Rekonstruktion des N. lingualis und Dekompression des N. alveolaris inferior
Eine 30-jährige Patientin stellt sich zur Behandlung von Sensibilitätsstörungen im Gesichtsbereich vier Wochen nach Entfernung eines vollständig retinierten und verlagerten Zahns 48 alio loco in unserer Ambulanz vor. Ihre weitere Anamnese war unauffällig. Klinisch zeigten sich eine Hypästhesie im Bereich des Unterkiefers rechts sowie eine Anästhesie im Bereich der Zunge rechts. Die ehemalige Wunde regio 048 war reizlos verheilt.
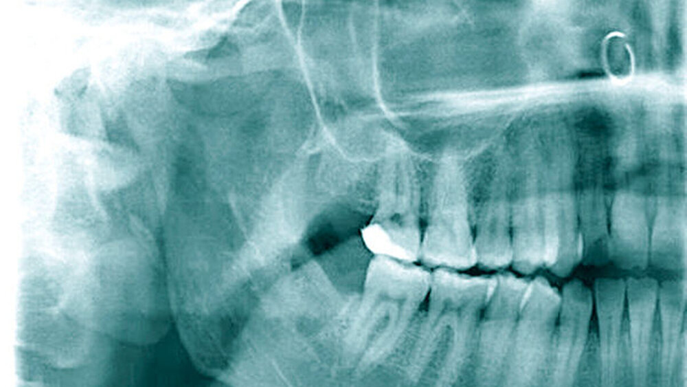
Abbildung 1 dokumentiert den Röntgenbefund des ersten und des vierten Quadranten. Bei Verdacht auf eine Neurotmesis des rechten N. lingualis (lingual nerve; LN) und eine Axonotmesis des rechten N. alveolaris inferior (inferior alveolar nerve; IAN) während der Weisheitszahnentfernung wurde nach Erörterung der Therapiemöglichkeiten mit der Patientin die Indikation zur zeitnahen operativen Nervendarstellung und -rekonstruktion gestellt.
Nach intravenöser Gabe von Fluorescein ALCON® (Alcon Pharma GmbH) zur intraoperativen Nervenfluoreszenz erfolgte in Vollnarkose unter dem Operationsmikroskop (ZEISS OPMI® PENTERO® 900) zunächst die operative Identifizierung und Darstellung des fluoreszierenden rechten LN (Abbildung 2a).
Da dieser durchtrennt war, folgte die Rekonstruktion unter Koaptation mit einem zuvor gehobenen N.-suralis-Interponat (Abbildung 3).
Anschließend wurde der rechte IAN durch Osteotomie über die noch vorhandene Alveole 48 identifiziert und dekomprimiert (Abbildung 4a). Über den eröffneten Canalis mandibulae konnte keine Verletzung des Nervs festgestellt werden, jedoch wies das Epineurium partielle Verletzungen auf. Zum Schutz vor Druck- und Zugkräften von außen wurde der freiliegende Nervenbereich vor dem Wundverschluss mit dem Fibrinkleber Tissucol (Baxter) abgedeckt (Abbildung 4b).
Postoperativ berichtete die Patientin über eine Verbesserung der Sensibilität im Bereich des Unterkiefers rechts sowie über ein gelegentliches Kribbelgefühl im Bereich der Zunge rechts. Zur Verbesserung der körperlichen Nervenregeneration wurde Vitamin B12 oral substituiert. Abbildung 5 dokumentiert die postoperative Röntgenkontrolle.
Am vierten postoperativen Tag konnten wir die Patientin bei sanatio per primam intentionem in die ambulante Weiterbehandlung entlassen.
Diskussion
Im Bereich des Unterkiefers sind sowohl der LN als auch der IAN inklusive seines Abgangs als N. mentalis für iatrogene und traumatische Schäden anfällig. Der IAN versorgt ipsilateral sensibel das Kinn, die Unterlippe, die vestibuläre Schleimhaut sowie die Zähne und Alveolen des Unterkiefers. Der LN innerviert ebenfalls ipsilateral sensibel die linguale Schleimhaut, die vorderen zwei Drittel der Zunge sowie die Gl. submandibularis und die Gl. sublingualis. Darüber hinaus wird letztgenanntes Zungenareal gustatorisch über die dem LN angelagerten sensorischen und parasympathischen Fasern der Chorda tympani (N. facialis) versorgt [Kushnerev und Yates, 2015].
Die häufigste Ursache einer Verletzung des IAN mit einer Inzidenz von 0,4 bis 13,4 Prozent und des LN von bis zu 11 Prozent ist die Weisheitszahnextraktion [Guerrero et al., 2012; Kushnerev und Yates, 2015]. Weitere Ursachen sind dentoalveoläre Eingriffe in Form von Zystektomien, Wurzelspitzenresektionen oder Zahn- und Wurzelrestentfernungen, die Einbringung von Zahnimplantaten, endodontische Behandlungen (Inzidenz von 0,96 Prozent), die Durchführung einer Umstellungsosteotomie, Tumorresektionen, aber auch die Infiltration einer Lokalanästhesie. Dabei können die Nerven durch Zug oder Kompression des IAN verletzt beziehungsweise im Extremfall durchtrennt werden.
Klinisch äußern sich periphere Nervenverletzungen des LN und des IAN durch Hypästhesien bis hin zu Anästhesien, schmerzhaften Hyperästhesien, Geschmacksstörungen sowie Sprachveränderungen [Kushnerev und Yates, 2015].
Nervenverletzungen lassen sich nach Seddon oder Sunderland einteilen. 1943 beschrieb Sir Herbert Seddon drei grundlegende Arten peripherer Nervenverletzungen als Neurapraxie (Grad 1), Axonotmesis (Grad 2) und Neurotmesis (Grad 3). Neurapraxie bezeichnet dabei die mildeste Form einer Nervenverletzung. Sie ist die häufigste Reaktion auf ein stumpfes Trauma, ohne Verletzung des Axons oder seines Hüllgewebes. Innerhalb von zwölf Wochen kommt es zumeist zur vollständigen Regeneration. Axonotmesis beschreibt eine axonale Durchtrennung bei intaktem Hüllgewebe. In diesem Fall liegt die Regenerationszeit im Bereich der axonalen Wachstumsgeschwindigkeit von etwa 1 mm pro Tag. Bei der Neurotmesis handelt es sich um die schwerste Form der Nervenverletzung. Sie geht mit einer vollständigen Durchtrennung des Axons und seines Hüllgewebes einher. Ohne eine adäquate operative Koaptation bleibt hier in der Regel die Nervenregeneration aus [Chhabra et al., 2014].
Die Einteilung von Sir Sydney Sunderland aus dem Jahr 1951 unterteilt periphere Nervenverletzungen in fünf Grade. Grad 1 (Neurapraxie) und Grad 2 (Axonotmesis) entsprechen dabei der Einteilung von Seddon. Die weiteren Grade beinhalten eine genauere Unterteilung der Neurotmesis. Ist die Nervenverletzung aufs Endoneurium beschränkt, handelt es sich um Grad 3, bei miterfasstem Perineurium um Grad 4 und bei vollständiger Nervendurchtrennung (Miterfassung des Epineuriums) um Grad 5. Somit kann der Grad 5 nach Sunderland dem Grad 3 nach Seddon gleichgesetzt werden [Chhabra et al., 2014].
Der ideale Zeitpunkt einer Rekonstruktion des IAN und des LN ist gegenwärtig noch nicht gefunden und wird in der Literatur kontrovers diskutiert. Jedoch mehren sich die Hinweise, dass eine Rekonstruktion in den ersten drei Monaten nach iatrogenem Ereignis den größten Erfolg für eine mögliche vollständige Sensibilitätsrückkehr verspricht. Bagheri et al. berichten in diesem Zusammenhang über das Sinken der operativen Erfolgsquote auf 5,8 bis 11 Prozent pro Monat [Bagheri et al., 2009; Bagheri et al., 2012; Kushnerev und Yates, 2015]. In unserem Fall erfolgte die Nervenrekonstruktion vier Wochen nach der Weisheitszahnentfernung. Die Ausnahme sind Sensibilitätsstörungen nach der Einbringung von Zahnimplantaten. Hier ist eine Explantation innerhalb von 30 Stunden indiziert, um dauerhafte Schäden des IAN zu verhindern [Renton and Yilmaz, 2012; Kushnerev und Yates, 2015].
Fazit für die Praxis
- Für Nervenschäden sind im Unterkiefer sowohl der LN als auch der IAN inklusive seines Abgangs als N. mentalis anfällig. 
- Die häufigste iatrogene Ursache einer Verletzung beider Nerven stellt die Weisheitszahnentfernung dar. Weitere Verletzungsmöglichkeiten sind nervennahe dentoalveoläre Eingriffe, Zahnimplantationen, endodontische Behandlungen, Umstellungsosteotomien, Tumorresektionen, aber auch Infiltrationen von Lokalanästhetika. 
- Periphere Nervenverletzungen äußern sich klinisch durch Sensibilitätsstörungen bis hin zu Sensibilitätsverlusten, schmerzhafter Überempfindlichkeit, Geschmacksstörungen und Sprachveränderungen. 
- Periphere Nervenverletzungen lassen sich nach Seddon in drei Grade und nach Sunderland in fünf Grade einteilen. 
- Der ideale Zeitpunkt einer Rekonstruktion des verletzten IAN und des LN ist gegenwärtig noch nicht gefunden, es werden jedoch die ersten drei Monate nach erfolgter Nervenschädigung empfohlen. Im Fall von neu aufgetretenen Sensibilitätsstörungen nach Zahnimplantationen sollten diese zur Vermeidung dauerhafter Schäden des IAN möglichst innerhalb von 30 Stunden explantiert werden. 
- Operative Nerven-rekonstruktionen beinhalten die Dekompression, die direkte Koaptation, die Rekonstruktion mit einem autologen Interponat sowie die unterstützende Regeneration mit einem Sleeve, wobei alle gute Erfolgsquoten versprechen. 
- Die parallele Gabe von Vitamin B12 soll die körperliche Nervenregeneration unterstützen. 
Zu den operativen Verfahren einer Nervenrekonstruktion zählen die Dekompression, die direkte Koaptation, die Nervenrekonstruktion mit einem autologen Interponat sowie die unterstützende Regeneration mit einem Sleeve. Bei der Dekompression wird der betroffene Nervenanteil, wie beim IAN unserer Patientin, freigelegt. Die Erfolgsaussichten liegen bei dieser Methode im Bereich von 85 Prozent, mit beginnender Sensibilitätsrückkehr nach drei Wochen und vollständiger Genesung nach zwei bis drei Monaten. Bei der direkten Koaptation beider Nervenenden wird die Erfolgsrate mit 88,9 Prozent angegeben [Bagheri et al., 2012].
Die Nervenrekonstruktion mit einem autologen Interponat, zum Beispiel dem N. auricularis magnus oder dem N. suralis, wie sie auch bei unserem Fall für die Rekonstruktion des LN erfolgte, führt im Fall von Rekonstruktionen des IAN in 87,3 Prozent der Fälle zu einer vollständigen Sensibilitätsrückkehr. Das war auch bei unserer Patientin im Bereich des Unterkiefers und der Zunge nach einem Zeitraum von sechs Monaten der Fall. Bei zu überbrückenden Nervendefekten von bis zu 2 cm Länge ist laut Bagheri et al. ein N.-auricularis-magnus-, bei Längen größer als 2 cm ein N.-suralis-Interponat zu bevorzugen [Bagheri et al., 2009; Bagheri et al., 2012].
In unserem Fall erfolgte die Rekonstruktion des LN mit einem N.-suralis-Interponat, da sich die Patientin im Vorfeld gegen die Entnahme eines N.-auricularis-magnus-Interponats zur Vermeidung einer Narbe im Bereich des lateralen Halses ausgesprochen hatte. Bei der Rekonstruktion mit einem Sleeve wird der betroffene Nervenanteil mit resorbierbaren (zum Beispiel aus PGA oder Kollagen) und nicht resorbierbaren Membranen (zum Beispiel aus GORE-TEX®) umhüllt, die dem Nerven als Leitstruktur für die Regeneration dienen sollen. Dabei ermöglicht der Einsatz resorbierbarer Sleeves eine Erfolgsquote von um die 83,3 Prozent, wohingegen die nicht resorbierbaren Sleeves deutlich schlechtere Ergebnisse erzielen [Kushnerev und Yates, 2015]. Eine wie in unserem Fallbericht unterstützende Gabe von Vitamin B12 soll gleichzeitig die körperliche Regeneration von Nervenschäden fördern [Lee et al., 2016].
PD Dr. Med. Dr. med. dent. Thomas Mücke
Klinik für Mund-, Kiefer- und Gesichtschirurgie, plastische und ästhetische Operationen
Malteser Krankenhaus St. Josefshospital
Kurfürstenstr. 69, 47829 Krefeld-Uerdingen
Dr. med. Felix Paulßen von Beck
Klinik für Mund-, Kiefer- und Gesichtschirurgie, plastische und ästhetische Operationen
Malteser Krankenhaus St. Josefshospital
Kurfürstenstr. 69, 47829 Krefeld-Uerdingen
Literaturliste:
Bagheri SC, Meyer RA, Khan HA, Steed MB. Microsurgical repair of peripheral trigeminal nerve injuries from maxillofacial trauma. J Oral Maxillofac Surg. 2009; 67(9): 1791-1799.
Bagheri SC, Meyer RA, Cho SH, Thoppay J, Khan HA, Steed MB. Microsurgical repair of the inferior alveolar nerve: success rate and factors that adversely affect outcome. J Oral Maxillofac Surg. 2012; 70(8): 1978-1990.
Chhabra A, Ahlawat S, Belzberg A, Andreseik G. Peripheral nerve injury grading simplified on MR neurography: As referenced to Seddon and Sunderland classifications. Indian J Radiol Imaging. 2014; 24(3): 217-224.
Guerrero ME, Nackaerts O, Beinsberger J, Horner K, Schoenaers J, Jacobs R; SEDENTEXCT Project Consortium. Inferior alveolar nerve sensory disturbance after impacted mandibular third molar evaluation using cone beam computed tomography and panoramic radiography: a pilot study. J Oral Maxillofac Surg. 2012; 70(10): 2264-2270.
Kushnerev E, Yates JM. Evidence-based outcomes following inferior alveolar and lingual nerve injury and repair: a systematic review. J Oral Rehabil. 2015; 42(10): 786-802.
Lee CH, Lee BS, Choi BJ, Lee JW, Ohe JY, Yoo HY, Kwon YD. Recovery of inferior alveolar nerve injury after bilateral sagittal split ramus osteotomy (BSSRO): a retrospective study. Maxillofac Plast Reconstr Surg. 2016; 38(1): 25.
Renton T, Yilmaz Z. Managing iatrogenic trigeminal nerve injury: a case series and review of the literature. Int J Oral Maxillofac Surg. 2012; 41(5): 629-637.










