Zahnerhalt durch orthodontische Extrusion
Traumatische Verletzungen der Zähne, zu denen auch die hier beschriebenen komplizierten Kronen-Wurzel-Frakturen gehören, zählen regelmäßig zu den Ursachen für zahnärztliche Schmerzbehandlungen [Oztan et al., 2001], wobei Kronenfrakturen die häufigste Verletzung der bleibenden Dentition darstellen [Andreasen et al., 2007]. Liegt die Frakturlinie weit subgingival oder sogar infracrestal, so bestehen zum Erhalt des Zahnes unter Wiederherstellung der biologischen Breite im Grunde zwei Behandlungsoptionen: die klassische chirurgische Kronenverlängerung oder die Extrusion des Wurzelfragments [Zyskind et al., 1992; Krastl et al., 2011].
Während die chirurgische Kronenverlängerung einen relativ einfachen Eingriff darstellt, der im Praxisalltag weit verbreitet ist, bietet die kieferorthopädische Extrusion eine Alternative mit vielen Vorteilen. Dies gilt vor allem hinsichtlich des ästhetischen Ergebnisses, das durch den Erhalt des umliegenden Knochens und somit auch der Papillen-Ästhetik meist besser ausfällt als nach chirurgischer Kronenverlängerung [Johnson et al., 1986; Assif et al., 1991; Proffit et al., 2000; Smidt et al., 2005].
Die möglichen Einsatzbereiche der forcierten Extrusion sind vielfältig. Zu deren Anwendungsgebieten zählen neben Wurzelquerfrakturen [Heithersay et al., 1973] und impaktierten Zähnen [Becker et al., 1975] auch externe und interne Resorptionsprozesse sowie iatrogene Perforationen bis zu 4 mm subcrestal [Simon et al., 1984]. Zwar finden sich in der Literatur vor allem Berichte zur forcierten kieferorthopädischen Extrusion von Incisiven, doch auch im Prämolarenbereich scheint diese Technik gut zu funktionieren [Jafarzadeh et al., 2007].
Erstmals beschrieben wurde die kieferorthopädische Extrusion von Zähnen von Heithersay [Heithersay et al., 1973] und Ingber [Ingber et al., 1976].
Vor der Entscheidung zur forcierten Extrusion sollten alle die Therapie beeinflussenden Faktoren evaluiert werden. Ein besonderes Augenmerk sollte auf das Kronen-Wurzel-Verhältnis nach erfolgter Extrusion gelegt werden. Als ideal wird ein Kronen-Wurzel-Verhältnis von 1:2 angesehen, als Minimum ein Kronen-Wurzel-Verhältnis von 1:1 [Penny et al., 1979]. Wird dieses Verhältnis durch die Extrusion so ungünstig verschoben, dass die Prognose der nachfolgenden Versorgung negativ beeinflusst wird, gilt es, die Erhaltungsfähigkeit des Zahnes zu überdenken.
Fällt die Wahl der Behandlungsmethode auf die kieferorthopädische Extrusion, so stehen hierfür verschiedene Möglichkeiten zur Verfügung. Eine denkbare Therapieoption wäre das Einsetzen eines Häkchens als Retention in den Wurzelkanal des zu extrudierenden Zahnes und eine Kraftapplikation durch festsitzende oder herausnehmbare Apparaturen [Ingber et al., 1976]. Als Alternative wurden auch Extrusionen beschrieben, bei denen die Kräfte durch Magnete vermittelt wurden [Bondemark et al., 1997]. Die angewandte Methode muss vom Behandler den individuellen Gegebenheiten entsprechend ausgewählt werden [Patil et al., 2014; Stevens et al., 1998]. Während Magnete sich meist ästhetisch günstig in Interimsprothesen oder Schienen verstecken lassen, muss, um sie in der zu extrudierenden Wurzel einzubringen, vergleichsweise mehr Zahnhartsubstanz geopfert werden als bei einem Häkchen im Wurzelkanal. Des Weiteren ist darauf zu achten, dass die herausnehmbaren Apparaturen gut auf der permanenten Dentition abgestützt sind, um einer Einlagerung der Apparatur und der damit verbundenen unbeabsichtigten Annäherung an die Magnete in den Zähnen entgegenzuwirken [König et al., 2007].
Bezüglich der Behandlungsdauer muss bei der kieferorthopädischen Extrusion ein entsprechend ausreichend langer Zeitraum eingeplant werden. Dieser beginnt mit dem eigentlichen Vorgang der Extrusion, bei dem mit Extrusionsraten von circa 1 mm pro Woche gerechnet werden kann [Proffit et al, 2000; Oeserle et al., 1991; Ingber et al., 1976; Ingber et al., 1974; Biggerstaff et al., 1986]. Der Patient sollte in dieser Phase engmaschig einbestellt werden, um die Drähte oder Gummizüge, entsprechend des Voranschreitens der Extrusion, zu aktivieren und das parodontale Ligament zu inzidieren, um eine Mitwanderung von Knochen und Weichgewebe zu verhindern. In der Regel scheinen Kräfte von 70 cN für die Extrusion auszureichen [Oeserle et al., 1991; Biggerstaff et al., 1986; Bondemark et al., 1997; Kocadereli et al., 1998].
An die Extrusionsphase schließt sich zunächst die Retentionsphase an. In der Literatur werden Retentionsphasen von 3 bis 14 Wochen beschrieben [Johnson et al., 1986; Heithersay et al., 1973; Ingber et al., 1976; Proffit et al., 2000; Biggerstaff et al., 1986; Kocadereli et al., 1998; Ivey et al., 1980; Garrett et al., 1985; Felippe et al., 2003; Ivey et al., 1980; Baker et al., 1990]. Diese sollte nicht zu kurz gewählt werden, um eine mögliche Reintrusion des Zahnes zu vermeiden [Emerich-Poplatek et al., 2005].
Fallbericht
Allgemeine Anamnese
Die 15-jährige Patientin stellte sich am 05.10.2015 nach einem Fahrradunfall am Vortag vor. Sie befand sich zuvor nicht in unserer Behandlung. Die allgemeine Anamnese stellte sich unauffällig dar, die Patientin war Nichtraucherin und nahm keine Medikamente ein.
Spezielle Anamnese
Die Patientin klagte über Beschwerden an den Zähnen 14, 15, 16, 26, 45 und 46 sowie allgemein über Schmerzen im Kinn und im Kiefergelenksbereich.
Befund
Der extraorale Befund war bis auf ein Hämatom im Kinnbereich unauffällig. Eine Kiefergelenksfraktur wurde bereits am Vortag im unmittelbar nach dem Unfall aufgesuchten Klinikum Ludwigshafen ausgeschlossen. Intraoral zeigte sich ein vollständiges, kariesfreies Gebiss mit Z. n. abgeschlossener kieferorthopädischer Therapie. Die Zähne 14 und 15 hatten einen Lockerungsgrad II sowie eine alio loco angebrachte flexible SÄT-Drahtschienung. An den Zähnen 16, 26, 45 und 46 wies die Patientin z. T. ausgedehnte Schmelz-Dentin-Abscherungen auf. Nach Entfernung der Schienung 14 Tage später zeigten sich die komplizierten Kronen-Wurzel-Frakturen an 14 und 15.
Therapieplanung
Die Patientin und die Eltern wurden über die Befunde und mögliche Therapievarianten aufgeklärt. Aufgrund des jungen Alters der Patientin war das angestrebte Therapieziel trotz fraglicher Prognose der Zähne 14 und 15 der Zahnerhalt. Eine Implantatversorgung stellte in ihrem Alter keine Option dar.
Auch von einer klassischen prothetischen Versorgung im Sinne einer Brücke wurde abgesehen, da das Beschleifen der angrenzenden Pfeiler neben dem nicht unerheblichen Verlust gesunder Zahnhartsubstanz auch das Risiko einer Kaskade weiterer Behandlungsschritte in Gang gesetzt hätte.
Daraus ergab sich folgender Therapieplan:
Versorgung der Zähne 16, 26, 45 und 46 mit Compositfüllungen
Endodontische Behandlung der Zähne 14 und 15
Kieferorthopädische Extrusion der Zähne 14 und 15 um circa 4 bis 5 mm
Retentionsphase von circa vier Monaten
anschließender Stiftaufbau und Versorgung mittels Langzeitprovisorium
Therapie
Nach gründlicher Aufklärung und Beratung der Patientin und ihres Vaters wurde zunächst die Füllungstherapie der Zähne mit Schmelz-Dentin-Frakturen sowie die Mikroskop- gestützte endodontische Behandlung der beiden Prämolaren durchgeführt. Hierfür wurden die mobilen vestibulären und oralen – lediglich an der Gingiva gestielten – Zahnfragmente an 14 und 15 zunächst belassen, um eine möglichst gute Trockenlegung zu erreichen, da diese Fragmente sich mithilfe der Kofferdamklammer so gut adaptieren ließen, dass eine ausreichend gute Trockenlegung ermöglicht wurde.
Nach der endodontischen Behandlung der Zähne 14 und 15 erfolgte die chirurgische Entfernung des mobilen vestibulären beziehungsweise oralen Kronenfragments sowie der infragingival frakturierten Wurzelanteile. In der gleichen Sitzung erfolgte die Aufklappung vestibulär und oral, um nach Trocknung der Zahnstümpfe eine adhäsive Befestigung von zuvor auf dem Modell gefertigten Drahtschlaufen (018``Stahl: Dentalline, Deutschland) zu ermöglichen. Diese wurden mittels dual härtendem Composit (Rebilda DC, Voco) intrakanalär verankert. Mithilfe eines weiteren, an den mesialen und distalen Nachbarzähnen adhäsiv angebrachten Drahtes (17x25 TWIST, 3-fach verseilt; Dentalline, Deutschland) und einer elastomeren Kette (Energy Chain, Rocky Mountain Orthodontics, USA) war es nun möglich, die Wurzelreste orthodontisch aus den Alveolen zu extrudieren. Hierzu waren über einen längeren Zeitraum mehrere Behandlungstermine nötig, bei denen die Gummizüge entsprechend des Behandlungsfortschritts gewechselt wurden. Des Weiteren erfolgten in regelmäßigen Abständen Inzisionen im PA-Spalt, um eine Mitwanderung des Knochens zu vermeiden. Anders als bei festsitzenden Multibandapparaturen ist eine definitive Kraftangabe bezüglich der Extrusion nicht möglich, da sich die Kräfte mit fortschreitendem Extrusionsgrad und je nach verwendeter elastomerer Kette ändern.
Auf eine provisorische Versorgung zur Kaschierung der fehlenden Zahnkronen musste in der Zeit verzichtet werden. Dies wurde von der Patientin akzeptiert. Gleichwohl war die Patientin sehr froh, als nach zehn Monaten die Wurzeln mit 4 mm so weit nach crestal extrudiert schienen, dass nach einer anschließenden viermonatigen Retentionsphase die provisorische Versorgung erfolgen konnte. Zwischenzeitlich wurde Zahn 15 revidiert, da die endodontische Versorgung initial, aufgrund der Fragmente und somit ungenauer endometrischer Längenbestimmung, nicht exakt genug erfolgen konnte und die Vorraussetzungen vor der weiteren Versorgung möglichst optimiert werden sollten. Anschließend wurden beide Zähne mit adhäsiven Stiften (Komet) und Aufbaufüllungen (Optibond FL, (Kerr); Rebilda DC, (Voco)) versorgt und für die Aufnahme der LZPV-Kronen präpariert. Es erfolgte eine langzeitprovisorische Versorgung mit verblockten, laborgefertigten Kunststoff Provisorien (Dentallabor Wehner, Ludwigshafen).
Geplant ist, im Laufe der nächsten Jahre definitive Kronen einzugliedern. Die junge Patientin war über die Aussicht auf Erhalt ihrer Zähne nach diesem schweren Unfall so begeistert, dass sie Interesse an unserer Profession entwickelte und wir sie als Auszubildende gewinnen konnten.
Diskussion
Im klinischen Alltag stellen tief zerstörte Zähne immer eine Herausforderung dar. Diese Herausforderung beginnt schon bei der Entscheidungsfindung „Erhalt oder Extraktion?“. Dabei sollte das oberste Ziel sein, die für den Patienten bestmögliche Therapieoption zu finden, wobei die zu erwartende Compliance ein wesentlicher Aspekt bei der Entscheidungsfindung darstellt. Hierbei sollten auch Therapieoptionen in Betracht gezogen werden, die im gewohnten Praxisalltag vielleicht nicht allzu häufig zum Einsatz kommen. Ein Beispiel hierfür stellt die in diesem Fallbericht beschriebene Extrusion von Zähnen dar.
Diese ist als Alternative zur Extraktion schon vielfach beschrieben worden und hat sich im klinischen Alltag bewährt [Heithersay et al., 1973; Becker et al., 1975; Johnson et al., 1986; Assif et al., 1991; Smidt et al., 2005; Ingber et al., 1976; Proffit et al., 2000; Jafarzadeh et al., 2007; Simon et al., 1984]. Stimmen die Grundvoraussetzungen und auch die Compliance des Patienten, so können mit relativ guter Vorhersagbarkeit ästhetisch und funktionell gute Ergebnisse mit guter Langzeitprognose erzielt werden. Wichtig ist hierbei die engmaschige Betreuung der Patienten, um den Fortschritt beurteilen und die Kräfte entsprechend anpassen zu können. Im vorliegenden Fall haben wir uns für die Extrusion mittels Häkchen und Gummizügen und gegen die Extrusion mittels Magneten entschieden, um den Substanzverlust so gering wie möglich zu halten.
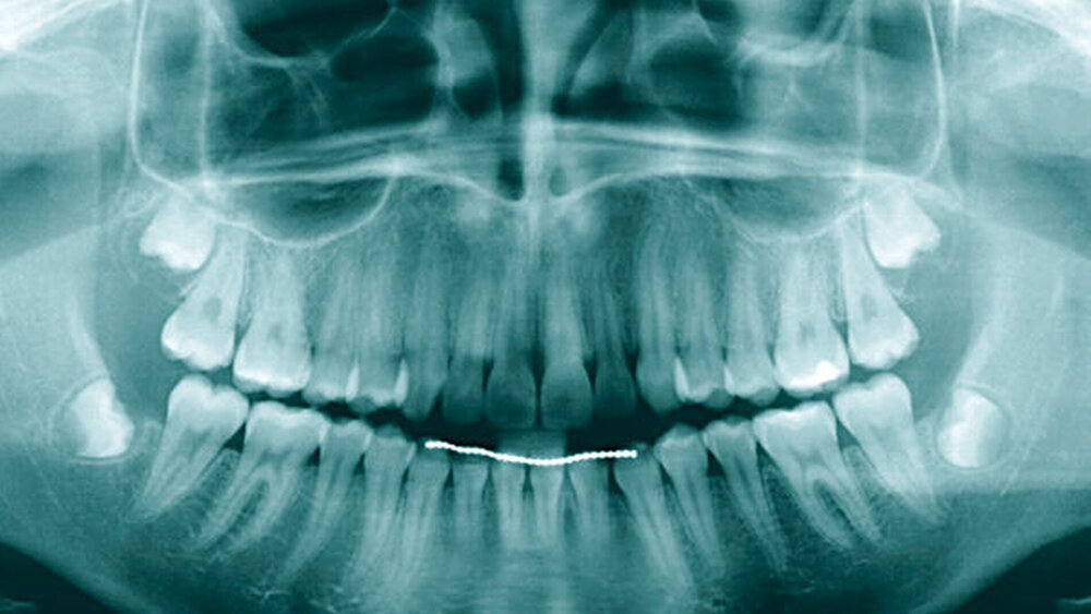
Auch bei scheinbar nicht optimalen Grundvoraussetzungen – wie einem zu erwartenden nicht ganz idealen Kronen-Wurzel-Verhältnis (1:1) – scheint die kieferothopädische Extrusion als Behandlungsoption nicht direkt ausgeschlossen werden zu müssen. Auf dem im Fall gezeigten OPG (Abbildung 9) stellen sich die Zahnwurzeln von 14 und 15 im kontralateralen Vergleich deutlich kürzer dar als die der Zähne 24 und 25. Die elektronische Messlänge bei der Revision der endodontischen Behandlung von Zahn 15 vor Eingliederung des Langzeitprovisoriums betrug lediglich 12 mm. Dennoch wiesen die Zähne 14 und 15 nach der Retentionsphase keine Lockerungsgrade auf, sodass die Autoren in der vermeintlich geringen Wurzellänge keine unbedingte Kontraindikation für das Ziel der Zahnerhaltung sehen. Auch wenn in diesem Fall die unterschiedliche Zahnlänge der Prämolaren im kontralateralen Vergleich klar mit der Extrusion der Zähne 14 und 15 zu erklären ist, stellen kieferorthopädische Bewegungen auch eine mögliche Ursache für die Verkürzung von Zahnwurzeln durch Resorptionen dar.
Auch in der direkten Gegenüberstellung der Vor- und Nachteile der kieferorthopädischen Extrusion scheinen die Vorteile die Nachteile einer Extrusion zu überwiegen. Zwar ist, aufgrund der langen Behandlungsdauer mit vielen Sitzungen, vor allem die Compliance des Patienten sehr wichtig, dafür wird der Patient am Ende der Behandlung mit dem Erhalt der eigenen Zähne belohnt. Die Nachbarzähne werden geschont, da auf eine Brückenpräparation verzichtet werden kann, auch die andere mögliche Behandlungsalternative – eine Implantation mit den damit verbundenen Risiken – wird umgangen. Besondere Bedeutung kommt diesen Umständen bei der Behandlung jugendlicher Patienten zu. Bei ihnen ist eine Implantation noch nicht möglich, auch eine klassische prothetische Brückenversorgung ist bei noch nicht abgeschlossenem Wachstum kontraindiziert. Ist das Wachstum abgeschlossen und eine Brückenversorgung möglich, wird sich der Behandler wohl dennoch eher schwer tun, durch das Beschleifen naturgesunder Zähne gesunde Zahnhartsubstanz zu opfern. Bei Einzelzahnlücken stellen Klebebrücken eine gut erprobte, substanzschonende Alternative dar. Im hier beschriebenen Fall schien die Versorgung mittels Klebebrücke nicht sinnvoll, da die Größe der Lücke mit zwei fehlenden Zähnen die Indikation für Klebebrücken im Seitenzahnbereich überschreitet [Kern et al., 2007].
Ein weiterer Vorteil der kieferorthopädischen Extrusion liegt im Erhalt der interdentalen Papillen-Ästhetik und somit im Erreichen eines ästhetisch ansprechenden Gesamtergebnisses.
Abschließend lässt sich resümieren, dass die kieferorthopädische Extrusion ein gangbarer Weg scheint, auch bei tief zerstörten Zähnen den Weg der Zahnerhaltung zu beschreiten.
Dr. Achim König
Endodontische Schwerpunktpraxis-
Kurbrunnenstr. 9, 67098 Bad Dürkheim
rezeption@koenig-zahnaerzte.de - mail
Dr. Anne-Katrin König
Endodontische Schwerpunktpraxis-
Kurbrunnenstr. 9, 67098 Bad Dürkheim
rezeption@koenig-zahnaerzte.de - mail
Jennifer Antritter
Endodontische Schwerpunktpraxis
Kurbrunnenstr. 9, 67098 Bad Dürkheim
Literaturliste
1) Oztan MD, Sonat B (2001): Repair of untreated horizotal root fractures: two case reports. Dent Traumatol 17:240-243
2) Zyskind K, Zyskind D, Soskolne WA, Harary D(1992): Orthodontic forced eruption: case report of an alternative treatment for subgingivally fractured young permanent incisors. Quintessence Int 23:393-399
3) Patil PG, Nimbalkar-Patil SP, Karandikar AB : Multidisciplinary treatment approach to restore deep horizontally fractured maxillary central incisor DOI:10.5005/jp-journals-10024-1498
4) Penny RE, Kraal JH (1979): Crown-to-root ratio: Its significance in restorative dentistry. J Prosthet Dent. 42(1):34-8
5) Heithersay GS (1973): Combined endodontic-orthodontic treatment of traverse root fractures in the region of the alveolar crest. Oral Surg Oral Med Oral Pathol 36:404-415
6) Becker A, Zilbermann Y (1975): A combined fixed-removable approach to the treatment of impacted maxillary canines. J Clin Orthod 9:162-169
7) Johnson GK, Sivers JE (1986) Forced eruption in crown lengthening procedures. J Prosthet Dent 56:424-427
8) Assif D, Pilo R, Mashak B(1991): Restoring teeth following crown lenghthening procedures. J Prosthet Dent 65:62-64
9) Geron S, Ziskind D (2002) : Lingual forced eruption orthodontic technique: clinical considerations for patient selection and clinical report. J Prosthet Dent 87:125-128
10) Heithersay GS (1973): Combined endodontic-orthodontic treatment of transverse root fractures in the region of the alveolar crest. Oral Surg Oral Med Oral Pathol 36:404-415
11) Ingber JS (1976): Forced eruption part II. A method of treating nonrestorable teeth-periodontal and restorative considerations. J Priodontol 47:203-216
12) Proffit WR, Fields HW Jr, Ackermann JL, Bailey LJ, Camilla Tulloch JF (2000): Contemporary orthodontics 3.Auflage Mosby, St Louis 627-632
13) Smidt A, Lachih-Tandlich M, Venezia E (2005): Orthodontic extrusion of an extensively broken down anterior tooth: a clinical report. Quintessence Int 36, 89-95
14) Stevens BH, Levine RA (1998): forced eruption: a multidisciplinary approach for form, function and biologic predictability. Compend contin edu dent 19:994-998, 1000, 1002-1004
15) Oeserle LJ, Wood LW (1991): Raising the root. A look at orthodontic extrusion. J Am Dent assoc 122:193-198
16) Ingber JS (1974): Forced eruption I. A method of treating isolated one and two wall infrabony oseous defects- rationale and case report. J Periodontol 45:199-206
17) Biggerstaff RH, Sinks JH, Carazola JL (1986): Orthodontic extrusion and biologic width realignment procedures: methods for reclaiming nonrestorable teeth. J Am Dent Assoc 112: 345-348
18) Bondemark L, Kurol J, Hallonsten AL, Andreasen JO (1997): attractive magnets for orthodotic extrusion of crown-root fractured teeth. Am J Orthod Dentofacial Orthop 112:187-193
19) Kocadereli I, Tasman F, Guner SB (1998): Combined endodontic-orthodontic and prosthodontic treatment of fractured teeth. Case report. Aust Dent J 43:28-31
20) Ivey DW, Calhoun RL, Kemp WB, Dorfman HS, Wheless HE (1980): orthodontic extrusion:its use in restorative dentistry. J Prosthet Dent 43:401-407
21) Garrett GB (1985): forced eruption in the treatment of transverse root fractures J Am Dent Assoc 111:270-272
22) Felippe LA, Monteiro Junior S, Vieira LC, Araujo E (2003): Reestablishing biologic width with forced eruption. Quintessence Int 34:733-738
23) Jafarzadeh H, Talati A, Basafa M, Noorollahian S (2007): Forced eruuption of adjoining maxillary premolars using a removable orthodontic appliance: a case report. J Oral Sci 49:75-78
24) Krastl G, Filippi A, Zitzmann NU, Walter C, Weiger R (2011): Current aspects of restoring traumatically fractured teeth Eur J Esthet Dent 6:124-141
25) Andreasen JO, Andreasen FM, Andersson L (2007): Textbook and color atlas of traumatic injuries of the teeth. Oxford: Blackwell Munksgaard; 2007 S.351-58, 412-18, 437
26) Simon JHS (1984): Root extrusion-rationale and techniques. Dent clin North Am 28:909
27) Emerich-Poplatek K, Sawicki L, Bodal M, Adamowicz-Klepalska B (2005): Forced eruption after crown/root fracture with a simple and aesthetic method using the fractured crown Dental Traumatol. 21(3):165-9
28) Ivey DW, Calhoun RL, Kemp WB, Dorfman HS, Wheless JE (1980): Orthodontic extrusion: Its use in restorative dentistry J. Prosthet Dent 43:401-7
29) Baker IM (1990): Esthetic extrusion of a nonrestorable tooth J Clin Ortho 24:323-5
30) Kocadereli I, Tasman F, Guner SB (1998) Combined endodontic-orthodontic and prosthodontic treatment of fractured teeth case report Aus Dent J 43:28-31
31) König A, Hermann J.S. (2007) Orthodontische Maßnahmen zur präimplantologischen Augmentation von Hart- und Weichgewebe Z Zahnärztl Impl 23(3)
32) Kern M, Kerschbaum TH (2007): Adhäsivbrücken, gemeinsame Stellungname der DGZPW und der DGZMK. DZZ 62(09) 2007
















