Mikrorezidiv einer Keratozyste
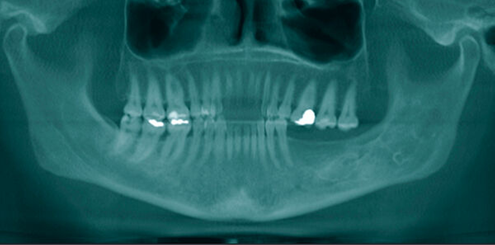
Eine 52-jährige Patientin stellte sich 2015 zur regulären Kontrolle nach der Entfernung einer Keratozyste im linken Unterkiefer im Bereich des distalen Corpus und aufsteigenden Unterkieferastes vor (Abbildung 1). Es hatte sich damals um eine unilokuläre Läsion gehandelt. Der Befund war über eine laterale Osteotomie im Sinne einer Zystektomie entfernt worden.
Bis 2017 hatten sich keine Auffälligkeiten gezeigt. Nun stellte sich in der Kontrolle mittels Panoramaschichtaufnahme radiologisch der Verdacht auf ein Rezidiv. Im Bereich des Corpus-Kieferwinkel-Übergangs zeigte sich eine blasig anmutende Transluzenz knapp oberhalb der Projektion des N. alveolaris inferior. Sensibilitätsausfälle lagen nicht vor. Die erweiterte Bildgebung mittels digitaler Volumentomografie bestätigte eine Lage direkt cranial des Nervens mit einem Durchmesser von 0,7 cm x 0,5 cm x 0,5 cm (Abbildung 2).
Aufgrund der tiefen intraossären Lage ohne direkten Zahnbezug oder andere klare Orientierungspunkte wurde zur gezielten Ansteuerung auf Basis des DVT-Datensatzes eine Osteotomie-Schablone 3-D-gedruckt (Material: MED 610, Drucker: EDEN 260V, Stratasys), die den Osteotomiezugang genau verschlüsselte (Abbildung 3a). Intraoperativ konnte dadurch die Keratozyste gezielt entfernt werden, ohne dass eine großflächige Osteotomie notwendig war oder ein erhöhtes Risiko für die Verletzung des N. alveolaris inferior bestand (Abbildung 3b). Der Befund wurde zystekotomiert und die Knochenhöhle zusätzlich ausgefräst (Abbildung 4). Auch die postoperative radiologische Kontrolle bestätigte eine optimale Lage der Osteotomie (Abbildung 5). Die postoperative Heilung war unproblematisch, drei Jahre nach dem Eingriff ist die Patientin rezidivfrei (Abbildung 6).
Diskussion
Der vorliegende Fall zeigt am Beispiel eines Keratozysten-Mikrorezidivs, wie mit präoperativen Planungen und 3-D-Druckverfahren aufwendige chirurgische Prozeduren vereinfacht werden können [Goetze et al., 2020].
Die Keratozyste ist nach der radikulären und der follikulären Zyste eine der häufigsten epithelialen odontogenen Zysten. Sie tritt im Alter von 30 bis 60 Jahren auf, wobei es sich meist um einen radiologischen Zufallsbefund handelt. Schmerzen oder Schwellungen können allerdings auch erste Symptome sein. Radiologisch sind uni- oder multilokuläre seifenblasenartige Transluzenzen typisch. Eine Arrosion der Zahnwurzeln kann vorliegen. Die Zähne sind meist vital. Radiologisch ist die Keratozyste von einem Ameloblastom nicht beziehungsweise nur schlecht klar abgrenzbar [Thiem et al., 2019; Römer et al., 2020].
Die Keratozyste kann infiltrativ aggressiv und ins Weichgewebe wachsen. Eine maligne Entartung ist in seltenen Fällen möglich (0,12 Prozent). Histologisch imponiert diese durch ein dünnschichtig gefaltetes Plattenepithel mit deutlicher Basalzellschicht, palisadenartiger Kernanordnung und Parakeratose [Neville, 2009]. Multilokuläres Auftreten ist häufig mit dem Basalzellnävus-Syndrom (Gorlin-Goltz-Syndrom; autosomal-dominant, PTCH-Mutation) assoziiert. Hierbei liegen Zahndurchbruchstörungen, multiple Epidermoid- und Keratozysten, Rippenanomalien und multiple Basalzellkarzinome vor. Unabhängig von einer syndromalen Assoziation haben Keratozysten eine hohe Rezidiv-Wahrscheinlichkeit (5 bis 65 Prozent). Die Rezidivrate ist zum einem vom Vorliegen von Mikrozysten/-satelliten und zum anderen stark vom chirurgischen Vorgehen abhängig [Thiem et al., 2019].
Die klassische Therapie der Keratozyste umfasst die Enukleation, Zystektomie oder selten Zystostomie mit konsekutiver Zystektomie. Die höchste Rezidivgefahr besteht bei der bloßen Enukleation (29 Prozent). Eine bessere Prognose haben Patienten mit einer Zystektomie in Kombination mit einem Ausfräsen der Knochenhöhle. Gegebenenfalls kann die Prozedur mit der Anwendung von Carnoy’scher Lösung kombiniert werden – diese dient dazu, das Zystenepithel zu fixieren und damit leichter entfernbar zu machen. Aufgrund der Neurotoxizität wird die Carnoy’sche Lösung jedoch heute von manchen Autoren als obsolet angesehen. Der Zugang erfolgt osteotomierend oder bei weichgewebig perforierenden Keratozysten über die Wegnahme der infiltrierten Schleimhaut [Thiem et al., 2019]. Auch eine endoskopische Entfernung mit Kürretage der Knochenwand wurde beschrieben, hierzu liegen jedoch nur spärliche Daten vor [Gao et al., 2017].
Im vorliegenden Fall wäre aufgrund der tief intraossären Lage ohne Osteotomie-Schablone auf jeden Fall eine großflächige Osteotomie notwendig gewesen, um die Rezidiv-Keratozyste aufzufinden. Zusätzlich zum damit einhergehenden Verlust an Knochenhartsubstanz besteht bei einer solchen explorierenden Osteotomie des lateralen Unterkiefers ein größeres Risiko einer Nervverletzung. Um dies zu vermeiden, verschlüsselt die 3-D-gedruckte Schablone sicher die Position einer nervfernen Osteotomie, was die Gefahr für eine Schädigung des Nervens reduziert. Mit einer chirurgischen Schablone kann eine erhöhte Sicherheit für den Operateur und den Patienten erzielt werden [Nickenig et al., 2012].
Die Basis für eine schablonengestützte Chirurgie ist ein dreidimensionaler Röntgendatensatz, der in eine 3-D-Datei, zum Beispiel im „.stl“-Format (standard tesslation language), überführt wird, und an dem dann die virtuelle Operation simuliert werden kann [Goetze et al., 2017; Goetze et al., 2020]. Nach virtuellem Festlegen der gewünschten Osteotomie wird diese dann über eine computerassistiert gestaltete digitale Schablone verschlüsselt. Dies nutzt die patienteneigene Anatomie zur optimalen Ausformung der Positionierung als Modell. Der Datensatz wird exportiert und mit einem biokompatiblen Material, zum Beispiel mittels 3-D-Druck, gefertigt. Die daraus entstandene Schablone kann dann nach entsprechender Desinfektion beziehungsweise Sterilisation im Patienten angewandt werden [Goetze et al., 2017].
Fazit für die Praxis
Rezidive bei Keratozysten sind häufig.
Chirurgie-Schablonen können das Risiko einer Nervverletzung reduzieren.
Eine Alternative zur schablonengeführten Chirurgie ist die digitale Navigation, sie findet bis dato allerdings für den Unterkiefer noch keine breite Anwendung.
Eine Alternative für die schablonengestützte Chirurgie wäre im vorliegenden Fall die digitale, dynamische Navigation gewesen. Über Navigationsmarker mit einem digitalen Datensatz verknüpft wird hier die Osteotomie parallel zur stattfindenden Operation auf dem Bildschirm visualisiert. Dies lässt den Abgleich mit der tatsächlichen Anatomie zu. Die digitale Navigation benötigt jedoch registrierbare Marker und unterliegt einer deutlichen Lernkurve [Azarmehr et al., 2017]. Ist die Navigation für Mittelgesichtseingriffe bereits weit etabliert, so ist sie bis jetzt für den Unterkiefer aufgrund dessen Beweglichkeit und den damit verbundenen Schwierigkeiten in der Registrierbarkeit nicht flächendeckend in der Anwendung. Neuere Systeme für die dentale Implantation haben vielversprechende Lösungsansätze [Mediavilla et al., 2019].
Zusammenfassend lässt sich mit einer gezielten Osteotomie – ob schablonengesteuert oder anderweitig navigiert – die iatrogene Defektgröße an die Läsion angepasst klein halten. Zusätzlich besteht für die umliegenden Strukturen, wie den N. alveolaris inferior, ein geringeres Verletzungsrisiko. Nachdem CAD/CAM-Verfahren immer mehr Einzug in die tägliche Praxis finden, zeigt dieser Fall eine weitere mögliche Anwendung zur Optimierung und Vereinfachung der chirurgischen Therapie.
Dr. Elisabeth Goetze
Stellvertretende Oberärztin / Fachärztin
Mund-, Kiefer- und Gesichtschirurgische Klinik,
Universitätsklinikum Erlangen
Glückstr. 11, 91054 Erlangen
Prof. Dr. Dr. Peer W. Kämmerer, MA, FEBOMFS
Leitender Oberarzt und stellvertretender Klinikdirektor
Klinik und Poliklinik für Mund-, Kiefer- und Gesichtschirurgie, Plastische Operationen,
Universitätsmedizin Mainz
Augustusplatz 2, 55131 Mainz
peer.kaemmerer@unimedizin-mainz.de
Literaturliste
Azarmehr, I., K. Stokbro, R. B. Bell and T. Thygesen (2017). „Surgical Navigation: A Systematic Review of Indications, Treatments, and Outcomes in Oral and Maxillofacial Surgery.“ J Oral Maxillofac Surg 75(9): 1987-2005.
Gao, Z., Q. W. Ni, W. Gao, Y. P. Liu and Q. Zhang (2017). „Application of endoscopy to treat mandibular keratocystic odontogenic tumors.“ Braz J Med Biol Res 50(8): e6209.
Goetze, E., M. Gielisch, M. Moergel and B. Al-Nawas (2017). „Accelerated workflow for primary jaw reconstruction with microvascular fibula graft.“ 3D Printing in Medicine 3(1): 3.
Goetze, E., D. G. E. Thiem, M. Gielisch, B. Al-Nawas and P. W. Kämmerer (2020). „Digitalization and use of artificial intelligence in microvascular reconstructive facial surgery.“ Der Chirurg 91(3): 216-221.
Mediavilla Guzman, A., E. Riad Deglow, A. Zubizarreta-Macho, R. Agustin-Panadero and S. Hernandez Montero (2019). „Accuracy of Computer-Aided Dynamic Navigation Compared to Computer-Aided Static Navigation for Dental Implant Placement: An In Vitro Study.“ J Clin Med 8(12).
Neville, D., Allen, Bouquot (2009). Oral & Maxillofacial Pathology. Philadelphia, Sounders, Elsevier.
Nickenig, H. J., S. Eitner, D. Rothamel, M. Wichmann and J. E. Zoller (2012). „Possibilities and limitations of implant placement by virtual planning data and surgical guide templates.“ Int J Comput Dent 15(1): 9-21.
Römer, P., F. Schnaith and P. W. Kämmerer (2020). „Der besondere Fall mit CME: Keratozyste oder Ameloblastom?“ Zahnärztliche Mitteilungen 110(21): 76-79.
Thiem, D., B. Straub, M. Krüger and P. Kämmerer (2019). „Keratozyste im Oberkiefer.“ Zahnärztliche Mitteilungen (9).













