Nekrotisierende Fasziitis nach dentogenem Infekt
Ein 75-jähriger Patient stellte sich mit Verdacht auf einen perimandibulären Abszess in der Klinik vor. Ursächlich war ein retinierter Zahn 48, bei der Aufnahme lagen Schluckbeschwerden und eine perimandibuläre Schwellung vor. Der Abszess wurde notfallmäßig drainiert und es kam zum Ablauf von Pus (Abbildung 1), eine kalkulierte Antibiose mit Aminopenicillin/Clavulansäure wurde eingeleitet.
Die allgemeine Anamnese des Patienten erbrachte eine arterielle Hypertonie, einen Diabetes mellitus Typ 2 (diätisch eingestellt) und eine koronare Herzkrankheit.
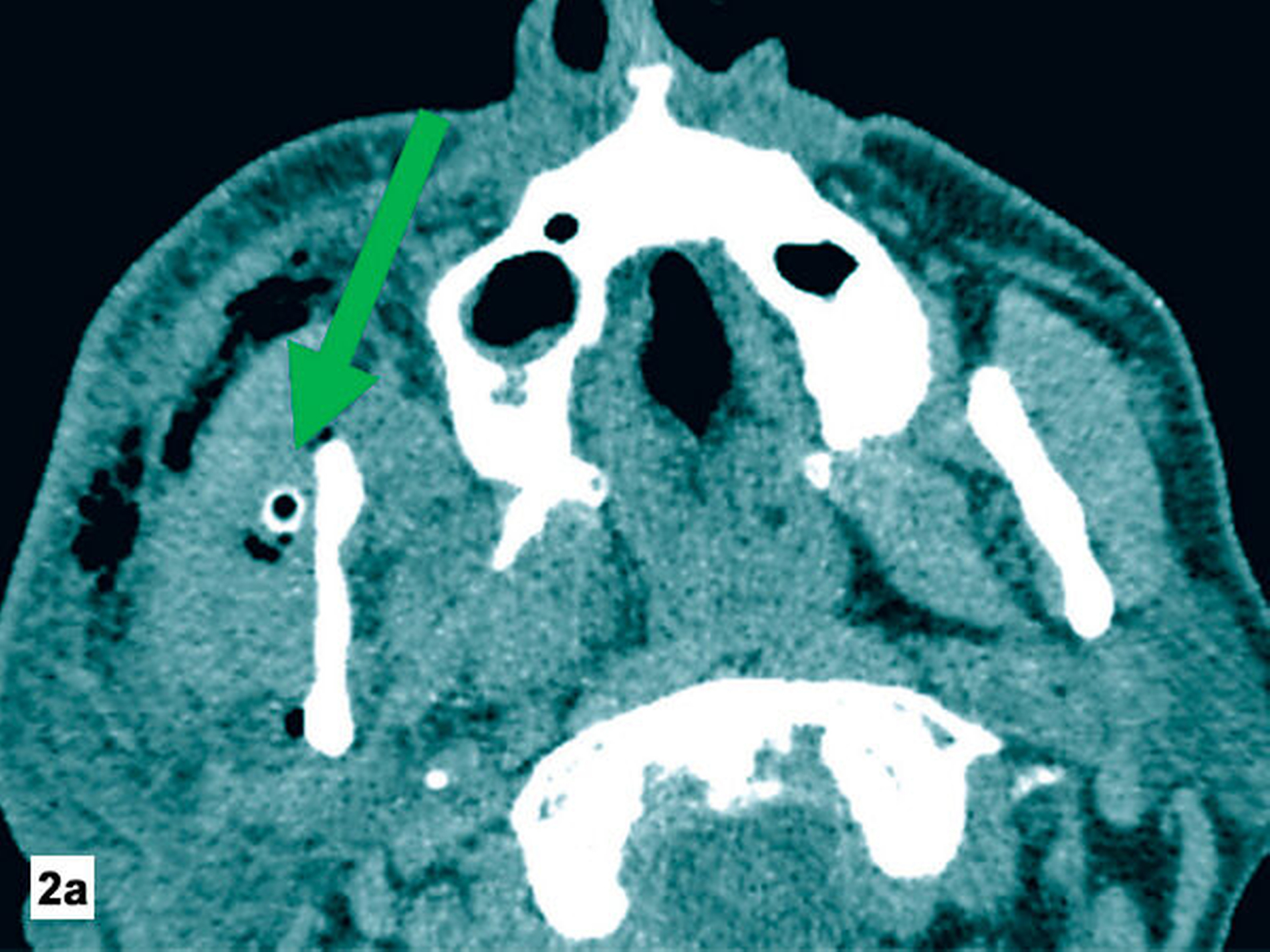
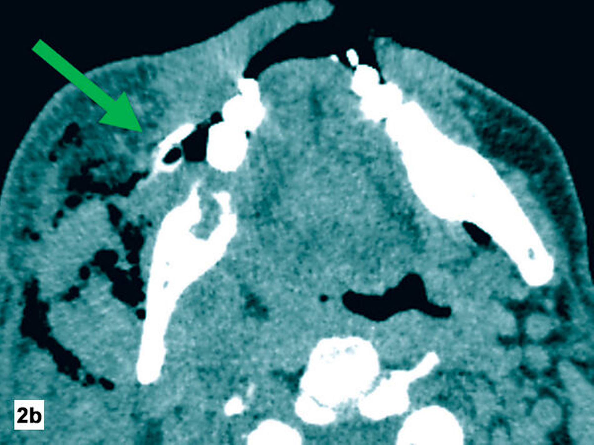
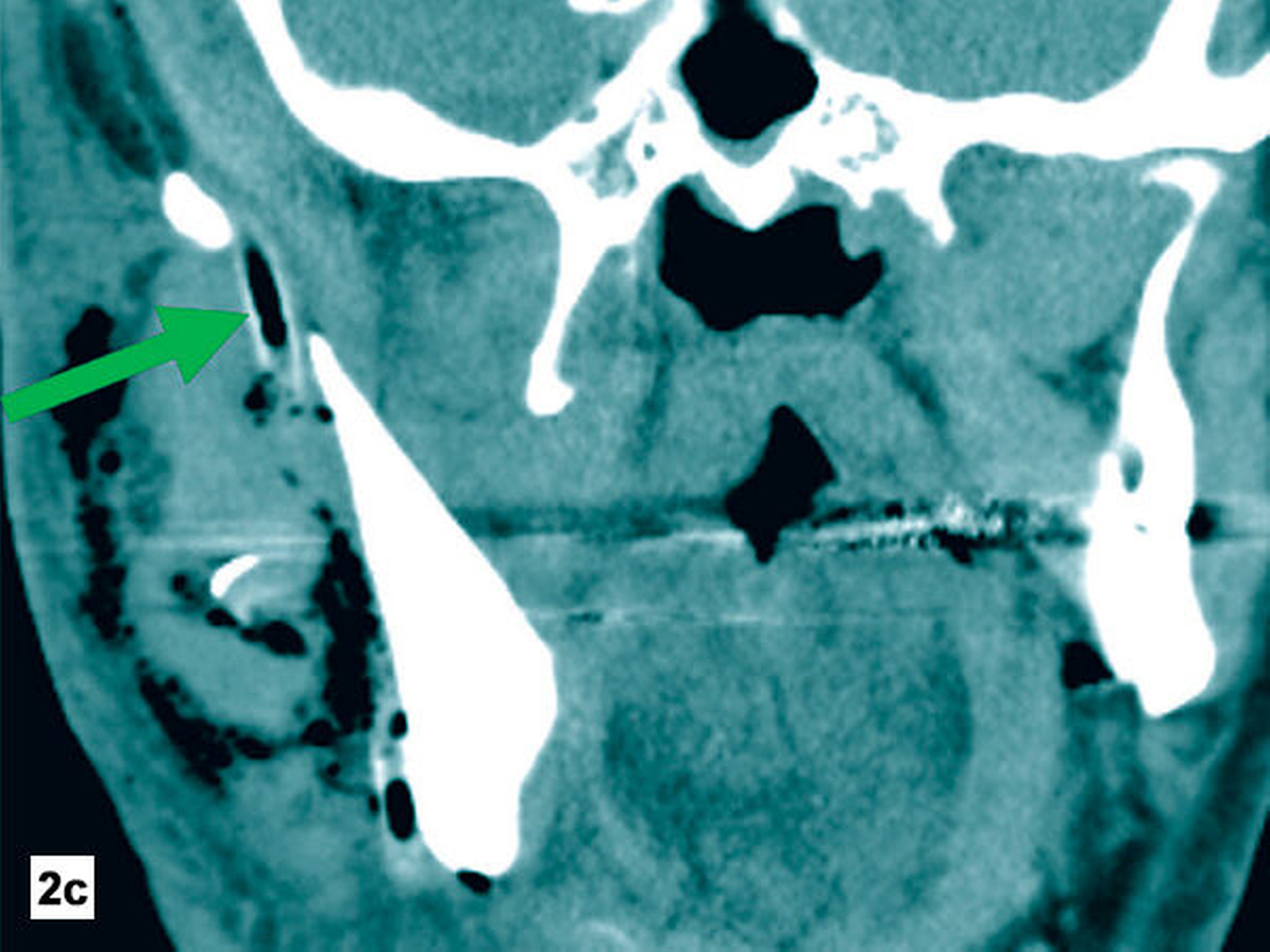
Am Folgetag zeigte der Patient eine zunehmende Verschlechterung und eine progrediente Schwellung der Halsregion mit beginnender Luftnot. Zur erweiterten Diagnostik wurde eine Computertomografie (CT) der Kopf-Hals-Region durchgeführt (Abbildung 2). Hier zeigten sich ein Flüssigkeitsverhalt submandibulär rechts trotz loco typico einliegender Drainage sowie Gewebseinschmelzungen und Gasblasen entlang des rechtsseitig-zervikalen und temporalen Faszienverlaufs.
Es erfolgte eine unmittelbare notfallmäßige chirurgische Exploration. Hierbei zeigte sich eine klinisch manifeste Myonekrose der submandibulären, der perimandibulären und der temporalen Kompartimente (Abbildung 3). Die nekrotischen Bereiche wurden entfernt und eine großflächige Lavage mit Polyhexanid-Lösung wurde durchgeführt. Zur Atemwegssicherung wurde der Patient tracheotomiert. Intraoperativ kam es zunehmend zu einer kardiopulmonalen Instabilität, so dass der Patient postoperativ mit septischen Parametern zur weiteren Überwachung auf die Intensivstation verlegt wurde.

Am Folgetag wurde eine erneute chirurgische Exploration durchgeführt, hier zeigten sich weitere Nekrosefelder (Abbildung 4). Ein erneutes Debridement und Lavagen wurden durchgeführt. In den nächsten Tagen stabilisierte sich der Patient kardiopulmonal und die Entzündungsparameter waren rückläufig. Es erfolgte noch zweimal eine chirurgische Exploration, hierbei mussten nur noch wenige Nekroseareale abgetragen werden und der Wundgrund befand sich zunehmend in sauberer Granulation (Abbildung 5).
Reseziert wurden letztendlich große Teile der Kaumuskulatur (M. masseter, M. temporalis, M. pterygoideus medialis, M. mylohoideus) sowie das Platysma; die oberflächlichen und partiell tiefen Anteile der Halsfaszie rechtsseitig wurden entfernt. Die Antibiotika-Therapie wurde nach der klinischen Diagnose der nekrotisierenden Fasziitis kalkuliert mit dem hausinternen Standard Imipenem, Metronidazol und Ciproflaxin eingeleitet. Nach Erhalt des mikrobiologischen Ergebnisses (Nachweis einer anaeroben Mischflora: Bulleidia extructa, Slackia exigua, Parvimonas micra / Peptostreptococcus micros, Fusobacterium species, Dialister pneumosintes) wurde spezifisch auf Piperacillin/Tazobactam deeskaliert.
Der Patient wurde im Verlauf wieder auf die Normalstation zurückverlegt und erholte sich zusehends. Das Tracheostoma konnte zurückverlegt und ein oraler Kostaufbau eingeleitet werden. In der Rekonvaleszenzphase erlitt der Patient allerdings zwei Wochen später einen Herzinfarkt und verstarb.
DISKUSSION
Die nekrotisierende Fasziitis in der Kopf-Hals-Region ist ein seltenes Krankheitsbild. Die Inzidenz wird mit 0,2–400/100.000 [Stone and Martin, 1972; Bayetto et al., 2017; Wolf et al., 2010] pro Jahr in Europa angegeben. In den westlichen Ländern ist die Inzidenz aufgrund der frühzeitigen Diagnosestellung und der besseren medizinischen Versorgungsstruktur deutlich geringer als beispielsweise in afrikanischen Ländern [Mtenga et al., 2019]. Die nekrotisierende Fasziitis betrifft häufiger die Extremitäten und das Abdomen, lediglich 1–10 Prozent aller Fälle treten in der Kopf-Hals-Region auf [Gunaratne et al., 2018]. Hier sind die häufigsten Ursachen dentogenen oder pharyngealen Ursprungs, meist sind es Entzündungen der Unterkiefer-Molaren [Kämmerer et al., 2017; Bayetto et al., 2017; Gunaratne et al., 2018]. In manchen Fällen kann die nekrotisierende Fasziitis auch als Komplikation einer onkologischen Therapie auftreten [Gunaratne et al., 2018]. Die Mortalität ist in industrialisierten Ländern 12–40 Prozent in der Kopf-Hals-Region, wobei eine rasche Diagnosestellung die Mortalitätsrate deutlich reduziert [Kämmerer et al., 2017; Gunaratne et al., 2018].
Neben den Leitsymptomen der zugrunde liegenden Erkrankung sind Veränderungen der Haut, Erytheme und Blasenbildung, erste Anzeichen [Kämmerer et al., 2017]. Verläufe mit primär unspezifischen Veränderungen wie eine zunehmende Schwellung und Schmerzen sind möglich, erst in den späten Stadien treten Emphysembildungen und Krepitationen auf, was eine rasche Diagnose erschwert [Gunaratne et al., 2018].
Mögliche Komplikationen einer nekrotisierenden Fasziitis der Kopf-Hals-Region sind insbesondere vaskuläre Probleme (Thrombose der V. jugularis interna, Blow-out der A. carotis, Aneurysmen der A. carotis), eine absteigende Mediastinitis oder eine Sepsis [Gunaratne et al., 2018]. Das Entstehen einer Sepsis wird mit dem SOFA-Score (Sequential Organ Failure Assessment) eingeschätzt. Anzeichen wären eine reduzierte Herz-Kreislauf-Situation (gegebenenfalls Katecholamin-pflichtig), Oxygenierungsprobleme, eine Thrombozytopenie, eine reduzierte Urinausscheidung, ein reduzierter Glasgow-Coma-Scale und ein Anstieg von Serum-Bilirubin/Kreatinin [Singer et al., 2016]. Die Entstehung einer Sepsis ist bei der nekrotisierenden Fasziitis sehr häufig.
Zur Diagnostik wird eine Schnittbilddiagnostik, in der Regel eine Computertomografie, empfohlen. Hierbei zeigen sich, wie im hier vorliegenden Fall, typischerweise Luftansammlungen und Gewebseinschmelzungen. Die Abgrenzung von Kutis und Subkutis ist regelhaft nicht mehr möglich [Kämmerer et al., 2017]. Das Vorliegen einer nekrotisierenden Fasziitis kann zusätzlich mit dem „Laboratory Risk Indicator for Necrotizing Fasciitis Score“ (LRINF) eingeschätzt werden, der positiv-prädiktive Wert wird in fortgeschrittenen Stadien mit 92 Prozent angegeben [Wong et al., 2004].
Patienten mit einem kompromittierten Immunsystem, mit Diabetes mellitus, mit Alkoholismus oder mit Anämie haben ein gehäuftes Auftreten dieser schwerwiegenden Erkrankung [Kämmerer et al., 2017; Mtenga et al., 2019; Gunaratne et al., 2018]. Risikofaktoren für eine mediastinale Ausbreitung sind das Vorliegen von prähospitaler Glukokortikoideinnahme und eine pharyngeal lokalisierte Ursache [Nougue et al., 2015; Petitpas et al., 2012].
Die definitive Diagnose erfolgt durch die chirurgische Exploration. Hierbei sind nekrotische Veränderungen der Muskulatur, der Faszie und der Haut beweisend, pathognomonisch kann auch „spülwasserartiger“ Eiter auftreten – stark übel riechendes, bräunliches Wundexsudat [Gunaratne et al., 2018]. Die pathologische Beurteilung des entfernten Gewebes zeigt eine Kolliquationsnekrose mit Thrombosierung umliegender Gefäße.
Fazit für die Praxis
Die nekrotisierende Fasziitis ist eine seltene, aber schwerwiegende Erkrankung, die als Komplikation einer dentogenen Entzündung auftreten kann.
Typische Auslöser sind Infektionen der Unterkiefermolaren.
Patienten mit Diabetes mellitus, Immunsuppression oder Alkoholismus haben ein erhöhtes Risiko, eine nekrotisierende Fasziitis zu entwickeln.
Die Standardtherapie besteht in der frühen chirurgischen Therapie durch Debridement in Kombination mit einer interdisziplinären Betreuung unter Einbezug der Mikrobiologie und der Intensivmedizin [Stone and Martin, 1972; Gunaratne et al., 2018; Hua et al., 2018].
Eine rasche Tracheotomie zur Atemwegssicherung sollte in Betracht gezogen werden [Gunaratne et al., 2018]. Die chirurgische Therapie muss mit einer Antibiotika-Therapie verbunden werden [Stone and Martin, 1972; Gunaratne et al., 2018, Kujath and Eckmann, 1998], da die chirurgische Therapie alleine in einer erhöhten Mortalität resultiert [Stone and Martin, 1972].
Eine supportive Therapie mit hyperbarer Sauerstofftherapie kann die Mortalität und die Anzahl an chirurgischen Eingriffen verringern [Gunaratne et al., 2018; Fauno Thrane and Ovesen, 2019]. In Einzelfällen kann eine „minimal-invasive“ Therapie mit Katheterdrainage erfolgen [Sumi et al., 2008].
Eine Kombination mit einer Vakuum-assistierten Therapie kann ebenfalls zur Unterstützung der chirurgischen Behandlung eingeleitet werden [Balci et al., 2018; Chen et al., 2019]. Für Erfolge durch eine adjuvante Therapie mit Immunoglobulinen gibt es bis jetzt keine klare Evidenz [Gunaratne et al., 2018; Hua et al., 2018].
Mikrobiologisch kann eine Streptokokken-Infektion (61 Prozent) oder eine aerob-anaerobe Mischinfektion vorliegen, in seltenen Fällen (3 Prozent) ist kein Erregernachweis möglich. Bei odontogenem Fokus liegen häufig Streptokokken, Bacteroides und Prevotella-Bakterienstämme vor [Gunaratne et al., 2018]. Die antibiotische Therapie sollte initial kalkuliert breit aufgestellt sein und nach dem mikrobiologischen Nachweis spezifisch angepasst werden.
Langfristige Outcomes sind für die Patientengruppe der Kopf-Hals-Region nicht publiziert, eine generelle Auswertung von „nekrotisierenden Fasziitis“-Patienten zeigte eine reduzierte physische, soziale und emotionale Funktion, insbesondere in Bezug auf das veränderte Aussehen [Kruppa et al., 2019].
Für die Kopf-Hals-Region sind diese Ergebnisse gegebenenfalls nur eingeschränkt übertragbar, weil hier auch jene Patienten mit Extremitäten- Amputationen eingeschlossen sind. Von einer Einschränkung der Patienten durch die veränderte Ästhetik ist im Kopf-Hals-Bereich, insbesondere bei der Notwendigkeit von Hautresektionen und sekundärer Rekonstruktion, wahrscheinlich auszugehen.
Dr. Elisabeth Goetze
Weiterbildungsassistentin
Klinik und Poliklinik für Mund-,Kiefer- und Gesichtschirurgie, Plastische Operationen
Universitätsmedizin Mainz
Augustusplatz 2, 55131 Mainz
PD Dr. Dr. Peer W. Kämmerer
MA, FEBOMFS
Leitender Oberarzt und stellvertretender Klinikdirektor
Klinik und Poliklinik für Mund-, Kiefer und Gesichtschirurgie, Plastische Operationen
Universitätsmedizin Mainz
Augustusplatz 2, 55131 Mainz
peer.kaemmerer@unimedizin-mainz.de
















