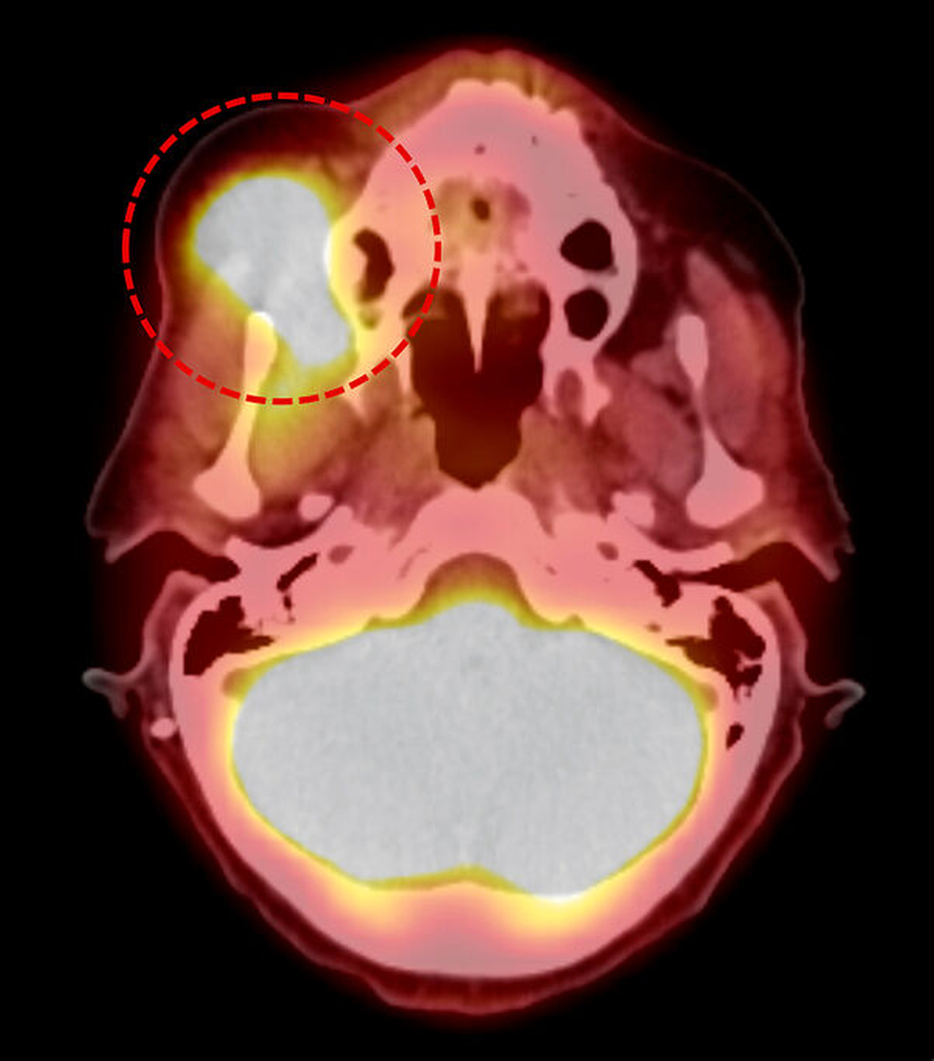
Es wurde die Diagnose eines hochmalignen, hochproliferativen Non-Hodgkin-Lymphoms (NHL) der B-Zellreihe, in erster Linie ein diffuses, großzelliges B-Zell-NHL (diffuse large B-cell lymphoma, DLBCL) gestellt. Speziell lag ein proliferationsaktives DLBCL, NOS (not otherwise specified) vom aktivierten B-Zell-Typ (activated B-cell type, ABC) mit einer MYC-Translokation vor (Abbildung 4). Das im Rahmen des komplettierenden Stagings durchgeführte FDG PET-CT zeigte einen intensiv verstärkten Glucosemetabolismus der vorbekannten Raumforderung in der rechten Wange (Abbildung 5). Insgesamt ergab sich kein Nachweis auffällig Glucosemetabolismus-gesteigerter Lymphknoten im gesamten Untersuchungsvolumen. Die knöchernen Strukturen zeigten keine suspekten osteoproliferativen oder osteodestruktiven Prozesse. Ausgehend von einem isolierten Befall der Weichteile rechts buccal wurde das NHL nach Abschluss des Stagings als Stadium I nach der Ann-Arbor-Klassifikation eingestuft.
Die Patientin wurde zur weiterführenden Diagnostik und Therapie an die Klinik für Hämatologie und Onkologie überwiesen. Neben einer Knochenmarkpunktion und einer Vorphasetherapie mit Cortison, die zu einem deutlichen Schwellungsrückgang führte, erfolgte dort die Einleitung einer Chemotherapie nach dem R-CHOP-14-Protokoll mittels Rituximab, Cyclophosphamid, Adriamycin, Vincristin und Prednison. Nach zwei Zyklen R-CHOP wurde die Therapie aufgrund eines Apoplexes unterbrochen, an dessen Folgen die Patientin im weiteren Verlauf verstorben ist.
Diskussion
Maligne Lymphome machen etwa fünf Prozent aller Malignome in der Kopf-Hals-Region aus und sind – nach dem Plattenepithelkarzinom – die zweithäufigste Tumorentität im Kopf-Hals-Bereich [DePena et al., 1990; Vega et al., 2005]. Die Erstdiagnose dieser Tumorart wird schon aufgrund der statistischen Häufigkeit des Auftretens nicht selten durch MKG-Chirurgen beziehungsweise durch niedergelassene Zahnärzte, die Biopsien unklarer Raumforderungen durchführen, gestellt. Bei unspezifischen, meist schmerzlosen Schwellungen im Kopf-Hals-Bereich muss ein Malignom aus dem Bereich der Lymphome immer auch von Zahnärzten und MKG-Chirurgen mit unter den ersten Differenzialdiagnosen berücksichtigt werden. Eine gewisse Grundkenntnis über den Formenkreis der Lymphome sollte also vorhanden sein.
Grundsätzlich werden Lymphome in Hodgkin und Non-Hodgkin-Lymphome (NHL) klassifiziert. Non-Hodgkin-Lymphome gehen von B- oder T-Zellen des lymphatischen Gewebes aus, während Plasmozytome eine spezielle klinische Entität darstellen, die sich primär im Knochenmark manifestiert. 70 Prozent der NHL zeigen eine Erstmanifestation in Lymphknoten (nodal), nur 30 Prozent manifestieren sich in Gewebe außerhalb von Lymphknoten (extranodal) [Zucca et al., 2002]. Nach dem Gastrointestinaltrakt ist die Kopf-Hals-Region der zweithäufigste Manifestationsort für extranodale NHL [Vega et al., 2005]. Wie im vorliegenden Fall zeigen verschiedene Untersuchungen, dass das DLBCL im Kopf-Hals-Bereich der am häufigsten auftretende Subtyp ist [DePena et al., 1990; Okumo et al., 2012; Scherfler et al., 2012]. Die Mundhöhle ist der Ort der häufigsten Erstmanifestation [Wanyura et al., 2007; Djavanmardi et al., 2008; Scherfler et al., 2012]. Bis zu 70 Prozent der DLBCL im Kopf-Hals-Bereich treten nur an einer einzigen Lokalisation auf [Scherfler et al., 2012].
Die Therapie orientiert sich in der Regel an einer Chemotherapie kombiniert mit einem monoklonalen CD20-Antikörper (Rituximab) [Hamilton et al., 2010]. Initiale Remissionsraten von 60 bis 80 Prozent werden beschrieben, die 5-Jahres-Überlebensrate liegt bei etwa 50 Prozent [Shipp, 1994; Vose, 1998]. Andere Subtypen wie follikuläre Lymphome, Plasmozytome oder multiple Myelome werden mit teilweise deutlich anderen chemotherapeutischen Konzepten behandelt und zeigen zum Teil schlechtere Langzeitüberlebensraten [Raab et al., 2009; Tageya et al., 2009].
Fazit für die Praxis
Lymphome im Kopf-Hals-Bereich müssen bei unklaren Schwellungen oder Raumforderungen immer in die Differenzialdiagnose einbezogen werden.
Die schnelle histologische Sicherung ist zwingend notwendig, um zeitnah eine der Tumorentität angepasste spezifische Ausbreitungsdiagnostik (Staging) und eine onkologische Therapie einzuleiten. Das ist für das Überleben der betroffenen Patienten essenziell.
Eine gute, zeitnahe interdisziplinäre Kooperation von Kopf-Hals-Fächern wie der Zahnmedizin und der MKG-Chirurgie mit der internistischen Onkologie und der Radioonkologie ist unabdingbare Voraussetzung für eine zügige und effiziente Behandlung von Lymphom-Patienten.
Oberstabsarzt Dr. MER. Dr. MED. Dent. Andreas Pabst
Klinik VII; Mund-, Kiefer- und plastische Gesichtschirurgie
Bundeswehrzentralkrankenhaus Rübenacherstr. 170, 56072 Koblenz
Andreas1Pabst@bundeswehr.org
Oberstabsarzt PD Dr. MED. Dr. MED. Dent. Oliver Thiele
Klinik VII; Mund-, Kiefer- und plastische Gesichtschirurgie
Bundeswehrzentralkrankenhaus
Rübenacherstr. 170, 56072 Koblenz
Oberfeldarzt Dr. MED. Dr. MED. Dent. John Rudat
Klinik VII; Mund-, Kiefer- und plastische Gesichtschirurgie
Bundeswehrzentralkrankenhaus
Rübenacherstr. 170, 56072 Koblenz
Oberfeldarzt Dr. Med. Gunnar Müller
Pathologie Bundeswehrzentralkrankenhaus
Rübenacherstr. 170, 56072 Koblenz
Oberstarzt Prof. Dr. Dr. Richard Werkmeister
Klinik VII; Mund-, Kiefer- und Plastische Gesichtschirurgie
Bundeswehrzentralkrankenhaus
Rübenacherstr. 170, 56072 Koblenz
Literaturliste
Akdağ M: Pediatric fibroma in maxillary sinus following nasal trauma: A case report. Int J Surg Case Rep. 60: 91-93, 2019.
Coelho RCP, Oliveira EM, Silva GCC, Aguiar EG, Moreira AN, Souza LN: Intraoral Excision of a Huge Cheek Lipoma. J Craniofac Surg. 29(1): 96-97, 2018.
DePena CA, Van Tassel P, Lee YY: Lymphoma of the head and neck. Radiol Clin North Am 28(4): 723- 743, 1990.
Djavanmardi L, Oprean N, Alantar A, Bousetta K, Princ G: Malignant non-Hodgkin’s lymphoma (NHL) of the jaws: a review of 16 cases. J Craniomaxillofac Surg 36(7): 410- 414, 2008.
Hamilton A, Gallipoli P, Nicholson E, Holyoake TL: Targeted therapy in haematological malignancies. J Pathol 220(4): 404- 418, 2010.
Hirai H, Ohsako T, Kugimoto T, Tomioka H, Michi Y, Kayamori K, Yoda T, Miura M, Yoshimura R, Harada H: Comparison of 50- and 66-Gy total irradiation doses for postoperative cervical treatment of patients with oral squamous cell carcinoma. Oral Oncol. 2020 [Epub ahead of print]
Iqbal SM, Singh RR, Dewangan GL: Sailocele of Stenson's duct (a case report). J Laryngol Otol. 1986 100(3): 363-365, 1986.
Mlekusch I: Zervikale Lymphknotenschwellung: Verzögerungen vermeiden. Österreichische Ärztezeitung. Nr. 13-14, 2015.
Okumu SB, Chindia ML, Gathece LW, Dimba EA, Odhiambo W: Clinical features and types of paediatric orofacial malignant neoplasms at two hospitals in Nairobi, Kenya. J Craniomaxillofac Surg. 40(1): 8-14, 2012.
Raab MS, Podar K, Breitkreutz I, Richardson PG, Anderson KC: Multiple myeloma. Lancet 374(9686): 324- 339, 2009.
Scherfler S, Freier K, Seeberger R, Bacon C, Hoffmann J, Thiele OC. Cranio-maxillofacial non-Hodgkin's lymphoma: clinical and histological presentation. J Craniomaxillofac Surg. 40(7): 211-3, 2012.
Shipp MA: Prognostic factors in aggressive non-Hodgkin’s lymphoma: who has “high-risk” disease? Blood 83(5): 1165- 1173, 1994.
Sprave T, Rühle A, Hees K, Kalckreuth T, Verma V, Stoian R, Zamboglou C, Pfeiffer J, Laszig R, Knopf A, Grosu AL, Nicolay NH: Radiotherapeutic management of cervical lymph node metastases from an unknown primary site - experiences from a large cohort treated with modern radiation techniques. Radiat Oncol. 15(1): 80, 2020.
Singh A, Singh H, Kumar D, Singh A, Biswal BN: Intraoral Soft Tissue Fibrosarcoma in a Four-Year-Old Child: An Unusual Case Report. J Clin Pediatr Dent. 43(6):408-412, 2019.
Storck K, Brandstetter M, Keller U, Knopf A: Clinical presentation and characteristics of lymphoma in the head and neck region. Head Face Med. 15(1): 1, 2019.
Tageja N, Padheye S, Dandawate P, Al-Katib A, Mohammad RM: New targets for the treatment of follicular lymphoma. J Hematol Oncol 2: 50, 2009.
Vega F, Lin P, Medeiros LJ: Extranodal lymphomas of the head and neck. Ann Diagn Pathol 9(6): 340-350, 2005.
Vose JM: Current approaches to the management of non-Hodgkin’s lymphoma. Semin Oncol 25(4): 483- 491, 1998.
Wanyura H, Uliasz M, Kaminski A, Samolczyk-Wanyura D, Smolarz-Wojnowska A: Diagnostic difficulties and treatment of non-Hodgkin lymphoma of the orbit.J Craniomaxillofac Surg 35(1): 39- 47, 2007.
Zucca E, Conconi A, Cavalli F: Treatment of extranodal lymphomas. Best Pract Res Clin Haematol 15(3): 533- 547, 2002.












