Regierung behandelt MIH stiefmütterlich
Schinnenburg, der selbst Zahnarzt ist, fragte, welche Maßnahmen die Bundesregierung ergreife, um die Zahngesundheit von Kindern zu verbessern und welche finanziellen Mitteln sie dafür zur Verfügung stelle. Ein weiterer Schwerpunkt der Kleinen Anfrage (Drs. 19/23287) war das Thema Präventionsprogramme für Kinder und in welchem Umfang diese von der Bundesregierung gefördert werden.
Schinnenburg wollte ebenfalls wissen, welche Maßnahmen die Bundesregierung für erforderlich hält, damit alle Kinder regelmäßig Zahnarztkontakt haben und Schäden damit früher erkannt werden könnten. Auch die Pläne in Sachen Kinderzahngesundheit, eventuelle weitere gesetzliche Maßnahmen zu deren Verbesserung und Zahlen zur Ausbreitung der Molaren-lnzisiven-Hypermineralisation (MIH) in Deutschland waren Inhalt der Kleinen Anfrage.
Bundesregierung lobt die Gruppenprophylaxe
Die Frage nach der Kinderzahngesundheit in Deutschland im Vergleich zu anderen Ländern war am einfachsten beantwortet: „Nach der DMS V (Fünfte Deutsche Mundgesundheitsstudie) nimmt Deutschland im Vergleich mit 32 anderen europäischen Ländern sowie Australien und den USA bezüglich der Karieserfahrung den Spitzenplatz ein“, erläuterte Dr. Thomas Gebhart, Parlamentarischer Staatssekretär im Bundesgesundheitsministerium (BMG). Für Maßnahmen, die die Zahngesundheit von Kindern verbessern sollen, wurden 2019 rund 26 Millionen Euro GKV-Gelder für die Früherkennung von Zahn-, Mund- und Kieferkrankheiten bereitgestellt. Die Leistungen der Individualprophylaxe bei Kindern und Jugendlichen lagen den Angaben zufolge bei rund 492 Millionen Euro, die Kosten für die Gruppenprophylaxe in Kindergärten und Schulen bei rund 51 Millionen Euro.
Ein Blick in die Zukunft aus Sicht der Bundesregierung: „In den kommenden Jahren werden wir ein besonderes Augenmerk darauf legen, ob es gelingt, durch die Ausweitung der zahnärztlichen Früherkennungsuntersuchungen auf Kinder vor dem 30. Lebensmonat und die verstärkte Durchführung der Gruppenprophylaxe auch bei unter dreijährigen Kindern die Verbreitung frühkindlicher Karies zu reduzieren“, antwortete das BMG. Die Gruppenprophylaxe für die älteren Kinder sei „das reichweitenstärkste Präventionsangebot für Kinder und von besonderer Bedeutung“. Im Schuljahr 2017/2018 erreichte es demzufolge 77,2 Prozent aller Kinder in Kindergärten, 77,3 Prozent aller Kinder in Grundschulen und 75,8 Prozent aller Kinder in Förderschulen.
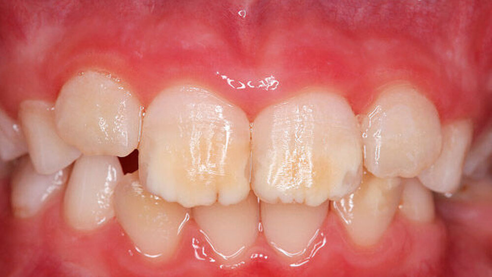
„Kreidezähne sind die neue Volkskrankheit“

Die Präsidentin der Deutschen Gesellschaft für Kinderzahnheilkunde (DGKiZ), Prof. Katrin Bekes:
„Die MIH ist ein hochaktuelles Thema, das die zahnärztlichen Kolleginnen und Kollegen nicht nur in Deutschland, sondern weltweit betrifft und vor große klinische Herausforderungen stellt. Sie muss aufgrund ihrer hohen Prävalenz tatsächlich als neue Volkskrankheit bezeichnet werden. Es gibt nach wie vor einen dringenden Bedarf zur Forschung in der Ätiologie der Erkrankung, denn ohne die Ursachen des Krankheitsbildes zu kennen, ist es nicht möglich, Empfehlungen zu einer zielgerechten Prophylaxe auszusprechen. Ebenso besteht ein Desiderat, an Möglichkeiten der ‚Nachreifung‘ oder ‚Heilung‘ des qualitativ minderwertig gebildeten Schmelzes in Form von Remineralisation zu forschen sowie klinische Behandlungskonzepte zu evaluieren. Für all diese notwendigen Forschungsansätze würden wir uns die Beachtung und die Unterstützung der Politik wünschen.
Es gibt erheblichen Forschungsbedarf; viele Studien sind selbstfinanziert, erforderlich sind mehr Fördermittel. Denn die aktuellen Zahlen der zwölfjährigen Kinder, bei denen laut DMS V mindestens ein Zahn mit MIH-Befund vorliegt, sind sehr beunruhigend. Nicht nur in Deutschland verzeichnen wir beachtenswerte Prävalenzzahlen, sondern in vielen anderen Ländern ebenso. In Dänemark zeigen Studien sogar eine noch höhere Prozentzahl als in Deutschland an. Weltweit wird die Prävalenz auf 13 bis 14 Prozent geschätzt. Es zeigt, dass wir die MIH nicht vernachlässigen dürfen. Sie ist eine ernst zu nehmende Erkrankung. Deshalb ist es dringend geboten und unabdingbar, dass die jeweiligen politischen Entscheidungsträger finanzielle Unterstützung und Förderung gewähren.“
Aus Sicht der Bundesregierung hat sich die Zahngesundheit deutscher Kinder in den vergangenen Jahrzehnten „deutlich verbessert“. Eine Untersuchung der Deutschen Arbeitsgemeinschaft für Jugendzahnpflege (DAJ) aus dem Schuljahr 2015/16 unter 300.000 Kindern bescheinigt 79 Prozent der Sechstklässler kariesfreie bleibende Gebisse. Demnach gibt es allerdings „deutliche Unterschiede hinsichtlich der Verbreitung von Karies und der Karieserfahrung zwischen Kindern aus den unterschiedlichen Sozialschichten“.
Schinnenburg kritisiert fehlende MIH-Forschung
Erfreulich ist für Schinnenburg, dass sich die Zahngesundheit bei Kindern positiv entwickle. Gegenüber den zm sagte er: „Sorge bereitet mir aber, dass durch die Gruppenprophylaxe in Schulen und Kindergärten rund ein Viertel der Kinder nicht erreicht wird. Wir brauchen verstärkte Anstrengungen, damit möglichst regelmäßig alle Kinder durch eine Gruppenprophylaxe erreicht werden, auch die, deren Eltern nicht mit ihnen zum Zahnarzt gehen.“
Die FDP hatte auch angefragt, welche Forschungsprojekte die Bundesregierung zu MIH fördert. Im Rahmen der DMS V wurde MIH erstmals erfasst. Dabei kam heraus, dass sich bei 28,7 Prozent der zwölfjährigen Kinder wenigstens ein Zahn mit MIH-Befund fand. Bei 5,4 Prozent der untersuchten Kinder wurden ausgeprägte behandlungsbedürftige MIH-Formen mit Defekten des Zahnschmelzes festgestellt. Antwort des BMG: „Die Bundesregierung fördert derzeit keine Forschungsprojekte zur MIH.“
„Das ist völlig unverständlich“, kommentiert Schinnenburg diese Antwort. „Wenn ein Viertel der zwölfjährigen Kinder die Krankheit aufweist, davon sogar mehr als fünf Prozent so schwer, dass sie behandelt werden müssen, ist das zuviel, gerade wenn man weiß, dass die Krankheit mit starken Kauschmerzen und damit erheblichen Einschränkungen der Lebensqualität verbunden sein kann. Hier muss dringend mehr in die Forschung investiert werden!“




