Odontogenes Myxom im Kindesalter
Bei der extraoralen Inspektion imponierte eine paranasale und infraorbitale Schwellung rechtsseitig (Abbildung 1). Palpatorisch war die Schwellung nicht eindeutig abgrenzbar, jedoch über der fazialen Kieferhöhlenwand verschieblich.
Zur weiteren Diagnostik erfolgte eine sonografische Untersuchung, bei der sich eine ovaläre, glatt berandete Struktur mit einer Größe von circa 1,2 cm x 2,2 cm zeigte (Abbildung 2).
Eine Fraktur war nicht eindeutig ausschließbar. Aufgrund der detektierten Raumforderung wurde eine erweiterte Schnittbildgebung (Computertomografie) von radiologischer Seite angeraten. In der Computertomografie war eine rundliche Struktur paranasal/infraorbital ausgehend vom os maxillare erkennbar (Abbildungen 3 und 4).

Der Inhalt wies Dichtewerte von 33 HU auf, die damit denen einer proteinreichen Flüssigkeit entsprachen. Auf Höhe der Wurzel des oberen rechten Eckzahns war eine Kortikalisunterbrechung mit einem direkten Kontakt zur zystischen Raumforderung erkennbar. Dies zeigte sich ebenfalls über der Zahnanlage des bleibenden Eckzahns. Die Wandung der Raumforderung wies zarte Verkalkungen sowie eine zarte Septierung im kranialen Bereich auf.
Zur histopathologischen Abklärung wurde die unklare Raumforderung in Intubationsnarkose chirurgisch entfernt. Hierfür erfolgte nach marginaler Schnittführung im Oberkiefer unter Schonung des N. infraorbitalis die Darstellung des kugeligen, weichgewebigen Tumors, der sich in toto enukleieren ließ (Abbildungen 5 und 6).
Da die tumoröse Raumforderung breitbasig dem Zahnkeim 13 aufsaß, wurde entschieden, den Zahn mitsamt dem dazugehörigen Zahnsäckchen zur Erzielung einer R0-Resektion ebenfalls zu entfernen. Durch den persistierenden und progredienten Druck der Raumforderung war die bukkale Wandung an der Radix des Zahns 53 resorbiert. Hier zeigten sich nach Entfernung der Weichgewebsraumforderung circa 3 mm der exponierten Wurzel mit makroskopisch gut erkennbarem offenem Apex und Pulpa des Zahns 53. Im Vergleich zum Zahnkeim 13 war die Radix nicht direkt mit der Raumforderung verwachsen, jedoch war davon auszugehen, dass der Gefäß-Nerv-Strang durch die tumoröse Raumforderung stark komprimiert und beschädigt worden war, so dass der Entschluss gefasst wurde, den Zahn im Sinne einer Apexifikation mit MTA nach Vitalexstirpation zu behandeln.
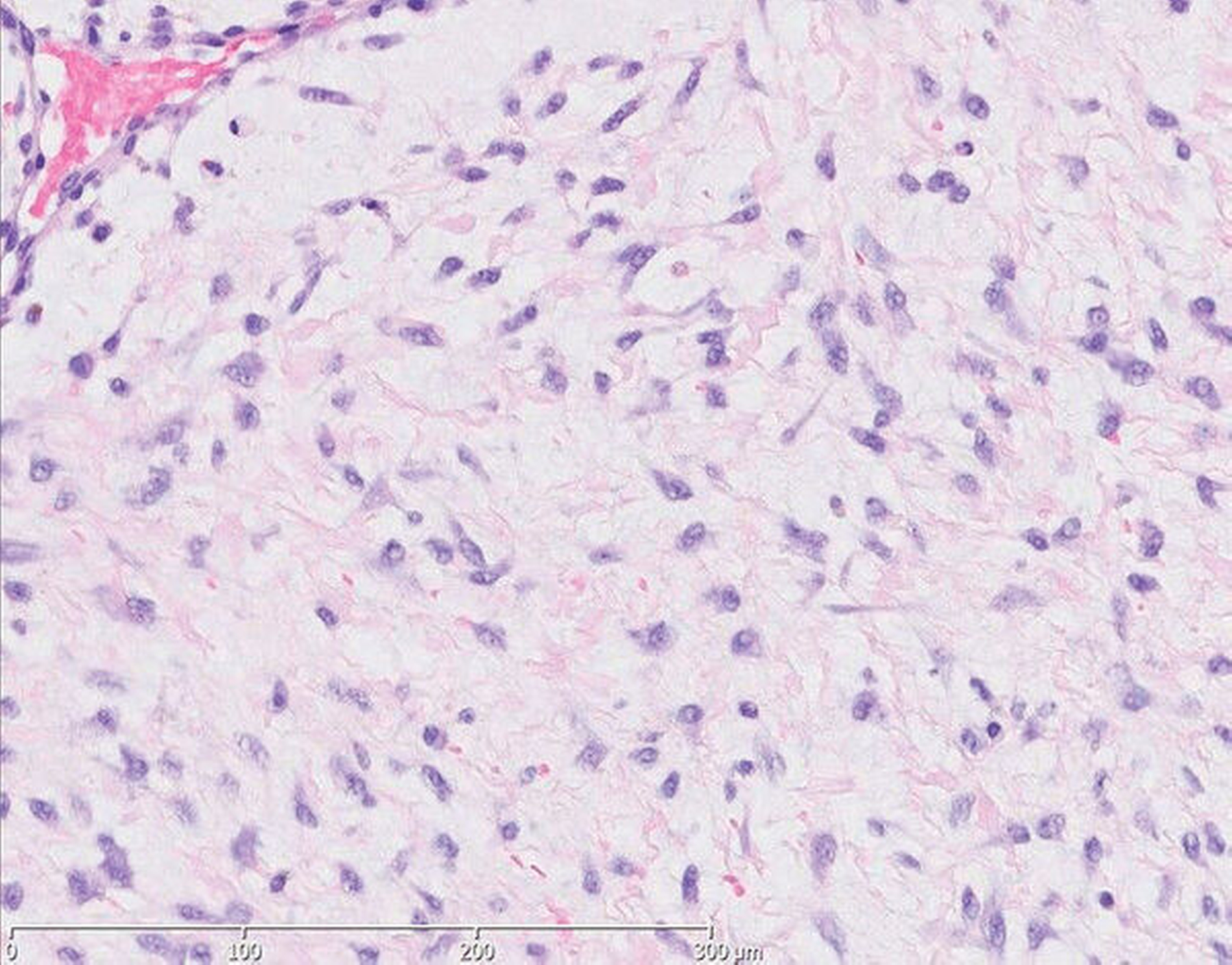
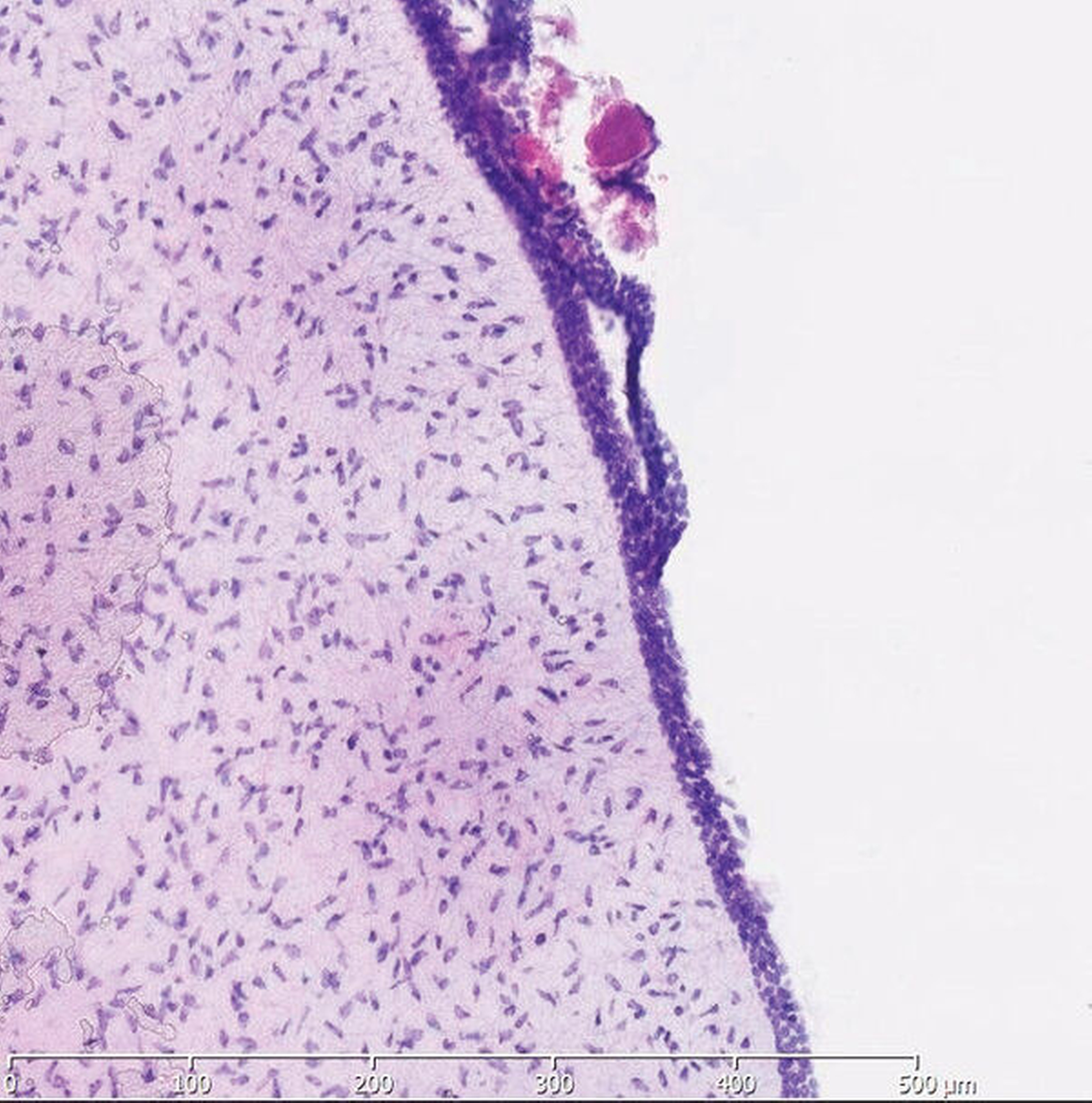
In der histopathologischen Aufarbeitung fand sich spindelzelliges Gewebe mit myxoidem Aspekt, teils eher zellreich mit allenfalls geringgradigen Kernatypien (Abbildungen 7 und 8).
Die Läsion schloss mehrfach kleine Nervenstrukturen ein und kleine kapilläre Gefäße. Randlich und intraläsional zeigten sich neugebildetes beziehungsweise remodelliertes Geflechtknochengewebe mit vermehrten Osteoblasten. In der Pulpa der unreifen Anlage des Zahns 13 imponierten fibromyxoide Gewebekomponenten. Unter Berücksichtigung des vollständig aufgearbeiteten histopathologischen Gesamtbefunds ist von einem odontogenen Myxom mit Assoziation zu einer Zahnanlage auszugehen.
Diskussion
Das odontogene Myoxom ist der vierthäufigste benigne odontogene Tumor und wird vorwiegend in der zweiten und in der dritten Lebensdekade beobachtet, obgleich Fälle in sehr jungem oder hohem Alter ebenfalls beschrieben wurden [Cardesa et al., 2008; Kansy et al., 2012]. Odontogene Myxome treten im Unterkiefer häufiger als im Oberkiefer auf. Frauen sind statistisch häufiger betroffen [Schwenzer und Ehrenfeld, 2010]. Bei Kindern wurde vermehrt ein Auftreten in der zentralen maxillären Region beschrieben [Kansy et al., 2012; Ang et al., 1993].
Das vorherrschende klinische Zeichen ist eine langsam progrediente Schwellung, gelegentlich auch eine Störung des Zahndurchbruchs oder eine Veränderung in der Stellung bereits durchgebrochener Zähne. Nasenatmungsbehinderungen können bei der Expansion eines odontogenen Myxoms in die Nase oder die Nasennebenhöhlen auftreten [Cardesa et al., 2008; Leiberman et al., 1990]. Nur gelegentlich werden Schmerzen angegeben, jedoch wurden in seltenen Fällen Sensibilitätsausfälle im Bereich des N. alveolaris inferior beim Auftreten des Myxoms im Unterkiefer angegeben [Prein et al., 2013]. Das odontogene Myxom infiltriert und zerstört den Knochen des Ober- oder Unterkiefers. Maligne Entartungen wurden bisher jedoch noch nicht beschrieben.
Das Wachstum eines odontogenen Myxoms bei Kindern geschieht rasch und wird mit einer Zeitspanne von wenigen Tagen bis drei Monaten angegeben [Kadlub et al., 2014]. Bei älteren Patienten wird diese Entwicklung als langsamer ablaufend beschrieben [Keszler et al., 1995].
Fazit für die Praxis
Odontogene Myxome im Kindesalter können trotz ihres langsamen und symptomlosen Wachstums deutlich schneller entstehen als bei erwachsenen Patienten.
Bei radiologischen Osteolysen ist eine histopathologische Sicherung unerlässlich.
Trotz hoher Rezidivraten sollte die chirurgische Therapie im wachsenden Organismus sorgfältig gewählt werden, da mit starken Wachstumsstörungen zu rechnen ist.
Zur frühzeitigen Intervention beim Auftreten von Rezidiven sind regelmäßige klinische Verlaufskontrollen angeraten.
Radiologisch wurde das Erscheinungsbild des odontogenen Myxoms sowohl als „seifenblasenartige Strukturen“ als auch als „Honigwaben“ mit teils netzartiger Binnenstruktur angegeben [Schwenzer und Ehrenfeld, 2010; Muzio et al., 1996]. Die radiologische Läsion ist gut abgegrenzt, teils uni-, teils multilokulär, kann Zähne verdrängen und präsentiert sich sowohl bei Kindern als auch Erwachsenen gleich [Kadlub et al., 2014]. Gelegentlich wurden retinierte Zähne oder Zahnwurzelresorptionen beobachtet [Schwenzer und Ehrenfeld, 2010].
Differenzialdiagnostisch kann ein odontogenes Myxom pathologisch durch einen Zahnfollikel imitiert werden, da beide myxoide Bezirke enthalten. Abgegrenzt werden muss es außerdem gegen Zysten, Ameloblastome, Riesenzellgranulome, fibröse Dysplasien und aneurysmatische Knochenzysten [Prein et al., 2013].
Das therapeutische Regime der odontogenen Myxome reicht von der Enukleation bis zur radikalen Resektion [Cardesa et al., 2008; Schwenzer und Ehrenfeld, 2010; Ang et al., 1993; Leiberman et al., 1990; Prein et al., 2013]. Das Ausmaß des Eingriffs bestimmt die Rezidivrate und kann bei zurückhaltenden Eingriffen wie Enukleation oder Kürettage von 10 Prozent bis zu 43 Prozent [Muzio et al., 1996] im angrenzenden Knochen aufgrund des infiltrativen Wachstums liegen. Wurde – wie in diesem Fall – wegen des noch wachsenden Skelettsystems die konservativ chirurgische Therapieform gewählt, empfehlen wir engmaschige klinische und radiologische Verlaufskontrollen in den ersten beiden postoperativen Jahren, um im Falle eines Wiederauftretens zeitnah chirurgisch intervenieren zu können. Nach dieser Zeit können die Verlaufskontrollen extendiert werden.
Dr. Dr. Nora Lautner
Klinik und Poliklinik für Mund-, Kiefer- und Gesichtschirurgie
Universitätsklinikum RWTH Aachen
Pauwelsstr. 30, 52074 Aachen
Dr. Evgeny Goloborodko
Klinik und Poliklinik für Mund-, Kiefer- und Gesichtschirurgie
Universitätsklinikum RWTH Aachen
Pauwelsstr. 30, 52074 Aachen
Dr. Till Braunschweig
Institut für Pathologie
Universitätsklinikum RWTH Aachen
Pauwelsstr. 30, 52074 Aachen
Prof. Dr. Dr. Frank Hölzle
Klinik und Poliklinik für Mund-, Kiefer- und Gesichtschirurgie
Universitätsklinikum RWTH Aachen
Pauwelsstr. 30, 52074 Aachen
Literaturliste:
Ang, HK, P Ramani, and L Michaels. 1993. “Myxoma of the Maxillary Antrum in Children.” Histopathology 23 (4): 361–65.
Cardesa, A., W. Remmele, G. Klöppel, T. Mentzel, H.H. Kreipe, P. Rudolph, and P. Slootweg. 2008. Pathologie: Kopf-Hals-Region, Weichgewebstumoren, Haut. Pathologie. Springer Berlin Heidelberg. https://books.google.de/books?id=IBJSDIxrSUUC. Kadlub, Natacha, Valere Belle Mbou, Nicolas Leboulanger, Hubert Ducou Lepointe, Edward Ansari, Aurore Coulomb L’hermine, Julien Davrou, Marie-Paule Vazquez, and Arnaud Picard. 2014. “Infant Odontogenic Myxoma: A Specific Entity.” Journal of Cranio-Maxillofacial Surgery 42 (8): 2082–86. https://doi.org/10.1016/j.jcms.2013.07.019 .
Kansy, Katinka, Philipp Juergens, Zdzislav Krol, Michael Paulussen, Daniel Baumhoer, Elisabeth Bruder, Jacques Schneider, Hans-Florian Zeilhofer, and Katja Schwenzer-Zimmerer. 2012. “Odontogenic Myxoma: Diagnostic and Therapeutic Challenges in Paediatric and Adult Patients – A Case Series and Review of the Literature.” Journal of Cranio-Maxillofacial Surgery 40 (3): 271–76. https://doi.org/10.1016/j.jcms.2011.04.009 .
Keszler, A, FV Dominguez, and G Giannunzio. 1995. “Myxoma in Childhood: An Analysis of 10 Cases.” Journal of Oral and Maxillofacial Surgery 53 (5): 518–21.
Leiberman, Alberto, Vito Forte, Paul Thorner, and William Crysdale. 1990. “Maxillary Myxoma in Children.” International Journal of Pediatric Otorhinolaryngology 18 (3): 277–84. https://doi.org/10.1016/0165-5876(90)90152-H .
Muzio, Lorenzo Lo, PierFrancesco Nocini, Gianfranco Favia, Maurizio Procaccini, and Michele Davide Mignogna. 1996. “Odontogenic Myxoma of the Jaws A Clinical, Radiologic, Immunohistochemical, and Ultrastructural Study.” Oral Surgery, Oral Medicine, Oral Pathology, Oral Radiology, and Endodontology 82 (4): 426–33.
Prein, J., W. Remagen, B. Spiessl, and E. Uehlinger. 2013. Atlas Der Tumoren Des Gesichtsschädels: Odontogene Und Nicht Odontogene Tumoren. Springer Berlin Heidelberg. https://books.google.de/books?id=UzazBgAAQBAJ. Schwenzer, N., and M. Ehrenfeld. 2010. Mund-Kiefer-Gesichtschirurgie. ZMK-Heilkunde. Thieme. https://books.google.de/books?id=Q27UL5OnRD8C.











