Mandibuläre Metastase eines unentdeckten Prostatakarzinoms
Ein 83-jähriger Patient stellte sich mit einer zunehmenden Schwellung im Bereich des rechten Unterkiefers vor. Eigenanamnestisch gab er an, dass diese seit ungefähr drei Monaten bestehe. Unter einer lokalen antiseptischen und antibiotischen Behandlung habe sich die Schwellung initial gebessert, sei dann aber doch progredient gewesen. Weiterhin beklagte der Patient, dass seine kürzlich neu angefertigte Unterkieferprothese nicht mehr passe beziehungsweise sich neuerdings deutliche Druckstellen zeigten. Allgemeinanamnestisch leide er unter einer Hypertonie und einer Hypercholesterinämie. Tumorleiden seien bis dato nicht diagnostiziert worden. Somit habe er bisher weder eine Bestrahlung noch eine Chemotherapie bekommen.
Klinisch fiel bei der extraoralen Untersuchung eine indolente, perimandibuläre, nicht verschiebliche, derbe Schwellung des rechten Unterkiefers auf. Weiterhin bestand eine ausgeprägte Hypästhesie im Innervationsgebiet des Nervus mentalis der Unterlippe der betroffenen Seite (sogenanntes Vincent-Symptom). Intraoral war ebenfalls eine Schwellung im Bereich des aufsteigenden Unterkieferastes rechts zu sehen. Die Mundschleimhaut präsentierte ulzerierende Veränderungen regio 047/048.
Das angefertigte Orthopantomogramm zeigte eine osteolytische Raumforderung im Bereich des rechten Unterkiefers (Abbildung 1).
Unter Zusammenschau der schmerzlosen, progredienten Schwellung des rechten Kieferwinkels mit Schleimhautulzeration und nur geringen Entzündungsparametern entschieden wir uns für eine Probenentnahme von intraoral. Die histopathologische Untersuchung ergab, dass es sich um die Metastase eines Adenokarzinoms der Prostata handelt (Abbildungen 2 und 3).
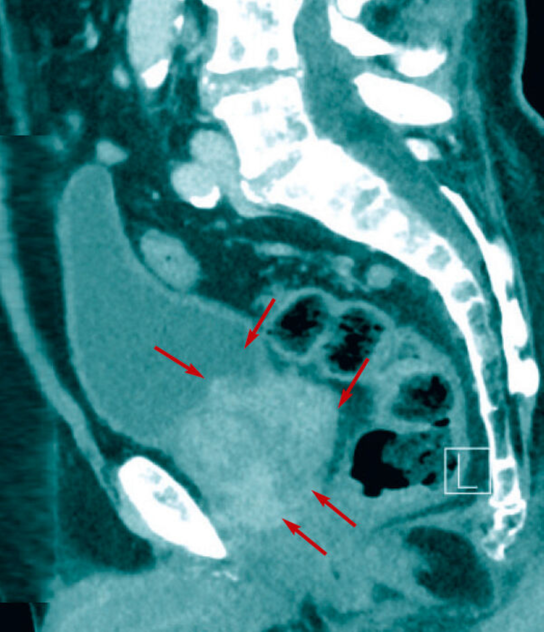
Daraufhin erfolgte umgehend eine Staginguntersuchung (Kopf/Hals/Thorax/Abdomen/Becken) mittels Computertomografie (CT) mit Kontrastmittel. Neben der bereits bekannten Raumforderung im rechten Unterkiefer bestätigte sich auch radiologisch der Verdacht auf ein Prostatakarzinom als Primarius (Abbildungen 4 und 5). Dieses zeigte sich klinisch im Stadium G2 mit Lymphgefäßinfiltration. Zusätzlich zu der mandibulären Metastasierung zeigten sich multiple disseminierte osteolytische Veränderungenim Bereich der Wirbelsäule, die hochgradig metastasensuspekt waren (Abbildung 6).

MKG, Universitätsklinikum Leipzig

MKG, Universitätsklinikum Leipzig
Daraufhin erfolgte die Übernahme der Behandlung durch die Urologie des Universitätsklinikums Leipzig, die eine Hormon- und Flutamid-(Zytostatikum) Therapie einleitete. Aufgrund des hochgradig auf Metastasen verdächtigen Befunds im Bereich der Wirbelsäule erfolgte die Vorstellung des Patienten in der Klinik für Orthopädie. Da zum Zeitpunkt der Vorstellung keine Stabilitätsgefährdung der Wirbelsäule und keine neurologischen Defizite bestanden, blieb der Patient zunächst unter Beobachtung und ohne Initiierung einer antiresorptiven Therapie. Weitere chirurgische Maßnahmen zur Resektion der mandibulären Metastase wurden vor dem Hintergrund einer palliativen Behandlungssituation nicht durchgeführt.
Diskussion
Das klinische Bild eines Patienten mit einer indolenten, nicht verschieblichen, Antibiotika-refraktären Schwellung sollte immer auch an ein Malignom denken lassen. Differenzialdiagnostisch sollte der Behandler in erster Linie an Abszesse denken, die aber in der Regel eine ausgeprägte Schmerzsymptomatik aufweisen. Auch eine ausbleibende Besserung nach Inzision und unter Antibiotikagabe sowie nur geringgradig erhöhte Entzündungsparameter machen ein septisches Geschehen unwahrscheinlich. Eine Prothesendruckstelle kann insbesondere bei neu angefertigten Prothesen eine schwierig zu differenzierende Diagnose sein, da es hier ebenfalls zu Schleimhautulzerationen und (moderaten) Schwellungen kommen kann. Die Ausdehnung der Schwellung nach perimandibulär sowie die destruierende osteolytische Raumforderung im Bereich des Kieferwinkels machen diese Diagnose jedoch unwahrscheinlich. Weitere Differenzialdiagnosen können Osteomyelitiden des Kiefers sein. Aufgrund der unauffälligen Eigenanamnese des Patienten, bei der weder eine Radiatio noch eine Einnahme antiresorptiver Medikation beschrieben wurde, erscheint dies ebenfalls unwahrscheinlich. Auch eine ältere, eventuell unbehandelt gebliebene Fraktur konnte eigenanamnestisch ausgeschlossen werden. Gutartige Raumforderungen wie beispielsweise Zysten erschienen aufgrund des Vincent-Symptoms ebenfalls unwahrscheinlich, da sich benigne Prozesse durch verdrängendes und nicht destruierendes Wachstum auszeichnen.
Zur weiteren Diagnostik ist daher eine Probenentnahme und histologische Aufarbeitung indiziert. Die Erstmanifestation eines Karzinoms aufgrund einer Metastase im Kopf-Hals-Bereich liegt bei ungefähr 1 Prozent aller Tumoren [van der Waal et al., 2003; Zachariades, 1988]. Insbesondere der Unterkiefer scheint hier eine Prädilektionsstelle zu sein [Düker, 2000].
Neben dem hier beschriebenen Prostatakarzinom sind Mamma- und Lungenkarzinome sowie Malignome der Niere die häufigsten Primarien bei hämatogener Fernmetastasierung in den Unterkiefer (Tabelle 1) [Hirshberg et al., 2008].
Die Therapie solcher Befunde ist stark abhängig von der Prognose. Bei palliativ intendierter Therapie kann eine Verringerung des Tumorvolumens erfolgen, um den Patienten eine gesteigerte Lebensqualität zu verschaffen (Tumor-Debulking). Sind die Patienten trotz eines metastasierten Tumors in einem kurativ intendierten Therapieregime, sollte eine lokale Sanierung mittels Resektion und Rekonstruktion erfolgen.
Auf den vorliegenden Fall bezogen konnte die Erkrankung insgesamt nicht kuriert werden, weshalb nur ein palliativer Behandlungsansatz möglich war. Gemäß dem Beschluss des interdisziplinären Tumorboards erfolgte eine Radiatio im Kopf-Hals-Bereich. Wie in der Falldarstellung erwähnt, erhielt der Patient zusätzlich eine systemische Hormon- beziehungsweise Chemotherapie mittels Flutamid.
Das Prostatakarzinom stellt rund ein Viertel aller diagnostizierten malignen Tumoren bei Männern dar [RKI, 2017]. Aufgrund von zunehmenden Früherkennungsuntersuchungen mittels PSA-Test, der prostataspezifische Antigene als Tumormarker im Blut identifiziert, hat sich die Sterberate im Gegensatz zur Erkrankungsrate kontinuierlich verringert [RKI, 2020]. Fernmetastasen eines Prostatakarzinoms in der Mundhöhle sind selten und stellen circa vier Prozent aller Fernmetastasen im Mund und Kieferbereich [Hirshberg et al., 2008].
Nashwan Hamzah
Universitätsklinikum Leipzig,
Klinik und Poliklinik für Mund-, Kiefer- und Plastische Gesichtschirurgie
Liebigstr. 12, Haus 1, 04103 Leipzig
Nashwan.Hamzah@medizin.uni-leipzig.de
Dr. med. Dr. med. dent. Alexander K. Bartella
Universitätsklinikum Leipzig,
Klinik und Poliklinik für Mund-, Kiefer- und Plastische Gesichtschirurgie
Liebigstr. 12, Haus 1, 04103 Leipzig
Prof. Dr. med. dent. Sebastian Hahnel
Universitätsklinikum Leipzig,
Poliklinik für Zahnärztliche Prothetik und Werkstoffkunde
Liebigstr. 12, Haus 1, 04103 Leipzig
Univ.-Prof. Dr. med. Dr. med. dent. Bernd Lethaus, MHBA
Universitätsklinikum Leipzig,
Klinik und Poliklinik für Mund-, Kiefer- und Plastische Gesichtschirurgie
Liebigstr. 12, Haus 1, 04103 Leipzig
Fazit für die Praxis
Therapieresistente Schwellungen ohne klinisches Korrelat mit unspezifischen Symptomen sind bei Beschwerdepersistenz über drei Wochen malignitätsverdächtig.
Fernmetastasen im Kiefer können der erste Hinweis auf den Primärtumor sein.
Unscharfe Osteolysen in Röntgenaufnahmen können Hinweise auf Tumoren geben.
Bei unklaren Raumforderungen ist eine Gewebegewinnung aus der Läsion zur histopathologischen Abklärung erforderlich.
Literaturliste
1. R I F van der Waal , J Buter, I van der Waal, Oral Metastases: Report of 24 Cases. Br J Oral Maxillofac Surg. 2003 Feb; 41(1):3-6. doi: 10.1016/s0266-4356(02)00301-7
2. Nicholas Zachariades, Neoplasms metastatic to the mouth, jaws and surrounding tissues, Received 20 September 1988, Accepted 2 November 1988, Available online 22 August 2005.
3. Röntgendiagnostik mit der Panoramaschichtaufnahme , Düker, Jürgen: 2000, DOI: 10.1055/b-0034-3857
4. Hirshberg A, Shnaiderman-Shapiro A, Kaplan I,Berger R: Metastatic tumours to the oral cavity – pathogenesis and analysis of 673 cases. Oral Oncol 44: 743–752 (2008)
5. Robert Koch Institut (RKI), Gesellschaft der epidemiologischen Krebsregister in Deutschland (GEKID). Krebs in Deutschland für 2013/2014. 11th ed. Berlin: RKI; 2017.
6. Robert Koch Institut (RKI), Zentrum für Krebsregisterdaten. Aufgerufen am 29.03.20 https://www.krebsdaten.de/Krebs/...










