Einteilige Zirkonoxidabutments – klinische Ergebnisse nach fünf Jahren
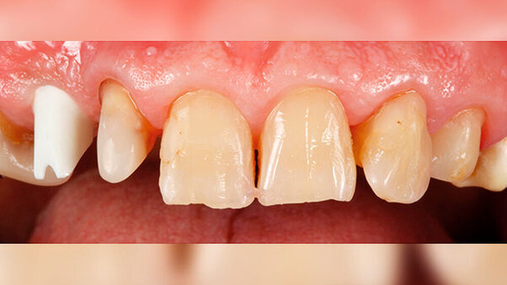
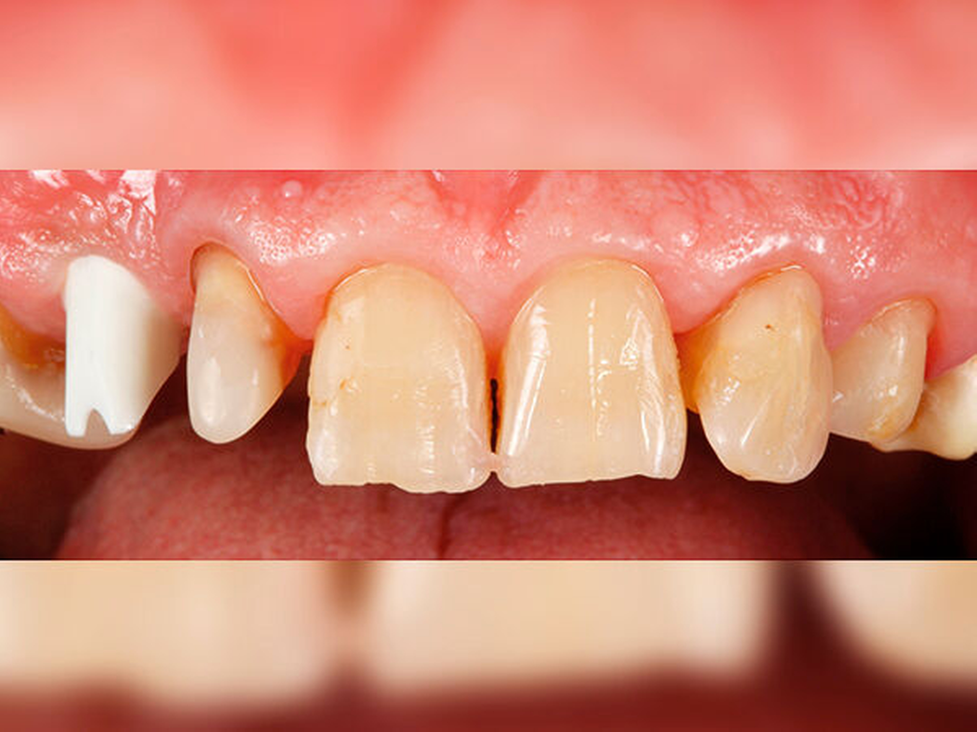
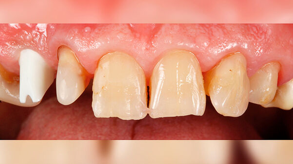
Die Versorgung einer Einzelzahnlücke mit einem dentalen Implantat aus Titan und einer Suprakonstruktion aus keramischen Materialien stellt für ästhetisch anspruchsvolle Bereiche eine etablierte und gut dokumentierte Therapieoption dar. Das einteilige Zirkonoxid-abutment hat sich in Laboruntersuchungen als Schwachstelle in diesem Versorgungskonzept erwiesen und dazu geführt, dass die meisten Hersteller auf Titanklebebasen als Verbindungsstück zum Implantat setzen. Es ist jedoch wissenschaftlich noch nicht geklärt, wie sich diese Restaurationen in der ästhetischen Zone zwischen Schneidezähnen und Prämolaren über kurzfristige Zeiträume hinaus verhalten.
Material und Methode
Die Arbeitsgruppe um Jung der Universität Zürich/Schweiz versuchte, diese Fragestellung im Rahmen einer prospektiven randomisierten Studie anhand von 44 Patienten (22 weiblich, 22 männlich) und 44 Implantaten zu beantworten. Dazu wurden parallelwandige Implantate eines Herstellers im Frontzahngebiet, in der Eckzahnregion oder im Prämolarenbereich des Ober- und Unterkiefers eingesetzt. Anschließend erfolgte die Randomisierung auf die verschraubte oder die zementierte Gruppe. Alle Patienten bekamen einteilige individuelle Zirkonoxidabutments.
In der Gruppe der verschraubten Kronen (n = 24) wurden die Abutments direkt mit Verblendkeramik fertiggestellt und dann mit dem vorgeschriebenen Drehmoment von 20 Ncm definitiv befestigt. Bei der Gruppe der zementierten Kronen (n = 20) wurde auf eine zirkuläre Präparationsgrenze des Abutments von 1 mm subgingival geachtet und eine Lithiumdisilikatkrone angefertigt, die dann im Mund adhäsiv auf dem Abutment befestigt wurde. Penibel wurde auf die Entfernung etwaiger Zementüberschüsse geachtet.
Alle Patienten wurden ins Nachsorgeprogramm der Klink aufgenommen – die Hygieneintervalle waren an die patientenindividuellen Bedürfnisse angepasst. Nach ein bis drei Wochen (Baseline) und dann nach sechs, zwölf, 36 und 60 Monaten erfolgten Nachuntersuchungen, bei denen neben klinischen Parametern auch Röntgenbilder angefertigt wurden. Als biologische Zielgrößen in der Datenauswertung dienten parodontale Parameter wie Taschensondierungstiefen, Blutung auf Sondierung, Plaque, Rezessionen, die Breite der keratinisierten Mukosa, die Dicke der bukkalen Mukosa und der Papillenindex nach Jemt. Der krestale Knochenverlust wurde anhand standardisierter Zahnfilmröntgenaufnahmen ausgewertet. Die prothetische Beurteilung der Kronen erfolgte anhand der modifizierten USPHS(United States Public Health Service)-Kriterien (Tabelle 1).
Ergebnisse
Nach fünf Jahren konnten noch 41 Restaurationen zur Beurteilung in der Studie herangezogen werden. Davon gingen acht Restaurationen aufgrund technischer und biologischer Komplikationen verloren, so dass sich eine Überlebensrate von 81,2 Prozent errechnen lässt. Die biologischen Komplikationen (n = 2) traten in Form von Implantatverlusten in der Gruppe der zementierten Kronen auf. Bei den technischen Komplikationen, die zum Verlust der Restauration führten, waren es ausschließlich Frakturen der einteiligen Zirkonoxidabutments (vier in der Gruppe der verschraubten Kronen, zwei in der Gruppe der zementierten Kronen). Periimplantäre Entzündungen der Weichgewebe traten an fünf Implantaten auf (alle bei zementierten Kronen).
Das marginale Knochenniveau blieb über die fünf Jahre in beiden Gruppen sehr stabil mit einem mittleren Knochenverlust von 0,4 mm, lediglich ein Implantat zeigte mehr als 1 mm Knochenabbau (verschraubte Gruppe). Fasst man alle Komplikationen (inklusive Schraubenlockerungen und Frakturen) zusammen, so errechnet sich eine Komplikationsrate von 73,7 Prozent bei den zementierten Kronen und 22,7 Prozent bei den verschraubten Kronen nach fünf Jahren.
Diskussion
Die ästhetisch ansprechende Versorgung der Einzelzahnlücke im sensiblen sichtbaren Bereich stellt eine tägliche Herausforderung in der zahnärztlichen Praxis dar. Das dargestellte Konzept hat sich vor allem in der zementierten Variante nach fünf Jahren als sehr komplikationsanfällig gezeigt und ist daher sicher so nicht zu empfehlen. Angesichts der hohen Zahl an frakturierten Abutments liegt es nahe, die Titanklebebasis als das klinisch bessere Konzept zu favorisieren. Positiv sind die stabile knöcherne Situation und die geringe Anzahl an periimplantären Entzündungen herauszustellen.
Zu den Stärken der Studie gehört das einheitliche, prospektive Protokoll, die Randomisierung mitsamt der homogenen Kohorte, die durch ein hochspezialisiertes Behandlungsteam versorgt wurde. In der Auswertung fehlen jedoch einige Informationen zu den Frakturen, beispielsweise wo genau diese auftraten und nach welcher Zeit. Dies hätte vielleicht noch einen wertvollen Hinweis darauf geben können, ob die Prämolaren- und die Eckzahnregion etwa ein höheres Risiko für eine Fraktur darstellt als die eigentlichen Frontzähne.
Was bedeuten die Ergebnisse für die tägliche Praxis?
Keramische Restaurationen auf Titanimplantaten nach dem dargestellten Konzept führen zu hohen Misserfolgsraten.
Einteilige Zirkonoxidabutments als Basis für zementierte und verschraubte Einzelzahnkronen in der ästhetischen Zone zeigen hohe technische Komplikationsraten.
Zementierte Einzelzahnkronen zeigen mehr Komplikationen als verschraubte Einzelzahnkronen.
Kraus R D, Espuelas C, Hämmerle C H F, Jung R E, Sailer I, Thoma D S: Five-year randomized controlled clinical study comparing cemented and screw-retained zirconia-based implant-supported single crowns. Clin Oral Implants Res. 2022 Feb 28. doi: 10.1111/clr.13913. Online ahead of print.
AUS DER WISSENSCHAFT
In dieser Rubrik berichten die Mitglieder des wissenschaftlichen Beirats der zm regelmäßig über interessante wissenschaftliche Studien und aktuelle Frage- stellungen aus der nationalen und internationalen Forschung.
Die wissenschaftliche Beirat der zm besteht aus folgenden Mitgliedern:
Univ.-Prof. Dr. Elmar Hellwig, Albert-Ludwigs-Universität Freiburg
Univ.-Prof. Dr. Dr. Søren Jepsen, Universität Bonn
Univ.-Prof. Dr. Florian Beuer, Charité – Universitätsmedizin Berlin
Univ.-Prof. Dr. Dr. Peer W. Kämmerer, Universitätsmedizin Mainz






