Fernmetastase im Unterkiefer maskiert sich als Zementoblastom
Die 56-jährige Patientin wollte vor geplanter Bisphosphonat-Therapie bei metastasiertem Mammakarzinom eine ausführliche zahnärztliche Befunderhebung und eine eventuell notwendige Fokussanierung durchführen lassen. Das ossär und hepatisch metastasierte Mammakarzinom entsprechend der TNM-Klassifikation pT2, pN1a (2/3 sn), G2, L0, V0, R0 (Erstdiagnose 2014) sollte nach Chemotherapie (2014) und lokaler Radiatio der Mamma (2015) nun auch mit Bisphosphonaten (Pamidronat, intravenös, alle vier Wochen) behandelt werden. In der beim Hauszahnarzt angefertigten Panoramaschichtaufnahme waren drei klar abgrenzbare Verschattungen mit umgebender Aufhellung im Bereich der Wurzelspitzen der Zähne 34, 36 und 37 zu erkennen. Zudem zeigte sich auch in regio 38 eine periapikale Osteolyse ohne zentrale Verschattung. Die betroffenen Zähne ließen sich – durch den vorhandenen parodontalen Spalt – klar von der jeweiligen Raumforderung abgrenzen (Abbildung 1). Voraufnahmen zum Vergleich lagen nicht vor.
Klinisch hatte die Patientin bisher lediglich eine spontan auftretende, rekurrente Hypästhesie im Versorgungsgebiet des Nervus alveolaris inferior links, im Sinne eines Vincent-Symptoms, bemerkt. Schwellungen oder tastbare Raumforderungen lagen nicht vor.
Aufgrund der unklaren radiologischen Veränderung wurde die Patientin in die Mund-, Kiefer- und Gesichtschirurgie zur weiteren Diagnostik und Dignitätssicherung überwiesen. Der klinische Befund der Mundschleimhaut zeigte sich unauffällig, eine Raumforderung oder Schwellung war nicht nachweisbar. Die mit den Läsionen assoziierten Zähne im 3. Quadranten zeigten keine Anzeichen einer Lockerung, mit positiver Sensibilitätsprobe und ohne Perkussionsempfindlichkeit.
Zur Einschätzung der Befundausdehnung wurde eine Computertomografie des Unter- und Oberkiefers angefertigt (Abbildung 2). Hier zeigten sich drei mehrsklerosierte Läsionen apikal in regio 34, 36 und 37 mit umgebenden Osteolysen. Die Wurzeln der Zähne ließen sich auch in der Schnittbildgebung vollständig von den sklerotischen Läsionen abgrenzen.

Bei unklarem Progressverhalten und bekanntem Malignom in der Anamnese wurde zur histopathlogischen Sicherung des Befunds die Indikation zur Biopsie gestellt. Die Entnahme einer Probe erfolgte durch die Bildung eines paramarginal angelegten Mukoperiostlappens in regio 36. Nach Darstellung des Unterkieferkorpus wurde mittels Lindemann-Fräse ein an die mesiale Wurzel des Zahnes 36 angrenzender Knochenblock entnommen. Danach erfolgte ein speicheldichter Schleimhautverschluss.
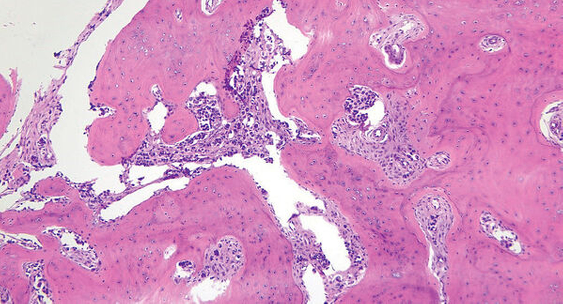
Der histopathologische Befund ergab intrakortikale Infiltrate eines stark alterierten Karzinoms mit ausgeprägter umgebender Fibrose, passend zu einer Metastase des bekannten Mamma-Karzinoms (Abbildung 3). In der immunhistochemischen Nachuntersuchung zeigten die Tumorzellen eine starke Positivität für Panzytokin, was die Diagnose einer Metastase des Mamma-Karzinoms bestätigte. Die zuvor angenommene Verdachtsdiagnose eines Zementoblastoms wurde durch die histopathologische Begutachtung also eindeutig widerlegt.
Das Vorliegen der systemischen Ausbreitung mit zusätzlich vorliegenden Knochenmetastasen der Halswirbelsäule wird im Rahmen eines palliativen Therapiekonzepts mit lokaler Bestrahlung der Halswirbelsäule und systemischer Therapie mit Antikörpern behandelt. Zusätzlich ist entsprechend dem interdisziplinären Konsens des gynäkologischen Tumorboards nach Stabilisierung der Patientin zur Frakturprophylaxe eine Resektion der vorliegenden Metastasen im Unterkiefer mit Einbringen einer Osteosyntheseplatte geplant, um ein weiteres lokal-destruierendes Wachstum zu verhindern.
Diskussion
Das Mammakarzinom stellt nach wie vor das häufigste Karzinom bei Frauen dar, von denen rund 30 Prozent eine familiäre Belastung aufweisen [De Brakeleer et al., 2016]. Der Altersgipfel liegt zwischen dem 40. und dem 65. Lebensjahr [Balaji et al., 2007]. Jährlich gibt es rund 69.000 Neuerkrankungen, von denen etwa ein Prozent Männer betroffen sind, sowie zusätzlich mehr als 6.000 Frauen pro Jahr mit einem Carcinoma in situ [RKI, 2020]. Nach aktueller Inzidenzrate erkrankt eine von acht Frauen im Laufe ihres Lebens, wobei drei von zehn bei Diagnosestellung jünger als 55 Jahre sind [RKI, 2020].
Die Metastasenprävalenz von Fernmetastasen wird beim Stadium I mit 0,2 Prozent und für das Stadium II mit 1,2 Prozent angegeben. Bei positiven Lymphknotenmetastasen ist diese allerdings erhöht [Brennan und Houssami, 2012] sowie beim Vorliegen einer peritumoralen (Lymph-) Gefäßinvasion [Rakha et al., 2012; Gujam et al., 2014]. Die axilläre Dissektion der Lymphknoten sollte bei Patienten mit Mikrometastasen im Sentinel-Lymphknoten (sn) nicht erfolgen, da es keine Hinweise auf ein erhöhtes regionäres Lokalrezidiv-Risiko gibt [Galimberti et al., 2013].
Eine Fernmetastasierung in den Knochen findet sich bei 65 bis 70 Prozent der Patienten mit Brustkrebs [Coleman, 2011]. Dies beruht auf den intrinsischen Tumorzelleigenschaften des Primärtumors [Weigelt et al., 2005], die das Knochenremodeling beeinflussen und eine Dysbalance zwischen Osteoblasten und Osteoklasten hervorrufen können [Salvador et al., 2019]. Der Kieferknochen, respektive der Gesichtsschädel, ist zu etwa zwei Prozent betroffen, wobei hier der Unterkiefer deutlich häufiger als der Oberkiefer betroffen ist. Die Prävalenz von Metastasierungen in die Wirbelsäule liegt bei 18 Prozent [Dib et al., 2007].
Weitere Malignome, bei denen Fernmetastasen in den Kieferknochen vorkommen, sind Tumore der Lunge, der Schilddrüse, der Leber, der Niere oder der Prostata [Irani, 2017]. Bei ossärer Metastasierung werden die Patienten häufig mit einer antiresorptiven Therapie (zum Beispiel mit Bisphosphonaten) behandelt, deren typische Nebenwirkung das Auftreten von medikamentenassoziierten Knochennekrosen sein kann. Das Vorliegen einer möglichen Metastasierung sollte deswegen im Rahmen der zahnärztlichen Behandlung explizit erfragt werden.
Die klinische Symptomatik von Knochenmetastasen im Kieferknochen ist unspezifisch und lässt differenzialdiagnostisch viel Spielraum. Liegt im zahnärztlichen Röntgenbild ein unklarer Zufallsbefund vor, sollten zur Differenzierung folgende mögliche klinische Befunde erhoben werden:
Schwellung en- oder extraoral, Auftreibung des Knochens
Schmerzen
Mundschleimhautauffälligkeiten wie zum Beispiel Ulcera
Vincent-Symptomatik (Sensibilitätsausfall des Nervus alveolaris inferior) und andere neurologische Einschränkungen
Funktionseinschränkungen wie zum Beispiel Einschränkungen der Mundöffnung
Veränderungen der Okklusion
Dentogene Auffälligkeiten (Lockerungen, Wanderung, Perkussion, Vitalitätsverlust der Zähne)
Das Vorliegen einer solchen Symptomatik sollte als Warnzeichen für einen interventionsbedürftigen Befund gewertet werden.
Aufgrund unklarer Röntgenbefunde – wie im vorliegenden Fall – kommt eine Vielzahl von Differenzialdiagnosen wie odontogene Tumoren, Osteomyelitiden oder auch Knochentumoren infrage. Als weiterführende bildgebende Diagnostik ist – bei entsprechender Klinik – vor der Probenentnahme eine Schnittbildgebung zum Beispiel durch Computertomografie oder Digitale Volumentomografie indiziert. Eine Computertomografie lässt auch Rückschlüsse auf eine mögliche Weichgewebsbeteiligung des Befunds zu. Gegebenenfalls kann zur Einschätzung einer perineuralen Ausbreitung auch eine Magnetresonanztomografie indiziert sein.
Radiologisch zeigen sich Fernmetastasen des Mammakarzinoms oft osteoblastisch, wie im vorliegendem Fall, als eine Verschattung mit umgebender Lysezone ohne Kontakt zum Parodontalspalt der Zähne [Chappard et al., 2011]. Bei im Kiefer gelegenen Verschattungen mit umgebender Aufhellung kommen differenzialdiagnostisch auch ein Zementoblastom (Parodontalspalt nicht von der Verschattung abgrenzbar), ein Odontom (Konvolut aus zahnähnlichen Strukturen mit umgebender Aufhellung), ein Osteosarkom (hyperdense sklerotische Veränderung ohne klare Begrenzung) oder ein Chondrosarkom (unscharf begrenzte Aufhellung mit Wurzelresorption der betroffenen Zähne) infrage. Zeigt sich eine Verschattung ohne umgebende Aufhellung, muss differenzialdiagnostisch auch an Osteome, Exostosen, Zemento-ossäre Dysplasien (multiple, scharf begrenzte Aufhellungen mit Kontakt zur Zahnwurzel) oder auch an eine Osteomyelitis (unscharf begrenzte Aufhellung mit teilweise radioopaken nekrotischen Bereichen) gedacht werden.
Der Vergleich zu eventuell vorliegenden Voraufnahmen kann die Abgrenzung zu stationären Prozessen wie stabilen Odontomen gegen Prozesse mit Progress erleichtern. Zusätzlich kann die Anamnese einen Hinweis auf die Genese eines Befunds geben. Die in diesem Fall bekannte Malignom-Anamnese der Patientin in Zusammenschau mit dem Befund der Panoramaschichtaufnahme und der Hypästhesie des N. alveolaris inferior (positives Vincent-Symptom) sind verdächtig für das Vorliegen eines pathologischen Prozesses mit Progress-Verhalten. In solchen Fällen ist die Dignitätssicherung der Läsion im Unterkieferknochen somit dringend empfohlen.
Literaturliste
Balaji, R., K. Ramachandran, T. Somanathan, S. G. Nair, A. S. Krishnakumar and M. Venugopal (2007). „Breast metastases in an adolescent woman with alveolar rhabdomyosarcoma of the maxillary sinus.“ Breast J 13(4): 426-428.
Brennan, M. and N. Houssami (2012). „Newly diagnosed early breast cancer - an update on pre-operative assessment and staging.“ Aust Fam Physician 41(11): 871-874.
Coleman, R. E. (2011). „Bone cancer in 2011: Prevention and treatment of bone metastases.“ Nat Rev Clin Oncol 9(2): 76-78.
De Brakeleer, S., J. De Greve, C. Desmedt, S. Joris, C. Sotiriou, M. Piccart, I. Pauwels and E. Teugels (2016). „Frequent incidence of BARD1-truncating mutations in germline DNA from triple-negative breast cancer patients.“ Clin Genet 89(3): 336-340.
Dib, L. L., A. L. Soares, R. L. Sandoval and U. Nannmark (2007). „Breast metastasis around dental implants: a case report.“ Clin Implant Dent Relat Res 9(2): 112-115.
Galimberti, V., B. F. Cole, S. Zurrida, G. Viale, A. Luini, P. Veronesi, P. Baratella, C. Chifu, M. Sargenti, M. Intra, O. Gentilini, M. G. Mastropasqua, G. Mazzarol, S. Massarut, J. R. Garbay, J. Zgajnar, H. Galatius, A. Recalcati, D. Littlejohn, M. Bamert, M. Colleoni, K. N. Price, M. M. Regan, A. Goldhirsch, A. S. Coates, R. D. Gelber, U. Veronesi and i. International Breast Cancer Study Group Trial (2013). „Axillary dissection versus no axillary dissection in patients with sentinel-node micrometastases (IBCSG 23-01): a phase 3 randomised controlled trial.“ Lancet Oncol 14(4): 297-305.
Gujam, F. J., J. J. Going, J. Edwards, Z. M. Mohammed and D. C. McMillan (2014). „The role of lymphatic and blood vessel invasion in predicting survival and methods of detection in patients with primary operable breast cancer.“ Crit Rev Oncol Hematol 89(2): 231-241.
RKI, Zentrum für Krebsregisterdaten (2020). „Brustkrebs (Mammakarzinom).“, www.krebsdaten.de/Krebs/DE/Content/Krebsarten/Brustkrebs/brustkrebs_node.html Irani, S. (2017). „Metastasis to the Jawbones: A review of 453 cases.“ J Int Soc Prev Community Dent 7(2): 71-81.
Rakha, E. A., S. Martin, A. H. Lee, D. Morgan, P. D. Pharoah, Z. Hodi, D. Macmillan and I. O. Ellis (2012). „The prognostic significance of lymphovascular invasion in invasive breast carcinoma.“ Cancer 118(15): 3670-3680.
Salvador, F., A. Llorente and R. R. Gomis (2019). „From latency to overt bone metastasis in breast cancer: potential for treatment and prevention.“ J Pathol 249(1): 6-18.
Weigelt, B., J. L. Peterse and L. J. van 't Veer (2005). „Breast cancer metastasis: markers and models.“ Nat Rev Cancer 5(8): 591-602.









