Anamnese
Der Patient gab an, er habe leichte rezidivierende Beschwerden an den Frontzähnen. Der Hauszahnarzt habe bei einer Routineuntersuchung beim Hauszahnarzt Auffälligkeiten an den Frontzähnen bemerkt. Deshalb wurde ein Endodontologe konsultiert, der allerdings keine Erhaltungsmöglichkeit für beide Zähne sah. Der Patient versicherte, dass er keine kieferorthopädische Behandlung sowie keinen Unfall mit Zahnbeteiligung in der Vergangenheit gehabt hat. Die allgemeinmedizinische Anamnese war unauffällig.
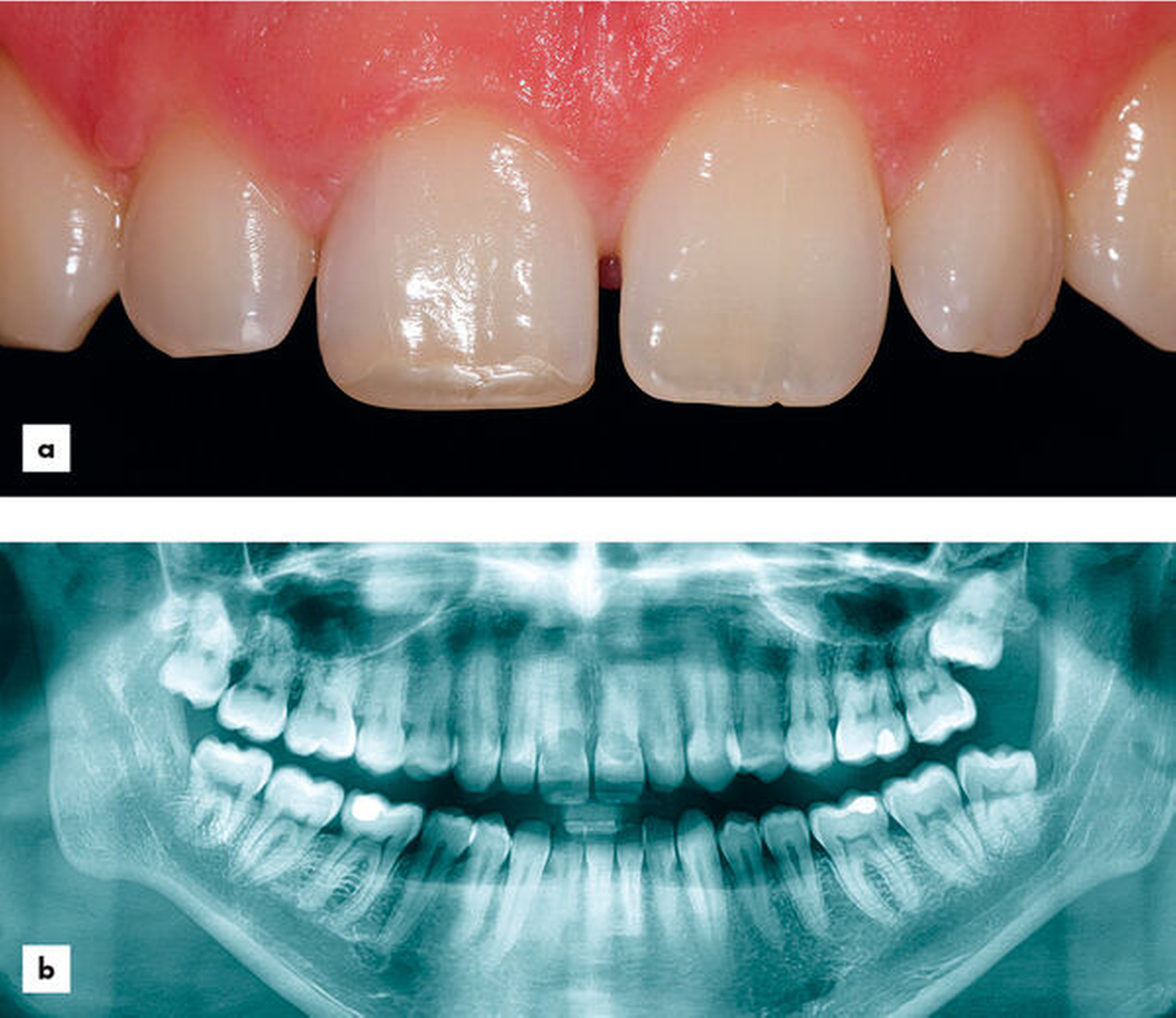
Zahnärztlicher Befund
Der allgemeinzahnmedizinische Befund zeigte erhöhte Sondierungstiefen palatinal an den Zähnen 11 und 21 mit starker Blutung. Der CO2-Sensibilitätstest der Zähne 11 und 21 war verzögert, jedoch positiv. Die restlichen Zähne im Ober- und Unterkiefer zeigten keine Auffälligkeiten (Abbildung 1a).
Das OPG (Abbildung 1b) zeigte koronale Aufhellungen an Zahn 11 und 21 auf. Der Zahn 28 war retiniert und verlagert. Im DVT wurde eine deutliche Resorption der Zähne 11 und 21 ersichtlich (Abbildungen 2a, b).
Diagnose
Nichterhaltungsfähige Zähne 11, 21 (externe Resorption)
Retinierter und verlagerter Zahn 28
Therapie
In einem Aufklärungsgespräch wurden das Für und Wider der einzelnen Therapieoptionen mit dem Patienten diskutiert. Aufgrund der fortgeschrittenen Resorption konnten die Zähne nicht erhalten bleiben. Der Patient entschied sich für eine Sofortimplantation mit Sofortversorgung. In diesem Zusammenhang wurde der Patient ebenfalls über die Verwendung der Zähne 11 und 21 als Augmentat aufgeklärt.
Für die implantologische Therapie wurde auf Basis der DVT-Aufnahme das Knochenangebot im Frontzahngebiet des Oberkiefers ermittelt. Dabei wurden eine ausreichende Knochenbreite und Knochenhöhe festgestellt. Nach atraumatischer Entfernung der Zähne 11 und 21 (Abbildung 3a) wurde der Dentinanteil der Zahnwurzeln mechanisch gereinigt, zerkleinert und chemisch für die Augmentation aufbereitet (Abb. 3b-d).

Die Dentinaufbereitung
Entfernung von Fremdmaterial (Krone, Füllungsmaterial), anhaftendem Weichgewebe (Parodontalligament), Debris und Wurzelzement mit einem diamantierten Präparationsdiamanten vom extrahierten Zahn unter Kühlung mit steriler Kochsalzlösung.
Partikulieren des Dentins mit einem sterilen Einweg-Mahlwerk (Smart Dentin Grinder, Kometa Bio, Creskill, USA) auf 300 bis 1200 µm Partikelgröße.
Einlage des Partikulats für 10 min in ein steriles Behältnis mit einer Lösung aus Natriumhydroxid (0,5 N, 4 ml) und Ethanol (20 Vol.%, 1 ml) (Dentin Cleanser, Kometa Bio, Creskill, USA). Aufnahme des Überstandes mit steriler Gaze nach Einwirkzeit.
Einlage für weitere zwei Minuten in eine 10-prozentige EDTA-Lösung (EDTA solution, Kometa Bio, Creskill, USA).
Reinigung mit phosphatgepufferter Kochsalzlösung (Dulbecco’s Phosphat Buffered Saline, Kometa Bio, Creskill, USA) für drei Minuten. Aufnahme des Überstandes mit steriler Gaze.
Trocknen des Dentinpartikulats.
Simultan wurden Implantate Regio 11 und 21 (Astra EV, Ø 4,2 x 13mm, Densply Sirona, Germany) in den palatinalen Anteil der Alveole mit 35 Ncm primärstabil inseriert (Abbildung 4a). Der Spaltraum zwischen bukkaler Alveolenwand und Implantat, die Jumping Distance, wurde mit dem aufbereiteten autologen Dentin aufgefüllt (Abbildungen 4b, c).

Zur röntgenologischen Kontrolle wurde ein DVT in regio 11/21 angefertigt. Die Implantate sind an die palatinale Alveolenwand gelagert. Der vestibuläre Anteil der Alveole ist intakt und die mineraldichten Partikel des partikulierten Dentins sind gut erkennbar (Abbildungen 5a, b). Im Anschluss erfolgte die Übertragung der Implantatposition für die Sofortversorgung (Abbildung 6a). Einen Tag später konnten die provisorischen Kronen eingegliedert werden (Abbildung 6b).


Nachkontrolle
Der Patient stellte sich regelmäßig zu Nachkontrollen vor. Nach drei Monaten erfolgte die Implantatkontrolle mit der Messung der Implantatstabilität mittels der Resonanz-Frequenz-Analyse (Neoss® Penguin RFA, Neoss, Goteborg, Sweden). Dabei wurde der sogenannte Implantatstabilitäts-Quotient (ISQ) mit einem Wert von jeweils 70 gemessen. Ab einem Wert von 55 gilt ein Implantat als belastungsfähig und ausreichend osseointegriert für die weitere prothetische Versorgung. Die Werte konnten, neben der klinischen und röntgenologischen Kontrolle, eine gute Osseointegration der Implantate in regio 11 und 21 objektivieren.
Zudem wurde auf der DVT-Aufnahme eine stabile vestibuläre Lamelle in regio 11 und 21 ersichtlich. Die Kontur der vestibulären Alveole scheint nahezu erhalten zu sein. Zu erkennen sind noch deutlich die mineraldichten Partikel des partikulierten, osseointegrierten Dentins (Abbildungen 7a, b). Anschließend erfolgte die definitive Versorgung durch den Hauszahnarzt.

Epikrise
In diesem Patientenfall konnten die bleibenden, mittleren Schneidezähne aufgrund von externen Resorptionen nicht erhalten werden. Die Therapie mittels Sofortimplantaten und Sofortversorgung war das Mittel der Wahl für diesen Patienten. Die bevorstehende Resorption der Extraktionsalveole nach Zahnentfernung ist ein unvermeidliches Procedere bei der Ausheilung [Mahesh et al., 2020].
Neben dem Strukturerhalt von Hart- und Weichgewebe bedeutet eine unter den beschriebenen Kriterien durchgeführte Sofortimplantation eine deutliche Reduktion der Patientenmorbidität, der Behandlungszeit und der Kosten [Andersen et al., 2002].
Im hier beschriebenen Fall wurde die Jumping Distance mit autologen Dentinpartikeln aufgefüllt, um eine mögliche Resorption der bukkalen Lamelle zu kompensieren. Knochenersatzmaterial aus autologen Dentinpartikeln ist in vielerlei Hinsicht vorteilhaft, da Dentin nahezu die gleiche chemische Zusammensetzung und osteogenetische Potenz wie autologer Knochen aufweist [Dorozhkin und Epple, 2002].
In Studien von Kim et al. wurde belegt, dass sich autogene Dentinpartikel in der osteoinduktiven und -konduktiven Wirkung bei der Ossifikation ähnlich wie autologer kortikaler Knochen verhalten [Kim, 2007; Kim et al., 2014]. Positiven Einfluss könnten Bone Morphogenic Proteine haben, die sowohl im Knochen als auch im Dentin vorkommen [Kim et al., 2013]. Dementsprechend ist dies ein weiterer Vorteil gegenüber zu xenogenen Knochenersatzmaterialen, die keine osteoinduktiven und -konduktiven Eigenschaften aufweisen.
Erste Studien geben Hinweise, dass bei Augmentation mit autologem Dentin auch kompromittierte Zähne mit vorliegender Parodontitis oder endodontischer Behandlung herangezogen werden können [Schwarz et al., 2016; Becker et al., 2019; Korsch und Peichl, 2021]. Unklar ist, ob endodontisch behandelte Zähne Bone Morphogenic Proteine in ausreichender Menge aufweisen. Langzeitergebnisse zum Einsatz von parodontal geschädigten Zähnen und Zähnen mit endodontischer Behandlung liegen allerdings noch nicht vor, so dass diese Ergebnisse mit Vorsicht zu interpretieren sind. Grundsätzlich sollten Fremdmaterial (Kronen, Füllungsmaterial), anhaftendes Weichgewebe (Parodontalligament), Debris und Wurzelzement vor der Dentinaufbereitung entfernt werden.
Auch wenn die beschriebene Technik auf den ersten Blick sehr einfach durchführbar erscheint, sind für die Verwendung von autologem Dentin ausreichende Sachkenntnisse in der Augmentationschirurgie Voraussetzung. Darüber hinaus werden klinische Langzeitstudien benötigt, um das Resorptionsverhalten von autologem Dentin und die Prävalenz von Komplikationen zu beurteilen.
Priv.-Doz. Dr. Michael Korsch, M.A.
Zentrum für Implantologie und Oralchirurgie
Berliner Str. 41, 69120 Heidelberg
mk@drkorsch-heidelberg.de
und
Akademie für Zahnärztliche Fortbildung Karlsruhe
Lorenzstr. 7, 76135 Karlsruhe
Dr. Abdel-Karim Mamar
Zentrum für Implantologie und Oralchirurgie
Berliner Str. 41, 69120 Heidelberg
und
Akademie für Zahnärztliche Fortbildung
Lorenzstr. 7, 76135 Karlsruhe
Fazit für die Praxis
Die Sofortimplantation unter Verwendung von autologem Dentin ist ein mögliches Therapiekonzept für resorptionsstabile Augmentate. Daten aus randomisierten Studien können zukünftig helfen, das Konzept zum heutigen Goldstandard (Eigenknochen) einzuordnen.
Es werden klinische Langzeitstudien benötigt, um das Resorptionsverhalten von autologem Dentin und die Prävalenz von Komplikationen zu beurteilen.
Auch wenn die beschriebene Technik auf den ersten Blick sehr einfach durchführbar erscheint, sind für die Verwendung von autologem Dentin ausreichende Sachkenntnisse in der Augmentationschirurgie Voraussetzung.
Literaturliste
Andersen, E., H. R. Haanæs and B. M. Knutsen (2002). „Immediate loading of single‐tooth ITI implants in the anterior maxilla: a prospective 5‐year pilot study.“ Clinical Oral Implants Research 13(3): 281-287.
Araujo, M. G., E. Linder and J. Lindhe (2011). „Bio-Oss collagen in the buccal gap at immediate implants: a 6-month study in the dog.“ Clin Oral Implants Res 22(1): 1-8.
Becker, K., K. Jandik, M. Stauber, I. Mihatovic, D. Drescher and F. Schwarz (2019). „Microstructural volumetric analysis of lateral ridge augmentation using differently conditioned tooth roots.“ Clinical oral investigations 23(7): 3063-3071.
Becker, K., K. Jandik, M. Stauber, I. Mihatovic, D. Drescher and F. Schwarz (2019). „Microstructural volumetric analysis of lateral ridge augmentation using differently conditioned tooth roots.“ Clin Oral Investig 23(7): 3063-3071.
Bormann, K.-H., M. M. Suarez-Cunqueiro, B. Sinikovic, A. Kampmann, C. von See, F. Tavassol, T. Binger, M. Winkler, N.-C. Gellrich and M. Rücker (2012). „Dentin as a suitable bone substitute comparable to ss-TCP — an experimental study in mice.“ Microvascular Research 84(2): 116-122.
Calvo-Guirado, J. L., P. Cegarra Del Pino, L. Sapoznikov, R. A. Delgado Ruiz, M. Fernández-Domínguez and S. A. Gehrke (2018). „A new procedure for processing extracted teeth for immediate grafting in post-extraction sockets. An experimental study in American Fox Hound dogs.“ Ann Anat 217: 14-23.
Chan, H. L., G. H. Lin, J. H. Fu and H. L. Wang (2013). „Alterations in bone quality after socket preservation with grafting materials: a systematic review.“ Int J Oral Maxillofac Implants 28(3): 710-720.
Chen, S. and D. Buser (2008). „Implants in post-extraction sites: A literature update.“ ITI treatment guide 3: 9-15.
Chen, S. T. and D. Buser (2009). „Clinical and esthetic outcomes of implants placed in postextraction sites.“ Int J Oral Maxillofac Implants 24 Suppl: 186-217.
Covani, U., M. Ricci, G. Bozzolo, F. Mangano, A. Zini and A. Barone (2011). „Analysis of the pattern of the alveolar ridge remodelling following single tooth extraction.“ Clin Oral Implants Res 22(8): 820-825.
Dorozhkin, S. V. and M. Epple (2002). „Die biologische und medizinische Bedeutung von Calciumphosphaten.“ angewandte Chemie 114(17): 3260-3277.
Gual-Vaqués, P., C. Polis-Yanes, A. Estrugo-Devesa, R. Ayuso-Montero, A. Marí-Roig and J. López-López (2018). „Autogenous teeth used for bone grafting: a systematic review.“ Medicina oral, patologia oral y cirugia bucal 23(1): e112.
Hämmerle, C., S. T. Chen and T. G. Wilson Jr (2004). „Consensus statements and recommended clinical procedures regarding the placement of implants in extraction sockets.“ Int J Oral Maxillofac Implants 19(Suppl): 26-28.
Hämmerle, C. H., S. T. Chen and T. G. Wilson, Jr. (2004). „Consensus statements and recommended clinical procedures regarding the placement of implants in extraction sockets.“ Int J Oral Maxillofac Implants 19 Suppl: 26-28.
Jun, S.-H., J.-S. Ahn, J.-I. Lee, K.-J. Ahn, P.-Y. Yun and Y.-K. Kim (2014). „A prospective study on the effectiveness of newly developed autogenous tooth bone graft material for sinus bone graft procedure.“ The journal of advanced prosthodontics 6(6): 528-538.
Kim, S.-G. (2007). Bone grafting using particulate dentin. Key Engineering Materials, Trans Tech Publ.
Kim, S. Y., Y. K. Kim, Y. H. Park, J. C. Park, J. K. Ku, I. W. Um and J. Y. Kim (2017). „Evaluation of the Healing Potential of Demineralized Dentin Matrix Fixed with Recombinant Human Bone Morphogenetic Protein-2 in Bone Grafts.“ Materials 10(1049): 1-13.
Kim, Y. K., S. G. Kim, J. H. Byeon, H. J. Lee, I. W. Um, S. C. Lim and S. Y. Kim (2010). „Development of a novel bone grafting material using autogenous teeth.“ Oral Surgery, Oral Medicine, Oral Pathology, Oral Radiology and Endodontology 109(4): 496-503.
Kim, Y. K., S. G. Kim, P. Y. Yun, I. S. Yeo, S. C. Jin, J. S. Oh, H. J. Kim, S. K. Yu, S. Y. Lee, J. S. Kim, I. W. Um, M. A. Jeong and G. W. Kim (2014). „Autogenous teeth used for bone grafting: a comparison with traditional grafting materials.“ Oral Surg Oral Med Oral Pathol Oral Radiol 117(1): e39-45.
Kim, Y. K., J. Lee, I. W. Um, K. W. Kim, M. Murata, T. Akazawa and M. Mitsugi (2013). „Tooth-derived bone graft material.“ J Korean Assoc Oral Maxillofac Surg 39(3): 103-111.
Kim, Y. K., P. Y. Yun, I. W. In-Woong Um, H. J. Lee, Y. J. Yi, J. H. Bae and J. Lee (2014). „Alveolar ridge preservation of an extraction socket using autogenous tooth bone graft material for implant site development: prospective case series. .“ The Journal of Advanced Prosthodontics 6: 521-527.
Korsch, M. and M. Peichl (2021). „Retrospective Study on Tooth Shell Technique Using Endodontically Treated Teeth in Lateral Ridge Augmentation.“ Appl. Sci. 11: 1-14.
Leonhardt, H. (1990). „Histologie, Zytologie und Mikroanatomie des Menschen. Flexibles Taschenbuch Med, mit Schlüssel zum Gegenstandskatalog.“ Thieme 3.
Linde, A. (1989). „Dentin matrix proteins: composition and possible functions in calcification.“ Anat Rec 224(2): 154-166.
Mahesh, L., J. L. Calvo Guirado, S. Shukla, V. R. Kumar and Y. R. Kumar (2020). „Clinical and radiographic findings without the use of bone substitute materials in extraction sockets and delayed implant placement- A case series.“ J Oral Biol Craniofac Res 10(2): 141-145.
Minetti, E., A. Palermo, P. Savadori, A. Barlattani, Jr., R. Franco, M. Michele, F. Gianfreda and P. Bollero (2019). „Autologous tooth graft: a histological comparison between dentin mixed with xenograft and dentin alone grafts in socket preservation.“ J Biol Regul Homeost Agents 33(6 Suppl. 2): 189-197.
Morton, D., S. T. Chen, W. C. Martin, R. A. Levine and D. Buser (2014). „Consensus statements and recommended clinical procedures regarding optimizing esthetic outcomes in implant dentistry.“ Int J Oral Maxillofac Implants 29 Suppl: 216-220.
Nkenke, E., M. Radespiel-Troger, J. Wiltfang, S. Schultze-Mosgau, G. Winkler and F. W. Neukam (2002). „Morbidity of harvesting of retromolar bone grafts: a prospective study.“ Clin Oral Implants Res 13(5): 514-521.
Schulte, W. and G. Heimke (1976). „[The Tübinger immediate implant].“ Quintessenz 27(6): 17 - 23.
Schwarz, F., V. Golubovic, K. Becker and I. Mihatovic (2016). „Extracted tooth roots used for lateral alveolar ridge augmentation: a proof‐of‐concept study.“ Journal of clinical periodontology 43(4): 345-353.
Schwarz, F., V. Golubovic, I. Mihatovic and J. Becker (2016). „Periodontally diseased tooth roots used for lateral alveolar ridge augmentation. A proof-of-concept study.“ J Clin Periodontol 43(9): 797-803.
Schwarz, F., D. Hazar, K. Becker, R. Sader and J. Becker (2018). „Efficacy of autogenous tooth roots for lateral alveolar ridge augmentation and staged implant placement. A prospective controlled clinical study.“ Journal of clinical periodontology 45(8): 996-1004.








